
1Jawaharlal Nehru Technological University, Kukatpally, Hyderabad-500085, Telangana, India. 2Department of Pharmaceutics, Nalla Narasimha Reddy Education Society’s Group of Institutions-School of Pharmacy, Ghatkesar (M), Hyderabad-500088, Telangana, India. 3Department of Pharmaceutical Chemistry, JNTUH College of Pharmacy, Sultanpur-502273 Sangareddy, Telangana, India. 4Department of Pharmaceutical Chemistry, Teegala Krishna Reddy College of Pharmacy, Meerpet, Hyderabad-500097, Telangana, India
*Corresponding author: Swapna Neela; *Email: swapnaneela1982@gmail.com
Received: 15 Oct 2023, Revised and Accepted: 16 Nov 2023
ABSTRACT
Objective: The main objective of the current research was to prepare herbal emulgel and analyze the effect of herbal formulation in the treatment of acne.
Methods: The plants Tabernaemontana coronaria and Thunbergia alata were selected for the study because of folklore for their medicinal values. The T. coronaria and T. alata test extracts were prepared by soxhlet extraction procedure and subjected to physico-chemical evaluation. The formulated herbal emulgels prepared by dispersion technique were investigated for anti-acne properties by in vitro and in vivo methods. The prepared emulgel formulations were assessed for parameters like viscosity, spreadability, pH, content uniformity, stickiness, zeta potential, particle size, surface morphology, and in vitro diffusion studies.
Results: The physico-chemical evaluation of herbal gel revealed that emulgel appeared light green in colour, opaque, and odourless with smooth texture. The emulgels of both the test extracts showed no stickiness, and revealed pH ranging from 5.467±0.13 to 5.889±0.1. When the shear rate was increased, there was a decrease in the viscosity of the test emulgels, with good extrudability. The content uniformity of F5 emulgel for T. coronaria and T. alatawas 99%, and spreadibilty was more with F7 formulation of T. coronaria and F6 formulation of T. alata, respectively. In the stability testing studies, amongst all the formulations prepared, F5 was found to be stable upon storage for six months. In vitro studies, F5 formulation of both the test extracts had a remarkable zone of inhibition; whereas F5 formulation treated histopathological sections in in vivo investigation displayed a decline in the overall damage induced by Propionibacterium acnes. The results showed no statistical significant difference for measurement of zone of inhibition and histopthological studies between the test formulations and standard drug.
Conclusion: The study concludes that both herbal formulations were promising agents for the treatment of acne vulgaris.
Keywords: T. coronaria, T. alata, Anti-acne emulgels, In vivo studies, Anti-bacterial effect
© 2024 The Authors. Published by Innovare Academic Sciences Pvt Ltd. This is an open access article under the CC BY license (https://creativecommons.org/licenses/by/4.0/)
DOI: https://dx.doi.org/10.22159/ijap.2024v16i1.49671 Journal homepage: https://innovareacademics.in/journals/index.php/ijap
According to estimates, 80–95 percent of all teenagers will experience acne at some time in their lifetime, and in some cases, the condition will persist till they become adults and might continue [1]. Male and female are both equally susceptible to the genetic factors that contribute to the development of acne, albeit males often have more severe instances. Acne is more common in teenagers than in any other age group. This is due to the fact that throughout puberty, hormone release increases the sebaceous glands output and the pace of skin-cell turnover in the follicles [2]. Dead cells in the skin and hair follicles in conjunction with oil lead to the formation of acne, that are visualized in the prime areas such as the face, chest region, forehead, backside, and shoulders [3]. Additionally, there exists a chronic inflammatory lesion, seborrhoea generation, and nodules. Research studies revealed that the presence of bacteria is responsible for the pathogenesis of acne formation, the species are Staphylococcus aureus, Propionibacterium acnes and Staphylococcus epidermidis, out of which P. acnes is a gm+ve bacteria that grows within and also cause for the inflammatory acne. P. acnes have the capacity to activate the complements and let sebaceous triglycerides metabolize into fatty acids, thereby captivating the neutrophils. Furthermore, the aerobic bacteria Staphylococcus species remained to blame for the infections which are superficial [4].
As a part of treatment for acne, currently, topical applications like benzoyl peroxide, retinoids, antibiotics such as clindamycin and oral medications like retinoids are available. Antibiotics of tetracycline and macrolides classes are also preferred, in case of severity; drugs are combined and used [5]. Although antibiotics can stop acne-related inflammation and target P. acnes, the discovery of innovative treatment drugs is a mandate due to P. acnes and other acne-forming bacterial species developing antibiotic resistance. Overuse of antibiotics for extended periods of time has created resistance in the bacteria that cause acne, such as P. acnes, S. epidermidis, and S. aureus. The unique nature of the association between bacteria and antibiotics, the method of use, host features, and environmental variables are some of the several elements that contribute to the development of antibiotic resistance [6]. In this regard, natural components that have been employed in conventional medical practices, such as various plant parts, spices and condiments, and minerals, could be investigated as potent sources for new anti-acne treatments. Anti-acne formulations come in a variety of forms, including microspheres, patches, gels, and tablets [7]. Emulgels have also been used as anti‑acne systems. Anti-acne gels provide a number of benefits, including the ease with which they may be administered across wider surface areas, removed, and improved for absorption. Pure biological polymer and pure synthetic polymer properties alone are frequently inadequate for the production of materials with a good combination of biological, thermal, mechanical, and chemical characteristics. Natural gelling agents like gum tragacanth, gum acacia, and gellan gum have been shown to be rather less effective than synthetic gelling agents like polyvinyl pyrrolidone, carboxymethyl cellulose, and carbopol. Smaller doses of synthetic gelling agents may be combined with natural agents to enhance their gelling properties, resulting in formulations that have prolonged and better action [8].
A perennial bush with a 3-meter named Tabernaemontana coronaria, belonged to the Family Apocynaceae. The elongated, wavy green leaves that emerge are dull and glossy. The plant is decorative as well as having a colossal number of alkaloids [9]. Plant parts are detailed to have different phenolic compounds, glycosides, steroids and terpenoids [10]. In conventional medicine, it is utilized to treat wind and scorpion biting, sore eyes, gastric issues, inflammations, skin diseases, cancer, and hypertension [11, 12].
The evergreen vine Thunbergia alata, belonging to the Acanthaceae family, may grow to a height of 1 to 5 meters and is cultivated from seeds. The flowers bloom all year and range in hue from yellow to orange. The fruits are compressed globular capsules with four seeds that ripen throughout the calendar year. The plant was found in both the Western and Eastern Ghats. T. alata was identified as a crucial traditional medicine for inflammations, fevers, dysentery, coughs, pains and skin infections. T. alata's phytochemical analysis indicated an abundance of polyphenolic substances and glycosides [13, 14].
