
aDepartment of Pharmaceutics, Amrita School of Pharmacy, Amrita Vishwa Vidyapeetham, AIMS Health Science Campus, Kochi, India
Email: sreejacnair@aims.amrita.edu
Received: 30 May 2019, Revised and Accepted: 14 Aug 2020
ABSTRACT
Objective: To formulate and evaluate propranolol hydrochloride topical gel for overcoming the limitations and low oral bioavailability associated with conventional therapy.
Methods: The propranolol hydrochloride topical gels were prepared by the cold mechanical method. The preliminary evaluation and further characterisation studies was conducted to find the optimised formulation. The in vitro release and ex vivo permeation studies were investigated. The histopathological studies and stability studies was also assessed.
Results: The propranolol hydrochloride topical gel was successfully prepared. The in vitro release of optimized topical propranolol hydrochloride gel formulation (G2) showed the highest cumulative percentage drug release that is, 95.55%±0.15 after 7.5 h. (G2) the formulation showed a higher flux value of 4.61μg/cm2/h. The histopathological study using pig skin revealed that the optimized formulation was found to be safe for topical application.
Conclusion: The formulated topical gel containing propranolol Hydrochloride seems to be a promising dosage form for enhanced skin delivery of propranolol hydrochloride in treating Infantile Hemangioma.
Keywords: Infantile Hemangioma, Propranolol hydrochloride, Topical gel
© 2020 The Authors. Published by Innovare Academic Sciences Pvt Ltd. This is an open access article under the CC BY license (http://creativecommons.org/licenses/by/4.0/)
DOI: http://dx.doi.org/10.22159/ijap.2020v12i6.34373. Journal homepage: https://innovareacademics.in/journals/index.php/ijap
Infantile Hemangioma (IH) is benign vascular tumors or soft tissue tumors of childhood, characterized by endothelial cell proliferation. It is usually referred as “Strawberry Hemangiomas” because it appears as a red or blue raised lesion [1]. The prevalence of Infantile Hemangioma is about 1-10% across the world population and it is more frequently occur in low birth weight, female, premature infants and in twin birth. The tumours are commonly developed during infancy and only about 20% of them being present at birth. The main complications associated with Infantile Hemangiomas include risk of bleeding, tissue damage, ulceration, infection, pain, functional impairment, disfigurement of tissues etc. [2]. Congenital structural abnormalities are associated with some types of IH. IH are classified on the basis of morphological features into superficial, deep and mixed types [3]. Superficial hemangiomas are identified by bright red vascular nodules and plaques [4]. Deep hemangiomas are commonly characterized by subcutaneous, bluish vascular swellings and compressible lesions. Mixed hemangiomas are the combinations of both superficial and deep hemangiomas. Based on the distributions, IH are classified as localized, segmental, indeterminate and multifocal hemangiomas [5]. Vasculogenesis and angiogenesis are the important mechanisms underlying the pathophysiology of Infantile Hemangioma. Equilibrium between proangiogenic and angiogenic factors are disturbed by hypoxia and acidosis and result in endothelial proliferation, thus increases the growth rate of lesions. In addition to the proliferation of endothelial cells, acidosis and perinatal hypoxia increases the secretion of vascular endothelial growth factor (VEGF) by stimulating angiogenesis [6]. The angiogenic factors H1F1-alpha plays an important role in the induction of gene transcription of VEGF. Several theories are illustrated to give a brief idea about the pathogenesis of IH, including the placental hypothesis, vasculogenesis theory and hormonal theory [7]. The treatment options included in the current treatment strategy of Infantile Hemangioma includes the use of systemic or topical beta-blockers, systemic or intralesional corticosteroids, Interferons, pulsed dye laser therapy, surgical excision etc. The first line agent that is preferred in the treatment of Infantile Hemangioma is propranolol hydrochloride because of its rapid onset of action and good drug tolerability [8]. The orally and intralesionally available therapies are associated with various types of adverse effects, so it is necessary to develop a topical formulation to treat this disease condition. Various advancements in the novel drug delivery system provide a wide opportunity for these limitations. Formulation of topical gels by using the first-line agent like propranolol hydrochloride is considered as efficient for the treatment of Infantile Hemangioma. Gels are more advantageous when compared to other topical formulations because of its easy application and increased patient compliance. The usage of polymers such as Carbapol 934 and HPMC in the formulation of gels can improve drug permeation and drug release properties of gels. The transdermal route of drug administration provides systemic delivery of drugs by applying the drug to unbroken and healthy skin, thus ensuring a sustained release of drugs and bypasses the Hepatic first-pass metabolism. Transdermal delivery of drugs significantly delivers an appropriate amount of drugs, thus overcoming conventional problems of oral dosing [9]. Hence the current study aims to formulate and evaluate topical gel containing propranolol hydrochloride for treating Infantile Hemangioma.
