
1I. K. Gujral Punjab Technical University, Jalandhar, Kapurthala 144603, Punjab, India, 2Central University of Jharkhand, Ranchi 835205, India
Email: abhideeps21@gmail.com
Received: 05 Jun 2020, Revised and Accepted: 22 Jul 2020
ABSTRACT
Objective: The purpose of the present investigation was to develop and optimize nitrendipine loaded niosomal gel for transdermal delivery using quality by design approach.
Methods: Niosomal formulations were developed by application of the thin-film hydration method using different ratios of span 60, cholesterol, temperature, and optimized by three factors-three levels Box-Behnken statistical design. The independent variables were non-ionic surfactant, cholesterol, and temperature, while vesicle size, polydispersity index, and entrapment efficiency were dependent variables. The nitrendipine loaded optimized formulation was incorporated into gel and evaluated for in vitro release, ex-vivo skin permeation, confocal laser scanning microscopy, and histopathological studies.
Results: The optimized formulation showed the vesicular size of 226.1±4.36 nm, polydispersity index of 0.282±0.012, and entrapment efficiency of 95.34±3.18% with spherical morphology. The optimized niosomal gel formulation showed transdermal flux 127.60 µg/cm2h through albino Wistar rat skin. Niosomal gel was proved significantly superior by confocal laser scanning microscopy for satisfactory permeation and distribution of gel, deep into the rat skin. Furthermore, dermal safety was confirmed by histopathological studies for transdermal application.
Conclusion: It was concluded that the developed niosomal gel overcomes the limitation of low penetration through rat skin and could be a potential nano vesicular system for transdermal delivery.
Keywords: Niosomal gel, Nitrendipine, Box-Behnken design, Transdermal delivery, Confocal laser scanning microscopy, Histopathological studies
© 2020 The Authors. Published by Innovare Academic Sciences Pvt Ltd. This is an open access article under the CC BY license (http://creativecommons.org/licenses/by/4.0/)
DOI: http://dx.doi.org/10.22159/ijap.2020v12i5.38639. Journal homepage: https://innovareacademics.in/journals/index.php/ijap
Hypertension is a chronic condition responsible for a cardiovascular event and is ranked the third most important cause of public health issues in developed countries [1, 2]. Globally, more than one billion adults, and by 2025, 1.5 billion populations are estimated to get effected by uncontrolled hypertension [3]. Genetic and synergistic factors like stress, tobacco, alcohol intake, sedentary lifestyle, smoking, and obesity play a remarkable role in hypertension [4]. Various classes of drug and treatment have been advocated for the control of hypertension, due to its incidence and morbidity. Treatment with antihypertensive agents decreases cardiovascular events such as heart attack, heart failure, and stroke [5, 6]. In the past decades, calcium channel blockers have been well established in the management of coronary heart disease by inhibiting calcium ion entry into a cardiac and vascular smooth muscle to promote vasodilatation [7, 8].
Nitrendipine (3-ethyl-5-methyl-1, 4-dihydro-2,6-dimethyl-4-(3-nitrophenyl)3,5-pyridine dicarboxylate) a calcium channel antagonist, is used to treat the patients with mild or persistent hypertension [9, 10]. Nitrendipine is given with oral doses of 5-20 mg/day and classified as BCS (biopharmaceutical classification system) class II drug with high lipophilicity. Its systemic bioavailability is low and erratic i.e. 10-20% due to extensive first-pass metabolism after oral administration. It was stated that dissolution is a rate-limiting step that results in inter-subject pharmacokinetic variability while taken orally. Nitrendipine appears to have different effects on calcium ion kinetics than that of conventional calcium antagonists without negative ionotropic effects and it does not affect impulse conduction and generation [11, 12].
In this context, numerous novel approaches have already been explored by formulating a transdermal patch [13] and nanoformulations [14-17] with a limited outcome. All these above formulations enhanced bioavailability and solubility of the class-II drug but reported drug expulsion during storage with less loading capacity. Despite using the approaches stated above, the use of niosome as nanocarrier offers several advantages like; improved pharmacokinetics and biodistribution, depot to release the drug slowly, increased therapeutic potential by retaining to the target site, deep penetration in stratum corneum by acting as a penetration enhancer and greater stability [18, 19]. Niosomes are structurally similar to liposome, but low cost and greater stability of surfactant make them an ideal alternate over liposome. Recently, there has been growing interest in the vesicular systems with bilayer membranes for potential drug delivery. Niosomes are composed by self-association of non-ionic surfactant and cholesterol in the aqueous phase. Niosomes show an effective novel drug delivery due to its unique structure, high stability, long shelf-life, and capacity to encapsulate lipophilic and hydrophilic drugs. The niosomes are biodegradable, non-immunogenic, biocompatible, and magnificent polymeric vesicle that shows a wide range in the sustained and targeted delivery [20, 21]. The stratum corneum is the outermost layer of the skin, which acts as the greatest obstacle in the crossing of drug and vaccine due to its anatomical peculiarities [22]. The vesicle’s interaction with stratum corneum leads to adherence, aggregation, and fusion by creating the driving force for the penetration of lipophilic drugs [23]. The low oral bioavailability, low dose, low molecular weight (360.4), extensive first-pass effect, lipophilic nature (octanol/water partition coefficient 2.88) indicates that nitrendipine might be a good choice as a drug candidate for transdermal delivery [15]. By using three-factor three-level Box-Behnken statistical design, no specific research report available, hence in the present investigation, niosomal gel for transdermal delivery was prepared and evaluated.
The primary objectives of the present investigation were to (a) explore the feasibility of niosome as a carrier for transdermal delivery (b) optimization by using three-factor three-level Box Behnken statistical design (c) determine the size, polydispersity index (PDI) and entrapment efficiency (EE) (d) investigate deep penetration into the rat skin by confocal laser scanning microscopy (CLSM) (e) perform ex-vivo permeation through rat skin (f) ensure safety for dermal application by histopathological studies.
