
*1Department of Pharmaceutics, Bharati Vidyapeeth College of Pharmacy, Near Chitranagari, Kolhapur, India, 2Department of Pharmaceutical Quality Assurance, Bharati Vidyapeeth College of Pharmacy, Kolhapur, 3Department of Pharmacology, Bharati Vidyapeeth College of Pharmacy, Kolhapur, 4Department of Pharmacognosy, Bharati Vidyapeeth College of Pharmacy, Kolhapur
Email: ajshinde70@rediffmail.com
Received: 25 Aug 2022, Revised and Accepted: 14 Oct 2022
ABSTRACT
Objective: The aim of present study was to prepare triamcinolone acetonide (TA) loaded NLCs hydrogel for antipsoriatic activity.
Methods: A Nanostructured lipid carrier (NLCs) was prepared by using solvent diffusion and high pressure homogenization methods. NLCs dispersion was characterized by particle size, zeta potential, scanning electron microscopy (SEM), differential scanning calorimetry, and an in vitro release study. Optimized NLC incorporated into the hydrogel and characterized for rheological properties, drug content, in vitro drug release, stability study, skin irritation and antipsoriatic activity for optimized batch of hydrogel.
Results: Optimized NLCs loaded with TA were exhibited spherical shape with particle size 286±0.07 nm, polydispersity index 0.317, zeta potential-21.91±0.05mV and entrapment efficiency 86.19±0.06% respectively. The drug release of optimized batch was 8.34 % and 88.84±0.08% at 1h and 8h respectively. The release kinetics of the optimized NLCs best fitted the peppas-korsmeyer model. The results of NLC hydrogel formulations were spreadability 27.4±0.06-11.76±0.07 g. cm2/sec, drug content 65.60±0.05%-74.50±0.02%, in vitro drug release 87.52±0.04%, primary irritation index was 0.0752, it indicates barely perceptible irritation. Histopathological studies showed that, in psoriasis-induced animal treated with TA loaded NLC hydrogel, marked reduction in thickness of epidermis, as compared to conventional gel formulation. It shows the increase % orthokeratosis 88.69% and % drug activity 54.23% than the marketed formulation.
Conclusion: The present results demonstrated that hydrogel based NLC shows the better and effective drug delivery for the management of psoriasis.
Keywords: Nanostructured lipid Carrier, Hydrogel, Antipsoriatic activity, Irritation study, Triamcinolone acetonide
© 2023 The Authors. Published by Innovare Academic Sciences Pvt Ltd. This is an open access article under the CC BY license (https://creativecommons.org/licenses/by/4.0/)
DOI: https://dx.doi.org/10.22159/ijap.2023v15i1.46198. Journal homepage: https://innovareacademics.in/journals/index.php/ijap
Now days, nanotechnology has proved the growth of research and its applications in the area of medicine [1]. Since last decade, various techniques have been studied to formulate nanoparticulate carrier systems. Polymeric nanoparticles suffered with some drawbacks such as toxicity and unavailability of good techniques for production of nanoparticles at large scale. Despite SLNs being good carriers, less capacity of drug loading and expulsion of the drug during storage, may require some reliable technique to overcome such problems. As an effect, nanostructured lipid carriers (NLCs) have been developed, which in some extent can avoid these limitations [2, 3].
NLCs composed of a solid lipid matrix with a certain content of liquid lipids are a new generation of SLNs [4-6]. The advantages NLCs systems are, stabilize oxidation/photo-sensitive materials by incorporating poorly water soluble drugs. As dermally applied, ensure close contact with the lipid bilayer of the stratum corneum, resulting in a more efficient and deeper drug penetration into the skin layers [7, 8].
Psoriasis is a chronic inflammatory, immune-mediated disorder characterized by marked changes in the skin like rashes, scales, red patches, and itchiness. The inflammatory processes included here may be linked with progression of morbidity and co-morbid conditions, which severely impair the patient’s health [9]. Histologically, psoriatic skin shows thickened epidermis, absence of granular layer, and epidermal cell nuclei in the superficial layers. A large number of inflammatory cells are present in all layers of the skin. In psoriasis, the skin becomes rigid due to increase in the level of cholesterol and decrease in ceremides level, which leads to a reduction of water content in the skin. This possesses a big challenge to make drug available to the target tissue using topical route [10]. A broad range of therapies are available for treatment of psoriasis; however, their side effects limit their application [11, 12]. It has also been found that, for psoriasis-like inflammatory ailments, a large proportion of population is turning toward herbal remedies with a belief that they are free from any kind of side effects [13].
Corticosteroids are the most widely used in the treatment of dermatological disorders is related to their vasoconstrictive, anti-inflammatory, immunosuppressive and anti-proliferative effects [14]. Triamcinolone acetonide (TA) is a synthetic glucocorticosteroid binds in the target cell to specific cytosolic glucocorticoid receptors and subsequently interacts with glucocorticoid receptor response elements on DNA, thereby altering gene expression [15, 16]. NLCs are composed of biodegradable and physiological lipids as a carrier, exhibiting low systemic cytotoxicity [17].
In case of dermatological diseases such as psoriasis, whose triggers are situated beneath the skin, it is preferable to manage drugs topically rather than systemically due to more efficient direct action with improvement of the local access for optimum amount of drug. Topical administration also reduces the systemic burden and toxic effects of the drugs and it is considered the first line of treatment used in moderate psoriasis as it is considered safe and well accepted by the patients [18]. The successful implementation of these systems for drug delivery entirely depends on their ability to go through numerous anatomical barriers, sustained release of their content and stability in the nanometer size. Various particulate lipid based colloidal carriers have also found application in anti-psoriatic drug delivery, in particular SLNs and NLCs [19].
NLCs have the potential to adjust the drug release over an extended period with a reduced rate of systemic absorption. The lipid film formation above the skin and the succeeding occlusion effect was described for lipid nanoparticles with reduction of transepidermal water loss caused by this effect, leads to an augment in skin hydration after dermal application of SLNs or NLCs [20, 21]. NLCs systems are a promising carrier for the topical delivery of antipsoriatic drugs as revealed by improved skin permeation and reduce irritation, narrow size distribution, better bioavailability and the compatibility of the drugs [22].
The present investigation explored the possibility of NLCs hydrogel formulation as a unique carrier system for the topical application with regard to the modulation of release of TA. The aim of present research work was to develop stable TA loaded NLCs gel formulation for the treatment of psoriasis.
Triamcinolone acetonide and Capmul MCM C8 were obtained as a gift samples from Glenmark Pharmaceuticals, Goa and Abitec Corporation, Janesville, USA respectively. Glyceryl monostearate, polyvinyl alcohol and carbopol were purchased from Loba Chemicals, Mumbai, India. All other solvents and reagents used in this work were of analytical/HPLC grade.
Preformulation study
The sample of TA was analyzed for its nature, color and taste. The melting point was performed by using open capillary method. TA was estimated by UV spectrophotometry method.
Preparation of NLCs
NLCs loaded with TA were developed using solvent diffusion method in aqueous system. Briefly, mixture of capmul MCM C8 and GMS with lipid content, prepared by adding capmul to GMS and TA, total weight of 5% w/w to the drug and lipids were mixed in a solvent mixture of ethanol and acetone that is (1:1 v/v) kept in sonication bath (Spectra lab model UCB 70) for 10 min. and on water bath temperature was maintained at 60 °C. The aqueous phase of PVA (0.2%) used as stabilizer into which the organic mixture was added and kept on water bath, maintained temperature at 70 °C and processed under mechanical agitation of 500 rpm for 10 min. using mechanical stirrer (IKA RW 20 Digital).
The dispersion was kept on magnetic stirrer for liberation of organic solvent. Obtained dispersion was mixed by using Ultra turrex homogenizer for 10,000 rpm for 5 min. Further samples were passed through High pressure homogenizer under pressure of 1000 bar and 30 cycles. NLCs dispersion was dried in freeze drier by adding cryoprotectant (mannitol) and lyophilized, obtained a dried and free flowing powder [23].
Characterization of NLCs formulations
The particle size distribution and zeta potential of the prepared NLCs were measured by using Horiba SZ-100 using dynamic light scattering (DLS).
Percentage entrapment efficiency
A 5 ml sample of NLCs dispersion was centrifuged at 8,000 rpm at 10 °C for 20 min. by using cooling centrifuge. The supernatant was separated, and then resuspended the NLCs lipid layer in methanol and centrifuged. The collected NLCs residue was lysed with absolute methanol. TA in the supernatant was determined by UV spectrophotometric method at specified wavelength [24]. The % entrapment efficiency was calculated by using formula 1.