Materials and excipients
The drug of choice, propranolol hydrochloride, was provided by Research fine chemicals Industries, Mumbai. Other ingredients used in this study were of standard grade.
Preformulation studies
Fourier transform infrared (FTIR) spectroscopy
The FTIR spectra of drug and excipients were obtained to ascertain the compatibility between propranolol hydrochloride and selected polymers using FTIR spectrophotometer by Potassium Bromide (KBr) pressed pellet method [10].
Solubility studies
Solubility profile of the drug was performed in various solvents such as chloroform, propylene glycol, distilled water, methanol, acetone and Phosphate Buffer Saline (PBS) pH 5.8 [11].
Melting point of the drug
Open capillary tube method was used to determine the melting point [12].
Lambda max of propranolol hydrochloride in phosphate buffer solution (PBS) pH 5.8
Absorption maxima of propranolol hydrochloride were determined in PBS pH 5.8 [13]. Standard stock solution was prepared by dissolving 10 mg of propranolol hydrochloride in 30 ml PBS pH 5.8 followed by sonication for 10 min and volume was made upto 100 ml using PBS pH5.8. The concentration of the standard stock solution was 100μg/ml. This was scanned between 400-200 nm.
Drug compatibility with excipients
The compatibility of drug with excipients is determined using FTIR spectral analysis [14].
Calibration curve of propranolol hydrochloride in PBS pH 5.8
Dissolved 2.712g of potassium dihydrogen orthophosphate in 100 ml distilled water and 0.8g of sodium hydroxide in 100 ml distilled water separately. From the prepared solution fixed volume of potassium dihydrogen orthophosphate and sodium hydroxide was taken into 100 ml standard flask and volume was made up to 200 ml mark using distilled water [15, 16].
Preparation of stock solution
10 mg of propranolol hydrochloride in 30 ml phosphate buffer was sonicated for 10 min and the volume was made up to 100 ml mark using PBS pH 5.8 solution to get a concentration of 100μg/ml.
Preparation of standard graph
From the above solution, different concentrations were withdrawn and diluted to 10 ml with PBS pH 5.8 separately to prepare a series of concentrations from range 20-100μg/ml. The standard stock solution was scanned in the range of 400-200 nm against PBS pH 5.8 as blank. Absorbance was plotted against concentration to obtain the standard graph.
Formulation of propranolol hydrochloride topical gel
Polymers carbapol 934 (0.15%w/v) and HPMC (0.25-0.30%w/v) in distilled water was taken in a glass beaker, soaked for 24 h [17]. Methanol was added to dissolve the drug. Then the drug was added to the above solution and made upto to the required quantity using remaining distilled water, which was then continuously stirred using a mechanical stirrer. The polymeric mixture with drug was neutralized using triethanolamine, followed by the addition of other ingredients like glycerine and ethylparaben with slow continuous stirring. Then the prepared formulation was transferred to collapsible tube and stored in a cool place. Prepared formulation was subjected to homogeneity study. Required quantity of the prepared gel was diluted with distilled water. The resulting solution, pH was determined, which was previously calibrated using PBS at pH 5.8 [18, 19].
Mean spreadability
0.5 gm gel was pressed between two glass slides and then left for some time. The extent to which gel spreaded was determined [20].