Materials
The following materials were procured from the indicated sources devoid of any further purification. Nitrendipine was purchased from Wuhan Jing Chu Chen Pharmaceutical, Chemical Co Ltd, China. Span 60 was purchased from Sigma-Aldrich-S7010 MSDS and cholesterol was supplied by Loba chemicals. Carbopol 934P was obtained from Lubrizol Life Sciences and Triethanolamine was purchased from Fisher Scientifics. All other chemicals and reagents used were analytical grade.
Animals
The animals used were male albino Wistar rats (body weight 180-250 g) obtained from central animal facility NIPER, Mohali. The animal experiment protocol was evaluated and approved by the Committee for the purpose of Control and Supervision of Experiments on Animals (CPCSEA), Government of India, and Institutional Animal Ethics Committee (IAEC), L. R Institute of Pharmacy, Solan (LRIP/IAEC/2018/PH-2). Rats were housed in polypropylene cages three per cage and nourished with a standard rat chow diet and water ad libitum. Animals were kept at temperature 25±2 °C and relative humidity (55±5%) with 12 h light/dark cycle by following the guidelines of laboratory animal care.
Methods
Preparation and optimization of niosome
The niosomal formulations were prepared by the thin-film hydration method and optimized by box-behnken statistical design. The sorbitan esters have gained much attention; therefore, the most commonly used non-ionic surfactants (NIS) in the niosomal formulations. In the present research span 60 was selected as one of the NIS of choice for the preparation of vesicles [24]. The inclusion of cholesterol offers an increase in hydrodynamic diameter and thus leads to greater stability of surfactant by promoting gel liquid transition temperature of vesicle [18, 25]. Briefly, in 250 ml round bottom flask cholesterol, span 60 and nitrendipine were dissolved in diethyl ether. The organic solvent was then evaporated under reduced pressure by rotatory flash evaporator until dry, thin, and uniform film obtained. The thin lipid film thus deposited was hydrated with phosphate-buffered saline (pH-7.4) at room temperature to get niosomal dispersion. Further, the dispersion was sonicated using a probe sonicator (PKS 750F, PCi Analytica), four cycles of 30 s to convert multilamellar vesicles into desired size unilamellar vesicle [26, 27].
Experimental design
The optimization of the prepared formulations was done by using 3-factor 3-level box-behnken statistical design (BBD) using Design Expert 11 (32-bit) software (Stat-Ease Inc., Minneapolis, USA). The design of the experiment is a technique developed to evaluate potential factors simultaneously, systematically, and speedily. The BBD is based on three-level incomplete factorial design and belongs to the class of rotatable or nearly rotatable second-order design [28, 29]. It provides modeling of the response surface by assessing the risk and critical process parameters. This design is mostly used because it requires a comparatively small number of runs then compares to central composite design in the case of three independent variables. The design was used to employ the effect of independent variables on dependent variables. The design showed seventeen experimental runs, for which the software-generated quadratic equation is termed as:

In which, Y is the measured response related to dependable variables; β0 is constant; β1, β2, β3 are linear coefficients, β12, β13, β23 are interaction coefficients among three factors whereas β11, β22, β33 represent the quadratic coefficient. In this, A, B, and C are independent variables [27, 30], and the concentration range of the independent variables along with their different levels is listed in table 1.
Table 1: Detail on the variables used for the preparation of nitrendipine niosomes by box-behnken design
| Factors | Levels | ||
| Independent variables | Low | Medium | High |
| A = Span 60 (mM) | 3 | 4 | 5 |
| B = Cholesterol (mM) | 1 | 3 | 5 |
| C = Temperature ( °C) | 40 | 50 | 60 |
| Dependent Variables | Goals | ||
| Y1 = Vesicle size | Minimize | ||
| Y2 = Entrapment efficiency | Maximize | ||
| Y3 = Polydispersity index | Minimize | ||
The selected independent variables to carry out the experimental study were span 60 (A), cholesterol (B), and temperature (C), whereas vesicle sizes (Y1), entrapment efficiency (Y2), and polydispersity index (Y3) were dependable variables. The responses were evaluated using Analysis of variance (ANOVA) and linear regression by comparing the actual value with the predicted value. 3-D response surface graphs and contour plots were generated using design expert software to assess the effect of an independent variable on the dependent variable. The optimized formulation was selected based on vesicle size, entrapment efficiency, polydispersity index, and converted to gel for further studies [27, 31].
Characterization of optimized nitrendipine niosomes
Vesicle size and polydispersity index
The vesicular size and polydispersity index of nitrendipine loaded niosomes were determined by photon correlation spectroscopy, using Zetasizer (Malvern version 7.11 at 25 °C instrument U. K), which is based on the principle of dynamic light scattering (DLS) method [31, 32]. PDI was used to determine the width of size distribution and the value of PDI less than 0.4 indicates the homogenous and a monodisperse population [33, 34].
Entrapment efficiency
The entrapment efficiency of nitrendipine loaded niosomal formulation was estimated by the cooling centrifugation method. The prepared niosomal dispersion was poured into the stopper tube and centrifuged at 10,000 rpm at 4 °C for 90 min and followed by filtration to get a clear fraction. The free drug concentration in the supernatant was assayed by UV spectrophotometer. The percent drug entrapped was calculated by using the following equation [35, 45]

Morphology of nitrendipine loaded niosomes
The morphological characteristics of the prepared vesicles were examined by using transmission electron microscopy (Philips CM-10, USA). The concentration of vesicles was reduced by diluting it with fivefold bidistilled water. One drop of the sample was pulled on to the carbon-coated copper grid and was negatively stained with 1% phosphotungstic acid before allowing it to dry as a thin film. Further, a piece of filter paper was placed to remove an excess of dispersion; the sample was air-dried and examined under the microscope to obtain images [33].
