
aDepartment of Pharmacology, Institute of Pharmacy, Nirma University, Ahmedabad, Gujarat, 382481, India, bDepartment of Pharmaceutics, Institute of Pharmacy, Jamia Millia Islamia Central University, New Delhi, Delhi 110025, India
Email: jigna.shah@nirmauni.ac.in
Received: 19 May 2019, Revised and Accepted: 25 Jul 2019
ABSTRACT
Objective: The aim of the present study leads a comparative assessment of the toxicological profile of PEGylated fourth and fifth-generation poly (propylene imine) dendrimers (PPI).
Methods: 4.0G and 5.0G generations of PPI dendrimer were synthesized and PEGylated with Mono polyethylene glycol 5000 (MPEG-5000). Each PEGylated 4.0G and 5.0G dendrimeric generation were administered in three different doses: 2.5 mg/kg, 25 mg/kg and 250 mg/kg (i.e., low, intermediate and high dose) to wister rats. After the dose administration, the blood and tissue samples of wister rats were collected after 24 h and 15 d after. All the collected samples were proceeded for hematological, biochemical and histopathological studies.
Results: After 24 h of (250 mg/kg) dose administration PEGylated 5.0G PPI dendrimer the RBC count, hemoglobin content and WBC count were found 7.873±0.129 mill/cmm, 13.833±0.491g/dl and 9033.33±2384.906 mill/cmm, while PEGylated 4.0G PPI dendrimer indicated RBC count, hemoglobin content and WBC count 8.733±0.239 mill/cmm, 14.033±0.12 g/dl and 9666.667±2567.316 mill/cmm, in blood samples as compare to RBC count 9.346±0.037 mill/cmm, hemoglobin content 15.35±0.15 g/dl and WBC count 8500±286.675 mill/cmm of the animals of normal control group. Thus there are no remarkable changes (p>0.05) in RBC count, hemoglobin content and other hematological profile after 24 h in comparison of normal control group of animals. Similarily insignificant changes (p>0.05) in serum glutamic oxaloacetic transaminase (SGOT), serum glutamic pyruvic transaminase (SGPT), lactate dehydrogenase (LDH) and sections of different organs indicate inoffensive nature of both generations of PEGylated 4.0G and 5.0 G PPI dendrimers.
Conclusion: It can be concluded that fifth-generation PPI dendrimers are more suitable as compared to fourth generation of PPI dendrimer, while both dendrimers are not generating any severe toxicity.
Keywords: Poly (propylene imine) Dendrimers, Generation, Toxicity of Dendrimers, Biocompatibility, Drug Loading
© 2019 The Authors. Published by Innovare Academic Sciences Pvt Ltd. This is an open-access article under the CC BY license (http://creativecommons.org/licenses/by/4.0/)
DOI: http://dx.doi.org/10.22159/ijap.2019v11i5.34203
Carriers which are used to administer therapeutic agents into the body are known as drug delivery systems. The drug delivery systems potentiate pharmacological effects and pharmacokinetics of medicaments with minimum toxicity. At present, in the era of nanotechnology, so many attractive carriers like liposomes, nanoparticles, carbon nanotubes and dendrimers are available for drug delivery [1-3].
Dendrimer is one of the most explored polymeric nanocarriers among the available polymeric nanocarriers [4, 5]. In the arena of drug delivery, dendrimers are stereographical polymeric architectures, lead potential for attraction. Dendrimers have diameter ranging from 1-10 nm with wide hydrophobic cavities in which the bioactive molecules are entrapped and provide facility for sustained and controlled drug release [6-8]. Dendrimers have exceptional structural properties as monodispersity, high density of terminal functional groups, well-defined globular shape and multivalency and hence, create an attraction for controlled as well as in targeted drug delivery systems [9, 10]. Dendrimers are proving their potential in the field of drug delivery as well as gene/DNA delivery [11-13].