Mean extrudability
The gel formulations were filled into a collapsible metal tube or aluminium collapsible tube. The tube was pressed to extrude the material and the extrudability of the formulations was checked [21].
Mean drug content estimation
Series of dilutions of the drug in methanol was made and transferred into 10 ml volumetric flask. The drug content was estimated on UV-visible spectrophotometer at 289 nm using methanol as blank [22].
In vitro drug release study
A soaked cellophane membrane was fixed on an open tube. In donor compartment, 1 gm of gel was taken and dipped in a 100 ml beaker containing drug-free PBS pH 5.8 (90 ml) as a receptor compartment and a temperature was maintained. Fixed volume of samples was taken at various intervals of time over a period of 7.5 h and the absorbances were recorded at 289 nm. The volume withdrawn at each time was replaced with drug-free PBS. The percentage of cumulative amount of drug released at various time intervals of time was calculated and plotted against time [23-25]. The kinetic models of in vitro drug release studies were plotted [26].
Ex vivo permeation comparison study
The pigskin collected was fitted to the receptor compartment and 1 gm of optimised gel (G2) containing 3 mg drug was taken in the cell and the cell was immersed in a beaker (100 ml) containing PBS pH 5.8 (90 ml) as receptor compartment. The cell was dipped in between the 90 ml pH 5.8 [27, 28]. Fixed volume of sample was taken and determined the absorbance. Fresh PBS pH 5.8 solution was introduced at each withdrawal and the graph was plotted. Similarly the ex vivo permeation comparison study was done for the prepared topical propranolol hydrochloride solution, control drug solution (drug in PBS pH 5.8) by adding 1 ml each of formulation (containing 3 mg drug) in the donor compartment and the study was performed for a maximum period of 8 h [29, 30].
Steady-state flux determination
From the above data steady-state flux (J) and enhancement ratio were found out [31, 32].
The steady-state values were then calculated from the slope value and was tabulated and statistical analysis by Student t-test was alsodone [33].
Histopathological examination
The histopathological study was done for optimised propranolol hydrochloride topical gel (G2) formulation, topical propranolol hydrochloride solution, control drug solution (drug in PBS pH 5.8). The porcine skin was collected from the slaughterhouse and was proceeded to 6 h of ex vivo permeation study [34]. After 6 h, the skin mucosa was taken and immersed in 10% formalin solution and the preserved live tissues were equally cut into 5 µm containing sections and further stained with hemotoxylin and eosin and analysed using light microscope [35, 36].
Stability study
The optimised topical Propranolol Hydrochloride gel formulation (G2) was subjected to stability studies [37].
Preformulation studies
Fourier transform infrared (FTIR) spectroscopy
FTIR spectrum of propranolol hydrochloride showed broad peak at 3302.13 cm-1, indicating the presence of alcoholic OH group of propranolol hydrochloride. A characteristic peak at 2981 cm shows the presence of aromatic CH group. A peak at 2819.93 cm-1 represents the presence of aliphatic CH. An absorption band in the range of 2031.04 cm-1 indicates the presence of C-C stretching of alkane. A peak at the range 1099.43 cm-1 represents C-O stretching. FTIR spectrum of carbapol 934 showed an absorption band in the region of 2956.87 cm-1 represents the presence of C-H stretching of alkane. A characteristic peak in the range of 1172.72 cm-1 indicates the presence of C-0 stretching. FTIR spectrum of HPMC showed a characteristic peak in the range of 2889.37 cm-1 represents the presence of C-H stretching of alkane. A peak at 1045.20 cm-1 indicates the presence of C=0 functional group. FTIR spectrum of optimised topical propranolol hydrochloride gel formulation (G2) showed a broad peak at 3300.2 cm-1, indicating the presence of alcoholic O-H group of propranolol hydrochloride. A characteristic peak in the region of 2034.90 cm-1 indicates C-C stretching of alkane. A peak present in the range of 1597 cm-1 represents the presence of C=0 group. A characteristic peak in the range of 1099.43 cm-1 indicates the presence of C-O stretching. No additional peaks were observed indicating good compatibility between drug and excipients when formulating it as a topical gel. The FTIR spectrum of the above compounds was shown in fig 1(A, B, C, D [38, 39].

