
1Faculty of Pharmacy, Integral University, Lucknow 226026, 2Department of Pharmaceutical Chemistry, School of Pharmaceutical Education and Research, Jamia Hamdard, New Delhi 110019
*Email: tmahmood@iul.ac.in
Received: 08 Feb 2022, Revised and Accepted: 16 Mar 2022
ABSTRACT
Objective: The objective of the study is to prepare and evaluate the safety assessment of novel combinatorial Nanoparticle formulation.
Methods: Chitosan nanoparticles were prepared by the ionic gelation method with slight modification. Drug-drug interaction was evaluated by Fourier Transform Infra-Red Spectroscopy. Size, Polydispersity Index, Zeta potential, Transmission Electron Microscopy Characterizations were performed as per standard procedures. Acute and subacute toxicity assessments were done by the standard protocol of OECD guideline number 425 and 407, respectively.
Results: Size and zeta-potential were found to be 186.7 nm and-12.0mV, respectively. TEM analysis showed uniform, smooth, and spherical-sized particles. FTIR analysis of carvedilol, sericin, and physical mixture showed no interaction between them. The safety evaluation of prepared nanoparticle which was found to be safe at a dose of up to 1000 mg/kg body weight in single-dose acute toxicity and multiple-dose subacute toxicity study. Biochemical estimations were statistically evaluated and no significant differences were found that the mean P-value is greater than 0.05 and Histopathological examination has shown no marked disparity when compared to the normal control group.
Conclusion: It can be concluded that the prepared Nanoparticles are safe in rodents and can be preceded for further evaluation for its preclinical cardioprotective potential.
Keywords: Nanoparticle, Carvedilol, Sericin, OECD, Toxicity
© 2022 The Authors.Published by Innovare Academic Sciences Pvt Ltd. This is an open access article under the CC BY license (https://creativecommons.org/licenses/by/4.0/)
DOI: https://dx.doi.org/10.22159/ijap.2022v14i3.44357. Journal homepage: https://innovareacademics.in/journals/index.php/ijap
In the current scenario of therapeutics, nanotechnology has emerged as a promising technology for effective and targeted delivery along with many other beneficial features such as dose reduction, controlled release, minimal side effects, low dose frequency, and enhanced patient compliance [1, 2].
World Health Organization has recognized hypertension as an important risk factor for mortality worldwide and approximately 234 million people affected with this chronic disease by 2019 [3, 4] Challenges associated with antihypertensive drugs are that most of them have poor aqueous solubility and low bioavailability [5]. Carvedilol is a non-selective beta-blocker that also assists vasodilation thus reducing blood pressure [6]. Sericin is a protein obtained from the cocoon of Bombyx mori. Traditional Unani formulation used Abresham cocoon for their cardioprotective activity. Sericin is a chief active component of abresham [7]. Chitosan is a biodegradable sugar obtained from the outer shell of the crab and other marine animals having a hard outer skeleton. Chitosan itself possesses various pharmacological activities and is used for high blood pressure and obesity. However, chitosan is mainly used as an excipient in many forms [8].
With the advancement of technologies in the medical field, researchers are encouraged to develop a novel method to treat diseases. To establish preclinical data, animals were used from earlier days of medical science for the assessment of toxicity, activity, and other studies [9]. Toxicity profiling of new drugs or a combination of drugs is evaluated to assess any harmful effect produced by the drugs as the drugs may produce a synergistic effect or potentiating effect and thus the earlier dose may produce an effect beyond the therapeutic index [10]. The primary goal of this study was to evaluate the compatibility and toxicity of combination Nanoparticles.
In this current piece of research, we hypothesize that the preparation of chitosan nanoparticles of combination active molecule will enhance the solubility of carvedilol and thus increase the bioavailability and a combination with sericin would further produce a synergistic effect and would be safe in rodents based on previous research showing the individual components of the Nanoparticles formulation are effective and safe at given dose levels.
Chemicals and reagents
Standard Carvedilol (Car) and Low Molecular Weight Chitosan (LMW Chitosan) were procured from Yarrowchem products, Maharashtra, India. Sericin (Ser) was purchased from Sigma Aldrich Co., USA. Sodium Tripolyphosphate was purchased from SRL Chem., Maharashtra, India. All the reagents used were of LR grade and kits were procured from a local supplier (Ayushi Enterprises).
