
Department of Pharmaceutical Sciences, School of Pharmaceutical Sciences, Vels Institute of Science, Technology and Advanced Studies, Chennai, Tamil Nadu, India
*Corresponding author: Malarkodi Velraj; *Email: malarkodisanna@gmail.com
Received: 07 Jul 2023, Revised and Accepted: 01 Apr 2024
ABSTRACT
Objective: Tofacitinib citrate is a commonly used therapeutic agent for various diseases. Mouth-dissolving formulations provide potential benefits for patient compliance. This study aims to evaluate the acute oral toxicity of tofacitinib citrate in these formulations to ensure their safety and efficacy.
Methods: This study aimed to assess the acute oral toxicity of tofacitinib citrate in mouth-dissolving formulations and evaluate its effects on food and water consumption, hematological and biochemical parameters, and organ histopathology. Male and female Wistar rats were divided into four groups. The control group received distilled water, while the treated groups were orally administered tofacitinib citrate at 5 mg/kg, 100 mg/kg, and 300 mg/kg. Observations were made over 14 d, assessing general appearance, behavior, food and water consumption, and mortality. Hematological and biochemical analyses and histopathological examinations were conducted on vital organs.
Results: In acute toxicity studies, Wistar rats showed no toxicity at up to 300 mg/kg tofacitinib citrate. Compared to controls, food/water intake and hematological, biochemical, and histopathological parameters of major organs remained unchanged, indicating no systemic effects and affirming the compound's safety in mouth-dissolving formulations.
Conclusion: Tofacitinib citrate in mouth-dissolving formulations demonstrated a favorable safety profile with no acute oral toxicity. Normal consumption, unchanged parameters, and no organ abnormalities support its safety. Further investigation is required to assess chronic toxicity and long-term safety.
Keywords: Tofacitinib citrate, Acute oral toxicity, Mouth dissolving formulations, Food consumption, Water consumption, Hematological analysis, Biochemical analysis, Organ histopathology
© 2024 The Authors. Published by Innovare Academic Sciences Pvt Ltd. This is an open access article under the CC BY license (https://creativecommons.org/licenses/by/4.0/)
DOI: https://dx.doi.org/10.22159/ijap.2024v16i3.48787 Journal homepage: https://innovareacademics.in/journals/index.php/ijap
Fast-dissolving formulations have emerged as a new drug delivery system that delivers a very suitable means of taking medications orally. Tofacitinib citrate, a selective Janus kinase inhibitor, is recognized for its therapeutic efficacy in psoriatic arthritis and ulcerative colitis [1]. Despite its clinical relevance, there remain several challenges in its administration, particularly the need for a suitable delivery mechanism that optimizes patient compliance and drug efficacy. Recent advancements in pharmaceutical technology have given rise to novel drug delivery systems, one of the most promising being mouth-dissolving formulations. These formulations, particularly mouth-dissolving films and tablets, offer several advantages, including improved patient compliance, rapid onset of action, and avoiding first-pass metabolism [2].
This novel formulation strategy for tofacitinib citrate could have significant clinical implications, particularly for patients with difficulty swallowing conventional tablets or capsules. However, as with any new drug formulation, comprehensive safety and efficacy evaluations are needed. In contrast, we have previously published data on the Design and development of these formulations [3, 4]. The pharmacokinetic behavior and potential toxicological implications are yet to be examined. Acute oral toxicity studies are a crucial component of the drug development process, providing an initial screen for possible toxic effects following oral administration. It is essential in developing oral formulations, as it gives insight into the safety of the drug and the potential risks associated with its use [5, 6]. Furthermore, this data can inform dose selection for subsequent efficacy and chronic toxicity studies.
In this study, we conducted an acute oral toxicity evaluation of tofacitinib citrate in Wistar rats. Our objective was to investigate the potential toxic effects of different doses of the drug and determine the median lethal dose (LD50). This data will contribute to a deeper understanding of the safety profile of tofacitinib citrate, providing valuable information for developing and evaluating its mouth-dissolving film and tablet formulations. The outcome of this study will contribute significantly to the ongoing development of mouth-dissolving formulations for tofacitinib citrate, with the ultimate aim of improving patient experience and treatment outcomes in diseases such as rheumatoid arthritis.