Fig. 1: (A) FTIR spectrum of Propranolol Hydrochloride, (B) FTIR spectrum of carbapol 934, (C) FTIR spectrum of HPMC, (D) FTIR spectrum of optimized propranolol hydrochloride topical gel
Solubility study
The pure drug was partially insoluble in chloroform and propylene glycol and soluble in distilled water, acetone, methanol Phosphate Buffer Saline (PBS) pH 5.8 [40].
Melting point
The melting point of the drug ranges from 160-168 ⁰C [41, 42].
Lambda max of propranolol hydrochloride in phosphate buffer solution (PBS) pH 5.8
The absorption maxima of propranolol hydrochloride in PBS pH 5.8 was found to be 289 nm as shown in fig. 2(A)
Calibration curve of propranolol hydrochloride in PBS pH 5.8
The Standard calibration curve of drug was linear as shown in fig. 2(B)
Formulation of propranolol hydrochloride topical gel
The topical gel was formulated using the drug propranolol hydrochloride, which is the first-line agent for treating superficial Infantile Hemangioma and the polymer combination-carbapol 934 and Hydroxy Propyl Methyl Cellulose (HPMC) were also used [43, 44]. 0.15-0.20% w/v of carbapol 934, a synthetic polymer was used in formulating topical gel, which possesses effective gelling property and HPMC, a semisynthetic polymer used in this formulation, also enhance the gelling property. Triethanolamine act as an acid neutralizer [45, 46]. Glycerine (5 ml) acts as a permeation enhancer for topical drug delivery. Ethylparaben acts as a preservative. The topical gel is shown in fig. 2(C).

Fig. 2: (A) Lambda max of propranolol hydrochloride in PBS pH 5.8, (B) Calibration curve of propranolol hydrochloride, (C) Formulation of propranolol hydrochloride topical gel, (values are expressed as mean±standard deviation, n=3)
Characterization
Characterisation of topical gel
Homogeneity study
All the prepared topical gels were uniform in appearance [47].
Mean surface pH
The surface pH value ranges from 6.3±0.04 to 6.6±0.08, suitable for the topical application shown in fig. 3(C) [48].
Mean spreadability
The spreadability of the topical gel formulation ranges from 2.11±0.12gcm/min to 2.83±0.07 gcm/min and found to be suitable for the application shown in fig. 3(A)
Mean extrudability
The extrudability of the topical gels from the collapsible tube were also observed of which G2 formulation was easily extrudable when compared to the other formulation [49, 50].

Fig. 3: (A) Mean spreadability, (B) Mean drug content estimation, (C) mean surface pH, (Values are expressed as mean±standard deviation, n=3)

Fig. 4: In vitro drug release study and its kinetic modelling (values are expressed as mean±standard deviation, n=3)
Mean drug content estimation
Drug content values ranges from 85.27±0.23% to 94.21±0.41% for all the formulations. The drug content value was high in G2 formulation shown in fig. 3(B)
In vitro drug release study
The in vitro drug release study of different gel formulations were carried out for 7.5 h in pH 5.8 solution [52]. pH 5.8 solution resembles the normal skin pH. Temperature was maintained. The cumulative percentage drug release of various gel formulations (G1-G3) ranges from 88.90%±0.14 to 95.5%±0.15 at the end of 7.5 h. Selection of polymer is important in drug release study. The G2 gel showed highest cumulative percentage drug release that is, 95.55%±0.15 at the end of 7.5 h. The drug release profile of topical propranolol hydrochloride gel with the highest drug release pattern, (G2) was attributed to various kinetic models. The drug release kinetics fitted to zero order as the R2 regression coefficient of the model was found to be 0.984 [53, 54]. This was best fitted with koresmeyer peppas plot (n=0.628) and follows non fickian diffusion were shown in fig. 4
Ex vivo permeation comparison study
The ex vivo permeation comparison study was carried out for optimised topical propranolol hydrochloride gel formulation (G2), topical Propranolol Hydrochloride solution and control drug solution (drug in PBS pH 5.8) by open-end tube method using normal pig skin [55, 56]. The pigskin was tied on one side of open end tube and 1 gm optimised topical propranolol hydrochloride gel formulation (G2) containing 3 mg drug was placed on top of the skin mucosa and carried out the ex vivo permeation study. Fixed volume of samples was taken and analysed [57, 58]. The result of ex vivo permeation study indicated that the optimised propranolol hydrochloride topical gel formulation (G2) showed maximum permeation (i.e. 2345µg/cm2) than topical propranolol hydrochloride solution (1001µg/cm2) and control drug solution (789.61µg/cm2) as shown in fig. 5

