
1Department of Pharmaceutical Biology, Faculty of Pharmacy, Universitas Sumatera Utara, Medan, Indonesia. 2Faculty of Vocational Study, Universitas Sumatera Utara, Medan, Indonesia. 3Department of Pharmacology, Faculty of Pharmacy, Department of Pharmacology, Universitas Sumatera Utara, Medan, Indonesia
*Corresponding author: Sony Eka Nugraha; *Email: sonyekanugraha@usu.ac.id
Received: 21 Aug 2023, Revised and Accepted: 13 Oct 2023
ABSTRACT
Objective: Extensive research has been conducted on beetroot's antioxidant, hematoprotective, and cardioprotective properties. However, there currently needs to be more available evidence pertaining to the toxicity assessment of the extract. The toxicity assessment was conducted using both in silico and in vivo methods. Prior to testing, the extracts were standardized in accordance with the guidelines set by the Indonesian Food Drug Authority (BPOM), which is the regulatory authority for food and drugs in Indonesia.
Methods: The experimental subjects consisted of 25 male Wistar rats in good health, weighing between 150 and 170 grams. These rats were separated into five groups, each including five rats. Group 1 will serve as the control group, while groups 2 through 5 will be designated as the treatment groups. The analysis of chemical toxicity was conducted using pK-CSM, SwissADME, and Pro-Tox II methodologies.
Results: The results indicated that the standardized ethanol extract contained 4.341% water, 3.67 % total ash, and 1.53 % acid-insoluble ash. Lead (Pb) and cadmium (Cd) were absent at a concentration of 0 parts per million (ppm). Subsequently, the total plate count and yeast mould count were 0.47 5 x 10-4 (CFU/g) and a of 0.382 x 10-4 (CFU/g) respectively. This finding implies that the extract meets BPOM requirement. This study also measured the betalain content of red beetroot, yielding a total concentration of 11.34 0.37 mg/100 gram of sample. Haematological experiments showed that beetroot extract affected rat blood haematology. Compared to the control group, rats given the extract had higher red blood cell and platelet counts. Additionally, the Insilico toxicity test conducted on the active component derived from beetroot revealed LD50 of the compounds ranged from 305 mg/kg so that were categorized into classes IV and presence of hepatotoxic potential. During the in vivo experiment, there has been a notable rise in hepatic and renal parameters. Furthermore, one mortality event occurred in the test subject at a 5,000 mg/kg body weight dosage.
Conclusion: Single oral administration of the extract at a dose larger than 5,000 mg per kilogram of body weight does not result in lethal effects, however showed potential toxicity to the liver.
Keywords: Beta vulgaris L., In silico, In vivo, Toxicity
© 2024 The Authors. Published by Innovare Academic Sciences Pvt Ltd. This is an open access article under the CC BY license (https://creativecommons.org/licenses/by/4.0/)
DOI: https://dx.doi.org/10.22159/ijap.2024v16i1.49189 Journal homepage: https://innovareacademics.in/journals/index.php/ijap
Beetroot (Beta vulgaris L.), also known as beets, is a highly pigmented and nutrient-dense vegetable that is classified as a member of the Chenopodiaceae family [1]. The distinctively dark crimson hue of beetroot makes it an aesthetically pleasing addition to a variety of culinary preparations while also providing numerous health benefits. Beets are an excellent source of essential vitamins and minerals, including vitamin C, potassium, and manganese [2]. In addition, beetroot contained high dietary fiber, making it a significant contributor to overall health and wellness. Moreover, beetroot is renowned for its high nitrate content, which has been associated with improved cardiovascular health and enhanced physical performance during exercise [3].
Beetroot, whether consumed in raw, roasted, pickled, or juiced form, has a distinct and gratifying earthy taste. This characteristic renders it a versatile and nutritionally dense choice for persons who prioritize their well-being and aim to include a nourishing vegetable in their dietary regimen [4]. Furthermore, it is commonly recognized that beets contained high antioxidant. Antioxidant play role in exhibit anti-inflammatory qualities, which may contribute to the alleviation of inflammation and the control of specific chronic illnesses [5]. The inclusion of beetroot in one's dietary regimen can be easily achieved by its use in various culinary preparations such as salads, smoothies, or even as a flavorful complement when barbecued [4]. Given its notable assortment of health-enhancing characteristics, beetroot is a commendable inclusion in a well-rounded and nourishing dietary regimen. Prior studies have discovered the presence of cardioprotective and hematoprotective characteristics in beetroot (Beta Vulgaris L.), which have exhibited promising therapeutic qualities as both pharmacological agents and dietary supplements [6, 7]. Beetroot is a consumable material that has a purple-red coloration. The observed purple-red hue exhibited by beets can be attributed to the existence of betalain pigment, which is a composite of betacyanin, a purple pigment, and betaxanthin, a yellow pigment [8]. Nevertheless, there remains a scarcity of empirical data to substantiate the safety assertions stated regarding beetroot. Hence, it is essential to carry out further animal tests to ascertain the existence of any potential toxicological impacts, thereby guaranteeing the safety and suitability of its utilization. The assessment of toxicity can be conducted using both in vitro and in vivo techniques.
