
1HOD, Department of Pharmacy, K. N. Polytechnic College, Jabalpur (M. P.), 2Shri Ram Institute of Technology (Pharmacy), Jabalpur, 3School of Pharmaceutical Sciences, Siksha ‘O’ Anusandhan University, Bhubaneswar (Orissa)
Email: meghapharma@rediffmail.com
Received: 12 Nov 2016, Revised and Accepted: 20 Dec 2016
ABSTRACT
Objective: To develop and evaluate floating type gastro-retentive dosage form, appropriate for controlled release of repaglinide (RG) having a narrow therapeutic window.
Methods: Repaglinide loaded microspheres (MS) using biological macromolecule ethylcellulose (EC) was prepared by a solvent diffusion-evaporation technique using polyvinyl alcohol (PVA) emulsifier. Compatibility of drug and polymer was studied by Fourier-transform infrared spectroscopy (FTIR). During formulation, various process optimisation parameters studied were stirring speed, the concentration of drug, polymer and emulsifier. Characterization and in vitro evaluation was performed. In vivo antidiabetic activity was performed on alloxan induced diabetic rats followed by histopathological screening.
Results: The average particle size was in the range of 174-243 µm. Yield, entrapment and buoyancy of microspheres were 68.4-79.8, 58.6-73.1 and 71.8-84.1% respectively. 65.1% release of drug from optimised formulation was obtained which follows first-order kinetics (r2 = 0.989). Optimised formulation treated group shows significant (p<0.01) decrease in glucose level of blood as compared to pure drug treated group during the later hours of study with satisfactory results of histology.
Conclusion: The investigation revealed the promising potential of gastro retentive microspheres for delivering RG for the treatment of non-insulin dependent diabetes mellitus (NIDDM).
Keywords: Microsphere, Buoyancy, Emulsifier, Repaglinide
© 2017 The Authors. Published by Innovare Academic Sciences Pvt Ltd. This is an open access article under the CC BY license (http://creativecommons.org/licenses/by/4.0/)
DOI: http://dx.doi.org/10.22159/ijap.2017v9i1.16139
INTRODUCTION
Oral dosage form capable of having prolonged retention in the stomach, to deliver the drug for an extended period of time has been receiving much attention nowadays [1]. Gastric residence time (GRT) is one of the important factors which affect the bioavailability of the drug in dosage forms [2]. Variable and short gastric emptying time leads to incomplete drug release from delivery system in the stomach and upper part of small intestine, leading to decrease the efficacy of administered dose [3]. Bioavailability of drug can be sufficiently increased by prolonging GRT through gastro-retentive dosage form like floating drug delivery system (FDDS) [4]. Floating dosage forms remains buoyant over gastric and intestinal fluid due to having a lesser density than aqueous medium. Both single and multiple systems of floating dosage forms have been developed in previous years. Multiple unit dosage forms can be a good alternative than single unit form, as they shows less inter and intra variability’s in drug absorption and also lowers the probability of dose dumping [5].
Various types of gastrointestinal target dosage forms including floating intragastric system [6, 7], the high-density system [8], mucoadhesive system adhering to the gastric mucosal surface to extend GRT [9], the magnetic system [10] and swellable systems have been developed [11]. For controlled release of drug ECis generally used because of its nonbiodegradable, biocompatible nature and low cost. In the recent literature, several authors have reported EC microspheres for encapsulation of various drugs such as rabeprazole sodium [12], dextromethorphan hydro bromide [13], cimetidine [14] etc. for some or the other reasons. However, no microspheres of RG were prepared using EC have been reported. These MS were prepared by evaporation of organic solvents to get hollow spheres to float over gastric fluid.
RG is an oral hypoglycemic agent of meglitinide class which induces rapid onset and short lasting insulin release. Because of short lasting action (1 h) it may have a lower risk of serious hypoglycemia [15]. .Microspheres encapsulated with the anti-diabetic drug, increase the effectiveness and release of drug in control manner from polymeric membrane thereby, and maintain its concentration for a longer duration. Due to short lasting action, fast clearance, enzymatic stability and absorption throughout git, RG is selected as a suitable target for developing gastro retentive dosage form. The aim of the study is to increase the bioavailability and reduce the side effects (skeletal muscles pain, headache and git effects) of repaglinide. Moreover, the success of control release of drug in diabetic condition and non-toxic nature of RG can be achieved by performing antidiabetic activity followed by histopathology during the study.
MATERIALSAND METHODS
Materials
RG was procured as gift sample from Torrent Pharmaceuticals, Ahmedabad, India and EC were purchased from Himedia chemicals, India. Analytical grade ethanol, dichloromethane were purchased from SD fine chemicals Mumbai, India.
Compatibility study
Compatibility of drug and polymer was studied by obtaining IR spectra’s of RG, EC and mixture of both by FTIR spectrophotometer (Shimadzu 8400, Japan).
Preparation of microspheres
MS of RG were prepared by the solvent diffusion-evaporation technique with slight modification [16]. RG and EC were mixed in 1:1 mixture of ethanol and dichloromethane at various ratios. 0.1% of PEG was added as a surfactant and the slurry was slowly introduced into 80 ml of 0.46% w/v of polyvinyl alcohol as an emulsifier. The system was stirred using propeller agitator for about 1 h for evaporation of organic phase. The prepared MS were washed 3-4 times with distilled water, dried for 1 h at room temperature and subsequently stored in a desiccator over fused calcium chloride.
