
1Department of Pharmaceutics, JSS College of Pharmacy, JSS Academy of Higher Education and Research, Shivarathreeshwara Nagara, Bannimantap, Mysuru 570015, India, 2Department of Pharmaceutics, Faculty of Pharmacy, Sri Ramachandra Institute of Higher Education and Research, Porur, Chennai 600116, India
Email: vishalkumargupta@jssuni.edu.in
Received: 10 Sep 2020, Revised and Accepted: 07 Apr 2021
ABSTRACT
Objective: To develop and formulate doxycycline hydrochloride hydrogels employing various polymers for wound healing application.
Methods: A thermo-reversible gel can transmute from a sol-gel in replication to environmental temperature vicissitudes made up of gallic acid (GA) and tamarind seed polysaccharide (TSP). An antimicrobial agent (doxycycline hydrochloride) integrated to provide the benefit and efficiently safeguard the wound from infection. A low temperature causes TSP to aggregate intermolecularly with GA to create a gel network. GA–TSP gel heat stability increased with increased concentration of GA. Prepared gel formulations were optimized by 23 factorial designs further evaluated for stability and compatibility, appearance, gelation temperature, gravitational flow simulation, in vitro release, in vivo excision wound model in rats.
Results: A strong viscoelastic gel was formed at body temperature in the GA–TSP mixture containing 0.6% (w/v) GA. The prepared formulation exhibited absolute stability and compatibility. The formulations indicated a range of 23±1.47 to 50±1.40 °C. The viscosity values were in the range 6628 to 19146 cps. The optimized gel formulation (DT8) was prepared to analyze the checkpoints and further evaluated for gelation temperature ( °C), viscosity (cps), gelation time (s), and in vitro release of drugs (percent cumulative release of drugs) up to 12 h reflecting R1=36.5±0.61 °C, R2=12887±11 cps, R3=16.2±1.38 min and R4=94.65±0.59 percent. Formulation DT8 showed significant wound healing property and it is comparable to the control group. Formulation DT9 treated group showed faster epithelialization and greater rates of wound contraction in rats.
Conclusion: The formulations comprising of TSP with antimicrobial agents demonstrated to be efficient in wound healing. Out of all formulations, DT8 showed better wound healing ability, which is evident from in vivo studies.
Keywords: Thermoreversible gel, Gel network, Stability, Wound healing property, Epithelialization
© 2021 The Authors. Published by Innovare Academic Sciences Pvt Ltd. This is an open access article under the CC BY license (https://creativecommons.org/licenses/by/4.0/)
DOI: https://dx.doi.org/10.22159/ijap.2021v13i3.39696. Journal homepage: https://innovareacademics.in/journals/index.php/ijap
Over the years, numerous attempts have been made to accelerate wound healing by improving the nature and functional components of wound dressings. There are several wound care products available on the market applied to aid the healing of wounds [1]. Their primary function is to keep the wound moist, clean and avoiding the entry of harmful bacteria into the wound [2]. In the past, traditional dressings such as natural or synthetic bandages, cotton wool, lint and gauzes all with varying degrees of absorbency, were used for the management of wounds. These conventional dry dressings provide passive wound protection, and one of their limitations is the inability to maintain a moist environment for effective wound healing [3].
Furthermore, other conventional semi-solid formulations such as creams and gels cannot maintain effective drug concentrations for a prolonged period at moist wound surfaces due to their short retention times. They have also associated with leakage and messiness in highly exuding wounds which leads to inconvenience and poor patient compliance [4]. Subsequently, there was a desire for modern wound dressings, which keep the wound moist and helps more rapid healing of the wound. These modern dressings offer an optimum microenvironment for healing [5]. In situ gels consists of a matrix of insoluble polymers with about 96% water content. These gels can donate water to the wound site and thus help in maintaining a moist environment, which helps in faster wound healing. These are used in the formation of drug-delivery vehicles, wound dressings, contact lenses and as electrodes or sensors [6].
In response to a change in ambient temperature, a thermo-reversible in situ gel can change from a liquid to a solid, and vice versa. As an intelligent material for biomedical applications, this type of gel has been extensively investigated [7]. Thermo-reversible materials can be natural or synthetic, exhibiting the sol-gel transition. Most of these materials, however, lack adequate viscoelastic behavior at a physiological temperature required for medical use. Cross-linking strategies for producing the desired viscoelastic properties were, therefore, used [8]. Two types of cross-linking generally exist: chemical and physical. Chemical cross-linking involves covalent bonds, whereas physical cross-linking relies on non-covalent bonds or interactions such as ionic interaction, hydrophobic interaction, van der Waals or hydrogen bonds [9]. There is no reversible property for cross-linked chemical gels [10]. Physically cross-linked gels can be thermo-reversible and have therefore been developed more widely for use as biomedical materials.
GA, 3,4,5-trihydroxybenzoic acid, has attracted much attention because it exhibits significant biological activities such as antioxidant, cardioprotective, anti-hyperglycemic, antimutagenic and anticarcinogenic activities [11-13]. GA can form a gel with melamine [14]. However, gelation of a biopolymer by physical cross-linking with GA has not been investigated.