Experimental animals
Laboratory animals specific pathogen-free (SPF) Swiss albino mice (4 w old; 18–22 g) were procured as per CPCSEA guidelines from the Central Animal Facility of Central Drug Research Institute (CDRI), Lucknow with prior approval by the Institutional Animal Ethical Committee (IAEC), Faculty of Pharmacy, Integral University, Lucknow, India (Reg no. 1213/PO/Re/S/08/CPCSEA, 5 June 2008) under approval no. IU/IAEC/19/04. Animals were kept in propylene cages in a room where the temperature was maintained at around 27±2 °C and relative dampness of 55±5%, in a 12 h light-dark cycle. Animals were kept on a standard pellet diet and drinking water ad libitum was provided in Central Animal House, Integral University for 7 d [11].
Drug-drug interaction
The interaction between the two drugs i.e. Car and Ser were analyzed by Fourier Transform Infrared (FTIR) Spectroscopy [12].
Preparation of chitosan nanoparticles
Chitosan nanoparticles were prepared by the ionic gelation method with slight modification [13]. Briefly, 0.2% w/v Chitosan (Low molecular weight) was prepared in 1% v/v acetic acid solution by stirring overnight followed by filtration. Separately 0.2% TPP solution was prepared and added to chitosan solution dropwise while stirring at 1000rpm and kept on stirring for the next 10 min. Sericin 0.2%w/v was added directly to chitosan solution while carvedilol 0.02%w/v was first dissolved in 0.5 ml ethanol and then introduced in chitosan solution. Chitosan TPP ratio was maintained at 3:1. Prepared nanoparticles were characterized for size, Poly dispersibility index (PDI), Zeta potential, pH, and Transmission Electron Microscopy (TEM) [14].
Acute oral dose toxicity study
The acute toxicity study was carried out according to Acute Oral Toxicity, Up and Down Procedure (OECD 425) [15]. Female Swiss mice (4 w old; 18–22 g) were divided into four groups, each comprising five animals [16].
The first group served as normal control (NC) and received normal saline (1 ml, p. o.), while the second, third, and fourth groups, which were considered as the toxic groups (TG1, TG2, TG3), received an orally single dose of prepared nanoparticle (dispersed up to 1 ml with distilled water) at doses of 200, 500, and 1000 mg/kg, p. o.
Bodyweight, food and water consumption, general appearance, hypersensitivity, behavioural activity, and mortality were keenly observed in animals. The first four hours were continuously observed and then every 4 h for 24 h and then daily for 14 d.
There was very little literature giving information regarding the LD50 of nanoparticles. So, first, the estimated dose of 200 mg/kg was administered in the first animal of the group TG1. The animal was monitored for an initial 24 h and if no mortality was observed, again the same dose was administered in the other four animals of the TG1 group to confirm the result. If no mortality was observed in TG1 then the same process was repeated with doses of 500 and 1000 mg/kg in animals of group TG2 and TG3, respectively. They were investigated for mortality from the 1st day until the 14th day from the initial dosing.
Sub-acute oral dose toxicity study
Sub-acute toxicity study (28-day repeated dose oral toxicity study) was carried out according to OECD 407 guidelines [17]. Female swiss mice (4 w old; 18–22g) were used. The animals were divided into toxic and normal control groups, later the toxic group was again divided into three groups each comprising five animals. The first group served as the normal control group (NCG) and received normal saline (1 ml, p. o.), while the second, third, and fourth groups were considered as toxic groups i. e Low Dose, Intermediate Dose, and High Dose treated groups (LD, ID, HD) and received nanoparticles (dispersed in normal saline) at the doses of 200, 500, and 1000 mg/kg, p. o. daily for 28 consecutive days. The oral route was selected for the administration of Nanoparticle directly into the stomach via a gavage needle.

Fig. 1: FTIR spectra of (A) carvedilol, (B) sericin, and (C) physical mixture of carvedilol and sericin
Parameters analyzed for sub-acute toxicity study
Average organ weight
The experimental animals were sacrificed by using thiopentone as an anesthetic and the vital organs, namely the brain, heart, liver, spleen, kidney, stomach, and lung, were carefully dissected. The organs were washed by distilled water and then weighed individually; finally, the average organ weight was calculated [18].
