
1Department of Medical Biotechnology, School of Advanced Technologies, Shahrekord University of Medical Sciences, Shahrekord, Iran. 2Department of Pharmaceutics, College of Pharmacy, Al-Zahraa University for Women, Karbala, Iraq. 3Department of Clinical Sciences, Faculty of Veterinary Medicine, Shahrekord University, 115, Shahrekord, Iran. 4Medical Plants Research Center, Basic Health Sciences Institute, Shahrekord University of Medical Sciences, Shahrekord, Iran. 5Department of Epidemiology and Biostatistics, School of Health, Shahrekord University of Medical Sciences, Shahrekord, Iran. 6Department of Surgery, School of Medicine, Shahrekord University of Medical Sciences, Shahrekord, Iran
*Corresponding author: Pegah Khosravian; *Email: pegah.khosraviyan@gmail.com
Received: 27 Mar 2024, Revised and Accepted: 20 Jul 2024
ABSTRACT
Objective: The objective of this research is to develop a controlled-release drug delivery system for relieving peritoneal adhesion. The system is designed to utilize a polymer hydrogel incorporating Curcumin (cur) loaded Mesoporous Silica Nanoparticles (Msn). Its objective is to improve the properties of curcumin and reduce peritoneal adhesion after laparoscopic surgery.
Methods: The rats in each group underwent intra-abdominal adhesion modeling surgery and received the following implants: implants containing Msn loaded with cur (imp/Msn@cur), Implants Containing Cur (imp/cur), implants containing Msn without cur (imp/Msn), Implants without Msn and cur (imp) and group only modeled (contrl). After 14 d, the surgical site was reopened and the specimens were evaluated by gross processing and histology staining for adhesion band formation, fibrosis, and inflammation. Data were analyzed by SPSS v.22 using Fisher's exact test, one-way ANOVA, and Tukey's test and P˂0.05 was considered statistically significant.
Results: The number of vascularized or non-vascularized adhesion bands was evaluated According to the results, the number of vascular bands in the control group was only significantly higher than the other groups (P<0.001). Also, the mean number of vascular adhesion bands in the imp group was significantly higher than the other intervention groups (P<0.001). All studied rats in the contrl group had adhesions and the severity of adhesions in this group was higher than the others. Also, in the imp/Msn@cur group, the severity of adhesion was the lowest than the other groups.
Conclusion: The research findings indicated that utilizing implants with cur-loaded Msn resulted in improved peritoneal adhesion and reduced collagen bandages following laparotomy.
Keywords: Curcumin, Peritoneal implant, Mesoporous silica nanoparticles, Controlled release
© 2024 The Authors. Published by Innovare Academic Sciences Pvt Ltd. This is an open access article under the CC BY license (https://creativecommons.org/licenses/by/4.0/)
DOI: https://dx.doi.org/10.22159/ijap.2024v16i5.50976 Journal homepage: https://innovareacademics.in/journals/index.php/ijap
The formation of peritoneal adhesions is the most common complication following abdominal and pelvic surgeries, affecting a significant number of patients. Small bowel obstruction, infertility, chronic abdominal pain, and prolonged surgical time, as well as an elevated risk of bowel perforation during preoperative surgery, are some of the potential consequences that can arise from peritoneal adhesions [1–4]. It is crucial to address and manage peritoneal adhesions effectively to minimize their detrimental effects on patients' health and well-being. While the utilization of laparoscopic surgery and other surgical advancements can indeed reduce the likelihood of adhesion formation, it is important to acknowledge that minimally invasive procedures may not always be suitable or feasible. As a result, intraabdominal adhesions continue to pose a considerable challenge, leading to significant morbidity and placing a substantial strain on healthcare resources [5]. Curcumin (cur) is a naturally occurring polyphenol extracted from the rhizome of the Curcuma longa plant. In recent years, extensive research conducted in both laboratory settings and living organisms has consistently demonstrated the exceptional properties of cur, including its ability to combat cancer, viruses, arthritis, oxidative stress, inflammation, etc [6–10]. The anti-inflammatory properties of cur are attributed