
1Department of Industrial Pharmacy, Faculty of Pharmacy, Misr University for Science and Technology, 6th October City, Egypt, 2Department of Pharmaceutics and Industrial Pharmacy, Faculty of Pharmacy, Cairo University, Cairo, Egypt
Email: shimoz1212@gmail.com
Received: 22 Jun 2020, Revised and Accepted: 25 Jul 2020
ABSTRACT
Objective: This study aimed to develop a novel topical ocular system of natamycin (NAT) by formulating and evaluating of NAT-solid lipid nanoparticle (SLN) loaded on mucoadhesive gels to improve its therapeutic activity and reduce the frequency of dosage to assist patient compliance.
Methods: SLNs were prepared using lipids and Tween 80 or Pluronic F127 as stabilizers via modified high shear homogenization and ultrasound techniques. The prepared SLNs were characterized for particle size (PS), zeta potential (ZP), polydispersity index (PI), and entrapment efficiency percentage (EE %). The morphological examination for chosen SLNs was done using a transmission electron microscope (TEM). Carbapol 940 and Hydroxypropyl methylcellulose (HPMC) was incorporated with selected NAT-SLNs to form mucoadhesive gels. The prepared NAT-SLN gels were evaluated for drug content, mucoadhesion force, release study, and in vitro microbiological activity. In vivo study for the chosen formulae was done to evaluate its efficacy against keratitis in rabbits.
Results: NAT-SLNs exhibited high EE % up to 99.167% and PS ranging from 128.35 to 1719.5 nm, with negatively charged ZP that confirmed the stability of SLNs. The NAT-SLN gels provided the high mucoadhesive force with a controlled release manner compared with the marketed-product MP. The in vivo experimental studies and histopathological examination showed the superiority of G2 (NAT-SLN (5% Pluronic F127 and 1:1 mixed lipid) 4% HPMC) over MP against Candida keratitis.
Conclusion: According to the obtained results, G2 provided an effective pharmaceutical system against fungal keratitis in a controlled release manner compared with MP for reducing dosage frequency.
Keywords: Natamycin, Solid lipid nanoparticle, Mucoadhesive gel, In vivo study
© 2020 The Authors. Published by Innovare Academic Sciences Pvt Ltd. This is an open access article under the CC BY license (http://creativecommons.org/licenses/by/4.0/)
DOI: http://dx.doi.org/10.22159/ijap.2020v12i5.38824. Journal homepage: https://innovareacademics.in/journals/index.php/ijap
Fungal keratitis is the most common cause of corneal blindness. The incidence of such type was notified to be between 17% and 36% [1]. Three different classes of antifungal agents; echinocandins, azoles, and polyenes (natamycin, amphotericin B, and nystatin) were used for the treatment of fungal keratitis [2-4]. Natamycin (NAT) is the first antifungal agent for topical ophthalmic administration, approved by the Food and Drug Administration of the United States [5]. It is commercially available as NATACYN 5% ophthalmic suspension eye drop; Alcon. It was rated to be a broad-spectrum antifungal agent against filamentous mycotic keratitis (MK) by binding to ergosterol in the fungal cell membrane. NAT provides higher penetration ability across the intact cornea upon topical application comparable to the other antifungal agents [6]. The sitting therapy with NAT reported unsatisfactory performance because of the long duration of treatment, high dosing frequency, and short residence time at the ocular mucosa [7]. This prolonged and high-frequency dosing is difficult to attain, causing suboptimal concentration at the infected corneal site and increased resistance to MK [7, 8]. Novel carrier systems, such as solid lipid nanoparticle (SLN), would provide great potential for improving ocular drug bioavailability. SLNs are sub-micron colloidal carriers that are consisted of physiological lipids, suspended in an aqueous surfactant solution. SLNs have several advantages over the traditional forms; they can encapsulate the drug to work as a drug reservoir leading to control and target release of the drug. They are non-immunogenic biocompatible and biodegradable carriers [9, 10]. SLNs provide a new tool for formulating systems to enhance the corneal permeability and absorption of the loaded drug because of their lipophilic characteristics and nanosize [11]. Recently, Singh et al. [12] developed SLN for ocular delivery of isoniazid that showed significant in vitro and in vivo uptake of fluorescein-labeled SLN, and corneal permeability enhancement. The SLN dispersions were still in non-adhesive liquid form that could be easily cleared from the eye because of high tear fluid turnover and dynamics. A significant number of studies on rabbits demonstrated that higher bioavailability and sustained activity of the drugs obtained with semisolid preparations containing mucoadhesive polymers such as Carbapol, cellulose derivatives, and polyvinyl alcohol [13, 14]. According to many studies, hydrogels formed from water-soluble polymers were suggested as vehicles for the prepared SLN for a good viscosity and satisfactory bio-adhesion to provide intimate contact of SLNs with the absorbing surface and increase the residence time of the drug at the cornea without irritating actions [15]. In the present study, ocular NAT-SLN loaded mucoadhesive gels were formulated and evaluated to provide a non-invasive mucoadhesive ocular system in an effective and controlled release manner to enhance precorneal residence time, reduce dosing frequency and improve patient compliance.