Fig. 5: Ex vivo permeation comparison study, (values are expressed as mean±standard deviation, n=3)
Table 1: Representation of flux, enhancement ratio parameters
| S. No. | Parameters | Optimised topical propranolol hydrochloride gel (G2) | Topical propranolol hydrochloride solution | Control drug solution (drug in PBS pH 5.8) |
| 1 | Steady state flux–J (μg/cm2/h) | 4.61±0.31 | 1.97±0.22 | 1.67±0.35 |
| 2 | Enhancement ratio | 2.8 | 1.1 | - |
(Values are expressed as mean±standard deviation, n=3)
The flux value obtained for optimised propranolol hydrochloride topical gel formulation (G2) was found to be 4.61μg/cm2/h. These values depicts that the optimised propranolol hydrochloride topical gel (G2) showed greater steady-state flux value (4.61±0.31µg/cm2/h) when compared to topical propranolol hydrochloride solution (1.97µg/cm2/h) and control drug solution (1.67µg/cm2/h). The enhancement ratio of optimised propranolol hydrochloride gel was found to be 2.8 and oral propranolol hydrochloride solution as 1.1 when compared with that of the control drug solution. The ex vivo permeation parameters confirmed that the permeation of propranolol hydrochloride across the pig skin layer was significantly higher when compared to topical propranolol hydrochloride solution and control drug solution which were shown in table 1 [59].
The statistical analysis by Student t-test was performed for the data obtained from the values of different formulations. The steady state flux value of the optimized topical propranolol hydrochloride gel formulation (G2) compared to the prepared topical propranolol hydrochloride solution and control drug solution. Hence the difference is statistically significant (P<0.05) as shown in fig. 5.
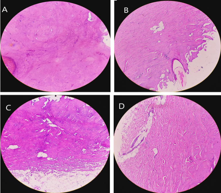
Histopathological examination
The pig skins subjected to 6 h permeation study were assessed for histopathological changes. The optimised topical propranolol hydrochloride gel formulation (G2), topical propranolol hydrochloride solution and control drug solution (drug in PBS pH 5.8) showed no significant changes in the histological pattern when compared to normal skin tissue [60]. Hence, it was found that optimised topical propranolol hydrochloride gel does not cause any irritation and was found to be safe for topical application as shown in fig. 6.

(Scale bar = 35 µicrons with 10x magnifications)
Fig. 6: Histopathological evaluation of pigskin treated with various formaulations, (A) Normal pig skin, (B) Pig skin treated with optimised topical propranolol hydrochloride (G2) gel formulation), (C) Pig skin treated with topical propranolol hydrochloride solution (D) Pigskin treated with control drug solution (drug in PBS pH 5.8)

Fig. 7: (A) Stability study showing mean surface pH, (B) Mean drug content estimation, (C) Steady-state flux determination, (Values are expressed as mean±standard deviation, n=3)
Stability study
Parameters like pH and drug content were evaluated from 0 d to 45 d at regular intervals in room temperature condition [61]. The optimised propranolol hydrochloride topical gel (G2) formulation was found to be stable at room temperature condition as shown in fig. 7(A, B)
Infantile Hemangioma (IH) is a benign vascular tumour of childhood characterized by endothelial cell proliferation. The main purpose of this study was to formulate a topical gel drug delivery system for treating IH that can bypass first-pass metabolism and nullify systemic side effects by delivering the drug directly in to the site of action. So by formulating the drug as topical gel, enhanced skin permeation was obtained. The steady-state flux were found to be higher for optimized topical propranolol hydrochloride gel formulation (G2) when compared to topical propranolol hydrochloride solution and control drug solution. Hence the formulated topical propranolol hydrochloride gel seems to be advantageous for enhanced skin delivery of first line agent propranolol hydrochloride for the treatment of Infantile Hemangioma, which could be further studied using suitable in vivo animal models.
