
Institute of Pharmaceutical Technology, Sri Padmavati Mahila Visvavidyalayam, Tirupati, 517502, India
Email: vidyasur@rediffmail.com
Received: 15 Jan 2022, Revised and Accepted: 25 Feb 2022
ABSTRACT
Objective: The aim of the present study was to design and in vitro–in vivo evaluation of Donepezil Hydrochloride solid lipid nanoparticles (DHSLN).
Methods: A modified solvent injection method was used to produce Donepezil-loaded solid lipid nanoparticles. A Response Surface Method 3-factor, 2-level Box-Behnken design was applied to study the effect of independent variables on dependent variables. Then it was coated with tween 80 for ease of permeability through the blood-brain barrier due to intact absorption of solid lipid nanoparticles. The prepared SLN was evaluated for particle size, zeta potential analysis, Entrapment efficiency, In vitro drug release study, Field Emission-scanning electron microscopy, In vivo Pharmacokinetic and Pharmacodynamics studies.
Results: The results of coated optimized formulation showed an average particle size of 185.8 nm, entrapment efficiency of 78.52±2.54%, and in vitro drug release of 98.62±3.14% at 36h at pH 7.4. The pharmacokinetic data show higher Cmax and improved bioavailability, which was also supported by behavioural changes observed in locomotor activity for surface-modified SLN formulation.
Conclusion: Thus, the current study successfully designed, developed an optimized SLN formulation. The surface-modified SLN proved to enhance the permeability of the drug through barrier, which led to the enhancement of Donepezil bioavailability and locomotor activity.
Keywords: Solid lipid nanoparticle, Optimization, Donepezil HCl, Particle size, Entrapment efficiency
© 2022 The Authors.Published by Innovare Academic Sciences Pvt Ltd. This is an open access article under the CC BY license (https://creativecommons.org/licenses/by/4.0/)
DOI: https://dx.doi.org/10.22159/ijap.2022v14i3.44145. Journal homepage: https://innovareacademics.in/journals/index.php/ijap
Solid Lipid Nanoparticles are colloidal particles with a size between 50 to 1000 nm. They're made up of phospholipids in nanometric range with high loading efficiency and are designed to improve drug delivery for lowering drug toxicity and good stability in biological fluids. Surface modified Solid lipid nanoparticles are at the forefront of the rapidly emerging field of nanotechnology, with a wide range of potential uses in drug delivery, clinical treatment, research, and other domains. Lipid nanoparticles provide the opportunity for developing new therapies due to their unique size-dependent characteristics. The capacity to include pharmaceuticals into nanocarriers creates a new drug delivery concept that can be employed for secondary and tertiary drug targeting [1-4].
Poor drug loading capacity, drug expulsion following polymeric transition during storage, and relatively high water content of the dispersion (70-99.9%) have all been identified as potential drawbacks of SLN. The solubility of the drug in the lipid melt, the structure of the lipid matrix, and the polymeric state of the lipid matrix all limit the drug loading capacity of conventional SLN, If the lipid matrix contains molecules that are particularly similar (such as tristearin or tripalmitin), a perfect crystal with few defects forms. A highly ordered crystal lattice cannot accommodate large amounts of incorporated drugs because they are located between fatty acid chains, between lipid layers, and also in crystal imperfections. As a result, more complex lipids are more appropriate for increased drug loading. As a result, solid lipid nanoparticles are chosen for delivering Donepezil Hydrochloride for site-specific drug administration and also to enhance the permeability of drug [5, 6].
Donepezil is a reversible acetyl-cholinesterase inhibitor that acts centrally. Its primary therapeutic application is to treat Alzheimer's disease, where it is utilized to boost cortical acetylcholine levels. It is well absorbed in the gut, with a 100% oral bioavailability, and crosses the blood-brain barrier with ease. Donepezil comes in a variety of polymorphic forms, however, only polymorph 1 was used in this study. Since both active chemicals have a high solubility and are categorized as BCS class I compounds, particle size is not a factor in the production process or product functionality. The goal of this study was to improve Donepezil's permeability, bioavailability, and targeting efficiency by incorporating it into coated SLN and also to overcome the disadvantages of uncoated SLN like less loading efficiency, stability and drug expulsion due to polymeric transition during log storage [7, 8].
Materials
Donepezil is a gift sample from Aurobindo Pharma Limited, Hyderabad. Tristearin (90%), Lecithin soya (30%) was purchased from Himedia Laboratories Pvt. Ltd., Mumbai. Double distilled water is used throughout the study. All materials and other chemicals were analytical reagent (AR) grade.
Methodology
Preparation of Donepezil SLNs
Various factors such as lecithin concentration (50, 60, 70 mg), drug concentration (5,7.5,10 mg), surfactant concentration (0.1, 0.2, 0.3 ml), stirring time (1 h), stirring speed (2000rpm), and sonication time (1 min) were fixed in optimization study, and their effect on particle size (nm), entrapment efficiency (%), and drug release (%) was determined by the Design-Expert software 7. A small modification of the previously reported modified solvent injection approach was used to make Donepezil SLNs. Lipids (soya lecithin, tristearin) was dissolved in ethanol with continuous stirring at 60 ° C., and the Donepezil HCl was added to the organic phase. An aqueous phase was prepared by dissolving surfactant in phosphate buffer solution (PBS) pH 7.4 and maintained at same temperature of organic phase (60°C). Hot organic phase was added to the aqueous phase with the aid of 24G needle syringe under continuous stirring (Remi Instruments, India) at a constant speed (2000rpm) for duration of 1 h and maintained at 60°C. This led to the formation of a dispersion, which was then filtered with a Whatmann filter paper in order to remove excess lipid and ultra-sonicated using a probe sonicator (Lark, innovative technology, Chennai) and cooled to room temperature for SLNs formation [9-13].
