
Department of Biochemistry, J. J. College of Arts and Science (Autonomous), Pudukkottai, Tamilnadu, India
Email: mugavaiprofmj@gmail.com
Received: 19 Jun 2018, Revised and Accepted: 09 Jul 2018
ABSTRACT
Objective: This present study was carried out to evaluate the protective efficacy of silver nanoparticles synthesized from silymarin on cisplatin-induced renal oxidative stress in the albino rat.
Methods: Silver nanoparticles of silymarin was characterized by particle size, UV-Visible, FTIR and XRD analysis. Albino rats were divided randomly into six groups of six animals each. Group I Normal rats were treated with an oral dose of distilled water for 15 d. Group II rats were treated with single i. p. dose of cisplatin (16 mg/kg) on day 1. Group III rats were treated only with oral dose of silymarin (50 mg/kg/d) for 15 d. Group IV rats were treated only with oral dose of silver nanoparticles of silymarin (50 mg/kg/d) for 15 d. Group V rats were treated with an oral dose of silymarin for 14 d after single i. p. dose of cisplatin on day 1. Group VI rats were treated with oral dose of silver nanoparticles of silymarin for 14 d after single i. p. dose of cisplatin on day 1. Collected blood samples and kidney tissue samples were used for biochemical, enzymatic antioxidant and histopathological studies in all groups.
Results: The formation of silver nanoparticles of silymarin were confirmed by particle size, UV-Visible analysis, crystalline nature was confirmed by X-ray diffraction analysis, and active principles were confirmed by FTIR analysis. Biochemical results of silver nanoparticles of silymarin-treated groups showed the significant (p˂0.05) decrease in the level of creatinine, urea, and uric acid as compared to cisplatin-induced rats and The enzymatic antioxidants of silver nanoparticles of silymarin-treated groups showed the significant (p˂0.05) increase in the level of glutathione reductase and significant decrease in MDA level as compared to cisplatin-induced rats. Additionally, histopathological results of silver nanoparticles of silymarin-treated groups also confirmed that the ameliorative effect of silymarin nanoparticle against cisplatin-induced rats.
Conclusion: From this research work, we have concluded that silver nanoparticles of silymarin protected the kidney of albino rats from the adverse effects caused by cisplatin.
Keywords: Silymarin, Cisplatin, Silver Nanoparticles, Nephrotoxicity, Histopathology
© 2018 The Authors. Published by Innovare Academic Sciences Pvt Ltd. This is an open access article under the CC BY license (http://creativecommons.org/licenses/by/4.0/)
DOI: http://dx.doi.org/10.22159/ijap.2018v10i5.28023
Nephrotoxicity is one of the third most common kidney problems in the world and occurs when the body is exposed to a drug or toxin. When kidney damage to occurs, body unable to ride of excess urine and wastes from the body. It is manifested functionally by tubular proteinuria, mild glucosuria, lowering of glomerular filtration rate, creatinine clearance and increase in serum blood urea nitrogen [1]. Cisplatin and platinum-based therapeutics are now being used for the treatment of testicular, head and neck, ovarian, cervical, nonsmall cell lung carcinoma, and many other types of cancer [2]. The major limiting factor in the use of cisplatin is the side effects in normal tissues, which include nephrotoxicity, neurotoxicity, ototoxicity, nausea, and vomiting. Despite these efforts, the side effects of cisplatin, particularly nephrotoxicity, remain a major factor that limits the use and efficacy of cisplatin in cancer therapy [3]. Silver is a safe and effective bactericidal metal because it is non-toxic to animal cells and highly toxic to bacteria. In recent years, nanoparticles have received considerable attention due to their wide range of applications in the fields of diagnostics, biomarker, cell labeling, antimicrobial agents, pharmaceutical applications, drug delivery systems, cancer therapy [4]. Silymarin, a mixture of flavonolignans extracted from milk thistle plant (Silybum marianum) is a very strong antioxidant compound capable of scavenging both free radicals and ROS, and thus it increases the antioxidant potential of cells by ameliorating the deleterious effects of free radical reactions [5]. Recently, silymarin showed unconventional valuable activities as hypocholesterolemic and cardioprotective [6], antidiabetic [7], hypolipidemic [8], anti-inflammatory, neuroprotective and anti-apoptotic [9], anti-aging [10] and nephroprotective effects [11]. Moreover, silymarin has been shown to be safe in animal models and no significant adverse reactions are reported in human studies [12]. However, there are no studies was not yet carried out in this research work. Therefore, the present study was carried out to evaluate the characterization and protective efficacy of silver nanoparticles of silymarin against cisplatin-induced rats.