Where, TP is the total amount of drug, TF amount of drug in supernatant
In vitro release studies
In vitro release studies of TA from NLCs was evaluated by the dialysis diffusion technique. The diffusion medium was used phosphate buffer pH 7.4. NLCs equivalent to 1 mg of TA was dissolved in buffer, placed in the dialysis bag and sealed at both the ends. The dialysis bag was immersed in 70 ml of the receptor compartment (beaker), which was stirred at 50 rpm and maintained temperature at 37±2 °C. A 5 ml sample was withdrawn at every 15 min. interval for first 1h and 1h interval for next 8h. The samples were filtered, suitably diluted and observed absorbance by UV spectroscopy at λ max of 238 nm.
Preparation characterization of TA-NLC-based hydrogel
The suitable NLC formulation for the topical delivery of TA was selected based on the evaluation of characteristics like: particle size, entrapment efficiency, and in vitro release. Carbopol was dispersed in the NLC dispersion using a mechanical stirrer (Remi, Mumbai, India) at a speed of 1200 rpm. The dispersion was neutralized using triethanolamine. The gel was allowed to stand overnight to remove entrapped air.
Characterization of hydrogel
The prepared TA-NLC loaded hydrogel formulation was inspected visually for their color, clarity, homogeneity, and appearance. The pH was determined by dispersing accurately weighed 1g of hydrogel in 100 ml of water and stored for 2 h, by using standardized digital type pH meter. The rheological properties, of the NLC hydrogels were investigated using DV-2+pro viscometer; spindle (RV-4) was rotated at 10, 5 and 2.5 rpm at 25-27 °C±2 °C. Drug content was determined a quantity of 10 mg of TA-NLC loaded hydrogel was dissolved in 10 ml phosphate buffer pH 7.4 and the final volume was made up to 100 ml, so as to final concentration of 10 μg/ml. The whole solution was ultrasonicated for 15 min and the absorbance was measured by UV visible spectrophotometer at λmax of 238 for TA.
Spreadability test
The spreadability of the hydrogel was determined using the spreadability test apparatus. A ground glass slide was fixed on this block. An excess of gel (about 2 gm) under study was placed on this ground slide. The hydrogel was sandwiched between slide and another glass slide having the dimension of fixed ground slide and provided with the hook. A 1 Kg weight was placed on the top of the two slides for 5 min to expel air and to provide a uniform film of the hydrogel between the slides. Excess of the hydrogel was scrapped off from the edges. The top plate was then subjected to pull of 80 gm. With the help of string attached to the hook and the time (in seconds) required by the top slide to cover a distance of 5 cm be noted. A shorter interval indicates better spreadability; calculation of spreadability (S) by using the formula 1.