Materials
Tofacitinib citrate was obtained from Pilerne Industries, Pilerne Badez, Goa-403511, India. Distilled water was used to prepare the oral solutions of the drug. The reagents for hematological and biochemical tests, including thiopental for anesthesia, were procured from RMI Laboratory (OPC) Private Limited, Ahmednagar. The automatic hematology analyzer (Mindray BC-3000 Plus) and the automatic biochemical analyzer (BS 300 Mindray) were used for hematological and biochemical analysis, respectively [7, 8].
Pharmacological study
Acute toxicity study
An acute oral toxicity study was conducted following the highest dose method, with tofacitinib citrate doses meticulously calculated based on the developed mouth-dissolving film and tablet formulations. The male Wistar rats were grouped into four categories. Group I served as the control, receiving only distilled water, while groups II, III, and IV were orally administered tofacitinib citrate dissolved in water at doses of 5 mg/kg, 100 mg/kg, and 300 mg/kg, respectively. To ensure standardization and accuracy, all animals were denied food 2 h before the drug administration but were given free access to food and water following dosing [9, 10]. The animals were observed closely for signs of toxicity at specific intervals, initially at 0, 15, 30, and 60 min, then every 4 to 12 h, and daily for 14 d. Observational parameters included behavioral changes, respiratory alterations, piloerection, diarrhea, hypersalivation, hyperexcitability, reduced mobility, aggression, stimulus-response, weight loss, ataxia, and mortality [11]. The Institutional Animal Ethical Clearance (IAEC approval No. 1697/PO/Re/S/13/CPCSEA/2021/02) was secured before conducting the studies.
Table 1: Grouping wistar rats
| S. No. | Species and sex | Groupsandnumber(n) | Compound/Chemical |
| 1 | Wistar rats (female) | GroupI(n=3) | Normal Control |
| 2 | GroupII(n=3) | 5 mg/kg | |
| 3 | GroupIII(n=3) | 100 mg/kg | |
| 4 | GroupIV(n=3) | 300 mg/kg |
Test animals were withheld from food for 2 h before to the administration of the formulation. Post-dosing, they were closely monitored at 0, 15, 30, and 60 min, every single 4 h up to 12 h every day and continuously upto 14 d. By observation no any remark of toxicity. The signs include behavioural changes, respiration frequency, piloerection, hypersalivation, watery stool, hyperexcitingability, aggressiveness, motility is reduced or not, stimulus-response, reduced mass, dyssynergia, mortality if any. During this, food and water is provided to animal andlibitum.
Hematological and biochemical analysis
Hematological and biochemical analyses were performed on blood samples collected from the treated rats after 14 d of treatment. For hematological assessments, the blood samples were analyzed using Mindray's BC-3000 plus automatic hematology analyzer, with parameters such as red blood cell count, hemoglobin, hematocrit, mean corpuscular volume, mean corpuscular hemoglobin, mean corpuscular hemoglobin content, globular volume, and platelet count being recorded [12]. The blood samples for biochemical analysis were centrifuged at 3000 rpm for 5 min to separate the serum, which was subsequently tested for levels of glucose, uric acid, creatinine, aspartate aminotransferase, alanine aminotransferase, total cholesterol, triglycerides, total protein, total bilirubin, potassium, sodium, and alkaline phosphatase using a BS 300 Mindray automatic biochemical analyzer [9].
Histopathological evaluation
A detailed histopathological evaluation was carried out following the blood collection and euthanization of the animals. The heart, lungs, liver, kidneys, and spleen were meticulously extracted, weighed, and subjected to an extensive macroscopic examination. The organ weights were recorded in absolute terms and relative to the body weight [13, 14]. After that, the organs were preserved in 10% formalin for a month before being embedded in paraffin. Tissue sections of approximately 5-6 µm thickness were prepared and stained with hematoxylin and eosin for further microscopic examination using an Olympus CH02 microscope. The sections were carefully evaluated for histopathological changes attributable to the administered tofacitinib citrate doses [15, 16].
