
Sri Sathya Sai Institute of Pharmaceutical Sciences, Ram Krishna Dharmarth Foundation University, Gandhi Nagar, Bhopal-462033, Madhya Pradesh, India
*Corresponding author: Santram Lodhi; *Email: srlodhi78@gmail.com
Received: 19 Oct 2023, Revised and Accepted: 20 Dec 2023
ABSTRACT
Objective: The present work was emphasized on preparation, characterization and evaluation of baicalein-loaded hydrogel to promote healing of wounds.
Methods: Baicalein-loaded hydrogel was developed using Gellan gum and Glycol chitosan polymers. Prepared hydrogels were characterized for various parameters like Field Emission Scanning Electron Microscopy (FE-SEM), swelling property, entrapment efficiency, rheology and drug release. Wound healing study was investigated by using incision dead space wound models. Healing effect was assessed by measurement of tensile strength, collagen content, hydroxyproline content, protein content and antioxidant status.
Results: The percent entrapment efficiency of optimized hydrogel found to be 89.78±2.07, which resulted in controlled release of drug 85.03% in 12 h. The significantly increased level of catalase and superoxide dismutase (SOD) was noticed in dead space wound model. The tensile strength study shows an increase in collagen synthesis due to treatment with Baicalein-loaded hydrogel. The higher collagen content, better granulation, increase in tensile strength was noticed. Histopathological examination also confirmed higher degree of re-epithelialization and enhanced cutaneous wound repair.
Conclusion: In conclusion, biodegradable Baicalein-loaded hydrogel might have a high potential for wound healing with improved oxidative status and extended release of Baicalein.
Keywords: Baicalein, Hydrogel, Gellan gum, Glycol chitosan, Wound healing, Antioxidant
© 2024 The Authors. Published by Innovare Academic Sciences Pvt Ltd. This is an open access article under the CC BY license (https://creativecommons.org/licenses/by/4.0/)
DOI: https://dx.doi.org/10.22159/ijap.2024v16i2.49661 Journal homepage: https://innovareacademics.in/journals/index.php/ijap
Hydrogels are three-dimensional, hydrophilic, polymeric networks have the capacity to absorb huge volumes of biological or water. Copolymers or homopolymers are make up such networks [1]. The optimal wound dressing material should have all the positive characteristics that hydrogels display, such as the ability to keep the surrounding area moist. In addition to preventing secondary infections, absorbing wound fluids and exudates, reducing wound surface necrosis, preventing wound drying, promoting wound development, and being elastic, non-toxic, non-antigenic, biocompatible, and biodegradable dressing materials, hydrogels also lessen wound necrosis [2]. Because of their mechanical and porosity similarities to organic tissues, interest in the creation of hydrogel has continuously grown. Hydrogels are good materials for a variety of medication delivery applications due to their porosity and high water content, which allow them to accept, retain, and later release different compounds [3].
The most important aspect of tissue regeneration is wound healing, which is also one of the life's many difficult multistage processes. A variety of cytokines and growth factors found at the wound site control how quickly the wound heals. The primary goal of wound management is to heal the injured tissues in the shortest amount of time with the least amount of pain and suffering [4]. There are four consecutive processes in the complex biological process of wound healing. Hemostasis and coagulation come first, followed by inflammation, proliferation, and remodelling in that order. Several variables, such as recurrent trauma, poor perfusion or oxygenation, and severe inflammation, might contribute to the chronicity of wounds. It has been noted that an imbalance between the formation of free radicals and antioxidants causes oxidative stress, tissue damage, and a delay in the healing of wounds [5]. A key aspect in the healing of wounds is antioxidant capability. A low level of reactive oxygen species was created during the inflammatory phase [6]. Maintaining a moist environment at the location of the wound is crucial for efficient wound healing because wound dehydration disrupted the optimal environment to accelerate wound healing. In order to avoid wound dehydration, hydrogel could absorb tissue exudates and allow oxygen to permeate. It may distribute goods precisely for medical applications, particularly for managing wounds. After being administered, hydrogels come into contact with the aqueous environment, absorb water, swell, and release the medication [7].
Chitosan does not dissolve freely in water; thus, acid is needed to create its aqueous solution. Chitosan aqueous solution in acid produces protonation of the amino group. Therefore, hydrogel was prepared using Glycol Chitosan (GC). As a chitosan derivative with a glycol molecule at the C6 hydroxyl position, glycol chitosan is water soluble. It is readily available, biocompatible, and degradable. It is distinguished by the presence of the amino group, which enhances the matrix's microenvironment and increases cell adhesion [8]. Glycol chitosan's extremely reactive amino groups enable chemical modification without degrading the solubility in water [9].
Due to superior gelling and customizable mechanical properties of gellan gum, several researchers have focused more on using this anionic polysaccharide as a gelling agent. It is also extensively used to prepare wound dressing material [10]. When gel-promoting cations are present, gellan gum exhibits strong gel strength even at low concentrations. It is a high molecular weight, water-soluble polymer that spreads readily in aqueous solutions and has good stability [11].