Where:
S = Spreadability of gel formations
M = Weight in the pan (tied to the upper slide),
L = Length moved by the glass slide,
T = Time taken for plate to slide the entire length
Adhesion test
Adhesion test was performed by using the texture analyzer (CT3 Texture model) in compression mode. The analytical probe was forced down into each sample at a defined rate (1.50 mm/s) and to a defined depth (5.0 mm). When a trigger force of 0.5g has been achieved, the probe proceeds to penetrate the sample at a test speed of 1.00 mm/s to a depth of 5 mm. During this time, the force to penetrate the sample increases. When the specified penetration distance has been reached, the probe withdraws from the sample at the post-test speed of 12 mm/s [25]. The adhesion test was performed and obtained the results.
In vitro permeation studies
All the formulations were subjected to in vitro diffusion through cellophane membrane by using Franz diffusion type cell. The membrane was mounted on a Franz diffusion cell and phosphate buffer pH 7.4 was filled in receptor compartment; maintain the temperature 32±0.5 °C with constant stirring. About 1 g of gel was applied on the outer surface of the cellophane membrane. At definite time interval of 0, 1, 2, 3, 4 up to 8 h sample of 5 ml were withdrawn. The amount equal to aliquots withdrawn was replaced with same amount of fresh phosphate buffer solution. After suitable dilutions at various time intervals was analyzed by UV spectrophotometric method. Amount of drug diffused at various time intervals was calculated and plotted against time. The permeation parameters are helps to determining the permeation through skin of TA by steady state flux, permeability coefficient. Permeability coefficient (P) was calculated from the slope graph of % of drug transported v/s time as using formula 2, and Flux was calculated by formula 3,

Where, Vd = Volume of donor solution, S=Surface area of tissue.

Where, CD = concentration of donor solution
Fourier transform infrared spectroscopy study
FTIR absorption spectrum of TA was determined by Fourier transform infrared spectrophotometer Perkin Elmer (Brooker) at resolution of 2-1 cm. Spectra were recorded over the wave number 400-4000 cm-1. Infrared spectrums of pure drug and optimized batches were recorded. From the spectrum analysis the compatibility of ingredients in the formulations were determined.
Differential scanning calorimetry study
DSC studies were carried out using (Mettle-Toledo DSC821 instrument). Indium and zinc standards were used to calibrate the DSC temperature and enthalpy scale. Freeze dried of NLCs optimized batch and pure drug were hermetically sealed in aluminium crucible and heated at 10 °C/min over a temperature range of 0-450 °C. An inert atmosphere was maintained by purging with nitrogen at a flow rate of 50 ml/min. An empty aluminium pan was used as standard reference. Thermograms of pure TA, physical mixture and NLCs formulation were obtained using DSC.
Powder X-ray diffraction study
The XRD patterns were recorded on X-ray diffractometer (PW 1729, Philips, Netherlands). Samples were irradiated with monochromatized Cu-Ka radiation (1.542A˚) and analyzed from 2 °-100 ° 2θ at a scan speed of 0.1° 2θ/sec using 1.524 A˚ radiations. The spectra of XRD were recorded and analyzed.
Scanning electron microscopy
SEM analysis was carried out by using ESEM (QUANTA-200-3D, FEI, USA) at 20.0KV in environmental mode for identification and morphology of NLCs. Thin film of test was set up on carbon covered copper network by simply dropping a one drop of test on framework, test was expelled by channel paper/tissue paper and allow drying a sample for overnight. Before taking an image, coat the grid by gold coating, and observe the size and morphology of particle.
Skin irritation study
A skin irritation study was calculated according to a modified Draize scoring method[26]. The Primary Irritation Index (PII) was an average value reflecting irritation both immediately after dressing removal and 72h later. The application sites were graded according to a visual scoring scale, always by the same investigator. The test sites were examined for dermal reactions in accordance with the Draize scoring criteria from 0 to 4, no erythema, very slight erythema, well-defined erythema, moderate to severe erythema and severe erythema reactions.
Skin irritation studies of formulation was carried out on healthy albino rats weighing 150-250 gm. They were housed in cages and fed on standard diet and water. Animals were allowed to acclimatize for 7 d prior to experiments being carried out. Institutional ethics committee permission was obtained as per CPCSEA guidelines (Approval No: BVCPK/CPCSEA/IAEC/04/19) for carrying out the study on animals.
The dorsal surface of the rat was cleaned and the hair removed by shaving. The skin was cleaned with 70% alcohol. The rats were divided into three groups. Group I was control, Group II received 0.8 % v/v aqueous solution of formalin as a standard irritant and Group III received prepared formulation. At 24, 48, and 72 h test formulation, application site was examined for dermal reaction in accordance with the Draize scoring criteria and irritation index was determined. After the one week of acclimatization, the albino rats were divided into three experimental groups, each group consisting animals as, I Control group, II Standard group: Cotrima cream (Triamcinolone acetonide cream B. P) and III Test group: a) Carbopol based TA-NLC loaded hydrogel formulation.
Antipsoriatic activity
Antipsoriatic activity was performed by using Perry's scientific rat tail model [27]. Healthy adult albino rat used for the study and rats were will be divided into three groups, which were control, standard and test formulation groups. 9 albino rats randomly assign to three groups in each group 3 animals. Group I will serve as control, group II will be treated with standard and Group III will be treated with test formulation. The formulations were applied once daily with the help of paint brush to the proximal half of the rat tail for four weeks. Twenty four hours after the last application of formulations, the tail skin was cut by longitudinal dissection with a scalpel and stripped from the underlying cartilage. The obtained skin samples were appropriately processed and stained with hematoxylin eosin.
The processed skin samples were examined microscopically for the presence of granular layer in the scale regions and also for epidermal thickness. Induction of orthokeratosis in those parts of the adult rat tail, having normal parakeratotic differentiation was quantified by measuring the length of the granular layer (A) and the length of the scale (B). Ten sequential scales were examined for each skin section. Percent orthokeratosis was calculated by using equation 4 and Drug activity (DA) was calculated using 5.