In the current global scenario acne has been a popular skin disease associated with all ages and genders. The herbal formulations were known as the best suitable components which would improve the disease condition without showing any side effects. The T. coronaria and T. alata were mentioned in the literature as a good herbal source to treat acne. Hence, the goal of the current study was to formulate and assess an anti-acne emulgel from an ethanolic extract of T. coronaria and T. alata.
Procurement of chemicals clove oil, ethyl paraben, propylene glycol, Span 20, Tween 20, liquid paraffin, and Carbapol 940 were obtained from SD Fine Chemicals, Mumbai, India.
Collection of plant material
Leaves of T. coronaria and T. alata were gathered from rural Tirupati and Chittoor. Dr. K. Venkata Ratnam, Department of Botany, Rayalaseema University, Kurnool, authenticated leaves and voucher specimens were provided (RU/BD/VSN-142 and 163) for future use.
Preliminary phytochemical screening
The two plants extract of T. coronaria and T. alata were screened for the presence of phytochemical constituents. T. coronaria was detected with amino acids, proteins, phenols, alkaloids, flavonoids, terpenoids, tannins, saponins, and glycosides whilst T. alata had alkaloids, flavonoids, phenolics and glucosides [15].
Preparation of extracts
T. alata and T. coronaria leaves were gathered and shade-dried. The powdered dried leaves were then effectively extracted with ethanol using the Soxhlet. To acquire the solid extract, the solvent was evaporated to dryness, and the % yield was determined [13, 16].
Method of preparation of emulgel
As indicated in table 1, formulations with varying ingredient quantities were prepared; dispersion technique was used to prepare emugels. The cold water was used to dissolve carbopol-940 by continuous agitation at a modest speed to obtain a homogenous mixture, which was used to produce the gel part of the emulgel. Triethanolamine was then used to bring the pH to 6-6.5. To make the emulsion’s aqueous phase, tween 20 was solubilized in distilled water, whereas span 20 was solubilized in liquid paraffin to prepare the emulsion’s oil phase. Methyl and ethyl paraben were dissolved in propylene glycol to preserve the emulsion, and the extracts were dissolved in ethanol before being combined with the aqueous phase. Mentha oil and clove oil were combined in the oil phase. The oil phase and the aqueous phase were heated separately at 70 °C in a water bath. The aqueous phase was then continuously stirred with a homogenizer (Remi Motors, RQ127 A), for 10 min at a speed of 3000 rpm before being cooled to room temperature. To produce emulgel, the gel and emulsion components were ultimately blended in a 1:1 ratio while being stirred gently [17, 18].
Table 1: Composition of various emulgel formulation batches (%w/w)
| Ingredients | F1 | F2 | F3 | F4 | F5 | F6 | F7 |
| EETA/EETC | 0.25 | 0.5 | 0.75 | 1.0 | 1.25 | 1.5 | 1.75 |
| Carbapol 940 | 1 | 1 | 1 | 1 | 1 | 1 | 1 |
| Methyl Paraben | 0.03 | 0.03 | 0.03 | 0.03 | 0.03 | 0.03 | 0.03 |
| Ethanol | 2.5 | 2.5 | 2.5 | 2.5 | 2.5 | 2.5 | 2.5 |
| Propylene glycol | 5 | 5 | 5 | 5 | 5 | 5 | 5 |
| Span 20 | 1 | 1 | 1 | 1 | 1 | 1 | 1 |
| Tween 20 | 0.5 | 0.5 | 0.5 | 0.5 | 0.5 | 0.5 | 0.5 |
| Liquid paraffin | 7.5 | 7.5 | 7.5 | 7.5 | 7.5 | 7.5 | 7.5 |
| Ethyl Paraben | 0.11 | 0.11 | 0.11 | 0.11 | 0.11 | 0.11 | 0.11 |
| Clove oil | ---- | 2 | --- | 4 | 6 | 8 | 10 |
| Mentha oil | 10 | 8 | --- | ----- | 6 | 4 | 2 |
| Water | q. s | q. s | q. s | q. s | q. s | q. s | q. s |
EETA: Ethanolic extract of Thunbergia alata; EETC: Ethanolic extract of Tabernaemontana coronaria
Characterization and evaluation of topical emulgel
Physicochemical evaluation
Loss on drying
About 1 g of the formulation was weighed and dried for 3 h at a temperature between 100 °C and 105 °C. Test materials were well combined and weighed. The sample was placed in a bottle, with a cap, and the container and contents were precisely weighed by moderate and sideways shake. The sample was distributed to a depth of about 5 mm. In the drying chamber, with the bottle loaded, the sample was dried at the designated temperature. After the chamber is opened, immediately the bottle was sealed and waited to attain room temperature in desiccators before weighing. A weight difference of no more than 0.5 mg was observed between consecutive weights. The formula was used to determine loss on drying [19].

Where, W1 = Weight of empty weighing bottle, W2 = Weight of weighing bottle+sample, W3 = Weight of weighing bottle+dried sample.
Stickiness
Little amount of emulgel was applied and observed for the presence or lack of stickiness, the stickiness was thus tested [20].
pH determination
Evaluation of pH is a crucial factor, particularly for topical formulations. To mimic the skin condition, the pH of the emulgel should be between 5 and 7. It may irritate the patient if the prepared emulgel has an acidic or basic pH. By using a digital pH meter (ELICO LI 613), emulgel's pH was measured. 1 g of emulgel was dissolved in 100 ml of distilled water, and then was applied to the glass electrode. Each formulation's pH was measured three times, with the average readings being computed [21].
Viscosity
By utilizing Brookfield viscometer, emulgel’s viscosity was determined [22].
Extrudability test
The herbal emulgel formulations were filled in standard caped collapsible lami-tube and sealed. The tube was weight was recorded. The tube was clamped after being positioned between two glass slides. The cap was opened after a 500 g weight was placed over the glass slide. The amount of emulgel was collected and weighed. The % of emulgel extruded was calculated; and grades were allotted (+++excellent, ++Very good,+Good).
Spreadability
Spreadability was assessed using the "drag" and "sleep" approach. On this block, a ground glass slide was affixed. Two grams of test emulgel were applied to this slide. After that, an additional glass slide with a hook and the same fixed ground side dimension was placed between these two slides, containing the emulgel. The top of this slide was then loaded with weight (40 g). The top slide's time (in seconds) to travel a distance of 6 cm was recorded [23].
The spreadability was then determined using the formula:

Where, T-Time (sec); L-The glass’s length (6 cm); M-Weight tied to the upper slide (40g); S–Spreadability [24].