Statistical analysis
The numbers were written as mean standard deviation (SD) error of the mean (SEM). Data were analysed by comparing two groups using the "t" Student test and the Graph Pad Prism 6.0 software (Graph Pad Software Inc.,San Diego, CA, USA). Results were considered significant when*p 0.05 was shown. Significant data is an integral part of research. In the study of statistics, a statistically significant result in a study is achieved when the p-value is less than the defined significance level.
Acute oral toxicity
No observable signs of clinical toxicity of treated groups I, II, and III in comparison to controlled group. The oral administration of Tofacitinib citrate at doses of 5 mg/kg, 100 mg/kg, and 300 mg/kg non-formed changes in water and diet eating of the test rats compared with respective control group (P≤0.05). If P≤0.05 then results were condidered as statistically significant.
Mortality and toxic syndrome
Throughout the 14-day post-dose observation period, all male and female animals exhibited no signs of toxicity, and no mortalities were recorded. Observational assessments, including general appearance, grooming, posture, gait, and behavior, remained normal, indicating no evident adverse effects attributable to the administration of tofacitinib citrate. This result suggests a favorable safety profile for the tested doses of tofacitinib citrate in the developed mouth-dissolving formulations.

Fig. 1: Average changes in water consumption of rats in 14 days, the data are presented as the mean±standard deviation (SD) of triplet samples

Fig. 2: Average changes in food consumption of rats in 14 days, the data are presented as the mean±standard deviation (SD) of triplet samples
Organ weight
Organ weight data were expressed as a relative weight (table 2). No significant difference in organ weight was found between the treated and control groups (P≤0.05).
Table 2: Effect of water and dietary supplement of the test rats with their control group
| Parameters | Group I (Control) | Group II (5 mg/kg) | Group III (100 mg/kg) | Group IV 300 mg/kg | P* |
| Water (ml) | 24.9±3.8 | 27.6±2.7 | 28.9±3.6 | 28.8±2.4 | 0.0015 |
| Food (mg) | 19.2±1.5 | 20.5±1.2 | 20.8±2.2 | 18.9±2.9 | 0.0013 |
*Values are expressed as mean±SEM (n = 3/group). *P≤0.05, when compared to control group and treated with Tofacitinib citrate (Analyzedby Student’s t-test)
Table 3: Effect of tofacitinib citrate on relative organ weight (g/100g of animal body weight) in rats treated orally for 14 d
| Parameters | Group I (Control) | Group II (5 mg/kg) | Group III (100 mg/kg) | Group IV (300 mg/kg) |
| Heart (g) | 0.46±0.02 | 0.47±0.02*** | 0.48±0.02** | 0.49±0.02** |
| Liver(g) | 3.32±0.13 | 3.36±0.13* | 3.40±0.13* | 3.44±0.13* |
| Spleen (g) | 0.31±0.02 | 0.33±0.02** | 0.35±0.02 ** | 0.37±0.02*** |
| Kidney (g) | 0.84±0.03 | 0.86±0.03*** | 0.88±0.03*** | 0.90±0.03*** |
| Lung (g) | 0.79±0.05 | 0.81±0.05** | 0.83±0.05*** | 0.85±0.05** |
*Values are expressed as mean±SEM (n=3). The significant values asterisks as follows, *p<0.05,**p<0.01,***p<0.001,****p<0.0001 when compared with control group.
The significant values asterisks are very important. Significant data is an integral part of research. In the study of statistics, a statistically significant result and is achieved when the p-value is less than the defined significance level.