Because the optimization method only takes a few runs with three or four variables, a 15-run, 32 Box-Behnken design was used to generate polynomial models for the optimization process. This model could be used to investigate the quadratic response surface and build a second-order polynomial model using Design-Expert software (Trial Version10.1.6, Stat-Ease Inc., MN). The design consisted of replicated center points and a set of points located at the midpoints of each edge of the multidimensional cube, which defined the region of interest for evaluating the main effects, interaction effects, and quadratic effects of the formulation ingredients, as well as optimizing the formulation [14-17]. Table 1 shows the experiment design matrix created by the software.
Table 1: Box-behnken optimization design
| Std | Run | Factor 1 | Factor 2 | Factor 3 |
| A: Lipid | B: Surf | C: Drug | ||
| level/mg | level/ml | level/mg | ||
| 14 | 1 | 0/60 | 0/0.2 | 0/7.5 |
| 12 | 2 | 0/60 | 1/0.3 | 1/10 |
| 5 | 3 | -1/50 | 0/0.2 | -1/5 |
| 3 | 4 | -1/50 | 1/0.3 | 0/7.5 |
| 7 | 5 | -1/50 | 0/0.2 | 1/10 |
| 9 | 6 | 0/60 | -1/0.1 | -1/5 |
| 1 | 7 | 1/50 | -1/0.1 | 0/7.5 |
| 6 | 8 | 1/70 | 0/0.2 | -1/5 |
| 4 | 9 | 1/70 | 1/0.3 | 0/7.5 |
| 15 | 10 | 0/60 | 0/0.2 | 0/7.5 |
| 11 | 11 | 0/60 | -1/0.1 | 1/10 |
| 10 | 12 | 0/60 | 1/0.3 | -1/5 |
| 8 | 13 | 1/70 | 0/0.2 | 1/10 |
| 2 | 14 | 1/70 | -1/0.1 | 0/7.5 |
| 13 | 15 | 0/60 | 0/0.2 | 0/7.5 |
Drug and excipient compatibility studies
Fourier-transform infrared spectroscopy (FTIR) studies
FTIR studies of Donepezil (pure drug) and Donepezil SLN were conducted to assess any changes in the drug's main functional groups and to establish that the drug was entrapped in lipid. The experiment was carried out using a direct sampling method on an IR spectrophotometer (Shimadzu, FTIR 8700) in the frequency range of 400 to 4000 cm-1 [18].
Differential scanning calorimetry (DSC) studies
Donepezil (pure drug) and Donepezil SLN were studied using DSC to see if there was any difference in the drug's melting enthalpy, glass transition temperature, or interactions with ingredients. The research was conducted using a DSC Q1000 TA equipment. Approximately 2-5 mg of sample was deposited in standard aluminium pans and scanned in the range of 5 °C to above its melting point with a temperature increment speed of 10 °C/min under dry nitrogen (flow rate 50 ml/min) as effluent gas [19].
Liquid X-ray diffraction (XRD) studies
XRD tests of Donepezil (pure drug) and Donepezil SLN were conducted to determine the crystallinity of the drug in both pure and SLN form. A Siemens DIFFRAC plus 5000 liquid diffractometer with CuK radiation was used for the experiment (1.54056A). The voltage and current of the tube were set to 40 kV and 40 mA, respectively. Each sample was scanned with a step size of 0.01° at 1 step between 10° and 40° [20].
Evaluation of SLN
Particle size and zeta-potential analysis
To obtain optimal particle counts, all samples were diluted in a 1:10 ratio with deionized water. Zetasizer was used to determine the particle size and zeta-potential of optimal SLN dispersions (Malvern Instruments Ltd., UK). Before measurement, all samples were diluted with double distilled water to attain an acceptable concentration [21-26].
Entrapment efficiency
The size exclusion approach (Sephadex G–50 mini-column) was used to determine it. To expel and remove void volume containing SLN into the centrifuged tubes, 2 ml of SLN dispersion was poured dropwise on the top of the column and then centrifuged at 2000rpm for 2 min at room temperature (Remi Instruments Pvt. Ltd, India). The amount of entrapped drug was measured spectrophotometrically at λ max 271 nm (Shimadzu 1800, Japan) and the amount of eluted dispersion was lysed by disrupting with 0.1 % Triton X-100 [27-29].

In vitro drug release study
In vitro release tests were carried out on the SLN using 150 ml of phosphate buffer (PBS) pH 7.4 as the dissolving medium, which was maintained at 37±0.5 °C. The dialysis bag method (Hi-media, molecular weight cut-off 12,000 Daltons) was modified to maintain a sink state and achieve acceptable repeatability in in vitro release studies. Two milliliters of Donepezil-loaded SLN dispersion were poured into the dialysis bag and threaded together before being placed into the pre-heated dissolving media. A magnetic stirrer running at 50 rpm was used to stir the suspension at 37±0.5 °C. At fixed time intervals up to 24 h, 5 ml of the sample was taken and replaced with the same volume of the new medium. The samples were spectrophotometrically examined at a wavelength of max 454 nm. Sodium chloride 0.670 g, sodium bicarbonate 0.200 g, calcium chloride dihydrate 0.008 g, and purified water q. s. 100 Ml were used to make Donepezil Hydrochloride [22-26].
Coating of optimized formulation (COF)
A 1% (w/v) polysorbate 80 (Tween® 80) solution was used to modify the surface of optimized SLNs. It was mixed into a nanoparticle suspension for surface coating for 30 min with the help of a magnetic stirrer. The resulting coated nanoparticles were centrifuged, redispersed and stored in the refrigerator for subsequent study [30-32].
Field emission-scanning electron microscopy (FE-SEM)
At 25±2 °C, the surface morphology of COF was investigated using a FE-SEM (BRUKER, x-Flash 6130, USA). The SLN dispersion was spread out on a silicon wafer and allowed to dry for 24 h. It was also examined at 50.000 times magnification with a 10 kV accelerating voltage [36, 37].