Hematological profiling
The blood was collected after anesthetizing the animal from retro-orbital plexus in EDTA and Non-EDTA tubes. The blood in a non-EDTA tube was kept for 30 min in a standing position and later on subjected to centrifugation at 3000rpm for 15 min, the serum was collected and along with whole blood, it was sent to the laboratory for hematological estimation [19].
Biochemical estimation and lipid profile
The obtained serum/whole blood/plasma was used for the estimation of biochemical estimation using a standard protocol as specified in the method. The obtained serum was used for the estimation of lipid profile using standard protocol [20, 21].
Histopathological findings
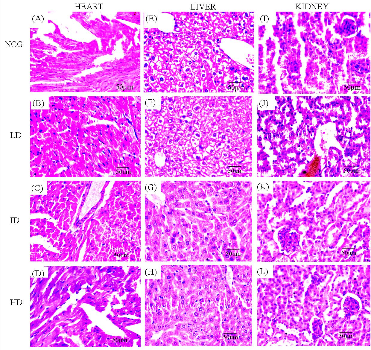
The organs collected were then blotted with filter paper and mounted in organ container bottles filled with 10% formalin for histopathological examinations. The investigations on all the tissues of isolated organs from the animals of the normal control and treated groups were carried out post-treatment with paraffin, and staining with hematoxylin and eosin (HandE) stain for microscopic evaluation at 40x resolution [22-24]. The images of histopathology are shown in fig.
Statistical analysis
The numerical values of the control group and different treated groups were analyzed for their differences using one-way analysis of variance (ANOVA) followed by Dunnet’s test using the statistical analyses software Graphpad Prism (version 8.1). One-way ANOVA (Dunnet’s test) and probability value were considered significant when the value obtained was p<0.05. A value of p>0.05 was considered nonsignificant. All values were expressed as mean±SD.
FTIR
FTIR spectra of standard CAR, SER, and physical mixture of CAR: SER: 1:1 has revealed no interaction between the two. No extra peaks were determined in the physical mixture confirming no bond formation hence no interactions were there. The FTIR images were shown in fig. 1.
Size, Zeta potential, and PDI
Size, Zeta potential, and PDI were determined and found to be 186.7 nm,-12.0mV, and 0.232 respectively.
pH
The pH of the drug-loaded nanoparticles was measured and found to be 3.4
Transmission electron microscopy
TEM images of drug-loaded nanoparticles were captured and found to be uniform, spherical and smooth particles. Most of the particles were seen of size below 200 nm. TEM images were shown in fig. 2.

Fig. 2: TEM images of prepared chitosan nanoparticles at different magnification and scale (A) at 50 nm scale and (B) at 100 nm scale
Table 1: General appearance, hypersensitivity, and behavioral activity parameters of acute toxicity study
| Parameters | Normal control (NC) | Toxic group 1 (TG1) 200 mg/kg | Toxic group 2 (TG2) 500 mg/kg | Toxic group 3 (TG3) 1000 mg/kg |
| General appearances | ||||
| Average Body weight (g) | 19±1.1 | 20.2±1.3 | 19.5±2.0 | 20.1±1.8 |
| Change in body weight (in 1 w) (g) | 1±0.6 | 1±0.5 | 2±0.4 | 1±0.5 |
| Food consumptionin 24 h (g) | 24±2.4 | 27±2.4 | 26±2.0 | 26±2.0 |
| Water consumption in 24 h (ml) | 19±2.0 | 16±1.9 | 18±1.6 | 20±1.6 |
| Stool Color | Dark Black | Dark Black | Dark Black | Dark Black |
| Mucoid Stool | NIL | NIL | NIL | NIL |
| Diarrhoea | No | No | No | No |
| Visible abnormalities | None | None | None | None |
| Rate of respiration | Normal | Normal | Normal | Normal |
| Drowsiness | No | No | No | No |
| Lethargy | No | No | No | No |
| Hypersensitivity reactions | ||||
| Rashes | No | No | No | No |
| Skin color | Normal | Normal | Normal | Normal |
| Eye color/pigmentation | Normal | Normal | Normal | Normal |
| Behavioral activities | ||||
| Paw licking | No | No | No | No |
| Jumping | NIL | NIL | NIL | NIL |
| Paw Biting | No | No | No | No |
| Average Activity (No. of times movement in the cage for 15 min) | 28 times | 25 times | 28 times | 30 times |
| Mortality | None | None | None | None |
n=5; values are expressed as mean±SD
Acute toxicity
After administration of the single dose, there was visually no significant difference in general appearance, behavioral activity, and hypersensitivity between the different treated group and normal control group after 14 d of observation as given in table 1.