Structures of dendrimers contain three separate domains named as central core, branches, and peripheral functional groups. The core contains a single atomic group with two identical chemical functional units while branches nascent from the core consist repeated functional units at least one branch junction. These junction units are progressively repeated and produce a series of radially concentric layers known as ‘Generations’ fig. 1 [12, 14]. The repetition of these layers leads to consequential higher generations. The numbers of terminal functional groups increase exponentially with each subsequent generation. But many dendrimers have free amino groups at their terminal ends contributing to toxic behavior and thus limiting clinical applications of these polymers [15]. To improve biocompatibilities of the dendrimers, various strategic functionalization and other methods are employed for trapping terminal amino ending of these potential molecules [16, 17]. Many other properties like drug delivery capacity, targeting potential, stability, the possibility of attachment of targeting groups etc improve with PEGylation of dendrimers [10, 18].

Fig. 1: Various generations of PPI dendrimer
The Polypropylene imine dendrimer (PPI dendrimer) contains terminal amino groups and these groups increase with the increase in generation and ultimately lead to toxicity [19]. In this scenario, to potentiate biocompatibility of the PPI dendrimers, the terminal amino endings of different generations of dendrimer are PEGylated with mono polyethylene glycol 5000. On the other hand, with increase in generation of dendrimers, the drug loading capacity also increases proportionately. Thus, higher generation dendrimers can entrap greater amount of drug [20, 21].
The present article investigates acute toxicities including hemolytic parameters, biochemical parameters and histopathological studies of PEGylated G4 and G5 PPI dendrimers. The outcome of this study will significantly contribute to selection of appropriate dendrimer generation in term of its toxicity as well as drug delivery behaviors.
Acrylonitrile (ACN) and ethylenediamine (EDA) were purchased from CDH (India). Raney Nickel was purchased from Fluka (USA). Mono methoxy polyethylene glycol 5000 (MPEG-5000) was arranged from Sigma Chemicals. N,N’-dicyclohexyl carbodiimide (DCC), was brought from HiMedia Lab., Mumbai, India. MTT [3-(4,5-dimethyl thiazolyl-2)-2,5 diphenyltetrazolium bromide] was purchased from Sigma-Aldrich (USA). Analytical grade reagents were purchased from Merck India Ltd. (Mumbai, India). Serum glutamic oxaloacetic transaminase (SGOT), Lactate dehydrogenase (LDH), and Serum glutamic pyruvic transaminase (SGPT) diagnostic kits were purchased from Sigma Chemicals. The protocol for animal experiment was approved by the Institutional Animal Ethics Committee, Nirma University Ahmedabad, India (IP/PCOL/ FAC/18/30).
Synthesis of PPI dendrimers of different generations
The different generations (3.0G, 4.0G and 5.0G)of PPI dendrimer were synthesized from the reported divergent method in which EDTA was used as inner core while acrylonitrile as branching moiety.[22-24] [8] The detailed synthesis is shown in fig. 2.

Fig. 2: Schematic representation of synthesis of different generations of PPI dendrimers
The acrylonitrile was added in aqueous solution of EDTA with double Michael addition reaction leading to formation of half-generation of PPI dendrimer. The reaction was followed with exothermic addition in which temperature was raised up to 38 °C while 80 °C temperature was maintained during entire addition reaction. Then, the synthesized–CN terminated half-generation PPI dendrimer was subjected to heterogenous hydrogenation in the presence of Raney nickel as catalyst. This led to synthesis of an amine-terminated full generation of PPI dendrimer. The iterative process of addition of acrylonitrile after that hydrogenation produced up to 5G PPI dendrimers.
The synthesized different generations of PPI dendrimers were subjected to structure elucidation using FT-IR spectroscopy by KBr pellets and H1-NMR spectroscopy. After that, determination of average particle size and polydispersity index in deionized water was carried out for different generations of PPI dendrimers in a Zetasizer (DTS Ver. 4.10, Malvern Instruments, England).
PEGylation
For PEGylation, Mono polyethylene glycol 5000 (MPEG-5000) was converted into carboxylic acid derivative then in NHS ester as per the given scheme of fig. 3.