TSP is a natural water-soluble polysaccharide, obtained from the endosperm/kernel of Tamarindus indica L. seeds belonging to the family Fabaceae. TSP is composed of (1→4)-β-D-glucan backbone substituted with side chain of α-D-xylopyranose and β-D-galactopyranosyl (1→2)-α-D-xylopyranose linked (1→6) to glucose residue. The glucose, xylose and galactose units a present in TSP in the ratio of 2.8:2.25:1. TSP is noncarcinogenic, biocompatible and stable enough even in acidic pH range. It is used as the binder, gelling agent, thickener, emulsifier, suspending agent and release modifier in different pharmaceutical formulations [15]. In this study, novel thermo-reversible gels consisting of GA and unmodified TSP was prepared and investigated. Rheological studies determined their viscoelastic property. Furthermore, the effect of the GA concentration on the morphology of the GA–TSP system were investigated.
Materials
Doxycycline hydrochloride was kindly provided as a gift sample from Zydus Cadila Health Care Ltd., (Ahmedabad, India). TSP was purchased. GA was purchased from Sisco Research Laboratories Pvt. Ltd., (Mumbai, India). All other chemicals and buffers used were of analytical grade
Methods
Experimental design, characterization and statistical evaluation
23 Factorial design for optimization has been implemented. The independent variables were TSP, GA, sodium chloride (NaCl), and the temperature of viscosity and gelation were selected as dependent variables. There were three independent factors at two different levels. High and low factor levels were coded respectively+1 and–1. All batches (F1 to F8) were statistically evaluated using Analysis of variance (ANOVA) and Design Expert® 8.0.0 to see the selected factor's significant and non-significant effect on various responses, viscosity and gelation temperature. Design expert® 8.0.0 was used to graphically represent the factor influence study with the help of main effect, interaction effect, cube Plot, response surface plots [16].
Preparation of doxycycline hydrochloride loaded in-situ gels
The required amount of TSP was dispersed through a slow homogenizing process in hot deionized water using a 50 °C mechanical stirrer for 5 h. GA solutions were prepared separately by dissolving the required amount of GA at 40 °C in deionized water. GA solutions were then added and vigorously stirred into the TSP solution. A suitable amount of drug has been dissolved into the above solution for the loading of the drug. Lastly, the required quantity of sodium chloride was added and the solution was refrigerated before further studies (table 1) [17].
Table 1: Formulation chart of doxycycline in situ gels
| Formulation code | Drug | GA | TSP | NaCl |
| DT1 | 0.25% w/v | 0.6 | 1 | 0.5 |
| DT2 | 0.8 | 0.8 | 0.7 | |
| DT3 | 0.6 | 0.8 | 0.5 | |
| DT4 | 0.6 | 1 | 0.7 | |
| DT5 | 0.8 | 1 | 0.7 | |
| DT6 | 0.8 | 1 | 0.5 | |
| DT7 | 0.6 | 0.8 | 0.7 | |
| DT8 | 0.8 | 0.8 | 0.5 |
Fourier transform infrared spectroscopy (FTIR)
Preformulation studies on drug-polymer interaction are very critical in selecting suitable polymers. The sample spectra were recorded by Shimadzu 8400S FTIR (Tokyo, Japan) using the KBr pellets method. The samples were then placed in the instrument's sample holder. FTIR analyzed these to study polymer interference for drug analysis. The integrity and compatibility of the pure drug and polymer were assessed using the pure drug's IR spectra, and polymer was performed using the FTIR spectrophotometer [18].
Differential scanning calorimetry (DSC)
DSC study was conducted using DSC 60 instrument (Shimadzu Corporation, Japan) to check the formation as well as ingredient compatibility. DSC has been scanned for pure drug thermogram and optimized formulation. Accurately weighed samples were placed over a temperature range of 0-300 °C on aluminum plates sealed with aluminum seals and heated at a constant temperature of 1 °C/min [19].
Visual appearance and clarity
Clarity is one of in situ preparations most important characteristic features. To check the presence of any particulate matter, the formulations were examined for visual appearance and clarity through visual observation against a white and black background [20].
pH determination
The two critical areas are the pH effect on solubility and stability. The pH of the formulation of in situ gel should be such that the formulation at that pH was stable. Formulations of in situ gel should have a pH range between 5.5 and 5.8. Using calibrated digital pH meter, the developed-in situ gel formulations were evaluated for pH. Before each use, the pH meter was calibrated with standard buffer solutions pH 4, 7, and 9.2. The temperature of the formulation was kept at 25 °C [21].
Gelation temperature
A modified Miller and Donovan technique was used to evaluate the gelation temperature. Two ml gel aliquots were transferred to parafilm sealed tubes and immersed in a 4 °C water bath. The bath temperature was increased by increments of 1 °C and left at each new setting to balance for 15 min. The samples were examined for gelation, which was considered to have occurred when the meniscus no longer moved through 90 °C when tilting. All measurements in triplicate (n=3) were performed [22].
Gravitational flow simulation
It was determined the influence of temperature on the mixture flow. In short, a glass slide (2.54 approximately 7.62 cm) was measured. A liquid-shaped 1-mL aliquot from the refrigerator was loaded onto the slide and the simulation of gravitational flow at the respective gelation temperature noted earlier was observed by lifting the glass slide for 2 or 10 min after balance. The time has been recorded for the mixtures to flow downwards [23].
Viscosity
Determining the viscosity of the optimized in situ gel formulation prepared has been determined using Brookfield Digital Viscometer (LVDV III U, Brookfield Engineering Labs. USA). The optimized formulation of in situ gel was taken in a beaker and kept at room temperature. The measurements were performed with spindle no. 62 and the viscosity was measured at 10 min after the spindle rotation [24].