Baicalein (BCA), chemically known as 7-glucuronic acid 5, 6-dihydroxyflavone is a naturally occurring flavonoid. Baicalein exhibits a variety of possible biological activities, including as anti-inflammatory, antibacterial, antifungal, and antioxidant properties [12], antibacterial, antiallergic [13], antipyretic, antihypertensive and hepatoprotective activity [14], anti-tumor, anti-fibrosis and protecting to neurons [15]. Studies using an excision wound model for Baicalein shows that the wound area was reduced, the wound closed completely, and the healing effect of epithelization was seen [16]. It is effective in reducing the levels of nitric oxide and tumor necrosis factor-α (TNF-α) [17]. The compound baicalein has been proposed as a protective factor against skin aging and injuries, such as burns, wounds, and UV radiation damage [18]. Using an excision wound model, the wound-healing properties of baicalein-7-O-β-D-glucuronide, which was isolated from Leucas aspera, were investigated [16]. Considering all the protective and beneficial effects and its low toxicity, the present study was aimed to prepare and evaluate baicalein-loaded hydrogel for effective wound healing through extend absorption.
Materials
Glycol Chitosan was procured from HiMedia Laboratories Pvt. Ltd. (Mumbai, India). Gellan gum powder was obtained from the MP Biomedicals, LLC. Baicalein and Calcium chloride was purchased from Sigma Aldrich, Mumbai. All other materials used were of analytical grade.
Preparation of hydrogel formulation
Required amount of gellan gum (1%w/v) was dissolved in deionized water with continuous stirring for up to 30 min until complete hydration at 90 °C temperature and added aqueous calcium chloride solution (0.5% w/v). Polymer solution was obtained by dissolving glycol chitosan at different concentration (0.1%, 0.3%, 0.5%w/v) in distilled water. Hydrogel without drug loaded was prepared by addition of gellan gum solution dropwise into glycol chitosan polymer solution under continuous stirring at room temperature.
Baicalein-loaded hydrogel was prepared by following same method, while initially, baicalein was dispersed in distilled water with sonication (Probe Sonicator Advanced, PKS-500F, PCI Analytics, Mumbai, India). Drug dispersion was added into polymer solution dropwise with continuous stirring. Baicalein-loaded gellan gum/glycol chitosan hydrogel (GG-GC-HGs) was prepared by drop wise addition of gellan gum solution into drug-containing polymer solution with constant stirring. All prepared hydrogels were characterized for Swelling capacity, surface morphology, drug release and stability study.
Characterization of prepared hydrogels
Swelling behavior
Hydrogels' ability to swell is a crucial characteristic, especially when applying them to wounds that are exuding fluid. Because hydrogels have a large capacity to store fluid, they can absorb a considerable quantity of wound exudates by swelling, which causes the wound to become dry and ultimately speeds up the healing process. The produced hydrogels' swelling ratio was measured in pH 7.4 buffer solutions and water. A precise weighted quantity of dried gels was stored apart from the buffer and water solutions. After a predetermined amounts of time, the hydrogels were taken out and their surfaces were cleaned. The hydrogels' weight was determined and then stored in the same medium once more. This procedure was carried out again at 30-minute intervals until a steady weight was achieved [19]. Swelling ratio was calculated by the following equation:

Where Wo is the initial weight of dry hydrogel; Wt is the weight of the swollen hydrogel at time ‘t’ at temperature 37 °C. This study was repeated thrice, and average values were observed.
Drug release study
Semipermeable cellophane membrane was used in a Franz diffusion cell for the in vivo diffusion investigation. The Franz diffusion cell's donor and receiver chambers were separated by a semipermeable cellophane membrane. Phosphate buffer (pH 7.4) was placed inside the receptor cell, and it was constantly rotated at 100 rpm using a magnetic stirrer. Formulation is applied through donor compartment on the dialysis membrane. The system's temperature was set to 37±0.5 °C. At predetermined intervals, aliquots (0.5 ml) were removed and replaced with the same volume of fresh, pH 7.4 buffer solution. Spectrophotometric measurements were made of the samples at 278 nm using phosphate buffer (pH 7.4) as a baseline. It was computed how much drug was released overall. Three repetitions of each experiment were conducted, and mean values were computed [20].
Rheological study
The viscosity of the prepared hydrogel formulation was synthesized was measured at different shear rates using a digital viscometer made by Brookfield that had spindle number 6. In order to allow the viscometer's spindle to dip sufficiently, the suitable wide-mouth container was filled with an adequate amount of hydrogel. Viscosity of prepared hydrogels was measured in term of centipoises at 10-100 rpm at 25±1 °C [21].
Surface morphological study
Morphological study was performed on the dried hydrogel using Field Emission Scanning Electron Microscopy (FE-SEM). Using a freeze dryer (-60 °C) for 24 h, the produced hydrogels were dried. With 10 kV as the accelerating voltage, FE-SEM was used to confirm the hydrogel's network structure, and the dried hydrogel was then placed on platinum [12].
Stability study
According to ICH requirements, stability studies were carried out to determine stable product under storage settings. In a stability chamber, hydrogel was kept in glass vials at a temperature of 25±0.2 °C and a relative humidity of 60±5%. Accelerated stability testing was performed at a temperature (40±2 °C) and relative humidity 75±5% and at 30±2 °C, 65±5% for 3 mo. Over the course of three months, samples were regularly obtained every month and any changes were noted.