Preparation of nitrendipine niosomal gel
The insufficient viscosity and inadequate retention of niosomal dispersion on the skin for a prolonged period of time, niosomal dispersion was converted into the gel. The optimized formulation of the niosome was selected based on vesicle size, entrapment efficiency, and polydispersity index. A gel base was prepared by adding 1 % w/w carbopol 934 P in distilled water with continuous stirring and was kept overnight for complete humectation of the polymer chain. Nitrendipine loaded niosomal dispersion equivalent to 10 mg was added with continuous stirring to carbopol solution for complete hydration. Triethanolamine (TEA) was added dropwise under gentle stirring with a glass rod to get the desired pH [36]. Rhodamine loaded niosomal gel was prepared similarly as mentioned above for confocal laser scanning microscopy.
Evaluation of nitrendipine niosomal gel
Physical appearance
The prepared gel formulation was inspected for clarity, consistency, and homogeneity by visual inspection and also examined for the occurrence of any clumps or aggregates.
Measurement of pH and viscosity
This study was carried out to guarantee that the pH of developed niosomal gel is near to human skin pH. The pH of the optimized gel formulation was measured by using digital pH meter (Esico.1012, Potent Water Care, Pvt. Ltd) at room temperature by bringing into contact with the prepared gel for 1 min and allows pH value to stabilize [24]. The viscosity of nitrendipine niosomal gel was determined by using a digital Acutek A220B viscometer with an RH3 spindle at 25±2 °C. The values were measured in triplicate to obtain a mean value.
Drug content
The nitrendipine loaded formulations were subjected to assay by analyzing it in a UV spectrophotometer. The drug content was quantified by dispersing 1 g gel in 25 ml of methanol and centrifuged at 15000 rpm at 4 °C for 30 min. The analysis was done in triplicate and the percentage drug content was calculated [37].
In vitro drug release
In vitro drug release study was performed to select the best formulation for ex-vivo permeation by employing the paddle method using pH 7.4 phosphate buffer to mimic skin condition. A dialysis membrane was washed and soaked in distilled water to ensure complete swelling for providing constant pore diameter during the experiment. The vessel was filled with 500 ml phosphate buffer pH 7.4 and a speed of 50 rpm and a temperature of 32±1 °C was maintained throughout the experiment [27]. The niosomal gel equivalent to 10 mg of nitrendipine was placed on the dialysis membrane (molecular weight cut off 12000 Da) and was immersed at bottom of USP dissolution tester (Frontline electronics, Ahmedabad, India). Further, an aliquot of 1 ml from the receptor medium was withdrawn at different time intervals (0.5, 1, 2, 3, 4, 6, 8, 10, 12, and 24 h) and immediately replaced with an equal quantity of fresh buffer solution to maintain sink condition [35]. The samples were analyzed for drug content by the U. V spectrophotometer and the amount of drug release was calculated as a function of time. The goodness of fit for zero-order, first-order model [38], Higuchi’s matrix model [39], and Korsmeyer-Peppas [40] was evaluated for drug release. For each model, the correlation coefficient (R2) was measured and the model giving value near to 1 was selected as the best fit model for drug release.
Ex-vivo permeation study
Male albino Wistar rats weighing 180-250 g were sacrificed and the fatty layer adhering to dermis was removed carefully by surgical scalpel [41]. Skin permeation of nitrendipine from niosomal gel formulation was studied by vertical type Franz cell (Orchid Scientific, J-FDC-07). The excised rat skin with proper dimension was mounted between two compartments of diffusion cell with the stratum corneum facing the donor compartment and dermis towards the receiver cell. The temperature of the receptor compartment (Phosphate buffer pH 7.4) was maintained at 37±1 °C and agitated with a small magnetic bead at 100 rpm [42]. An amount of niosomal dispersion, niosomal gel, and plain gel equivalent to 10 mg of the drug was placed in a donor cell and covered with aluminum foil to provide the occlusive condition. At different time intervals (0.5, 1, 2, 3, 4, 6, 8, 10, 12, 24 h) 1 ml of aliquot was withdrawn and analyzed by U. V Spectrophotometer and every time receptor compartment was replenished with the same amount of fresh buffer.
Permeation data analysis
The amount of drug permeated through the rat skin (Q, µg/cm2) was plotted as a function of time for developed niosomal gel. The flux at steady state (Jss, µg/cm2 h) was calculated from the slope of the linear portion by plotting the amount of drug permeated per unit area of skin versus time [43].
Confocal laser scanning microscopy (CLSM)
CLSM offers several advantages over light optical microscopy by providing three-dimensional images from thick rat skin [44]. It is used to examine the fluorescence signal of the optimized batch at different skin depths. The optimized niosomal formulation loaded with Rhodamine red (0.03%) and Rhodamine red solution (5 mg/ml) was applied to the dorsal skin of albino Wistar rat homogeneously and non-occlusively. The experiment was done in the same manner as mentioned under ex-vivo permeation studies. After 8 h, excised rat skin was washed with distilled water, sliced into the small pieces, and was mounted on the slide with stratum corneum facing CLS microscope upward. The CLSM (Olympus, FV-1000) studies were inspected by an argon laser beam with excitation at 488 nm and emission at 590 nm [27, 31].