The in vivo study outcomes of the current study are anticipated to provide information regarding the LD50 and the administration of appropriate doses and identify detrimental manifestations. The acute toxicity test is a preclinical evaluation in which chemical substances are evaluated on experimental animals prior to administration to humans. The acute toxicity test is a method for identifying and evaluating the toxicological effects that manifest immediately after the introduction of a chemical, either through a single dose or multiple doses administered within a maximum of 24 h [9].
Throughout history, the predominant approach for toxicological evaluations has involved the utilization of in vivo experiments, where in animals are subjected to the administration of substances for the goal of testing. Furthermore, the vast variety of chemical compounds produced by Beta vulgaris L. makes it difficult to assess their toxicity using only experimental methods. Hence, it is imperative to give precedence to advancing alternative methodologies that exhibit swiftness, cost-effectiveness, and adherence to ethical principles. Computer-based toxicity prediction models, known as in silico models, have emerged as feasible alternatives to traditional approaches for assessing toxicity [10]. The computational algorithms employed in this study leverage molecular structures and physicochemical features to make predictions regarding its toxicity. By using available data and knowledge resources, in silico approaches facilitate the prioritization and assessment of chemical compounds for subsequent investigation. The existence of this research gap highlights the necessity for an integrated approach that combines in vivo and in silico approaches to evaluate the toxicity of these compounds effectively. By integrating the advantages of both techniques, a more resilient and streamlined framework for predicting toxicity can be developed.
Reagents and chemical
The tools used are glassware, hot plate (Fisons), desiccator, cage, label paper, pH paper, filter paper, Whatmann No.42 filter paper, analytical balance (Boeco), light microscope (Boecp), infusion pot, set of surgical tools, thermometer, and scales. The chemical used were Ethanol (BrataChem), Methanol (BrataChem) Water pro-injection (Sigma Aldrich), Hematoxylin and Eosin (Sigma Aldrich), AST kit (Roche), ALT kit (Roche), Urea kit (Roche), and Creatinine kit (Roche), buffered formalin (bratachem), and hematoxylin and eosin.
Preparation and extraction
Preparation of ethanol extract of beet tubers was carried out by maceration with 96% ethanol solvent and then evaporated with a rotary evaporator at 40 °C until a concentrated is obtained [8].
Extract standardization
Standardization of extracts includes specific and nonspecific parameters carried out according to the Indonesian Food Drug Authority (BPOM), including organoleptic parameters such as color, smell, shape, taste and nonspecific parameters such as water content, total ash content, acid insoluble ash content, Pb contamination, Cd contamination, total plate count, mold and yeast count [11].
Betacyanin content analysis
The photometric quantification of total betalains was determined standard method [12]. The solutions were diluted using McIlvaine buffer (having a pH of 6.5 and consisting of citrate-phosphate in a 1:10 proportion). The calculation for total betalains was conducted as outlined below:

Where: A = value at maximum absorption (534 for betacyanins and 480 for betaxanthins) at 600 nm, DF = dilution factor, MW = molecular weight (550 g/mol for BC and 308 g/mol for BX), V = volume of the solution (1000 ml), Є = molar extinction coefficient (60,000 L/mol cm for betacyanins and 48,000 L/mol cm for betaxanthins), and L = length of the reading cell (1 cm). The quantification of betacyanins and betaxanthins was conducted individually, and afterward, the respective measurements were combined to establish the overall betalain concentration. The measurements were conducted on three occasions, and the outcomes were reported as milligrams per 100 grams of powder.
In silico tools
The tools used in this research are hardware in the form of a set of HP Core i3 64-bit specifications and 1 TB hard disk as well as software and operating system software. Windows 10, Pubchem, pK-CSM Tools, SwissAdme, and Pro-Tox II.