Drug content
The vials (n=3) containing the preparation were shaken for 2-3 min and 1 ml of preparation was transferred to 100 ml volumetric flask with phosphate buffer pH 7.4. Sample liquid was removed and further diluted with the same phosphate buffer pH 7.4 to 10 ml. Using a UV-visible spectrophotometer, the concentration of doxycycline hydrochloride was determined at 273 nm [25].
In vitro drug release study
In the donor compartment, 1 ml of the formulation was kept over a dialysis membrane that was rinsed and soaked in the diffusion medium for 24 h. In the receptor compartment, the donor compartment was immersed. The beaker containing the diffusion medium (receptor compartment) was kept at 37±0.5 °C using the magnetic stirrer with constant stirring at 22 rpm. For the 8 h and the same quantity of fresh, diffusion medium was replaced for the quantity withdrawn, one ml aliquots were removed from the diffusion medium every hour. Using Shimadzu Double Beam UV-Visible spectrophotometer, the samples removed were analyzed spectrophotometrically at 273 nm for doxycycline hydrochloride [26].
Mathematical model fitting
Using PCP-Disso-V2.08 software, the release data were fitted into different mathematical models to know which mathematical model best fits the obtained release profile. The regression co-efficient parameters such as ' n ' and ' R ' were determined to know the release mechanisms.
Sterility studies
According to Indian Pharmacopoeia, the sterility test was done. Direct method of inoculation has been used. A sterile pipette or a sterile syringe or needle was used to remove 2 ml of liquid from the test container. The test liquid was transferred separately to the fluid thioglycolate medium (20 ml) and the digestive medium of soya bean-casein (20 ml). The liquid has been mixed with the media. In the case of fluid thioglycolate medium and 20 °C to 25 °C in the case of soya bean-casein digest medium, the inoculated media were incubated for at least 14 d at 30 °C to 35 °C [27].
In vivo studies
The study was carried out after obtaining approval from the JSS College of Pharmacy's institutional animal ethical committee (Ethical Committee approval no. JSSCPM/IAEC/217/2017), Mysuru. In the study, 200-225 g Wister albino rats were used (Source: Biogen Laboratory Animal Facility, Bangalore, India). All experimental animals were housed in the cages at a constant temperature (23 °C) under 12-hour dark and light cycle. All animals will be maintained by providing standard animal feed and potable water ad libitium until the commencement of the experiment. The surgical procedures were performed under general anesthesia under sterile conditions using diethyl ether. The predetermined area for the injury at the back of the animal was prepared for surgery. The animals were anesthetized by open mask method using anesthetic ether and placed in their natural position on the operating table. Skin excision wounds of 1 cm x 1 cm were created using a sterile surgical blade and scissors and the dorsal aspect of the thoracolumbar region of the rats up to the depth of the dermis, which include a control group 1, group 2 treated with tamarind seed polysaccharide-based hydrogel, and group 3 doxycycline-tamarind seed polysaccharide-based hydrogel. The animals were individually housed in their cages, and were monitored for breathing, color, and temperature. They were maintained and managed throughout the experimental period under standard conditions of husbandry and on a uniform diet. For any infection, animals are closely observed; those showing signs of infection are separated from the study and excluded [28].
Excision wound model
On either side and 5 cm from the ear, excision wounds were inflicted on the dorsal thoracic region 1–1,5 cm from the vertebral column. An area of approximately 1 cm2 was marked with a circular marker using 1 cm x 1 cm circular cardboard cutting on the animals ' rasped back. The marked area with surgical sterile blade and scissors was excised in full thickness. The respective therapeutic treatment is given topically to the animals of the respective groups until complete epithelialization begins on the day of operation. Estimation of collagen, percentage of wound contraction, and period of parameters of epithelialization are studied [28].
Percentage of wound contraction
The gradual reduction in the wound area is monitored planimetrically by initially tracing the raw wound boundaries on a sterilized transparency paper sheet in mm2 without causing any damage to the wound area, and then measuring the wound area recorded using a graph paper for a period of 21 d every 4 d interval The epithelialization period is expressed as the number of days necessary to remove the remains of the dead tissue without any residual raw wound is considered the end point of complete epithelialization [28].
Percentage closure 

Where, A-O = wound area on day zero, and
A-D = wound area on corresponding days
The number of days for complete closure was noted and the scar shape and area were traced and measured on complete closure.
Measurement of the wound area
On foreordained days (4, 8, 12, 16 and 20 d) a camera monitored the dynamic change in the wound area. Later, the wound area was measured by tracing the wound on a graph paper of a millimeter scale [28].
Period of epithelization
The dropping of scab deserting no raw wound was taken as the endpoint of complete epithelization and the days required for this were taken as an epithelization period [28].
Histopathology studies
The previously collected and preserved regenerated tissue was used for histopathology studies in 10% buffered formalin [28].
Preparation of histological studies
After a day or two, the tissue was removed from the buffered formalin, dehydrated in ascending alcohol grades, cleaned in chloroform, embedded in paraffin using tissue processor and cut with rotating microtonal, obtaining sections of 3 to 5 mm in thickness. The section was dewaxed by xylene and the xylene was removed to facilitate the staining procedure by decreasing alcohol levels [28].