Drug encapsulation efficiency
In order to extract the medication from the prepared hydrogels, 50 ml of buffer solution (pH 7.4) was added, and the hydrogels were rapidly soaked and agitated for 24 h. Filtered hydrogel samples in buffer solutions were tested using UV spectrophotometers at a 278 nm wavelength [22]. The encapsulation efficiency of baicalein-loaded hydrogel was calculated using the following equations:
% Entrapment efficiency (%) = Actual drug content in prepared hydrogel/theoretical drug content in prepared hydrogel x 100
In vivo wound healing study
Animals and animal protocol
Wistar albino rats (200-250 g) were purchased from College of Veterinary Science and Animal Husbandry, Mhow (M. P.) for in vivo study. After a seven-day period of acclimation to the lab environment, the rats were put to use. They received free access to commercial food pellets and water ad libitum. Animals were divided into three groups containing six animals in each group. Whole animal experimentation protocol was approved by Institutional Animal Ethic Committee (Reg. No. 1546/PO/E/S/11/CPCSEA), RKDF University, Bhopal (M. P.). The control group received vehicle only i.e. hydrogel without drug loaded; Group second received baicalein loaded hydrogel (GG-GC-HGs); Group third was the reference group, received marketed formulation Hydroheal Gel (Dr. Reddy's Laboratories Ltd.) twice daily.
Incision wound creation
Each animal was weighed separately and given an intraperitoneal injection of pentobarbitone sodium (35 mg/kg). An electrical clipper was used to remove the hair from the skin's dorsolateral flank area. Two paravertebral long incisions were made onto the skin on either side of the midline, about 1.5 cm apart. Every 5 cm long incision was closed with interrupted sutures (at 0.5 cm intervals) using surgical silk suture (size 3X0) and a curved needle (No. 11). Starting on the day of the operation and continuing until the ninth day, the produced hydrogel and drug-loaded hydrogel were topically administered to the wound region of the animals in the respective groups. On the ninth day, the sutures were removed out, and a tensiometer was used to measure the healed wound's skin tensile strength [23].
Tensile strength measurement
Skin-breaking strength provides comprehensive information on the extent of wound healing and is a key measure of the tensile strength of wound tissues. The minimal force necessary to break the incision is used to determine the healed wound's breaking strength. Tensile strength is simply the ability of a healed tissue to withstand strain without breaking, which can reveal something about the quality of the restored tissue. After wounding sutures were removed on the 9th day, the tensile strength was measured. On postoperative day nine, following the removal of skin sutures, one side of the wound was stabilized while gradually increasing weight was applied to the other. Using the method of Kuwano et al. (1994) the breaking strength was calculated as the weight that totally separated the incision line from the wound skin [24]. The mean breaking strength of each paravertebral incision made on either side of animal was measured separately.
Dead space wound creation
This model was applied to the study of granuloma tissue to estimate biochemical parameters and determine the dry granulation weight. Light ether was used to anesthetize the animals, and a polypropylene tube (2.0 x 0.5) was implanted on either side in the lumber region of the dorsal surface of the animals to create the wound. The granuloma tissue that had developed on the implanted tube was carefully removed on the ninth post-wounding day. Tube-derived granuloma tissue was dried at 60 °C and preserved in 10% formalin for the assessment of biochemical parameters [25]. The protein content, hydroxyproline content and antioxidant assay were determined in the granuloma tissues.
Hydroxyproline content determination
The collagen fibers of granulation tissues contain the type of amino acid known as hydroxyproline. It provides details on the rate of wound healing, which is occurring in the connective tissue of the wound. In order to estimate the amount of hydroxyproline, wound tissues were removed, dried to a consistent weight in a hot air oven at 60–70 °C, and then hydrolyzed in 6N HCl at 130 °C for 4 h in sealed glass tubes. The term "hydrolysate" refers to the hydrolyzed wound tissue. After being brought to pH 7.0, it underwent 20 min of Chloramine-T oxidation. The reaction was terminated by the addition of 0.4 M perchloric acid. Ehrlich reagent at 60 °C used to get the color. A UV spectrophotometer was used to detect the absorbance at 557 nm to determine the amount of hydroxyproline present in the samples as ug/mg of dry tissue weight [26].
Protein content determination
On the ninth post-injury day, the method of Lowry et al. (1951) was used to obtain a sample of skin tissue and determine the protein concentration [27]. Sodium tartrate, copper sulphate, and sodium carbonate were used to treat the tissue lysate. After the mixture was given enough time to stand for 10 min, Folin-Ciocalteau reagent was applied. It gives a bluish color in 20–30 min. The absorbance was measured at 650 nm using Spectrophotometer.
Antioxidants assay
Low levels of reactive oxygen species (ROS) were created during the inflammatory phase to defend against invasive infections and send intracellular signaling. The overproduction of reactive oxygen species may harm proteins and DNA, which would prevent the chronic wound from healing. Therefore, we looked into the antioxidant test in tissues that had been injured.