Drugs and chemicals
Cisplatin vial was used to induce nephrotoxicity; Silymarin tablets were procured from the medical shop, pudukkottai and the silver nitrate was purchased from sigma Aldrich chemicals. All other chemicals and reagents used in the study were obtained commercially and were of analytical grade.
Synthesis of silver nanoparticles
1 mmol silver nitrate solution was prepared and used for the synthesis of silver nanoparticles. 10 ml of the silymarin solution was added into 90 ml of aqueous solution of 1 mmol silver nitrate for the reduction into Ag+ions. Immediately after the addition of silver nitrate the colour change from green to dark brown was noted periodically. Then the solution was incubated at room temperature for further incubation till 28 h. After incubation, the silver nanoparticles were synthesized from the silymarin and centrifuged at 10000 rpm for 20 min, and the pellet was used to further analysis [13].
Characterization of silver nanoparticles
Silver nanoparticles of silymarin were characterized by particle size analysis described by the method of Abd El-Rahman et al.,(2014) [14], UV–Vis spectrophotometer analysis by the method of Jeyanthi et al.,(2015) [15], XRD technique by the method of Ahmad et al.,(2010) [16] and FTIR spectrophotometer analysis was performed by the method of Nanzeen bobby et al., (2012) [17].
Experimental design
Albino rats were divided randomly into six groups of six animals each. Group I: Normal rats were treated with an oral dose of distilled water for 15 d. Group II: Rats were treated with single i. p. dose of cisplatin (16 mg/kg) on day 1 [18]. Group III: Rats were treated with an only oral dose of silymarin (50 mg/kg/d) for 15 d [19]. Group IV: Rats were treated only with an oral dose of silver nanoparticles of silymarin (50 mg/kg/d) for 15 d. Group V: Rats were treated with oral dose of silymarin (50 mg/kg/d) from 2nd day to 15th day for 14 d after single i. p. the dose of cisplatin on day 1 Group VI: Rats were treated with an oral dose of silver nanoparticles of silymarin from 2nd day to 15th day for 14 d after single i. p. dose of cisplatin (16 mg/kg) on day 1. Collected blood sample and kidney tissue sample were used for the analysis of biochemical, enzymatic antioxidant and histopathological studies in all groups. This study was approved by IAEC (1416/PO/a/11/CPCSEA).
Assessment of renal function
Biochemical analysis
The collected serum was used for the assay of urea by the method described by Marsh et al.,(1980) [20],uric acid was estimated by uricase method of Ito,(2000) [21], Alkaline picrate method by Brod and Sirota,(1980) was used to measure serum creatinine [22].
Kidney oxidative stress measurements
The prepared kidney homogenate was used for the analysis of Malondialdehyde as a measure of lipid peroxidation by the thiobarbituric acid assay method of Beuge and Aust, (1978) [23], Renal enzymatic antioxidant of glutathione reductase was done according to the procedure of David and Richard,(1983) [24].
Histopathological analysis
The histopathological studies were also carried out to find out the pathological changes in the different experimental groups by the method of Ochei and Kolhatkar, (2000) [25].
Statistical analysis
The results were expressed as the mean value±SD. Group comparisons were performed by using one-way analysis of variance (ANOVA) test. Significant difference between normal control and experimental groups were assessed by student′s t-test. A probability level of less than 5 % (P<0.05) was considered as significant [26].