The dewaxed section was stained for 5 to 8 min with haematoxylin. Washed well for 2 to 3 min in running tap water. To confirm a sufficient degree of staining, it was then examined microscopically. Remove excess stain in 70 percent alcohol for a few seconds by decolorizing in 0.5 to 1.0 percent by hydrochloric acid. The acid action changed the blue stain of haematoxylin to red. Recovered the color blue and stopped decoloration by washing for at least 5 min in running tap water. Stained for 1 to 3 min in 1% aqueous eosin. Dehydrated in alcohol and transparent in xylene. Mounted in a medium of synthetic resin. Histopathological changes in the regenerated tissue that occurred in both the test and control during the wound contraction or healing phase were observed for "epithelization, fibroblast, collagen, cell infiltration (inflammation) and neovascularization" [28].
Stability studies
Stability studies aim to predict a product's shelf life by accelerating the rate of decomposition or degradation; preferably by increasing temperature and relative humidity (RH) at accelerated conditions.
Optimized in situ gels were packed with nitrogen purging in glass vials and sealed with rubber stoppers and crimped aluminium. The stability study of optimized in situ gels was performed by placing the samples as follows under storage conditions:
Long term-5±3 °C for 6 mo
25±2 °C with 60±5% RH for 6 mo
Samples were taken from 0, 1st, 2nd, 3rd and 6th months and evaluated for changes or variability in physical appearance as well as drug content as specified in the guidelines of ICH Q1A(R2) (256) [16].
FT-IR spectrum
Comparisons of spectra of pure doxycycline hydrochloride, along with the physical mixture and formulation DT8 shows the absence of interaction and presence of drug in unchanged form. FTIR spectra of doxycycline exhibited characteristic peaks of N-H Stretching vibrations 3268 cm-1, C=O Stretching vibrations 1689 cm-1, CH3 Stretching vibrations Aromatic CH Stretching vibrations 2764 cm-1, O-H and C-H Stretching vibrations 1324 cm-1. Correspondingly the FTIR spectra of physical mixture and formulation DT8 also showed all these characteristic peaks with minor shifts. FT-IR spectra are presented in (fig. 1).

Fig. 1: Overlain FT-IR spectra of a. pure drug (Doxycycline hydrochloride) b. Physical mixture of formulation DT8

DSC analysis
The thermogram curve of doxycycline hydrochloride showed an endothermic sharp peak at 168.5 °C due to melting temperature of semi crystalline doxycycline. DSC data are presented in (fig. 2). The DSC curve of physical mixture showed the presence of endothermic peaks at 171.7 °C which corresponds to the melting of doxycycline. Comparisons of endothermic peaks of DSC curve of pure doxycycline, along with the physical mixture shows the absence of interaction and presence of drug in unchanged form.

Fig. 2: DSC thermograms of a. Pure drug (Doxycycline) b. Physical mixture of formulation DT8
Optimized method for in situ gel preparation
The use of TSP for the preparation of in situ gel-forming systems is substantiated by the property of its aqueous solutions to transform into stiff gels with change in temperature. GA facilitates the gelation of TSP and by the addition of NaCl to the GA/TSP might reduce the gelation temperature to the physiological temperature. The phosphate buffer pH 7.4 was used as a vehicle in the preparation of in situ gelling systems.
Experimental design
The use of TSP to prepare in situ forming gels substantiates the properties of their solutions to convert them into rigid gels with temperature changes. GA facilitates the gelation of TSP and by the addition of NaCl to the GA/TSP might reduce the gelation temperature to the physiological temperature.
Gelation temperature
The formulations indicated a range of 23±1.47 to 50±1.40 °C. The equation resulting by best suited mathematical model to share the response y and factors (GA, TSP and NaCl) was R1 =+123.63-71.25*A-18.75*B-36.25*C. The equation recommended the model F value 62.54 and P value<0.05, suggesting that the model is significant. The predicted r2 0.9165 compared with adjusted r2 0.9635 showed a good suited response of variables (fig. 3) showed with an increase in factors GA and NaCl, there is a decrease in the gelation temperature.
Viscosity
In the range, 6628 to 19146 cps, the viscosity values of all the formulation were found. R2 =-33187.75+ 29215.00* A+14007.50*B+20832.50*C was the equation extracted from the best suited mathematical model for R2 and the independent variables. ANOVA proposed model F value 98.66 and P value<0.05, showing that the model is significant. Also, the r2 0.9467 predicted is in fair competition with the r2 0.9767 adjusted. Viscosity has a major impact on GA, NaCl and TSP variables. 3 R2 plot Dimensional reaction (3D) is shown in (fig. 4) increased viscosity significantly with a rise in GA and NaCl variables.
Gelation time
Based on 23 factorial designs, the separate response variables for gravitational flood stimulation (R3) led in distinct combinations of factors A and B. R3=-80.25+67.50*A+25.00*B+45.00*C was the equation extracted from the best response R2 fit to the independent variables. ANOVA showed that model F value-139.76, P<0.05 was important. Also, the 0.9622 r2 predicted was comparable to the 0.9835 r2 adjusted. It was observed that the gelation time was considerably affected by A and B variables. R3's three-dimensional (3D) reaction surface plot (fig. 5) showed a substantial reduction in the stimulation of gravitational flow with increased levels of variables A and C. This connection may be due to enhanced system viscosity at higher concentrations of A and C variables.