Granuloma tissue samples were taken from full-thickness wounds and treated to an antioxidant assay for the antioxidant investigation. One portion of the granuloma tissue from the dead space wound model was used for the antioxidant assay. Using method of Beers and Sizer (1952) [28], catalase was calculated after hydrogen peroxide was broken down. Superoxide dismutase (SOD) was assayed according to Misra and Fridovich (1972) [29] based on the inhibition of epinephrine autoxidation by the enzyme. Reduced glutathione (GSH) content was determined in granuloma tissue by the method of Moron et al., (1979) [30]. Tissue homogenates were precipitated immediately with 0.1 ml of 25% TCA and centrifugation technique was used for separation. The assay of free-SH groups in 3 ml of sample done by the addition of 2 ml of 0.6 mmol 5,5′-dithiobis-(2-nitrobenzoic acid (DTNB) and 0.9 ml 0.2 mmol sodium phosphate buffer (pH 8.0) to 0.1 ml of the supernatant and the absorbance was read at 412 nm using a UV spectrophotometer.
Histopathological study
For a histopathological study, one piece of tissue from animals used to create an incision wound model was employed. After nine days following therapy, little fragments of the wound tissue sample from each group were taken. Skin samples were treated, embedded in paraffin, and then cut into 6 µm thick slices after being immediately fixed in 10% buffered formalin. Hematoxylin and eosin (HE) stains were used to stain it. A light microscope was used to study the tissues [31].
Statistical analysis
Statistical analysis of all results were done by one-way analysis of variance (ANOVA) using GraphPad Prism 5 software, followed by Bonferroni comparison test for significance. The results were considered statistical significance at p<0.05.
Characterization of prepared hydrogels
Swelling behavior
The swelling ratio of prepared hydrogels was compared and highest swelling ratio of gellan gum glycol chitosan hydrogel (GG-GC-HGs) with optimized formulation F4 was observed rather than plane glycol chitosan and gellan gum hydrogel (fig. 1). Higher swelling ratio of GG-GC-HGs at 180 min was indicating the higher water absorption capacity of hydrogel. An indicator of hydrogel drug uptake is the study of swelling rate. The progressive increase in swelling ratio over time was seen, which may have been caused by glycol chitosan addition. Glycol groups in GCs have been shown to become more hydrophilic with time [8]. In addition, greater swelling ratio of hydrogel in phosphate buffer (pH 7.4) was due to repulsion of fully negatively charged-COO groups of gellan gum [32]. The development of a dry wound bed using hydrogels with high swelling ratios can absorb a moderate quantity of wound exudates via swelling. This speeds up the healing process [33]. Baicalein-loaded gellan gum glycol chitosan hydrogels exhibited higher swelling ratio in phosphate buffer pH 7.4, it could be beneficial for wound healing process. Higher swelling ratio also confirms about good porous nature of hydrogel having larger surface area.

Fig. 1: Swelling ratio of different hydrogels formulation at different time interval
Drug release study. Results are expressed as mean of triplicate
The primary need known as hydrogel biocompatibility and it is the most important qualities is the hydrogel's capacity to carry out its intended function without any adverse effects [34]. Initially rapid release of Baicalein was observed from hydrogel followed by constant release over a prolonged period of time. It was found that that about 85.03% of Baicalein was released after 12 h (fig. 2). Therefore, it can be concluded that prepared hydrogels control the release of the drug over period of time. Due to its advantageous qualities, including hydrophilicity, biocompatibility, and programmable mechanical properties, hydrogels are widely employed for the controlled release of medicines [35]. It was noted that the rate of drug release is dependent on the water content of the swollen HGs and that the extended release of the medication is connected to larger swelling of the terminal Gellan Gum in PBS (pH 7.4) [27]. The very porous structure makes it simple to load pharmaceuticals into the gel matrix, where they are then released at a pace determined by the small molecule or macromolecule's diffusion coefficient across the gel network [36]. Its chemical purity, physical and mechanical properties make most promising wound-healing material.

Fig. 2: Percentage release study of baicalein from prepared hydrogel formulations
Rheological studies results are expressed as mean of triplicate
Results of rheological studies of prepared hydrogel at various shear rates were observed that there was an inverse relationship between shear rate and viscosity of hydrogel (fig. 3). It was clear that as the shear rate increased the viscosity of hydrogel decreased and vice versa. The viscosity of hydrogels is modified due to the presence of gellan gum. It may be due to interaction between two matrix. Due to the normal shear thinning tendency, the hydrogels were found to belong to a non-Newtonian pseudo-plastic fluid as their viscosity decreased with regard to an increase in shear rate. The best hydrogel rheological characteristics increase the hydrogel's bioavailability by extending its retention duration on the skin's surface.

Fig. 3: Rheological observations of prepared hydrogel formulations. Results are expressed as mean of triplicate
Surface morphological study
Morphological study of prepared hydrogels was done using Field emission scanning electron microscopy (FESEM). Photomicrograph of different hydrogels confirm that Baicalein-loaded gellan gum glycol chitosan hydrogel possessed the continuous and porous structure. All observed pores were found to be uniform with smooth walls (fig. 4). The pores within macroporous hydrogels were found to be within 50μm. The smaller pore size confirms about greater degree of linking between polymers in developed hydrogel. Because of its porous structure, hydrogel can help cells repair by giving them oxygen and nutrients. According to Naghizadeh et al. (2018) [37], the hydrogel's linked and mutually penetrating pores give it a high permeability for nutrients, which supports cellular growth during healing process.

