
1Department of Pharmaceutics, Al-Ameen College of Pharmacy, Bengaluru, Karnataka, India. 2Nitte College of Pharmaceutical Sciences, Bangalore, Karnataka, India
*Corresponding author: Preeti V. Karwa; *Email: preeti_karwa@yahoo.com
Received: 06 Jul 2023, Revised and Accepted: 02 Sep 2023
ABSTRAC
Objective: Patients travailing with end-stage organ failure can benefit from a life-saving treatment protocol called organ transplantation that also rallies eminence of life. Tacrolimus plays an important role in maintaining the healthy status of the organ transplanted, but its widespread clinical application is constrained due to low oral bioavailability which can be the limiting factor for the reduction in life span of transplanted healthy organ.
Methods: To overcome the drawbacks of tacrolimus and to maximize its therapeutic efficiency, tacrolimus was formulated as transfersomes using thin film hydration method using soyalecithin and Tween-80, optimized by Central composite designs and characterized for Particle size, deformability index (DI), entrapment efficiency(EE%) and Zeta potential. The selected transfersome formulation was incorporated into sublingual films using Hydroxy Propyl Methyl Cellulose (HPMC) as a film-forming polymer and Polyethylene Glycol (PEG-400) as Plasticizer. The physical characteristics (average weight, pH, uniformity of weight and thickness) of the prepared films were studied, in addition they were evaluated for the in vitro drug release, ex vivo permeation, Differential Scanning Calorimetry (DSC), Attenuated Reflectance Spectroscopy (ATR), Scanning Electronic Microscopy (SEM), stability and in vivo pharmacokinetics in rats to prove the effect of flexibility provided by vesicle formation through sublingual route for enhanced systemic availability of tacrolimus.
Results: Designed and optimized transfersomal vesicles showed the vesicle size of 139±2.1 nm with a Deformability Index of 8.53±1.9%, Entrapment Efficiency of 86.66±1.2% and zeta potential of-23.6 mV respectively. Optimized Tacrolimus-loaded transfersomal vesicles (TAC-TFs) showed controlled release with more than 80±3.4% for an extended period of time compared to pure drug Tacrolimus. The average weight of all prepared transfersomal sublingual film (TAC_TF_SL films), batches were found in the range of 55.8±1.45 to 94.2±1.42 mg with mean thickness in the range of 0.23+0.1 to 0.52±0.2 mm indicating uniform cast of respective batches. The surface pH was found to be in the range of 6.9 to 7.0 which was close to saliva pH.
Optimized transfersomal sublingual films as well as nanovesicular dispersions found to be followed Zero order diffusion coupled with polymer relaxation. Ex vivo studies revealed the improved permeation of 6.51±0.04µg drug through sublingual mucosa than pure drug of 1.2±0.01 µg, depicting the significant role of soyalecithin and edge activator in the formulations. Transfersomal sublingual films exhibited controlled release with higher plasma concentration of 9.16±2.34 µg/ml at Tmax of 1.29±1.51h in comparison with 7.99±1.23 µg/ml at Tmax of 0.75±1.78h (oral marketed dosage form Pengraf capsules) embarking the higher rate of controlled absorption after sublingual delivery of optimized sublingual films with significant increase in AUC of 129.87±2.40 μg/ml/h when compared to AUC of marketed dosage form of 69.19±1.46 μg/ml/h. In addition, the absolute bioavailability of the drug following sublingual administration was found to be 70.77±2.92% in comparison with that after oral administration 40.60±2.34%.
Conclusion: Designed Tacrolimus loaded transfersomal sublingual films can be a promising carrier for delivering tacrolimus through sublingual route by enhancing drug bioavailability efficiently, which can be a boon to organ-transplanted patients.
Keywords: Organ transplantation, Tacrolimus, Transfersomes, Nanovesicles, Sublingual films, Nephrotoxicity
© 2023 The Authors. Published by Innovare Academic Sciences Pvt Ltd. This is an open access article under the CC BY license (https://creativecommons.org/licenses/by/4.0/)
DOI: https://dx.doi.org/10.22159/ijap.2023v15i6.48780. Journal homepage: https://innovareacademics.in/journals/index.php/ijap
Human or Animal Cells, tissues and organs are moved from one location to another by replacement or transplantation. Transplanting an organ from a donor, such as a kidney, liver, heart, lung, or pancreas, might fix an organ system that isn't working properly [1]. The degree of genetic dissimilarity between the grafted organ and the host determines part of the immune response to a graft. Patients who have had transplants may experience rejection and graft destruction if they are not adequately monitored or managed.
Incongruity that typically exists between donors and recipients antigens and the proinflammatory cytokines that are intragraftically expressed in the early post-transplantation phase dictate the strength of the alloimmune response. Histocompatibility antigens, which are made up of histocompatibility genes, are the antigens rooting for the denunciation of innately diverse tissues. Though more than 40 antigens are programmed at more than 40 loci, the major histocompatibility complex (MHC) contains the loci that are most strongly associated with transplant rejection reactions. Hyperacute rejection happens when the body rejects the transplanted tissue in a matter of minutes to hours. Acute rejection typically shows symptoms within the first six months following transplantation. After acute rejection episodes have passed, chronic rejection might appear months or years later. By extending the survival of allografts, immunosuppressive medications and tissue-typing techniques may enhance the quality of life for organ transplant recipients [2-4].
The success of solid organ transplantation is largely attributed to the effective use of immunosuppressive drugs, which work by overpowering the resistant system and lowering the chance of refutation of extraneous builds like displaced organs. The induction phase, which occurs prior to surgery and right after transplant, is the first stage of the immunosuppressive treatment for the transplant patient. The allograft remains in place for the duration of maintenance therapy. Throughout the lifespan of the graft, maintenance immunosuppression is essential for preventing acute and chronic rejections [5].
Tacrolimus and cyclosporine are two more classes of medications that are frequently used as antirejection medications. Tacrolimus suffers undergoing high level of first-pass metabolism due to the involvement of cytochrome P450 (CYP) 3A4 enzyme and P-glycoprotein (P-gp) efflux, resulting in decreased drug exposure (i.e., oral bioavailability) after oral drug delivery. A substantial intersubject range was detected, with the reported mean bioavailability being around 21%. Alternative methods of administration may be considered in the early post-transplant period or when oral tacrolimus delivery is not possible. Although there is an intravenous product, it has been linked to allergic reactions and can be damaging to the kidneys. Thus the sublingual route would be preferable to the IV method in order to prevent allergic responses. Tacrolimus is presently available only in tablet and pill form. When oral administration is not an option, systemic medication distribution through the oral mucosa can provide a different option. Tacrolimus can be administered sublingually, avoiding the issues with drug absorption and cessation that could occur in the small intestine by evading CYP3A4 and P-gp dual systems there by entering the systemic circulation directly [6-8].
Sublingual administration makes easier for the drug to enter the bloodstream through the ventral surface of the tongue, absorbing via passive diffusion into the lipoidal membrane with enhanced absorption [9-11].
For individuals who are unable to take drugs orally, sublingual administration may be explored in addition to enteral tube and IV tacrolimus treatment [12-14]. Given the foregoing, it is clear that tacrolimus must be formulated in an effective dosage form in order to be properly delivered to the systemic circulation [15, 16]. Liposomes are regarded as a viable remedy for improving tissue permeability, although they don't always permeate deeply into the systemic circulation [17, 18]. Thus, new lipid nanovesicle, namely transfersomes were investigated for the targeted delivery of tacrolimus via the sublingual route [19, 20].
Transfersomes are the vesicles with soyalecithin and edge activators that act by destabilizing the lipid bilayer thus improving flexibility and penetration of large molecular weight drugs. Drugs are found to be quickly absorbed directly into systemic circulation without first pass digestion when administered sublingually and absorption is shown to be 3 to 10 times higher with only 50% of the oral dose than when administered orally. Since immunosuppressant medications are administered as maintenance therapy or on a long-term basis, utmost of the antagonistic effects that are dose-reliant, such as nephrotoxicity, can be minimized [21-23].
Furthermore, quick raptness of the drug-loaded vesicular carriers may maintain therapeutic levels of the drug at steady concentration due to controlled and sustained release of drugs demonstrating benefits of the drug-loaded nanovesicular sublingual films for maintaining the drug action intensity for extended period of time [24-26].
Till now as per the literature research no work regarding the formulation of tacrolimus into nanovesicles has been conceded out and not yet been published in the open literature on the use of nanovesicular carriers. Hence an attempt has been made to design, formulate and evaluate sublingual films containing tacrolimus loaded sublingual transfersomal films which are expected to enhance drug bioavailability by avoidance of first pass metabolism.
Soya lecithin containing more than 70% phosphatidylcholine was received as gift sample from VAV lipids Pvt Ltd, Maharashtra, India. Tacrolimus was provided from Concord Biotech, Ahmedabad, India. Pengraf capsules were purchased from Biocon Biologicals India Limited, Bengaluru India. All other chemicals used were of analytical grade.
Formulation of tacrolimus-loaded transfersomes
Screening formulation and process variables by 36 taguchi design
Screening investigations were conducted to choose the type of phospholipid and surfactant on the basis of the literature review. For the initial screening investigations, soyabean lecithin with varying phosphatidylcholine content (S-70, S-30 and S-100) and surfactants Polysorbate-80 (Tweens), Polysorbate-20 (hydrophilic), Sorbitan monoleate (Spans)-60 and Span-80 (hydrophobic) were chosen. Screened phospholipid and edge activator were further investigated by application of Taguchi design with other significant factors.
Independent variables were screened by application of Taguchi's orthogonal array design. The concentration of phospholipid, surfactant, hydration volume, swelling duration and size reduction process (bath sonication and probe sonication time) were selected as six significant parameters that might affect the size of the drug-loaded transfersomal vesicles and PDI, respectively.
Table 1: Selected factors and levels for tacrolimus-transfersomes (TAC-TFs) as per taguchi design
| Factors | Levels | ||
| 1 | 2 | 3 | |
| X1=Drug: Soya lecithin-70 ratio | 10:10 | 10:30 | 10:40 |
| X2=Concentration of Tween 80(mg) | 5 | 15 | 20 |
| X3=Hydration liquid (ml) | 5 | 10 | 20 |
| X4=Swelling time (hr) | 1 | 1.5 | 2 |
| X5=Probe sonication time (min) | 5 | 7.5 | 10 |
| X6=Bath sonication time (min) | 5 | 10 | 15 |
Preparation of TAC-TFs by thin film hydration technique
Transfersomes (TAC-TFs) were prepared by Rotary flash evaporator (Super Fit, Haryana, INDIA). Screened phospholipid and surfactant namely soya lecithin-70 and tween-80 were each accurately weighed and then dissolved in 3 ml of an organic solvent. The entire mixture was poured to the rotating flask, which was then turned on to completely evaporate the organic solvent. By operating a rotary flask at 60 °C, a buffer with a pH of 6.8 was used to hydrate the thin layer that had formed around the flask's walls. Transfersomal vesicles thus formed were kept at room temperature to allow them to enlarge which were subjected to size reduction process, namely probe sonication for 10 min for the production of desired nanovesicular transfersomes. The resulting nanodispersions were stored in the refrigerator till further studies. To create the optimal formulation with optimum size distribution, several formulations were created using various permutation combinations of chosen phospholipid and surfactant. The 32 Central Composite design was used for the development of optimized formulations [27].
Optimization of TAC-TFs by 32 central composite design (CCD)
The formulations were designed using a 32-central composite design, which allowed for the synchronized assessment of two self-determining independent formulation variables, namely the phospholipid and the edge activator concentration, as well as their individual connections. The 3 levels of independent variables selected were 20, 40, and 60 mg of phospholipid (X1) and 10, 20, and 30 mg of edge activator (X2) with dependent variables as Vesicle size (Y1), Flexibility or Elasticity or Deformability index (Y2), and Entrapment Efficiency (Y3).
Table 2: Factors and levels of TAC-TFs by 32 central composite design
| Factors | Levels used | ||
| Independent variables | -1 | 0 | 1 |
| X1 =Drug: Soyalecithin 70 | 10:20 | 10:40 | 10:60 |
| X2= Concentration of Tween 80(mg) | 10 | 20 | 30 |
| Dependent variables | Constraints | ||
| Y1= Particle Size(nm) | Minimize | ||
| Y2= Deformability Index | Maximize | ||
| Y3=Entrapment Efficiency (%) | Maximize |
Statistical analysis
Using Design Expert10.0, the outcomes of the primary composite design were assessed. Developed model presented results in the form of polynomial equations for the selected dependent variables vesicle size (Y1), Elasticity Index or DI (Y2), and EE% (Y3) utilizing step-wise regression analysis
Y = b0+b1X1+b2X2+b12X1X2+b11 X12+b22X22
Where Y is the dependent variable, the estimated coefficients for factors X1 and X2 are b1 and b2, respectively, and b0 is the arithmetic mean response. The calculated coefficients for the interactions between X1 and X2, X1 and X1, and X2 and X2 are, respectively, b12, b11 and b22. The primary effects (X1 and X2) show what happens when one element is raised from a low value to a high value on average. The reaction changes when two factors are altered at once, as shown by the interaction term (X1X2). The reliability of the established polynomial equations was confirmed by preparing checkpoint formulations.
Vesicle size and zeta potential
The mean vesicle size (nm) and polydispersity index of the formulated transfersomes were measured by dynamic light scattering laser using a Nano Zetasizer, ZEN-3600 (Malvern® Instruments, Worcestershire, UK) equipped with a red laser (λ=633 nm) and programmable precise temperature controller. The corresponding zeta potentials (mV) were determined by photon correlation spectroscopy using the same Zetasizer Nano instrument [28].
Deformability index
A home-made equipment was used to conduct the deformability study. A 2.5 bar vacuum was used to extrude the vesicle suspension via a filter membrane with a pore index diameter of 100 nm (i.e. rp). The amount of nanovesicles that were extruded in 5 min was calculated (J). After extrusion, the Malvern Particle Sizer is used to measure the vesicle size (rv) [29].
The following equation was used to construct the deformability index to report the deformability:

Where j represents how much suspension was extruded in five minutes.
"rv" stands for the extruded vesicle size, "rp" for the nominal pore size of the used membrane
Encapsulation efficiency (EE %)
Absorbance of the selected Nanovesicle dispersion was measured and detected at 294 nm using UV spectrophotometer by centrifuging it at 15,000 rpm for 10-25 min. The supernatant liquid thus separated was then transferred to a 10 ml volumetric flask; required dilutions were made followed by filtration. Following the formula, the percentage of drug encapsulation efficiency was determined.

Wt =total drug in the nanovesicular dispersion
Wf =mass of unentrapped drug
In vitro drug release
Franz diffusion cells comprising donor and receiving (receptor) compartment were. Selected nanodispersions were measured out and placed in the donor compartment. To maintain a constant volume, the required amount (5 ml) of the solution from the receiver compartment was removed at preset scheduled intervals and swapped with the equal volume of the dissolving media in the flask. The pipetted samples were filtered diluted appropriately and drug absorbance was measured at 294 using a UV-visible spectrophotometer. To preserve accuracy and precision, the readings were made in triplicate [30].
Drug release kinetics
Data obtained from in vitro release were fitted into the zero-order, first-order, higuchi matrix, and Korsmeyer-Peppas models in order to analyze the drug release process.
The zero-order rate equation defines the situations in which the rate of release of drug is independent of drug's concentration.

Where k0 is the release rate constant following zero order and c is the concentration of the drug at time (t).
The following equation describes that the release of the drug is dependent on the initial concentration of the drug.

According to the Higuchi matrix model, release of active ingredients from the matrix dosage forms system, which is insoluble is dependent on square root-time.

Where Mt is the amount of drug release at time t, and K is the higuchi diffusion rate constant.
The way or the how the drug releases from the dosage forms can be interpreted by plotting drug release data values as cumulative log % drug release Vs log time using Korsmeyer equation. The ‘n’ value which is also called as exponent, can be calculated using the slope that will be obtained after plotting and getting straight line.

Where Mt/M is the release of drug in fractional amount, (t) is the time followed for the drug release, (K) is the drug/polymer system’s characteristic kinetic constant, and (n) is an exponent that exemplifies the mechanistic way of drug release or the mechanism followed by drug to come out from the dosage form for the controlled absorption.
By evaluating the data obtained for the ‘n’ value various mechanisms followed by the drug to release can be very easily interpreted.
Table 3: Mechanism of drug release based on ‘n’ value
| Value | Implications |
| n<0.5 | Quasi-Fickian diffusion |
| n= 0.5 | Fickian diffusion |
| 0.5<n<1. 0 | Anomalous (Non-Fickian transport) |
| n value more than 1 | Super case transport (Case-II) |
Preparation and optimization of drug-loaded transfersomal sublingual films (TAC_TF_SLF) by CCD design
HPMC K4M as the significant polymer in the formation of robust sublingual films and Polyethylene Glycol 400 (PEG-400) as the plasticizer were used to prepare sublingual films (SL) films utilizing the solvent casting technique. First, a quantified weight of sublingual film-forming polymers was added in 25 ml of warm distilled water, followed by addition of necessary quantity of plasticizer. To create the TAC_TF_SL films, the chosen polymeric solution was gently combined with a predetermined volume of the chosen and optimized transfersome dispersions (equivalent to the needed tacrolimus dose). Air bubbles were then gently removed using a magnetic stirrer. An area measuring 18 cm2 and containing transfersomal dispersions containing 4.5 mg of tacrolimus per 2 X 2 cm2 were filled with the necessary amount of casting solution.
The films thus formed were removed from the customized moulds and placed in a desiccator for at least 24 h before examination of the films for further characterization. The resulting films were then wrapped in aluminum foil (to preserve their integrity and flexibility) and kept at room temperature in a dry location, pending further research.
Design-Expert® Software Version 10 was used to generate Central composite design, which produced nine runs to carry out the experiments and the data obtained were interpreted based on the following polynomial equation formed.
Y=b0+b1X1+b2X2+b12X1X2+b11X21+b22X22
Table 4: Optimized levels and factors for selected dependent and independent variables
| Factor code | Selected independent variables | Levels (-1,0,+1) | Dependent variables |
| X1 | HPMC K4M | 1.5–3.5% w/v | Disintegration time(Y1) |
| X2 | PEG-400 | 1-3% w/v | Folding Endurance (Y2) |
Table 5: Implications of generated polynomial equation
| Variables | Significance |
| Y | Dependent variable |
| b0 | Arithmetic mean response |
| b1 and b2 | Estimated coefficient for factor X1 and X2 |
| b12, b11 and b22 | Estimated Coefficients for the interaction between X1 and X2, X1 and X1 and X2 and X2. |
Results obtained by changing one factor at a time from the low level to high value are represented by main effects X1 and X2. Simulateneous Interaction and changes between X1 and X2 results in changes in response which can be valuable.
Characterization of transfersomal sublingual films
Prepared sublingual films were visually inspected for appearance and texture. The SL film's thickness was measured with Vernier calipers at five separate points (one in each of the film's four corners and the center) to determine its mean thickness.
Folding endurance
A shred of developed sublingual film was cut and folded continually in the same spot until films break to evaluate folding endurance. If the sublingual film remains intact without losing is integrity after repetitive folding at the place or spot of the sublingual film, it indicates the robustness and mechanical strength developed by the films contributed by the polymers and excipients used in the process of making films.
Weight variation
From the developed sublingual films 2 X 2 cm2 of the film was cut at 3 separate locations. On an electronic balance, selected sublingual films were weighed, and the average mean weight for each generated set of sublingual films batch was calculated.
Disintegration time
The disintegration time is the time at which a sublingual film begins to dissolve or disintegrate. The film strip (2X 2 cm2) was placed in a round, flattened Petri dish with 6 ml of pH 6.8 phosphate buffer to monitor the amount of time it took for the film to disintegrate. The amount of time needed for the film to completely degrade was noted. In order to ensure precision and accuracy, every measurement was made three times.
Surface pH
The prepared sublingual film soaked for 30 seconds with 0.5 cc of phosphate buffer in petridish. Electrodes of the pH meter were placed into touch with the film’s surface and giving it a minute to equilibrate, after which pH was recorded. Above process were carried out for three consecutive times to get the statistical significance of the obtained results.
Drug content
A suitable volumetric flask having 10 ml capacity was selected to which phosphate buffer (pH 6.8) was filled and added a SL film containing 4.5 mg of medication. Following film dissolving, volume was appropriately adjusted, and following the proper dilutions, absorbance at 294 nm was measured using a UV spectrophotometer.
Moisture content %
Moisture content percentage is a crucial indicator of the consistency and physical stability of produced films. It is determined by weighing each sublingual film in the beginning and then placing them in a desiccator with anhydrous calcium carbonate at room temperature for 24 h. Films were then removed from the desiccator and weighed again. Results obtained were interpreted by using the following equation.