Preparation of compound for in silico toxicity prediction
The preparation of each compound to obtain Canonical SMILES was carried out using the Pubchem website (https://pubchem.ncbi.nlm.nih.gov/)
Toxicity prediction of compound with pK-CSM tools
Prediction of compound toxicity using pK-CSM Tools via http://biosig.unimelb.edu.au/pkcsm/prediction, is done by entering Canonical SMILES, then pressing ADMET to get absorption analysis results distribution (VDss, Fraction unbound, BBB permeability, and CNS permeability); metabolism and toxicity [13].
Toxicity prediction of compound with Pro-Tox II
Prediction of compound toxicity with Pro-Tox II is accessed via https://tox-new.charite.de/protox_II/, then press Tox Prediction and enter Canonical SMILES, tick all toxicity parameters, then Start Tox-Prediction to get the results of the toxicity analysis of the compound (LD50, Hepatotoxicity, Carcinogenicity, Immunotoxicity, Mutagenicity, Cytotoxicity, AhR, AR, AR-LBD, Aromatase, ER, ER-LBD, PPAR-Gamma, nrf2/ARE, HSE, MMP, Phosphoprotein tumor suppressor, and ATAD 5) [14].
Oral acute toxicity prediction
The number animals used were 25 healthy male rats weighing 150-170 g. divided into 5 groups, each group consisting of 5 rats. Group 1 as control, and groups 2-5 as treatment groups. Group division as follows:
Group 1: Control, given a suspension solution of Na-CMC 0.5% kgbw
Group 2: Treatment, given beetroot extract at a dose of 500 mg/kgbw.
Group 3: Treatment, given beetroot extract at a dose of 1000 mg/kgbw.
Group 4: Treatment, given beetroot extract at a dose of 2000 mg/kgbw
Group 5: Treatment, given beetroot extract at a dose of 5000 mg/kgbw.
The test preparation was given to the test animals by oral, and it was only given once during the test time. The test animals were first fed for 3-4 h while still given a drink. From each group taken randomly, the toxic effects that occur were observed compared with the control group. The observation time was 5 min, 10 min, 15 min, 30 min, 60 min, 120 min, 180 min, 240 min. The total observation time was 4 h and after that for 14 d. Rats were observed and LD50 was determined to measure the level of toxicity by looking at the number of dead rats. Subsequently, blood was taken through the inferior vena cava [15]. Liver and kidney health biomarkers were measured and organ histopathological images were taken use standard procedure [16-18].
Extract standardization
Examination results standardization specific parameters, including organoleptic shows in the table 1.
Table 1:Organoleptic parameters of the extract
| No | Parameter | Results |
| 1 | Color | Blackish Purple |
| 2 | Smell | Typical |
| 3 | Form | Thick |
| 4 | Flavor | Bit Bitter |
Standardization inspection results for specific parameters, include water content, total ash content, acid insoluble ash content, Pb contamination, Cd contamination, total plate number, and yeast mold number, are shown in the table 2.
The sample analysis indicates a water content of 4.341%, signifying a relatively low moisture level, a high-water content can lead to the growth of fungi and mold, which can damage the sample. Additionally, the total ash content of 3.67% reflects the mineral constituents, while the acid-insoluble ash content of 1.53% suggests minimal contamination with substances like sand another inorganic compound. Furthermore, the sample exhibits no detectable contamination of toxic heavy metals, with both lead (Pb) and cadmium (Cd) being 0 ppm; this aligns with safety standards, emphasizing the product's safety regarding these heavy metals. The microbial analysis, including total plate fig. 0.47 5 x 10-4(CFU/g) and yeast mold numbers 0.382 x 10-4(CFU/g) indicated a low microbial presence, suggesting that the sample has been preserved or stored appropriately. Collectively, these results highlight a sample with commendable purity, minimal contaminants, and a favorable profile for safety and stability, though comparison with industry benchmarks is essential for comprehensive understanding [19].
Betalain content
The present investigation involved the extraction of betalains from red beet, resulting in an overall concentration of 11.34±0.37 mg per 100 grams of the sample. The betalain calculation results are shown in table 3.