Materials
Natamycin was purchased from Sigma Chemical Co. St. Louis, MO, USA. NATACYN® Ophthalmic Suspension, Alcon Laboratories, INC. (USA). Stearic acid was kindly gifted from Global Napi Pharmaceuticals Company, Egypt. Tween 80 was purchased from EL-Nasr Pharmaceutical Chemicals Company, Abu Zaabal, Cairo, Egypt. Compritol ATO 888 was kindly gifted from Gattefosse Company, France. Methanol, sodium chloride, sodium bicarbonate, dimethyl sulfoxide, and calcium chloride.2H2O were purchased from EL-Nasr pharmaceutical Chemicals Company, Abu Zaabal, Cairo, Egypt. Triethanolamine (E. Merk, Germany). Carbopol 940 (B. F., Goodrich Chemical Company, Ohio, USA). Hydroxypropyl methylcellulose (HPMC) was purchased from Tama, Tokyo, Japan.
Methods
Formulation of natamycin-solid lipid nanoparticles (NAT-SLNs)
NAT-SLNs were prepared by modified high shear homogenization and ultrasound technique using Compritol ATO 888 and Stearic acid as lipids and Tween 80 or Pluronic F127 as a surfactant. The lipid–drug mixture was heated and maintained at 80 °C that transcended the lipid melting temperature. An aqueous phase was prepared by dissolving the weighed surfactant in distilled water then heated to the same temperature of the lipid phase. This hot aqueous phase was added to the lipid phase and homogenized by using a homogenizer (Heidolph, Germany) at 21,000rpm for 10 min. Hot coarse oil in water emulsion was obtained and ultrasonicated using a probe sonicator (ultrasonic processor, GE130, probe CV18, USA) for 10 min to form hot SLN. The hot SLNs were finally cooled at room temperature [16]. Table 1 shows the composition of twelve prepared SLNs using different types of lipids and surfactants.
Table 1: Composition of prepared natamycin solid lipid nanoparticles (NAT-SLNs)
| Formula | Drug (mg) | Surfactant (gm %) | Lipids (gm %) | ||
| Tween 80 | Pluronic F127 | Compritol ATO888 | Stearic acid | ||
| F1 | 15 | 4 | - | 5 | - |
| F2 | 15 | - | 4 | 5 | - |
| F3 | 15 | 5 | - | 5 | - |
| F4 | 15 | - | 5 | 5 | - |
| F5 | 15 | 4 | - | - | 5 |
| F6 | 15 | - | 4 | - | 5 |
| F7 | 15 | 5 | - | - | 5 |
| F8 | 15 | - | 5 | - | 5 |
| F9 | 15 | 4 | - | 2.5 | 2.5 |
| F10 | 15 | - | 4 | 2.5 | 2.5 |
| F11 | 15 | 5 | - | 2.5 | 2.5 |
| F12 | 15 | - | 5 | 2.5 | 2.5 |
Pharmaceutical evaluation of NAT-SLNs
Particle size (PS), zeta potential (ZP) and polydispersity index (PI) determination
The mean vesicle diameter and PI of NAT-SLNs were estimated by the Dynamic Light Scattering (DLS) technology with a Zetasizer Nano ZS (Software Ver 6,20. Malvern instruments; Worcestershire, UK). The measurements were performed after dilution of each SLN by 100 fold of deionized water to achieve a suitable scattering intensity at 90 ° for the incident beam. The Laser Doppler Anemometer, coupled with the same equipment, was used for estimation of the ZP (ζ) values of the prepared systems. This technique analyzed the electrophoretic mobility of vesicles under an electric field, after convenient dilution with a large amount of bidistilled water [17]. The three successive measurements of independent samples were performed for this test.
Determination of NAT entrapment efficiency percentages (EE %)
The entrapment efficiency percentages (EE %) of NAT in different SLNs were determined by the dialysis method. In this method, a dialysis bag holding 1 ml of SLN was obscured in 30 ml of 1% tween aqueous solution (dialysis medium) and stirred with a paddle at 37±0.5 ◦C. Dialysis was proceeded for 1 hr. Then, aliquots of the dialysis medium were withdrawn from the dissolution cup and filtered through a 0.45 µm filter membrane. The drug-free percentages were determined spectrophotometrically at specific λmax (316.7 nm) using UV spectroscopy (Shimadzu-1650 PC double beam, Japan). [18]. The EE% values were calculated according to the equation:
EE%= 
Where:
Dt: the total amount of NAT in the SLN
Dd: the amount of NAT that diffused into the receiver medium
The results were shown as an average of three independent experiments for each formula.
Morphological examination via transmission electron microscopy (TEM)
The morphology of NAT-SLN was examined using a transmission electron microscope (TEM) (Jeol JEM 1230, Tokyo, Japan) at 70 kV after 50 fold dilution of SLN with distilled water. In this technique, one drop of each diluted SLN was placed on the surface of a 300 mesh carbon-coated copper grid and left to settle for 3-5 min. The excess fluid was isolated with a filter paper and allowed to dry at room temperature for 10 min before examination under a transmission electron microscope at 70kV [17, 19].