In vivo studies
Albino wistar male rats were used in this study to illustrate the effect of the improved formulation on psychosis-induced animals and to determine the bioavailability of Donepezil. The Institutional Animal Ethical Committee approved the animal study protocol. The animals were housed in propylene cages that were filled with rice husk. The temperature and humidity levels in the room were kept constant. Throughout the process, ethical rules were followed. The animals were rehabilitated. After the experimental procedure was completed, IAEC, Sri Padmavathi School of Pharmacy, Tiruchanoor, authorized all animal experiments (IAEC No: SPSP: 1016/PO/Re/S/06/CPCSEA/2017/014.
Pharmacokinetic study
The animals were placed into three groups, each of which had six animals. The first group received simply drug oral suspension (0.5 mg/kg); the second group received drug-loaded SLN oral suspension (0.5 mg/kg); and the third group received surface-modified SLN. The oral feeding tube was used to give the entire medication solution. At predetermined intervals, blood samples were taken from the tail vein (0, 0.5, 1, 1.5,3, 6, 16, 22 and 24 h). To avoid blood clotting, an EDTA solution was added. Each blood sample received 1.5 ml of acetonitrile before being centrifuged at 3000 rpm for 10 min. The supernatant liquid was collected and evaluate the plasma drug concentration in HPLC. These studies were carried out using 4.6×250 mm “Phenomenex” C18 HPLC column with 5 µ particles. Each time, 20 µl of sample was injected. Acetonitrile: potassium dihydrogen phosphate buffer pH3.2 (5:95 % v/v) was utilized as the mobile phase. The flow rate was kept constant at 1 ml/min. Donepezil hydrochloride were spectrophotometrically analyzed at λ max 271 nm for Donepezil hydrochloride [23-37]. All studies on animals were approved by IAEC, Sri Padmavathi School of Pharmacy, Tiruchanoor (IAEC No: SPSP: 1016/PO/Re/S/06/CPCSEA/2017/014)
Pharmacodynamics study
The animals were placed into four groups, each of which had six animals. Group I was a normal control group with no induction or treatment; Group II was a negative control group that was induced with Ketamine (30 mg/kg for 5 d); Group III was induced with Ketamine (30 mg/kg for 5 d) along with treatment with Donepezil SLN (0.5 mg/kg); Group IV was induced with Ketamine (30 mg/kg for 5 d) together with treatment with Donepezil surface-modified SLN (0.5 mg For 5 d, animals in groups II-IV were injected with 30 mg/kg of Ketamine solution. The induction of psychosis was confirmed by measuring locomotor activity. After 1.5 h of dosing as per the above groups the locomotor activity was checked for 5 min using actophotometer [29-37]. All studies on animals were approved by IAEC, Sri Padmavathi School of Pharmacy, Tiruchanoor (IAEC No: SPSP: 1016/PO/Re/ S/06/CPCSEA/2017/014).
Optimization of formulation and process variables
Box-behnken Design (32 Factorial Design in Design expert programme) with Polynomial Quadratic Model and Multiple Linear Regression approach was used to optimize formulation and process parameters for SLN formulation, as shown in table 2-5. The quadratic model suggests a P value of 0.0083 in the sum of squares. Selected the highest order polynomial with significant additional terms and no aliasing. The chosen model has a minor lack of fit, as evidenced by the P-value of 0.3099 obtained from the Lack of Fit test. The Model F-value of 66.61 indicates that the model is statistically significant. An F-value of this magnitude has a 0.01 % chance of occurring due to noise. Model terms with P-values less than 0.0500 are significant. A, B, AC, B2, C2 are important model terms in this situation. The model terms are not important if the value is bigger than 0.1000. Model reduction may improve our model if there are many inconsequential model terms (not including those required to support hierarchy). The F-value of 2.38 for the Lack of Fit indicates that it is not significant in comparison to the pure error. Due to noise, a significant Lack of Fit F-value has a 30.99 % chance of occurring. A minor lack of fit is acceptable, as it is required to fit the model. The Adjusted R2 of 0.9768 is reasonably close to the Predicted R2 of 0.8926; that is, the difference is less than 0.2. The signal-to-noise ratio is measured by enough precision. It is preferable to have a ratio of more than four. The signal-to-noise ratio of 24.639 suggests that the signal is adequate. As a result, we can use this model to navigate the design space. When all other factors are maintained constant, the coefficient estimate provides the expected change in response per unit change in factor value. In an orthogonal design, the intercept is the overall average response of all the runs. The coefficients are modifications based on the factor settings around that average. The variance inflation factor (VIF) is 1 when the factors are orthogonal; VIFs more than 1 imply multi-colinearity; the higher the VIF, the more severe the factor correlation. VIFs of fewer than ten are considered tolerable. For given levels of each element, the equation in terms of coded factors can be used to make predictions about the response. The high levels of the factors are coded as +1 and the low levels of the factors are coded as -1 by default. By comparing the factor coefficients, the coded equation can be used to determine the relative impact of the components. It was discovered from the data that there was a good association between lipid concentration and particle size (r2= 0.9917). It determines whether there is an increase in lipid concentration as particle size increases (when using ANOVA). It exhibits P<0.0001, indicating that there is a substantial difference in PS when Lipid concentration rises, indicating positive linear regression. Entrapment Efficiency was shown to increase as surfactant concentration was increased (EE). However, one of the particles' maximal conductivity abilities was obtained. There is no change in entrapment efficiency when surfactant levels rise above 0 (r2 = 0.9866 linear regression). It could be because of the influence of higher lipid and surfactant concentrations. P-value = 0.0001 was calculated using ANOVA, indicating that increasing surfactant and lipid concentrations resulted in a significant change in EE. The relation between surfactant and lipid concentration on Drug Release shows regression correlation values as r2= 0.9850. Increase in lipid and surfactant concentration leads to an increase in entrapment efficiency, and further shows a good control and increase in drug release. The results are shown in fig. 1. From the checkpoint analysis data, solution-1 (table 6) SLN formulation was selected for further studies [18-20].