Extract uniformity
A USP standard for the emulgel formulation was extract uniformity. The upper, middle, and end portions of the sample were taken from the filled tube to estimate the content’s uniformity using the UV analysis method. In this instance, 2 g of anti-acne emulgel was mixed with 100 ml of propylene glycol. To this, 2 ml of the sample was added from the previously prepared solution. Propylene glycol was utilized as a blank solution, and the aforementioned concentration solutions were scanned by means of a UV spectrophotometer across 280 and 360 nm [25, 26].

In vitro drug release
An in vitro drug permeation study was done by means of franz diffusion cell which consisted of two compartments (cells). Upper cell was donor with two open ends, while the lower cell had only one open end (15 ml). Himedia dialysis membrane, which was soaked previously in warm water, was used to cover one end of the donor compartment. A magnetic bead was noticed in receptor cell; temperature was maintained in both the compartments at 37 °C using thermostat. Receptor cell had a phosphate buffer (7.4). A quantity of 5 ml of each formulation was placed on the diffusion cell, out of which 3 ml was withdrawn at each time interval. During such transfer, fresh media was used each time to maintain sink condition. The samples were analysed for drug content using a UV-Visible spectrophotometer at 212 nm at different time intervals–0, 30, 60, 90, 120,150, 240 and 360 min [27].
Skin irritation test (Patch test)
This particular test was carried out on 2-3 mo healthy male Wistar rats (150-170 g), that were procured from National Institute of Nutrition (NIN), Hyderabad, Telangana State bearing Committee for the Purpose of Control and Supervision of Experiments on Animals (CPCSEA) registration number. Animals were allowed to acclimatize for about a week before start of the experiment in controlled environment (centrally air-conditioned) at ambient temperature of 22±3 °C with relative humidity of 50±10%, and 12 h light/dark cycle. For the investigation, a group of 12 rats were used. On the appropriately shaved skin of the rat, the emulgel was applied. For a period of 24 h, undesirable skin alterations, such as colour and morphological changes, were monitored [27]. The present study was approved by institutional animal ethical committee with Ref No: 1447/PO/Re/S/11/CPCSEA-64/A.
Particle size and zeta potential
A Zetasizer Nano ZS90 dynamic light scattering particle size analyzer (Malvern Instruments, Malvern, Worcestershire, UK) was used to measure the zeta potential and globule size of the formulation at a temperature of 25 °C, a scattering angle of 90°, at a wavelength of 365 nm [28, 29].
Surface morphology
The formulations were examined using scanning electron microscopy (JEOL JEM 2100 F, USA) after being diluted 1000 times with distilled water and then sprayed over a carbon grid stained with a 2% uranyl acetate solution [30, 31].
Toxicity studies
Wistar albino rats of either sex (200–250 g) were chosen and allocated to eight groups of six rats each. The rats were treated with a single oral dose of ethanolic extract of T. coronaria (EETC) and ethanolic extract of T. alata (EETA) ranging from a low dose of 50 mg/kg to a high dose of 2000 mg/kg. Rats receiving extract treatment were closely monitored for indications of fatality and toxicity. For the current study, 1/5th and 1/10th of the maximal dose were selected.
In vitro anti-bacterial activity (Anti-acne activity)
The bacterial strains S. epidermidis (MTCC 931), S. aureus (MTCC 3160), and P. acnes (MTCC 1951) were procured from the Department of Microbiology, National Institute of Nutrition (NIN), Hyderabad and used to assess the anti-bacterial activity. The solutions of the EETA and EETC and F5 of both extracts were prepared by dissolving them in DMSO. Ciprofloxacin (0.1 mg/ml) was used as a standard drug. Both the extract formulation F5's anti-bacterial properties were assessed using a modified agar-well diffusion technique. This is considered as most reliable employed for testing the anti-microbial properties of a test drug. In this technique, 0.2 ml of a P. acnes (48 h) broth culture was placed onto each brain-heart infusion media, 0.2 ml of a 24 h S. aureus broth culture was placed onto each nutrient agar plate, and 0.2 ml of a 24 h S. epidermidis broth culture was placed onto each plate of soybean casein digest media. For, the plates were dried. A sterile 8-mm borer was created on all plates. Extract solutions, formulation F5 of both extracts, and Ciprofloxacin were added to each plate. Plates containing S. epidermidis, S. aureus, and P. acnes were incubated for 24 h and 48 h at 37 °C. To assess the anti-bacterial activity, the diameter of the zones of inhibition (measured in mm) was taken into consideration.
In vivo anti-acne activity of EETC and EETA
Animal grouping and ethical approval
Male Wistar rats (150-180 g) were obtained from the animal breeding unit at National Institute of Nutrition (NIN), Hyderabad. Animals were kept in cleansed, clear polypropylene cages in groups of four in each cage maintained at 25±2 °C with 12 h of light and dark cycle with free access to food pellets and water ad libitum. The present study was approved by institutional animal ethical committee with Ref No: 1447/PO/Re/S/11/CPCSEA-64/A. All the animals were divided into five groups of 6 animals in each group (n=6). Group 1 was considered as control, group 2 has P. acnes induced rats (0.14 mg in 50 𝜇L saline; positive control), group 3 has EETC (0.05 mg/ml), group 4 has EETA (0.1 mg/ml), and group 5 has Clindamycin (0.1 mg/ml).
The rats were shaved in the interscapular region, and then applied with the EETC, EETA, and standard for a period of 21 d. After 24 h of application of the final dosage, animals were sacrificed. From the interscapular region, the skin specimens were removed and prepared for electron microscope analysis. P. acnes was injected intradermally into the rat's ear for inflammation that was similar to chronic acne and was characterized by edema, cell infiltration, and the development of comedons. The histological parameters were monitored.
Measurement of ear thickness
As a file with a provocative quality and skin breakout, ear thickness was assessed. The thickness was assessed using a Vernier callipers. For ten days, the thickness was measured once regularly.

Statistical analysis
All the data was expressed in mean±SD. Statistical analysis was done using Graph Pad Prism Version 6. Analysis of variance (ANOVA) was applied and the values of test groups were comparable with control and standard groups respectively.
Stability studies
According to the ICH guidelines, stability studies were performed to assess the stability of T. coronaria and T. alata emulgels. The selected formulations were taken in triplicate and was packed with polyethylene coating and sealed with aluminium, stored in a chamber that was maintained at 40±2 °C and 70±5% relative humidity for a period of 6 mo [31]. After storage for a period of 6 mo, the optimized formulation was evaluated physically and was reported.
Physicochemical evaluation and characterization of emulgels
The final formulation prepared appeared light green in colour, opaque, odourless with smooth texture.