Where, OK represents percent orthokeratosis
Stability studies
Stability studies were carried out according to ICH guidelines Q1A (R2). The stability of formulated TA-NLC hydrogel was calculated by storing the sample for a period of 30, 60, 90 d (3 mo) at 40±2 °C/75±5% (RH). Samples were removed at interval of 1 mo and examined for appearance, pH and drug content.
NLCs loaded with TA were developed using solvent diffusion method in aqueous system. The formulated NLCs sizes were analyzed using DLS, results revealed that presence of NLCs mean diameter of optimized batch was about 286±0.07 nm, maximum NLCs lie between size ranges of 200-500 nm, and polydispersity index 0.317. The 0.2 % surfactant concentration showed the lowest particle size. This could be explained by the decrease in surface tension by increasing the surfactant concentration, which facilitates the size reduction and stabilizes the formed NLCs with inhibition of aggregation.
Moreover, PDI was significantly decreased by increasing the concentration of surfactant. These results were consistent with increasing the surfactant concentration leads to a significant decrease in the NLCs size and PDI. The zeta potential of optimized batch B6 was obtained-21.91±0.05 mV which corresponds to stability of formulations. The zeta potential in the range of-14.30±0.03 to-21.91±0.05 mV was obtained of all prepared batches. Patwekar SL et al. reported that, high zeta potential values indicate the physical stability of the prepared NLCS with low probability of aggregation and crystal growth [6]. Particle size, Zeta potential of optimized batch showed in fig. 1 and 2.
% Entrapment efficiency
The % entrapment efficiency of NLCs was found to be in the range of 75.02±0.02% to 86.19±0.06 %. The entrapment efficiency of the optimized batch B6 was 86.19±0.06% because of the perfect ratio of lipid volume in the NLC as compared to other batches. Thus, it shows the effect of Capmul and PVA and edge activators ratios on entrapment efficiency. Characterization of NLC batches were shown in table 1.

Fig. 1: Particle size of optimized batch

Fig. 2: Zeta potential of optimized batch
Table 1: Optimized batches of NLC formulation
| Batches code | Particle size | Entrapment efficiency | Zeta potential |
| B1 | 389±0.06 | 83.06±0.05 | -14.54±0.02 |
| B2 | 370±0.05 | 82.07±0.01 | -15.01±0.04 |
| B3 | 360±0.02 | 81.03±0.02 | -17.45±0.08 |
| B4 | 386±0.01 | 82.16±0.03 | -14.30±0.03 |
| B5 | 350±0.09 | 84.45±0.09 | -18.26±0.04 |
| B6 | 286±0.07 | 86.19±0.06 | -21.91±0.05 |
| B7 | 410±0.05 | 78.03±0.04 | -15.20±0.09 |
| B8 | 394±0.02 | 76.01±0.03 | -16.89±0.05 |
| B9 | 362±0.03 | 75.02±0.02 | -18.25±0.03 |
Data represent mean±SD, n=3
In vitro drug release studies
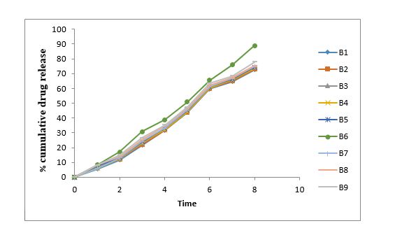
The cumulative percentage drug release of batches B1 to B9 were in the range of 72.59±0.06 to 88.84±0.08% for 8 h. The percentage release of optimized batch was found to be 8.34 % and 88.84 % at 1 h and 8 h respectively. In vitro drug release study of TA loaded NLC was indicated sustained release for 8 h. The best fit model was found to be Peppas-Korsmeyer model. The % cumulative drug release of drug and best fit model of the NLC batches were shown in fig. 3 and table 2.
Table 2: Characterization of hydrogel
| Batches | Appearance | pH | Viscosity (cPs) | Drug content (%) | Spreadability (gcm/sec) |
| 0.5% | Smooth | 7.76±0.03 | 814±0.04 | 65.60±0.05 | 27.4±0.06 |
| 1.0% | Smooth | 7.77±0.04 | 981±0.03 | 70.26±0.06 | 20.0±0.05 |
| 1.5% | Smooth | 7.80±0.09 | 1800±0.06 | 72.89±0.09 | 15.9±0.02 |
| 2.0% | Smooth | 7.85±0.05 | 1832±0.08 | 74.50±0.02 | 11.76±0.07 |
Data represent mean±SD, n=3

Fig. 3: % Cumulative drug release of drug. Error bars were omitted, n=3
Preparation and characterization of hydrogel
The prepared NLC hydrogel formulation was inspected visually for their color, clarity, homogeneity, appearance and feel upon application such as grittiness, uniformity, and stickiness of formulation. The hydrogel was observed translucent, opaque with absence of particulate matter. The pH determined at room temperature was found to be in between 7.76±0.03 to 7.85±0.05, which may not produce any skin irritation. Thus from experimental observations, it reveals that all formulation were suitable for skin application. The viscosity 2% hydrogel formulation shows viscosity 1832±0.08 cps at 10 rpm. Viscosity of hydrogel was found to be 814±0.04cPs to1832±0.08cPs at 10 rpm. The drug content of hydrogel formulation was found to be well within the range between 65.60±0.05% to 74.50±0.02% w/v. Drug content of 2% hydrogel was found to be 74.50±0.02%. The spreadability test of 0.5% to 2% hydrogels were found to be 11.76±0.07 to 27.4±0.06 gcm/sec, which indicate its easy spreading on skin after application. Characterization of hydrogel shown in table 2.
Adhesion test
The results of adhesion study was found that the formulation has good hardness and stickiness value 77.30g, which indicates that the formulation was less sticky and hence had a good patient compliance. Adhesion study of TA loaded NLC hydrogel shown in fig. 4 and table 3.