FT-IR studies
FT-IR tests were carried out on the following samples, such as Donepezil and Donepezil lipid mixture, in order to explore the structural composition of the drug and excipients in the form of functional group frequencies and their reproducibility in excipient mixtures and formulations. Fig. 2 shows typical FT-IR spectra of the material mentioned above. When compared to Donepezil Lipid mixture, which shows infrared absorption at 1601.00; 1473.69, 717.55 cm-1, pure Donepezil showed high infrared absorption at 1605, 1589, 1500, 749, 702 cm-1. Another finding was that the IR spectra of Donepezil lipid did not contain any new peak, indicating that there was no strong interaction and no incompatibility between the excipients in the formulation [13, 14].
DSC studies
Due to drug entrapment in the lipid, the melting point of Donepezil (pure drug) was marginally reduced in Coated SLN, from 224.5 °C (fig. 3) to 222.2 °C (fig. 3A), possibly due to the presence of excipients. Because the drug was encased in lipid, the melting point of lipid peaked at 222.2 °C. According to studies, the majority of SLNs have a less organized crystal organization, resulting in an amorphous dissolved state within the lipid, confirming the drug loading [15].
Table 2: optimization design showing the effect of independent variable on dependent variable
| Std | Run | Factor 1 | Factor 2 | Factor 3 | Response 1 | Response 2 | Response 3 |
| A: Lipid | B: Surf | C: Drug | PS (Minimize)* | EE (Maximize)* | DR (Maximize)* | ||
| level/mg | level/ml | level/mg | Nm | % | % | ||
| 14 | 1 | 0/60 | 0/0.2 | 0/7.5 | 158.5±1.42 | 67.12±2.17 | 92.61±3.84 |
| 12 | 2 | 0/60 | 1/0.3 | 1/10 | 135.3±2.12 | 61.51±1.64 | 81.28±3.42 |
| 5 | 3 | -1/50 | 0/0.2 | -1/5 | 112.4±2.20 | 60.81±2.26 | 80.63±2.40 |
| 3 | 4 | -1/50 | 1/0.3 | 0/7.5 | 109.8±1.32 | 60.16±2.30 | 77.75±3.84 |
| 7 | 5 | -1/50 | 0/0.2 | 1/10 | 138.4±2.30 | 62.13±3.28 | 82.53±2.66 |
| 9 | 6 | 0/60 | -1/0.1 | -1/5 | 142.8±3.22 | 63.18±2.02 | 86.37±3.84 |
| 1 | 7 | 1/50 | -1/0.1 | 0/7.5 | 132.2±2.12 | 61.19±1.45 | 80.05±2.80 |
| 6 | 8 | 1/70 | 0/0.2 | -1/5 | 190.7±1.34 | 76.67±2.36 | 95.29±3.84 |
| 4 | 9 | 1/70 | 1/0.3 | 0/7.5 | 178.3±2.42 | 70.53±2.54 | 93.83±2.46 |
| 15 | 10 | 0/60 | 0/0.2 | 0/7.5 | 161.7±2.40 | 67.84±3.60 | 91.14±3.84 |
| 11 | 11 | 0/60 | -1/0.1 | 1/10 | 154.6±1.20 | 64.85±2.42 | 87.82±2.46 |
| 10 | 12 | 0/60 | 1/0.3 | -1/5 | 140.9±2.14 | 62.73±2.82 | 84.29±3.84 |
| 8 | 13 | 1/70 | 0/0.2 | 1/10 | 183.1±2.46 | 72.46±2.13 | 93.98±2.60 |
| 2 | 14 | 1/70 | -1/0.1 | 0/7.5 | 194.2±2.20 | 78.52±2.54 | 95.76±3.84 |
| 13 | 15 | 0/60 | 0/0.2 | 0/7.5 | 164.4±2.16 | 68.75±2.81 | 91.86±2.44 |
*Data represents in mean±SD (n=3)
Table 3: ANOVA for quadratic model, which shows the response of independent variable on PS
| Source | Sum of squares | df | Mean square | F-value | p-value | |
| Model | 9547.44 | 9 | 1060.83 | 66.61 | 0.0001 | significant |
| A-LIPID | 8032.78 | 1 | 8032.78 | 504.36 | <0.0001 | |
| B-SURF | 442.53 | 1 | 442.53 | 27.79 | 0.0033 | |
| C-DRUG | 75.65 | 1 | 75.65 | 4.75 | 0.0812 | |
| AB | 10.56 | 1 | 10.56 | 0.6632 | 0.4525 | |
| AC | 282.24 | 1 | 282.24 | 17.72 | 0.0084 | |
| BC | 75.69 | 1 | 75.69 | 4.75 | 0.0811 | |
| A² | 21.64 | 1 | 21.64 | 1.36 | 0.2964 | |
| B² | 393.94 | 1 | 393.94 | 24.73 | 0.0042 | |
| C² | 224.88 | 1 | 224.88 | 14.12 | 0.0132 | |
| Residual | 79.63 | 5 | 15.93 | |||
| Lack of Fit | 62.19 | 3 | 20.73 | 2.38 | 0.3099 | not significant |
| Pure Error | 17.45 | 2 | 8.72 | |||
| Cor total | 9627.08 | 14 |
ANOVA-analysis of variance

Fig. 1: 3D Contour plot showing Independent variable effect on (A) Particle size (nm); (B) Entrapment efficiency (%); (C) Percentage amount of drug release (24h)
Table 4: ANOVA for quadratic model, which shows the response of independent variable on EE
| Source | Sum of squares | df | Mean square | F-value | p-value | |
| Model | 473.14 | 9 | 52.57 | 40.86 | 0.0004 | significant |
| A-LIPID | 363.02 | 1 | 363.02 | 282.15 | <0.0001 | |
| B-SURF | 20.51 | 1 | 20.51 | 15.94 | 0.0104 | |