Loss on drying
The loss on drying was below the predetermined limits (not more than 0.5%). The LOD of EETC emulgel formulation (F5) was found to be 0.35±0.24%, while LOD of EETA emulgel formulation (F5) was observed to be 0.4±0.22% (table 2).
Table 2: Average loss on drying of formulations of the test drugs
| Formulations | Emulgel of EETC | Emulgel of EETA |
| Average loss on drying (%) | Average loss on drying (%) | |
| F1 | 0.28±0.03 | 0.34±0.3 |
| F2 | 0.19±0.21 | 0.32±0.43 |
| F3 | 0.31±0.16 | 0.31±0.15 |
| F4 | 0.29±0.13 | 0.27±0.27 |
| F5 | 0.35±0.24 | 0.40±0.22 |
| F6 | 0.31±0.3 | 0.39±0.16 |
| F7 | 0.32±0.17 | 0.37±0.28 |
EETC–Ethanolic extract of Tabernaemontana coronaria, EETA–Ethanolic extract of Thunbergia alata, All the values were expressed in (n=3) mean±SD
Stickiness
The findings certainly showed that the formulated emulgel was free of stickiness after application, and it was also compared with the commercial formulations. It was also dispersed freely on the skin.
pH of the emulgel
For the formulations F1 to F7, the pH of EETC emulgel varied from 5.473±0.21 to 5.699±0.26. Amongst the formulations F1 to F7, the pH was optimum in F7 formulation. The pH of EETA emulgel varied from 5.467±0.13 to 5.889±0.1. The pH values were suitable to avoid any chance of irritation when applied. The pH was optimum in the F6 formulations (table 3).
Viscosity measurement
A spindle number three was used to obtain viscosity at 10 rpm. Non-Newtonian flow and shear-thinning behaviour were exhibited by all emulgels. After prolonged shearing, the emulgels had a shear-thinning behaviour, indicating that the observed viscosity declined as the shear rate increased (table 3).
Table 3: pH and viscosity of formulations of the test drugs
| Formulations | Observations pH at 25 °C | Viscosity (cps) | ||
| EETC | EETA | EETC | EETA | |
| F1 | 5.673±0.14 | 5.666±0.11 | 2523±0.21 | 2433±0.11 |
| F2 | 5.473±0.21 | 5.587±0.15 | 2514±0.16 | 2256±0.81 |
| F3 | 5.667±0.24 | 5.667±0.09 | 2467±0.3 | 2542±0.13 |
| F4 | 5.599±0.12 | 5.467±0.13 | 2422±0.18 | 2314±0.18 |
| F5 | 5.611±0.18 | 5.690±0.13 | 2318±0.11 | 2289±0.19 |
| F6 | 5.678±0.22 | 5.889±0.17 | 2249±0.18 | 2397±0.01 |
| F7 | 5.699±0.26 | 5.679±0.21 | 2220±0.31 | 2215±0.09 |
EETC–Ethanolic extract of Tabernaemontana coronaria, EETA–Ethanolic extract of Thunbergia alata, All the values were expressed in (n=3) mean±SD
Spreadability
The spreadability of EETC emulgel varied between 26.9±0.2 cm/sec and 38.1±0.14 cm/sec for formulations F1 to F7. The best spreadability was found with the F7 formulation. While, the spreadability of EETA emulgel varied between 27.4±0.7 cm/sec and 35.8±0.51 cm/sec for formulations F1 to F7. The best spreadability was found with F6 formulations. Table 4 showed the average value of spreadability for all formulations.
Extrudability
The extrudability of EETC and EETA emulgels was found to be very good (table 4).
Table 4: Average spreadability and extrudability of Emulgel formulations
| Formulations | Average spreadability (cm/sec) | Extrudability | ||
| EETC | EETA | EETC | EETA | |
| F1 | 29.9±0.01 | 29.3±0.91 | Very good | Very good |
| F2 | 30.2±0.19 | 31.2±0.3 | Very good | Very good |
| F3 | 36.3±0.21 | 35.3±0.09 | Very good | Very good |
| F4 | 26.9±0.2 | 28.9±0.33 | Very good | Very good |
| F5 | 37.4±0.42 | 27.4±0.9 | Very good | Very good |
| F6 | 37.9±0.81 | 35.8±0.51 | Very good | Very good |
| F7 | 38.1±0.1 | 35.2±0.52 | Very good | Very good |
EETC–Ethanolic extract of Tabernaemontana coronaria, EETA–Ethanolic extract of Thunbergia alata, All the values were expressed in (n=3) mean±SD
Extract content uniformity
Amongst the different formulations developed, the EETC and EETA extracts of the emulgel formulations were found to be consistent and ranged between 84.7±0.09% and 99.2±0.18% and 83.6±0.31% and 99.5±0.51%, respectively. It was evident from both extracts that the F5 had the highest extract content, which was greater than 98%. Table 5 displays gel formulation's content uniformity.
Table 5: Content uniformity of the Emulgel formulations of test extracts
| Formulations | Percentage (%) of Emulgel of EETC | Percentage (1%) of Emulgel of EETA |
| F1 | 89.2±0.27 | 85.5±0.54 |
| F2 | 88.2±0.16 | 97.1±0.13 |
| F3 | 97.2±0.17 | 94.2±0.65 |
| F4 | 89.6±0.07 | 83.6±0.31 |
| F5 | 99.2±0.18 | 99.5±0.51 |
| F6 | 84.7±0.09 | 89.7±0.32 |
| F7 | 86.2±0.01 | 88.2±0.09 |
EETC–Ethanolic extract of Tabernaemontana coronaria, EETA–Ethanolic extract of Thunbergia alata, All the values were expressed in (n=3) mean±SD
Drug permeation data for different formulations by in vitro method
In this method, the different formulations of both the test extracts were estimated for drug release. The formulation F5 of both the extracts of EETC and EETA showed approximately 90% of drug release in 6 h. Hence, F5 was chosen for preparation of formulation of emulgel (fig. 1 and fig. 2).
Skin irritation test
Up to 24 h, rats did not exhibit any allergy signs including inflammation, redness, or irritation.
Particle size and zeta potential
The particle size for the F5-prepared emulgel was found to be 126.59±1.17 to 154±2.31 nm and zeta potential values ranged from-20.13±4.69mV to-29.04±3.05 for the F5 formulation of both the test drugs. The particle size and zeta potential images optimized formulations of both plant extract emulsions of EETA and EETC were displayed in fig. 3 and 4, respectively.
Surface morphology (SEM)
SEM was used to analyse the surface morphology of emulgels. The images of emulsions of EETA and EETC were depicted in the fig. 5. Analysis of the emulsions using SEM showed that both the EETA and EETC emulsions were nearly spherical in shape, and there was no evidence of droplet coalescence, which indicated that emulsions were stable.