Skin irritation and histopathological studies
The skin irritation test for optimized niosomal gel was performed using male albino Wistar rats. On the dorsal side, hairs of rat skin were removed 24 h before this portion of the experiment by electric clipper and were divided into three groups. The group I served as normal control (without treatment), group II treated with niosomal dispersion, niosomal gel was applied to group III [48, 46]. After 24 h, the application site was investigated for dermal reaction and graded zero to four using a visual scoring scale. The irritancy index was calculated as a sum of edema and erythema score for each group. Optimized formulation considered safe for dermal application if the irritation score is less than 2, irritant 2-5, and severely irritant when observed between 5 to 8 [24]. Further, histopathological studies were carried out on skins after sacrificing Wistar rats. The skin was separated, stored in 10 percent formalin until used for studies. The skin samples were dehydrated with ethanol stained with hematoxylin and eosin and investigated for any variation in rat skin under a light microscope and compared [27].
Stability studies
Stability studies for optimized niosomal gel were performed to determine any physical or chemical changes when subjected to different temperature i.e. 40±2 °C/75±5 % and 25±2 °C/60±5% relative humidity (RH). Periodically samples were withdrawn and analyzed for clarity, pH, and drug content at an interval of 1 or 2 mo [47, 49].
Statistical analysis
The optimized niosomal gel was analyzed by applying 1-way ANOVA followed by Tukey’s multiple comparisons test and accomplished using GraphPad Prism 6 software. All experiments were performed in triplicate and results were confirmed to be significant with a p-value less than 0.05 (p<0.05) [26].
Fitting of experimental data to model
A three-factor three-level Box-Behnken statistical design was employed and all individual and interactive effects of independent variables were examined. Niosomes were optimized by constructing a second-order polynomial equation with quadratic responses for dependent variables. The responses were analyzed based on a sequential model sum of squares, lack of fit, and model summary statistics. Probe more than the F-value of P<0.0001; lower predicted residual error, low standard deviation, and high R-squared suggested a quadratic model for responses. A series of experimental runs were generated and responses are shown in table 2. The significant difference among independent variables A, B, and C was investigated using analysis of variance (ANOVA). The interaction impact of factors (A, B, C) on responses (Y1, Y2, and Y3) is quantitatively plotted by using three-dimensional response surface plots and contour plots to assess their usefulness in monitoring the effect of two factors on one response at a time.
Table 2: Detail on the observed response inbox-behnken design for niosomes using design expert software
| Run | Independent variables | Dependent variables | ||||
| A (Span 60) | B (Cholesterol) | C (Temperature) | Y1 (Vesicle size) (nm) | Y2 (EE) (%) | Y3 (PDI) | |
| NIF1 | 4.00 (0) | 3.00 (0) | 50 (0) | 345.5±5.71 | 85.15±1.89 | 0.383±0.02 |
| NIF2 | 3.00(-1) | 3.00 (0) | 40 (-1) | 556.2±3.92 | 84.69±1.33 | 0.453±0.04 |
| NIF3 | 4.00 (0) | 3.00 (0) | 50 (0) | 360.1±8.20 | 87.38±2.76 | 0.376±0.02 |
| NIF4 | 4.00 (0) | 1.00 (-1) | 40(-1) | 566.2±4.07 | 80.97±1.23 | 0.478±0.02 |
| NI F5 | 5.00(+1) | 1.00 (-1) | 50 (0) | 320.1±2.96 | 90.61±3.45 | 0.382±0.01 |
| NIF6 | 5.00(+1) | 3.00 (0) | 60(+1) | 264.5±8.32 | 94.99±1.20 | 0.257±0.03 |
| NIF7 | 3.00(-1) | 3.00 (0) | 60(+1) | 230.5±10.1 | 90.74±2.34 | 0.227±0.02 |
| NIF8 | 4.00 (0) | 5.00(+1) | 60(+1) | 230.4±5.85 | 91.99±2.12 | 0.268±0.05 |
| NIF9 | 4.00 (0) | 3.00 (0) | 50 (0) | 362.2±9.71 | 80.77±3.22 | 0.388±0.01 |
| NIF10 | 5.00(+1) | 5.00(+1) | 50 (0) | 445.3±7.40 | 84.56±1.23 | 0.423±0.01 |
| NIF11 | 3.00 (-1) | 1.00 (-1) | 50 (0) | 394.3±5.31 | 82.87±2.45 | 0.398±0.03 |
| NIF12 | 3.00 (-1) | 5.00(+1) | 50 (0) | 366.0±7.48 | 85.52±1.30 | 0.368±0.02 |
| NIF13 | 4.00 (0) | 3.00 (0) | 50 (0) | 334.2±4.69 | 80.04±3.46 | 0.381±0.02 |
| NIF14 | 4.00 (0) | 3.00 (0) | 50 (0) | 325.1±6.51 | 80.04±2.33 | 0.384±0.01 |
| NIF15 | 4.00 (0) | 5.00(+1) | 40 (-1) | 565.7±6.16 | 86.04±4.12 | 0.467±0.01 |
| NIF16 | 4.00 (0) | 1.00 (-1) | 60 (+1) | 235.6±7.12 | 95.97±2.12 | 0.241±0.03 |
| NIF17 | 5.00(+1) | 3.00 (0) | 40 (-1) | 488.6±5.90 | 87.37±1.11 | 0.457±0.02 |
| Opt-F | 4.52 | 1.85 | 60 | 226.1±4.36 | 95.34±3.18 | 0.282±0.01 |
Data from each response is presented in mean±SD (n = 3)

Fig. 1: Three-dimensional plots for vesicle size (a-c), entrapment efficiency (d-f) and polydispersity index (g-i) image revealing effects of independent variables (A= Span 60; B= Cholesterol; C= Temperature) on dependent variables
Response 1 (Y1): effect of the independent variable on vesicle size
Vesicle size of niosomal formulation is an important criterion in transdermal drug delivery. The model F-value of 37.14 indicates the model was significant with only a 0.01 % chance that a “model F-value” this large could occur due to noise. The value of “Probe>F” less than 0.0500 implies model terms were significant and in this case, C, AB, C2were significant model terms. Values greater than 0.1000 revealed the model terms were not significant. The “Lack of Fit F-value” of 4.10 pointed the lack of Fit was not significant relative to the pure error with only a 10.31 % chance that this large could occur due to noise. The “predicted R-squared” of 0.7444 was in reasonable agreement with an “adjusted R-squared of 0.9531. Niosomal formulation comprised of different concentrations of surfactant showed significant variation in vesicle size. The minimum and maximum vesicle size for developed nitrendipine loaded niosomal formulations were found 230.4 nm for NIF 8 and 566.2 nm for NIF 4, respectively (table 2). The quadratic equation for response Y1 to represent the relationship is shown as:

The negative value of A and C in the equation represents vesicle size decreases as the concentration of span 60 and temperature is increased, whereas positive coefficients were observed with B such that vesicle size increases at a high concentration of cholesterol. The possible reason behind this could be increased hydrophobicity of the bilayer membrane, which results in an increase in vesicle size. At a high concentration of span 60, the cholesterol content and non-ionic surfactant are in close packing, which results in the formation of micellar structure hence, size is reduced [27, 35]. Results obtained by this model for vesicle size represented by 3-dimensional response surface plots fig. 1 (a-c) and contour plots are shown in fig. 2 (a-c).