Nil
All the authors have contributed equally.
Declared none
Anil A, Anupa MJ, Gillian R. Approach to infantile hemangiomas. Indian J Dermatol 2016;61:181-6.
Anna LB, Ilona JF. Infantile hemangioma. J Am Acad Dermatol 2006;55:671-82.
Baer AH, Parmar HA. Hemangioma and vascular malformations of the head and neck: a simplified approach. Neuroimaging Clin N Am 2011;21:641-58.
Gresham TR, Adra BF. Hemangioma and vascular malformations: current theory and management. Int J Pediatr 2012:1-10. DOI:10.1155/2012/645678.
Tina SC, Lawrence FE, Sherla F. Infantile hemangiomas: an update on pathogenesis and therapy. J Peditar 2013;131:99-108.
Anita R, Zilda N, Prado D. Infantile hemangioma: pathogenesis and mechanism of action of propranolol. J Dtsch Dermatol Ges 2017;15:1185-90.
Manesh KS, Resham J. Use of propranolol in infantile hemangioma. Indian J Drugs Dermatol 2007;3:40-52.
Price A, Rai S, Mcleod RWJ, Brichall JC. Topical propranolol for infantile haemangiomas: a systemic review. J Eur Acad Dermatol Venereol 2018;32:2083-9.
Deepinder SM, Neeraj M, Gurpreet K. Topical drug delivery systems: a patent review. J Exp Opi Ther Patents 2016;26:213-28.
Debjit B, Harish G, Pragati K. Recent advances in novel topical drug delivery system. T Pharm Inno J 2012;1:12-30.
Hong E, Fischer G. Propranolol for recalcitrant ulcerated hemangioma of infancy. Pediatr Dermatol 2012;29:64-7.
Ashni VE, Sukhdev SI, Rupinder KA, Upendra KJ. A review: topical gels as drug delivery systems. Int J Pharm Sci Rev Res 2013;23:374-82.
Loveleen PR, Tarun KG. Topical gel: a recent approach for novel drug delivery. Asian J Biomed Pharm Sci 2013;3:1-5.
Debjit B, Hareesh G, Pragati B, Duraivel S, Sampath KP. Recent advances in novel drug delivery system. Pharma Innovation 2012;1:12-31.
Karina L, Anthony J. Infantile hemangiomas: an update on pathogenesis, associations and management. Indian J Pae Dermatol 2018;19:293-303.
Poonam M, Kalyanisundarrao K, Dipti G. Formulation and evaluation of topical antifungal gel containing itraconazole. Int J Curr Pharm Res 2018;10:71-4.
Malumani M, Jianbo WU, Song JI. Efficacy of topical propranolol gel in infantile hemangioma. Acad J Ped Neonatol 2018;7:1-3.
Yuanyuan W, Xingeun Z, Yadong X, Junbozhang, Yunchuan Y, Yuangang L. Efficacy and safety of 2% propranolol hydrochloride cream for the treatment of proliferating infantile strawberry hemangioma. Indian J Pediatr 2017;84:425-9.
Arucha T, Suthida C, Nattakarn W, Pattara W. The efficacy of 0.1 % adapalene gel for use in the treatment of childhood acanthosisnigrican: a pilot study. Indian J Dermatol 2015;60:103.