Swelling index studies
From each of the optimized sublingual formulations, 2 cm2 sublingual films were cut. On pre-weighed cover slips, these films were fastened before being reweighed. After that, these films were put in Petri dishes with labels. Each Petri dish was filled with pH 6.8 phosphate buffer solution until the sublingual films were completely submerged in the liquid. The cover slips were removed after intervals of one hour, five hours, and twenty-four hours; surplus water was blotted using tissue paper; and the samples were weighed right away.
The results obtained for swelling index due to swelling were calculated using the formula:

Where W1=Primary or Initial weight of Sublingual film before swelling
W2=Absolute of Final weight of SL film after swelling
In vitro drug release studies for optimized transfersome-loaded sublingual films
Using a two-chambered Franz diffusion cell, the in vitro drug release from vesicle-imgded sublingual films was carried out for optimized formulations. 4 cm2 of the SL film, is submerged in 2 ml of pH 6.8 buffer in the donor chamber containing 85 ml of PBS with a pH of 7.4 in receptor cell of diffusion cell. The complete process was carried out on a stirrer containing magnetic bead maintaining a 37 °C of optimum temperature at 50 RPM speed. At the predetermined intervals, samples (5 ml) were obtained, and after being appropriately filtered and diluted absorbance measurements were made using a V spectrophotometer at 294 nm.
Ex-vivo studies
In the current study, quantity of drug that infused through the goat's subglossal mucosa and the amount that was left unabsorbed on the mucosa's surface for various samples, including tacrolimus in its purest form, plain films with the drug, and TAC-loaded transfersomal sublingual films was assessed using franz-diffusion cells. A freshly excised goat sublingual mucosa from the abattoir was cleaned with distilled water, stripped of extra layers and then cleaned once more with pH 6.8 phosphate buffer without compromising its physical integrity. It was then kept appropriately for diffusion investigations. The tissue was then fastened amid the Franz diffusion cell's donor and receptor compartments, which had respective capacities of 85 ml and 2 ml. There was a 2 cm2 region available for diffusion. pH 7.4 Phosphate buffer was used in the receptor cell, which also contained the sampling port, and pH 6.8 phosphate buffer was used in the donor cell, which contained each sample's nanovesicles-loaded sublingual films. A thermostatically controlled magnetic stirrer with a magnetic bead coated in Teflon was used to swirl the fluid in the receptor compartment constantly at a very low speed (50 rpm).
A sample (2 ml each time) taken from the receptor cell at regular intervals was filtered, diluted, and assessed spectrophotometrically to determine the amount of active ingredient present in the formulated dosage forms.
Differential scanning calorimetry
DSC measures sample change in physical characteristics at varied temperature change over time. As a function of time interval and temperature, it calculates the change in temperature and heat flow related to material shifts. A small amount of material is heated at a predetermined rate to conduct DSC testing.
A reference material that is inert and heated to the same temperature is used to compare the energy needed to heat the sample. An endotherm is one in which the sample being tested takes more energy than the reference. By hermetically sealing the samples in pans made of aluminium and heating them at a persistent rate of 10.0 °C/min over a temperature array of 25 °C-200 °C. I scans for the active pure drug, Soyalecithin, mixture of drug and excipients (Physical mixture), and selected optimized nanovesicular sublingual films were recorded (DSC-60; Shimadzu).
Scanning electron microscopy
Using a concentrated stream of electrons with substantially high energy, the scanning electron microscope () produces a range of indications or signals at the exterior of compact solid materials. The signals formed by interactions among electrons and drug samples provide particulars on the sample's peripheral appearance (texture), chemical configuration, crystalline structure, and orientation of the constituent materials. Utilizing this method (amplification ranging from 20.00X to about 30,000.00X, three-dimensional firmness of 50.0 to 100.0 nm), parts or areas with girths or widths of around 1.0 cm to 5.0µ can be scanned in a mode of scanning range. Using a scanning electron microscope with a 15 kV acceleration voltage, the surface morphology of the chosen fast-dissolving Nanovesicles-loaded sublingual films was examined.
In vivo pharmacokinetic studies
The protocol of this research was reviewed and approved by the Institutional Animal Ethics Committee (IAEC) as per the CPSCEA guidelines (Approval no: AACP/IA/IAEC/MAR2019/06). All rats were maintained with standard diet. Rats were supplied with food and water ad libitum. Prior to the experiment, all animals were fasted for 18 h with free access to the water.
Animal dosing and grouping
Animal studies were initiated using wistar rats weighing in the range of 180±40g. All animals used for work were handled with care according to Instuitional animal ethical guidelines.
The plasma concentrations of TAC were evaluated from healthy Wistar rats after the sublingual administration of the optimized transfersomal sublingual film compared to the commercial Pengraf oral capsules (10 mg TAC).
Fifteen rats were used in the present study. Approximately 2 mg/kg of the drug, corresponding to a 9-mg human dose, was used [35]. This equivalent dose for rats was calculated by the aid of surface area ratio, by using the following equation [36, 37].

Where, AED is animal equivalent dose and Km ratio is correction factor which is estimated by using the average body weight (kg) of animal species to its body surface area (m2).
Rats were randomly divided into three groups each of five animals as follows
Group I: normal saline at the oral dose of 2 mg/kg of rat body weight
Group II: Optimized and stabilized TAC-loaded Transfersomal Sublingual film
Group III: Appropriately marketed Tacrolimus preparation (Pengraf capsules)
Multiple blood samples (1–2 ml) were collected in heparinized vacutainer tubes before administration and at 0, 0.25, 0.5, 1, 2, 3, 4, 6, 8, 12, 24 and 36 h following drug administration. The plasma was then separated after centrifugation and stored frozen at-20 °C until further analysis.
Analysis of plasma
A modified HPLC method was used to analyze the rat blood samples that had been collected. In a nutshell, 150 μl of blood samples from different groups of rats were mixed with 250 μL of acetonitrile (precipitation reagent. The samples were centrifuged for 15 min at 14000 rpm after standing for 30 min at 4 °C. By using an HPLC system (model-Shimadzu) with an ultraviolet (UV) detector, 180 L μl of supernatant was segregated. The Octadecylsilane C-18 column (internal diameter: 5 m, 100 4.6 mm) was used to separate the samples. Tacrolimus was detected at 224 nm in treated blood by maintaining a flow rate of 0.7 ml/min with acetonitrile-water (80.00: 20.00 v/v) as the eluting mobile phase. To find the optimum Tacrolimus-loaded nanovesicular sublingual film, the pharmacokinetic parameters Concentration at the maximum (Cmax), Time to reach maximum concentration (Tmax), Area under the curve (AUC), Elimination rate constant (Ke), Mean residence time, Relative and Absolute bioavailability were calculated and compared.
Histopathological analysis
In a group of rats (Group IV n = 5), tacrolimus-loaded transfersomal sublingual films were given for one week. Rats were watched to see if they died within a week. The sublingual mucosae were removed from the animals after one week, inflated with 4.0% (v/v) formaldehyde solution in physiological isotonic salt solution (saline), preserved, and kept at 4 °C till for further histological evaluation.
Stability studies
The stability of finished formulated dosage forms depends on the one hand, on environmental factors such as ambient temperature, humidity and light and on the other on product-related factors e. g. the chemical and physical properties of the active substance and of pharmaceutical excipients, the dosage form and its composition, the manufacturing process, the nature of the container-closure system and the properties of the packaging materials.
Stability studies are conceded out to test the resisting and adaptive potential of the formulated dosage form in different temperature conditions.
Stability studies were carried out for optimized transfersomal sublingual films at varied temperature conditions for 6 mo by packing piece of the optimized sublingual film (O_TAC_TF_SLF) in butter paper followed by aluminum foil and plastic tape. At different time intervals the films were evaluated for the physical appearance, weight, surface pH, folding endurance and Disintegration time.
TAC-loaded transfersomes were prepared by thin film hydration technique. To arrive for the best and robust formulations Central composite optimization design was applied. Formulated drug-loaded transfersomal nanovesicles were evaluated for particle size, Deformability index (DI) and Entrapment Efficiency.
Table 6: Experimental measured values for particle size and PDI of TAC-TFs and S/N ratio (Taguchi orthogonal array table of L27) by 36 taguchi design
| F-code | Experimental conditions | Particle size*±SD | S/N ratio | PDI*±SD | S/N ratio | |||||
| X1 | X2 | X3 | X4 | X5 | X6 | |||||
| TT1 | 1 | 1 | 1 | 1 | 1 | 1 | 989.3±1.32 | -59.9039 | 1.00±1.33 | 0.000 |
| TT2 | 1 | 1 | 1 | 1 | 2 | 2 | 918.4±1.67 | -59.2569 | 0.96±1.45 | 0.3546 |
| TT3 | 1 | 1 | 1 | 1 | 3 | 3 | 812.2±2.98 | -58.1911 | 0.98±1.67 | 0.1755 |
| TT4 | 1 | 2 | 2 | 2 | 1 | 1 | 745.4±1.31 | -57.4431 | 0.81±1.45 | 1.8303 |
| TT5 | 1 | 2 | 2 | 2 | 2 | 2 | 710.5±2.16 | -57.0252 | 0.78±2.56 | 2.1581 |
| TT6 | 1 | 2 | 2 | 2 | 3 | 3 | 687.2±1.81 | -56.7391 | 0.71±2.67 | 2.9748 |
| TT7 | 1 | 3 | 3 | 3 | 1 | 1 | 672.5±1.34 | -56.5474 | 0.69±1.28 | 3.2230 |
| TT8 | 1 | 3 | 3 | 3 | 2 | 2 | 661.1±1.63 | -56.4040 | 0.62±2.19 | 4.1522 |
| TT9 | 1 | 3 | 3 | 3 | 3 | 3 | 628.4±1.56 | -55.9592 | 0.69±2.14 | 3.2230 |
| TT10 | 2 | 1 | 2 | 3 | 1 | 2 | 614.6±1.78 | -55.7634 | 0.62±1.26 | 4.1522 |
| TT11 | 2 | 1 | 2 | 3 | 2 | 3 | 601.9±3.17 | -55.5775 | 0.61±1.35 | 3.2230 |
| TT12 | 2 | 1 | 2 | 3 | 3 | 1 | 598.3±2.12 | -55.5340 | 0.59±2.40 | 3.2230 |
| TT13 | 2 | 2 | 3 | 1 | 1 | 2 | 587.2±1.53 | -55.3728 | 0.57±.1.23 | 4.2934 |
| TT14 | 2 | 2 | 3 | 1 | 2 | 3 | 575.2±2.56 | -55.1934 | 0.55±2.17 | 5.1927 |
| TT15 | 2 | 2 | 3 | 1 | 3 | 1 | 569.4±1.15 | -55.1022 | 0.53±1.62 | 5.5145 |
| TT16 | 2 | 3 | 1 | 2 | 1 | 2 | 558.3±2.67 | -54.9327 | 0.52±1.78 | 5.6799 |
| TT17 | 2 | 3 | 1 | 2 | 2 | 3 | 548.2±3.16 | -54.7756 | 0.51±1.39 | 5.8486 |
| TT18 | 2 | 3 | 1 | 2 | 3 | 1 | 519.3±1.89 | -53.3033 | 0.78±2.16 | 2.1581 |
| TT19 | 3 | 1 | 3 | 2 | 1 | 3 | 498.2±1.32 | -53.9446 | 0.61±2.34 | 4.2934 |
| TT20 | 3 | 1 | 3 | 2 | 2 | 1 | 486.9±2.56 | -53.7327 | 0.59±1.38 | 4.5830 |
| TT21 | 3 | 1 | 3 | 2 | 3 | 2 | 473.7±1.13 | -53.4972 | 0.57±1.91 | 4.8825 |
| TT22 | 3 | 3 | 1 | 3 | 1 | 3 | 463.9±1.78 | -53.3116 | 0.49±2.52 | 6.1961 |
| TT23 | 3 | 3 | 1 | 3 | 2 | 1 | 458.5±1.21 | -53.2173 | 0.42±1.38 | 7.5350 |
| TT24 | 3 | 3 | 1 | 3 | 3 | 2 | 447.5±2.56 | -52.0062 | 0.40±1.63 | 7.9588 |
| TT25 | 3 | 3 | 2 | 1 | 1 | 3 | 438.5±1.78 | -52.8295 | 0.32±1.89 | 9.8970 |
| TT26 | 3 | 3 | 2 | 1 | 2 | 1 | 429.3±1.63 | -52.6491 | 0.29±2.53 | 10.7520 |
| TT27 | 3 | 3 | 2 | 1 | 3 | 2 | 412.5±1.52 | -52.2879 | 0.21±2.19 | 13.5556 |
*mean±Standard deviation (SD); n=3
Table 7: Experimental values measured for particle size, DI and EE of TAC-TFs by 32 central composite design
| F-code | Conc. of SL-70 (mg) | Conc. of tween-80 (mg) | Particle size *(nm)±SD | DI*±SD | EE (%)*±SD | ||
| Actual values | Coded values | Actual values | Coded values | ||||
| TF1 | 20 | -1 | 10 | -1 | 376.1±1.33 | 7.46±1.12 | 54.52±4.23 |
| TF2 | 20 | -1 | 20 | 0 | 359.9±3.23 | 7.53±3.45 | 59.18±3.12 |
| TF3 | 20 | -1 | 30 | +1 | 318.6±2.45 | 8.03±5.12 | 67.64±2.87 |
| TF4 | 40 | 0 | 10 | -1 | 223.2±1.56 | 8.16±3.79 | 76.48±1.56 |
| TF5 | 40 | 0 | 20 | 0 | 209.3±2.89 | 8.23±1.90 | 78.06±2.89 |
| TF6 | 40 | 0 | 30 | +1 | 139.8±1.53 | 8.53±2.34 | 86.66±3.45 |
| TF7 | 60 | +1 | 10 | -1 | 267.6±2.75 | 7.12±1.45 | 64.32±1.19 |
| TF8 | 60 | +1 | 20 | 0 | 258.8±3.51 | 7.24±1.78 | 69.45±3.78 |
| TF9 | 60 | +1 | 30 | +1 | 243.2±2.56 | 7.35±2.56 | 70.64±2.16 |
| C | 40 | 0 | 30 | 0 | 143.2±1.45 | 8.59±1.78 | 83.18±2.57 |
*mean±Standard deviation (SD); n=3, DI=Deformability Index, EE=Entrapment Efficiency