Response 2 (Y2): effect of the independent variable on entrapment efficiency
The entrapment efficiency is a percentage fraction of the entire drug engaged within the vesicles. Developed formulations were found in the range of 80.04% to 95.97% for NIF14 and NIF 16, respectively. The model F-value of 4.860 indicated that the model is significant, with only 2.45 % chance that “model F-value” this large could occur due to noise. The value of “Probe>F” less than 0.0500 implies model term is significant and in this case C, C2were significant model terms. The “Lack of Fit F-value” of 0.270 shows the lack of Fit was not significant relative to the pure error with only 84.71 % chance that this large could occur due to noise. The “predicted R-squared” and “adjusted R-squared” were found to be 0.4530 and 0.6848 respectively and following quadratic equation was obtained-

Form the above equation it was observed that independent variables A (span 60) and C (Temperature) have a direct positive effect on entrapment efficiency while B (cholesterol) shows negative relation with entrapment efficiency. The non-ionic surfactant leads to a decrease in leakage of drug from vesicles and results in increased entrapment of drug within the vesicle. The increased content of cholesterol may compete with the drug to entrap within the bilayer, which excludes the drug and shows negative relation [24, 35]. Results were examined by this model for entrapment efficiency represented by 3-dimensional response plots fig. 1 (d-f) and contour plots as given in fig. 2 (d-f).

Fig. 2: Contour plots for vesicle size (a-c), entrapment efficiency (d-f) and polydispersity index (g-i) image revealing effects of independent variables (A= Span 60; B= Cholesterol; C= Temperature) on dependent variables
Response 3 (Y3): effect of the independent variable on polydispersity index
The degree of homogeneity of the size distribution of particle is described by the polydispersity index. All niosomal formulations shown polydispersity index with narrow size distribution and observed within the range of 0.227 to 0.478 (table 2). The model F-value of 812.11 implies that the model is significant with only a 0.01 % chance that “model F-value” this large could occur due to noise. The value of “Probe>F” less than 0.0500 implies model term is significant in this case A, B, C, AB, AC, BC, B2, C2were significant model terms. The “Lack of Fit F-value” of 0.323 shows the lack of Fit was not significant relative to the pure error with only an 80.94% chance that this large could occur due to noise. The “predicted R-squared” and “adjusted R-squared” were found to be 0.995 and 0.997 respectively and following quadratic equation was obtained-

The results pointed, with increasing concentration of independent variable (Factor A) polydispersity index increased. The independent variable (Factor B) was found to have a positive effect initially and reduces with further increase. The polydispersity index was observed negative with the independent variable (Factor C) and reflecting improved homogeneity in niosomal formulation [50]. Results were examined by this model for the polydispersity index represented by 3-dimensional response plots fig. 1 (g-i) and contour plots given in fig. 2 (g-i).
Optimization of nitrendipine loaded niosomes
The point prediction method of design expert software was employed to optimize the developed nitrendipine loaded niosomal formulations. The optimized niosomal formulation was selected based on the criteria of attaining maximum entrapment efficiency with minimum globule size and polydispersity index. Hence, to verify the model optimum checkpoint formulations were prepared and their evolutions were found within the limits. Upon “trading off” various value of response variables, evaluation of feasibility search and exhausted grid search, formulation with span 60 (4.52 mmol), cholesterol (1.85 mmol), and temperature (60 °C) was found to full fill the requisites for an optimum formulation. The optimized value for each dependent variable Y1, Y2, and Y3 were found to be 226.1±4.36 nm, 95.34±3.18 %, and 0.282±0.012 respectively. The selected optimized formulation was converted into the gel and evaluated for further transdermal efficiency.
Morphology of nitrendipine loaded niosomes
To assess particle size distribution (fig. 3a) and morphological characteristics (fig. 3b) of niosomes, transmission electron microscopy was performed.

Fig. 3: (a) Vesicle size distribution (b) Transmission electron microscopy of nitrendipine optimized formulation
The spheres like the shape of vesicles with sharp boundaries were obtained. In contrast, the core and outline of nitrendipine loaded niosomal formulation were well identified and displayed sealed vesicular structure [27].
Characterization of optimized niosomal gel
The prepared gel was observed clear and smooth. No aggregate or clumps observed in all prepared formulation and exhibit homogenous nature. The pH and drug content for optimized niosomal gel was found to be 6.26±0.208 and 99.91±0.288 respectively. The result for viscosity (11.87±1.77 PaS) of optimized formulation was found satisfactory for transdermal application.