Wenhu Z, Shiyinghe, Yijun Y, Dan J, Xiang C, Jinsong D. Formulation, characterization and clinical evaluation of propranolol hydrochloride gel for transdermal treatment of superficial infantile hemangioma. Drug Dev Ind Pharm J 2014;7:1109-19.
Angush G, Simusingh, Niranj G, Thomas J. Formulation and evaluation of topical niosomal gel containing a combination of benzoyl peroxide and tretinoin for anti-acne activity. Int J Nanomed 2014;10:171-82.
Karin K. Topical propranolol therapy for infantile hemangioma. Pediatr Dermatol 2012;29:154-9.
Veronique S. Propranolol for severe infantile hemangioma: follow up report. Pediatr Dermatol 2009;3:423-8.
Lakshmi PK, Devi G, Bhaskaran S, Sachidanand S. Neosomal methotrexate gel in the treatment of localised psoriasis: phase 1 and phase 11 study. Indian J Dermatol 2007;3:157-67.
Ali I, Arash I, Jonathan K. Propranolol versus corticosteroids in the treatment of infantile hemangioma: a systemic review and meta-analysis. Plast Reconstr Surg 2013;131:601-13.
Li J, Chen X, Zaho S. Demographic and clinical characteristics and risk factors for infantile hemangioma: achinese case-control study. Arch Dermatol 2011;147:1049-56.
Leaute C, Roque ED, Hubiche T, Boralevi F. Propranolol for severe hemangiomas of infancy. N Engl J Med 2008;358:2649-51.
Lou Y, Peng W, Cao Y, Xie J. The effectiveness of propranolol in treating infantile hemangiomas: a meta-analysis including 35 studies. Br J Clin Pharmacol 2013;78:44-57.
Stefan P, James B. Anhydrous carbapol polymer gels for the topical delivery of oxygen/water-sensitive compounds. Int J Pharm Dev Tech 2000;2:249-55.
Yin Z, Wu Qing, Yan Hong S. Effects of carbapol 934 proportion on nanoemulsion gel for topical and transdermal drug delivery: a skin permeation study. Int J Nanomed 2016;11:5971-87.
Tamasree M, Gopa R, Sutapa B. Hydroxypropyl methyl cellulose: different aspects in drug delivery. J Pharm Pharmacol 2016;4:381-5.
Huichao W, Shouying D, Yang L. The application of biomedical polymer material hydroxyl propyl methyl cellulose in pharmaceutical preparations. J Chem Pharm Res 2014;6:155-60.
Libei S. The estrogenicity of methylparaben and ethylparaben at doses close to the acceptable daily intake in premature sprague-dawley rats. Sci Rep 2016;6:251-73.
Markus S, Andreas R, Hansjoer, Peter R. Topical treatment with propranolol gel as a supplement to the existing treatment of hemangiomas. World J Pediatr 2014;10:313-7.
Lopalco A, Ali H, Denora N, Rytting E. Oxcarbamazepine loaded polymeric nanoparticles: development and permeability studies across in vitro models of the blood-brain barrier and human placental trophoblast. Int J Nanomed 2015;10:1895-996.
Pardakhty A, Varshosaz J, Rouholamini A. In vitro study of polyoxyethylene alkyl ether niosomes for delivery of insulin. Int J Pharm 2007;328:130-41.
Stan CD, Tataringa G, Gafitanu C, Dragan M, Braha S, Popescu MC, et al. Preparation and characterization of niosomes containing metronidazole. Res J Pharm Biol Chem Sci 2013;61:1178-85.
Japan P, Brijesh P, Hardeeosingh B, Kaushal P. Formulation and evaluation of topical aceclofenac gel using the different gelling agent. Int J Drug Dev Res 2011;3:156-64.
Harish NM, Prabhu P, Charyulu RN, Gulzar MA, Subrahmanyam EVS. Formulation and evaluation of insitu gels containing clotrimazole for oral candidiasis. Indian J Pharm Sci 2009;71:421-7.