Fig. 3: Contour plot and 3D response surface plot of factors AB, AC and BC on gelation temperature of doxycycline based in situ gels

Fig. 4: Contour plot and 3D response surface plot of factors AB, AC and BC on viscosity at 37 °C of doxycycline based in situ gels

Fig. 5: Contour plot and 3D response surface plot of factors AB, AC and BC on gravitational flow stimulation of doxycycline based in situ gels

Fig.6: Contour plot and 3D response surface plot of factors AB, AC and BC in vitro drug release at 12 h for doxycycline based in situ gels
In vitro drug release
The equation derived from the best fit mathematical model for in vitro drug release (R4) was R4=+120.91-16.08*A-7.77*B-12.70*C with a predicted r2 of 0.8743, which is reasonably in line with the 0.9450 adjusted r2. Compared to the impact of factor A, the impact of factor C was discovered to be more significant. The resulting release of Doxycycline from prepared in situ gels reduced substantially with a rise in factor A. Prolonged release of Doxycycline from formulations up to 12 h can be attributed to influence by factor A. ANOVA showed a model F value of 41.11 for the equation, with a P value<0.05, indicating the model's significant (fig. 6).
Checkpoint study and design optimization
The optimized in situ gel formulation (DT8) was obtained using an overlay plot (fig. 7) by applying limitations such as R1=36.5 °C, R2=12886 cps, R3= 16.7 min and R4=94.6% on the response, and these constraints were prevalent to all formulations.

Fig. 7: Overlay plot for optimized doxycycline in situ gel
By implementing DoE, suggested levels of factors from plots with desirability of 0.9447 with optimum values of chosen variables were calculated at 0.61 percent for A 9 0.99 percent for B and 0.67 percent of C as achieved by using DoE (fig. 8)
.
Fig. 8: Contour plot of optimized doxycycline in situ gel depicting overall desirability functions
The optimized gel formulation (DT8) was prepared to analyze the checkpoints and further evaluated for gelation temperature ( °C), gelation time (s), and in vitro release of drugs (percent cumulative release of drugs) up to 12 h (fig. 9), reflecting R1=36.5±0.61 °C, R2=12887±11 cps, R3=16.2±1.38 min and R4=94.65±0.59 percent.

Fig. 9: In vitro drug release of optimized formulation DT8 (mean±SD N=3)
Visual examination
The formulation was much clear and transparent with good homogeneity and absence of lumps.
pH determination
Formulations prepared had a pH in the range of 4.40–4.45, which is then adjusted using 0.2 N NaOH to 5.5–5.8 to avoid discomfort on application to the skin.
Determination of gelation temperature
DT9 optimized formulation showed gelation temperature at 37 °C. First, the sol-gel transition heat sensitivity is based on the gelation mechanism. With an increase in GA concentration, the gelation temperatures were obtained linearly. The formation and dissociation of hydrogen bonds in the gels may be linked to the gelling systems network structure. Moreover, in some gelling systems, the dissociation of hydrogen bonds occurred at 37 °C temperatures. In this research, increasing of GA molecules may improve the amount of hydrogen bonds created between GA molecules and TSP chains, which correspond to a rise in the number of intersections of gel networks and/or molecular stability.
Therefore, to split the gel structure comprising more GA molecules, the greater gel melting temperature is required. Native TSP chains do not have the coil–helix transforming property in an aqueous solution. The presence of GA–TSP heat hysteresis may indicate the existence of a stable network, potentially due to intermolecular hydrogen bonding that acts as a cross-link between GA molecules TSP chains.
Gravitational flow simulation
The thermosensitive behavior of the in-situ gel, when applied to the wound skin, was investigated using gravitational flow simulation at the relevant gelation temperature as noted before. A glass slide was used in this study due to its hydrophilic wettability that imitated a wounded skin. After equilibrating the mixtures to the respective gelation temperature on the slide, the time taken for the system to become gel and flow to the bottom was 17.35±0.46 min for optimized DT8 formulation.
Drug Content details
It was observed in situ gel formulation DT9 showed drug content of 99.32%.
Viscosity
Measurements of viscosity were performed at 25 °C and 37 °C. Viscosity trials showed a considerable rise in gels viscosity at 25 °C and 37 °C due to sol transformation as gel with temperature rise. The viscosity also improved as the GA concentration increased. But the formulation viscosity was observed to decrease as TSP concentration increased. Viscosity of optimized formulation DT8 at 25 °C and 37 °C was 963+3.80 cps and 12982+12.53 cps and 12381+12.53 cps.
In vitro release studies
It was found that drug release was 94.8±2.46% after 12 hr for optimized formulation DT8. These can be due to the higher concentration of GA and NaCl. The in vitro release studies data of DT9 was fitted to check best-suited mathematical models. It is evident from the data that Higuchi model was the best-suited model for DT8 and "n" value was observed to be above 0.5 and below 1 which indicates non-fickian diffusion-controlled mechanism. The obtained data is given in (table 2).
Sterility studies
No appearance of turbidity proving that microbial growth is absence in the formulation DT8 when incubated for at least 14 d. Therefore, the formulation DT8 passed in the test (fig. 10).
Percentage of wound contraction
The studies the on excision wound healing model reveal that all the three groups showed decreased wound area from day to day. However, on 20th post-wounding day, Group-I animals showed 90.12±0.27% of wound healing, Group II animals showed 93.02±0.77% of wound healing, where Group-III animals showed 99.78±0.11% of healing. All readings are found to be statistically significant and comparable with control. The epithelization time i.e. time at which complete scar formation occurs, also suggest that Doxycycline-TSP based in situ gel treated groups were found to be significant. On the basis of the results obtained in the present investigation, it is concluded that Doxycycline-TSP-based in situ gel has significant wound healing activity (table 3). Wound healing involves different phases such as contraction, epithelization, granulation, collagenation, which are concurrent but independent of each other. Hence in the present study, excision wound model animals treated with Doxycycline-TSP based in situ gel showed better and fast healing compared to control group. Also, there was a significant decrease in the epithelization period (fig. 11, 12).