Characterization
Micromeretics and surface morphology
Floating MS were characterised for particle size, bulk density, tapped density and angle of repose. Particle size was measured using an optical microscopy and mean particle size was calculated with calibrated ocular micrometre. Tapping method is utilised for estimation of tapped density. The tapping was carried out in a 10 ml measuring cylinder on a hard surface with a rate of 100 taps per minute until no further change in the volume was noted. To study the flow characteristics, the angle of repose was measured by fixed funnel method.
The surface morphology (SEM) was measured by scanning electron microscope (Jeol JSM-1600, Tokyo, Japan).
In vitro evaluation of floating ability
About 50 mg of MS were placed in 100 ml of simulated gastric fluid (pH 1.2) containing Tween 20 (0.02 w/v %) and stirred with a magnetic stirrer at 100 rpm. After 12 h, the floating and settled micro particles were separated, dried and weighed. The buoyancy was calculated by using the formula given as under:
Buoyancy (%) = Wb/(Wb+WS) X 100
Where Wb and Ws are the weights of the floating and settled microparticles, respectively.
% Yield and drug entrapment efficiency
The % yield was calculated by using the formula as follows:
% Yield = (Total weight of microspheres floating/Total weight of drug and polymer) X 100
The floating MS equivalent to 50 mg of RG has weighed accurately, crushed and was placed in 10 ml of ethanol for 12 h. The solution was then filtered through Whatman filter paper no. 44 and the absorbance were measured at 247 nm using UV spectrophotometer. The percent drug entrapped was calculated using the formula:
% Drug entrapment = (Calculated drug content/Theoretical drug content) X 100
In vitro drug release and kinetic studies
Floating microspheres of optimised batch equivalent to 16 mg drug were placed in 0.1N HCl (1.2 pH) containing Tween 20 (0.02 w/v %) in paddle type six-station dissolution test apparatus (Veego, VDA-6DR, USP Std) at a rotation speed of 100 rpm. Sink condition was maintained throughout the study; 1 ml of the sample was withdrawn after every h and analysed spectrophotometrically at 247 nm.
Release mechanism was studied by fitting release data to different mathematical models such as Zero order (% cumulative drug release vs. Time), First order (log % drug release vs. Time), Higuchi model (% cumulative drug release vs. square root of time) and Peppas exponential equation (log % drug release vs. log time). All curve fitting, calculations and plotting were done by Microsoft excel solver and regression coefficient (r2) values were calculated.
Antidiabetic activity and histopathology
The antidiabetic study performed was approved by Institutional Animal Ethics Committee, Shri Ram Institute of Technology Pharmacy, Jabalpur, Madhya Pradesh (Protocol No: SRITP/IAEC/2014/01). Animals were housed individually in polypropylene cages and maintained under standard conditions (12 h light and 12 h dark cycle; 25-30 °C). Healthy male albino rats of average body weight about 150-200 g were selected for in vivo antidiabetic activity. Five rats in four groups were housed properly in cages and maintained with standard conditions. Group A and B contain normal and diabetic control rats (induced with single iv injection of 120 mg/kg of alloxan) provided with drinking water. Group C and D contain diabetic rats with pure repaglinide (4 mg/kg body weight) and optimised formulation (E2) of MS equivalent to the dose of drug respectively using the intragastric tube. Animals were provided with water ad libitum during the course of study. Blood samples were collected from the tail vein of rats and checked for plasma glucose level using Accu-chek active glucose strips in Accu-check active test meter. Blood samples were withdrawn after every 30 min up to 4 h and then the sample was taken on the 6thand 8thh for glucose estimation. Treatment was continued for 15 consecutive days.
On the fifteenth day animals were sacrificed and liver, pancreas, heart and kidney of rats were isolated individually. These collected organs were excised quickly and fixed in 10% formalin for the histopathological test. Tissues were fixed in paraffin blocks, sliced and placed onto glass slides. After staining slides were observed and photos were taken using topical microscope [17].
Statistical analysis
Data are given as mean±standard error of the mean. Data were analysed with ANOVA where the control group was compared with rest group. Significance was set at *p<0.05, **p<0.01, ***p<0.001.
RESULTS AND DISCUSSION
Compatibility studies
FTIR spectra were recorded for RG, EC and physical mixture of both (fig. 1). Spectra of RG shows peaks at 3308 cm-1 (NH stretching), 2947 cm-1 (CH stretching), 1220 cm-1 (CH3) and 1685 cm-1(C=O). Spectra of EC shows the sharp band at 2929 cm-1 associated with a CH stretching vibration and a broader band centred at about 3481 cm-1, corresponds to OH stretching vibration. Spectra of mixture of drug and polymer shows characteristic peaks of drug at 3308 cm-1(NH stretching), 1687 cm-1(C=O), 1218 cm-1 (CH3) and 2934 cm-1(CH stretching) however no major shift and broadening in the absorption bands of drug was observed therefore no interaction between the two was concluded. The characteristic peaks of the drug appeared at an almost same wavelength, even when mixed with EC which indicate that no chemical incompatibility results between the drug and polymer selected for the preparation of floating MS.