Fig. 1: Surface response graph using 2 factor 3 level central composite design-effect of conc. of phospholipid and tween-80 on vesicle size of TAC-TFs

Fig. 2: Surface response graph using 2 factor 3 level central composite design-effect of conc. of phospholipid and tween-80 on DI of TAC-TFs

Fig. 3: Surface response graph using 2 factor 3 level central composite design-effect of conc. of phospholipid and tween-80 on EE (%) of TAC-TFs
Polynomial equations generated by CCD for developed TAC-TFs
Particle size = 200.33-47.50X1-28.00X2+8.50X1X2+112.50X12-14.00X22
Deformability index = 8.23-0.220X1+0.019X2-0.085X1X2-0.85X12-0.11X22
Entrapment efficiency =79.63+3.85X1+4.94X2-1.70X1X2-16.11X12+ 1.15X22

Fig. 4: Average vesicle size of optimized TAC-TFs

Fig. 5: Zeta potential of optimized TAC-TFs
Film-forming polymers and Plasticizers play an important role in getting flexible sublingual films. Hence 4, types of different polymers namely Hydroxyl propyl methyl cellulose (HPMC) K4M, HPMC 15M, HPMC K100, PVPK-30 and two types of plasticizers, namely Poly ethylene Glycol (PEG-400) and Propylene Glycol (PG) were studied for their effect on formation of good flexible films. Taguchi’s orthogonal array design was used by choosing these six parameters that could affect the folding endurance.
Polynomial equations derived for swelling index and folding endurance of TAC_TFs_SLF by Central composite design
Swelling Index = 4.58889+0.15 X1-0.183333X2+0.025X1X2-2.88333 X12+-0.183333 X22
Folding Endurance = 196-9.66667 X1-4.33333 X2-1.5 X1X2-32 X12-6 X22
Table 8: Experimental values measured for swelling index and folding endurance of TAC_TFs_SLF by 32central composite design
| F-code | Conc. of HPMC K4M (%) | Conc. of PEG (%) | Swelling index (%)*±SD | Folding endurance*±SD | ||
| Actual values | Coded values | Actual values | Coded values | |||
| TAC_TFs_SLF1 | 1.5 | -1 | 1 | -1 | 1.2±2.12 | 164±2.34 |
| TAC_TFs_SLF2 | 1.5 | -1 | 2 | 0 | 1.4±1.89 | 169±4.78 |
| TAC_TFs_SLF3 | 1.5 | -1 | 3 | +1 | 1.7±2.89 | 176±1.67 |
| TAC_TFs_SLF4 | 2.5 | 0 | 1 | -1 | 4.1±3.24 | 187±3.61 |
| TAC_TFs_SLF5 | 2.5 | 0 | 2 | 0 | 4.4±3.78 | 192±1.64 |
| TAC_TFs_SLF6 | 2.5 | 0 | 3 | +1 | 4.9±4.12 | 197±2.56 |
| TAC_TFs_SLF7 | 3.5 | +1 | 1 | -1 | 1.9±5.78 | 156±3.89 |
| TAC_TFs_SLF8 | 3.5 | +1 | 2 | 0 | 1.7±2.82 | 153±2.45 |
| TAC_TFs_SLF9 | 3.5 | +1 | 3 | +1 | 1.6±3.67 | 142±3.67 |
*mean±Standard deviation (SD); n=3

Fig. 6: Surface response graph using 2 factor 3 level central composite design-effect of conc. of HPMC K4M and PEG on folding endurance of TAC_TFs_SLF

Fig. 7: Surface response graph using 2 factor 3 level central composite design-effect of conc. of HPMC K4M and PEG on the swelling index of TAC_TFs_SLF
Table 9: Physical and mechanical properties of optimized TAC_TFs_SLF
| F-code | Thickness* (mm) | Weight* (mg) | Surface pH* | Drug content* | Film moisture content (%)* | Disintegration time (sec) |
| TAC_TFs_SLF1 | 0.23+0.1 | 55.8±1.45 | 6.8±0.14 | 92.98±2.21 | 1.25±2.46 | 32.3±1.34 |
| TAC_TFs_SLF2 | 0.26+0.4 | 62.4±1.34 | 6.5±0.12 | 91.39±2.43 | 1.92±3.12 | 33.5±2.57 |
| TAC_TFs_SLF3 | 0.28±0.2 | 72.1±1.56 | 6.9±0.13 | 94.12±3.23 | 1.24±3.78 | 31.3±1.89 |
| TAC_TFs_SLF4 | 0.32±0.6 | 76.6±1.68 | 6.8±0.12 | 93.45±1.82 | 1.82±2.70 | 34.2±1.39 |
| TAC_TFs_SLF5 | 0.36±0.3 | 78.1±1.44 | 6.9±0.14 | 94.78±1.94 | 1.15±1.56 | 35.2±2.18 |
| TAC_TFs_SLF6 | 0.38±0.2 | 83.2±1.23 | 6.5±0.11 | 95.12±1.56 | 0.96±3.10 | 36.2±3.29 |
| TAC_TFs_SLF7 | 0.43±0.3 | 86.2±1.34 | 6.9±0.16 | 96.47±1.81 | 1.04±2.75 | 43.2±1.31 |
| TAC_TFs_SLF8 | 0.45±0.2 | 91.7±1.97 | 7.0±0.14 | 97.89±1.61 | 1.63±3.18 | 44.2±2.56 |
| TAC_TFs_SLF9 | 0.51±0.5 | 94.2±1.42 | 6.8±0.13 | 98.45±1.11 | 1.06±3.54 | 46.3±1.12 |
*Mean of three determinations