Characterization of silver nanoparticles
Particle size analysis
The particle size of the synthesized silver nanoparticles was analyzed using a dynamic light scattering particle size analyzer. Particle size analysis was carried out using a standard analysis time, and the size of silver nanoparticles was found to range from 275 nm to 575 nm and the results were shown in fig. 1.

Fig. 1: Graph showing the particle size distribution of silver nanoparticles of silymarin
Uv-visible spectrum analysis
UV-Vis spectra recorded during synthesis of nanoparticles shows an absorption maximum at 199 nm, which is typically attributed to plasmon resonance of silver nanoparticles (fig. 2). The nanoparticles synthesis reaction was started after the silymarin was introduced into aqueous silver nitrate solution. After overnight incubation in dark room condition, the colorless reaction mixture was turned into a dark brown color due to excitation of surface plasmon resonance indicating the biotransformation of ionic silver to reduced silver. The reduction of silver ions occurred due to the water-soluble compounds present in silymarin [27].

Fig. 2: UV-visible spectrum showing plot of absorbance of silver nanoparticles of silymarin
FTIR analysis
FTIR measurements were performed to identify the biomolecules responsible for capping, reducing and stabilizing the silver nanoparticles present in silymarin. The results of FTIR spectrum of silver nanoparticles of silymarin and its peak values with functional groups were represented in fig. 3 and table 1. When the silver nanoparticles of silymarin were passed into the FTIR, the functional groups of the active components were separated based on its peaks ratio. The results of FTIR analysis confirmed the presence of phenol, primary amines, alkyl, carboxylic acid, aromatic compound, nitro compound, benzene, ether, ester and bromo alkanes compounds which showed major peaks at 3841.90,3444.7,2922.76,1709.44, 1638.53,1512.71,1430.81,1364.64,1274.28,1226.55,1161.32,1069.10,897.1,810.6 and 535.09 respectively.
The obtained results were revealed that the presence of various functional groups in the synthesized silver nanoparticles from silymarin

Fig. 3: FTIR spectrum of silver nanoparticles of silymarin
Table 1: Functional group analysis of silver nanoparticles of silymarin using FTIR spectroscopy
| S. No. | Peak values | Bond | Functional groups |
| 1 | 3841.90 | O-H | Phenols/Alcohols |
| 2 | 3444.76 | N-H | Primary amines |
| 3 | 2922.76 | C-H | Alkyl |
| 4 | 1709.44 | C=O | Carboxylic acids |
| 5 | 1638.53 | N-H | Primary amines |
| 6 | 1512.71 | C=C | Aromatic |
| 7 | 1430.81 | P-C | Aromatic |
| 8 | 1364.64 | N-O | Nitro compound |
| 9 | 1274.28 | C-O | Carboxylic acid |
| 10 | 1226.55 | C-O | Aromatic ether |
| 11 | 1161.32 | C-O | Esters |
| 12 | 1069.10 | C-N | Aliphatic amines |
| 13 | 897.17 | C-H | Benzene |
| 14 | 810.61 | C-H | Benzene |
| 15 | 535.09 | C-X | Bromo alkanes |
X-ray diffraction analysis
X-ray diffraction was carried out to confirm the crystalline nature of the silver nanoparticles. The XRD pattern showed numbers of Bragg reflections that may be indexed on the basis of the face-centered cubic structure of silver. A comparison of our XRD spectrum (fig. 4) with the standard confirmed that the silver particles formed in our experiments were in the form of nanocrystals, as evidenced by the peaks at 2θ values of 13.03 °, 26.54 °, 30.09 °, 33.23 °,35.85 ° and 38.04 ° correspondings to (111), (222), (321), (331),(332) and (430) Bragg reflections, respectively, which may be indexed based on the face-centered cubic structure of silver. X-ray diffraction results clearly showed that the silver nanoparticles formed by the reduction of Ag+ions by silymarin extract are crystalline in nature. The average particle size of silver nanoparticles synthesized by the present green method can be calculated using the Debye-Scherrer equation D = Kλ/β cosθ; where D is the crystallite size of AgNPs, λ is the wavelength of the X-ray source (0.1541 nm) used in XRD, β is the full width at half maximum of the diffraction peak, K is the Scherrer constant with a value from 0.9 to 1, and θ is the Bragg angle. The average crystalline size according to Debye-Scherrer equation calculated is found to be 35 nm.