In vitro release profile of nitrendipine niosomal gel
Loaded drug from the niosomal vesicular system was carried into the medium by diffusion through cellophane membrane. The results pointed out that, drug encapsulated gel formulations show rapid release initially and then sustained release in the late hours of study.
Table 3: Detail on the in vitro release data to the different mathematical model for an optimized gel formulation
| Model | Equation | R2 |
| Zero-order | ![]() |
0.765 |
| First-order | ![]() |
0.824 |
| Higuchi matrix | ![]() |
0.945 |
| Korsmeyer-Peppas | ![]() |
0.929 |
| Best Fit Mode | Higuchi Model |
The in vitro release data thus obtained for optimized niosomal gel was fitted into different mathematical release models. The highest value of the correlation coefficient (R2) would be selected best-fit model for release. The results obtained are listed in table 3 and the advocated best-fit model for optimized gel was Higuchi matrix model where it showed the highest R2value of 0.945. Results confirm the sustained delivery of the drug from niosome for a prolonged period with a diffusion control pattern and found in the agreement with results obtained and reported by previous research studies [24]. Thus, considering the above outcome, the optimized niosomal gel was selected for ex-vivo permeation studies.
Ex-vivo permeation study
The ex-vivo permeation study of niosomal dispersion, optimized niosomal gel, and the plain gel was examined through albino Wistar rat skin. The steady-state transdermal flux was determined by plotting the graph between the cumulative amounts of drug permeated versus time and compared. The transdermal flux for niosomal dispersion, optimized niosomal gel and plain drug gel at the end of 24 h was found to be 141.40±2.31, 127.60±3.17 and 88.73±1.67 µg/cm2 hrespectively (fig. 4). The results demonstrated increased flux value for niosomal gel (P<0.05) than compared to plain drug gel. The above outcome justifying the fact of span 60 as a permeation enhancer in niosomal formulation, which resulted in reduced crystallinity of the lipid bilayer of the skin, thus improve permeation through rat skin. There was no significant difference in niosomal formulation (P>0.05). It was found that niosomal gel has a lower transdermal flux than comparing to niosomal dispersion, which may be due to the high viscosity of the gel formulation. These research findings are supported with a previous study reported in literature whereby gel formulation was favored over niosomal dispersion due to its suitability on the skin surface [26].

Fig. 4: Percent drug diffused through rat skin for nitrendipine plain gel, niosomal dispersion and optimized niosomal gel (mean±SD; n = 3)
Confocal laser scanning microscopy (CLSM)
The Rhodamine red (RR) dye was entrapped to investigate the penetration behavior of optimized niosomal gel formulation through stratum corneum, as it is a rate-limiting step in transdermal delivery of the drug. CLSM results demonstrate niosomal formulation was adequately and evenly distributed through different layers of skin with high fluorescence intensity. Fig. 5 (A, B) displays the transdermal potential of nitrendipine niosomal gel in deeper levels of the skin. The maximum depth after a transdermal application was observed with optimized niosomal gel formulation than compare to rhodamine red solution through rat skin. The outcome of the above results proved improved skin penetration potential of optimized niosomal formulations for transdermal drug delivery [27, 42].

Fig. 5: Confocal laser scanning microscopy images showing distribution and deep penetration of Rhodamine red through rat skin when treated with (A) Niosomal gel (B) Rhodamine red solution
Table 4: Detail on the skin irritation scores after transdermal application of niosomal gel on Wistar rats
| Untreated control | Niosomal dispersion treated | Niosomal gel treated | |||
| Rat No | Erythemaa | Edemab | Erythemaa | Edemab | Erythemaa |
| 1 | 0 | 0 | 2 | 1 | 1 |
| 2 | 0 | 0 | 1 | 1 | 1 |
| 3 | 0 | 0 | 1 | 1 | 1 |
| 4 | 0 | 0 | 2 | 1 | 1 |
| 5 | 0 | 0 | 0 | 1 | 1 |
| 6 | 0 | 0 | 1 | 1 | 1 |
| Averag | 0 | 0 | 1.16±0.68 | 1.00±0.0 | 1.00±0.0 |
mean±SD; n=6, aErythema scale: 0, none; 1, slight; 2, irritant; 2-5 and severely irritant 5 to 8, bEdema scale: 0, none; 1, slight; 2, irritant; 2-5 and severely irritant 5 to 8
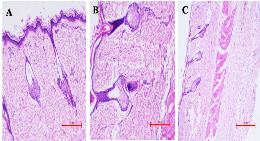
Results confirmed no significant changes in rat skin treated with niosomal dispersion and niosomal gel than compared with normal control skin (fig. 6 A-C) and shows defined dermal, epidermal, and keratin layers. Hence, nitrendipine loaded niosomal gel was confirmed safe and non-irritant for transdermal application without any inflammation [26, 27].

Fig. 6: Histopathological cross-sections of rat skin stained with haematoxylin and eosin (A) untreated (control), (B) niosomal dispersion treated (C) optimized niosomal gel treated
Stability study
Stability studies were carried out for optimized gel formulation by following ICH guidelines. The optimized niosomal gel formulation was kept under the stressed condition of temperature and humidity and evaluated for clarity, pH, and drug content. There were no significant changes observed in the formulation and found physically stable in both stressed conditions.