Fig. 1: Infrared spectra: A) Repaglinide, B) Ethylcellulose and C) Mixture of repaglinide and ethylcellulose
Formation of microspheres
Preformulation trials were undertaken for certain proportions of drug and polymer by varying stirring speed, the concentration of drug and emulsifier for determination of qualitative and quantitative characteristics of floating MS. Composition of different MS prepared were shown in table 1. Prepared formulation shows desirable high content, yield, buoyancy, release and hence found to be suitable for the development of control release system of the drug. The floating MS were prepared by solvent diffusion evaporation technique. A suspension of drug and EC insolvent having equal ratios of ethanol and dichloromethane was prepared forming an organic phase and was poured into an aqueous phase containing polyvinyl alcohol. As the organic phase is added to external aqueous phase, it gets partitioned into the two phases and results in complete precipitation of polymer around the drug particle.
Continuous stirring of the aqueous phase helps in proper evaporation of solvent and formation of microspheres [14]. To observe the effect of agitation speed on various parameters of MS, the formulations were prepared by varying stirring speed (600, 900 and 1200 rpm).
Table 1: Composition of ethyl cellulose microspheres
| Batch code | Amount of EC (mg) | Concentration of emulsifying agent (%) | Stirring rate (rpm) | Amount of drug (mg) |
| E1 | 10 | 0.46 | 900 | 10 |
| E2 | 20 | 0.46 | 900 | 10 |
| E3 | 30 | 0.46 | 900 | 10 |
| E4 | 20 | 0.46 | 600 | 10 |
| E5 | 20 | 0.46 | 1200 | 10 |
| E6 | 20 | 0.66 | 900 | 10 |
| E7 | 20 | 0.86 | 900 | 10 |
| E8 | 20 | 0.46 | 900 | 20 |
| E9 | 20 | 0.46 | 900 | 30 |
Micromeretics properties
It has been observed that the mean particle size of the MS significantly increases (187±7.2-234±10.2) with an increase in EC concentration. At higher polymer concentration the viscosity of the medium increases which results in increased interfacial tension. Shearing efficiency is also decreased at higher viscosities, which results in the formation of larger particles [18]. As the stirring rate was increased from 600 to 1200 rpm particle size decreases. The bulk and tapped density were found in the range of 0.80±0.05 to 0.99±0.04 and 0.37±0.02 to 0.56±0.04 g/cm3respectively. The non-aggregated nature of prepared MS is showed by excellent flowability expressed in terms of angle of repose less than 40 ° (table 2).
Table 2: Results of micromeretics properties of ethyl cellulose microspheres (n=3) (average±SD)
| Batch code | Mean particle size | Bulk density | Tapped density | Angle of repose |
| E1 | 187.12±7.2 | 0.90±0.05 | 0.48±0.01 | 29.6±5.2 ° |
| E2 | 200.01±6.1 | 0.92±0.03 | 0.52±0.09 | 31.2±6.6 ° |
| E3 | 234.21±10.2 | 0.99±0.04 | 0.56±0.04 | 33.9±4.4 ° |
| E4 | 243.41±9.1 | 0.91±0.06 | 0.46±0.03 | 32.2±4.8 ° |
| E5 | 188.17±4.6 | 0.90±0.02 | 0.47±0.02 | 29.4±8.7 ° |
| E6 | 185.29±9.0 | 0.84±0.01 | 0.42±0.02 | 27.2±7.9 ° |
| E7 | 174.41±11.4 | 0.80±0.05 | 0.37±0.02 | 26.4±0.1 ° |
| E8 | 235.32±5.1 | 0.95±0.04 | 0.53±0.14 | 31.5±8.4 ° |
| E9 | 240.42±3.9 | 0.96±0.05 | 0.54±0.21 | 32.2±4.7 ° |
Morphology
The SEM photograph shows that the prepared MS were spherical in shape with a smooth and dense outer surface (fig. 2). The ruptured surface showing hollow nature of MS in the interior which makes them to float on the GIT fluid. During processing, it was found that when the stirring speed was kept at 600 rpm, the shapes of particles were found to be irregular for all formulations because the stirring speed was not fast enough to disperse the inner phase in outer phase and a huge coalesced mass was obtained. This is due in part to inadequate agitation of the media to disperse the inner phase in discrete droplets within the bulk phase. At stirring speed 1200 rpm, the turbulence caused frothing and adhesion of the microspheres to the container walls and propeller blade surfaces, resulting in high shear and a smaller size of the dispersed droplets. When stirring speed was set to 900 rpm the best spherical particles with good surface characteristics were obtained.