Fig. 4: Adhesion of TA loaded NLC hydrogel
Table 3: Adhesion study
| S. No. | Parameters | Results |
| 1. | Hardness cycle (g) | 77.30±0.05 |
| 2. | Deformation at hardness (mm) | 12.00±0.03 |
| 3. | Hardness work cycle (mJ) | 02.27±0.08 |
| 4. | Adhesive force (g) | 25.70±0.09 |
| 5. | Adhesiveness (mJ) | 01.95±0.06 |
Data represent mean±SD, n=3
In vitro diffusion studies
In vitro release studies of NLC hydrogel has represented in batches from batch 0.5% to 2% were carried out. The drug release profile shown the release of drug from the NLC hydrogel was in control manner, and slower. Comparative study of % cumulative release of optimized NLC TA 2% hydrogel and pure drug gel shown in fig. 5.
In vitro skin permeation studies
In vitro release of TA-NLC hydrogel formulations through goat membrane were carried out to with the pure drug gel and NLC hydrogel having suitable consistency for topical application. The results reveal that the total amount of drug release at 9h for the formulations batch 2% and pure drug gel was compare with them, viscosity as well as the consistency of the formulations. Coope H et al. reported that, the drug release was inversely proportional to the viscosity of the hydrogel formulations [10]. The NLC hydrogel formulations showed good physicochemical characteristics for topical application. The drug release increased significantly in the batch 2% hydrogel, as compared with pure drug formulation. The cumulative percentage release of batches 2% hydrogel and pure drug gel were in the range of 87.52±0.04 and 70.23±0.07 % for 9 h respectively. The percentage release of optimized batch was found to be 3.45±0.02 % at 1 hour and 87.52±0.04% at 9 h. % release of 2% hydrogel formulation was increased as compare with pure drug.
Permeation parameter of gel formulation
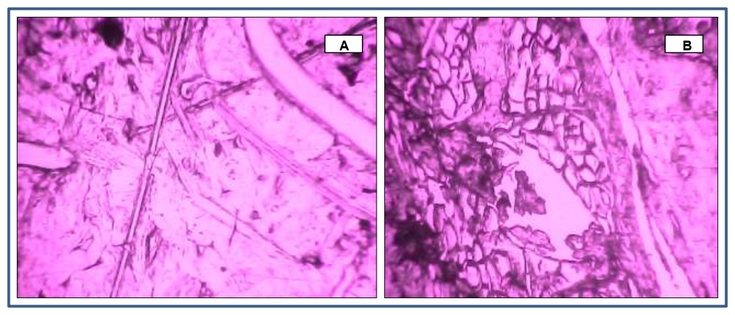
The flux was used to gauge the permeation of TA through the skin. Highest flux was obtained for the batch 2% hydrogel formulation in comparison to the pure drug penetration enhancers. The molecular size and lipophilic nature of complex produced maximum flux by maximizing the amount of free TA available for permeation. The hydrogel formulation showed the release of 87.52% at the end of 9h. In vitro drug release of pure gel was 70.23±0.07% within 9 h. It was observed that the NLC hydrogel shows flux was higher compared to the other formulations. The 2% batch shows that permeability coefficient and Flux(J) were 0.0155 and 5.455±0.43 respectively. Histological study of permeation of pure drug gel (A) and 2% hydrogel (b) magnification at 40X shown in fig. 6.

Fig. 5: % cumulative release of hydrogel of batch 0.5% to batch 2% and pure drug gel. Error bars were omitted, n=3

Fig. 6: Histological study of permeation of pure drug gel (A) 2% hydrogel magnification at 40X
FTIR spectroscopy study
The FTIR study was carried out to confirm the compatibility between drug and excipients. Spectrums of TA were showed characteristics peaks belonging to measure functional groups such as principle peaks at wave numbers 1710 cm-1, 3343 cm-1 and 1660 cm-1, confirm the presence of TA. The characteristics peak of the hydroxyl group (OH stretching) at 3396 cm−1, a band peak at 3408.57 cm-1 owing to amino group (C-N stretching), present in the amide group at 1662.91 cm−1. FTIR results reveals that the fundamental peaks of the TA were retained in the optimized batch B6 formulation and no major changes as well as no loss of functional peaks. This indicates that absence of chemical interaction or any changes between TA and excipients used in the formulation. It has been observed that there was no appreciable change in the position and nature of the characteristics band of drug in the formulations. It can be concluded that the drug maintain it’s identity without going any chemical interaction. The Overlain of FTIR spectrums of A) Drug B) NLC C) Physical mixture were shown in fig. 7.
Differential scanning calorimetry
The DSC curve of TA shows a broad endotherm indicating single, sharp melting endotherm peak at 191.6 °C, which corresponded to its intrinsic melting point indicating it’s crystalline nature. Thermogram of physical mixture showed almost the same peaks of drug at 191.6 °C. However, no sharp endotherm was seen at 161.6 °C and 170 °C for NLCs optimized batch B6, Dixit CM et al. reported that, it suggesting that TA in NLCs was molecularly dispersed as a less crystalline form, it’s melting point was decreased indicating reduced crystallinity due to dilution effect of the polymers [16]. DSC results were support of the XRD analysis, which also shows decrease in drug crystallinity in NLCs formulation. The overlain of drug, physical mixture, NLCs optimized batch B6 were shown in fig. 8.
X-ray diffraction studies
X-ray diffraction has been used to analyze potential changes in the inner structure of NLCs. The results indicated that XRD spectrum of NLCs batch shown reduced peak intensity it leads to reduced crystallinity. It revealed that the there was no such interaction observed in excipients and polymer used. In XRD analysis all peak intensity was observed in decreasing order, therefore the NLCs formulation shows decrease in crystallinity. Furthermore, maintenance of the initial crystalline state is advantageous for long-term stability. The overlain of diffraction spectrum of XRD of A) drug B) physical mixture C) NLCs shown in fig. 9.