Fig. 3: Qudradratic plot for organ weight effect of tofacitinib citrate on comparative organ weight (g/100g of animal body weight) in rats for fourteen days
Hematological and biochemical analysis
Mindray's BC-3000 plus automatic haematology analyzer was used to do haematology tests right after the blood was taken. Red blood cell count (RBC), haemoglobin (Hb), hematocrit(Hct), mean corpuscular volume(MCV), mean corpuscular haemoglobin (MCH), mean corpuscular haemoglobin content (MCHC), globular volume (GV), and platelet count were some of the parameters that were measured. To get serum for themetabolic study, the blood was spun at 3000 rpm for 5 min. Glucose, uric acid, creatinine, aspartate aminotransferase (AST), alanine amino transferase (ALT), total cholesterol, triglycerides, total protein, total bilirubin, potassium, sodium, and alkaline phosphatase were some of the things that were tested. ABS300 Mindray automatic biochemical analyzer was used to take all of the readings.
Table 4: Effect of tofacitinib citrate treatment on the hematological parameters of rats treated orally for 14 d
| Parameters | Group I (Control) | Group II (5 mg/kg) | Group III (100 mg/kg) | Group IV (300 mg/kg) |
| Erythrocytes (106/μl) | 4.986±0.125 | 4.950±0.125*** | 4.920±0.125*** | 3.890±0.125** |
| Hemoglobin (g/dl) | 12.40±0.651 | 12.30±0.651*** | 12.20±0.651*** | 12.10±0.651*** |
| Hematocrit (%) | 38.40±0.225 | 38.30±0.225*** | 38.20±0.225*** | 38.10±0.225*** |
| MCHC (g/dl) | 33.00±0.568 | 32.90±0.568*** | 32.80±0.568** | 32.70±0.568*** |
| GV (106/μl) | 5.137±0.393 | 5.130±0.393*** | 5.120±0.393*** | 5.110±0.393*** |
| MCH (pg) | 24.20±0.378 | 24.15±0.378*** | 24.10±0.378*** | 24.05±0.378*** |
| Platelet (10^3/μl) | 123.0±11.68 | 122.5±11.68*** | 122.0±11.68*** | 121.5±11.68** |
| MCV (fl) | 66.70±3.381 | 66.65±3.381*** | 66.60±3.381*** | 66.55±3.381*** |
*Values are as mean±SEM (n=3). The “significant values” areas follows, *p<0.05, **p<0.01, *** p<0.001, ****p<0.0001 when compared with control group. MCV: mean corpuscular volume, MCH: mean corpuscular hemoglobin, MCHC: mean corpuscular hemoglobin concentration, platelet and GV: globular volume. Significant data is an integral part of research. All the values shown statistically significant when compared to control group. Significance in the study refers to the importance of the result. Study is achieved when the p-value is less than the defined significance level.
Serum biochemical results
Results showed that the treatment not showed effect of the biochemical parameters of test rats with the standard controlled group (*p<0.05,**p<0.01,***p<0.001, ****p<0.0001).
If p-value is leass than 0.05 shows that all the values are significant. Significance in the study refers to the importance of the result. Significant data is an integral part of research. Statistically significant result in a study is achieved when the p-value is less than the defined significance level.