Formulation of NAT-SLN loaded gels
23factorial design was used to optimize the formulation of NAT-SLN loaded gels. This study design involved three types of factors, namely: two selected SLN dispersions (F5, F12), two types of polymers (Hydroxypropyl methylcellulose HPMC, Carbapol 940), and each polymer at two levels (Carbapol 940 “1-2%” and HPMC “2-4%”). All compositions of eight prepared NAT-SLN loaded gels were collected in table 2. The selected SLNs were incorporated in different gel forms using two different polymers; HPMC and Carbapol 940. The weighed amount of HPMC or Carbapol 940 was sprinkled while stirring to 1/3 of the required amount of distilled water at 80 °C to form gels. The net volume was adjusted to 100 ml by distilled water containing NAT-SLN. In the case of Carbapol gel, 1 ml triethanolamine was added to form the base. The gels were left overnight in the refrigerator [20].
Table 2: The composition of NAT-SLN in ocular gels
| Carbopol 940 (%W/W) | HPMC (%W/W) | SLN dispersions | Formula |
| - | 2 | F12 | G1 |
| - | 4 | F12 | G2 |
| 1 | - | F12 | G3 |
| 2 | - | F12 | G4 |
| - | 2 | F5 | G5 |
| - | 4 | F5 | G6 |
| 1 | - | F5 | G7 |
| 2 | - | F5 | G8 |
Abbreviations: SLN, solid lipid nanoparticle; HPMC, Hydroxypropyl methylcellulose
Characterization of the formed NAT-SLN loaded gels
Visual inspection
The freshly prepared gels were visually inspected under a black background. The appearance and other physical characters (precipitation, color, and homogeneity) were evaluated.
Determination of drug content
In an incubator shaker (JEIO Tech SI-300 Lab Companion, Kyonggi-Do, Koea), 1g of each ocular gel was shaken with 100 ml of a suitable solvent for 1h to ensure complete dissolution. Samples were withdrawn, diluted, and filtrated. NAT was assayed spectrophotometrically at λmax 316.7 nm, using UV spectroscopy (Shimadzu-1650 PC double beam, Japan). The percentage of NAT was calculated as the mean of three recordings±SD [20].
Determination of mucoadhesion force for gel formulae
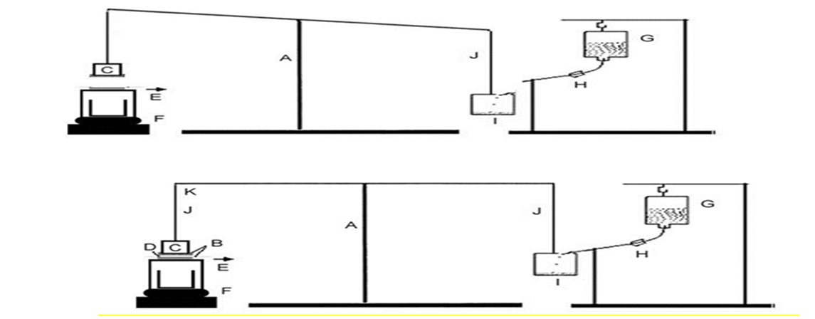
The experimental technique used for the estimation of the bioadhesive force was obtained from an already published method [21]. The apparatus (locally made) was designed for measuring the minimum weight required to detach two membranes from each other with gel form spread in-between them. This experimental setup is presented in fig. 1. The minimal weight of water required to detach the sample from the small intestine of the rabbit represented the mucoadhesive force. The mucoadhesive force (the detachment stress (dyne/cm2)) was calculated using the following equation:
Detachment stress (dyne/cm2) = 
Where:
m: the weight of water
g: acceleration due to gravity is taken as 981 cm/s2
A: area of rabbit’s small intestine (area of contact)
This experiment was formed for each prepared gel in a triplicate manner.
Study of NAT release profile from SLN loaded gel
This study was performed using a modified USP dissolution apparatus II (Dr. Schleuniger Pharmaton, type Diss 6000, Switzerland). A 10 ml capacity syringe was designed to act as a tube by smoothly removing the whole diameter near the nozzle [22]. The bottom of the syringe was then tightly covered with a piece of cloth supported by a wire mesh. The weighed one gram of each gel formulae was placed into the syringe from the top after removing the pump then attached to the rotating paddle. The syringe tube was immersed in the vessel containing 100 ml artificial tear fluid buffer pH=7.4 at 37 °C±0.5 with a paddle speed of 50 rpm. A sample of 2 ml was taken at a determined time interval over 6h and instantly replaced with a fresh release medium. The released drug amount in the withdrawn samples was detected spectrophotometrically versus marketed product MP (NATACYN ophthalmic suspension) at λmax (316.7 nm). The results were reported as the mean of three-runs (n=3) for each formula.