Fig. 8: Comparative in vitro drug release of optimized nanovesicular dispersion (O_TF_ND) and sublingual film (O_TF_SLF)
Table 10: Comparative drug release kinetics of optimized nanovesicular dispersions and sublingual films
| F-code | Correlation coefficient (R2)* | Model | ||||
| Zero order | First order | Higuchi | Peppas | n value | ||
| O_TF | 0.9751±1.12 | 0.6115±1.24 | 0.9154±2.12 | 0.9088±1.23 | 0.624±2.14 | Zero order and Higuchi diffusion, Coupled diffusion and polymer relaxation |
| O_TF_SLF | 0.9915±2.32 | 0.7517±2.34 | 0.9867±1.78 | 0.9012±1.89 | 0.686±2.18 | Zero order and Higuchi diffusion Coupled diffusion and polymer relaxation |
*mean±Standard deviation (SD); n=3
Table 11: Comparative ex vivo permeation of optimized nanovesicular Sublingual film with pure drug and plain film with drug
| Parameters | Pure drug suspension* (±SD) | Plain film with drug* (±SD) | TAC-loaded transfersomal sublingual film* (±SD) |
| Steady-state flux (µg cm2//h) | 0.18±0.01 | 0.26±0.05 | 7.04±0.06 |
| Flux | 0.899±0.06 | 1.2±0.01 | 6.51±0.04 |
| Permeability (Cm/h) | 0.04±0.03 | 0.02±0.03 | 1.56±0.05 |
| Apparent permeability | 0.472±0.04 | 0.38±0.06 | 1.44±0.04 |
*mean±Standard deviation (SD); n=3

Fig. 9A: FTIR spectral peaks of pure tacrolimus

Fig. 9B: FTIR spectral peaks of physical mixture (Drug+soyalecithin)

Fig. 9C: FTIR spectral peaks of optimized Tacrolimus transfersomal sublingual film

Fig. 10A: DSC of pure drug tacrolimus
Table 12: Corresponding peaks of pure drug in optimized transfersomal SLF
| S. No. | Theoretical peaks | Pure drug | Physical mixture | O_TAC_TF_SLF | Corresponding peaks |
| 1. | 3250-3550 | 3350 | 3352 | 3301 | Amines N-H Stretch |
| 2. | 2850-2990 | 2977 | 2853 | 2910 | Alkanes C-H Stretch |
| 3. | 1665-1700 | 1676 | 1698 | 1678 | Ketones C=O Stretch |
| 4 | 1350-1570 | 1357 | 1352 | 1342 | NO2 stretch |

Fig. 10B: DSC of soya lecithin

Fig. 10C: DSC of physical mixture (Drug+Soyalecithin)

Fig. 10D: DSC of optimized transfersomal sublingual film
Scanning electronic microscopy

Fig. 11: Surface morphology of selected optimized transfersomal sublingual film TAC_TF_SLF (magnification: 106Xwith resolution of 0.5 nm-5 µm)
Table 13: Comparative pharmacokinetic parameters of optimized sublingual film
| Parameters | MKG (Pengraf capsules)* | O_TF_SLF* | MKG (IV Route)* |
| C max (µg/ml) | 7.99±1.23 | 9.16±2.34 | 16.127 |
| Tmax (h) | 0.75±1.78 | 1.29±1.51 | ---- |
| Half-life (h-1) | 6.22±2.89 | 9.24±1.56 | 6.46±2.31 |
| Elimination rate constant | 0.11±1.78 | 0.074±2.34 | 0.10±1.67 |
| AUC0_t (μg/mlh) | 69.19±1.46 | 120.93±3.71 | 170.39±4.61 |
| AUC0_∞ (μg/mlh) | 75.48±1.91 | 129.87±2.40 | 179.61±3.79 |
| Clearance (L/h/kg) | 2.33±1.19 | 1.32±3.71 | 0.19±2.18 |
| MRT (h) | 2.29±1.98 | 12.37±2.39 | 8.84±3.29 |
| Relative Bioavailability (%) | ----- | 174.79±3.53 | ----- |
| Absolute Bioavailability (%) | 40.60±2.34 | 70.77±2.92 | ------ |
*Each value expressed as the mean±SD (n=6).

Fig. 12: Comparative Plasma concentrations of optimized sublingual film and marketed dosage form (Pengraf capsules)

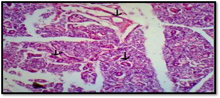
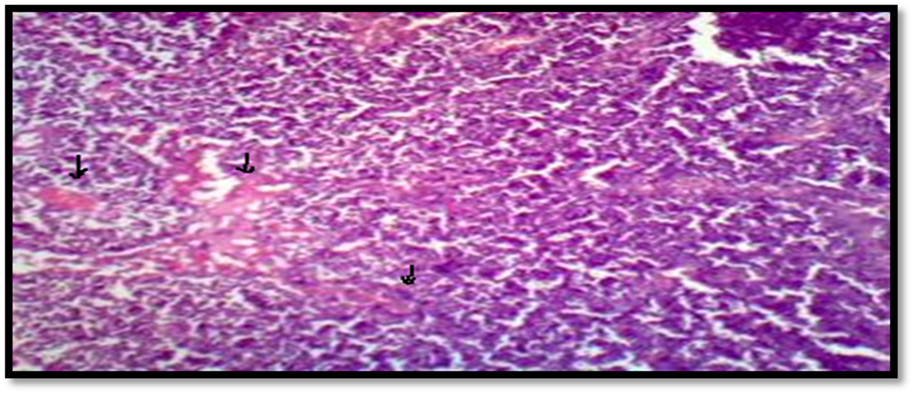
Fig. 13: Sublingual gland of control rat (without drug) with basophilic acinar cells, mucosal cells and Secretory ducts lined by cuboidal epithelium in normal conditions (indicated by arrow)