to its ability to regulate the signaling pathways implicated in inflammation and hinder the synthesis of inflammatory mediators [11]. Multiple recent studies have indicated that cur could potentially serve as a viable treatment option for peritoneal adhesion [5, 12, 13]. Cur has a remarkably low solubility in water, measuring only 11 ng/ml, which stands as a significant hindrance to its pharmaceutical function [14, 15]; hence, nanoparticle-based drug delivery systems could be utilized as a potential solution for this complexity. Mesoporous Silica Nanoparticles (Msn) represent a highly promising category of porous materials that exhibit remarkable surface properties, such as a high specific surface area and well-defined pore size. Apart from their favorable surface characteristics, Msn also demonstrates excellent biocompatibility, controllable size, and facile surface modification, among other attributes. Consequently, they emerge as highly suitable contenders for a wide range of biomedical applications [16-18]. Biodegradable polymers have revolutionized the medical field for over 50 years, leading to significant advancements in drug delivery, biomaterials, tissue engineering, and medical device development. The progress made in macro-and micro-drug-delivery systems has opened doors for the creation of controlled-release nano-drug delivery platforms, which have the potential to overcome pharmacological limitations and provide substantial advantages over conventional dosage forms [19]. In recent years, the main emphasis of research in treating peritoneal adhesion has focused on using anti-peritoneal adhesion biomaterials in different physical forms. Natural and synthetic biocompatible polymers have shown promise in fighting against peritoneal adhesion in animal trials. Some biomaterials, such as Seprafilm and Adept, have been authorized for clinical application. Nevertheless, it is crucial to recognize that these materials have not shown complete efficacy in preventing peritoneal adhesion development [20]. In this investigation, our objective is to develop a controlled-release drug delivery system utilizing a Hydroxypropyl Methylcellulose (HPMC) polymer hydrogel that incorporates cur-loaded Msn. The purpose of this platform is to enhance the pharmaceutical characteristics of cur and alleviate peritoneal adhesion after laparoscopic surgery.
Chemicals and reagents
hematoxylin, eosin, and neutral buffered formalin 10% were purchased from Sigma Aldrich. Additional reagents and solvents were acquired from Merck (Darmstadt, Hesse, Germany).
Implant characteristics
In this research, we utilized the intraperitoneal implant that was synthesized and characterized in a recent study conducted by Dhiya Altememy et al. [21]. The implant was fabricated using the molding technique and composed of HPMC polymer infused with cur-loaded Msn. According to the results of this research, MSN was synthesized using the sol-gel method, and they have a diameter ranging from 50 to 100 nm and a polydispersity index of 0.285. The x-ray diffraction results revealed MSN index peaks at 2.25, 4.1, and 5.1, indicating that the nanoparticles have crystalline structure and are hexagonal in nature. The surface area is 778.73 m2/g according to the BET analysis results, and the presence of mesoporous particles with a pore radius of 1.64 nm was confirmed by the BJH analysis results, which is consistent with MCM-41 nanoparticles. The prepared different formulation implants had a uniform, smooth, and bubble-free surface, opaque and yellow color. Additionally, the fabricated implants exhibited a 6-hour surface pH range of 7.05-7.27, a disintegration time range of 56.66±1.52 to 60.66±4.04 min, and also bioadhesive strength range of 162.66±10.40 to 185.66±46.33 N.
Animal experiment
In this study, a total of 40 male Wistar rats weighing between 200 and 250 gs were utilized for the experiment. Experimental animals were obtained from the Pasteur Institute of Iran and were adapted for 1 w before surgery. Standard lab procedures were followed when caring for the animals. The National Institutes of Health's (NIH) Guidelines for the Care and Use of Laboratory Animals (NIH publication #80-23) and the institutional guidelines for animal care and use (Shahrekord University of Medical Sciences, SKUMS) with ethical code: IR. SKUMS. REC.1398.140 was followed throughout all procedures.