Antifungal activity study
In vitro antifungal study (cup method)
The in vitro antifungal activities of gel formulae and MP were examined using the agar cup diffusion method against Candida Albicans strain (supplied from the department of microbiology, Faculty of Veterinary, Cairo University). Sabouraud dextrose agar in cups of 10 mm diameter was prepared under aseptic condition then inoculated with tested fungal suspension strain by spreading on the agar surface. The cups were filled with 100 mg of each gel formula of the antifungal drug and MP as standard by a sterile syringe. The formed inhibition zones for gel forms and MP were measured in triplicate measurements [23].

Fig. 1: Mucoadhesive-force-measuring device: (A) modified balance, (B) section of rabbit small intestine, (C) 100g weight, (D) gel film, (E) inverted beaker, (F) hot plate, (G) dropping bottle, (H) infusion apparatus, (I) Beaker, (J) thin steel wire, (K) balance bar
In vivo antifungal evaluation study
This study was approved by the institutional animal ethics committee, Cairo University, Egypt (PI 1866). This study was conducted on twelve rabbits weighing 1.5-2.5 kg with a healthy eye, eating only green food. In the operating room, all rabbits were sedated using an intramuscular injection of 1 ml (50 mg/ml) ketamine (Ketalar VR). Benoxinate eye drops were applied to the conjunctival sac of all rabbits’ eyes for topical anesthesia. Corneas of all rabbits were marked, followed by the scrapping of corneal epithelium. Candida was injected using needle 27gauge (0.1 ml of Candida Albicans with a concentration of 5 × 105 cells/ml) into posterior corneal stroma [24]. The whole procedure was done under complete aseptic conditions, with the aid of a binocular microscope and washing the eyes with chloramphenicol eye drops. After 48h, the flourishing of the organism would be confirmed by corneal investigation for infection signs.
The treatment was initiated, where all rabbits were divided into two groups and given codes (A, B). The right infected eyes of all rabbits in each group received a different antifungal formula. Group A: the rapid release formula MP (NATACYN® (5% ophthalmic suspension) was placed as one drop in the conjunctival sac at one or two-hour intervals (usual dose regimen). Group B: the sustained release formula (G2) was applied 300 mg three times daily (every 8h). In all cases, the left eyes were kept untreated as control and received an equal volume of saline solution. The therapy of these formulae was set daily for 2w. Treatment and comments were done by an ophthalmologist, who did not know the difference between the two formulae MP and G2 and were blinded in order not to be biased. Photos were taken along the whole procedure for documentation, from the start of infection to the last day of treatment.
Histopathological evaluation of corneal specimens
Two weeks later, rabbits were slaughtered and the corneas were dissected at the limbus and sent to the department of pathology, Kasr Al-Aini Hospital, Cairo University, under complete aseptic conditions in 10% formaldehyde solution for histopathological evaluation. Specimens of the cornea were taken and instantly fixed in 10% neutral buffered formalin. After suitable fixation, the specimens were dehydrated in alcohol, cleared in xylol, and obscured in paraffin. Paraffin sections of 5µ thickness were cutted and stained with hematoxylin and eosin (H and E). The H and E stained slides were examined under a light microscope for inflammation reaction and the presence or absence of fungal spores.
Formulation of NAT-SLN
Modified high shear homogenization and ultrasound technique is an ideal method used for NAT-SLNs preparation. This method is water-based technology that forms safe, organic solvent-free nanoparticles for ocular delivery. Also, it is reproducible, easy to apply, and gave satisfying results that indicated the success of this method for preparation [16].
Pharmaceutical evaluation of NAT-SLN
Particle size (PS), zeta potential (ZP) and polydispersity index (PI) measurements
The mean PS, ZP, and PI values of the developed SLNs are shown in table 3. The mean PS of SLNs was in the range of (1719.5 nm (F3) to 128.35 nm (F5)). Interestingly, Compritol ATO 888 was found to increase the PS when compared with Stearic acid or mixed lipids. This could be attributed to that Compritol ATO 888 possesses a higher melting point (69-74 °C) in comparison with stearic acid (55 °C). It was stated that the PS of SLNs was increased with higher melting lipids. Similarly, Zhuang CY et al. [25] found that compritol ATO 888 with a higher melting point formed larger SLNs. Besides, lipids having shorter hydrocarbon chain length as stearic acid (C18) provided SLNs with smaller PS in comparison to those produced by lipids of longer chains as Compritol ATO 888 (C22). On the other hand, the present results showed that Pluronic F127 increased PS when compared with Tween 80. PI values of the prepared SLNs were found below 1 that indicated the uniformity of fine vesicle size distributions [26]. ZP values of all prepared SLNs were negatively charged. This negative charge was probably raised due to the slightly ionized fatty acids from the glycerides used (Compritol ATO 888 and Stearic acid). The results showed that the highest ZP value-23.8 mV was obtained in case of F1, prepared using 4% tween 80 and 5% Compritol ATO 888 and the lowest ZP value-15.4 mV was obtained in case of F9, prepared using 4% Tween 80 and 1:.1 Compritol ATO 888 and Stearic acid. The steric stabilizers (Tween 80 and Pluronic F127) preferred for the formation of stable nanoparticle dispersion. Due to the presence of such stabilizer, all prepared SLNs had negative ZP values above |8-9| mV, which was an indication for the SLNs stability [17, 27, 28].