Fig. 7: Overlain of FTIR spectrums of A) Drug B) NLC, C) physical mixture

Fig. 8: Overlain of drug, physical mixture, NLC

Fig. 9: Overlain XRD of A) Drug B) Physical mixture C) NLC
Scanning electron microscopy
The results of SEM can be revealed that TA showed needle shaped large crystals, indicating crystalline nature. However, the prepared NLCs optimized batch B6 had a drastic change in morphology, nearly spherical shape with nonporous and smooth surface observed under 2500X and 18kv, so no drug crystals were present in NLCs formulation. The shape of the NLC was spherical and the size of the NLC was found within the nanometer range. Moreover, the nanograph also revealed the agglomeration of nanoparticles which might be due to the lipid nature of the carrier and the drying process during sample preparation prior to SEM analysis. The SEM of pure TA and optimized batch B6 shown in fig. 10.

Fig. 10: Scanning electron microscopy of TA (A) and NLC optimized batch(B)
Skin irritation studies
The results of skin irritation studies reveals that, there was a no sign of either erythema or edema after 24 h of application, but slight erythema or edema observed in some rats after the application of 72h. The primary irritation index for test was found to be 0.0752 and it indicates barely perceptible irritation. The skin irritation test of the hydrogel formulation showed a skin irritation score (erythema and edema) of less than 1. According to Draize et al. [26] formulations producing scores of 2 or less were considered negative (no skin irritation). Therefore, it can be assured that the gel formulation can be used for topical application. Hence, the developed hydrogel formulations were free from the skin irritation shown in fig. 11 and table 4. Quin ZM and et al. reveals that TAA-LNPs may mildly irritate damaged skin after multiple administrations, and the residual solution left after a previous application should, therefore, be removed when multiple administrations are required to reduce this effect [28].
Table 4: Dermal observation of skin irritation studies
| Rat No | Reaction | Standard | Test |
| 24 h | 72 h | ||
| 1 | Erythema | 2 | 3 |
| Edema | 1 | 2 | |
| 2 | Erythema | 1 | 2 |
| Edema | 2 | 2 | |
| 3 | Erythema | 2 | 3 |
| Edema | 1 | 2 | |
| Average | Edema | 1.25 | 2.30 |
Antipsoriatic activity
In psoriatic lesions the granular layer of the epidermis was greatly reduced or it may be absent. Also development of parakeratotic condition in the psoriatic lesions is one of the hallmarks of psoriasis. The mouse tail test is based on the development of orthokeratotic region. This test has been accepted as a screening method for measuring antipsoriatic activity. All the NLC hydrogel formulations were applied topically. From the histometric measurements the degree of orthokeratosis and drug activity for control, standard and test treated groups was determined. Drug activity was defined by the increase in percentage of orthokeratotic regions (regions in a cell having no nucleus and involved in protection from invaders like micro-organisms, UV rays, weak acids and bases. Md. Sarfaraz Alam and et al. reported that a safe and effective nanoemulsion gel formulation of BD in Babchi oil for the treatment of psoriasis was developed, which provided enhanced permeation of the drug, reduced dosing frequency, and sustained the drug release for the desired period of time and also have improved anti-inflammatory activity [29].
The histometric measurement demonstrates that control group shows only 40.12±0.05% degree of orthokeratosis. However, the standard group (Cotrima cream) increase in the orthokeratotic region up to 68.24±0.08%, while for the test groups it was found that carbopol based TA-NLC hydrogel shows 88.69±0.07%. Longitudinal histological sections of Albino rat tail skin at 40X Control (A), Cotrima cream (B) and TA-NLC loaded hydrogel and effect of control, standard and NLC formulations shown in fig. 11 and table 5 respectively. In the mouse tail test, carbopol based TA-NLC hydrogel produced significant increase in orthokeratosis region, when compared to control and standard formulations. Thus, TA-NLC hydrogel formulation, which proves that its use as an antipsoriatic drug formulation for better management of psoriasis. Vijayalakshmi et al. reported that the flavonoid quercetin showed significant reduction in epidermal thickness with respect to control in Perry’s mouse tail model [30]. Skuric J et al. reported that the flavonoids from propolis offer some protection against psoriatic complications through their roles as inhibitors of inflammation and as free radicals scavengers on animal model psoriasis, induced by the UV induced [31].
Stability studies
The results of stability studies indicate that there was no evident change in the physical appearance and negligible change in pH and drug content of formulations. After the 30 d stability studies reveals that no morphological changes were observed in 2% NLC hydrogel formulation after 60 d. Thus, stability studies results indicated that the drug does not undergo degradation on storage. Evaluation of optimized batch after stability studies was shown in table 6.
Table 5: Effect of control, standard and NLC formulations
| Groups | Degree of orthokeratosis (%) | Drug activity (%) |
| Control | 40.12±0.05 | 00.00 |
| Standard (Cotrima cream) | 68.24±0.08 | 40.65±0.07 |
| TA-NLC loaded hydrogel | 88.69±0.07 | 54.23±0.09 |
Data represent mean±SD, n=3