Sub-acute toxicity study
Average organ weight
Average organ weight indices of different toxic groups in sub-acute toxicity study as depicted in table 2
Table 2: Average organ weight indices of different toxic groups in sub-acute toxicity study
| S. No. | Organ | (Distilled water) | 200 mg/kg/day | 500 mg/kg/day | 1000 mg/kg/day |
| NCG | LD | ID | HD | ||
| 1 | Brain (g) | 0.344±0.025 | 0.365±0.021 | 0.388±0.004 | 0.370±0.015 |
| 2 | Lung (g) | 0.214±0.017 | 0.236±0.012 | 0.237±0.012 | 0.242±0.017 |
| 3 | Liver (g) | 1.513±0.106 | 1.473±0.135 | 1.529±0.198 | 1.448±0.127 |
| 4 | Heart (g) | 0.129±0.015 | 0.133±0.019 | 0.140±0.019 | 0.131±0.017 |
| 5 | Kidney (L+R) (g) | 0.219±0.013 | 0.236±0.025 | 0.254±0.018 | 0.239±0.031 |
| 6 | Spleen (g) | 0.156±0.011 | 0.134±0.014* | 0.150±0.026 | 0.161±0.021 |
| 7 | Animal weight on the day of sacrifice (g) | 23.37±1.35 | 23.04±1.39 | 23.127±1.36 | 22.57±1.046 |
n=5; values are expressed as mean±SD. Analyzed by one way-ANOVA followed by Dunnett’s t-test. Where the average weight of the spleen in LD showed a significant decrease (*p<0.05) when compared to NCG. Where; NCG: Normal Control group; LD: Low dose Test group; ID: Intermediate dose test group; HD: High dose test group.
Hematological profiling
Hematological profile results were obtained and shown in table 3
Electrolyte, protein, lipid, and biochemical estimation
Various parameters were analyzed and results were depicted in fig. 3
Table 3: Haematological profiling of different toxic groups in sub-acute toxicity study
| Parameter | (Distilled water) | 200 mg/kg/day | 500 mg/kg/day | 1000 mg/kg/day |
| NCG | LD | ID | HD | |
| RBC (106/μl) | 7.038±0.370 | 7.435±0.637 | 7.175±0.479 | 7.632±0.345 |
| WBC (103/μl) | 9.573±0.317 | 9.431±0.568 | 9.377±0.203 | 9.436±0.417 |
| Platelet (103/μl) | 1187.66±49.085 | 1172.32±83.764 | 1107.33±123.001 | 1216.57±74.011 |
| Neutrophils (%) | 17.740±2.285 | 17.950±1.390 | 17.840±0.203 | 14.483±2.760 |
| Lymphocytes (%) | 74.443±0.908 | 77.123±1.562 | 76.190±1.960 | 77.027±1.511 |
| Monocytes (%) | 2.373±0.181 | 2.197±0.352 | 2.715±0.314 | 2.754±0.319 |
| Eosinophils (%) | 1.710±0.492 | 1.675±0.232 | 1.735±0.243 | 1.609±0.374 |
| Basophils (%) | 0.587±0.162 | 0.497±0.047 | 0.538±0.115 | 0.559±0.072 |
| Haematocrit (%) | 41.410±1.323 | 41.410±1.191 | 40.571±1.248 | 41.053±1.157 |
| Haemoglobin (g/dl) | 13.033±0.751 | 13.637±0.993 | 12.838±0.581 | 14.092±0.570 |
| Packed Cell Volume (l/l) | 42.454±0.936 | 43.037±1.172 | 43.542±1.497 | 43.900±1.345 |
| Mean Corpuscular Volume (fl) | 56.158±1.719 | 57.403±1.810 | 57.059±1.781 | 54.953±0.305 |
| Mean Corpuscular Haemoglobin (pg) | 22.432±1.087 | 20.235±0.932 | 21.252±1.151 | 20.339±1.451 |
| Mean Corpuscular Haemoglobin Concentration (μg/l) | 34.023±1.163 | 33.891±1.175 | 35.674±1.470 | 33.037±1.537 |
| Reticulocyte (%) | 1.497±0.183 | 1.460±0.208 | 1.774±0.217 | 1.524±0.133 |
| Clotting time(s) | 49.5±2.5 | 48.5±4.2 | 53.3±3.3 | 53.9±1.7 |
| Prothrombin Time (s) | 12.647±0.257 | 11.837±0.085 | 12.370±0.151 | 12.513±0.673 |
| Acativated Partial Thromboplastin Time (s) | 27.083±1.582 | 24.573±1.686 | 27.775±1.829 | 25.854±1.406 |
n=5; values are expressed as mean±SD. Analyzed by one way-ANOVA followed by Dunnett’s t-test. The results were found to be non-significant (p>0.05) when compared to NCG. Where; NCG: Normal Control group; LD: Low dose Test group; ID: Intermediate dose Test group: HD: High dose test group.