Table 2: Model fitting for in vitro drug release
Formulation code |
Zero-order (R2) |
First-order (R2) |
Higuchi matrix (R2) |
Korsmeyer-peppas | Hixson-crowell (R2) |
Best fit model |
| (R2) | (n) | |||||
| DT8 | 0.9891 | 0.7892 | 0.9928 | 0.9847 | 0.7176 | 0.9367 |

Fig. 10: Sterility test for hydrogel in thioglycolate medium and soybean casein medium

Fig. 11: Percentage wound contraction on 4th day, 8th day, 12th day, 16th day and 20th day (mean±SD N=3)

Fig. 12: Percentage wound contraction on 4th day, 8th day, 12th day, 16th day and 20th day
Table 3: Effect of formulations on healing of excision wound model
| Treatment | 4th day | 8th day | 12th day | 16th day | 20th days | Epithelialization in days |
| Control | 17.32± 0.26 |
34.42± 0.27 |
58.66± 0.28 |
81.06± 0.26 |
90.12± 0.27 |
22.5±0.92 |
| TSP based hydrogel | 18.20± 0.47 |
35.97± 0.36 |
61.50± 0.50 |
82.25± 0.51 |
93.02± 0.77 |
21.52±0.54 |
Doxycycline -TSP based hydrogel |
33.52± 0.49 |
67.81± 0.52 |
82.55± 0.68 |
93.40± 0.55 |
99.78± 0.11 |
16.55±0.46 |
*Values are in mean±SD, N=3
Histopathological studies
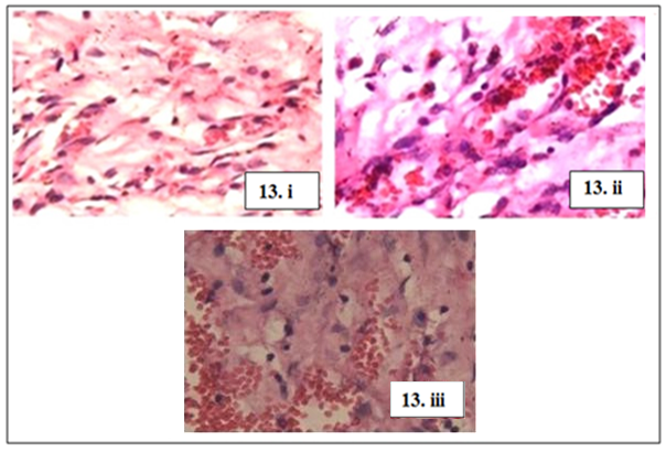
Microscopical examination of the sections prepared from the wounds are depicted as in (fig. 13).
Group 1–There were no major changes in the appearance of the dermal matrix in any of the treatment groups relative to the control.
Group 2-In skin from TSP-based in situ gel treated animals; there was an increase in the number of blood vessels in the immediate sub-epithelial dermis as compared with the control group.
Group 3-In skin, the tissue shows dense fibrous tissue with fibroblasts and collagen fibers. The characters are almost to that of the normal.

Fig. 13: Histopathology of regenerated tissue of open wounds i. Group 1 ii. Group 2 iii group 3
Stability studies
Optimized in situ gel formulations were subjected to stability studies at 5±3 °C and 25±2 °C/60±5% RH conditions for 6 mo each. As the developed in situ gel is supposed to be stored at refrigerated temperature, 5±3 °C temperature condition was implied for assessing long-term storage. No noticeable/significant change in the physical properties, gelation parameters (temperature, time), and drug content of the optimized formulation was perceived during the study period; indicating an exhibit of good stability by optimized in situ gel formulation during the study period.
Infection is a substantial problem in managing wounds. Antimicrobials can therefore play a significant part in wound healing processes. Other elements of wound healing mechanism such as cell migration and proliferation, angiogenesis and collagen synthesis are also essential, which can contribute to restore damaged tissue. Therefore, in addition to wound regeneration, a single compound with antimicrobial characteristics would be the finest pharmaceutical product capable of enhancing the wound healing method by distinct processes. It can boost cell reproduction, migration, and collagen synthesis, thus stopping complications of the injury, thereby enhancing the patient’s quality of life. Natural polymers are commonly used in the sector of regenerative medicine because of their biocompatibility, biodegradability and resemblance to the extracellular matrix for wound healing.
Natural polymers are commonly used in the sector of regenerative medicine because of their biocompatibility, biodegradability and resemblance to the extracellular matrix for wound healing. Natural polymers are engaged in repairing damaged tissues and subsequently in skin regeneration by causing and promoting the wound healing cycle. These typically consist of a polymeric network that can comprise up to 96 % or greater water content. As a consequence, they are referred to as 'hydrogels’, and their growing capacity in water enables them to display an atmosphere that resembles the extremely hydrated condition of natural bodies. Although naturally based polymers are produced by batch-to-batch differences and bad mechanical characteristics, they are also easily accessible, cheap and simple to manufacture into hydrogels, making them attractive decisions. Because of their three-dimensional cross-linked polymeric networks immersed with water or biological liquids, biomaterial hydrogels are used in the pharmaceutical and biomedical region, particularly for wound management.
Tamarind seed polysaccharide indicated that they contain such chemical components that can be used for rheological alteration and wound healing applications in pharmaceutical products. There has always been a quest for such ingredient or excipient that holds wound healing properties along with the capacity to modify rheology.