Fig. 2: SEM images: A) Spherical shaped microsphere and B) Ruptured surface showing hollow nature of microspheres
Buoyancy, yield and entrapment efficiency
Flowability was observed by calculating percent buoyancy and was found that more than 71.8% MS remained floating at the end of 12 h. Percent buoyancy decreases with increase in the concentration of EC which may be due to increase in density of particle and decrease in porosity. Percent yield was greater than 68.4% for all the formulations, and it increases with increasing EC ratio. On increasing stirring speed from 600 to 900 rpm % yield increases (72.4-76.1%), whereas on further increase in speed of rotation to 1200 rpm it decreases. Fig. 3,4 shows the effect of stirring rate and concentration of emulsifier on various parameters studied. No significant effect of increasing emulsifier concentration on % yield was observed. On increasing the concentration of drug (10-30 mg) slight increase in yield was observed (76.1-80.4%).

Fig. 3: Effect of stirring rate on various optimisation parameters. All data are represented as mean±SD (n=3)
The drug entrapment efficiency was found good for all the formulation (58.6-75.4%). The high entrapment of RG was found to be due to its poor water solubility. The extent of loading influenced the particle size distribution of microspheres. The proportion of larger particles was formed when loading was high. Increasing polymer concentration shows increase in drug loading (63.2-75.4%) [13]. The increase in stirring speed from 600 to 900 rpm increases entrapment, which decreases as stirring speed increased to 1200 rpm, which is due to reduced size of microspheres formed at a higher speed of rotation. The results were in accordance with an earlier report [19].

Fig. 4: Effect of emulsifier concentration on various optimization parameters. All data are represented as mean±SD (n=3)
In vitro drug release and kinetics
On the basis of good results of buoyancy, drug content, size and yield E2 was selected as optimized formulation and thus its release was evaluated in pH 1.2. Release of drug shows no burst effect, hence showing homogenous drug distribution. The results were in agreement with earlier report [20]. Since EC is hydrophobic and insoluble in gastric fluid release of drug is not very high, only 65.1% drug was released from optimized formulation after 12 h. Thus, use of some hydrophilic polymer in combination with EC can enhance further release of drug.
The data obtained for in vitro release was fitted into equations for the zero order, first order, Higuchi and Peppas model. The data were interpreted on the bases of regression coefficients obtained. In vitro release data follows first order kinetics (fig. 5) followed by Peppas and Higuchi model. Peppas equation has been applied to explain the release mechanism. The value of slope (n) was calculated and is ≤0.89, showing coupling of diffusion and erosion mechanism called anomalous diffusion, indicating that drug release is controlled by more than one process. From these results, it can be concluded that release of drug follows first order, diffusion and erosion mechanism.