Sreeja CN, Mable SJ, Anoop KR. In situ gel: an innovative approach for safe and sustained nasal drug delivery. Int J Pharm Sci Rev 2014;24:1-7.
Roychowdhury S, Singh DH, Gupta R, Masih D. A review on the pharmaceutical gel. Int J Pharm Res Bio Sci 2012;1:21-36.
Swetha CH, Sellappan VP, Narayana RG, Nagarjuna R. Formulation and evaluation of clarithromycin topical gel. Int J Drug Dev Res 2013;5:194-202.
Jain S, Padsalg BD, Patel AK, Mokale V. Formulation, development and evaluation of fluconazole gel in various polymer bases. Asian J Pharm 2017;1:3-8.
Cristina P, Sara N, Silvia P, Patrizia S. The influence of formulation and excipients on propranolol skin permeation and retention. Biomed Res Int 2018;8:1-7.
Markus S, Andreas R, Hansjoer, Peter R. Topical treatment with propranolol gel as a supplement to the existing treatment of hemangiomas. World J Pediatr 2014;10:313-7.
Prateek CH, Rajesh ST, Umesh RA. A review on the topical gel. Int J Pharm Bio Agric 2013;4:606-13.
Sudipta DA, Arnab SA, Ananya BO. Design, development and evaluation of fluconazole topical gel. Asian J Pharm Clin Res 2015;8:132-5.
Gupta A, Mishra AK, Singh AK, Gupta V, Bansal P. Formulation and evaluation of topical gel of diclofenac sodium using different polymers. Drug Invent Today 2010;2:250-3.
Modamio CF, Lastra, Marino EL. A comparative in vitro study percutaneous penetration of β-blockers in human skin. Int J Pharm 2000;194:249-59.
Suneetha C, Uma R, Kiranmai M, Vidhyallatha C. Formulation and evaluation of transdermal drug delivery of topiramate. Int J Pharma Investig 2017;1:10-7.
Sherafudheen SP, Vasantha PV. Development and evaluation of in situ nasal gel formulations of loratadine. Res Pharm Sci 2015;10:466-76.
Andre L, Aline G, Monica E. Evaluation of skin absorption of drugs from topical and transdermal formulations. Braz J Pharm Sci 2016;3:528-44.
Chantasart D, Hao J, Li S. Evaluation of skin permeation of β-blockers for topical drug delivery. Pharm Res 2013;30:866-77.
Kumar MV, Aravindram AS, Rohitash K, Gowda DV, Parjanya K. Formulation and evaluation of in-situ gel of bromhexine hydrochloride for nasal delivery. Der Pharma Sin 2012;3:699-707.
Kute JU, Darekar AB, Saudagar RB. In situ gel-novel approach for nasal delivery. World J Pharm Pharm Sci 2013;3:187-203.
Mandal S, Thimmasetty MK, Prabhushankar GL, Geetha MS. Formulation and evaluation of an insitu gel-forming ophthalmic formulation of moxifloxacin hydrochloride. Int J Pharma Investig 2012;2:78-82.
Ahamed U, Gihan F, Tahani EF. Performance of meloxicam niosomal gel formulations for transdermal drug delivery. Br J Pharm Res 2016;12:1-14.
Kumar PA, Singh P, Karthick K, Arulkumaran KS. Formulation and evaluation of sustained released niosomes containing pregabalin. Int J Pharm Life Sci 2013;4:2770-4.
Guadalupe N, Elizabeth P, Luis M, David Q, Adriana G. Formulation and in vitro, ex vivo and in vivo evaluation of elastic liposomes for transdermal delivery of ketorolac tromethamine. Int J Pharm 2011;3:954-70.
Aswathy SN, Vidhya KM, Saranya TR, Sreelakshmy KR, Sreeja CN. Mucoadhesive buccal patch of cefixime trihydrate using biodegradable natural polymer. Int J Pharm Pharm Sci 2014;6:366-71.
Soumya S, Doney AB, Sabitha M. Current trends in lipid-based delivery systems and its applications in drug delivery. Asian J Pharm Clin Res 2012;4:4-9.