Table 2: Extract standardization results of nonspecific parameters of beetroot extract
| No | Test parameters | Analysis results |
| 1 | Water content | 4.341 % |
| 2 | Total Ash Content | 3.67 % |
| 3 | Acid Insoluble Ash Content | 1.53 % |
| 4 | Pb contamination | 0 ppm |
| 5 | Cd contamination | 0 ppm |
| 6 | Total Plate Figures | 0.475 x 10-4(CFU/g) |
| 7 | Yeast Mold Numbers | 0.382 x 10-4(CFU/g) |
Table 3: Betalain content analysis
| Betacyanin (mg/100 g) | Betaxanthin (mg/100 g) | Total betalain (mg/100 g) |
| 6.32±0.27 | 4.02±0.1 | 11.34±0.37 |
All values are mean±SD values (Number of experiment, n=3)
Specifically, the betacyanin pigments, which characterized a red-violet hue, were found to be present at a concentration of 6.32±0.27 mg/100 g, while the betaxanthin pigments, characterized by their yellow coloration, were detected at a concentration of 4.02±0.1 mg/100 g. The observed correlation between the elevated levels of Betacyanin and the distinct crimson coloration exhibited by beets implies the predominant occurrence of this pigment. The observed discrepancies in betalain contents among various research may be attributed to variations in extraction methodologies, environmental conditions, or the specific cultivars of beets utilized [20]. The identified antioxidant of betalains highlights the potential of red beet as a functional food ingredient or natural colorant and potential medicine. Antioxidants play a crucial role in cellular protection by stabilizing and inhibiting the detrimental effects of reactive oxygen species (ROS). This underscores the importance of antioxidants in the preservation of cellular well-being and illness prevention [21].
Biochemical marker for rat liver and Kidney Health
In this study, AST levels were examined from rat blood. The results of the levels obtained can be seen in table 4.
Table 4: Value of biochemical marker for liver dan kidney health
| No. | Treatment group | Mean AST (U/l) | Mean ALT (U/l) | Mean creatinine (mg/dl) | Mean Urea (mg/dl) |
| 1. | Group 1 | 172.81±8.21 | 61.44±6.72 | 0.23±0.01 | 50.4±2.83 |
| 2. | Group 2 | 176.11±8.52 | 66.32±9.10 | 0.23±0.01 | 54.4±2.47 |
| 3. | Group 3 | 219.92±17.25 | 84.08±4.66 | 0.25±0.01 | 60.4±3.4 |
| 4. | Group 4 | 213.8±17.38 | 89.34±11.62 | 0.24±0.02 | 66±3.33 |
| 5. | Group 5 | 243.21±28.41 | 143.62±12.14 | 0.22±0.01 | 65.4±6.74 |
All values are mean±SD values (Number of experiment, n= 5)
In the examination of aspartate aminotransferase (AST) and alanine aminotransferase (ALT) levels across the treatment groups, it was observed that groups Group 1 and Group 2 exhibited generally comparable and decreased levels of both hepatic enzymes in comparison to the remaining groups. It is noteworthy that Group 5 exhibited an increased aspartate aminotransferase (AST) level of 243.21 U/l, indicating a possible hepatic abnormality. The observation of equal standard deviations in Group 1 and Group 2 for both enzymes emphasize the consistency within these groups, whereas Group 3 and Group 4 exhibit slightly greater variability in ALT. The specific characteristics of the treatments and potential factors that may influence the results are now undisclosed. However, the significantly elevated AST level seen in Group 5 highlights the urgency of doing additional research and considering appropriate medical intervention.
Upon analysis of creatinine and urea levels, it is observed that the average creatinine readings exhibit negligible fluctuations among the different groups, with a range of 0.22 mg/dl to 0.25 mg/dl. This indicates a relatively uniform renal function in terms of creatinine clearance. In contrast, there is a noticeable increase in urea levels from 50.4 mg/dl to 66 mg/dl, followed by a minor decrease to 65.4 mg/dl in the final group (Group 5). Nevertheless, it is important to acknowledge the heightened variability observed in the aforementioned group, as evidenced by the elevated standard deviation for urea. In contrast to the greater variability exhibited by urea values, creatinine values among various groups are more similar. This disparity suggests that factors other than renal function, such as protein ingestion or catabolism, may be responsible for the observed variations in urea levels [22].
The test results in the in vivo test showed that a dose of 5000 mg/kgbw showed potential toxicity to the liver. This is in line with the results of an in silico study test where the prediction of betacyanin toxicity, which is the group of compounds most abundantly contained in beetroot, shows the results of toxicity to the liver. The number of deaths in this acute toxicity test showed quite good results, where only 1 rat died at a dose of 5000 mg/kgbw. These results still need to be explored further by conducting subchronic and chronic toxicity studies to see the safety profile of the ethanol extract of beetroot.