Fig. 4: Photomicrograph of FE-SEM: (a) GG-GC (0.5%w/v) hydrogel (Magnification: 10k X); (b) BCA loaded GG-GC (0.5%w/v) hydrogel (F4) (Magnification: 5k X)
Stability study
Data from stability studies shows no significant differences in physical appearance, pH, viscosity, and drug content of hydrogel. Hydrogels found to be stable even after exposure to accelerated temperature and humidity conditions for a period of 3 mo.
Data obtained from stability studies of hydrogel showed that loss of less than 1% of drug content in first month under room temperature and around 2 to 3% in 3 mo. This loss was also acceptable in case of accelerated conditions, lost more than 2-3% drug in 1 mo and around 4-5% in 3 mo (table 1).
Drug entrapment efficiency
The drug entrapment efficiency of optimized prepared baicalein hydrogel was found to be 89.78±2.07%. It was noted that drug entrapment increased with increasing the concentration up to certain limit. The entrapment efficiency of hydrogel was increased from 59.12±1.02% to 89.78±2.07% when concentration of baicalein was increased loaded amount also increases (table 2). The enhancement of drug entrapment efficiency could be the formation of higher linking density. In addition, higher entrapment efficacy of formulation F4 may be due to higher content of polymer. Increase in drug entrapment efficiency with an increasing amount of baicalein may be due to greater hydrogen bonding interaction between drug and polymer.
Table 1: Effect of storage on %residual drug content of prepared hydrogel
| Formulations | % Residual drug content | |||
| Room temperature 25±0.2 °C; 60%±5% | Accelerated conditions 40±2 °C; 75±5% | |||
| 1 Mo | 3 Mo | 1 Mo | 3 Mo | |
| F4 | 99.19±2.20 | 97.84±2.29 | 98.57±2.13 | 95.34±2.09 |
| Free BCA | 99.27±2.62 | 99.31±2.75 | 99.24±2.45 | 99.33±2.55 |
n=5, Data represented as mean±SD
Table 2: Drug entrapment efficacy of prepared hydrogel formulations
| Formulations | % Entrapment efficacy |
| F1 | 59.12±1.02 |
| F2 | 68.03±2. 01 |
| F3 | 80.78±2. 37 |
| F4 | 89.78±2. 07 |
n=5, Data represented as mean±SD
Wound healing activity
Effect of different hydrogels on tensile strength of incision wound
The most important step in dermal wound healing is the progressive increase in the biomechanical strength of the tissue. The tensile strength was measured on 8th day of incision in the incision wound healing model. The tensile strength in the treated animals was significantly greater (584.06±10.23) than that of the untreated animals (330.07±8.16), which marks the increase in collagen synthesis due to treatment with drug-loaded hydrogel (table 3). In the incision wound studies, the tensile strength was significantly increased and found comparable to the reference group.
Table 3: Effect of prepared hydrogels on tensile strength of incision wound-treated animals
| Treatment groups | Tensile strength (g/cm2) |
| GG-GC (0.5%w/v) hydrogel | 330.07±8.16 |
| BCA loaded GG-GC (0.5%w/v) hydrogel (F4) | 584.06±10.23* |
| Hydroheal Gel (Reference) | 594.37±11.37 |
n=5, Data represented as mean±SD, If *p<0.05, value was considered significant
Effect of prepared hydrogels on biochemical parameters
Content of hydroxyproline in the group treated with BCA-loaded GG-GC hydrogel (67.37±1.52 mg/g tissue) showed a significant increase as compared with control group (34.19±0.75 mg/g tissue). Increased level of hydroxyproline indicated rapid healing of treated wound (table 4). It also indicates faster collagen synthesis [23]. Hydroxyproline is major component of collagen that provides strength to the wound tissue.
The protein content represents the level of protein synthesis and cellular proliferation. Cellular proliferation is accelerated by higher protein levels, and this process is accelerated by higher protein content via an unidentified mechanism. The protein content for animal treated with baicalein hydrogel was 71.64±2.63, while for animal treated with vehicle control hydrogel was 49.73±1.89 (table 4). Increased level of protein contents of the wounds treated with Baicalein-loaded hydrogel showed that Baicalein accelerate of cellular proliferation.
Table 4: Effect of prepared hydrogels on protein and hydroxyproline content of dead space wound animals
| Treatment groups | Protein content (mg/g tissue) | Hydroxyproline (mg/g tissue) |
| GG-GC (0.5%w/v) hydrogel | 49.76±1.89 | 34.19±0.75 |
| BCA loaded GG-GC (0.5%w/v) hydrogel (F4) | 81.67±2.53* | 67.37±1.52* |
| Hydroheal Gel (Reference) | 84.14±2.27 | 71.14±2.63 |
n=5, Data represented as mean±SD, If *p<0.05, value was considered significant
Table 5: Effect of prepared hydrogels on antioxidants level of dead space wound treated animals
| Treatment groups | Antioxidant status | Granuloma weight (mg) | ||
| SOD (μg/50 mg tissue) | CAT (μmol/50 mg tissue) | GSH (μmol/50 mg tissue) | ||
| GG-GC (0.5%w/v) hydrogel | 12.69±0.64 | 21.41±0.47 | 17.22±0.88 | 54.68±1.85 |
| BCA loaded GG-GC (0.5%w/v) hydrogel (F4) | 34.57±0.78* | 43.57±1.75* | 38. 27±0.83* | 94.57±2.24* |
| Hydroheal Gel (Reference) | 38.45±1.86 | 41.19±1.52 | 35.18±1.76 | 98.28±2.62 |
n=5, Data represented as mean±SD, If *p<0.05, value was considered significant
Effect on antioxidants status in dead Space Wound Model
Increased level of antioxidants SOD and catalase were found in granuloma tissue treated with Baicalein-loaded hydrogel (table 5). This increased level of antioxidants shows that Baicalein possess strong antioxidant activity. Whenever level of oxidized glutathione rises it indicates that more amount of reduced glutathione is utilized for the breakdown of free radical. The breakdown of free radicals by reduced glutathione leads to its own oxidation, which raises the quantity of oxidized glutathione. Increased antioxidant levels have been found to speed up wound healing by scavenging free radicals [38].