Toxicity studies of EETC and EETA
The maximal therapeutic doses of 250 and 500 mg/kg were selected for the present study.

Fig. 1: The % drug release of different formulations at different time intervals of EETC emulgel

Fig. 2: The % drug release of different formulations at different time intervals of EETA emulgel

Fig. 3: Particle size of Emulgel of (a) EETA and (b) EETC

Fig. 4: Zeta potential of emulgel of (a) EETA and (b) EETC

Fig. 5: SEM images of emulgels (a) EETA (b) EETC (bearing measurements of 5 mm magnified into 50 times in 1.00 mm scale)
Evaluation of anti-bacterial activity
Anti-bacterial effect of test extracts
It was evident from Tables 6 and 7 that sample solution concentration was a crucial parameter for controlling the zone of inhibition. For effective suppression of microorganisms, extract concentration must be raised. For T. alata, T1 produced 14.33±0.58 mm, 10.67±1.03 mm, and 15±1.72 mm (P˂0.05) zones of inhibition, T2 produced 19±2.00 mm, 15.67±1.0 mm, and 20±1.0 mm (P˂0.05) of a clear zone of inhibition with P. acnes, S. aureus, and S. epidermidis, respectively. Similarly, for T. coronaria T1 produced 17.67 mm, 12.67 mm, and 23.33 mm (P˂0.05) of the zone of inhibition, T2 produced 22 mm, 17.33 mm, and 33 mm (P˂0.05) of a clear zone of inhibition with P. acnes, S. aureus, and S. epidermidis, respectively. Ciprofloxacin (0.1 mg/ml) inhibited S. aureus with a maximum clear zone of inhibition (30.33 mm). The results showed no statistical significant difference between suppression of microorganisms when compared to standard as depicted by zone of inhibition. This indicates that the prepared extracts showed anti-microbial activity similar to the compared standard.
Table 6: Anti-bacterial effect of Ethanolic extract of Tabernaemontana coronaria
| Treatment and dose | Zone of inhibition (mm) | ||
| Propionibacterium acnes | Staphylococcus aureus | Staphylococcus epidermidis | |
| Control | 11.00±1.00 | 6.67±0.42 | 11.67±0.58 |
| T1 (0.05 mg/ml) | 14.33±0.58* | 10.67±1.03* | 15±1.72* |
| T2 (0.1 mg/ml) | 19.00±2.00* | 15.67±1.0* | 20±1.0* |
| Ciprofloxacin (0.1 mg/ml) | 29.00±1.73** | 29.02±1.39** | 30.31±2.08** |
All the values were expressed in (n=3) mean±SD, *P˂0.05, **P˂0.01 as comparable to the control
Table 7: Anti-bacterial effect of Ethanolic extract of Thunbergia alata
| Treatment and dose | Zone of Inhibition (mm) | ||
| Propionibacterium acnes | Staphylococcus aureus | Staphylococcus epidermidis | |
| Control | 7.02±2.0 | 8.33±1.15 | 7.64±1.0 |
| T1 (0.05 mg/ml) | 17.67±1.17* | 12.67±1.29* | 16.74±0.65* |
| T2 (0.1 mg/ml) | 22.00±1.0* | 17.33±1.15* | 23.14±1.21* |
| Ciprofloxacin (0.1 mg/ml) | 27.33±2.08** | 28.33±1.61** | 25.77±1.23** |
All the values were expressed in mean±SD (n=3); *P˂0.05, **P˂0.01 as comparable to the control
The anti-bacterial effect of emulgel formulations
It was evident from Tables 8 and 9 that a key parameter in controlling the zone of inhibition is the concentration of the test sample. The reported bacteria's zone of inhibition increased when the F5 concentration was raised from 0.5% to 1%. The zone inhibition of the EETC F5 (0.5%) formulation against P. acnes, S. aureus, and S. epidermidis was 14.33±0.58 mm, 19.00±2.0 mm, and 10.67±1.51 mm (P˂0.05) and zone inhibition of the EETC F5 (1%) was 15.67±1.49 mm, 13.62±0.72 mm, and 17.09±0.98 mm (P˂0.05), respectively. The zone inhibition of the EETA F5 (0.5%) formulation against P. acnes, S. aureus, and S. epidermidis was 17.67±1.53 mm, 14.79±2.09, and 14.84±1.41 mm (P˂0.05) and zone inhibition of the EETA F5 (1%) was 20.07±1.0 mm, 19.63±1.07 mm, and 20.14±1.03 mm (P˂0.05), respectively. Although both the extracts F5 showed a good zone of inhibition, the EETA F5 displayed the maximum zone of inhibition. The results showed no statistical significant difference between suppression of microorganisms when compared to standard as depicted by zone of inhibition. This indicates that the prepared optimized formulations showed anti-microbial activity similar to the compared standard.