Fig. 4: XRD spectrum of the silver nanoparticle of silymarin
Due to numerous applications and advantages of nanoparticles in medicinal purposes, the various types of nanoparticle-based devices were used in this study. The particle size plays an important role in nanoparticle properties and therefore an essential task in property characterization of nanoparticles is particle sizing. This study also confirmed the average particle size of the silver nanoparticle of silymarin and this result agree with Jeyanthi et al.,(2015) who have reported that green synthesis of silver nanoparticles from Dracaena mahatma leaf extract and its antimicrobial activity [28]. UV-visible spectroscopy is one of the main tools to confirm the formation of nanoparticles in aqueous solutions. UV-visible spectroscopy often provides the means of choice to gauge response in an analysis using nanoparticles. It has been further suggested that the spectroscopic properties of nanoparticles can provide an indicator of their size distribution by fitting the position of the surface plasmon resonance to a simple wavelength function [29]. This research work also confirmed the formation of silymarin silver nanoparticles in aqueous solution by the method of UV-Visible spectroscopy and this result was proved with previous studies of Shankar et al.,(2004) on rapid synthesis of Au, Ag, and bimetallic Au core-Ag shell nanoparticles using Neem (Azadirachta indica) leaf broth [30]. FTIR spectrum was used to detect the functional group in the reaction mixture and predict their involvement in nanoparticle synthesis. This result was revealed that there was a significant change in the wave number of free hydroxyl groups and phenolic groups (3841.90 cm-1) in a silver nanoparticle of silymarin suggesting that polyphenols may be involved in the reduction of silver nitrate and further stabilization of silver nanoparticle [31]. As a primary characterization tool for obtaining critical features such as crystal structure, crystallite size, and strain, x-ray diffraction (XRD) patterns have been widely used in nanoparticle research [32]. This research work XRD spectrum also confirmed the crystalline nature and formation of silver nanoparticles of silymarin. FTIR and X-Ray diffraction studies of this work were accordance with Amudha Murugan et al.,(2014) on biosynthesis and characterization of silver nanoparticles using the aqueous extract of Vitex negundo L. These findings of the present study were unveiled the potential efficacy of silymarin to reduce Ag ions into Ag nanoparticles [33].
Effect of silver nanoparticles of silymarin L. on biochemical markers
Fig. 5 showed that there was a significant (p˂0.05) increase in the level of creatinine,urea and uric acid of rats treated with cisplatin (Group II) as compared to normal control (Group I). In rats treated with cisplatin along with silymarin (Group V), there was a significant (p˂0.05) decrease in creatinine, urea and uric acid as compared to only cisplatin-treated rats (Group II). However, In rats treated with cisplatin with silver nanoparticles of silymarin (Group VI), there was a profound and significant (p˂0.05) changes in all these serum kidney markers as compared to only cisplatin-treated rats (Group II) as well as compared to rats treated with cisplatin along with silymarin (Group V) and the values were restored near to normal level which indicated the significant effect of silver nanoparticles of silymarin.

Fig. 5: Effect of silver nanoparticles of silymarin on biochemical markers in different experimental groups, all values were expressed as mean±SD (n = 6). Statistically significant of *ap<0.05 and *bp<0.05 compared to Normal control group (I), *cp<0.05 compared to cisplatin-treated group (II) and *dp<0.05 compared to cisplatin-treated group (II) and silymarin along with cisplatin-treated group (V), Same superscript letters were not significantly (p˂0.05) different from each other
Effect of silver nanoparticles of silymarin on renal oxidative stress markers
The effect of silver nanoparticles of silymarin on lipid peroxidation, renal tissue enzyme marker glutathione reductase of the different experimental groups were showed in fig. 6. We found that there was a significant (p˂0.05) increase in the level of lipid peroxidation and significant (p˂0.05) decrease in the level of glutathione reductase in rats treated with cisplatin (Group II) as compared to normal control (Group I).