Fig. 14: Sublingual gland of rat treated with optimized transfersomal sublingual film (TAC_TF_SLF) with basophilic acinar cells, mucosal cells and secretory ducts maintained in comparable good condition (indicated by arrow)
Table 14: Stability studies for the optimized sublingual film
| Parameters | O_TAC_TF_SLF | ||
| 1 mo* | 3 mo* | 6 mo* | |
| Weight (mg) | 40.8±1.41 | 39.7±1.39 | 37.1±4.63 |
| Surface pH | 6.8±2.34 | 6.9±3.62 | 6.9±2.69 |
| Folding endurance (number of folds) | 190±4.21 | 194±2.36 | 197±3.63 |
| Disintegration time (sec) | 40.3±2.13 | 43.4±1.34 | 39.5±1.78 |
*25 °±2 °C/60±5% and 40±2 °C/75±5% RH
Success of any developed formulation depends on the usage of right and correct amount of excipients so to arrive for the best transfersomal formulations. Extensive screening experiments were conducted for the selection of phospholipid (S-30, S-70, and S-100) and surfactants (Tween-80, Tween-20, Span-20, and Span-80). All formulations were prepared by thin film hydration process, which involves the addition of the drug, selected phospholipid and surfactant in organic solvent followed by the evaporation of organic solvent. Thin film thus formed around the walls of round bottom flask is subjected to swelling process by the addition of phosphate buffer leading to the formation of multilamellar vesicles which are size reduced by size reduction process and thus produced nanovesicles were stored appropriately till further studies.
For the purpose of choosing the optimal formulation and process parameters, the Taguchi screening optimization technique was used. An assortment of well-balanced (minimum) trials were offered by orthogonal arrays (OA). Signal-to-Noise ratios (S/N), which are log functions of desired output, were used in data analysis to predict the best outcomes and to accommodate as objective functions for optimization.
The Taguchi approach functions by reducing variances brought on by uncontrollable elements that are not taken into account in standard experimental design. The S/N ratio, which measures the desired signal to undesirable arbitrary noise ratio, reveals the properties of the experimental data's quality.
Soyalecithin concentration, Tween 80, hydration volume and time for nanovesicle swelling were selected as independent variables as they found to have much significant effect on the dependent variables, particle size and PDI. Based on S/N ratios provided by Taguchi design,it was found that 40% soyalecithin, 20% Tween 80, 20 ml of hydration volume, and a 2-hour swelling time provided significantly good nanovesicles indicated by better S/N ratios.
Effect of Parameters on Particle size of nanovesicles
Concentration of Soyalecithin>Concentration of Tween-80>Hydration volume>Swelling time
Same ranking was also observed for PDI, indicating the significant effect of these factors on the dependent variables particle size and PDI.
At room temperature in comparison to Tween-80, Span-80 was found to destabilize the produced vesicles due to its hydrophilic head, unsaturated alkyl chain and lower phase transition temperature. Tween 80 was selected as edge activator for the production of highly flexible vesicles, which found to have profound influence in the significant reduction of transfersomal vesicle size which may be attributed to the steric repulsion property of Tween-80 thus preventing the vesicles from aggregating. It was found out that the rigidity of the phospholipid bilayer membrane was increasing the elastic modulus, which was impeding the bilayer's ability to curve and hence reducing the fluidity of transfersomes. The optimal concentration of Tween-80 surfactant was shown to effectively minimize this rigidity, resulting in comparatively smaller vesicles than those produced by Span-80.
Hydration volume plays an important role in the formation of stable spherical bilayer vesicles for the maximum entrapment of hydrophobic drugs. Screening studies were conducted to determine the best volume for hydration liquid (pH 6.8), which could lead to the formation of stable transfersomal vesicles. Based on particle size and PDI values, hydration volume of 20 ml were found to be appropriate for the formation of vesicles.
Time for formation of vesicles was also found to have a major effect on the formation of stable bilayer vesicles. According to research studies carried out, it has been found that the lesser the time given for swelling of vesicles, the larger the particle size, which may be caused by underdeveloped bilayer vesicles for the incorporation of large molecular weight hydrophobic drug. The bilayer's important property, membrane thickness, is strongly related to the permeability and bending modulus of the membrane. The membrane must bend in order to create a vesicle; hence the vesicle's inner and outer faces must be compressed and stretched, respectively.
Additionally, it was found that the change in phospholipid lipid volume and length for the production of vesicles depended on the degree of swelling. The distance between the centre bead of the hydrophilic head and the end bead of the hydrophobic tail is known as the lipid length. Process of swelling causes a decrease in area density and lipid length, which increases the contacts between an aqueous medium and the hydrophobic tails of phospholipids and causes the production of uniform vesicles. Additionally, enough time must pass for the lipid film to inflate in order to produce vesicles with a greater interlamellar distance. In light of these findings, a time frame of 2 h was decided upon for the creation of fully complete bilayer transfersomal vesicles [31].
For the purpose of choosing the optimal size reduction method appropriate for the creation of tiny nanovesicles, screening investigations were conducted. According to the research findings, the probe sonication method produced smaller vesicles, and it was shown that the longer the sonication period the larger the vesicle size, which may be related to vesicle aggregation brought on by heat creation during sonication. Therefore, a probe sonication approach that used gentle sonication vibrations to reduce vesicle size was chosen based on the particle size and PDI values.
Central composite designs (CCD) were used in the optimization studies as they found to reveal the impact of experiment variables with excellent symmetry, rotatability and less experimental error in the fewest possible runs. Particle size, Deformability index (DI) and Entrapment efficiency (EE) were selected as dependent parameters with soyalecithin and Tween-80 concentrations as independent variables. Data collected were put through multiple regression analysis. Insignificant variables were eliminated, and ANOVA was used to assess how well the fitted model worked. The model is implied to be significant by the model F-value. The model was judged to be significant when "Prob>F" values were less than 0.05.
The concentration of Drug: Phospholipid ratios (X1) and Concentration of Tween-80 (X2) were clearly the main contributing variables during the manufacture of transfersomes, according to the model analysis.
The negative X1 and X2 coefficients indicate that the vesicle size was decreased by increasing the concentration of phospholipid and edge activator. Phospholipid is responsible for creating the lipid bilayer structure in vesicles. In an aquatic environment, phospholipid organizes into the lipid bilayer and seals off to create a spherical vesicle. Additionally surfactant makes lipid bilayers in vesicles more flexible, which causes them to be more deformable. Surfactants increase the vesicle's deformability and the drug's ability to penetrate mucosal membranes and eventually enter the systemic circulation.
For TF6 where phospholipid and Tween-80 concentrations were at their highest levels, the minimum vesicle size was observed to be 139.8±1.53 nm, whereas for TF1, the maximum vesicle size was observed to be 376.1±1.33 nm. Since raising the concentration of the Edge Activator (Tween 80) from 10% to 30% resulted in a size reduction, it has been discovered that the concentration used has a discernible impact on transfersome size. According to research by Mei-e-Tan et al., SLNs prepared using Tween-80 had similar influence on particle size and EE. The surfactants used in transfersome destabilize vesicular bilayer and increase bilayer elasticity by reducing interfacial tension. This results in a decreased particle size reduction.
Research studies carried out revealed the effect of edge activator on particle size as vesicle size dropped linearly as Tween-80 concentration grew from 10 to 30%, whereas phospholipid concentration increased from 20 to 40% with the opposite effect shown at 60% (response surface graphs). A p value of 0.05 was generated for the particle size model, showing that the model is significant. A decent degree of agreement between the two was indicated by the adjusted R2 (0.9485) and anticipated R2 (0.7824) model R-squared values, which differed by less than 0.2. It is evident that the particle size of the transfersomes decreased when the soy lecithin concentration increased from 1 to 0 [32].
The findings of the current investigation were found to be consistent with those made by Qushawy et al., who found that the particle size of tacrolimus transfersomes decreased as the lipid content rose. When the amount of soy lecithin is raised the vesicle size decreases, and this decline continues when the phospholipid concentration reaches+1, or 30%, according to the response surface graph for particle size.
The combination of two separate amphiphiles (lipid+edge activator) with completely different packing characteristics forming into a single bilayer results in the membrane's deformability. Preliminary formulations deformability indices varied greatly, from 8.59±1.78 to 7.12±1.45. Transfersomes ability to deform is caused by the intercalation of edge activator within the membrane bilayer, which gives them flexibility and the capacity to create edges. Nevertheless, the phenomenon is practically applicable only up to a specific limit of phospholipid content and surfactant concentration, over which mixed micelles develop, which are stiff vesicles with little to no deformability.
The hydrophilic character of Tween-80 caused the creation of transitory hydrophilic holes, which increased the amphiphilic property of the membrane bilayer responsible for fluidity, increasing deformability with higher concentration of the edge activator (Tween 80). The chemical makeup of the edge activator is another factor that influences deformability. As seen with Tween-80 flexible and nonbulky carbon chain replacement increases the fluidity of the membrane bilayer.
There was a clear pattern in the relationship between deformability and lipid: edge activator concentration. At a ratio of 20:10 the vesicles were less deformable as compared to the 40:20 ratio but the deformability index got lowered at 60:30 ratio either due to the formation of pores within the vesicles or generation of mixed micelles, indicating optimum concentration of lipid and edge activator is required for flexible vesicles of transfersomes which is very well depicted in polynomial equation generated for deformability index studies [33].
For tacrolimus-loaded transfersomes, the entrapment efficiency ranged from 54.52±4.23 to 86.66±3.45%. Surfactant monomers are initially integrated into the lipid bilayer at low concentrations in accordance with the partition equilibrium between the aqueous and lipid phases, but the development of the vesicle is less, which limits the drug entrapment. While raising the surfactant concentration caused vesicle development and gave the membrane bilayer more flexibility, increasing EE was the result. As the edge activator concentration was increased, phospholipids were dissolved into mixed micelles that coexisted with surfactant-saturated vesicles and led to the formation of vesicle pores. Mixed micelles are discovered to have stiff structures and low EE.
Furthermore, the pore formation brought on by the high concentration of edge activator caused the vesicles to leak, resulting in substantial drug loss and hence low drug entrapment.
With an increase in lipid content, formulations TF1–TF6 demonstrated greater entrapment efficiency. The largest ratio of phospholipids to edge activators was found in TF6, which led to remarkable entrapment efficiency. As more phospholipids were incorporated into the formulation, the effectiveness of transfersome trapping improved. It was shown that at greater phospholipid concentrations, such as at 60%, the stiffness of the transfersomes increased to a higher level, making it more difficult to entrap the drug into the lipid bilayer and decreasing the effectiveness of tacrolimus encapsulation. The ability for drug entrapment was discovered to be influenced by the phospholipid's structure [34].
By providing more space to encapsulate more drugs, an increase in phospholipid content can reduce drug partition in the outer phase. However, as the concentration of phospholipids rises, the medium's viscosity may rise, causing transfersomes to solidify more quickly. This would rupture the bilayer structure of the phospholipid vesicles and result in drug leakage.