Table 8:Anti-bacterial activity of F5 of EETC
| Treatment and dose | Zone of inhibition (mm) | ||
| Propionibacterium acnes | Staphylococcus aureus | Staphylococcus epidermidis | |
| Control | 6.25±1.00 | 6.71±0.53 | 6.04±0.95 |
| F5 0.5% | 14.33±0.58* | 10.67±1.51* | 13.62±0.72* |
| F5 1% | 19.00±2.0* | 15.67±1.49* | 17.09±0.98* |
| Standard ciprofloxacin (0.1 mg/ml) | 24.00±1.69** | 19.33±1.53** | 22.31±1.92** |
All the values were expressed in mean±SD (n=3); *P˂0.05, **P˂0.01 as comparable to the control; EETA: Ethanolic extract of Tabernaemontana coronaria
Table 9: Anti-bacterial effect of F5 of EETA
| Treatment and dose | Zone of inhibition (mm) | ||
| Propionibacterium acnes | Staphylococcus aureus | Staphylococcus epidermidis | |
| Control | 6.00±2.00 | 6.50±1.00 | 5.87±1.00 |
| F5 0.5% | 17.67±1.53* | 14.79±2.09* | 14.84±1.41* |
| F5 1% | 20.07±1.0* | 19.63±1.07* | 20.14±1.03* |
| Standard ciprofloxacin (0.1 mg/ml) | 25.94±1.08** | 22.43±1.15** | 22.33±1.15** |
All the values were expressed in mean±SD (n=3), *p˂0.05, **p˂0.01 as comparable to the control; EETC: Ethanolic extract of Thunbergia alata
In vivo anti-acne activity of EETC and EETA
Histopathological studies
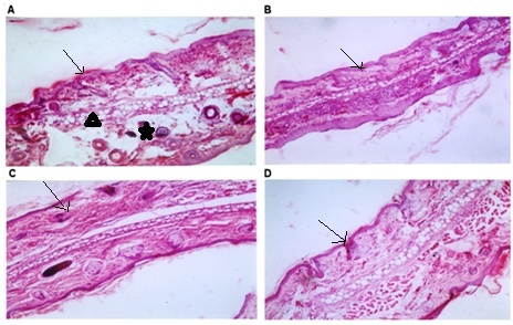
Treatment was given for a period of 21 d for acne induced by P. acnes, and a histopathological evaluation was done. It was observed that there was lymphocyte transmigration into the follicle wall with neutrophil accumulation on the site of inflammatory lesions thatled to follicle rupture and pustule creation in the dermis (fig. 6). After 24 h, there was a follicle swelling and eventual rupture due to the overabundance of neutrophils. In the vicinity of the final breach, there was a localized loss of the granular layer. Formation of comedones, inflammatory lesions and scars were also noted as components of acne. The negative group (A) was expressed with inflammation, edema and the presence of a sebaceous gland. A standard drug-treated group (B) was manifested with small discolouration, reduced infiltrates of leukocytes and reduced inflammation. Group (C) treated with EETC (500 mg/kg) emulgel showed decreased inflammation and edema whilst group (D) treated with EETA (sections exhibited a reduction in acne, papules and inflammation. With regard to the ear thickness, there was a significant decline in the overall damage produced by P. acne (table 10). The results showed no statistical significant difference between histopathological studies of EETC (250 mg/kg and 500 mg/kg) and EETA (250 mg/kg and 500 mg/kg) when compared to standard (Clindamycin 200 mg/kg) as depicted by ear thickness measurement. This indicates that the prepared optimized formulations showed similar activity when compared to the standard.
Table 10: Effect of EETC and EETA on ear thickness
| Treatment and dose | Day 1 | Day 3 | Day 5 | Day 7 | Day 10 |
| Control | 1.473±0.021 | 1.343±0.021 | 1.273±0.021 | 1.243±0.021 | 1.223±0.021 |
| Clindamycin 200 mg/kg | 0.215±0.004*** | 0.205±0.004*** | 0.135±0.004*** | 0.125±0.004*** | 0.105±0.004*** |
| EETC 250 mg/kg | 0.225±0.003* | 0.213±0.001* | 0.201±0.003* | 0.196±0.004* | 0.156±0.003* |
| EETC 500 mg/kg | 0.196±0.003** | 0.176±0.001** | 0.156±0.003** | 0.113±0.002** | 0.110±0.001** |
| EETA 250 mg/kg | 0.211±0.003* | 0.202±0.001* | 0.195±0.003* | 0.189±0.004* | 0.148±0.003* |
| EETA 500 mg/kg | 0.204±0.003** | 0.184±0.001** | 0.152±0.003** | 0.109±0.002** | 0.104±0.001** |
All the values were expressed in mean±SD (n=3); *p˂0.05, **p˂0.01, ***p˂0.01 as comparable to the control; EETC: Ethanolic extract of Thunbergia alata; EETA: Ethanolic extract of Tabernaemontana coronaria

Fig. 6: Histological changes observed in the ear skin of rats, a) Positive group (acne-induced) with inflammation (black arrow), comedones (marked with star) edema and sebaceous gland dilatation (marked with black triangle) b) Clindamycin treated group, with reduced inflammation (black arrow), decreased leukocyte infiltration with almost no acne c) EETC formulation (500 mg/kg) treated group with reduced inflammation (black arrow), and edema d) EETA formulation (500 mg/kg) treated group with decline in inflammation (black arrow), and edema
Stability studies
In the stability testing studies, all the formulations which were prepared were observed and F5 was found to be stable upon storage for six months. There was almost no change in their physical appearance, pH, viscosity, spreadability and drug content. After a period of 6 mo, the formulation was investigated for in vitro drug release studies (table 11).
Table 11: Stability studies of F5 emulgel formulations–physical evaluation
| Formulations | Viscosity (cps) | Spreadability cm/seconds | % drug content | |||
| EETC | EETA | EETC | EETA | EETC | EETA | |
| F5 | 2312 | 2284 | 37.8 | 26.8 | 99.5 | 99.7 |
EETC–Ethanolic extract of Tabernaemontana coronaria, EETA–Ethanolic extract of Thunbergia alata
A chronic disease named acne is considered as a most perturbing and worrisome which is affecting nearly 80 % of adolescents and young individuals. In terms of prevalence, the disease was found to be more prominent in the adolescent stage, more in women>40 y of age different studies reported an average age of prevalence of acne between 24-25 y [32]. Acne is always accompanied by swelling, inflammation and edema in the skin region. Also, the most affected areas belong to the face, chest and back, distinguished by comedones of open and closed type, nodules and papules. Acne requires long-term therapy for an adequate outcome, treatment adherence, but patient compliance and devoid of side effects become crucial and need to be analysed [33]. Acne may also form scars that affect an individual’s self-esteem and predispose to depression. As the treatment takes longer for better results, extreme dissatisfaction, insufficient adherence and costly medication may also predominate leading to failure of treatment and other consequences [34]. Acne is contemplated as a disease that affects the quality of life. There are different types of treatments like lifestyle remedies, topical or oral medications, the use of antibiotics or steroids and a few medical strategies [35]. Compared to modern therapies, herbal medicines typically have fewer adverse effects. Antibacterial, anti-inflammatory, and antiseptic qualities can be found in several herbs. These qualities may aid in the healing of blemishes and the decrease of germs and inflammation that cause acne [36]. Keeping in view of the above considerations, many people rely on traditional cosmetics both in rural and urban areas; this practice has been followed since ancient times.
The present study was designed to evaluate the effect of herbal formulations using in vitro and in vivo methods. The formulations were prepared from the ethanolic extracts of two herbal plants–T. alata and T. coronaria, tested for anti-acne (anti-bacterial) effects. Phytochemical screening for both plants was done and was found that T. alata contained phenols (caffeoylmalic, feruloylmalic, and p-coumaroylmalic acids), glucosides such as alatoside and thunaloside, stilbericoside respectively. The phytochemical constituents found in T. coronaria were sterols, phenols, diterpenes, alkaloids, fatty acids, triterpenoids and tocopherols [36, 37]. From the test drugs, all the formulations were prepared with a homogenous nature. The pH varied showing in the range of 5.4-5.9. Optimum spreadability was maintained with F6 formulation, with preservation of consistency using of viscosity. Similarly, content uniformity was also analyzed, observed as 95 %, and both the formulations of extracts were approximately spherical from the SEM images, which indicated the stability of the preparations. In vitro drug release at 6 h was 90 % in F5 formulations of both the test drugs.