The synthesized G4 and G5 PPI dendrimers had 32 and 64 amino groups at their terminal ends with molecular weight 3486 and 7140 respectively. One hundred milligram of each generation of G4 and G5 PPI dendrimer was dissolved in double-distilled water.

Fig. 3: Scheme representing PEGylation of different generations of PPI dendrimers
Then, the solution of activated MPEG NHS ester (0.32 mmol) was added in the solution of 0.01 mmol of G4 and G5 PPI dendrimers in dimethyl sulfoxide (DMS), stirred gently at room temperature for 5 d in dark condition, separately. The final products obtained were concentrated and lyophilized [25, 26]. The PEGylated PPI dendrimers were characterized using FT-IR spectroscopy and H1 NMR spectroscopy.
In vivo toxicity studies
Healthy male Wistar rats of approximately equal body weight were received from the institutional animal house of Nirma University Ahmedabad, India (IP/PCOL/FAC/18/30) and kept on standard diet and water. The animals were divided into three groups. The group I and II were further divided into three subgroups according to protocol for administration of different doses of PEGylated PPI dendrimer, each subgroup comprised of three animals. The third group of animals served as control. PEGylated PPI dendrimers of G4 and G5 generations, were administered in three different doses: 2.5 mg/kg, 25 mg/kg and 250 mg/kg (i.e., low, intermediate and high dose) intravenously to the three groups of rats separately via tail vein injection.
Haematological studies
Various haematological parameters like Red Blood Cell (RBC) count, White Blood Cell (WBC) count, haematocrit (HCT) values, hemoglobin (Hb) percentage, and platelets count were estimated. Blood samples of the animals were collected after 24 hr of PPI dendrimer administration. All of haematological parameters were determined in an ABACUS 380 automatic Hematological Cell Counter. For estimation of different serum biochemical parameters like lactate dehydrogenase (LDH), serum glutamate oxaloacetate transaminase (SGOT), serum glutamate pyruvate transaminase (SGPT), the blood specimens of animals were followed for serum separation and estimated in Roche Autoanalyzer (UK) from the different estimation kits.
Histopathological studies
Animals were sacrificed after 24 h and after 15 d respectively for acute toxicity study and different organs like liver, kidney, spleen, lungs, and brain were studied for histopathology. For decay prevention, organ samples were immediately transferred in a fixative and the tissue was stabilized. The histological slides were examined under a microscope and photomicrographs were taken at suitable magnifications.
Statistical analysis
Statistical analysis was carried out by one-way ANOVA followed by Tukey-Kramer multiple comparison test using Graph Pad Instant Software (Version 7.00, Graph Pad Software, San Diego, CA, USA). Difference with p<0.05 was considered to be statistically significant, while p<0.001 was considered a very significant difference.
The synthesized different generations of PPI dendrimers were highly viscous, dark brownish colored liquid and freely soluble in water. Different generations of PPI dendrimers were purified and dialyzed through a cellulose dialysis membrane, having molecular cut off of 12 KD (Sigma chemicals, St Louis, MO, USA), characterized by FTIR, 1HNMR and microscopic studies. The spectroscopic data confirmed the synthesis of a different generation of PPI dendrimers (fig. 4, 5 and 6).

Fig. 4: IR spectra of 5.0G PPI dendrimer

Fig. 5: NMR Spectra of 5.0G PPI dendrimer

Fig. 6: TEM of 5.0G PPI dendrimer

Fig. 7: IR spectra of PEGylated 5.0G PPI dendrimer

Fig. 8: NMR Spectra of PEGylated 5.0G PPI dendrimer
The synthesized G4 and G5 PPI dendrimers were PEGylated with MPEG 5000. The synthesis of the final product was confirmed from FTIR and H1NMR spectroscopy (fig. 7 and 8).