Fig. 11: Longitudinal histological sections of Albino rat tail skin at 40X control (A), Cotrima cream (B) and TA-NLC loaded hydrogel (C)
Table 6: Evaluation of optimized batch after stability studies
| Time period | Appearance | pH | Drug content (%) |
| Initial | Homogenous | 7.85±0.06 | 74.50±0.04 |
| 30 d | Homogenous | 7.60±0.04 | 74.45±0.06 |
| 60 d | Homogenous | 7.40±0.08 | 74.30±0.09 |
Data represent mean±SD n=3
This present work indicates that the NLCs of TA could be successfully prepared by solvent diffusion method. NLCs exhibit high entrapment efficiency with sustained release of drug up to the period of 8h. DSC and XRD studies confirm the transformation of crystaline nature of drug into amorphous that plays an important role in enhancement of absorption rate followed by bioavailability. SEM study confirms nanosized discrete spherical shape with smooth surface area. The percentage release of optimized batch was found to be 3.45 % at 1h and 87.52 % at 9h. On application to the skin the hydrogel leaves the cooling effect, no gritty particles on the surface of the skin and also no irritation to the skin. The skin irritation test of the hydrogel formulation showed a skin irritation score of less than 1. Hence, it concludes that the developed hydrogel formulations were free from the skin irritation. In vitro anti-psoriatic activity of 2% NLC hydrogel formulation showed the significant orthokeratosis in the mouse tail test, when compared to control thus indicating that the formulation is effective in treating psoriasis. Thus, it concluded that the NLCs hydrogel formulation could potentially be exploited as a carrier with improved drug loading capacity and controlled drug release properties, and beneficial in treatment of psoriasis.
Anilkumar J. Shinde, Shreyash D. Tarlekar and all co-authors are thankful to Glenmark Pharmaceuticals, Goa, India for gift sample of Triamcinolone acetonide and to Abitec Corporation, Janesville, USA for gift sample of Capmul MCM C8.
Nil
The author designed and performed the experiment, analyzed data and prepared the manuscript. All authors played an equal role in completing this research work.
The authors declared no conflict of interest
The present studied animals were treated according to “Ethical guidelines for the care and use of animals in education and scientific Research” and approved through the Institutional ethics committee as per CPCSEA guidelines (Approval No: BVCPK/CPCSEA/ IAEC/04/19).
Salunkhe SS, Bhatia NM, Bhatia MS. Implications of formulation design on lipid-based nanostructured carrier system for drug delivery to brain. Drug Deliv. 2016;23(4):1306-16. doi: 10.3109/10717544.2014.943337, PMID 25080227.
Carmona Ribeiro AM. Biomimetic nanoparticles: preparation, characterization and biomedical applications. Int J Nanomedicine. 2010;5:249-59. doi: 10.2147/ijn.s9035, PMID 20463941.
Kovacs SZ, Berko E, Csany I. Development of nanostructured lipid carriers containing salicylic acid for dermal use based on the quality by design method. Eur J Pharm Sci. 2016:4-5.
Muller RH, Radtke M, Wissing SA. Solid lipid nanoparticles (SLN) and nanostructured lipid carriers (NLC) in cosmetic and dermatological preparations. Adv Drug Deliv Rev. 2002;54Suppl 1:S131-55. doi: 10.1016/s0169-409x(02)00118-7, PMID 12460720.
Pardeike J, Hommoss A, Muller RH. Lipid nanoparticles (SLN, NLC) in cosmetic and pharmaceutical dermal products. Int J Pharm. 2009;366(1-2):170-84. doi: 10.1016/j.ijpharm.2008.10.003, PMID 18992314.
Patwekar SL, Pedewad SR, Gattani S. Development and evaluation of nanostructured lipid carriers-based gel of isotretinoin. Particulate Science and Technology 2018;36(7):832-43. doi: 10.1080/02726351.2017.1305026.
Müller RH, Rühl D, Runge S, Schulze Forster K, Mehnert W. Cytotoxicity of solid lipid nanoparticles as a function of the lipid matrix and the surfactant. Pharm Res. 1997;14(4):458-62. doi: 10.1023/a:1012043315093, PMID 9144731.
Panda R, Kuotsu K. Fabrication, characterization, and in vitro evaluation of pegylated glyceride labrasol nanostructured lipid carrier composite of methotrexate: the pathway to effective cancer therapy. Asian J Pharm Clin Res. 2019;12:29-37.
Pradhan M, Singh D, Singh MR. Novel colloidal carriers for psoriasis: current issues, mechanistic insight and novel delivery approaches. J Control Release. 2013;170(3):380-95. doi: 10.1016/j.jconrel.2013.05.020, PMID 23770117.
Coope H, Mckenna DJ, Alexandroff AB. Long term safety of biologics in the treatment of psoriasis. Psoriasis Targets Ther. 2013:1-9.