The thermo sensitive gels were formulated, characterized and evaluated for various parameters to confirm its in-situ gel properties. The drug and excipient mixture showed the characteristic peaks with no interaction when compared with FTIR spectra and DSC thermograms. The viscosity and the gelation time of hydrogel showed to be significant by ANOVA. The release of doxycycline was prolonged up to 12 h due to the impact of Factor A with the best fitted Peppas model compared to study a carried out by Ning L et al. considering thermosensitive hydrogel of methylcellulose modified by stearic acid (MCS) the release studies revealed that MCS hydrogel could exhibit a control release for 10 h [28]. The optimized formulation was found to be clear, good homogeneity with no microbial activity. The wound contraction of albino rats was recorded at 4, 8, 12, 16 and 20 d. The excision wound models treated with Doxycycline-TSP hydrogel showed rapid healing capacity when compared with the control groups over a period of time. Singh et al. has studied wound healing activity of the ethanolic extract of leaves of Mimosa pudica Linn. belong to family Mimisace, the extract-treated animals exhibited 73% and 92% respective (5% and 10%w/w) formulations, reduction in the wound area [30]. Budiman et al. results exhibited that their best formulation of gel consisting of 2 % w/w of carboxymethyl cellulose (CMC) 1.1 % w/w of Aloe vera extract, and 3 % w/w of Piper betle extract. The gel preparation of Piper betle and Aloe vera extract could accelerate burn healing, where the healing percentage on the 9th d (53+1.3 %) is higher than the control (21+1.2%) as well as the erythema and eschar, which is lower than the control [31]. Arif et al. experiments exhibited the formulation containing 1 % of carbomer and 1.2 % of Gynura segetum (GS) extract had the best physical stability. The gel increased the rate of the healing process with decreased burn wound contraction (5.67 mm after 15 d) and the erythema than the control (8.50 mm after 15 d) [32]. Our histological studies proved that the skin of treated rats of group III was normal with fibrous tissue, fibroblasts and collagen fibers with epithelization in 16.55±0.46 and 99.78±0.11% of healing. This concluded that Doxycycline-TSP based in situ gel has significant wound healing activity. The optimized gel was found to be stable at 5±3 °C and 25±2 °C/60±5% RH conditions for 6 mo without any significant changes with respect to evaluation parameters.
The aqueous solution of TSP was unable to form a gel but GA along with NaCl was able to induce the gelation of TSP. The GA–TSP gels are completely thermoreversible. The viscoelastic behavior at physiological temperature depended on the concentration of GA. A strong viscoelastic gel was formed at body temperature in the GA–TSP mixture containing 0.6% (w/v) GA. Formulation DT9 showed significant wound healing property and it is comparable to control group. Formulation DT9 treated group showed faster epithelialization and greater rates of wound contraction. Estimated quantities of the collagen, an important biochemical agent for wound healing were found to be higher in treated wounds than the controlled one as a result faster epithelialization was found with higher tensile strength. Formulation DT9 showed no appearance of turbidity and hence no evidence of microbial growth when incubated for not less than 14 d. The adjustable properties of GA–TSP gels simply by changing the concentration of GA would most likely allow them to be developed into biomaterials for biomedical applications in the near future.
The author Mr. Sandeep Kanna, express deep sense of gratitude towards JSS AHER, Mysuru for the provision of obligatory facilities to carry out present research work. Authors are also thankful to A) Dr Yogesh. D Experimental Histopathologist, Genespy Research Services, Mysuru, B) Ms. Chandni Saha and Mr. Tanmoy Das, Dept. of Pharmaceutics, JSSCP, Mysuru, C) Mr. Nabeel, Dept. of Pharmacology, JSSCP, Mysuru, for their assistance to carry out this work.
FUNDING
Nil
AUTHORS CONTRIBUTIONS
All authors have contributed equally.
The Author(s) declare that there is no conflict of interest.
Thu HE, Zulfakar MH, Ng SF. Alginate-based bilayer hydrocolloid films as potential slow-release modern wound dressing. Int J Pharm 2012;434:375–83.
Boateng J, Catanzano O. Advanced therapeutic dressings for effective wound healing--a review. J Pharm Sci 2015;104:3653–80.
Vasconcelos A, Cavaco Paulo A. Wound dressings for a proteolytic-rich environment. Appl Microbiol Biotechnol 2011;90:445–60.
Mehta BK, Pattnaik A, Kumar A. Enhancement and validation of wound healing activity with herbal gel formulated from sub-fraction of Buchnania lanzan spreng. Bark extract. Int J Pharm Pharm Sci 2014;6:281-6.
Siang R, Teo SY, Lee SY, Basavaraj AK, Koh RY, Rathbone MJ. Formulation and evaluation of topical pentoxifylline-hydroxypropyl methylcellulose gels for wound healing application. Int J Pharm Pharm Sci 2014;6:535-9.
Kamoun EA, Kenawy RS, Chen X. A review on polymeric hydrogel membranes for wound dressing applications: PVA-based hydrogel dressings. J Adv Res 2017;8:217–33.
Saxena A, Kaloti M, Bohidar HB. Rheological properties of binary and ternary protein-polysaccharide co-hydrogels and comparative release kinetics of salbutamol sulphate from their matrices. Int J Biol Macromol 2011;48:263–70.
Sushanth KA, Lakshmi KC, Reddy DS. Evaluation of wound healing activity with a new formulation of dry Mangifera indica and honey using swiss albino mice. Asian J Pharm Clin Res 2016;9:139-42.