In vivo toxicity studies
Hematological studies
Different hematological parameters were evaluated for different generations of PEGylated PPI dendrimers at different doses with reference to their toxicity (table 1). The animals were administered with low (2.5 mg/kg), intermediate (25 mg/kg) and high (250 mg/kg) doses of PEGlatedG4 and G5 PPI dendrimers together with control to evaluate acute toxicity.
The toxic effects of PEGylated PPI dendrimers on hematological parameters were found to be dose-dependent. After 24 hr the blood samples of different groups of animals were collected and assayed for hematological parameters like White Blood Cell (WBC) count, Red Blood Cell (RBC) count, hemoglobin (Hb), hematocrit (HCT) and mean corpuscular hemoglobin (MCN) in an ABACUS 380 automatic Hematological Cell Counter. The obtained results showed a statistically insignificant difference in the values of hematological parameters in comparison to control at mild to moderate doses. At higher dose, PEGylated G5PPI dendrimers treated animals displayed significant fall in RBC count, hemoglobin content (Hb) and hematocrit (HCT) and increase in WBC count after 24 hr. While PEGlatedG4 PPI dendrimers indicated insignificant decrease in RBC count, Hb percentage, HCT value and platelet count at all dose levels but on the other side, the increase in WBC count was dose-dependent and significantly changed with low dose to higher dose. All hematological parameters which were statistically significant tended to restore at their normal value after 15 d. The obtained data clearly revealed that the PEGylated PPI indicated in significant toxic effect on the hemopoetic system at mild to moderate doses. If any toxicity was observed at high dose, it was reversed in few days and thus the polymer did not create any permanent injury to the hemopoetic system with the dose limit under study.
Table 1: Haematological parameters of animals treated with different doses of PEGylated G4 and G5 PPI dendrimers
| Dose | Haematological parameters | Control | PEGylated G4 dendrimer | PEGylated G5 dendrimer |
| 2.5 mg/kg | RBC Count (mill/cmm) | 9.30±0.057 | 8.053±0.074 | 7.23±0.148 |
| WBC Count (mill/cmm) | 8233.33±145 | 7566.67±120 | 7433.33±338 | |
| Hematocrit (%)(PVC) | 38.41±0.682 | 36.000±0.702 | 34.566±1.66 | |
| Hemoglobin(g/dl) | 14.666±0.44 | 14.233±0.145 | 13.933±0.233 | |
| Platelet Count (/cmm) | 558333±22047 | 548666.7±333.33 | 537000±85504.3 | |
| 25 mg/kg | RBC Count (mill/cmm) | 9.1±0.152 | 8.763±0.385 | 7.66±0.087 |
| WBC Count (mill/cmm) | 8300±152.75 | 7366.667±88.19 | 7366.667±366.66 | |
| Hematocrit (%)(PVC) | 39.66±0.0754 | 39.533±0.202 | 38.166±0.12 | |
| Hemoglobin(g/dl) | 15.433±0.12 | 15.246±0.029 | 14.433±0.12 | |
| Platelet Count (/cmm) | 519000±3785.93 | 605000±05633 | 449000±31533.05 | |
| 250 mg/kg | RBC Count (mill/cmm) | 9.346±0.037 | 8.733±0.239 | 7.873±0.129 |
| WBC Count (mill/cmm) | 8500±286.675 | 9666.667±2567.316 | 9033.33±2384.906 | |
| Hematocrit (%)(PVC) | 38.896±0.472 | 37.353±0.978 | 36.6±0.935 | |
| Hemoglobin(g/dl) | 15.35±0.15 | 14.033±0.12 | 13.833±0.491 | |
| Platelet Count (/cmm) | 526333.3±8685.87 | 552666.7±85169.11 | 417000±3605.55 |
Data expressed as mean±SD (n=3)
Estimation of serum biochemical parameters
PEGylatedG5 and G4PPI dendrimers were assayed for serum biochemical study summarized in table 2. None of the PEGylated (G4PPI and G5PPI) at low dose (2.5 mg/kg and 25 mg/kg) exhibited any significant alteration in serum levels of SGOT, SGPT and LDH and proved their safety and biocompatibility in comparison to control. While at a higher dose of G5PPI dendrimers (250 mg/kg), some significant enhancement in SGOT and SGPT levels were seen after 24 h of drug administration. This mild toxicity of PEGylated G5 PPI seems to be reversed after 15 d and the enzymes were restored at their normal values, concluding the healing of the tissues with time.