In rats treated with cisplatin along with silymarin (Group V), there was a significant (p˂0.05) decrease in lipid peroxidation and significant (p˂0.05) increase in glutathione reductase as compared to only cisplatin-treated rats (Group II). However, In rats treated with cisplatin with silver nanoparticles of silymarin (Group VI), there was a profound and more significant (p˂0.05) changes in lipid peroxidation and renal enzymatic antioxidants were found as compared to only cisplatin-treated rats (Group II) as well as compared to rats treated with cisplatin along with silymarin (Group V) and the values were restored near to normal level which indicated the profound, significant effect of silver nanoparticles of silymarin.
There was no significant (p˂0.05) change in serum kidney markers, lipid peroxidation and renal enzymatic antioxidants also observed in groups with only silymarin treated rats (Group III) and silver nanoparticles of silymarin only treated rats (Group IV) as compared to normal control rats (Group I) which showed the there was no adverse effect of silymarin and its silver nanoparticles in albino rats.

Fig. 6: Effect of silver nanoparticles of silymarin on renal oxidative stress markers in different experimental groups, all values were expressed as mean±SD (n = 6). Statistically significant of *ap<0.05 and *bp<0.05 compared to Normal control group (I), *cp<0.05 compared to cisplatin-treated group (II) and *dp<0.05 compared to cisplatin-treated group (II) and silymarin along with cisplatin treated group (V), same superscript letters were not significantly (p˂0.05) different from each other
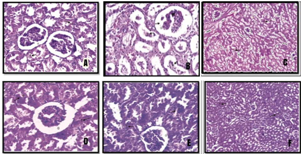
Effect of silver nanoparticles of silymarin on histopathological examination
Fig. 7 (A-F) revealed that the effect of silver nanoparticles of silymarin on histopathological changes of different experimental groups. The cortex and medulla are identifiable. The cortex shows normal glomeruli, tubules, interstitium and blood vessels in kidney of normal control rat (Group I). The glomeruli vary from normal to atrophic. There is extensive tubular necrosis characterized by sloughing of the epithelium. The tubular lamina show many desquamated epithelial cells in the kidney of cisplatin-treated rats (Group II). In silymarin alone treated rat (Group III) and in nanoparticles of silymarin alone treated rat (Group IV), the cortex and medulla are identifiable. The cortex shows normal glomeruli, tubules, interstitium and blood vessels. There are no pathological changes in kidney. In kidney of rat treated with cisplatin along with silymarin (Group V) the glomeruli are completely normal. There is reversal of tubular necrosis. Hence, all the tubules appear normal. There is no evidence of eosinophilic hyaline casts of in the collecting ducts. The interstitium and blood vessels are normal. But, in the kidney of rat treated with cisplatin along with silver nanoparticles of silymarin (Group VI), we found that profound and significant changes in the glomeruli are completely normal. There is a complete reversal of tubular necrosis. Hence, all the tubules appear normal. There is no evidence of eosinophilic hyaline casts of in the collecting ducts. The interstitium and blood vessels are normal than in the kidney of rat treated with cisplatin along with silymarin (Group V).
Urea and creatinine level in serum is considered as indicators of renal function. Urea is the principal nitrogen-containing product of protein metabolism while uric acid is considered as the key metabolic product of purine nucleotides that is usually excreted in the urine. In renal disorder, the production rate of serum urea exceeds the renal clearance rate; hence urea accumulates in serum. Creatinine is generally derived from endogenous sources by the breakdown of tissue creatine. Our results were revealed that cisplatin produced a significant elevation in serum creatinine, urea and uric acid levels. The increased urea, uric acid, and creatinine levels suggest the reduction of glomerular filtration rate [34]. In contrast, silver nanoparticles of silymarin treated rats showed significant ameliorate these markers, thus showing their ability to protect against cisplatin-induced kidney. From this study, we also found that the adverse effect of cisplatin was restored by silver nanoparticles of silymarin.