Particle suspensions and emulsions are stabilized by the columbic repulsive forces that keep the particles from aggregating in the colloidal state and maintaining the stability of the system. The zeta potential of-23.6 mV in the aforementioned optimized Tacrolimus transfersome formulation indicated the stability of the created transfersomal vesicles, which may be brought on by the presence of negatively charged phosphate and carbonyl groups in soy lecithin [35].
Sublingual films with optimized nanovesicular dispersion were cast based on applied optimization design, particle size and percent EE. With varied concentrations of HPMC K4M and PEG-400 several transfersomal loaded SL films were created. As per the Central Composite Design (CCD) HPMC and PEG-400 were used as independent factors with swelling index and folding endurance as dependent variables.
According to the quadratic models and polynomial equations created by the CCD swelling time and folding endurance of SL films were found to have positive and negative effects, respectively. When HPMC concentration was increased from 2.5 to 3.5%, swelling time was found to be increased, but only up to a certain concentration which may be due to the increased viscosity of HPMC causing the film swelling to be delayed thus decreasing the HPMC films ability to swell.
Up to a certain concentration, it was discovered that increasing the concentration of HPMC had a positive impact on folding endurance. However, above that concentration, the folding endurance decreased due to decreased elasticity and increased brittleness, indicating that the optimal concentration of HPMC and PEG-400 should be maintained for good flexibility of sublingual films. The same outcomes were shown in tests conducted by Zhant et al. (2018), who showed similar effects on the swelling index of films.
The concentration of plasticizer was discovered to have a negative impact on the sublingual film swelling index and folding endurance [36]. The swelling index and folding endurance were observed to decrease when plasticizer concentration rose, possibly as a result of the increasing viscosity of HPMC's impact on the plasticizer, which in turn may have influenced the swelling capacity and subsequent folding endurance of films. The swelling capacity and water uptake of plasticized SL films were significantly affected by an increase in plasticizer content from 1 to 3%; Müller et al. (2008) also observed similar findings when they examined the impact of glycerol and sorbitol on cassava starch films.
The range of 55.8-1.45 to 94.2-1.42 mg was determined to be the average weight of all batches of produced transfersomal sublingual films, suggesting homogeneous weight variation. The mean thickness values for each batch ranged from 0.23±0.1 to 0.52±0.2 mm, showing that each batch had a consistent cast. The pH of the surface was discovered to be between 6.9 and 7.0, which is quite similar to the pH of saliva. All optimized films disintegrated in between 32.2 and 46.3 seconds with good moisture content. Each batch included the same amount of drug, indicating that it was distributed across the films consistently and equally. Tensile strength of the optimized sublingual film was found to be 3.41 indicating the robustness maintained by sublingual films [37].
A 4 cm2 section of the previously prepared film was sliced, removed from the plate, and weighed using an analytical balance. Using Franz diffusion cells with phosphate buffer at pH 7.4 in the receptor compartment, TAC release from either the medicated nanovesicular dispersion or from the produced films (TAC-loaded nanovesicular film) was tested. At the predetermined intervals, samples (5 ml) were taken, centrifuged, and the supernatant was filtered before being tested at 294 nm with a UV-visible spectrophotometer. The curve fitting method was used to kinetically analyze the release data using the Higuchi, Korsemeyer-Peppas, zero-order, and first-order kinetic models.
Through the avoidance of first-pass hepatic metabolism, sublingual administration of TAC-loaded soya-lecithin based nanovesicular rapid dissolving films is anticipated to improve drug bioavailability. Additionally, the incorporation of the drug into nanovesicles before the film enables the controlled release of therapeutically significant amount of the drug over an extended period of time.
Drug release from the dispersed nanodispersions was not significantly affected by the incorporation of the medicated transfersomes within the rapid dissolving film basis. However, it was discovered that using film as a proper dosage form for patients to receive medication was crucial. There won't be enough time for the nanovesicular dispersions to be absorbed through the mouth because the nanovesicular dispersion is anticipated to have a very brief residence period in the mouth [38].
Optimized Transfersomal films were found to release more than 80% of the tacrolimus in a controlled way for an extended 40 h, which may be linked to the inclusion of phospholipid and surfactant, which both help to control the drug's release, the mechanism of drug release was further confirmed by mathematical models.
Optimized sublingual film showed R2 value of 0.9751±1.12 and 0.9915±2.32 for Nanodispersions and Nanovesicular sublingual films respectively with n value of 0.624±2.14 and 0.686±2.18 indicating controlled release following zero order kinetics coupled with polymer relaxation.
Tacrolimus suffers from poor water solubility and molecular weight, which is too high to pass through the paracellular wall of the tightly-walled phospholipid bilayer membrane of the sublingual mucosa which is found to be the main barrier for tacrolimus permeation through sublingual mucosa. Comparing tacrolimus loaded as nanovesicular dispersions in the sublingual films to pure drug and plain drug in the films revealed enhanced permeation exclusively through sublingual mucosa and flux was found to be doubled than pure drug and plain film, which may be due to the lipophilic nature of soya lecithin used [39].
In order to demonstrate the substantial function of deformability caused by the soyalecithin and edge activator in the formulations, the cumulative amount of tacrolimus penetration was to be enhanced for Transfersomal sublingual film with 6.51 as opposed to 1.2 from plain films. Increased flow may be caused by a variety of causes, including local membrane structural modification, changes to its permeability, or bioadhesion to the mucosal surface. Weiqun Tain et al. reported similar findings, finding that soyalecithin significantly improved the permeability of poorly water-soluble, high molecular weight insulin via buccal mucosa.
A powerful sampling method that almost eliminates sample preparation is attenuated total reflectance (ATR). ATR is the perfect FT-IR attachment for strongly absorbing or thick samples, which frequently result in prominent peaks when detected via transmission.
In order to get conformational data, attenuated total reflectance infrared spectroscopy (ATR-FTIR) was used. This technique is used to look at the interactions between drugs and other excipients.
ATR-FTIR works by monitoring changes in a fully internally reflected infrared beam that take place when the beam interacts with a sample. A solid sample with a high refractive index is exposed to an infrared beam at a specific angle.
This internal reflection generates an evanescent wave that penetrates the sample kept in touch with the crystal as well as the crystal's surface. This evanescent wave manifests itself as an infrared bubble that rests on the crystal's surface. It only extends a few microns (0.5–5 m) into the sample, necessitating strong contact between the sample and the crystal surface. The evanescent wave will be attenuated or changed in the infrared spectrum where the sample absorbs energy.
It can be determined that there are no specific interactions between the excipients and the drug from the FT-IR spectra of the pure drug, the ATR-FTIR spectra of the optimized TAC-loaded transfersomal sublingual film and the physical mixture. The drug remains intact in the formulation without interacting, as evidenced by the presence of the drug's distinctive peaks in both the physical mixture and the formulation [40].
Differential Scanning Calorimetry (DSC) is a simple, non-perturbing method that has been used to study a range of biological macromolecules, including lipids and proteins. It evaluates the thermodynamic parameters of thermally induced transitions. Differential scanning calorimetry allows for the determination of the temperature dependence of phase transitions and conformational changes as well as determining their energetics.
Tacrolimus was used as a pure drug in the current work, and DSC studies were used to examine the thermal behaviour of polymers (HPMC), phospholipid (soya lecithin), and drug-loaded optimized nanovesicular sublingual film O_TAC_TF_SLF. Tacrolimus DSC thermogram showed a clear endothermic peak at 131.8 °C. Soy lecithin and the polymer HPMC both have melting points of 78.5 °C and 175.28 °C, respectively.
The melting peaks of the pure drug and HPMC are visible in optimized formulation O_TAC_TF_SLF, but the pure drug peak was only moderately intense, which may be related to the drug being trapped in an amorphous state and forming a new phase due to its reduced structure in the lipid bilayer structures.
The drug peak was less intense but did not move significantly in the optimized sublingual film. The observed results very well corresponded with DSC tests conducted on tacrolimus PLGA Nanoparticles by Ajinath E. Shirasat et al., indicating that the drug is merely physically entrapped in the polymer matrix and there is no interaction between drug and polymers [41].
Peak for HPMC is present in optimized formulation, indicating that the drug-loaded nanovesicular sublingual film is intact. These findings were discovered to be in concordance with study on Lipid-Polymer Hybrid Norfloxacin Nanoparticles conducted by Vivek Dave et al.
The SEM is a device that forms a picture using electrons rather than light, resulting in a significantly magnified image. An electron gun at the top of the microscope produces an electron beam. The microscope is maintained in a vacuum and the electron beam travels through it in a vertical path.
Even textured globular vesicles with high dispersibility and no discernible mass were observed for the chosen and improved nanovesicular rapid dissolving sublingual film O_TAC_TF_SLF, indicating the intactness of the optimized film without any appreciable changes in morphology, shape, or dispersibility.
Optimized film O_TAC_TF_SLF was chosen for in vivo experiments to determine pharmacokinetic parameters because to their small particle size, quick in vitro disintegration time, high EE, and favorable zeta potential.
In all animal studies, adult wistar rats of either sex were employed. The Institutional Animal Ethics Committee (IAEC) for control and monitoring of studies on animals (IAEC) registered with the CPCSEA approved the animal experiments, and all safety precautions and regulations were followed.
It was shown that tacrolimus administered as sublingual films through the sublingual route displayed regulated and sustained release with higher plasma concentration as compared to oral marketed dosage form. TAC loaded Transfersomal sublingual film shown a notable increase in plasma concentration of 9.16±2.34µg/ml at Tmax of 1.51 h, when compared to marketed dosage form of 7.99±1.23 µg/ml at Tmax of 0.75±1.78 h respectively.
This embarks the higher rate of controlled absorption after sublingual delivery of optimized transfersomal sublingual film with significant increase in AUC of 129.87±2.40 μg/mlhr when compared to AUC of marketed dosage form of 69.19±1.46 μg/mlhr. This could be due to the ingress of drug into the systemic circulation directly to exert its action at a controlled rate due to the slow erosion rate of the nanovesicular bilayers with enhanced bioavailability compared with that oral dosage form.
When compared to oral and intravenous routes, optimized drug-loaded transfersomal sublingual film had longer elimination half-lives, indicating that the drug was more readily available in the plasma to operate in a regulated manner.
Relative and absolute bioavailability of transfersomal sublingual films was found to be 174.79±3.53 and 70.77±2.92 respectively when compared to marketed Pengraf capsules making transfersomal sublingual films a best carrier for delivery of tacrolimus through sublingual route which may due to presence of soyalecithin and edge activator making the drug to release at controlled for prolonged period of time. Subsequent paired t-test was conducted on data for statistical analysis and connoted highly statistically significant variation (p<0.05) in the drug absorption potential of Tacrolimus from optimized loaded sublingual films with regard to marketed product given through oral and IV route [42].