Histopathological observations
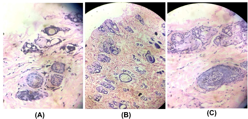
Histopathological studies assisted the wound healing activity of Baicalein-loaded hydrogel. For the wounds, hydrogels were discovered to be highly effective since efficient original tissue regeneration was seen.
Below to the freshly created epidermis, a small number of macrophages and lymphocytes were seen. Additionally, the fibrous tissue that filled the dermis defect was visible. According to a histological examination, the drug-treated group had much more epithelialization, while the granuloma study exhibited greater proliferating capillaries and fibroblastic collagenous connective tissue than the control group. It was found that the original tissue regeneration was higher in the wound treated with Baicalein loaded hydrogel and reference group without any edema and congestion. In comparison to wounds treated with conventional formulation, the fibrosis was significantly reduced in wounds treated with baicalein loaded hydrogel. In the vehicle control group, a very slow dermal modeling process was observed, which was confirmed by the lower epithelialization time. Incomplete wound healing was evident in the granulation tissue section of control animals, which displayed lower levels of epithelialization, fibrosis, and macrophage aggregation with fewer collagen fibers. When wound is treated with baicalein-loaded hydrogel, it resulted into reduced healing time.

Fig. 5: Photomicrograph of histology of skin tissues collected from different animal groups in the incision wound model: (A) GG-GC (0.5%w/v) hydrogel, (B) BCA loaded GG-GC (0.5%w/v) hydrogel, (C) Hydroheal Gel (Reference); Magnification: 100x
Epithelialization is an important phenomenon in wound healing. Therefore, baicalein's effect on wound contraction and epithelialization suggests that it may speed up the migration and proliferation of epithelial cells. It also causes the formation, migration, and activity of fibroblasts, suggesting that it may be involved in the processes connected in tissue regeneration. In the process of wound healing it is also important to control the inflammation and oxidation. According to earlier research [6], baicalein has strong anti-oxidant activity and demonstrates anti-inflammatory action via binding to chemokines, which could protect cells from oxidative damage and speed up the healing process.
According to the histology findings, baicalein showed higher collagen synthesis and deposition during the wound treatment, whereas the control group showed rate of collagen fiber synthesis and deposition in wounds was the lowest. It could be concluded that the rate of collagen synthesis was enhanced by the presence of baicalein in hydrogel. Baicalein is a flavonoid and found to possess broad range of pharmacological activities such as antioxidant, antibacterial, anti-inflammatory [39], antibacterial and antiallergic that support to potent healing effect [40]. The experimental findings revealed the wound-healing potential of Baicalein through enhances breaking strength of this healed wound.
In the present study biodegradable hydrogel was fabricated using glycol chitosan and Gellan gum using calcium chloride as chemical crosslinker. SEM study confirmed better porous and continuous structure of hydrogel. The prepared hydrogel demonstrated high drug entrapment effectiveness, smart swelling, and controlled delivery, all of which are crucial requirements to maintain wound hydration while undergoing treatment. Additional proof of improved collagen synthesis and deposition during the wound treatment period was supplied by the histological evaluation. High hydroxyproline content, protein levels, and improved tensile strength are proof that hydrogel stimulates extracellular matrix remodeling and expedites wound healing. The data from the current study demonstrate that improved good biocompatibility and feasibility of Baicalein hydrogel suitable for efficient wound healing.
Nil
All authors are contributed equally.
Declared none
Ahmed AS, Mandal UK, Taher M, Susanti D, Jaffri JM. PVA-PEG physically cross-linked hydrogel film as a wound dressing: experimental design and optimization. Pharm Dev Technol. 2018;23(8):751-60. doi: 10.1080/10837450.2017.1295067, PMID 28378604.
Bagher Z, Ehterami A, Safdel MH, Khastar H, Semiari H, Asefnejad A. Wound healing with alginate/chitosan hydrogel containing hesperidin in rat model. J Drug Deliv Sci Technol. 2020;55:101379. doi: 10.1016/j.jddst.2019.101379.
Muchova M, Munster L, Capakova Z, Mikulcova V, Kuritka I, Vicha J. Design of dialdehyde cellulose crosslinked poly(vinyl alcohol) hydrogels for transdermal drug delivery and wound dressings. Mater Sci Eng C Mater Biol Appl. 2020;116:111242. doi: 10.1016/j.msec.2020.111242, PMID 32806291.