| C-DRUG | 0.7442 | 1 | 0.7442 | 0.5784 | 0.4812 | |
| AB | 12.11 | 1 | 12.11 | 9.41 | 0.0278 | |
| AC | 7.65 | 1 | 7.65 | 5.94 | 0.0588 | |
| BC | 2.09 | 1 | 2.09 | 1.62 | 0.2587 | |
| A² | 19.93 | 1 | 19.93 | 15.49 | 0.0110 | |
| B² | 25.47 | 1 | 25.47 | 19.80 | 0.0067 | |
| C² | 18.02 | 1 | 18.02 | 14.01 | 0.0134 | |
| Residual | 6.43 | 5 | 1.29 | |||
| Lack of Fit | 5.10 | 3 | 1.70 | 2.55 | 0.2944 | not significant |
| Pure Error | 1.33 | 2 | 0.6672 | |||
| Cor Total | 479.58 | 14 |
Table 5: ANOVA for quadratic model which shows the response of independent variable on DR
| Source | Sum of squares | df | Mean square | F-value | p-value | |
| Model | 533.59 | 9 | 59.29 | 36.60 | 0.0005 | significant |
| A-LIPID | 419.05 | 1 | 419.05 | 258.67 | <0.0001 | |
| B-SURF | 20.64 | 1 | 20.64 | 12.74 | 0.0161 | |
| C-DRUG | 0.1176 | 1 | 0.1176 | 0.0726 | 0.7984 | |
| AB | 0.0342 | 1 | 0.0342 | 0.0211 | 0.8901 | |
| AC | 2.58 | 1 | 2.58 | 1.59 | 0.2629 | |
| BC | 4.97 | 1 | 4.97 | 3.07 | 0.1402 | |
| A² | 3.18 | 1 | 3.18 | 1.96 | 0.2203 | |
| B² | 61.92 | 1 | 61.92 | 38.22 | 0.0016 | |
| C² | 29.68 | 1 | 29.68 | 18.32 | 0.0079 | |
| Residual | 8.10 | 5 | 1.62 | |||
| Lack of Fit | 7.02 | 3 | 2.34 | 4.33 | 0.1933 | not significant |
| Pure Error | 1.08 | 2 | 0.5403 | |||
| Cor Total | 541.69 | 14 |
Table 6: Point prediction table
| Response | Predicted mean | Predicted median | Observed | Std dev | SE mean | 95% CI low for mean | 95% CI high for mean | 95% TI low for 99% Pop | 95% TI high for 99% Pop |
| PS | 167.808 | 167.808 | 163.31 | 3.998 | 2.1293 | 162.335 | 173.282 | 142.04 | 193.576 |
| EE | 69.7804 | 69.7804 | 70.64 | 1.134 | 0.6053 | 68.2247 | 71.3362 | 62.4566 | 77.1042 |
| DR | 93.0942 | 93.0942 | 94.85 | 1.272 | 0.6798 | 91.3485 | 94.8399 | 84.876 | 101.312 |

Fig. 2: FTIR spectrum of (A) Donepezil hydrochloride; (B) Donepezil hydrochloride solid lipid nanopArticle
XRD studies
The characteristics of matrix SLNs can be changed by lecithin. As a result, only the hard lipid component influences melting and crystallization. The pure medication Donepezil showed high peaks at 2Ɵ of 10.4, 24.8, 25.6, 32.4, and 34.6, indicating that it is crystalline. The curved peak of Donepezil-loaded SLNs demonstrates that SLNs are amorphous. The results are shown in fig. 4(A) and 4(B).

Fig. 3: DSC images of (A) Donepezil coated optimized SLNs and (B) Donepezil (pure drug)

Fig. 4: XRD pattern of (A) pure donepezil drug; (B) coated optimized donepezil SLNs

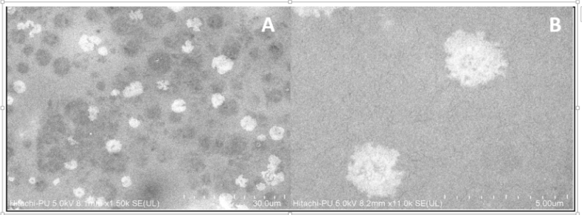
Fig. 5: FESEM images of donepezil hydrochloride loaded coated SLNs

Fig. 6: (a) Particle size distribution curve, (b) Zeta potential curve images of coated optimized donepezil SLNs
FESEM studies
The surface topography of optimized coated SLN was clearly explained by FESEM analysis of the Coated Optimized formulation, as illustrated in fig. 5. The particle was rough, nearly spherical, and monodisperse in nature, with Tween 80 surface modification of the SLN obvious in the FESEM image [20, 21].
Physical characterization of coated SLN
Particle size, size distribution and zeta potential curve of coated SLN are shown in fig. 6, respectively. The average particle size, PDI and zeta potential were found to be 185.8 nm, which has brain permeability (≤200 nm), 0.305 showed an broader particle distribution and -24.3 mV indicates that prepared SLNs were stable respectively due to high surface charge (fig. 6a, fig. 6b). The % entrapment efficiency and % drug release at 36 h in pH 7.4 PBS of coated SLN was found to be 78.52±2.54% and 98.62±3.14 %, respectively, this may be due to the strong layer coated on the SLNs by Tween 80. The particle shape is almost spherical as shown in fig. 5. The characteristic peaks of the drug disappeared and were replaced by the peak of tristearin. Remaining peaks also either shifted or replaced in the IR spectrum of Coated SLN are shown in fig. 2. This established the drug entrapment in a lipid matrix and the compatibility between the drug and excipients used in the formulation [23-25].