The sublingual glands of rodents are situated in the anterior neck gaps between the submandibular lymph nodes and the sternum, according to the review by Osamu Amano et al. (Anatomy and Histology of Rodent and Human Major Salivary Glands). The latero-rostral one-fourth of the submandibular-sublingual complex is occupied by the sublingual gland. The submandibular lymph nodes are bordered by the rostral boundary of both glands. A shared fascia surrounds the two glands. Rodents and humans both have mixed sublingual glands. Mucous cells with a central location and peripheral serous demilunes make up their acini [43].
Rats were sacrificed under anesthesia in accordance with all CPSCEA guidelines, and sublingual tissues from Group I and II rats (normal control and O_TAC_TF_SLF) were removed and examined for cell distortion in order to test the irritancy potential of specially formulated, optimized nanovesicular film.
When compared to the normal control group, it was found that all histopathological slides of optimized sublingual films showed basophilic acinar cells, mucosal cells, and secretory ducts of rat sublingual glands in normal condition, ensuring the potency and safety of films.
The characteristics of the drug material that are prone to change during storage and are expected to affect quality, safety, and/or efficacy are tested as part of stability studies
Stability studies are designed to test the medication product over longer periods of time in a variety of humidity and temperature conditions
Studies carried out at two different temperatures 30 °C/65% RH and 25 °C±2 °C/60% RH±5% with the aim of moderately increasing the pace of chemical deterioration or physical changes for a drug substance or drug product intended for long-term storage at 25 °C.
By storing optimized sublingual film in aluminium foil and checking for changes in the films' various properties at regular intervals over the course of six months, stability tests were conducted. The robustness of the formulated optimized nanovesicle loaded sublingual films was demonstrated by the observation that there was minimal change in folding endurance, disintegration time, weight and surface pH at both normal temperature and increased temperature.
Tacrolimus loaded transfersomes were successfully prepared and optimized after effective screening of several process and formulation parameters which led to the production of nanovesicles with good deformability Index, entrapment efficiencies possessing the desired particle size, unimodal distribution, controlled morphology and stability.
Inclusion of drug into transfersomes prior to formation of the film, allows delivery of therapeutically significant levels of the drug over prolonged time in comparison with marketed dosage forms.
Optimized tacrolimus loaded sublingual films were characterized for many parameters like folding endurance, swelling index, tensile strength, Ex-vivo, in vitro and in vivo studies. Transfersomal sublingual films released tacrolimus in controlled and sustained fashion following Higuchi kinetics upto 40 h in comparison to pure drug and marketed dosage form, thus promising efficiency in maintaining therapeutic concentrations of tacrolimus in controlled manner with improved bioavailability of tacrolimus in organ transplanted patients.
I would like to acknowledge Concord Biotech, Ahmedabad for providing Tacrolimus gift sample and NITTE college of Pharmaceutical sciences for the analysis of samples.
Nil
All the authors have contributed equally.
The authors declare no conflict of interest
Baldwin WM, Valujskikh A, Fairchild RL. Mechanisms of antibody-mediated acute and chronic rejection of kidney allografts. Curr Opin Organ Transplant. 2016 Feb;21(1):7-14. doi: 10.1097/MOT.0000000000000262, PMID 26575854.
Lin CM, Gill RG. Direct and indirect allograft recognition: pathways dictating graft rejection mechanisms. Curr Opin Organ Transplant. 2016 Feb;21(1):40-4. doi: 10.1097/MOT.0000000000000263, PMID 26575853.
Boix F, Millan O, San Segundo D, Mancebo E, Miras M, Rimola A. Activated regulatory t cells expressing CD4(+)CD25(high)CD45RO(+)CD62L(+) biomarkers could be a risk factor in liver allograft rejection. Transplant Proc. 2015 Oct;47(8):2380-1. doi: 10.1016/j.transproceed.2015.09.007, PMID 26518933.
Sanchez Fueyo A, Strom TB. Immunologic basis of graft rejection and tolerance following transplantation of liver or other solid organs. Gastroenterology. 2011 Jan;140(1):51-64. doi: 10.1053/j.gastro.2010.10.059, PMID 21073873.
Rath T. Tacrolimus in transplant rejection. Expert Opin Pharmacother. 2013 Jan;14(1):115-22. doi: 10.1517/14656566.2013.751374, PMID 23228138.
Wang YP, Gan Y, Zhang XX. Novel gastroretentive sustained-release tablet of tacrolimus based on self-microemulsifying mixture: in vitro evaluation and in vivo bioavailability test. Acta Pharmacol Sin. 2011 Oct;32(10):1294-302. doi: 10.1038/aps.2011.90, PMID 21927013.
Patel P, Patel H, Panchal S, Mehta T. Formulation strategies for drug delivery of tacrolimus: an overview. Int J Pharm Investig. 2012 Oct-Dec;2(4):169-75. doi: 10.4103/2230-973X.106981, PMID 23580932.
Roy JN, Barama A, Poirier C, Vinet B, Roger M. Cyp3A4, Cyp3A5, and MDR-1 genetic influences on tacrolimus pharmacokinetics in renal transplant recipients. Pharmacogenet Genomics. 2006 Sep;16(9):659-65. doi: 10.1097/01.fpc.0000220571.20961.dd, PMID 16906020.
Srinivas NR. Letter: sublingual dosing of tacrolimus in transplant patients-interesting concept to overcome first pass effects. Aliment Pharmacol Ther. 2017;46(1):79-80. doi: 10.1111/apt.14087, PMID 28589592.
Aull MJ. Pharmacokinetics of sublingual versus oral tacrolimus in patients awaiting kidney transplantation. Clin Trials Gov. 2017 Dec 12;18(4):345-56.
Solari S, Cancino A, Wolff R, Norero B, Vargas JI, Barrera F. Sublingual tacrolimus administration provides similar drug exposure to per-oral route employing lower doses in liver transplantation: a pilot study. Aliment Pharmacol Ther. 2017 Jan;45(9):1225-31. doi: 10.1111/apt.14022, PMID 28261844.
Federico S, Carrano R, Sabbatini M, Nappi R, Russo L, Apicella L. Sublingual administration improves systemic exposure of tacrolimus in kidney transplant recipients: comparison with oral administration. Eur J Clin Invest. 2016 Jul;46(7):651-7. doi: 10.1111/eci.12644, PMID 27240092.
Narang N, Sharma J. Sublingual mucosa as a route for systemic drug delivery. A review. Int J Pharm. 2011;3Suppl 2:123-9.
Pennington CA, Park JM. Sublingual tacrolimus as an alternative to oral administration for solid organ transplant recipients. Am J Health Syst Pharm. 2015 Feb;72(4):277-84. doi: 10.2146/ajhp140322, PMID 25631834.
Jain S, Tiwary AK, Sapra B, Jain NK. Formulation and evaluation of ethosomes for transdermal delivery of lamivudine. AAPS PharmSciTech. 2007 Oct;8(4):E111. doi: 10.1208/pt0804111, PMID 18181532.
Gillet A, Lecomte F, Hubert P, Ducat E, Evrard B, Piel G. Skin penetration behaviour of liposomes as a function of their composition. Eur J Pharm Biopharm. 2011 Jun 15;79(1):43-53. doi: 10.1016/j.ejpb.2011.01.011, PMID 21272638.
Song CK, Balakrishnan P, Shim CK, Chung SJ, Chong S, Kim DD. A novel vesicular carrier, transethosome, for enhanced skin delivery of voriconazole: characterization and in vitro/in vivo evaluation. Colloids Surf B Biointerfaces. 2012 Apr 1;92:299-304. doi: 10.1016/j.colsurfb.2011.12.004, PMID 22205066.
Cevc G, Blume G. Lipid vesicles penetrate into intact skin owing to the transdermal osmotic gradients and hydration force. Biochim Biophys Acta. 1992 Feb 17;1104(1):226-32. doi: 10.1016/0005-2736(92)90154-e, PMID 1550849.
El Maghraby GM, Williams AC, Barry BW. Interactions of surfactants (edge activators) and skin penetration enhancers with liposomes. Int J Pharm. 2004 Jun 12;276(1-2):143-61. doi: 10.1016/j.ijpharm.2004.02.024, PMID 15113622.
Elkomy MH, El Menshawe SF, Abou Taleb HA, Elkarmalawy MH. Loratadine bioavailability via buccal transferosomal gel: formulation, statistical optimization, in vitro/in vivo characterization, and pharmacokinetics in human volunteers. Drug Deliv. 2017 Nov;24(1):781-91. doi: 10.1080/10717544.2017.1321061, PMID 28480758.
Touitou E, Dayan N, Bergelson L, Godin B, Eliaz M. Ethosomes–novel vesicular carriers for enhanced delivery: characterization and skin penetration properties. J Control Release. 2000;65 Suppl 3:403-18. doi: 10.1016/s0168-3659(99)00222-9, PMID 10699298.
Elsayed MM, Abdallah OY, Naggar VF, Khalafallah NM. Deformable liposomes and ethosomes: mechanism of enhanced skin delivery. Int J Pharm. 2006;322(1-2):60-6. doi: 10.1016/j.ijpharm.2006.05.027, PMID 16806755.
Elmenshawe SF, Kharshom RM, Khames A. Preparation and optimization of buccal proponolol hydrochloride nanoethosomal gel: a novel approach for enhancement of bioavailability. J Nanomed Nanotechnol. 2017 Jan;8(3):435.
Allam A, Fetih G. Sublingual fast dissolving niosomal films for enhanced bioavailability and prolonged effect of metoprolol tartrate. Drug Des Devel Ther. 2016 Aug 2;10(3):2421-33. doi: 10.2147/DDDT.S113775, PMID 27536063.
Moolakkadath T, Aqi M, Ahad A. Sarim Imam S. Development of transethosomes formulation for dermal fisetin delivery: box–behnkendesign, optimization, in vitro skin penetration, vesicles–skin interaction and dermatokinetic studies. Artif Cells Nanomed Biotechnol. 2018 May 7;1(2):345-72.
Le NTT, Cao VD, Nguyen TNQ, Le TTH, Tran TT, Hoang Thi TT. Soy lecithin-derived liposomal delivery systems: surface modification and current applications. Int J Mol Sci. 2019 Oct;20(19):4706. doi: 10.3390/ijms20194706, PMID 31547569.
Ahad A, Al-Saleh AA, Al-Mohizea AM, Al-Jenoobi FI, Raish M, Yassin AEB. Formulation and characterization of novel soft nanovesicles for enhanced transdermal delivery of eprosartan mesylate. Saudi Pharm J. 2017 Nov;25(7):1040-6. doi: 10.1016/j.jsps.2017.01.006, PMID 29158713.
Singh S, Vardhan H, Kotla NG, Maddiboyina B, Sharma D, Webster TJ. The role of surfactants in the formulation of elastic liposomal gels containing a synthetic opioid analgesic. Int J Nanomedicine. 2016 Apr 8;11(2):1475-82. doi: 10.2147/IJN.S100253, PMID 27114707.
Yusuf M, Sharma V, Pathak K. Nanovesicles for transdermal delivery of felodipine: development, characterization, and pharmacokinetics. Int J Pharm Investig. 2014 Jul-Sep;4(3):119-30. doi: 10.4103/2230-973X.138342, PMID 25126525.
Aujla M, Rana AC, Bala R. Comparative potential of vesicular carriers for transdermal drug delivery: a review. Res J Pharm Technol. 2012 Mar;5:302-6.
Zheng WS, Fang XQ, Wang LL, Zhang YJ. Preparation and quality assessment of itraconazole transfersomes. Int J Pharm. 2012 Oct 15;436(1-2):291-8. doi: 10.1016/j.ijpharm.2012.07.003, PMID 22796030.
Astuti KF, Surini S, Bahtiar A. Advances in ameliorating rheumatoid arthritis by andrographolide ethosome-based gel: pharmacokinetic and activity study in rats. Int J App Pharm. 2023;15(1):79-86. doi: 10.22159/ijap.2023v15i1.46350.
Bezabeh MF, Werbovetz KA, Murthy KVR. Formulation and evaluation of amphotericin B and miltefosine combination nanovesicles. Int J App Pharm. 2021;13(3):74-8. doi: 10.22159/ijap.2021v13i3.40605.
Surini S, Nastiti PD, Putri AR, Putri KS. Formulation of andrographolide transfersomes gel for transdermal delivery: a preliminary study. Int J App Pharm 2020;12(1):187-91. doi: 10.22159/ijap.2020.v12s1.FF043.
Jain S, Patel N, Shah MK, Khatri P, Vora N. Recent advances in lipid-based vesicles and particulate carriers for topical and transdermal application. J Pharm Sci. 2017;106(2):423-45. doi: 10.1016/j.xphs.2016.10.001, PMID 27865609.
Elshafeey AH, El-Dahmy RM. Formulation and development of oral fast-dissolving films loaded with nanosuspension to augment paroxetine bioavailability: in vitro characterization, ex vivo permeation, and pharmacokinetic evaluation in healthy human volunteers. Pharmaceutics. 2021 Nov;13(11):1869. doi: 10.3390/pharmaceutics13111869, PMID 34834284.
Zaman M, Hanif M, Qaiser AA. Effect of polymer and plasticizer on thin polymeric buccal films of meloxicam designed by using central composite rotatable design. Acta Pol Pharm. 2016 Sep;73(5):1351-60. PMID 29638075.
Londhe V, Shirsat R. Formulation and characterization of fast-dissolving sublingual film of iloperidone using box-behnken design for enhancement of oral bioavailability. AAPS PharmSciTech. 2018 Apr;19(3):1392-400. doi: 10.1208/s12249-018-0954-y, PMID 29396734.
Shaji J, Lal M. Preparation, optimization and evaluation of transferosomal formulation for enhanced transdermal delivery of a cox-2 inhibitor. Int J Pharm Pharm Sci. 2013 Nov;6(1):467-77.
Siddiqui MHB, Islam MS, Razu MR, Zaman AN, Jadi B, Saha T. Preparation and evaluation of sublingual film of ketorolac tromethamine. Drug Dev Ind Pharm. 2022 Sep;48(9):438-45. doi: 10.1080/03639045.2022.2123925, PMID 36094414.
Wadetwar RN, Ali F, Kanojiya P. Formulation and evaluation of fast dissolving sublingual film of paroxetine hydrocholride for treatment of depression. AJPCR. 2019 Oct;12(10):126-32.
Honeywell Nguyen PL, Bouwstra JA. The in vitro transport of pergolide from surfactant-based elastic vesicles through human skin: a suggested mechanism of action. J Control Release. 2003 Jan 9;86(1):145-56. doi: 10.1016/s0168-3659(02)00415-7, PMID 12490380.
Amano O, Mizobe K, Bando Y, Sakiyama K. Anatomy and histology of rodent and human major salivary glands: overview of the Japan salivary gland society-sponsored workshop. Acta Histochem Cytochem. 2012 Oct 31;45(5):241-50. doi: 10.1267/ahc.12013, PMID 23209333.