Results of haematological profile
Table 5: Analysis of rats hematology profile
| Parameter | Groups (mean±SD) | ||||
| Group 1 | Group 2 | Group 3 | Group 4 | Group 5 | |
| WBC (10 3/ul) | 5±2.06 | 6±3.32 | 5±3.65 | 6±3.65 | 6.12±2.9 |
| RBC (10 6/ul) | 10.022±2.11 | 12.22±3.21 | 12.32±1.63 | 13.32±3.41 | 13.3±2.45 |
| HGB (g/dl) | 11.45±1.51 | 12.31±3.11 | 11.36±3.11 | 12.23±2.21 | 11.14±3.21 |
| HCT (%) | 48.2±6.53 | 49.9±5.44 | 54.6±3.50 | 53.7±5.23 | 53.14±2.91 |
| MCV (fl) | 45.21±5.12 | 51.23±4.31 | 50.23±4.12 | 48.23±1.44 | 53.5±1.31 |
| MCH (pg) | 10.48±2.74 | 12.22±3.78 | 13.23±1.89 | 14.34±3.11 | 12.54±2.89 |
| MCHC (g/dl) | 33.23±4.21 | 31.34±6.25 | 34.32±3.43 | 35.34±4.13 | 34.67±2.16 |
| PLT (10 3/ul) | 1082.4±201.21 | 1189.9±219.32 | 1221.2±149.34 | 1345.2±313.31 | 1321.4±14.37 |
| NEUs (%) | 7.8±3.56 | 10.8±3.89 | 10.3±3.76 | 11.8±3.22 | 15.6±4.13 |
| LYM P (%) | 72.7±8.23 | 68.2±8.34 | 74.3±5.34 | 77.3±7.12 | 65.4±4.17 |
| MONO (%) | 8.3±3.41 | 7.7±4.17 | 6.8±3.88 | 6.8±2.29 | 7.2±3.83 |
| EOS (%) | 1.4±0.2 | 1.5±0.3 | 1.5±0.4 | 1.5±0.2 | 1.4±0.3 |
| BAS (%) | 7.3±3.37 | 6.7±2.45 | 7.7±3.22 | 7.0±4.22 | 9±3.23 |
All values are mean±SD values (Number of experiment, n= 5)
The results of the hematological tests showed that beetroot extract had an effect on the hematological changes in rat blood. There was a change in the profile of the red blood cells and platelets of rat; the blood profile in the rats given the extract had a higher value than the normal rat. This is in line with Nugraha's research that supplementation with beetroot extract can improve platelet profiles and red blood cell profiles [6, 7].
Histological observation
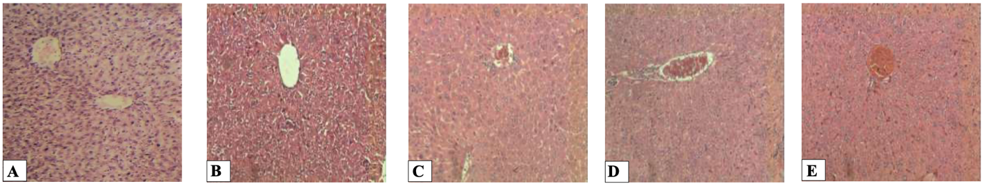
The results of observing the histological picture of rat liver cells can be seen in fig. 1
Fig. 1 shows that inflammatory cell infiltration was not found in the control group treatment. At the administration of ethanol extract doses of 500, 1000, 2000 and 5000 mg/kg BW, fatty degeneration and hydrophic degeneration were not found. Fatty degeneration is characterized by the presence of vacuoles that vary in size and in severe cases, push the nucleus to the edge [23]. Hydrophic degeneration is a reversible cell injury with intracellular accumulation that is more severe with albumin degeneration.
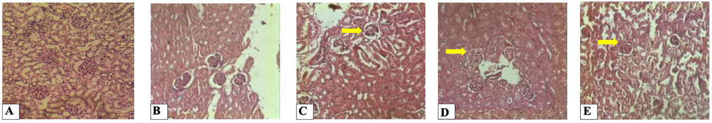
The results of observations of the histological appearance of the rats kidney organs can be seen in fig. 2

Fig. 1: Histological picture of rat liver tissue 400x (A). Control, (B). 500 mg/kgbw beetroot extract., (C). 1000 mg/kgbw beetroot (D). 2000 mg/kgbw beetroot, (E). 5000 mg/kgbw beetroot

Fig. 2: Histological picture of rat kidney tissue 400x (A). Control, (B). 500 mg/kgbw beetroot extract., (C). 1000 mg/kgbw beetroot, (D). 2000 mg/kgbw beetroot, (E). 5000 mg/kgbw beetroot
Fig. 2 shows that the histological picture of the kidneys in the control group and 500 mg. kgBW were still normal, there was no increase in mesangial cell proliferation in the glomerulus and Bowman's capsule, which was still clearly visible, whereas in the treatment group, the doses were 1000, 2000 and 5000 mg/kg BW it has begun to show an increase in mesangial cell proliferation (yellow arrow) but no glomerular tissue hypertrophy has been seen.