Kaparekar PS, Poddar N, Anandasadagopan SK. Fabrication and characterization of chrysin-a plant polyphenol loaded alginate-chitosan composite for wound healing application. Colloids Surf B Biointerfaces. 2021;206:111922. doi: 10.1016/j.colsurfb.2021.111922, PMID 34157519.
Op ’t Veld RC, Walboomers XF, Jansen JA, Wagener FADTG. Design considerations for hydrogel wound dressings: strategic and molecular advances. Tissue Eng Part B Rev. 2020;26(3):230-48. doi: 10.1089/ten.TEB.2019.0281, PMID 31928151.
Liu G, Bao Z, Wu J. Injectable baicalin/F127 hydrogel with antioxidant activity for enhanced wound healing. Chin Chem Lett. 2020;31(7):1817-21. doi: 10.1016/j.cclet.2020.03.005.
Das S, Kumar V, Tiwari R, Singh L, Singh S. Recent advances in hydrogels for biomedical applications. Asian J Pharm Clin Res. 2018;11(11):62-8. doi: 10.22159/ajpcr.2018.v11i11.27921.
Lee S, Choi JH, Park A, Rim M, Youn J, Lee W. Advanced gellan gum-based glycol chitosan hydrogel for cartilage tissue engineering biomaterial. Int J Biol Macromol. 2020;158:452-60. doi: 10.1016/j.ijbiomac.2020.04.135, PMID 32335106.
Gohil SV, Padmanabhan A, Kan HM, Khanal M, Nair LS. Degradation-dependent protein release from enzyme-sensitive injectable glycol chitosan hydrogel. Tissue Eng Part A. 2021;27(13-14):867-80. doi: 10.1089/ten.TEA.2020.0124, PMID 32940146.
Zhang X, Pan Y, Li S, Xing L, Du S, Yuan G. Doubly crosslinked biodegradable hydrogels based on gellan gum and chitosan for drug delivery and wound dressing. Int J Biol Macromol. 2020;164:2204-14. doi: 10.1016/j.ijbiomac.2020.08.093, PMID 32798543.
Nair AB, Shah J, Aljaeid BM, Al-Dhubiab BE, Jacob S. Gellan gum-based hydrogel for the transdermal delivery of nebivolol: optimization and evaluation. Polymers (Basel). 2019;11(10):1699. doi: 10.3390/polym11101699, PMID 31623262.
Wei S, Xie J, Luo Y, Ma Y, Tang S, Yue P. Hyaluronic acid based nanocrystals hydrogels for enhanced topical delivery of drug: a case study. Carbohydr Polym. 2018;202:64-71. doi: 10.1016/j.carbpol.2018.08.112, PMID 30287044.
Barbosa AI, Torres TB, Lima SAC, Reis S. Hydrogels: a promising vehicle for the topical management of atopic dermatitis. Advanced Therapeutics. 2021;4(7):2100028. doi: 10.1002/adtp.202100028.
Haider M, Hassan MA, Ahmed IS, Shamma R. Thermogelling platform for baicalin delivery for versatile biomedical applications. Mol Pharm. 2018;15(8):3478-88. doi: 10.1021/acs.molpharmaceut.8b00480, PMID 29953815.
Zhou Q, Zhong L, Wei X, Dou W, Chou G, Wang Z. Baicalein and hydroxypropyl-γ-cyclodextrin complex in poloxamer thermal sensitive hydrogel for vaginal administration. Int J Pharm. 2013;454(1):125-34. doi: 10.1016/j.ijpharm.2013.07.006, PMID 23850236.
Kalaivanan P, Sivagnanam I, Rajamanickam M. Evaluation of wound healing activity of baicalein7-O-β-D-glucuronide isolated from leucas aspera. J Appl Pharm Sci. 2013;3(12):46-51. doi: 10.7324/JAPS.2013.31208.
Manconi M, Manca ML, Caddeo C, Cencetti C, di Meo C, Zoratto N. Preparation of gellan-cholesterol nanohydrogels embedding baicalin and evaluation of their wound healing activity. Eur J Pharm Biopharm. 2018;127:244-9. doi: 10.1016/j.ejpb.2018.02.015, PMID 29499300.
Mir Palomo S, Nacher A, Diez Sales O, Ofelia Vila Buso MA, Caddeo C, Manca ML. Inhibition of skin inflammation by baicalin ultradeformable vesicles. Int J Pharm. 2016;511(1):23-9. doi: 10.1016/j.ijpharm.2016.06.136, PMID 27374324.
Bashir S, Teo YY, Ramesh S, Ramesh K. Synthesis and characterization of karaya gum-g- poly (acrylic acid) hydrogels and in vitro release of hydrophobic quercetin. Polymer. 2018;147:108-20). doi: 10.1016/j.polymer.2018.05.071.
Pushpalatha R, Selvamuthukumar S, Kilimozhi D. Cyclodextrin nanosponge based hydrogel for the transdermal co-delivery of curcumin and resveratrol: development, optimization, in vitro and ex vivo evaluation. J Drug Deliv Sci Technol. 2019;52:55-64. doi: 10.1016/j.jddst.2019.04.025.