Table 2: Serum biochemical parameters of animals treated with different doses of PEGylated G4 and G5 PPI dendrimeric carriers
| Group | Days | Dose (mg/kg of body weight) | 25 mg/kg | 250 mg/kg | ||||||
| 2.5 mg/kg | ||||||||||
| LDH (IU/l) | SGOT (IU/l) | SGPT (IU/l) | LDH (IU/l) | SGOT (IU/l) | SGPT (IU/l) | LDH (IU/l) | SGOT (IU/l) | SGPT (IU/l) | ||
| Control | 1 | 176.53±0.61 | 60.33±0.31 | 56.07±0.61 | 176.53±0.61 | 60.33±0.31 | 56.07±0.61 | 176.53±0.61 | 60.33±0.31 | 56.07±0.61 |
| G4 | 1 | 182.53±0.70 | 60.8±0.87 | 57.6±0.60 | 185.83±0.35 | 63.5±0.98 | 57.33±0.61 | 188.3±2.05 | 66.9±1.21 | 59.03±0.71 |
| 15 | 178.46±1.70 | 60.57±0.49 | 55.8±0.4 | 179.1±0.98 | 61.57±0.55 | 56.33±0.83 | 179.1±1.8 | 63.36±0.67 | 56.43±0.91 | |
| G5 | 1 | 182.27±1.40 | 62.23±1.16 | 57.9±0.56 | 186.6±0.72 | 64.8±0.2 | 58.07±0.41 | 199.23±1.43 | 76.87±0.70 | 66.9±1.04 |
| 15 | 178.53±0.81 | 61±0.92 | 56±0.72 | 180.1±0.89 | 57.93±0.64 | 56.03±0.40 | 180.97±1.06 | 65.43±1.68 | 58.4±1.06 | |
Data expressed as mean±SD (n=3)
Histopathological studies
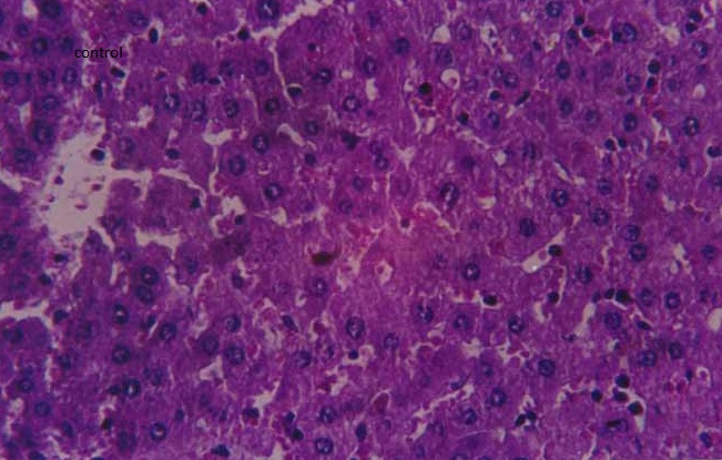
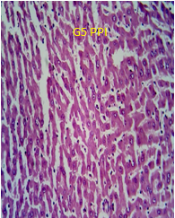
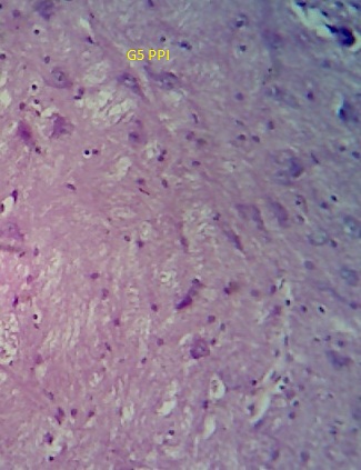
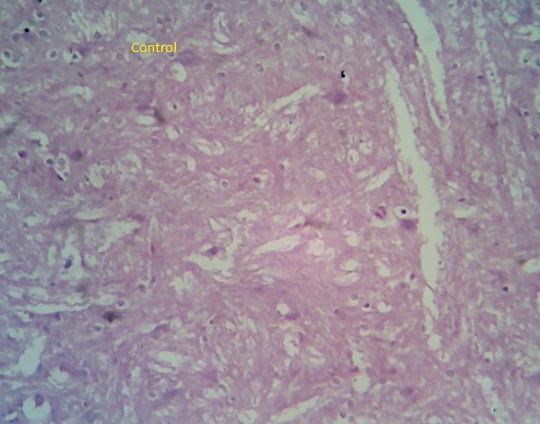
Histopathological studies indicated an insignificant change in tissues of brain and liver after 24 h and 15 d which proved the safety and biocompatibility of PEGylated G4 and G5 PPI dendrimeric carrier for these organs. Tissues of brain and liver sections of animals administered of high dose (250 mg/kg) of PEGylated G4 and G5 PPI dendrimers, displayed no signs of damage of tissues as in fig. 9, indicating that both generations of PEGylated PPI dendrimers are perfectly biocompatible with the investigated doses.



Control group G4 PPI group G5 PPI group
Liver

Control group G4 PPI group G5 PPI group
Brain
Fig. 9: Photomicrograph of sections of Brain and Liver of animals of control group and animals administered with a single dose of 250 mg/kg to PEGylated G4 and G5 PPI dendrimers after 24 h. (magnification: 400X)
Dendrimers offer a great opportunity to researchers for fabrication of macromolecules with, especially tailored carrier system. The higher generations of dendrimers provide greater opportunity for drug entrapment due to availability of large cavity and offer more space for drug retention as compared to lower generation. The present article determines toxicity profile of PEGylated G4 and G5 PPI dendrimers