Toxicity prediction of compounds
Betacyanin is a class of active compounds from beetroot which is mostly contained in beetroot. The main structure of the main basic structural units, namely the aglycones betanidine and isobetanidine. The results of Asra’s research in 2020 stated that the average percentage of betacyanin levels in the red beetroot extract (Beta vulgaris L.) was 98.6474 %±0.584080 [24]. So that the toxicity test of insilico in this study used the active compound betacyanin. Toxicity profile testing and ADME using HP Core i3 64-bit Laptop equipment, Chemdraw application, pKCSM online tool application (http://biosig.unimelb.edu.au/pkcsm/) and Protox application online tool (https://tox-new.charite.de/protox_II/). The results of ADME and toxicity profiling can be seen in table 6-8.
Table 6: Profile ADME of betacyanin
| Property | Model name | Predicted value of betacyanin | Unit |
| Absorption | Water Solubility | -2.866 | Numeric (log mol/l) |
| Distribution | VDss (human) | -1.705 | Numeric (log L/kg) |
| Metabolism | CYP3A4 Substrate | No | Categorical (Yes/No) |
| Excretion | Total Clearance | 0.216 | Numeric (log ml/min/kg) |
Computational techniques can be employed to evaluate, simulate, or anticipate chemical toxicity, hence facilitating the assessment of pharmacokinetic activity and toxicity [25]. The PK-CSM model has the capability to forecast the Absorption, Distribution, Metabolism, Excretion, and Toxicity (ADMET) features of a given chemical, as indicated by reference [26]. The prediction outcomes are presented in table 6, indicating that Betacyanin exhibits a relatively low water solubility of -2.866 log mol/l. This finding suggests that the oral absorption process may encounter challenges due to the reduced solubility of Betacyanin. The primary localization of Betacyanin within the plasma, as indicated by the computed volume of distribution (VDss) of -1.705 log L/kg, suggests limited diffusion to different organs. The prediction of compound distribution encompasses the consideration of characteristics related to the volume of distribution at steady state (VDss). According to He in 2019, a low VDss value is defined as being below 0.71 L/kg (log VDss<-0.15), whereas a high VDss value is defined as being over 2.81 L/kg (log VDss>0.45 [21]. The acquired distribution prediction findings suggested that the chemicals in question had a low distribution, as evidenced by their VDss values being less than 0.7. It is important to highlight that this chemical exhibits a lack of metabolic activity through the key hepatic enzyme CYP3A4 [22], hence reducing the potential for medication interactions facilitated by this specific metabolic route. Based on the observed overall clearance rate of 0.216 log ml/min/kg, it can be deduced that Betacyanin demonstrates a modest level of removal from the human body. The predictions offer significant insights into the activity of Betacyanin inside biological systems and its potential therapeutic applications.
Table 7: Prediction of betacyanin toxicity (pKCSM)
| Property | Model name | Predicted value of betacyanin | Unit |
| Toxicity | AMES toxicity | No | Numeric (log ml/min/kg) |
| Toxicity | Max. tolerated dose (human) | 0.678 | Categorical (Yes/No) |
| Toxicity | hERG I inhibitor | No | Categorical (Yes/No) |
| Toxicity | hERG II inhibitor | No | Numeric (log mg/kg/day) |
| Toxicity | Oral Rat Acute Toxicity (LD50) | 2.471 | Categorical (Yes/No) |
| Toxicity | Oral Rat Chronic Toxicity (LOAEL) | 3.652 | Categorical (Yes/No) |
| Toxicity | Hepatotoxicity | Yes | Numeric (mol/kg) |
| Toxicity | Skin Sensitisation | No | Numeric (log mg/kg_bw/day) |
| Toxicity | T. Pyriformis toxicity | 0.285 | Categorical (Yes/No) |
| Toxicity | Minnow toxicity | 8.496 | Categorical (Yes/No) |
Table 8: Betacyanin toxicity class (protox online)
| No. | Parameters | Betacyanin |
| 1. | Predicted LD 50 | 305 mg/kg |
| 2. | Predicted toxicity class | Class 4 |
| 3. | Average similarity | 55.2% |
| 4. | Prediction accuracy | 67,38% |
Pro-Tox II has advantages such as predicting the level of oral toxicity, organ toxicity (hepatotoxicity), toxicological endpoints (such as mutagenicity, carcinogenicity, cytotoxicity, and immunotoxicity), toxicity pathways, and target toxicity, thereby demonstrating the possible molecular mechanisms behind the response [27]. Toxicity class is defined according to the GHS (Globally Harmonized System) classification system, which is categorized into six classes. Class I (LD50 5), class II (5<LD50 50), class III (50<LD50 300), class IV (300<LD50 2000), class V (2000<LD50 ≤ 5000), and class VI (LD50>5000). The higher the LD50 value, the lower the toxicity [28]. Based on table 8, the LD50 of the compounds ranged from 305 mg/kg so they were categorized into classes IV. The results of the study show that the betacyanin toxicity class is class 4 which is included in the dangerous class. In the hepatotoxicity parameter, it is indicated that Betacyanin can cause hepatotoxic. Meanwhile, in the AMES, hERG I inhibitor, hERG II inhibitor and Skin Sensitization toxicity were not found, so it is declared that Betacyanin showed potential toxicity in hepatic organ.