Table 5: Effect of tofacitinib citrate treatment on the biochemistry parameters of rats treated orally for 14 d
| Parameters | Group I (Control) | GroupII (5 mg/kg) | GroupIII (100 mg/kg) | GroupIV (300 mg/kg) |
| Glucosemg/dl | 126.5±2.788 | 122.3±16.72*** | 123.3±17.59*** | 139.7±3.36*** |
| Cholesterolmg/dl | 37.00±0.457 | 35.67±3.280*** | 43.00±5.459** | 56.0±2.75* |
| Ureamg/dl | 38.00±6.786 | 36.00±3.456*** | 45.77±3.453* | 48.6±2.65* |
| Creatininemg/dl | 1.277±0.179 | 1.647±0.240** | 1.853±0.523** | 1.362±0.72*** |
| Alkalinephosphatasemg/dl | 68.50±12.99 | 57.67±2.363 | 72.33±17.21 | 55.13±942 |
| Uricacid mg/dl | 0.3787±0.259 | 0.4783±0.074** | 0.3177±0.035* | 0.3983±0.07** |
| Potassium (mmol/l) | 8.147±0.533 | 7.470±0.335*** | 5.963±0.655** | 6.680±0.473** |
| Sodium(mmol/l) | 178.0±2.887 | 145.0±2.517** | 156.0±4.583 ** | 145.5±0.188** |
| AST U/l | 137.0±0.577 | 128.7±15.39** | 119.0±5.488** | 136.8±5.173*** |
| ALT U/l | 170.0±27.11 | 145.7±23.11*** | 138.0±11.79* | 126.2±1.878* |
| Total protein g/dl | 5.423±0.413 | 6.187±0.407*** | 5.787±0.539 *** | 5.757±0.218*** |
| GGT U/l | 16.67±3.180 | 18.67±1.423*** | 18.33±1.756 *** | 17.17±1.752*** |
| Triglyceridesmg/dl | 62.00±13.05 | 65.67±23.25*** | 68.00±18.36*** | 81.83±15.44* |
| Total bilirubinmg/dl | 0.0500±0.028 | 0.02667±0.012*** | 0.0200±0.015 *** | 0.02333±0.014*** |
*Values are expressed as mean±SEM (n=3). *p<0.05,**p<0.01,***p<0.001, ****p<0.0001 when compared with control group. AST: aspartate aminotransferase, ALT: alanine aminotransferases and GGT: gamma-glutamyl transferase. All the values are statistically significant.
Histopathological evaluation
The aforementioned organs from each group were preserved in 10% formalin for a period of one month, after which they were embedded in paraffin (procured from Sigma Aldrich) [17]. Tissue sections of 5-6 µm thickness were prepared, which were then routinely stained with aematoxylin (obtained form Sigma-Aldrich) and eosin (also sourced from Sigma-Aldrich). These sections were subsequently examined under a light microscope (Olympus CH02) for histopathological analysis.
| Parameters | GroupI (Control) | Group II (5mg/kg) | Group III (100mg/kg) | Group IV (500mg/kg) |
| Heart | ![]() |
![]() |
![]() |
![]() |
| Liver | ![]() |
![]() |
![]() |
![]() |
| Spleen | ![]() |
![]() |
![]() |
![]() |
| Kidney | ![]() |
![]() |
![]() |
![]() |
| Lung | ![]() |
![]() |
![]() |
![]() |
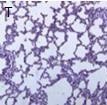
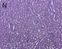
Fig. 4: Histological examination of heart, liver, spleen, kidney, lung of control group to all group of malerats
It was observed that no morphological changes in kidney, heart, lung, spleen and liver in all rats from all groups of study [18]. Histological Examination of revealed that there were no changes observed of male rats due to the 14 d Tofacitinib citrate administration in heart (A, B, C, D), liver (E, F, G, H), spleen (I, J, K, L), kidneys (M, N, O, P), and the lung (Q, R,S and T).
The present study aimed to evaluate the acute oral toxicity of tofacitinib citrate in the developed mouth-dissolving formulations, specifically assessing mortality, toxic syndrome, food, water consumption, organ weights hematological and biochemical parameters, and histopathological changes. The results provide valuable insights into the safety profile of tofacitinib citrate at the tested doses.
In the acute oral toxicity assessment, no mortalities or signs of toxicity were observed imale rats during the 14 d post-dose observation period. The animals' general appearance, grooming, posture, gait, and behavior remained normal, indicating the absence of any evident adverse effects associated with administering tofacitinib citrate. These findings suggest a favorable safety profile for tofacitinib citrate in the developed mouth-dissolving formulations.
These results align with previous studies evaluating the acute toxicity of tofacitinib citrate in different formulations [17, 18]. The absence of toxicity further supports the potential of mouth-dissolving formulations as a safe and effective delivery method for tofacitinib citrate.