Fig. 3: Various parameters of different groups in sub-acute toxicity study (A) Electrolyte, (B) Protein, (C) Lipid and (D) Biochemical estimation

Fig. 4: The histopathology of the heart, liver, and kidney from the different groups of swiss albino mice (scale bar 50 µm at 40X magnification). A B, C, and D are the heart sections. E, F, G, and H are the Liver sections. I, J, K, and L are the Kidney sections of different groups. The microscopic examination of the heart, liver, and kidney in all treated groups exhibited normal structural design of cells with intact length and normal cell striation and nuclei and was bereft of significant cellular infiltration or degeneration when compared to that of a normal control group (NCG). Where NCG: Normal control group; LD: Low Dose Sub-acute toxicity group (200 mg/kg/day/p. o.); ID: Intermediate Dose Sub-acute toxicity group (500 mg/kg/day/p. o.); HD: High Dose Sub-acute toxicity group (1000 mg/kg/day/p. o.)
All values expressed as mean±SD (n=5) were analyzed by one way-ANOVA followed by Dunnett’s t-test. Where the level of VLDL in HD and HDL level in ID showed a significant increase (*p<0.05) when compared to NCG; Electrolyte and biochemical graphs were plotted on Log10 scale on Y-axis. Where; NCG: Normal Control group; LD: Low dose Test group; ID: Intermediate dose Test group; HD: High dose test group.
Histopathology
The pictomicrograph of the visceral organ does not display any significant changes in the cellular architecture of the organs and is shown in fig. 4.
The current piece of research is a foray into the preparation of nanoparticles, characterization of nanoparticles, and assessment of the safety profile of prepared nanoparticles of combination medicine of Car and Ser. FTIR assesses the various bonds present in the sample. Any new peak generation at a specific wavelength is an indicator of reaction occurrence. So FTIR can be used for testing the compatibility between drug-drug and drug excipient [12]. The size of the Nanoparticle is a critical parameter and a marker for the stability of the formulation. Lower the size of the nanoparticle higher the stability of the formulation. Less than 200 nm size is recommended for Nanoparticle formulation. Zeta potential within the range of-30 to+30 mV is recommended for stable nanoformulation to avoid agglomerate formation during the shelf life [13] TEM analyses the morphological characteristic of the Nanoparticle. Round-shaped smooth and spherical particles are believed to be more stable formulations.