Fig. 7(A-F): Light micrographs of renal tissue of different experimental group of rats (HEx400). A (Group I): Histopathological view of renal sections of Normal control rats showing normal organization of tubular lining epithelial cells (T and arrows) and glomeruli (G). B (Group II): Histopathological view of renal sections of cisplatin-treated rats showing severe congestion in glomeruli (G) and disappearance of lining epithelium in tubular cells (T and arrows). C (Group III): Histopathological view of renal sections of silymarin treated rats showing normal organization of tubular lining epithelial cells (T and arrows) and glomeruli (G). D (Group IV): Histopathological view of renal sections of silver nanoparticles of silymarin treated rats showing normal organization of tubular lining epithelial cells (T and arrows) and glomeruli (G). E (Group V): Histopathological view of renal sections of silymarin treated in cisplatin-induced rats showing regenerative changes in lining epithelium of tubules (T and arrows) and glomeruli (G). F (Group VI): Histopathological view of renal sections of silver nanoparticles of silymarin treated in cisplatin-induced rats showing regenerative changes in lining epithelium of tubules (T and arrows) and glomeruli (G)
This result was supported with previous studies on the protection of curcumin and curcumin nanoparticles against cisplatin-induced nephrotoxicity in male rats by Soheir et al.,(2014) [35]. Furthermore, our results also revealed that cisplatin caused a significant decline in the activity of the antioxidant enzymes like glutathione reductase and enhancement of MDA production in the renal tissue. It was evident that cisplatin nephrotoxicity occurs as a result of oxidative stress and increased generation of superoxide anion, hydrogen peroxide, and hydroxyl radicals due to the increased activity of NADPH oxidase, xanthine oxidase, and adenosine deaminase [36]. These free radicals damage the lipid components of the cell membrane via peroxidation and denaturing its proteins, which subsequently lead to enzymatic inactivation [37]. We confirmed the protective impact of silver nanoparticles of silymarin by restored the normal levels of all biochemical profile and exhibited the antioxidant impact of silver nanoparticles of silymarin against cisplatin-induced nephrotoxicity in rats by increasing the levels of enzymatic antioxidants such as glutathione reductase.
These findings were consistent with previous studies by Ali et al.,(2007) on the ameliorative effect of cysteine prodrug L-2-oxothiazolidine-4-carboxylic acid on cisplatin-induced nephrotoxicity in rats [38]. Additionally, the above findings were supported by the treatment with silver nanoparticles of silymarin after cisplatin administration prevented the renal tubular damage and preserved the normal histological features of renal tubules. This findings were accordance with Mustafa et al.,(2016) who have reported on potential therapeutic effects of silymarin and silymarin-loaded solid lipid nanoparticles on experimental kidney damage in BALB/c mice: biochemical and histopathological evaluation [39].
From this study, we have concluded that the characterization of silver nanoparticles study revealed the nanosize of particle synthesized from silymarin which indicates the potential of silymarin from reduce of Ag ions into Ag nanoparticles. Animal experiment study revealed that the silver nanoparticles of silymarin was found to be more significant effective in restoration of kidney from adverse effect caused by cisplatin than silymarin alone, which can be attributed to the slow and regular release of silymarin by nanoparticles providing silymarin with a rise in bioavailability, which, in turn, improves its therapeutic effects. The above findings were supported by histopathological examination revealed that the amelioration effect of silver nanoparticles of silymarin in cisplatin-treated groups. Thus, silver nanoparticles synthesized from silymarin could be beneficial for patients were treated with cisplatin drug for the prevention of nephrotoxicity.
The authors would like to thanks to CECRI, Karaikudi and Dr. T. Subbao Rao, Special diagnostics, coimbatore for providing necessary facilities and support to carry out the research work.
ROS-Reactive oxygen species, rpm-Revolutions per minute, UV-Ultra violet, FTIR-fourier transform infrared, XRD-X-ray Diffraction, MDA–Malondialdehyde, NADPH-nicotinamide adenine dinucleotide phosphate, AgNP–silver nanoparticle, SD-Standard deviation, ANOVA-Analysis of variance
All the work have been carried out by me
The authors declare that they have no conflict of interest
Tripathi KD. Essentials of medical pharmacology. 6th ed. JAMA Intern Med 1987;147:1273-80.