at certain dose limit and compares them. For this, different generations include G3, G4 and G5 of PPI dendrimers were synthesized and characterized by FT-IR, NMR and microscopic study (see supporting data). The net positive charge of the PPI dendrimer depends on the dendrimeric peripheral amino groups. It has been directed [4] that, with the increase of dendrimeric generation, the transfection efficiency increases with a simultaneous increase in the positive charges on the periphery of dendrimers. After for the minimization of toxicity G4 and G5 PPI dendrimer were PEGylated from MPEG-5000 [18] and characterized with FT-IR and NMR. While [19] the toxicity of dendrimers enhance with its positive charges but the present report is suggestive of biocompatible nature of PEGylated G5 PPI dendrimers at administered dose limit offering better opportunity for drug targeting in comparison to PEGylated G4 PPI dendrimer.
As available par data, both generations of PEGylated PPI dendrimers were harmless for tissues and body organs of the animals. All animals remained healthy, have not indicated any sign of toxicity of PEGylated PPI dendrimers at mild (2.5 mg/kg) and moderate (25 mg/kg) doses during the whole study. On the other hand, some behavioral changes as drowsiness, anorexia and lethargy were noticed in case of animals with high dose (250 mg/kg) of PPI.
The data obtained from investigation of hematological parameters in which WBC count of PEGylated 5.0G PPI dendrimer at 2.5 mg/kg 7433.33±338mill/cmm at 25 mg/kg 7366.667±366.66 milli/cmm and at 250 mg/kg dose 9033.33±2384.906 milli/cmm similarly platelet count diminish from dose at 2.5 mg/kg 537000±85504.3/cmm to 417000±3605.55/cmm at 250 mg/kg dose claimed dose-dependent toxicity of PEGylated PPI dendrimers over the generations. An insignificant fall in Hb percentage and RBC count at low of PPI dendrimer generations proved biocompatibility this in vivo also. Moreover, after 15 d of drug administration, the hematological parameters tend to restore at normal value with higher dose (250 mg/kg) of PEGylated PPI dendrimers. Reversal of toxic effects after 15 d at high dose (250 mg/kg) of PPI dendrimers proved, PPI dendrimers were not permanently damaged to hemopoitic system of animals. An insignificant increase in WBC count was observed at low and moderate dose of PEGylated PPI dendrimers indicating their biocompatibility as well as preferable in vivo acceptability.