In the present investigation, nitrendipine loaded niosomal gel was successfully prepared by the thin-film hydration method. Developed formulation was optimized by box-behnken statistical design to achieve desired properties using different ratios of span 60 and cholesterol, whereas the addition of carbopol 934P found to produce niosomal gel with suitable viscosity for transdermal application. The optimized formulation showed satisfactory vesicle size, polydispersity index, and enhanced entrapment efficiency. Further, confocal laser scanning microscopy confirmed the deep penetration of optimized gel through rat skin. In vivo histopathological investigation justifies nitrendipine niosomal gel system to be a safe, effective, and potential surrogate carrier for transdermal delivery. Niosomal gel was found stable in both elevated conditions of temperature and relative humidity. The present study reveals niosomal gel could be a suitable carrier for transdermal delivery of nitrendipine.
We acknowledge Punjab Technical University and L. R. College of Pharmacy for guidance and support in carrying out research. We also acknowledge NIPER Mohali for carrying out CLSM studies and providing animals for research.
Nil
All the authors have contributed equally.
The authors do not have any declarations of interest.
Gamez GG, Roales Nieto JG, Luciano AG, Pedro EM, Marquez Hernandez VV. Longitudinal study of symptoms beliefs in hypertension. Int J Clin Heal Psychol 2015;15:200-7.
Anchala R, Kannuri NK, Pant H, Khan H, Franco OH, Angelantonio ED, et al. Hypertension in India: a systematic review and meta-analysis of prevalence, awareness, and control of hypertension. J Hypertension 2014;32:1170-7.
Kepekci Tekkeli SE. Development of an HPLC-UV method for the analysis of drugs used for combined hypertension therapy in pharmaceutical preparations and human plasma. J Anal Methods Chem 2013:1-10. https://doi.org/10.1155/2013/ 179627.
Singh S, Shankar R, Singh GP. Prevalence and associated risk factors of hypertension: a cross-sectional study in urban Varanasi. Int J Hypertension 2017:1-10. DOI:10.1155/ 2017/5491838
Badyal DK, Lata H, Dadhich AP. Animal model of hypertension and effect of drugs. Indian J Pharmacol 2003;35:349-62.
Freeman AJ, Vinh A, Widdop RE. Novel approaches for treating hypertension. F1000 Res 2017;6:80.
Rossouw DS, Luus HG. Evaluation of nitrendipine channel blocker-new calcium channel blocker. South Afr Med J 1991;79:379-81.
Goa KL, Sorkin EM. Nitrendipine a review of its pharmacodynamics and pharmacokinetic properties and therapeutic efficacy in the treatment of hypertension. Drugs 1987;33:123-55.
Shang D, Wang X, Zhao X, Huang F, Tian G, Lu W, et al. Simultaneous determination of nitrendipine and hydrochlorothiazide in spontaneously hypertensive rat plasma using HPLC with on-line solid-phase extraction. J Chromato B 2011;879:3459-64.
Venishetty VK, Durairaj C, Sistla R, Yamsani MR, Diwan PV. Development and validation of a reversed-phase HPLC method for determination of nitrendipine in rat plasma: application to pharmacokinetic studies. Bio Chromato 2007;21:363-8.
Ahad A, Shakeel F, Raish M, Al-Jenoobi FI, Al-Mohizia AM. Solubility and thermodynamic analysis of antihypertensive agent nitrendipine in different pure solvents at the temperature range of 298.15-318.15° k. AAPS PharmSciTech 2017;18:2737-43.
Tipre DN, Vavia PR. Acrylate-based transdermal therapeutic system of nitrendipine. Drug Dev Indus Pharm 2003;29:71-8.
Mittal A, Sara US, Ali A, Mohammed A. Design, development, physicochemical, in vitro and in vivo evaluation of monolithic matrix type transdermal patches containing nitrendipine. Pharm Dev Tech 2009;14:422-34.
Jain R, Patravale VB. Development and evaluation of nitrendipine nanoemulsion for transdermal drug delivery. J Biom Nanotech 2009;5:62-8.
Bhaskar K, Mohan CK, Lingam M, Mohan SJ, Venkateshwarlu V, Rao YM, et al. Development of SLN and NLC enriched hydrogels for transdermal delivery of nitrendipine: in vivo and in vitro characteristics. Drug Dev Ind Pharm 2009;35:98-113.
Xia D, Quan P, Piao H, Sun S, Yin Y, Cui F. Preparation of stable nitrendipine nanosuspension using the precipitation–ultrasonication method for enhancement of dissolution and oral bioavailability. Eur J Pharm Sci 2010;40:325-34.
Cui F, Yang M, Jiang Y, Cun D, Lin W, Fan Y, et al. Design of sustain-release nitrendipine microsphere having solid dispersion structure by quasi emulsion solvent diffusion method. J Controlled Release 2003;91:375-84.
Moghassemi S, Hadjizadeh A. Nano-niosomes as nano-scale drug delivery systems: an illustrated review. J. Controlled Release 2014;185:22-36.
Sharma D, Ali AA, Aate JR. Niosomes as novel drug delivery system: review article. Pharm Tutor 2018;6:58-65.
Kumar BS, Krishna R, Lakshmi PS, Vasudev DT, Nair SC. Formulation and evaluation of niosomal suspension of cefixime. Asian J Pharm Clin Res 2017;10:194-201.
Chen S, Hanning S, Falconer J, Locke M, Wen J. Recent advances in non-ionic surfactant vesicles (niosomes): fabrication, characterization, pharmaceutical and cosmetic applications. Eur J Pharm Biopharm 2019;144:18-39.
Hirva S, Jenisha P. Bicelle: a lipid nanostructure for transdermal delivery. J Crit Rev 2016;3:17-22.
Seleci DA, Seleci M, Walter JG, Stahl F, Scheper T. Niosomes as nano-particular drug carriers: fundamentals and recent applications. J Nanomat 2016;1-13. https://doi.org/ 10.1155/2016/7372306
El-Ridy MS, Yehia SA, Mohsen AM, El-Awdan SA, Darwish AB. Formulation of niosomal gel for enhanced transdermal lornoxicam delivery: in vitro and in vivo evaluation. Curr Drug Delivery 2018;15:122-33.