The test formulations were tested for in vitro anti-bacterial activity against P. acnes, S. aureus, S. epidermidis. The test extracts and their respective formulations showed almost the same zone of inhibitions in a significant manner. All the zone of inhibition was compared with the marketed product and standard drug Clindamycin. After the treatment for a certain period, the test formulations showed a tremendous effect in combating the invasion of bacteria, subsequently causing the reduction of the genesis of acne. As there is involvement of bacterium in the formation of acne, also it contributes to the development of inflammation by conversion of sebaceous triglycerides to fatty acids, which ultimately grabs neutrophils [38]. After the treatment for 21 d in Wistar rats, the ear sections were examined for histopathological studies. The anti-acne property exhibited by both the test extracts was evident from the images of the ear that were examined microscopically, along with the measurement of ear's thickness. It appeared that the inflammation brought on by different kinins, histamine, and 5-HT has greatly diminished in test drug formulations, with a significant reduction in the thickness of the ears. According to the literature, inflammation is brought on by reactive oxygen species [39]. Anti-oxidant agents overcome these reactive oxygen species and minimize the generation of free radicals caused by oxidative stress [40, 41]. In medicinal plants, phenolic substances and flavonoids were attributed to the same mechanism of exerting anti-oxidant properties and thereby reducing inflammatory response. Whenever there is an infection, the immune system gets activated, accumulates neutrophils, and causes swelling, edema and pain, all of which fall under the symptoms of acne. In the present investigation, both the test drugs showed the presence of these above phytochemical constituents which were responsible for the anti-inflammatory effect, and stood as remarkable anti-acne agents. Furthermore, T. coronaria due to the presence of alkaloidal content was found to possess anti-inflammatory, anti-bacterial and analgesic effects respectively.
The Ancient system of medicine showed extensive use of herbal remedies, considering the safety and devoid of side effects as compared to conventional medicines. Also, there can be every chance to avoid the resistance induced by the use of antibiotics. This was the primary study conducted to formulate emulgels of plant extracts T. coronaria and T. alata. In the current study, the topical emulgels of plant extracts T. coronaria and T. alata were formulated and evaluated for different parameters and were investigated for anti-bacterial activity. The results showed a significant anti-bacterial effect against acne-producing bacteria and the effect was distinguished. As inflammation forms a crucial part in the genesis of acne, the test formulations exhibited an anti-inflammatory effect, a promising action as a topical anti-acne medicine. Thus, phytochemical constituents responsible for the anti-acne property need a thorough investigation at a molecular level. Emulgels are a fantastic option because they have better stability than other topical preparations in the market; hence development of a commercial product for the treatment of acne would be of great choice. In this regard, clinical studies might be planned accordingly for diligent evaluation of prepared herbal emulgel for acne vulgaris.
Nil
SN completed the research work, execution, and writing. AM and VK did the work plan, review, and corrections. All authors agree with the submission and publication. All authors have read and agreed to the published version of the manuscript.
Declared none
Del Rosso J. Emerging topical antimicrobial options for mild-to-moderate acne: a review of the clinical evidence. J Drugs Dermatol. 2008 Feb;7(2)Suppl:s2-7. PMID 18404864.
Ermawati DE, Yugatama A, Ramadhani BR, Pertiwi I, Rosikhoh A, Novachiria SR. Stability and antibacterial activity test of nanosilver biosynthetic hydrogel. Int J App Pharm. 2022 Feb;14(2):221-6. doi: 10.22159/ijap.2022v14i2.43584.
Trivedi H, Puranik PK. Antibacterial activity of chlorogenic acid phyto vesicles against resistant bacteria: development, optimization and evaluation. Int J Appl Pharm. 2022 Jan;14(1):83-92.
Kumar A, Banerjee N, Singamaneni V, K Dokuparthi S, Chakrabarti T, Mukhopadhyay S. Phytochemical investigations and evaluation of antimutagenic activity of the alcoholic extract of Glycosmis pentaphylla and Tabernaemontana coronaria by Ames test. Nat Prod Res. 2018 Mar;32(5):582-7. doi: 10.1080/14786419.2017.1318384, PMID 28423921.
Sujata MP. Exploitation of edible wild plants as medicinal properties for primary health care system in Bidar District, North Karnataka, India. Int J Pharm Pharm Sci. 2022 Mar;14(3):31-9.
Mahmood Alabdali AY, Kzar MS, Chinnappan S, Ram Mani R, Selvaraja M, Wen KJ. Application of nanoantibiotics approach against anti-bacterial resistance. Int J App Pharm. 2022 Mar;14(3):34-9. doi: 10.22159/ijap.2022v14i3.43508.
Bhanu PV, Shanmugam V, Lakshmi PK. Development and optimization of novel diclofenac emulgel for topical drug delivery. Int J Comp Pharm. 2011 Jan;2:1-4.
Zaenglein AL. Topical retinoids in the treatment of acne vulgaris. Semin Cutan Med Surg. 2008 Sep;27(3):177-82. doi: 10.1016/j.sder.2008.06.001, PMID 18786495.
Poornima K, Chella Perumal P, Gopalakrishnan VK. Protective effect of ethanolic extract of Tabernaemontana divaricata (L.) R. Br. against den and Fe NTA induced liver necrosis in wistar albino rats. BioMed Res Int. 2014 Jul;2014:240243. doi: 10.1155/2014/240243, PMID 25136566.
El-Gayed SH, Kandil ZA, Abdelrahman EH. Cycloartanes from Tabernaemontana coronaria (Jacq.) wild flowers with their cytotoxicity against MCF7 and HCT116 cancer cell lines. J Pharmacogn Phytochem. 2015 Mar;4(3):35-41.
Housti F, Andary C, Gargadennec A, Amssa M. Effects of wounding and salicylic acid on hydroxycinnamoylmalic acids in thunbergia alata. Plant Physiol Biochem. 2002 Sep;40(9):761-9. doi: 10.1016/S0981-9428(02)01427-4.
Pushpa B, Latha KP, Vaidya VP, Shruthi A, Shweath C. In vitro anthelmintic activity of leaves extracts of Tabernaemontana coronaria. Int J ChemTech Res. 2011 Apr;3(4):1788-90.
Julianti E, Rajah KK, Fidrianny I. IAntibacterial activity of ethanolic extract of cinnamon bark, honey, and their combination effects against acne-causing bacteria. Sci Pharm. 2017 Feb;85(2):19. doi: 10.3390/scipharm85020019, PMID 28398231.