Assessing the effect of tofacitinib citrate on food and water consumption, our study demonstrated no significant differences between the treated and control groups. The average water and food consumption changes remained consistent over the 14-day treatment period. These findings indicate that administering tofacitinib citrate in the tested doses did not affect the animal's water and food intake. Similar results have been reported in other studies investigating the acute toxicity of tofacitinib citrate [17, 19, 20]. This supports the notion that mouth-dissolving formulations do not significantly impact water and food consumption.
The assessment of relative organ weights revealed no significant differences between the treated and the control groups. The heart, liver, spleen, kidney, and lung weights in the tofacitinib citrate-treated groups showed no noteworthy variations compared to the control group. These findings suggest that administering tofacitinib citrate in the developed mouth-dissolving formulations did not induce not able changes in organ weight. Other studies have reported consistent results evaluating the acute toxicity of tofacitinib citrate [21, 22]. They indicate that the mouth-dissolving formulations do not significantly influence organ weights.
The results obtained from this study and the comparable findings from previous research provide substantial evidence supporting the favorable safety profile of tofacitinib citrate in the developed mouth-dissolving formulations. The absence of toxicity, as evidenced by the lack of mortality, absence of toxic syndrome, regular food and water consumption, and unchanged organ weights, underscores the potential of these formulations for further development and clinical applications. It is important to note that while the acute toxicity evaluation provides valuable insights into the initial safety assessment of tofacitinib citrate in mouth-dissolving formulations, further investigations are required to explore the chronic toxicity and long-term effects of these formulations. Future studies should focus on extended exposure periods and include additional parameters to comprehensively evaluate the safety and efficacy of tofacitinib citrate in these novel formulations.
The hematological analysis revealed no significant changes in the evaluated parameters when comparing the treated groups to the control group. The levels of erythrocytes, hemoglobin, hematocrit, mean corpuscular hemoglobin concentration (MCHC), globular volume (GV), mean corpuscular hemoglobin (MCH), platelet count, and mean corpuscular volume (MCV) remained similar across all groups. These findings suggest that tofacitinib citrate treatment did not substantially impact the blood parameters assessed. Furthermore, the biochemical analysis showed no significant differences in glucose, cholesterol, urea, creatinine, alkaline phosphatase, uric acid, potassium, sodium, aspartate aminotransferase (AST), alanine aminotransferase (ALT), total protein, gamma-glutamyltransferase (GGT), triglycerides, and total bilirubin levels between the treated groups, and the control group. These results indicate that tofacitinib citrate treatment did not induce notable alterations in the assessed biochemical parameters. The lack of significant changes in both hematological and biochemical parameters aligns with previous studies evaluating the safety profile of tofacitinib citrate [5, 17]. The absence of hematological and biochemical alterations further supports the favorable safety profile of tofacitinib citrate in the developed mouth-dissolving formulations.
Histopathological examination of the heart, liver, spleen, kidneys, and lungs revealed no morphological alterations in any treated groups compared to the control group. The gross pathology examination also showed no abnormalities in the appearance of the heart, lung, spleen, stomach, kidney, liver, and intestine in all groups. These findings indicate that tofacitinib citrate treatment did not induce significant histopathological changes in the evaluated organs.
The histopathological findings are consistent with previous studies investigating the effects of tofacitinib citrate on organ histology [17]. The absence of morphological alterations in the examined organs supports the notion that the developed mouth-dissolving formulations of tofacitinib citrate have a favorable safety profile. Overall, the hematological and biochemical analysis and the histopathological evaluation indicate the absence of systemic toxicity and organ damage associated with tofacitinib citrate treatment in the developed mouth-dissolving formulations. This lack of observable changes in organ histopathology further corroborates findings on the safety profile of tofacitinib citrate in mouth-dissolving formulations. It highlights the compound's non-toxic nature at the tested dosages, aligning with the observed absence of adverse effects in other assessed parameters such as animal behavior, organ weights, and hematological and biochemical markers. Future studies should consider extended exposure periods and larger sample sizes to provide a more comprehensive understanding of the safety profile of tofacitinib citrate in these novel formulations. In conclusion, the results of this study demonstrate the favorable safety profile of tofacitinib citrate in the developed mouth-dissolving formulations. The absence of toxicity, as evidenced by the lack of mortality and toxic syndrome, regular food and water consumption, unchanged organ weights, and the absence of hematological, biochemical, and histopathological alterations, supports the potential of these formulations for further development and clinical applications.