Azeem A, Anwer MK, Telegaonkar S. Niosomes in sustained and targeted drug delivery: some recent advances. J Drug Target 2009;17:671-89.
Patel KK, Kumar P, Thakkar HP. Formulation of niosomal gel for enhanced transdermal lopinavir delivery and its comparative evaluation with ethosomal gel. AAPS PharmSciTech 2012;13:1502-10.
Qumber M, Ameeduzzafar, Imam SS, Ali J, Ahmed J. Formulation and optimization of lacidipine loaded niosomal gel for transdermal delivery: in vitro characterization and in vivo activity. Biomed Pharmacol 2017;93:255-66.
Ferreira SL, Bruns RE, Ferreira HS, Matos GD, David JM, Brandao GC, et al. Box-behnken design: an alternative for the optimization of analytical methods. Anal Chim Acta 2007;597:179-86.
Singh B, Kapil R, Nandi M, Ahuja N. Developing oral drug delivery systems using formulation by design: vital precepts, retrospect and prospects. Expert Opin Drug Delivery 2011;8:1341-60.
Amir BA, Pougnet P, Hami AE. Metamodel development, embedded mechatronic systems. 1st Edition. Vol. 2; 2015. p. 151-79.
Aquil M, Kamran M, Ahad A, Imam SS. Development of clove oil based nanoemulsion of olmesartan for transdermal delivery: box-behnken design optimization and pharmacokinetic evaluation. J Mol Liquids 2016;214:238-48.
Aboelwafa AA, El-Setouhy DA, Elmeshad AN. Comparative study on the effects of some polyoxyethylene alkyl ether and sorbitan fatty acid ester surfactants on the performance of transdermal carvedilol proniosomal gel using experimental design. AAPS PharmSciTech 2010;11:1591-602.
Tavano L, Gentile L, Rossi CO, Muzzalupo R. Novel gel-niosomes formulations as multi-component systems for transdermal drug delivery. Colloids Surf B 2013;110:281-8.
Ali M, Motaal AA, Ahmed MA, Alsayri A, El-Gazayerly ON. An in vivo study of hypericum perforatum in a niosomal topical drug delivery system. Drug Delivery 2018;25:417-25.
Asthana GS, Asthana A, Singh D, Sharma PK. Etodolac containing topical niosomal gel: formulation development and evaluation. J Drug Delivery 2016;2016:1-8.
Shivhare UD, Wasnik SV. Formulation development and evaluation of niosomal gel for transdermal delivery of an antihypertensive drug. Int J Biopharm 2013;4:231-8.
Ramadan AA, Elbakry AM, Esmaeil AH, Khaleel SA. Pharmaceutical and pharmacokinetic evaluation of novel rectal mucoadhesive hydrogels containing tolmetin sodium. J Pharma Invest 2018;48:673-83.
Dash S, Murthy PN, Nath L, Chowdhury P. Kinetic modeling on drug release from controlled drug delivery system. Acta Poloniae Pharma Drug Res 2010;67:217-23.
Higuchi T. Mechanism of sustained-action medication theoretical analysis of rate of release of solid drugs dispersed in solid matrices. J Pharm Sci 1963;52:1145.
Gouda R, Baishya H, Qing Z. Application of mathematical models in drug release kinetics of carbidopa and levodopa ER tablets. J Dev Drugs 2017;6:1-8.
Maghraby GM, Ahmed AA, Osman MA. Penetration enhancers in pro-niosomes as a new strategy for enhanced transdermal drug delivery. Saudi Pharma J 2015;23:67-74.
Ahad A, Saleh AA, Mohizea AM, Jenoobi FI, Raish M, Yassin AE, et al. Formulation and characterization of novel soft nano-vesicles for enhanced transdermal delivery of eprosartan mesylate. Saudi Pharma J 2017;25:1040-6.
Ahad A, Aquil M, Kohli K, Sultana Y, Mujeeb M, Ali A. Formulation and optimization of nanotransfersomes using experimental design technique for accentuated transdermal delivery of valsartan. Nanomed: Nanotechnol Biol Med 2012;8:237-49.
Mauko A, Muck T, Mirtic B, Mladenovic A, Kreft M. Use of confocal laser scanning microscopy (CLSM) for the characterization of porosity in marble. Mat Characterization 2009;60:603-9.
Pathan IB, Jaware BP, Shelke S, Ambekar W. Curcumin loaded ethosomes for transdermal application: formulation, optimization, in vitro and in vivo study. J Drug Delivery Sci Tech 2018;44:49-57.
Mohawed OM, El-Ashmoony MM, Elgazayerly ON. Niosome encapsulated clomipramine for transdermal controlled delivery. Int J Pharm Pharm Sci 2014;6:567-75.
Thorat YS, Kote NS, Patil VV, Hosmani AH. Formulation and evaluation of liposomal gel containing extract of piprine. Int J Curr Pharm Res 2020;12:126-9.
Ubaidulla U, Reddy M, Rukmani K, Ahmed FJ, Kher RK. Transdermal therapeutic system of carvedilol: effect of hydrophilic and hydrophobic matrix on in vitro and in vivo characteristics. AAPS PharmSciTech 2007;8:13-20.
Kapoor K, Pandit V, Nagaich U. Development and characterization of sustained-release methotrexate loaded cubosomes for topical delivery in rheumatoid arthritis. Int J Appl Pharm 2020;12:33-9.
Khan R, Irchhaiya R. In vitro in vivo evaluation of niosomal formulation of famotidine. Int J Pharm Pharm Sci 2020;12:15-22.