Invivo toxicity test revealed that Beta vulgaris L. extract in single oral administration of the extract at a dose larger than 5,000 mg/kgbw did not result in lethal effects; however, it showed potential toxicity to the liver. The betacyanin compound Beta vulgaris L. has an LD50 ranging from 305 mg/kg so that it is categorized into toxicity classes IV, and it is also indicate hepatotoxicity.
This work was supported by Lembaga Penelitian Universitas Sumatera Utara with funding number 6789/UN5.1. R/PPM/2021.
Nil
All authors have contributed equally.
Declared none
Singh S, Selvakumar R, Mangal M, Kalia P. P. Breeding and genomic investigations for quality and nutraceutical traits in vegetable crops-a review. Indian J Hortic. 2020;77(1):1-40. doi: 10.5958/0974-0112.2020.00001.8.
Kaushik A. Development of product through supplementation using beet greens and its sensory evaluation. J Pharmacogn Phytochem. 2020;9(6S):83-5.
Clements WT, Lee SR, Bloomer RJ. Nitrate ingestion: a review of the health and physical performance effects. Nutrients. 2014;6(11):5224-64. doi: 10.3390/nu6115224, PMID 25412154.
Prado J, Rostagno M. Natural product extraction: principles and applications. Cambridge: Royal Society of Chemistry Publishing; 2022.
Yuandani, Nugraha SE, Laila L, Satria D. Immunomodulatory effects of standardized extract of curcuma mangga val. on cytokines, antibody and delayed-type hypersensitivity response in Wistar rats. Res Pharm Sci. 2021;16(1):16-25. doi: 10.4103/1735-5362.305185, PMID 33953771.
Nugraha SE, Yuandani Y, Syahputra RA. Protective activity of beetroot extract on doxorubicin-induced hepatic and renal toxicity in rat model. Open Access Maced J Med Sci. 2021 Sep 28;9(A):1037-42. doi: 10.3889/oamjms.2021.7114.
Nugraha SE, Yuandani NES, Nasution ES, Syahputra RA. Investigation of phytochemical constituents and cardioprotective activity of ethanol extract of beetroot (Beta vulgaris. L) on doxorubicin induced toxicity in rat. Rasayan J Chem. 2020;13(2):973-8. doi: 10.31788/RJC.2020.1325601.
Strack D, Vogt T, Schliemann W. Recent advances in betalain research. Phytochemistry. 2003;62(3):247-69. doi: 10.1016/s0031-9422(02)00564-2, PMID 12620337.
Khare P, Kishore K, Sharma DK. Acute oral toxicity of bauhinia variegata and madhuca longifolia in mice. Int J Curr Pharm Sci 2022;14(2):69-71. doi: 10.22159/ijcpr.2022v14i2.1966.
Merdekawati F. In silico study of pyrazolylaminoquinazoline toxicity by lazar, protox, and admet predictor. J App Pharm Sci. 2018;8(9):119-29. doi: 10.7324/JAPS.2018.8918.
RI DP. Parameter standar umum ekstrak tumbuhan obat. Jakarta: Depkes; 2000.
Flores Mancha MA, Ruiz Gutierrez MG, Sanchez Vega R, Santellano Estrada E, Chavez Martinez A. Characterization of beet root extract (Beta vulgaris) encapsulated with maltodextrin and Inulin. Molecules. 2020;25(23):5498. doi: 10.3390/molecules25235498, PMID 33255296.