In conclusion, the current study reveals that tofacitinib citrate, when used in mouth-dissolving formulations, demonstrates a favorable safety profile with no acute toxicity in male and female rats. Over a 14-day period, the animals showed no signs of toxicity, maintained normal behavior, and exhibited no significant changes in food and water consumption. Hematological and biochemical tests, along with organ histopathology, indicated no adverse effects. These findings align with previous research, suggesting these formulations are well-tolerated and safe for further development and clinical exploration. It's important to note that this study focused on acute toxicity and further research is needed to assess long-term effects and chronic toxicity. The results provide a promising basis for the future clinical application of tofacitinib citrate in mouth-dissolving forms.
Institutional Animal Ethical Clearance (IAEC), Ethylenediamine tetra acetic acid (EDTA), Red Blood Cell (RBC), Hemoglobin (Hb, Hematocrit (Hct), Mean Corpuscular Volume (MCV), Mean Corpuscular Hemoglobin (MCH), Mean Corpuscular Haemoglobin Concentration (MCHC), Globular Volume (GV), Aspartate Aminotransferase (AST), Alanine Aminotransferase (ALT), Gamma Glutamyl Transferase(GGT).
The authors thank Vels Institute of Science, Technology and Advanced Studies, Chennai, Tamil Nadu, India, for providing the necessary resources and facilities to conduct this research. Dr. Malarkodi Velraj's guidance and support throughout the study are greatly acknowledged. The authors would also like to recognize the Honorable Shri. Babanrao Pachpute Vichardhara Trust's, Group of Institutions Faculty of Pharmacy, Kashti, Ahmednagar for their help, and support for this research.
Nil
These research work was carried out by Ms. Meghana Raykar and supervised by Dr. Malarkodi Velraj. All authors discussed the results and contributed to the final manuscript.
Declared none
Farooqui P, Gude R. Formulation development and optimisation of fast dissolving Buccal films loaded glimepiride solid dispersion with enhanced dissolution profile using central composite design. Int J Pharm Pharm Sci. 2023 May;5(6):35-54. doi: 10.22159/ijpps.2023v15i6.47992.
Cada DJ, Demaris K, Levien TL, Baker DE. Tofacitinib. Hosp Pharm. 2013 May;48(5):413-24. doi: 10.1310/hpj4805-413, PMID 24421498.
Raykar M, Velraj M. Design, development and evaluation of mouth dissolving tablets of tofacitinib citrate. Int J App Pharm. 2022 Jan 1;14(1):238-45. doi: 10.22159/ijap.2022v14i1.42810.
Raykar M, Velraj M. Design, development and evaluation of novel mouth dissolving film of tofacitinib citrate. Int J App Pharm. 2023 Jan;15(1):324-32. doi: 10.22159/ijap.2023v15i1.46064.
Kennedy Crispin M, Ko JM, Craiglow BG, Li S, Shankar G, Urban JR. Safety and efficacy of the JAK inhibitor tofacitinib citrate in patients with alopecia areata. JCI Insight. 2016 Sep 22;1(15):e89776. doi: 10.1172/jci.insight.89776, PMID 27699252.
Asahina A, Etoh T, Igarashi A, Imafuku S, Saeki H, Shibasaki Y. Oral tofacitinib efficacy, safety and tolerability in Japanese patients with moderate to severe plaque psoriasis and psoriatic arthritis: a randomized, double-blind, phase 3 study. J Dermatol. 2016 Aug 1;43(8):869-80. doi: 10.1111/1346-8138.13258, PMID 26875540.
Murwanti R, Nurrochmad A, Gani AP, Sasmito E, Edwina AE, Chandra MK. Acute and subchronic oral toxicity evaluation of herbal formulation: piper crocatum ruiz and pav., typhonium flagelliforme (Lodd.) blume, and phyllanthus niruri L. in Sprague-Dawley rats. J Toxicol. 2023;2023:7511397. doi: 10.1155/2023/7511397, PMID 36636256.