In vitro drug release kinetics
The drug release of the F14 was observed up to 24h (93.64±3.24), whereas the drug release from coated formulation was 36h (98.62±3.14), indicating that due to surface modification, the drug release is sustained as shown in fig. 7. The release kinetics of F14, Coated SLN was applied for various kinetic models by using PCP Disso V3.01 software. The best fit model for both is Korsmeyer-Peppas. n=0.624 (F14), 0.524 (Coated Formulation), and k=15.426, 15.024 for F14 and Coated formulation respectively. Where n = 0.5, is indicative of release mechanism (slow diffusion) of Donepezil from SLN matrix, which depicts that this fits in time-dependent Fickian diffusion drug release from insoluble lipid matrix. The best linearity was followed by the matrix kinetics (R2-0.9924, 0.9902) as shown in table 7 [26-28].

Fig. 7: In vitro drug release of (F14) before coating, after coating of SLNs (Data represents in mean±SD (n=3))
Table 7: Drug release kinetics values for optimized formulation
| Kinetics model | Model fitting (Average) values for F14 | Model fitting (Average) values for coated formulation | |
| R | K | R | |
| Zero order | 0.742 | 4.344 | 0.798 |
| T-test | 4.562 | (Passes) | 5.864 |
| 1st order | 0.984 | -0.082 | 0.978 |
| T-test | 11.42 | (Passes) | 17.62 |
| Matrix | 0.9924 | 17.542 | 0.9902 |
| T-test | 14.824 | (Passes) | 18.424 |
| Peppas | 0.986 | 15.426 | 0.954 |
| T-test | 14.520 | (Passes) | 15.464 |
| Hix. Crow. | 0.954 | -0.021 | 0.984 |
| T-test | 8.924 | (Passes) | 12.062 |
In vivo pharmacokinetic studies
Pharmacokinetic study as shown table 8; fig. 8, was performed to understand the extent of bioavailability enhancement of Donepezil modified SLN in animals. Donepezil surface modified SLN showed improved bioavailability orally. Donepezil surface modified SLN shows maximum plasma drug concentration in oral route with slower drug elimination from body. Though Tmax for all formulations remained same the onset of action was found to be faster. The surface modified SLN shows good Cmax and AUC when compared to other two treatment groups. This data infers that there was a significant improvement of bioavailability of Donepezil Hydrochloride when it converted to surface modified SLN. Higher Cmax and improved bioavailability was also supported by behavioural changes observed in locomotor activity for surface modified SLN when compared to other treatment groups [26-28].
Table 8: Comparative in vivo pharmacokinetic studies data between donepezil treatment groups
| Group | Ke (h-1) | Tmax (h) | Cmax (μg/ml) | AUC0-α(μg/ml/h) |
| Group I: Donepezil drug solution (0.5 mg/kg) | 0.0824±0.002 | 2±0.02 | 0.94±0.02 | 26.84±2.2 |
| Group II: Donepezil SLN (F14) (0.5 mg/kg) | 0.0562±0.004 | 2±0.04 | 2.38±0.02 | 53.22±3.8 |
| Group III: Donepezil surface modified SLN (COF) (0.5 mg/kg) | 0.0428±0.002 | 2±0.02 | 4.24±0.08 | 112.42±4.8 |
note: Ke elimination rate constant, T1/2 Elimination half-life, Cmax maximum plasma concentration at time Tmax, AUC area under the curve. Data represents mean±SD (n=3)

Fig. 8: In vivo pharmacokinetic graph between donepezil treatment groups. Data represents in mean, (n=3)
In vivo pharmacodynamics studies
Psychosis was induced in animals by injecting Ketamine for 5 d. From the decreased locomotor activity and distorted movements it was confirmed that psychosis was induced. The locomotors activity was checked after 1.5 h of administration. It was found that, the locomotor effect of Donepezil surface modified SLN oral solution was more as compared to Donepezil SLN (F14) and Donepezil plain drug solution. Change in Locomotor activity (rat muscle coordination activity) by each group was statistically significant with a probability<0.001. From the statistically significant results it was concluded that effect of Donepezil surface-modified SLN was more when compared to Donepezil SLN (F14) administered by oral route. Muscle coordination assessed by the Rota rod apparatus were significantly deteriorated (p<0.05) in the ketamine induced group compared to the control as shown in fig. 8. When compared to the ketamine induced group, Donepezil SLN (F14) treatment group and Donepezil surface modified SLN showed better significant retention time (p<0.05) attributed to improvement in muscle coordination. Both treatment groups showed significant good muscle coordination when compared to ketamine induced group. Similarly, the locomotor score evaluated by Actophotometer was significantly diminished (p<0.05) in the ketamine group in comparison to the control group. This indicates the induction of oxidative stress and depletion in the neurons. Treatment with Donepezil surface modified SLN (p<.05) improved the locomotor score as compared to the diseased group as shown in fig. 9 [29-32].

Fig. 9: In vivo pharmacokinetic graph between donepezil treatment groups. Data represents in mean±SD (n=3)
The SLN was formulated, optimized and coated with Tween 80 and the parameters like Particle Size (PS in nm); % Entrapment Efficiency and in vitro drug release for 24 h were evaluated for before coating (PS=163.31±2.41; EE=70.64±3.62; %DR=94.85±2.87) and after coating 185.8 nm, 78.52±2.54%EE, 98.62±3.14 DR 36h. These parameters showed significant changes while formulating SLN along with various formulation and process variables. From the above-discussed data, it was concluded that the solvent injection method was an optimized technique for the preparation of Donepezil SLN containing with selected formulation variables like Lecithin as lipid, Tween 80 as Surfactant with ultrasonication process. This developed technique will be an effective and reproducible for the formulation of SLN. Thus, the current study successfully designed, developed and optimized SLN formulation of Donepezil using a 32 Box-behnken design with enhanced membrane permeability. Thus, the current study successfully designed, developed an optimized SLN formulation. The surface modified SLN proved to enhance the permeability of drug through the barrier, which leads to the enhancement of Donepezil’s bioavailability and locomotor activity.