Fig. 5: First order plot of optimized formulation
Antidiabetic activity
Biological studies were performed on healthy albino rats categorised in different groups. To study the antidiabetic effect of selected formulation alloxan induced diabetic rats were utilised. When repaglinide solution (pure) was given orally, the blood glucose level starts to decrease within 30 min. At150 min, blood glucose level reached to its minimum level, but after that, the level again starts to increase. The rapid decrease of a glucose level of pure repaglinide is due to the higher dissolution rate of a pure form of the drug in gastric fluid of the rat. The further increase in glucose level is due to the elimination of drug as it has a short biological half-life of 1 h. Whereas formulations E2 shows a reduction in glucose level slower as compared to the pure drug during the initial hours which increases after 3rd h till the end of the study. Glucose level of the formulation started to decrease significantly after 1 h and this decrease continued up to the eighth h indicating controlled release of drug from the formulations.
The decrease in glucose level of formulation even after 150 min as compared to a pure drug which shows an increase in glucose level reveals that the drug is released from the prepared formulation through EC polymer slowly in a controlled manner and thereby showing its pharmacological effect for longer time.

Fig. 6: Blood glucose level of various groups of animals at different time interval. All data are represented as mean±SD (n=3)
Histopathological studies
Hyperglycaemia is known to cause harmful effects on functioning of vital tissues and it seems to be necessary to evaluate effects of antidiabetic drugs by biochemical and histopathological studies [21]. Histopathological studies show no detrimental effect of RG and formulation on rats. Pathological examination shows that the cellular structure of the heart, kidney, liver and pancreas were normal after administration of the formulation, similar as that of the control group. Cardiac tissues of normal control rats show normal anatomical features with normal structure of cardiocytes whereas, pure drug treated caused slight cellular infiltration along with partial fragmentation of muscle fibers (fig. 7). Formulation treated histology shows less effect of infiltration only mild degree of inflammation near cardiocytes and cellular swelling with scar formation was observed.
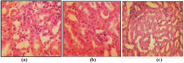
Image of a kidney from animals of control group shows normal renal anatomy with healthy glomeruli and appearance of compact tissue. Kidney of RG treated rat shows slight inflammation in the glomerular and tubular area which was slight and mild harmful effect with only few incidence of occurrence of inflammation in rats treated with formulation (fig. 8).
Slide of liver in control group of animal shows distinct and normal hepatocytes with no sign of necrosis. Very mild dilation of blood vessels and slight inflammatory changes (fig. 9) was observed in the liver of RG treated rat whereas in animals treated with formulation demonstrated similar non-lethal effects on hepatic histo-architecture. There was a mild degree of fat accumulation near hepatocytes with mild cellular swelling. Pancreas is the principal organ for the synthesis of insulin, from a type II antidiabetic drug, it is expected that no harmful effects should be observed over structure and function of the pancreas and other vital organs. Normal pancreatic histo-architecture islet with no abnormality (fig. 10) was seen in the slide of control rat. Such an effect is supported due to the non-apoptotic effect of repaglinide over islet cells [22].
Whereas drug treated rats shows a slight degeneration of serous acini, numbers of islet and islet cells, whereas less anomaly with mild cellular inflammation, was seen on pancreas of formulation treated rats. Thus it can be concluded that formulations exerted no harmful effect on histo-architecture and cellular morphology of vital organs of alloxanized animals.

Fig. 7: Histological slides: (a) normal control, (b) RG treated and (c) formulation treated of Heart

Fig. 8: Histological slides: (a) normal control, (b) RG treated and (c) formulation treated of Kidney

Fig. 9: Histological slides: (a) normal control, (b) RG treated and (c) formulation treated of liver

Fig. 10: Histological slides: (a) normal control, (b) RG treated and (c) formulation treated of pancreas
CONCLUSION
Extensive work on the formulation, characterization, in vitro release, antidiabetic effect and histopathological performance was evaluated. The development of formulation and optimisation yields the desired microspheres with drug release for 12 h and advantage of floatability in gastric juice for a prolonged time. The in vivo results obtained after administration of microspheres to healthy rats were satisfactory. Control release of drug from optimised formulation was observed during antidiabetic activity. The concept of formulating floating microspheres of RG offers a suitable, practical approach to achieve a prolonged therapeutic effect by continuously releasing the medication over an extended period of time by prolonging the gastric residence time, thus improving the oral bioavailability of the drug. It would be faster and more economical to alter the properties of the existing drug than developing new drug entities beneficially, hence this formulation will be a boon to novel drug dosage form.
ACKNOWLEDGEMENT
The authors are grateful to the management of RewaSikshaSamiti, Jabalpur for providing the facility to carry out the research work. Also thankful to M/s Torrent Pharmaceuticals, Ahmedabad for providing drug sample as a gift.
CONFLICT OF INTERESTS
Declared none
REFERENCES
How to cite this article