Wang D, Lippard SJ. Cellular processing of platinum anticancer drugs. Nat Rev Drug Discovery 2005;4:307-20.
Cornelison TL, Reed E. Nephrotoxicity and hydration management for cisplatin, carboplatin, and ormaplatin. Gynecol Oncol 1993;50:147-58.
Zhao G, Stevens SE. Multiple parameters for the comprehensive evaluation of the susceptibility of Escherichia coli to the silver ion. Biometals 1998;11:27-9.
Mahabady MK, Varzi NH. Prophylactic effects of silymarin and vitamin E on. cyclophosphamide-induced skeletal malformations in rat embryos. World Appl Sci J 2011;12:636-41.
Kren V, Walterova D. Silybin and silymarin-new effects and applications. Biomed Papers 2005;149:29-41.
Matsuda T, Ferreri K, Todorov I, Kuroda Y, Smith CV, Kandeel F, et al. Silymarin protects pancreatic beta-cells against cytokine-mediated toxicity: implication of c-Jun NH2-terminal kinase and janus kinase/signal transducer and activator of transcription pathways. Endocrinology 2005;146:175-85.
Skottova N, Vecera R, Urbanek K. Effects of a polyphenolic fraction of silymarin on lipoprotein profile in rats fed cholesterol-rich diets. Pharmacol Res 2003;47:17-6.
Raza S, Khan M, Ashafaq M, Ahmad A, Khuwaja G. Silymarin protects neurons from oxidative stress associated damages in focal cerebral ischemia: a behavioral, biochemical and immune histological study in Wistar rats. J Neurol Sci 2011;309:45-4.
Baumann L. How to prevent photoaging. J Invest Dermatol 2005;125:XII-III.
Karimi G, Fallah Huseini H, Ramezani M, Tahoonian Z. Protective effect of silybum marianum gaertn. seeds extract and silymarin against cisplatin-induced acute nephrotoxicity in rats. J Med Plants 2005;4:42-5.
Oliveira C, Lopasso FP, Laurindo F, Leitao RM, Laundanna AA. Protection against liver ischemia-reperfusion injury in rats by silymarin or verapamil. Transplant Proc 2001;33:3010-4.
Indhumathi T, Rajathi K. A study on the synthesis of silver nanoparticles from murraya koengii leaf and its antifungal activity. Int J Drug Dev Res 2013;5:293-8.
Abd El-Rahman, Suhailah S. Protection of curcumin and curcumin nanoparticles against cisplatin-induced nephron-toxicity in male rats. Sch Acad J Biosci 2014;2:214-23.
Jeyanthi P, Merin Mary K, Anushree S, Ashwini, Ramalingam C. Green synthesis of silver nanoparticles from dracaena mahatma leaf extract and its antimicrobial activity. J Pharm Sci Res 2015;7:690-5.
Ahmed-Belkacem A, Ahnou N, Barbotte L, Wychowski C, Pallier C, Brillet R, et al. Silybinin and related compounds are direct inhibitors of hepatitis c virus rna-dependent rna polymerase. Gastroenterology 2010;138:1112-22.
Nanzeen bobby, Wesely EG, Johnson M. FTIR studies on the leaves of albizia lebbeck benth. Int J Pharm Sci 2012;4:293-6.
Maheswari, Mariyammal, Venkatnarayanan. Renal protective activity of Orthosiphon stamineus leaf extract against cisplatin induced renal toxicity. Int J Pharm Technol 2011;1:1584-92.
Abdelmeguid NE, Hania NC, Noura SAZ. Protective effect of silymarin on cisplatin-induced nephrotoxicity in rats. Pak J Nutr 2010;9:624-36.
Marsh WH, Fingerhut B, Miller A. Nonprotein nitrogen, urea, creatine and creatinine. In: Varley, Practical Clinical Biochemistry. Vol. 1. William Heinemann, London; 1980. p. 456-68.
Ito A. The exercise prescription for hyperuricemia. Nippon Rinsho 2000;58:431-6.