Qindeel M, Ahmed N, Sabir F, Khan S, Ur-Rehman A. Development of novel pH-sensitive nanoparticles loaded hydrogel for transdermal drug delivery. Drug Dev Ind Pharm. 2019;45(4):629-41. doi: 10.1080/03639045.2019.1569031, PMID 30633578.
Dey M, Ghosh B, Giri TK. Enhanced intestinal stability and pH-sensitive release of quercetin in GIT through gellan gum hydrogels. Colloids Surf B Biointerfaces. 2020;196:111341. doi: 10.1016/j.colsurfb.2020.111341, PMID 32916438.
Lodhi S, Jain AP, Rai G, Yadav AK. Preliminary investigation for wound healing and anti-inflammatory effects of Bambusa vulgaris leaves in rats. J Ayurveda Integr Med. 2016;7(1):14-22. doi: 10.1016/j.jaim.2015.07.001, PMID 27297505.
Kuwano H, Yano K, Ohno S, Ikebe M, Kitamura K, Toh Y. Dipyridamole inhibits early wound healing in rat skin incisions. J Surg Res. 1994;56(3):267-70. doi: 10.1006/jsre.1994.1042, PMID 8145544.
Shirwaikar A, Shenoy R, Udupa AL, Udupa SL, Shetty S. Wound healing property of ethanolic extract of leaves of Hyptis suaveolens with supportive role of antioxidant enzymes. Indian J Exp Biol. 2003;41(3):238-41, PMID 15267154.
Woessner JF. The determination of hydroxyproline in tissue and protein samples containing small proportions of this imino acid. Arch Biochem Biophys. 1961;93(2):440-7. doi: 10.1016/0003-9861(61)90291-0.
Lowry OH, Rosebrough NJ, Farr AL, Randall RJ. Protein measurement with the folin phenol reagent. J Biol Chem. 1951;193(1):265-75. doi: 10.1016/S0021-9258(19)52451-6, PMID 14907713.
Beers RF, Sizer IW. A spectrophotometric method for measuring the breakdown of hydrogen peroxide by catalase. J Biol Chem. 1952;195(1):133-40. doi: 10.1016/S0021-9258(19)50881-X, PMID 14938361.
Misra HP, Fridovich I. The role of superoxide anion in the autoxidation of epinephrine and a simple assay for superoxide dismutase. J Biol Chem. 1972;247(10):3170-5. doi: 10.1016/S0021-9258(19)45228-9, PMID 4623845.
Moron MS, Depierre JW, Mannervik B. Levels of glutathione, glutathione reductase and glutathione S-transferase activities in rat lung and liver. Biochim Biophys Acta. 1979;582(1):67-78. doi: 10.1016/0304-4165(79)90289-7, PMID 760819.
Mcmanus JF, Mowry RW. Staining methods histologic and histochemical. New York: Harper & Row; 1965.
Dahiya S, Rani R, Kumar S, Dhingra D, Dilbaghi N. Chitosan-gellan gum bipolymeric nanohydrogels-a potential nanocarrier for the delivery of epigallocatechin gallate. BioNanoSci. 2017;7(3):508-20. doi: 10.1007/s12668-017-0416-0.
El-Kased RF, Amer RI, Attia D, Elmazar MM. Honey-based hydrogel: in vitro and comparative in vivo evaluation for burn wound healing. Sci Rep. 2017;7(1):9692. doi: 10.1038/s41598-017-08771-8, PMID 28851905.
Gupta A, Kowalczuk M, Heaselgrave W, Britland ST, Martin C, Radecka I. The production and application of hydrogels for wound management: a review. Eur Polym J. 2019;111:134-51. doi: 10.1016/j.eurpolymj.2018.12.019.
Han N, Johnson J, Lannutti JJ, Winter JO. Hydrogel-electrospun fiber composite materials for hydrophilic protein release. J Control Release. 2012;158(1):165-70. doi: 10.1016/j.jconrel.2011.09.094, PMID 22001869.
Hoare TR, Kohane DS. Hydrogels in drug delivery: progress and challenges. Polymer. 2008;49(8):1993-2007. doi: 10.1016/j.polymer.2008.01.027.
Naghizadeh Z, Karkhaneh A, Khojasteh A. Self-crosslinking effect of chitosan and gelatin on alginate based hydrogels: injectable in situ forming scaffolds. Mater Sci Eng C Mater Biol Appl. 2018;89:256-64. doi: 10.1016/j.msec.2018.04.018, PMID 29752097.
Gupta RK, Kumar S, Trivedi A, Verma R, Yogesh. Vitamin C and its role in body. Int J Pharm Pharm Sci. 2022;14(2):1-5. doi: 10.22159/ijpps.2022v14i2.43394.
Li BQ, Fu T, Gong WH, Dunlop N, Kung H, Yan Y. The flavonoid baicalin exhibits anti-inflammatory activity by binding to chemokines. Immunopharmacology. 2000;49(3):295-306. doi: 10.1016/S0162-3109(00)00244-7.
Hu Z, Guan Y, Hu W, Xu Z, Ishfaq M. An overview of pharmacological activities of baicalin and its aglycone baicalein: new insights into molecular mechanisms and signaling pathways. Iran J Basic Med Sci. 2022;25(1):14-26. doi: 10.22038/IJBMS.2022.60380.13381, PMID 35656442.