Safety assessment is necessary for a novel formulation of two or more drugs as the drugs possess a specific therapeutic index which in combination with other drugs may produce a synergistic or potentiating effect and the combined effect may reach beyond the therapeutic index at doses recommended individually. CPCSEA provided various models for the preclinical evaluation of toxicity to evaluate their potential risk versus benefit in humans. Such toxicological studies evaluate the single-dose and repeated dose effects in animals other than intended use. Acute toxicity study gives preliminary information about the single-dose acute response, any deviation from normal. The outcomes of the study could determine the safe dose of the test drug as well as it can be correlated in case of accidental overdose and outlines the subsequent damage that may be produced in the vital organs. In some cases, insufficient toxicity data of adverse effects creates challenges in safety concerns. In acute toxicity, study mice were treated with 200 mg/kg, 500 mg/kg, and 1000 mg/kg of Nanoparticle formulation, and no sign of toxicity or mortality was observed in any treated group at any dose levels. Nanoparticle treatment did not affect the bodyweight of the animals when compared to normal control groups and no significant change was observed in water and food consumption in any group. Visually recorded parameters did not indicate any unwanted results [16]. No late toxic effects were observed as the subacute toxic effect, no mortality was observed. Subacute toxicity study results did not indicate any significant difference in organ weight of animals when compared to NCG. Toxicity is directly related to organ size and weight variance [15]. Hematological parameters are indicative of pathological changes in the body however, no result indicates any sign of pathological prevalence in the Nanoparticle treated groups [18]. An elevation in the activity of the liver enzymes (ALT, AST, GGT, and ALP) is conventionally an indicator of liver injury and may induce the destruction of hepatocytes [20]. Biochemical parameters and electrolyte balance were analyzed and no toxic inferences were recorded. Lipid profile indicated a significant increase in HDL level in the high dose test group and a significant increase in VLDL level in the intermediate dose test group however, no dose-dependent changes were observed. Histopathology is a marker of cellular level toxicity. Histopathology pictomicrographs of different groups were observed and no pathological findings were obtained [24].
The outcomes of various parameters analyzed during acute and sub-acute toxicity studies suggest that Nanoparticle is safe when administered in a single dose. The results affirm that LD50 or NOAEL of Nanoparticle lies above 1000 mg/kg/day as no mortality was reported at the highest dose along with normal behavioral patterns, general appearance, no increase in weight, and no change in food and water consumption were observed. There was no serious hypersensitivity observed in any of the treated groups either.
The authors are highly thankful to Honorable Founder and Chancellor, Prof. Syed Waseem Akhtar, Integral University and Vice-Chancellor, Prof. Javed Musarrat, Integral University, for providing an excellent research environment and facilities. The Manuscript Communication Number provided by the University is IU/RandD/2022-MCN0001361. The authors also acknowledge CSIR-CDRI, Lucknow, for providing Research facilities.
All the authors have contributed equally.
There is no conflict of interest among authors.
Mamaeva V, Sahlgren C, Linden M. Mesoporous silica nanoparticles in medicine-recent advances. Adv Drug Deliv Rev. 2013;65(5):689-702. doi: 10.1016/j.addr.2012.07.018, PMID 22921598.
Nasiruddin M, Neyaz MK, Das S. Nanotechnology-based approach in tuberculosis treatment. Tuberc Res Treat. 2017;2017:4920209. doi: 10.1155/2017/4920209, PMID 28210505.
Mehra R, Aanchal KS, Kalsi SP, Gautam SP. Hypertension in relation to immune system and way of life along with treatment. Int J Curr Pharm Sci. 2021;13(6):1-10. doi: 10.22159/ijcpr.2021v13i6.1907.
Anuradha Vp, CM, Sruthy SA. Drug utilization pattern of antihypertensive medications in a tertiary care hospital, South India. Asian J Pharm Clin Res 2022;15(1):115-8. doi: 10.22159/ajpcr.2022.v15i1.43438.
Sharma M, Sharma R, Jain DK. Nanotechnology-based approaches for enhancing oral bioavailability of poorly water-soluble antihypertensive drugs. Scientifica. 2016;2016:8525679. doi: 10.1155/2016/8525679, PMID 27239378.
Ladage D, Schwinger RH, Brixius K. Cardio‐selective beta‐blocker: pharmacological evidence and their influence on exercise capacity. Cardiovasc Ther. 2013;31(2):76-83. doi: 10.1111/j.1755-5922.2011.00306.x. PMID 22279967.
Mahmood T, Siddiqui H, Dixit R, Bagga P, Hussain S. Protective effect of Bombyx mori L cocoon (Abresham) and its formulations against isoproterenol-induced cardiac damage. Trop J Pharm Res 2015;14(1):63-72. doi: 10.4314/tjpr.v14i1.10.
Younes I, Rinaudo M. Chitin and chitosan preparation from marine sources. Structure, properties and applications. Mar Drugs. 2015;13(3):1133-74. doi: 10.3390/md13031133, PMID 25738328.
Czoty PW, Stoops WW, Rush CR. Evaluation of the ”pipeline” for development of medications for cocaine use disorder: a review of translational preclinical, human laboratory, and clinical trial research. Pharmacol Rev. 2016;68(3):533-62. doi: 10.1124/ pr.115.011668, PMID 27255266.