Entrapment efficiency percentage (EE %) determination
The entrapment efficiency percentage (EE %) of NAT in the different formed SLNs is shown in table 3. From the showed results, SLNs containing Compritol ATO 888 had higher EE than Stearic acid and mixed lipids’ SLNs. Since Compritol ATO 888 is a mixture of mono-, di-and triglycerides and also having fatty acids of different chain lengths, these formless perfect crystals with many defects formed space to accommodate the drug [29]. Besides, the EE of the prepared SLNs was increased by increasing the lipophilicity of the used lipid. Applying the fact that an increasing in alkyl chain length increases the lipophilicity of the molecules [30], Compritol ATO 888 (C22) is more lipophilic than Stearic acid (C18). Therefore, Compritol ATO 888 had higher accommodation of lipophilic drugs such as NAT in comparison with Stearic acid. This comes in agreement with Ruktanonchai et al. [31], who found that lipids of higher lipophilicity entrapped drugs more efficiently. Also, it was reported that particles of larger size possessed higher EE. Therefore, the higher EE of Compritol ATO 888 SLNs participated in their larger particle size when compared to stearic acid SLNs and mixed lipids. It was observed that Pluronic F127 increased the entrapment efficiency compared to Tween 80. This can be explained by higher HLB 22 and the long hydrophobic polypropylene oxide segment leading to the formation of stable micelles with more drug retention capacity than Tween 80 [32]. Moreover, this could commonly be explained by an important factor, which is gel to liquid phase transition temperature (T °C) of the surfactant, which is directly proportional to the surfactant alkyl hydrocarbon chain length. Surfactants of lower (T °C) like Tween 80 (HLB=15) containing shorter chains, consequently having lower EE. This result also coincided with Guinedi et al. [33], who proved that the EE was not controlled by the surfactant´s HLB only but also by the chemical structure of the surfactant related to the length of the alkyl chain. Surfactants of longer saturated alkyl chains exhibited higher EE. The PS of SLNs was increased proportionally with increasing of the surfactant HLB values because of the decreasing surface free energy. The decreasing of surface free energy caused increasing of surfactant hydrophobicity that consequently increased drug entrapment. Therefore, SLNs containing Tween80 had lower EE than SLNs containing Pluronic F127.
Table 3: The PS, ZP, PI and EE % values of NAT-SLN formulae
| Formula | PS (nm) | ZP (mV) | PI | EE (%) |
| F1 | 361.4±0.9 | -23.8±2.8 | 0.6155±0.03 | 99.167±0.5 |
| F2 | 484.6±1.2 | -19.65±1.50 | 0.821±0.02 | 99.231±0.09 |
| F3 | 1719.5±0.78 | -17.35±3 | 1±0.03 | 98.1±0.57 |
| F4 | 550.85±2.3 | -18.3±0.9 | 0.343±0.06 | 98.89±1 |
| F5 | 128.35±0.5 | -19±3 | 0.2775±0.03 | 99.1±0.08 |
| F6 | 156.4±2.04 | -18.5±1.98 | 0.4505±0.04 | 98.66±1.2 |
| F7 | 141.65±0.7 | -18.6±3.2 | 0.298±0.07 | 97.7±1.5 |
| F8 | 171.5±0.8 | -15.9±2.3 | 0.4365±0.05 | 99.12±0.55 |
| F9 | 294.55±0.3 | -15.4±3.4 | 0.7695±0.01 | 99.109±0.32 |
| F10 | 762.05±1 | -16.55±1.7 | 1±0.05 | 98.35±1.4 |
| F11 | 287.85±2.1 | -21.1±2.4 | 0.4355±0.04 | 98.7±0.9 |
| F12 | 350.55±3 | -19.85±3.1 | 0.3695±0.05 | 98.86±0.8 |
*All values are (mean±SD “standard deviation’’, n= 3). Abbreviations: PS, particle size; ZP, zeta potential; PI, polydispersity index; EE%, entrapment efficiency percentage.
Morphology of prepared SLNs by transmission electron microscopy (TEM)
According to statistical analysis, using a design expert (version 11, Stat-Ease, Inc) for PS, ZP, PI, and EE %, SLNs (F12, F5) were selected for morphological examination. Fig. 2 confirmed the formation of a vesicle with a round shape having nano-size particles according to the PS measurements. As shown by ZP results, the strong repulsive forces between the negatively charged surfaces of prepared SLNs could likely explain the non-aggregated nature of the prepared dispersions.