The serum enzyme estimation is the best quantitative marker to detect type and intensity of hepatocellular damage. Many times, foreign substances in the body lead to hepatotoxicities which increase the serum levels of SGPT and SGOT. On the other side, the appearance of distinct isoenzyme is used in clinical diagnosis of the damage of different tissues in the body like proportion of LDH associated with heart functioning. At 2.5 mg/kg and 25 mg/kg dose limit, PPI dendrimers were harmless to the membranes as well as tissues of the body organs of the animals. But, the dose-dependent increase of PEGylated PPI dendrimers disturbed the serum levels of SGOT, SGPT and LDH and marked some toxic effect on liver of animals. Similarly, after 15 d, the 250 mg/kg dose toxicity of PEGylated PPI in which after 24 h LDH 199.23±1.43 IU/l, SGOT 76.87±0.70 IU/l and SGPT 66.9±1.04 IU/l reversed and enzymes were restored at their normal values LDH 180.97±1.06 IU/l, SGOT 65.43±1.68 IU/l and SGPT 58.4±1.06 IU/l as compared to control group.
The histopathological studies at a higher dose (250 mg/kg) of PEGylated PPI dendrimers did not indicate any sign of acute toxicity as well as tissue degeneration in liver and brain after 24 h and 15 d. Also, other organs like kidney, spleen and lungs also remained unaffected from PEGylated G5 PPI dendrimers at high dose.
Our study concluded that, at lower dose both generations PEGylated G4 and G5 of PPI dendrimers are biocompatible and safe for study on biological systems. The PEGylated G5 PPI dendrimers may be a better option for drug delivery as compared to PEGylated G4 PPI dendrimers, due to their high drug loading capacity and must be explored for further drug or gene targeting. However in further studies, the effects of fabrication of other masking groups besides MPEG on the periphery of PPI dendrimers is required to be explored on chronic toxicity study.
The authors would like to Pharmacology Research Laboratory, Institute of Pharmacy, Nirma University, Ahmedabad, Gujarat, 382481, India to support the present study.
All the author have contributed equally
Declared none
Bonde S, Nair S. Advances in liposomal drug delivery system: fascinating types and potential applications. Int J Appl Pharma 2017;3:1-7.
Shimoni O, Shi B, Adlard PA, Bush AI. Delivery of fluorescent nanoparticles to the brain. J Mol Neurosci 2016;60:405–9.
Tour JM, Berlin J, Marcano D, Leonard A, Kent TA, Pautler RG, et al. Use of carbon nanomaterials with antioxidant properties to treat oxidative stress. United States Patent and Trademark Office; 2017.
Kesharwani P, Jain K, Jain NK. Dendrimer as a nanocarrier for drug delivery. Prog Polym Sci 2014;39:268–307.
Saad M, Garbuzenko OB, Ber E, Chandna P, Khandare JJ, Pozharov VP, et al. Receptor targeted polymers, dendrimers, liposomes: which nanocarrier is the most efficient for tumor-specific treatment and imaging? J Controlled Release 2008;130:107–14.
Tekade RK, Dutta T, Tyagi A, Bharti AC, Das BC, Jain NK. Surface-engineered dendrimers for dual drug delivery: a receptor up-regulation and enhanced cancer targeting strategy. J Drug Target 2008;16:758–72.
Jain NK, Gupta U. Application of dendrimer drug complexation in the enhancement of drug solubility and bioavailability. Expert Opin Drug Metab Toxicol 2008;4:1035–52.
Kesharwani P, Gajbhiye V, K Tekade R, K Jain N. Evaluation of dendrimer safety and efficacy through cell line studies. Curr Drug Targets 2011;12:1478–97.