Ilmain F, Tanaka T, Kokufuta E. Volume transition in a gel driven by hydrogen bonding. Nature 1991;349:400–1.
Khatri SK, Rathnanand M, Nikhila R. Formulation and evaluation of wound healing activity of linezolid topical preparations on diabetic rats. Int J Appl Pharm 2016;8:30-6.
Inoue M, Suzuki R, Koide T, Sakaguchi N, Ogihara Y, Yabu Y. Antioxidant, gallic acid, induces apoptosis in HL-60RG cells. Biochem Biophys Res Commun 1994;204:898–904.
Chiang JH, Yang JS, Ma CY, Yang MD, Huang HY, Hsia TC, et al. Danthron, an anthraquinone derivative, induces DNA damage and caspase cascades-mediated apoptosis in SNU-1 human gastric cancer cells through mitochondrial permeability transition pores and Bax-triggered pathways. Chem Res Toxicol 2011;24:20–9.
Priscilla DH, Prince PSM. Cardioprotective effect of gallic acid on cardiac troponin-T, cardiac marker enzymes, lipid peroxidation products and antioxidants in experimentally induced myocardial infarction in wistar rats. Chem Biol Interact 2009;179:118–24.
Vijayanand P, Jyothi V, Mounika A. Hibiscus rosa sinensis loaded solid lipid nanoparticles and in vivo wound healing activity in wistar albino rats. Int J Curr Pharm Res 2020;12:78-83.
Joseph J, Kanchalochana SN, Rajalakshmi G, Hari V, Durai RD. Tamarind seed polysaccharide: a promising natural excipient for pharmaceuticals. Int J Green Pharm 2012;6:270-8.
Osmani RAM, Kulkarni PK, Shanmuganathan S, Hani U, Srivastava A, Prerana M, et al. A 32 full factorial design for development and characterization of a nanosponge-based intravaginal in situ gelling system for vulvovaginal candidiasis. RSC Adv 2016;6:18737-50.
Sangfai T, Tantishaiyakul V, Hirun N, Li L. Microphase separation and gelation of methylcellulose in the presence of gallic acid and NaCl as an in-situ gel-forming drug delivery system. AAPS PharmSciTech 2017;18:605–16.
Fedelic AT, Rajesh SP. Novel drug delivery strategies and approaches for wound healing managements. JCR 2015;2:12-20.
Wamorkar V, Varma MM, Manjunath SY. Formulation and evaluation of stomach specific in situ gel of metoclopramide using natural, bio-degradable polymers. Int J Res Pharm Biomed Sci 2011;2:193-201.
Li J, Liu H, Liu L, Cai C, Xin H, Liu W. Design and evaluation of a brinzolamide drug-resin in situ thermosensitive gelling system for sustained ophthalmic drug delivery. Chem Pharm Bull 2014;62:1000–8.
Song Y, Nagai N, Saijo S, Kaji H, Nishizawa M, Abe T. In situ formation of injectable chitosan-gelatin hydrogels through double crosslinking for sustained intraocular drug delivery. Mater Sci Eng C Mater Biol Appl 2018;88:1–2.
Galgatte UC, Kumbhar AB, Chaudhari PD. Development of in situ gel for nasal delivery: design, optimization, in vitro and in vivo evaluation. Drug Delivery 2014;21:62–73.
Behera B, Patil V, Sagiri SS, Pal K, Ray SS. Span-60-based organogels as probable matrices for transdermal/topical delivery systems. J Appl Polym Sci 2012;125:852–63.
Hosny KM, Rizg WY, Khallaf RA. Preparation and optimization of in situ gel loaded with rosuvastatin-ellagic acid nanotransfersomes to enhance the anti-proliferative activity. Pharmaceutics 2020;12:263.
Ranch KM, Maulvi FA, Naik MJ, Koli AR, Parikh RK, Shah DO. Optimization of a novel in situ gel for sustained ocular drug delivery using Box-Behnken design: In vitro, ex vivo, in vivo and human studies. Int J Pharm 2019;554:264–75.
Wang Q, Zuo Z, Cheung CKC, Leung SSY. Updates on thermosensitive hydrogel for nasal, ocular and cutaneous delivery. Int J Pharm 2019;559:86–101.
Mundada AS, Shrikhande BK. Design and evaluation of soluble ocular drug insert for controlled release of ciprofloxacin hydrochloride. Drug Dev Ind Pharm 2006;32:443–8.
Nithya M, Suguna L, Rose C. The effect of nerve growth factor on the early responses during the process of wound healing. Biochim Biophys Acta 2003;1620:25–31.
Ning L, Meihua Y, Liandong D, Jun Y, Anjie D. Thermosensitive hydrogel of hydrophobically-modified methylcellulose for intravaginal drug delivery. J Mater Sci: Mater Med 2012;23:1913–9.
Singh MP, Bharghava S, Bhaduaria RS, Sharma CS. Wound healing potential of alcoholic extract of mimosa pudica linn. leaves. Pharmacologyonlin 2010;2:32-8.
Budiman A, Khoerunnisa R, Tazyinul AQ. Wound-healing test of piper betle leaf extract and aloe vera in gel preparation. Int J Appl Pharm 2018;10:86-91.
Budiman A, Muharam, Maulida AC, Aulifa DL. Formulation of gel from gynura segetum extract and its activity on burn wound healing. Int J Appl Pharm 2021;13:269-71.