Fig. 2: Transmission electron micrographs of SLN A) F12, B) F5
Preparation of NAT-SLN loaded gel
The selected SLNs (F12, F5) were loaded on the ocular mucoadhesive gel. Eight gel formulae were successfully prepared using HPMC and Carbapol 940 as viscosity polymers to be evaluated to obtain the best form.
Characterization of the formed NAT-SLN loaded gels
Visual inspection
All prepared gels were homogenous and white with no precipitation.
Determination of drug content
The drug content is considered as an indicator for the drug uniformity in any pharmaceutical form. As shown in table 4, the results revealed that the drug content of all developed formulation was in the accepted range of 90 to 98% as mentioned in US pharmacopeia [34]. All the formulation exhibited fairly uniform drug content. This ensures the intended delivery of the drug to the site after the administration of the gel forms.
Determination of mucoadhesive force
Ocular mucoadhesion relies on the interaction of polymer and the mucin coat covering the conjunctiva and corneal surface of the eye. In this investigation, the mucoadhesive force means the force with which polymers bind to the corneal surface under physiological conditions for targeting a drug and prolonged the residence time of the dosage form [35]. Table 4 shows the mucoadhesive force of all prepared gel forms in the range of 3920 to13916 dyne\cm2. According to the sited results, the increase of mucoadhesive strength associated with increased concentration of each polymer. The greater concentration of polymer chains at the formulation surface, the greater numbers of interactions with mucus glycoprotein were obtained. This explains that the detachment force enhanced by increasing of polymer concentration [36].
Table 4: Drug content % and mucoadhesive force of prepared gel
| Formula | Drug content (%) | Mucoadhesive force (dyne\cm2) |
| G1 | 98±2 | 6860±10 |
| G2 | 96±3.1 | 12838±14.1 |
| G3 | 93±2.6 | 3920±9.6 |
| G4 | 94±2.8 | 13524±18 |
| G5 | 91±1.6 | 6370±17.6 |
| G6 | 90.7±2.6 | 11760±12.1 |
| G7 | 92±2.5 | 4410±14 |
| G8 | 90±1.9 | 13916±15.2 |
*All values are (mean±SD “standard deviation”, n= 3)

Fig. 3: In vitro release profile of NAT from SLN loaded gel versus MP, (mean±SD, n= 3)
In vitro NAT release from prepared gels
The in vitro release of NAT from different gel formulae versus MP is illustrated graphically in fig. 3. From the obtained results, it was clearly observed that the rate of NAT release from gels sustained up to 6 h compering with MP, which indicated that the NAT-SLN loaded gels were capable of controlling the release rate of NAT. There was an indirectly proportional relationship between the polymer concentrations and the percentage of NAT released from the gel form. When semi-solid formulations in a specific type of polymer at various concentrations were prepared, the active substance released from the formulations decreased as the polymer concentration increased. The density of chain structure, which had been observed in gel microstructure, increased at high polymer concentration and this restricted the active substance moving area resulting in decreasing the release of the active substance [37].
In vitro antifungal activity
Based on NAT-release profile data from the developed gel forms, G1, G2, G3, G5, G6, and G7 versus MP were selected for in vitro antifungal study against Candida Albicans. Table 5 shows the results of antifungal activity of the different selected forms and MP against Candida Albicans strain. The results showed that G2 containing (NAT-SLN ‘‘5% Pluronic F127 and 1:1 mixed lipid’’ loaded 4% HPMC gel) had the largest inhibition zone in comparison with the other forms and MP.
Table 5: Antifungal activity of selected gels and MP against Candida Albicans
| Formula | Inhibition zone (mm) |
| G1 | 21±0.5 |
| G2 | 23±0.4 |
| G3 | 17±0.2 |
| G5 | 21±0.6 |
| G6 | 18±0.5 |
| G7 | 16±0.2 |
| MP | 20±0.3 |
*All values are (mean±SD “standard deviation”, n= 3). Abbreviations: MP, Marketed Product
In vivo antifungal study
After 48h from Candida inoculation, the rabbits’ eyes suffered from loss of corneal transparency, deep stromal ulcer, surrounding stromal edema, and inflammation (fig. 4 a, c). G2 (NAT-loaded SLN ‘‘5% Pluronic acid and 1:1 mixed lipid’’ 4HPMC) was recommended for further in vivo evaluation. All rabbits in groups A and B assigned for formula MP as rapid release and G2 as sustained-release manner, respectively. The right eye of all rabbits received these forms responded better and showed improving of the corneal transparency, decreasing in size and depth of ulcer and stromal edema (fig. 4 b, d). These results were consistent with the findings of the histopathology of specimens taken from the cornea showed in fig. (5 a, b, c). Untreated control corneal specimen that received saline shows severe vascular changes and leukocyte infiltration with large number of fungal spores appears as a round faint vesicular body’s fig. 5a. Fig. 5b shows a corneal specimen of group A with mild hydropic changes and leukocyte infiltration with no fungal spores compared with the untreated control cornea. In fig. 5c, the corneal specimen of group B shows nearly normal histological structure with no leukocyte infiltration and absence of the fungal spores compared with untreated control cornea. Based on the clinical and histopathological findings, G2 (NAT-loaded SLN ‘‘5% Pluronic F127 and 1:1 mixed lipid’’ 4% HPMC) provided higher curing effect for fungal keratitis than MP in a controlled release manner up to 8h to reduce dosing frequency and improve the patient compliance.