Knudsen NO, Jorgensen L, Hansen J, Vermehren C, Frokjaer S, Foged C. Targeting of liposome-associated calcipotriol to the skin: effect of liposomal membrane fluidity and skin barrier integrity. Int J Pharm. 2011;416(2):478-85. doi: 10.1016/j.ijpharm.2011.03.014, PMID 21419203.
Ryan C, Korman NJ, Gelfand JM, Lim HW, Elmets CA, Feldman SR. Research gaps in psoriasis: opportunities for future studies. J Am Acad Dermatol. 2014;70(1):146-67. doi: 10.1016/j.jaad.2013.08.042, PMID 24126079.
Reich K. The concept of psoriasis as a systemic inflammation: implications for disease management. J Eur Acad Dermatol Venereol. 2012;26(2)Suppl 2:3-11. doi: 10.1111/j.1468-3083.2011.04410.x, PMID 22356630.
Cevc G, Blume G. Hydrocortisone and dexamethasone in very deformable drug carriers have increased biological potency, prolonged effect, and reduced therapeutic dosage. Biochim Biophys Acta. 2004;1663(1-2):61-73. doi: 10.1016/j.bbamem.2004.01.006, PMID 15157608.
Brazzini B, Pimpinelli N. New and established topical corticosteroids in dermatology: clinical pharmacology and therapeutic use. Am J Clin Dermatol. 2002;3(1):47-58. doi: 10.2165/00128071-200203010-00005, PMID 11817968.
Dixit CM, Akhil S, Mukundan S, Gupta S. Development and in vitro evaluation of nanolipid carrier of clobetasol propionate and Promaxine hydrochloride for topical delivery. Int J Appl Pharm. 2018;10:28-36.
Katare OP, Raza K, Singh B, Dogra S. Novel drug delivery systems in topical treatment of psoriasis: rigors and vigors. Indian J Dermatol Venereol Leprol. 2010;76(6):612-21. doi: 10.4103/0378-6323.72451, PMID 21079304.
Zhang YT, Shen LN, Wu ZH, Zhao JH, Feng NP. Evaluation of skin viability effect on ethosome and liposome-mediated psoralen delivery via cell uptake. J Pharm Sci. 2014;103(10):3120-6. doi: 10.1002/jps.24096, PMID 25070929.
Hu FQ, Jiang SP, Du YZ, Yuan H, Ye YQ, Zeng S. Preparation and characterization of stearic acid nanostructured lipid carriers by solvent diffusion method in an aqueous system. Colloids Surf B Biointerfaces. 2005;45(3-4):167-73. doi: 10.1016/j.colsurfb.2005.08.005, PMID 16198092.
Syed TA, Ahmad SA, Holt AH, Ahmad SA, Ahmad SH, Afzal M. Management of psoriasis with Aloe vera extract in a hydrophilic cream: A placebo‐controlled, double‐blind study. Trop Med Int Health. 1996;1(4):505-9. doi: 10.1046/j.1365-3156.1996.d01-91.x, PMID 8765459.
Potdar D, Hirwani RR, Dhulap S. Phyto-chemical and pharmacological applications of Berberis aristata. Fitoterapia. 2012;83(5):817-30. doi: 10.1016/j.fitote.2012.04.012, PMID 22808523.
More B, Sakharwade S, Tembhurne S, Sakarkar D. Evaluation for skin irritancy testing of developed formulations containing extract of Butea monosperma for its topical application. Int J Toxicol Appl Pharmacol. 2013;3(1):10-3.
Zhang JQ, Liu J, Li XL, Jasti BR. Preparation and characterization of solid lipid nanoparticles containing silibinin. Drug Deliv. 2007;14(6):381-7. doi: 10.1080/10717540701203034, PMID 17701527.
Zou DN, Zhang DR, Zhou XH. HPLC determination of entrapment efficiency of matrine-loaded albumin nanoparticles. Chin J Pharm Anal 2008;28:93-6.
Sonawane R, Harde H, Katariya M, Agrawal S, Jain S. Solid lipid nanoparticles-loaded topical gel containing combination drugs: an approach to offset psoriasis. Expert Opin Drug Deliv. 2014;11(12):1833-47. doi: 10.1517/17425247.2014.938634, PMID 25078031.
Draize JH, Woodard G, Calvery HO. Methods for the study of irritation and toxicity of substances applied topically to the skin and mucous membranes. J Pharmacol Exp Ther. 1944;82:377-90.
Lin YK, Yang SH, Chen CC, Kao HC, Fang JY. Using imiquimod-induced psoriasis-like skin as a model to measure the skin penetration of anti-psoriatic drugs. PLOS ONE. 2015;10(9):e0137890. doi: 10.1371/journal.pone.0137890, PMID 26355594.
Qin ZM, Chen F, Chen DM, Wang Y, Tan Y, Ban J. Transdermal permeability of triamcinolone acetonide lipid nanoparticles. Int J Nanomedicine. 2019;14:2485-95. doi: 10.2147/IJN.S195769, PMID 31040670.
Sarfaraz A, Sajid A, Nawazish A, Intakhab A. Design and characterization of nanostructure topical gel of betamethasone dipropionate for psoriasis. J Appl Pharm Sci. 2012;2(10):148-58. doi: 10.7324/JAPS.2012.21029.
Vijayalakshmi A, Ravichandiran V, Malarkodi V, Nirmala S, Jayakumari S. Screening of flavonoid “quercetin” from the rhizome of Smilax china Linn. for anti-psoriatic activity. Asian Pac J Trop Biomed. 2012;2(4):269-75. doi: 10.1016/S2221-1691(12)60021-5, PMID 23569912.
Skuric J, Orolic N, Kolaric D, Dikic D, Benkovic V. Effectivity of flavonoids on animal model psoriasis-thermographic evaluation. Period Biol. 2011;57:457-63.