Kennedy GL, Ferenz RL, Burgess BA. Estimation of acute oral toxicity in rats by determination of the approximate lethal dose rather than the LD50. J Appl Toxicol. 1986 Jun 1;6(3):145-8. doi: 10.1002/jat.2550060302, PMID 3722708.
Balijepalli MK, Suppaiah V, Chin AM, Buru AS, Sagineedu SR, Pichika MR. Acute oral toxicity studies of swietenia macrophylla seeds in sprague dawley rats. Pharmacognosy Res. 2015 Jan-Mar;7(1):38-44. doi: 10.4103/0974-8490.147197, PMID 25598633, PMCID PMC4285647.
Test No. 408: Repeated dose 90 d oral toxicity study; 2018 Jun 27. Available from: https://www.oecd-ilibrary.org/environment/test-no-408-repeated-dose-90-day-oral-toxicity-study-in-rodents_9789264070707-en [Last accessed on 07 Jul 2023]
Chanda S, Dave R, Kaneria M, Shukla V. Acute oral toxicity of polyalthia longifolia var. pendula leaf extract in wistar albino rats. Pharm Biol. 2012 Nov;50(11):1408-15. doi: 10.3109/13880209.2012.682117, PMID 22849547.
Porwal M, Khan NA, Maheshwari KK. Evaluation of acute and subacute oral toxicity induced by ethanolic extract of marsdenia tenacissima leaves in experimental rats. Sci Pharm. 2017 Aug 21;85(3):29. doi: 10.3390/scipharm85030029, PMID 28825665.
Prabu PC, Panchapakesan S, Raj CD. Acute and sub-acute oral toxicity assessment of the hydroalcoholic extract of Withania somnifera roots in wistar rats. Phytother Res. 2013 Aug 1;27(8):1169-78. doi: 10.1002/ptr.4854, PMID 22996349.
Da Silva RO, Andrade VM, Bulle Rego ES, Azevedo Doria GA, Dos Santos Lima BD, Da Silva FA. Acute and sub-acute oral toxicity of Brazilian red propolis in rats. J Ethnopharmacol. 2015 Jul 21;170:66-71. doi: 10.1016/j.jep.2015.05.009, PMID 25978955.
Al-Afifi NA, Alabsi AM, Bakri MM, Ramanathan A. Acute and sub-acute oral toxicity of dracaena cinnabari resin methanol extract in rats. BMC Complement Altern Med. 2018;18(1):50. doi: 10.1186/s12906-018-2110-3, PMID 29402248.
Morales G, Paredes A, Olivares A, Bravo J. Acute oral toxicity and anti-inflammatory activity of hydroalcoholic extract from Lampaya medicinalis phil in rats. Biol Res. 2014 Mar 26;47(1):6. doi: 10.1186/0717-6287-47-6, PMID 25027298.
Committee for Medicinal Products for Human Use (CHMP) Assessment report. Tofacitinib citrate; 2013. Available from: www.ema.europa.eu
Santhoshkumar B. Aute toxicity study of therapeutic activity of modified arjunarishta on isoproterenol-induced myocardial infarction in rats. Int J Pharm Pharm Sci. 2022 Mar 12;14(5):12-21.
Sari LM. Acute oral toxicity study of areca catechu linn. Aqueous extract in sprague dawley rats. Asian J Pharm Clin Res. 2016 Dec 1;9(3):1-3.
Brown PC. Center for drug evaluation and research application number: 203214Orig1s000; 2011.
Xeljanz, Xeljanz XR. Nonclinical toxicology (tofacitinib). Available from: https://www.pfizermedicalinformation.com/en-us/xeljanz/nonclinical-toxicology [Last accessed on 07 Jul 2023]
Sperottova S, Matalova P. Tofacitinib. Interni Med Pro Praxi. 2021 Jul 21;21(5):292-4.