Study groups
The rats in each group underwent intra-abdominal adhesion modeling surgery and were subsequently administered various implants as outlined below:
1. Implants containing Msn Loaded with Cur (imp/Msn@cur)
2. Implants Containing Cur (imp/cur)
3. implants containing Msn without Cur (imp/Msn)
4 Implants without Msn and Cur (imp)
5. group only modeled without treatment (contrl)
Induction of experimental intra-abdominal adhesion
Adhesion lesions were created under general anesthesia. All surgeries were performed uniformly and standardly on all rats and by one person. For rat anesthesia, intraperitoneal injections of 80 mg/kg ketamine and 10 mg/kg xylazine were done. After clipping the abdominal hair of the rats, the skin of the surgical site was prepared aseptically. An incision of 2 cm was made in the midline of the abdomen. After accessing the abdominal area, the end of the ileum and cecum were separated from the surrounding abdominal tissues and placed on a sterile wet sponge [22]. The cecum scratch model will be used to create adhesion; In this way, the cecum serosa will be scratched by a sterile sponge on the antimesenteric surface until small petechiae bleeding appears. In this stage, after returning the organs inside the body, either the mentioned implant was put inside the body cavity. Subsequently, the standard closure of the cutting site was done using a simple all-round pattern and 4/0 absorbable threads for the abdominal muscles area, but the muscles, fascia, and the animal’s skin, which are not related to the inside, were placed with 2/0 non-absorbable silk thread. Once again, the skin was disinfected and the rats were placed at room temperature to recover. External sutures were removed on the seventh day of treatment.

Fig. 1: Different phases of intra-abdominal adhesion modeling surgery
Treatment evaluation
After 14 d from the day of the lesions, laparotomy was performed again. For this purpose, after anesthesia, the abdomen of each rat was opened and the adhesions were graded by a person who was unaware of the grouping of the samples.
The scale provided below was utilized to compare the adhesions [23]. according to this scale, the degree of adhesion in the macroscopic examination was calculated as follows:
0 Without any adhesion bands
1 Single adhesion band between organs or between organs and the abdominal wall
2 Two adhesion bands, between organs or between organs and the abdominal wall
3 More than two adhesion bands between organs or between organs and the abdominal wall
4 organs directly adherent to the abdominal wall, regardless of the quantity and size of adhesive bands
Furthermore, for pathology (microscopic) examinations, a sample was separated from the existing adhesive tissue and placed in a 10% neutral buffered formalin fixative for 2 d. Tissue processing and molding were done with paraffin and wax, and cross-sections 5 µm thick were prepared by microtome with a fixed blade. The incisions were stained with hematoxylin and eosin. Histopathological examinations were performed by a pathologist who was unaware of the grouping of the specimens using the Olympus-style microscope.
Statistical analysis
The obtained data were analyzed by SPSS v.22 software using Kruskal-Wallis and Mann-Whitney tests and P˂0.05 was considered statistically significant.
The effect of implant preparation on intraperitoneal adhesion after laparotomy in rats
After 14 d of abdominal adhesion surgery modeling and placing the desired implants in the abdominal cavity of the studied groups, laparotomy surgery was performed again to evaluate the amount of abdominal adhesion. First, the number of vascularized or non-vascularized adhesion bands was evaluated as demonstrated in table 1. According to the results of table 1, the majority in all studied groups had no non-vascular band. According to Fisher's exact test, no significant relationship was observed between the number of non-vascular adhesion bands and the studied groups (P>0.05) (fig. 2B). The relationship between the number of vascular adhesion bands and the total number of bands within the studied groups is shown in table 1. According to the results of table 1, the number of vascular bands in the control group was only significantly higher than the other groups (P<0.001). Also, the mean number of vascular adhesion bands in the imp group was significantly higher than the other intervention groups (P<0.001). The mean number of vascular adhesion bands in imp/cur, imp/Msn@cur, and imp/Msn groups were not significantly different (P>0.05) (fig. 2A). Also, the total number of bands in the contrl group was significantly higher than the other groups (P<0.001). Also, the mean number of total bands in the imp group was significantly higher than other intervention groups (P<0.001). The mean number of bands in the remaining groups was not statistically significant (P>0.05) (fig. 2C).