Miladi S, Damak M. In vitro antioxidant activities of Aloe vera leaf skin extracts. J Soc Chim Tunis. 2008 Jun;10:101-9.
Pant DR, Pant ND, Saru DB, Yadav UN, Khanal DP. Phytochemical screening and study of antioxidant, antimicrobial, antidiabetic, anti-inflammatory and analgesic activities of extracts from stem wood of Pterocarpus marsupium roxburgh. J Intercult Ethnopharmacol. 2017 Apr;6(2):170-6. doi: 10.5455/jice.20170403094055, PMID 28512598.
Mali RG, Hundiwale JC, Sonawane RS, Patil RN, Hatapakki BC. Evaluation of Capparis decidua for anthelmintic and antimicrobial activities. Indian J Nat Prod. 2004 Jan;20:10-2.
Atar M, Kausar A, Reheman A. Preparation of a new formulation of anti-acne creams and their efficacy. Afr J Pharm Pharmacol. 2010 Jun;4(6):298-303.
Prasuna Sundari PJ, Sushma C, Srija T. Development of herbal mosquito-repellent formulations and their comparative evaluation. Asian J Pharm Clin Res. 2023 Jun;16(6):127-32.
Chavda H, Patel J, Chavada G, Dave S, Patel A, Raval S. Self nano-emulsifying powder of isotretinoin: preparation and characterization. J Powder Technol. 2013 Nov;20(13):1-9.
Nicolazzo JA, Reed BL, Finnin BC. Buccal penetration enhancers-how do they really work? J Control Release. 2005 Jun;105(1-2):1-15. doi: 10.1016/j.jconrel.2005.01.024, PMID 15894393.
Nikam S. Anti-acne gel of isotretinoin: formulation and evaluation. Asian J Pharm Clin Res. 2017 Nov;10(11):257-66. doi: 10.22159/ajpcr.2017.v10i11.19614.
Mohammad MH, Nappinai M. Development and method validation of an unconventional in vitro test to measure mucoadhesive strength of tablets. Res J Pharm Technol. 2009;2(2):363-5.
Choubey A. Phytosome-a novel approach for herbal drug delivery. Int J Pharm Sci Res. 2011 Apr;2:807-15.
Akbal Ahmad NAK. Formulation and evaluation of herbal oral emulgel containing Psidium guajavalinn. leaves extract (a preventive oral care preparation). Asian J Pharm Clin Res. 2021 Dec;14(12):93-5.
Patel MR, Patel RB, Parikh JR, Patel BG. HPTLC method for estimation of isotretinoin in topical formulations, equilibrium solubility screening, and in vitro permeation study. J Liq Chromatogr Relat Technol. 2011;34(16):1783-99. doi: 10.1080/10826076.2011.579218.
Surini S, Diandra DM. Formulation of mulberry leaf (Morus alba l.) extract hydrogel beads using cross-linked pectin. Int J Appl Pharm. 2017 Oct;30(9):159-66.
Ali Khan B, Ullah S, Khan MK, Alshahrani SM, Braga VA. Formulation and evaluation of Ocimum basilicum-based emulgel for wound healing using animal model. Saudi Pharm J. 2020 Dec;28(12):1842-50. doi: 10.1016/j.jsps.2020.11.011, PMID 33424273.
Wani A, Sanghani C, Wani S. Formulation, characterization, and in vitro evaluation of novel microemulsion-based spray for topical delivery of isotretinoin. Asian J Pharm Clin Res. 2018;11(10):226-32. doi: 10.22159/ajpcr.2018.v11i10.27019.
Zakaria AS, Afifi SA, Elkhodairy KA. Newly developed topical cefotaxime sodium hydrogels: antibacterial activity and in vivo evaluation. BioMed Res Int. 2016;2016:6525163. doi: 10.1155/2016/6525163, PMID 27314033.
Salamat Miller N, Chittchang M, Johnston TP. The use of mucoadhesive polymers in buccal drug delivery. Adv Drug Deliv Rev. 2005 Nov;57(11):1666-91. doi: 10.1016/j.addr.2005.07.003, PMID 16183164.
Vijayalakshmi A, Tripura A, Ravichandiran V. Development and evaluation of anti-acne products from Terminalia arjuna bark. Int J Chem Technol Res. 2011 Jan;3(1):320-7.
Russell JJ. Topical therapy for acne. Am Fam Physician. 2000 Jan;61(2):357-66. PMID 10670502.
Thombre R, Jagtap R, Patil N. Evaluation of phytoconstituents, antibacterial, antioxidant and cytotoxic activity of Vitex negundo L. and Tabernaemontan adivaricata L. Int J Pharm Biol Sci. 2013 Jan;4(1):389-96.
Shahtalebi MA, Asghari GR, Rahmani F, Shafiee F, Jahanian Najafabadi A. Formulation of herbal gel of Antirrhinum majus extract and evaluation of its anti-Propionibacterium acne effects. Adv Biomed Res. 2018 Mar;7:53. doi: 10.4103/abr.abr_99_17, PMID 29657938.
Ashkenazi H, Malik Z, Harth Y, Nitzan Y. Eradication of Propionibacterium acnes by its endogenic porphyrins after illumination with high intensity blue light. FEMS Immunol Med Microbiol. 2003 Jan;35(1):17-24. doi: 10.1111/j.1574-695X.2003.tb00644.x, PMID 12589953.
Raut S, Shende P, Gargate N, Kapare H. Pharmacognostic and pharmacological aspects on Tabernaemontana divaricata plant. Acta Sci Pharmacol. 2022 Oct;3(10):22-34.
Sultana KW, Chatterjee S, Roy A, Chandra I. An overview on ethnopharmacological and phytochemical properties of Thunbergia sp. Med Aromat Plants. 2015 Nov;4:217.
Hossain MA, Kabir MJ, Salehuddin SM, Rahman SM, Das AK, Singha SK. Antibacterial properties of essential oils and methanol extracts of sweet basil Ocimum basilicum occurring in Bangladesh. Pharm Biol. 2010 May;48(5):504-11. doi: 10.3109/13880200903190977, PMID 20645791.
Mittal M, Siddiqui MR, Tran K, Reddy SP, Malik AB. Reactive oxygen species in inflammation and tissue injury. Antioxid Redox Signal. 2014 Mar;20(7):1126-67. doi: 10.1089/ars.2012.5149, PMID 23991888.
Jisha R, Saboora Beegum M, Yogapriya V. Oxidative stress in acne vulgaris. Int J Pharm Pharm Sci. 2022 Nov;14(11):73-6.
Shah KP, Srivastava RS. Evaluation of antioxidant and anti-acne activities (in vitro) of the formulated herbal gels. Int J Curr Pharm Res. 2015 Jul;7(3):47-50.