Dwivedi N, Shah J, Mishra V, Tambuwala M, Kesharwani P. Nanoneuromedicine for management of neurodegenerative disorder. J Drug Delivery Sci Technol 2019;49:477-90.
Tekade RK, Kumar PV, Jain NK. ChemInform abstract: dendrimers in oncology: an expanding horizon. Chem Rev 2009;40:49-87.
Anitha P, Bhargavi J, Aruna B, Ramkanth S. Recent progress of dendrimer in drug delivery for cancer therapy. Int J Appl Pharma 2018;10:34-42.
Kesharwani P, Tekade RK, Jain NK. Generation dependent cancer targeting potential of poly(propylene imine) dendrimer. Biomaterials 2014;35:5539–48.
Khandare J, Kolhe P, Pillai O, Kannan S, Lieh Lai M, Kannan RM. Synthesis, cellular transport, and activity of polyamidoamine dendrimer methylprednisolone conjugates. Bioconjug Chem 2005;16:330–7.
Tomalia DA, Naylor AM, Goddard WA. Starburst dendrimers: Molecular-level control of size, shape, surface chemistry, topology, and flexibility from atoms to macroscopic matter. Angew Chemie Int Ed 1990;29:138–75.
Malik N, Wiwattanapatapee R, Klopsch R, Lorenz K, Frey H, Weener JW, et al. Dendrimers: the relationship between structure and biocompatibility in vitro, and preliminary studies on the biodistribution of 125I-labelled polyamidoamine dendrimers in vivo. J Controlled Release 2000;65:133–48.
Quintana A, Raczka E, Piehler L, Lee I, Myc A, Majoros I, et al. Design and function of a dendrimer-based therapeutic nanodevice targeted to tumor cells through the folate receptor. Pharm Res 2002;19:1310–6.
Bhadra D, Bhadra S, Jain NK. PEGylated peptide-based dendritic nanoparticulate systems for delivery of artemether. J Drug Delivery Sci Technol 2005;15:65–73.
Mody N, Tekade RK, Mehra NK, Chopdey P, Jain NK. Dendrimer, liposomes, carbon nanotubes and PLGA nanoparticles: one platform assessment of drug delivery potential. AAPS PharmSciTech 2014;15:388–99.
Agashe HB, Dutta T, Garg M, Jain NK. Investigations on the toxicological profile of functionalized fifth-generation poly (propylene imine) dendrimer. J Pharm Pharmacol 2006;58:1491–8.
Dwivedi N, Shah J, Mishra V, Mohd Amin MCI, Iyer AK, Tekade RK, et al. Dendrimer-mediated approaches for the treatment of brain tumor. J Biomater Sci Polym Ed 2016;27:1-24.
Dwivedi N, Kurmi BD, Kesharwani P, ShahJ. Generation dependent targeting potential of donepezil loaded poly (propylene imine) dendrimer through goat nasal mucosa. Int J Phar Pharm Sci 2018;10:80-7.
Tekade RK, Dutta T, Gajbhiye V, Jain NK. Exploring dendrimer towards dual drug delivery: pH-responsive simultaneous drug-release kinetics. J Microencapsul 2009;26:287–96.
De Brabander van den Berg E, Meijer EW. Poly (propylene imine) dendrimers: large scale synthesis by hetereogeneously catalyzed hydrogenations. Angew Chemie Int Ed 1993;32:1308–11.
Thakur S, Tekade RK, Kesharwani P, Jain NK. The effect of polyethylene glycol spacer chain length on the tumor-targeting potential of folate-modified PPI dendrimers. J Nanoparticle Res 2013;15:1625.
Gajbhiye V, Kumar PV, Tekade RK, Jain NK. PEGylated PPI dendritic architectures for sustained delivery of H2 receptor antagonist. Eur J Med Chem 2009;44:1155–66.
Bhadra D, Bhadra S, Jain S, Jain NK. A PEGylated dendritic nanoparticulate carrier of fluorouracil. Int J Pharm 2003;257:111–24.