Table 1: The relationship between the number of non-vascular adhesion bands in the studied groups and the comparison of the average number of adhesive bands with vessels and the total number of bands in the studied groups
| Study group | Control | Imp | Imp/Msn | Imp/cur | Imp/Msn@cur | P value |
| Without any non-vascular adhesive bands | 8(100%) | 6 (75%) | 8 (100%) | 6 (75%) | 5(62.5%) | 0.212 |
| Only one non-vascular adhesive bands | 0 (0 %) | 2 (25%) | 0 (0%) | 2 (25%) | 3c(37.5%) | 0.212 |
| The mean number of vascular adhesions | 7.38±1.3 | 5.00±1.2 | 1.63±1.19 | 1.13±0.84 | 0.75±1.04 | 0.000 |
| mean total number of bands | 7.38±1.3 | 5.25±1.4 | 1.63±1.19 | 1.13±0.52 | 1.13±0.99 | 0.000 |
Frequency percentage, Fisher's exact test One-way analysis of variance with Tukey's post hoc test Data are expressed as mean±SD, n=8

Fig. 2: (A) Average number of vascular adhesion bands, (B) Number of non-vascular adhesion bands, and (C) Average number of total bands in different study groups. Error bars indicate the standard deviation of replicates, n=8, and** P<0.01
The relationship between adhesion intensity and studied groups is shown in table 2. According to the results, all studied rats in the control group had adhesions and the severity of adhesions in this group was higher than the others. Also, in the imp/Msn@cur group, the severity of adhesion was the lowest than the other groups. Based on Fisher's exact test, a significant relationship was observed between the severity of adhesion with the studied groups (P<0.001) (table 2) (fig. 3A). The relationship between fibrosis severity and studied groups is shown in table 2. According to the results, the control group was the only group with the majority of fibrosis severity. As the imp/Msn@cur group, the severity of fibrosis in most rats was as low. In the imp/Msn group, the majority of fibrosis severity was moderate. Based on Fisher's exact test, no significant relationship was observed between fibrosis severity and studied groups (P>0.05) (table 2) (fig. 3B). The relationship between the severity of inflammation and the study groups is shown in table 2. According to the results, the severity of inflammation in the control group was low. In the imp/Msn@cur and imp/cur groups, the severity of inflammation was moderate and in the imp/Msn group, the rate of inflammation was low. Based on Fisher's exact test, a significant relationship was observed between the severity of inflammation in studied groups (P<0.05) (table 2) (fig. 3C).
Table 2: Intensity of adhesion, severity of fibrosis, and severity of inflammation in different study groups
| Intensity of adhesion | Control | Imp | Imp/Msn | Imp/cur | Imp/Msn@cur | P value |
| 1 | 0(0.0%) | 0(0.0%) | 2(25%) | 1(12.5%) | 6(75%) | 0.000 |
| 2 | 0(0.0%) | 0(0.0%) | 4(50%) | 6(75%) | 1(12.5%) | |
| 3 | 0(0%) | 6(75%) | 2(25%) | 1(12.5%) | 1(12.5%) | |
| 4 | 8(100%) | 2(25%) | 0(0%) | 0 (0%) | 0(0%) | |
| Severity of fibrosis | control | imp | imp/Msn | imp/cur | imp/Msn@cur | P value |
| 0 | 3(37.5%) | 2(25%) | 2(25%) | 1(12.5%) | 3(37.5%) | 0.601 |
| 1 | 4(50%) | 2(25%) | 1(12.5%) | 3(37.5%) | 2(25%) | |