Fig. 4: a, c) 48h after rabbit’s cornea inoculation with Candida Albicans showing corneal opacity and hypopyon, b) Group, A after treatment with MP (in usual regimen) showing improvement of inflammation and corneal transparency, d,) Group B after treatment with G2 (every 8h) showing improvement of inflammation and corneal transparency

Fig. 5a: Corneal stroma showing severe vascular changes and leukocyte infiltration with a large number of fungal spores from the specimen of control untreated cornea

Fig. 5b: Corneal stroma showing mild vascular changes and leukocyte infiltration with no fungal spores from the specimen of group A

Fig. 5c: Corneal stroma showing nearly normal histological structure with no leukocyte infiltration and absence of the fungal spores from the specimen of group B
The ocular bioavailability of NAT was significantly improved by the formulation of NAT-SLN loaded mucoadhesive gel. SLNs were prepared using Pluronic F127 or Tween 80 as a stabilizer and Compritol ATO888 and stearic acid as lipids. F12 and F5 showed highly stable nanosized, spherical particles with highly entrapment efficiency. They were chosen as the optimum SLN forms that successfully contributed to mucoadhesive gels using Carbopol 940 or HPMC in different ratios. G2 (‘‘5% Pluronic F127 and 1:1 mixed lipid SLN’’ 4% HPMC gel) showed the superiority of drug content %, mucoadhesive force, and in vitro release profile over other formed gel systems. G2 had the highest in vitro antifungal activity comparing to other forms that agree with the release study profile. According to in vivo and histopathological study on rabbits, G2 showed a better cure percent against fungal keratitis in a controlled release manner up to (8 h) comparing with the MP. The combination of G2 form considered a good candidate for a further clinical study on patients to treat the fungal keratitis effectively with a low-frequency dose regimen.
Nil
All the author have contributed equally.
The authors declare no conflict of interest.
Khorgade RR, Gaikwad AA, Nilekar SL, Kulkarni DM. Mycotic keratitis in patients attending a tertiary care hospital. Int J Curr Microbiol Appl Sci 2015;4:428-37.
Thomas J. Fungizone (amphotericin) product information. Australin prescription products guide. 36th ed. Hawthorn: Victoria Australian Pharmaceutical Publishing; 2007. p. 1392-4.
Müller GG, Kara Jose N, Castro RS. Antifungals in eye infections: drugs and routes of administration. Rev Bras Oftalmol 2013;72:41-132.
Patil A, Majumdar S. Echinocandins in ocular therapeutics. J Ocul Pharmacol Ther 2017;33:340-52.
Oz Y, Ozdemir HG, Gokbolat E, Kiraz N, Ilkit M, Seyedmousavi S. Time-kill kinetics and in vitro antifungal susceptibility of non-fumigatus Aspergillus species isolated from patients with ocular mycoses. Mycopathologia 2016;181:225-33.
Qiu S, Zhao GQ, Lin J, Wang X, Hu LT, Du ZD, et al. Natamycin in the treatment of fungal keratitis: a systematic review and meta-analysis. Int J Ophthalmol 2015;8:597-602.
Chandasana H, Prasad YD, Chhonker YS, Chaitanya TK, Mishra NN, Mitra K, et al. Corneal targeted nanoparticles for sustained natamycin delivery and their PK/PD indices: an approach to reduce dose and dosing frequency. Int J Pharm 2014;477:317-25.
Patil A, Lakhani P, Majumdar S. Current perspectives on natamycin in ocular fungal infections. J Drug Delivery Sci Technol 2017;41:206-12.
Jenning V, Gysler A, Schafer Korting M, Gohla S. Vitamin A loaded solid lipid nanoparticles for topical use: occlusive properties and drug targeting to the upper skin. Eur J Pharm Biopharm 2000;49:8-211.
Mukherjee S, Ray S, Thakur RS. Solid lipid nanoparticles: a modern formulation approach in drug delivery system. Indian J Pharm Sci 2009;71:349-58.
Kumar R, Sinha VR. Solid lipid nanoparticle: an efficient carrier for improved ocular permeation of voriconazole. Drug Dev Ind Pharm 2016;2:1-37·
Singh M, Guzman Aranguez A, Hussain A, Srinivas C, Kaur IP. Solid lipid nanoparticles for ocular delivery of isoniazid: evaluation, proof of concept, and in vivo safety and kinetics. Nanomedicine (Lond) 2019;14:465-91.
Wu Y, Liu Y, Li X, Kebebe D, Bing Z, Ren J, et al. Research progress of in-situ gelling ophthalmic drug delivery system. Asian J Pharm Sci 2019;14:1-15.