Bound JP, Voulvoulis N. Pharmaceuticals in the aquatic environment- a comparison of risk assessment strategies. Chemosphere. 2004;56(11):1143-55. doi: 10.1016/j.chemosphere.2004.05.010, PMID 15276728.
Vengaimaran M, Dhamodharan K, Sankaran M. Therapeutic profiling of nano encapsulated diosgenin via attenuating hormonal status, cell proliferation, inflammatory responses, and apoptosis in an animal model of mammary oncogenesis. Int J Appl Pharm. 2021;13:126-32. doi: 10.22159/ ijap.2021v13i6.42777.
Otsuka Y, Kuwashima W, Tanaka Y, Yamaki Y, Shimada Y, Goto S. Effects of heat treatment on indomethacin-cimetidine mixture; investigation of drug-drug interaction using singular value decomposition in ftir spectroscopy. J Pharm Sci. 2021;110(3):1142-7. doi: 10.1016/j.xphs.2020.09.049, PMID 33035536.
Sun L, Wang Y, Jiang T, Zheng X, Zhang J, Sun J, Sun C, Wang S. Novel chitosan-functionalized spherical nanosilica matrix as an oral sustained drug delivery system for poorly water-soluble drug carvedilol. ACS Appl Mater Interfaces. 2013;5(1):103-13. doi: 10.1021/am302246s, PMID 23237208.
Mohamed NR, Badr TM, Elnagar MR. Efficiency of curcumin and chitosan nanoparticles against toxicity of potassium dichromate in male mice. Int J Pharm Pharm Sci. 2021;13:14-23. doi: 10.22159/ijpps.2021v13i2.40224.
OECD 425. Test No. 425: acute oral toxicity: up-and-down procedure. OECD; 2018. https://www.oecdilibrary.org/ docserver/9789264071049en.pdf?expires=1627383728andid=idandaccname=guestandchecksum=A934009F428948F8D282DB2C6C141E37.
Saleem U, Amin S, Ahmad B, Azeem H, Anwar F, Mary S. Acute oral toxicity evaluation of aqueous ethanolic extract of Saccharum munja Roxb. roots in albino mice as per OECD 425 TG. Toxicol Rep. 2017;4:580-5. doi: 10.1016/ j.toxrep.2017.10.005. PMID 29152463.
OECD guidelines for the testing of chemicals: repeated dose 28-day oral toxicity study in rodents. Available from: https://ntp.niehs.nih.gov/iccvam/suppdocs/feddocs/oecd/oecdtg407-2008.pdf
Porwal M, Khan NA, Maheshwari KK. Evaluation of acute and subacute oral toxicity induced by ethanolic extract of Marsdenia tenacissima leaves in experimental rats. Sci Pharm. 2017;85(3):29. doi: 10.3390/scipharm85030029, PMID 28825665.
Kant V, Verma PK, Pankaj N, Kumar J, Raina R, Srivastava A. Haematological profile of subacute oral toxicity of fluoride and ameliorative efficacy of aluminium sulphate in goats. Toxicol Int. 2009;16(1):31.
Saha P, Mazumder UK, Haldar PK, Islam A, Kumar RS. Evaluation of acute and subchronic toxicity of lagenaria siceraria aerial parts. Int J Pharm Sci Res. 2011;2(6):1507.
Mythilypriya R, Shanthi P, Sachdanandam P. Oral acute and subacute toxicity studies with Kalpaamruthaa, a modified indigenous preparation, on rats. J Health Sci. 2007;53(4):351-8. doi: 10.1248/jhs.53.351.
Pittler MH, Ernst E. Systematic review: hepatotoxic events associated with herbal medicinal products. Aliment Pharmacol Ther. 2003;18(5):451-71. doi: 10.1046/j.1365-2036.2003. 01689.x. PMID 12950418.
Rifai N, Russell Warnick G, Dominiczak MH. eds. Handbook of lipoprotein testing. Amer. Assoc. Clin Chem; 2000.
Singh A, Kumar R, Kannaujia SK, Singh NP. Hematobiocemical and histopathological studies on the effects of raj Nirwan Bati (A novel Allovedic drug) in wistar rats. Int J Pharm Pharm Sci. 2022;14:21-30. doi: 10.22159/ijpps.2022v14i2.42935.