Ayipo YO, Ahmad I, Najib YS, Sheu SK, Patel H, Mordi MN. Molecular modelling and structure-activity relationship of a natural derivative of o-hydroxybenzoate as a potent inhibitor of dual NSP3 and NSP12 of SARS-CoV-2: in silico study. J Biomol Struct Dyn. 2023;41(5):1959-77. doi: 10.1080/07391102.2022.2026818, PMID 35037841.
Mallikarjunayya Mathapati, Akash More, Ujwal Gajbe, Deepti Shrivastava. Comparative study of effect of GnRH protocols on the quality and the quantity of oocytes retrieved and embryos form. Journal of Pharmaceutical Negative Results 2022;13(3):1081-4. doi: 10.47750/pnr.2022.13.03.175.
Seibel J, Bodie K, Weber S, Bury D, Kron M, Blaich G. Comparison of haematology, coagulation and clinical chemistry parameters in blood samples from the sublingual vein and vena cava in sprague dawley rats. Lab Anim. 2010;44(4):344-51. doi: 10.1258/la.2010.009049, PMID 20679324.
Argmann CA, Auwerx J. Collection of blood and plasma from the mouse. Curr Protoc Mol Biol. 2006;Chapter(29):Unit 29A.3. doi: 10.1002/0471142727.mb29a03s75, PMID 18265383.
Baum N, Dichoso CC, Carlton Jr CE. Blood urea nitrogen and serum creatinine. Physiology and interpretations. Urology. 1975;5(5):583-8. doi: 10.1016/0090-4295(75)90105-3, PMID 1093306.
Wang L, Wang L, Ding W, Zhang F. Acute toxicity of ferric oxide and zinc oxide nanoparticles in rats. J Nanosci Nanotechnol. 2010;10(12):8617-24. doi: 10.1166/jnn.2010.2483, PMID 21121374.
Yadav NP, Dixit VK. Recent approaches in herbal drug standardization. Int J Integr Biol. 2008;2(3):195-203.
Fernando GSN, Wood K, Papaioannou EH, Marshall LJ, Sergeeva NN, Boesch C. Application of an ultrasound-assisted extraction method to recover betalains and polyphenols from red beetroot waste. ACS Sustainable Chem Eng. 2021;9(26):8736-47. doi: 10.1021/acssuschemeng.1c01203.
Halim B, Syahputra RA, Adenin I, Lubis HP, Mendrofa F, Lie S. Determination of phytochemical constituent, antioxidant activity, total phenol and total flavonoid of extract ethanol phyllanthus emblica fruit. Pharmacogn J. 2022;14(1):63-7. doi: 10.5530/pj.2022.14.9.
Xu KY, Xia GH, Lu JQ, Chen MX, Zhen X, Wang S. Impaired renal function and dysbiosis of gut microbiota contribute to increased trimethylamine-N-oxide in chronic kidney disease patients. Sci Rep. 2017;7(1):1445. doi: 10.1038/s41598-017-01387-y, PMID 28469156.
Tsutsumi V, Nakamura T, Ueno T, Torimura T, Aguirre Garcia J. Structure and ultrastructure of the normal and diseased liver. Inliver Pathophysiology; 2017. p. 23-44. https://doi.org/10.1016/B978-0-12-804274-8.00002-3
Asra R, Yetti RD, Ratnasari D, Nessa N. Studi fisikokimia betasianin dan aktivitas antioksidan dari umbi bit merah (Beta vulgaris L.). J Pharm Sci. 2020;3(1):14-21. doi: 10.36490/journal-jps.com.v3i1.35.
Raies AB, Bajic VB. In silico toxicology: computational methods for the prediction of chemical toxicity. Wiley Interdiscip Rev Comput Mol Sci. 2016;6(2):147-72. doi: 10.1002/wcms.1240, PMID 27066112.
Madden JC, Thompson CV. In silico methods for predicting drug toxicity. New York. Springer; 2022.
He Q, Han C, Li G, Guo H, Wang Y, Hu Y. In silico design novel (5-imidazol-2-yl-4-phenylpyrimidin-2-yl)[2-(2-pyridylamino)ethyl]amine derivatives as inhibitors for glycogen synthase kinase 3 based on 3D-QSAR, molecular docking and molecular dynamics simulation. Comput Biol Chem. 2020;88:107328. doi: 10.1016/j.compbiolchem.2020.107328, PMID 32688011.
Saha J, Choudhuri S, Choudhuri D. Effect of sub-chronic exposure to chromium on haematological and biochemical parameters of male albino rat. Asian J Pharm Clin Res. 2017;10(5):345-8. doi: 10.22159/ajpcr.2017.v10i5.17468.