Preethi GB, Narendra E. Formulation and evaluation of in situ mucoadhesive ophthalmic hydrogel for sustained delivery of pefloxacin mesylate. Int J Pharm Pharm Sci 2015;8:345-50.
Hu Y, Tyagi P, Kadam RS, Christopher A. Holden. Hybrid dendrimer hydrogel/PLGA nanoparticle platform sustains drug delivery for one week and anti-glaucoma effects for four days following one-time topical administration. ACS Nano 2012;6:595-606.
Abdelbary G, Fahmy RH. Diazepam-loaded solid lipid nanoparticles: design and characterization. AAPS PharmSciTech 2009;10:211-9.
Chaiyasan W, Srinivas SP, Tiyaboonchai W. Development and characterization of topical ophthalmic formulations containing lutein-loaded mucoadhesive nanoparticles. Int J Pharm Pharm Sci 2016;8:261-6.
Shena LN, Zhanga YT, Wang Q, Xub L, Fenga NP. Enhanced in vitro and in vivo skin deposition of apigenin delivered using ethosomes. Inter J Pharm 2014;460:280-8.
Morsi N, Ghorab D, Refai H, Teba H. Preparation and evaluation of alginate/chitosan nanodispersions for ocular delivery. Int J Pharm Pharm Sci 2015;7:234-40.
Abdelmonem R, El Nabarawi M, Attia A. Development of novel bioadhesive granisetron hydrochloride spanlastic gel and insert for brain targeting and study their effects on rats. Drug Delivery 2016;25:70-7.
El-Hadidy GN. A pharmaceutical study on topical antifungal drug. M. Sc. Thesis, Fac. Pharm, Cairo Univ; 2010.
Ahmed VA, Goli D. Development and characterization of in situ gel of xanthan gum for ophthalmic formulation containing brimonidine tartrate. Asian J Pharm Clin Res 2018;11:277-84.
Dragicevic Curic N, Scheglmann D, Albrecht V, Fahr A. Development of different temoporfin-loaded invasomes novel nanocarriers of temoporfin: characterization, stability and in vitro skin penetration studies. Colloids Surf B 2009;70:198-206.
Habib FS, Fouad EA, Abdel Rhaman MS, Fathalla D. Liposomes as an ocular delivery system of fluconazole: in vitro studies. Acta Ophthalmol 2010;88:901-4.
Zhuanga CY, Lia N, Wanga M, Zhangb XN, Pana WS, Penga JJ, et al. Preparation and characterization of vinpocetine loaded nanostructured lipid carriers (NLC) for improved oral bioavailability. Int J Pharm 2010;394:179-85.
Radomska Soukharev A. Stability of lipid excipients in solid lipid nanoparticles. Adv Drug Delivery Rev 2007;59:411-8.
Katas H, Cevher E, Alpar HO. Preparation of polyethyleneimine incorporated poly (d,l-lactide-co-glycolide) nanoparticles by spontaneous emulsion diffusion method for small interfering RNA delivery. Int J Pharm 2009;369:144-54.
Schafer Korting M, Mehnert W, Korting HC. Lipid nanoparticles for improved topical application of drugs for skin diseases. Adv Drug Delivery Rev 2007;59:427-43.
Kumar VV, Chandrasekar D, Ramakrishna S, Kishan V, Rao YM, Diwan PV. Development and evaluation of nitrendipine loaded solid lipid nanoparticles: influence of wax and glyceride lipids on plasma pharmacokinetics. Int J Pharm 2007;335:167-75.
Silverman RB. The organic chemistry of drug design and drug action. 2nd ed. London: Elsevier Academic Press; 2004. p. 55-61.
Ruktanonchai U, Sakulkhu U, Bejrapha P, Opanasopit P, Bunyapraphatsara N, Junyaprasert V, et al. Effect of lipid types on physicochemical characteristics, stability and antioxidant activity of gamma-oryzanol-loaded lipid nanoparticles. J Microencapsulation 2009;26:614-26.
Ammar HO, Ghorab M, El-Nahha SA, Higazy IM. Proniosomes as a carrier system for transdermal delivery of tenoxicam. Int J Pharm 2011;405:142-52.
Guinedi AS, Mortada ND, Mansour S, Hathout RM. Preparation and evaluation of reverse-phase evaporation and multilamellar niosomes as ophthalmic carriers of acetazolamide. Int J Pharm 2005;306:71-82.
Pharmacopeia US. The National Formulary. Usp30-NF25, Monograph of Natamycin; 2007. p. 2716.
Lee JW, Park JH, Robinson JR. Bioadhesive dosage form: the next generation. J Pharm Sci 2000;89:850-66.
Mansuri S, Kesharwani P, Jain K, Tkade RK, Jain N. Mucoadhesion; a promising approach in drug delivery and functional polymers. Elsevier Sci 2016;100:172-51.
Wang YY, Hong CT, Chiu WT, Fang JY. In vitro and in vivo evaluations of topically applied capsaicin and nonivamide from hydrogels. Int J Pharm 2001;224:89-104.