DST-FIST, Institute of Pharmaceutical Technology, Sri Padmavati Mahila Visvavidyalayam, Tirupati. Sophisticated Analytical Instruments Facility (SAIF), Punjab University, Chandigarh. SAIF, IITM, Chennai.
Nil
All the authors have contributed equally.
All authors have none to declare.
Garces A, Amaral MH, Sousa Lobo JM, Silva AC. Formulations based on solid lipid nanoparticles (SLN) and nanostructured lipid carriers (NLC) for cutaneous use: a review. Eur J Pharm Sci. 2018;112:159-67. doi: 10.1016/j.ejps.2017.11.023, PMID 29183800.
Lopez Garcia R, Solid Ganem Ronder V. Lipid nanoparticles (SLN) and nanostructured lipid carriers (NLC): occlusive effect and penetration enhancement ability. J Cosmet Dermatol Sci Appl. 2015;5:62-72.
Goo Yoon Park W, In Soo Yoon. Solid lipid nanoparticles (SLNs) and nanostructured lipid carriers (NLCs). Recent Advances in Drug Delivery. 2013;43:353-62.
Brito Raj S, Chandra Sekhar KB, Bhaskar Reddy K. Formulation, optimization and in vitro evaluation of lipid nanoparticles containing anti-hypertensive drug. Int J Res Pharm Sci. 2015;6:127-30.
Sahu MK, Soni GC, Prajapati SK. Nanostructured lipid carrier: the second generation of solid lipid nanoparticle. Int J Pharm Res Scholars. 2012;1:226-35.
Souto EB, Wissing SA, Barbosa CM, Muller RH. Evaluation of the physical stability of SLN and NLC before and after incorporation into hydrogel formulations. Eur J Pharm Biopharm. 2004;58(1):83-90. doi: 10.1016/j.ejpb.2004.02.015, PMID 15207541.
Bruton Laurence, Parker Keith, Blumenthal Donald. Lain buxton, goodman and gilman’s manual of pharmacology and therapeutics; 2008.
Offermanns Stefan, Rosenthal Walter. Encyclopedia of molecular pharmacology. 2nd ed; 2008.
Garud Akanksha, Singh Deepti, Garud Navneet. Solid lipid nanoparticles (SLN): method, characterization and applications. Int Curr Pharm J. 2012;1(11):384-93. doi: 10.3329/icpj.v1i11.12065.
British Pharmacopoeia. Volume I and II. 7th ed; 2009. p. 1083-6, 5397-401.
Pharmaceutical manufacturing Encyclopedia. 3rd ed; 2 and 4(873-876):040-3042.
Uner Melike, Karaman Ecem Fatma, Aydogmuş Zeynep. Solid lipid nanoparticles and nanostructured lipid carriers of loratadine for topical application: physicochemical stability and drug penetration through rat skin. Trop J Pharm Res. 2014;13(5):653-60. doi: 10.4314/tjpr.v13i5.1.
Fang Jia You, Fang Chia Lang, Liu Chi Hsien, Su Yu Han. Lipid nanoparticles as vehicles for topical psoralen delivery: solid lipid nanoparticles (SLN) versus nanostructured lipid carriers (NLC). Eur J Pharm Biopharm. 2008;70(2):633-40. doi: 10.1016/j.ejpb.2008.05.008, PMID 18577447.
Bhaskar Kesavan, Krishna Mohan Chinnala Krishna, Lingam Meka, Jagan Mohan Somagoni, Venkateswarlu Vobalaboina, Madhusudan Rao Yamsani, Bhaskar Kesavan, Anbu Jayaraman, Ravichandran Velayudam. Development of SLN and NLC enriched hydrogels for transdermal delivery of nitrendipine: in vitro and in vivo characteristics. Drug Dev Ind Pharm. 2009;35(1):98-113. doi: 10.1080/03639040802192822, PMID 18665979.
Gonullu Umit, Uner Melike, Yener Gulgun, Karaman Ecem Fatma, Aydogmuş Zeynep. Formulation and characterization of solid lipid nanoparticles, nanostructured lipid carriers and nanoemulsion of lornoxicam for transdermal delivery. Acta Pharm. 2015;65(1):1-13. doi: 10.1515/acph-2015-0009, PMID 25781700.
Bhaskar Reddy K, Jyostna M, Audinarayana N, Madhavi Latha C, Mohanambal E. The enhancement effect of surfactants on the penetration of nitrendipine through rat skin. Indian J Nov Drug Deliv. 2012;4:38-42.
Muller RH, Radtke M, Wissing SA. Solid lipid nanoparticles (SLN) and nanostructured lipid carriers (NLC) in cosmetic and dermatological preparations. Adv Drug Deliv Rev. 2002;54Suppl 1:S131-55. doi: 10.1016/s0169-409x(02)00118-7, PMID 12460720.
Ravi Punna Rao, Aditya N, Kathuria Himanshu, Malekar Srinivas, Vats Rahul. Lipid nanoparticles for oral delivery of raloxifene: optimization, stability, in vivo evaluation and uptake mechanism. Eur J Pharm Biopharm. 2014;87(1):114-24. doi: 10.1016/j.ejpb.2013.12.015, PMID 24378615.
Gupta Vivek Kumar, Karar PK. Optimization of process variables for the preparation of chitosan alginate nanoparticles. Int J Pharm Sci. 2011;3:7880.
Yassin Alaa Eldeen B, Anwer Md Khalid, Mowafy Hammam A, El-Bagory Ibrahim M, Bayomi Mohsen A, Alsarra Ibrahim A. Optimization of 5-flurouracil solid-lipid nanoparticles: a preliminary study to treat colon cancer. Int J Med Sci. 2010;7(6):398-408. doi: 10.7150/ijms.7.398, PMID 21103076.
