
aDepartment of Pharmacology, Institute of Pharmacy, Nirma University, Ahmedabad-382481, Gujarat, India, bDepartment of Pharmaceutics, Institute of Pharmacy, Jamia Millia Islamia Central University, New Delhi, Delhi-110025, India
Email: jigna.shah@nirmauni.ac.in
https://innovareacademics.in/journals/index.php/ijap/article/view/34203
ABSTRACT
Objective: The aim of the present study leads a comparative assessment of the toxicological profile of PEGylated fourth and fifth-generation poly (propyleneimine) dendrimers (PPI).
Methods: 4.0G and 5.0G generations of PPI dendrimer were synthesized and PEGylated with Mono polyethylene glycol 5000 (MPEG-5000). Each PEGylated 4.0G and 5.0G dendrimeric generation were administered in three different doses: 2.5 mg/kg, 25 mg/kg and 250 mg/kg (i.e., low, intermediate and high dose) to wister rats. After the dose administration, the blood and tissue samples of wister rats were collected after 24 h and 15 d after. All the collected samples were proceeded for hematological, biochemical and histopathological studies.
Results: After 24 h of (250 mg/kg) dose administration PEGylated 5.0G PPI dendrimer the RBC count, hemoglobin content and WBC count were found 7.873±0.129 mill/cmm, 13.833±0.491g/dl and 9033.33±2384.906 mill/cmm, while PEGylated 4.0G PPI dendrimer indicated RBC count, hemoglobin content and WBC count 8.733±0.239 mill/cmm, 14.033±0.12 g/dl and 9666.667±2567.316 mill/cmm, in blood samples as compare to RBC count 9.346±0.037 mill/cmm, hemoglobin content 15.35±0.15 g/dl and WBC count 8500±286.675 mill/cmm of the animals of the normal control group. Thus there are no remarkable changes (p>0.05) in RBC count, hemoglobin content and other hematological profile after 24 h in comparison of the normal control group of animals. Similarily insignificant changes (p>0.05) in serum glutamic oxaloacetic transaminase (SGOT), serum glutamic pyruvic transaminase (SGPT), lactate dehydrogenase (LDH) and sections of different organs indicate the inoffensive nature of both generations of PEGylated 4.0G and 5.0 G PPI dendrimers.
Conclusion: It can be concluded that fifth-generation PPI dendrimers are more suitable as compared to fourth generation of PPI dendrimer, while both dendrimers are not generating any severe toxicity.
Keywords: Poly (propyleneimine) dendrimers, Generation, Toxicity of dendrimers, Biocompatibility, Drug loading
International Journal of Applied Pharmaceutics
DOI: http://dx.doi.org/10.22159/ijap.2019v11i5.34203
CORRECTION
Correction to: Acute Toxicological Investigation of Polyethylene Glycol Derivatized Fourth and Fifth Generation Poly (Propyleneimine) Dendrimers
NITIN DWIVEDIa, DUSHYANT KUMAR PARMARa, PRASHANT KESHARWANIb, JIGNA SHAHa
Received: 19 May 2019, Revised and Accepted: 25 Jul 2019
© 2019 The Authors, Published by Innovare Academic Sciences Pvt Ltd.
Correction to: International Journal of Applied Pharmaceutics
DOI: http://dx.doi.org/10.22159/ijap.2019v11i5.34203
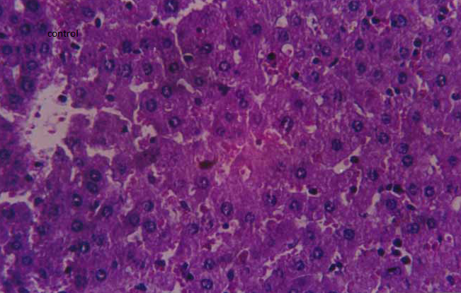
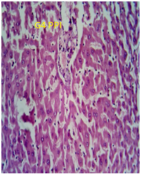
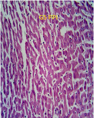
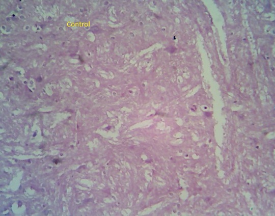
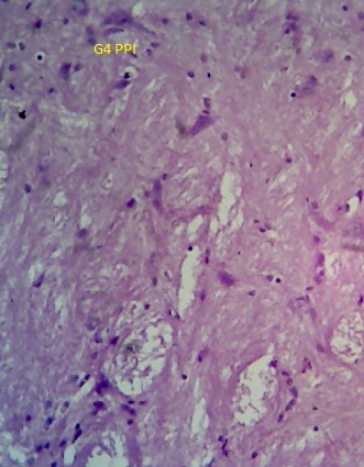
The error in the image in fig. 9 in the published research article has occurred from our side due to the magnification variation and oversight while placing the same in our article which was submitted for publication in your reputed journal. The error is unintentional and due to multiple experiments compilation for the said promising research.
“The image of “G5 PPI group” in fig. 9 is incorrect in the original figure. A corrected fig. is shown below.”
The original article can be found online at http://dx.doi.org/10.22159/ijap.2019v11i5.34203



Liver



Brain
Fig. 9: Photomicrograph of sections of brain and liver of animals of control group and animals administered with a single dose of 250 mg/kg to PEGylated G4 and G5 PPI dendrimers after 24 h. (magnification: 400X)