Brod J, Siorta JH. Nonprotein nitrogen, urea, creatine and creatinine. In: Varley H. Practical Clinical Biochemistry. Vol. 1. William Heinemann, London; 1980. p. 478-80.
Beuge JA, Aust SD. The thiobarbituric acid assay. Methods Enzymol 1978;52:306-7.
David M, Richard JS. In: Methods of Enzymatic Analysis. Bergmeyer J, Marianne Grab. ed. Verlag Chemie Weinheim Deer Field, Beach Floride; 1983. p. 358.
Ochei J, Kolhatkar A. Medical laboratory science, theory and practice, New Delhi: Tata McGraw Hill Publishing Company Limited; 2000. p. 276-7.
Gupta SP. In: Textbook of Statistical Methods, New Delhi: Sultan Chand and Sons Educational Publishers; 2014. p. 881-901.
Huang K, Ian Ferrin O, Wei Zhang, Gordon AL, Erin KO, Florante A. Structure of the Pho85-Pho80 CDK-cyclin complex of the phosphate-responsive signal transduction pathway. Mol Cell 2007;28:614-23.
Jeyanthi P, Merin Mary K, Anushree S, Ashwini, Ramalingam C. Green synthesis of silver nanoparticles from dracaena mahatma leaf extract and its antimicrobial activity. J Pharm Sci Res 2015;7:690-5.
Wolfgang H, Nguyen TK, Thanh JA, David GF. Determination of size and concentration of gold nanoparticles from UV-Vis spectra. Anal Chem 2007;79:4215-21.
Shankar SS, Rai A, Ahmad A, Sastry M. Rapid synthesis of Au, Ag and bimetallic Au core-Ag shell nanoparticles using Neem (Azadirachta indica) leaf broth. J Colloid Interface Sci 2004;275:496-502.
Kiruba Daniel AS, Nazeema Banu B, Harshiny M, Nehru K, Sankar Ganesh P, et al. Ipomea carnea-based silver nanoparticle synthesis for antibacterial activity against selected human pathogens. J Exp Nanosci 2012;9:197-209.
Nalwa HS. Encyclopedia of nanoscience and nanotechnology. Vol. 1. USA; American Scientific Publishers; 2004. p. 687-26.
Amudha Murugan, Krishna Kumari S. Biosynthesis and characterization of silver nanoparticles using the aqueous extract of Vitex negundo L. World J Pharm Pharm Sci 2014;3:1385-93.
Naziroglu M, Karaoglu A, Aksoy AO. Selenium and higher dose vitamin E administration protect cisplatin-induced oxidative damage to renal, liver, lens tissues in rats. Toxicology 2004;195:221-30.
Soheir N, Suhailah S. Protection of curcumin and curcumin nanoparticles against cisplatin-induced nephrotoxicity in male rats. Sch Acad J Biosci 2014;2:214-23.
Gulec M, Iraz M, Yilmaz HR, Ozyurt H, Temel I. The effects of ginkgo biloba extract on tissue adenosine deaminase, xanthine oxidase, myeloperoxidase, malondialdehyde and nitric oxide in cisplatin-induced nephrotoxicity. Toxicol Indian Health 2006;22:125-30.
Lalila A, Ola H, Hossam A, Mohamed M, Sayed A. Effect of cremophor-EL on cisplatin-induced organ toxicity in the normal rat. J Egypt Natl Cancer Inst 2001;13:139-45.
Ali BH, Al Moundhri MS, Tag El-din MT, Nemmar A, Tanira MO. The ameliorative effect of cysteine prodrug L-2-oxothiazolidine-4-carboxylic acid on cisplatin-induced nephrotoxicity in rats. Fundam Clin Pharmacol 2007;121:547-53.
Mustafa Cengiz, Adnan Ayhanci, Hatice Mehta. Potential therapeutic effects of silymarin and silymarin-loaded solid lipid nanoparticles on experimental kidney damage in BALB/c mice: a biochemical and histopathological evaluation. Turk J Biol 2016;40:807-14.