Sharma A, Mehta V, Parashar A, Patrwal R, Malairaman U. Solid lipid nanoparticle: fabricated through nanoprecipitation and their physicochemical characterization. Int J Pharm Pharm Sci. 2016;8(10):144-8. doi: 10.22159/ijpps.2016v8i10.13207.
Mangesh Bhalekar R, Prashant Upadhaya, Ashwini Madgulkar. Solid lipid nanoparticles incorporated transdermal patch for improving the permeation of piroxicam. Asian J Pharm. 2016;10:45-50.
Baek Jong Suep, Cho Cheong Weon. Surface modification of solid lipid nanoparticles for oral delivery of curcumin: improvement of bioavailability through enhanced cellular uptake, and lymphatic uptake. Eur J Pharm Biopharm. 2017;117:132-40. doi: 10.1016/j.ejpb.2017.04.013, PMID 28412471.
Xing R, Mustapha O, Ali T, Rehman M, Zaidi SS, Baseer A, Batool S, Mukhtiar M, Shafique S, Malik M, Sohail S, Ali Z, Zahid F, Zeb A, Shah F, Yousaf A, Din F. Development, characterization, and evaluation of SLN-loaded thermoresponsive hydrogel system of topotecan as biological macromolecule for colorectal delivery. BioMed Res Int. 2021;2021:9968602. doi: 10.1155/2021/9968602, PMID 34285920.
Din Fakhar Ud, Jin Sung Giu, Choi Han Gon. Particle and gel characterization of irinotecan-loaded double-reverse thermosensitive hydrogel. Polymers. 2021;13(4):551. doi: 10.3390/polym13040551, PMID 33668441.
Yu Guo, Ali Zakir, Sajjad Khan Anam, Ullah Kalim, Jamshaid Humzah, Zeb Alam, Imran Muhammad, Sarwar Sadia, Choi Han Gon, Ud Din Fakhar. Preparation, pharmacokinetics, and antitumor potential of miltefosine-loaded nanostructured lipid carriers. Int J Nanomedicine. 2021;16:3255-273. doi: 10.2147/IJN.S299443, PMID 34012260.
Khan Anam Sajjad, Ud Din Fakhar, Ali Zakir, Bibi Maryam, Zahid Fatima, Zeb Alam, Mujeeb-Ur-Rehman, Khan Gul Majid. Development, in vitro and in vivo evaluation of miltefosine loaded nanostructured lipid carriers for the treatment of cutaneous leishmaniasis. Int J Pharm. 2021;593:120109. doi: 10.1016/j.ijpharm.2020.120109.
Ganesan Palanivel, Ramalingam Prakash, Karthivashan Govindarajan, Ko Young Tag, Choi Dong Kug. Recent developments in solid lipid nanoparticle and surface-modified solid lipid nanoparticle delivery systems for oral delivery of phyto-bioactive compounds in various chronic diseases. Int J Nanomedicine. 2018;13:1569-83. doi: 10.2147/IJN.S155593, PMID 29588585.
Gaspar Diana P, Faria Vasco, Quintas Joao P, Almeida Antonio J. Targeted delivery of lipid nanoparticles by means of surface chemical modification. Curr Org Chem. 2017;21(23):2360-75. doi: 10.2174/1385272820666161031161101.
Veerabhadra Rao G, Radha GV, Krishnaji Rao M, Brito Raj S, Bhaskar Reddy K. Formulation, optimization and in vitro evaluation of lovastatin drug loaded solid lipid nanoparticles. Int J Pharm Res. 2020;12:3721-9.
Goppert Torsten M, Muller Rainer H. Protein adsorption patterns on poloxamer-and poloxamine-stabilized solid lipid nanoparticles (SLN). Eur J Pharm Biopharm. 2005;60(3):361-72. doi: 10.1016/j.ejpb.2005.02.006, PMID 15996577.
Selvaraj Brito R, Sridhar Seshaiah K, Kesavan Bhaskar R, Palagati Sucharitha. Application of statistical tooling techniques for designing of carvedilol nanolipid transferosomes and its dermatopharmacokinetic and pharmacodynamic studies. Pharm Nanotechnol. 2020;8(6):452-70. doi: 10.2174/2211738508666200928164820, PMID 32988361.
Schwarz C, Mehnert W, Lucks JS, Muller RH. Solid lipid nanoparticles (SLN) for controlled drug delivery. I. Production, characterization and sterilization. J Control Release. 1994;30(1):83-96. doi: 10.1016/0168-3659(94)90047-7.
Kovacevic AB, Muller RH, Savic SD, Vuleta GM, Keck CM. Solid lipid nanoparticles (SLN) stabilized with polyhydroxy surfactants: preparation, characterization and physical stability investigation. Colloids and Surfaces A: Physicochemical and Engineering Aspects. 2014;444:15-25. doi: 10.1016/j.colsurfa.2013.12.023.
Qushawy M, Nasr A. Solid lipid nanoparticles (sln) as Nano drug delivery carriers: preparation, characterization and application. Int J Appl Pharm. 2020;12:1-9.
Maaben S, Schwarz C, Mehnert W, Lucks JS, Yunis Specht F, Muller BW. Comparison of cytotoxicity between polyester nanoparticles and solid lipid nanoparticles (SLN). Proceedings of the International Symposium Control Rel Bioact Mater. 1993;20:490-1.
Muller RH, Maassen S, Weyhers H, Mehnert W. Phagocytic uptake and cytotoxicity of solid lipid nanoparticles (SLN) sterically stabilized with poloxamine 908 and poloxamer 407. J Drug Target. 1996;4(3):161-70. doi: 10.3109/10611869609015973, PMID 8959488.