| 2 | 1(12.5%) | 3(37.5%) | 5(62.5%) | 2(25%) | 3(37.5%) | |
| 3 | 0(0.0%) | 1(12.5%) | 0(0.0%) | 2(25%) | 0(0.0%) | |
| Severity of inflammation | control | imp | imp/Msn | imp/cur | imp/Msn@cur | P value |
| 0 | 3(37.5%) | 3(37.5%) | 4(50%) | 3(25%) | 4(50%) | 0.002 |
| 1 | 5(62.5%) | 1(12.5%) | 4(50%) | 0(0.0%) | 0(0.0%) | |
| 2 | 0(0.0%) | 6(75%) | 0(0.0%) | 4(50%) | 4(50%) |
Frequency percentage is calculated. Fisher's exact test

Fig. 3: (A) Number of Adhesion intensity frequency, (B) Number of fibrosis severity frequency, and (C) Number of inflammation severity frequency in the study groups

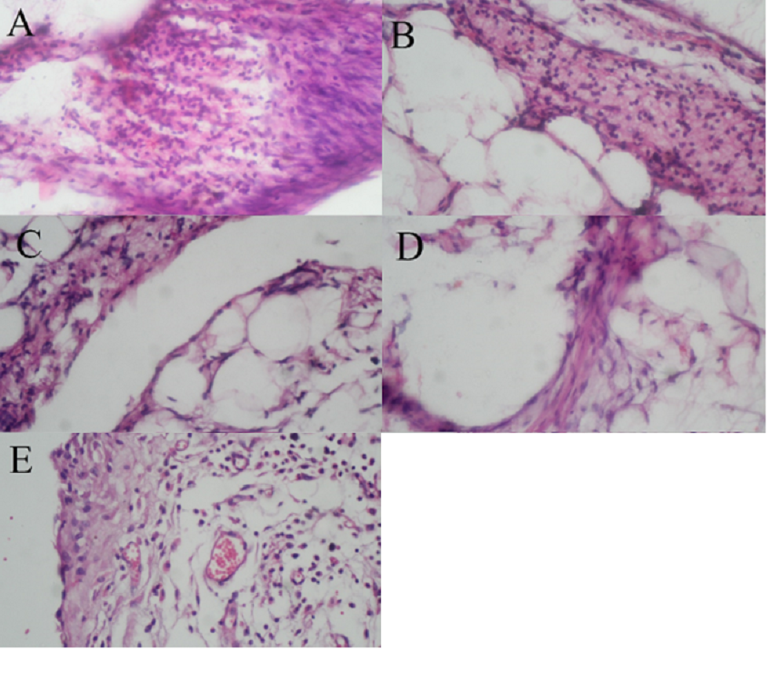
Fig. 4: Microscopic section image of adhesion bands in the studied groups (A) control, (B) imp, (C) imp/Msn, (D) imp/cur, and (E)imp/Msn@cur
Histopathological examination
Fig. 4 exhibits microscopic sections (100X magnification) of adhesion bands, which have undergone staining with Hematoxylin and Eosin. Fig. 4A displayed a moderate to severe infiltration of inflammatory cells with significant fibrosis and the formation of collagen bundles in the control group. On the other hand, fig. 4B exhibited fatty tissue with moderate inflammatory infiltration and focal fibrosis in the imp group. In contrast, the imp/Msn group showed fatty tissue with mild inflammatory infiltrate and focal fibrosis as shown in fig. 4C. Additionally, fig. 4D illustrated fatty tissue in the imp/cur group without significant inflammatory infiltration but with fibrotic bundles in the center of the image. Lastly, fig. 4E depicted the imp/Msn@cur group with connective and fat tissue containing mild to moderate inflammatory infiltration, edema, and slight fibrosis.
Millions of individuals worldwide experience a significant decline in their quality of life due to the presence of intraperitoneal adhesions following surgery. These adhesions can lead to various complications, such as small bowel obstruction, unintended enterotomy during adhesiolysis, pelvic pain, and even secondary female infertility. It is crucial to recognize that these complications not only result in morbidity but can also lead to mortality, highlighting the urgent need for effective management and prevention strategies [24]. The optimal approach to prevent postoperative adhesions involves minimizing or eradicating adhesions while preserving the natural process of wound healing [25]. Adhesion formation has been prevented through the utilization of barrier devices and pharmacological agents. Hydrogel implants have been recently employed for the administration of anti-inflammatory medication to prevent peritoneal adhesion [12, 26, 27]. In this research, the focus was on ameliorating intra-abdominal adhesion by utilizing implants that consisted of cur-loaded mesoporous silica nanoparticles. Therefore it is hypothesized that Nanoparticles have the potential to enhance the stability and biocompatibility of cur, thereby prolonging its circulation time in both the bloodstream and wound site. Consequently, this amplifies the antioxidant properties of cur, allowing for more effective utilization. The results of studies on the use of cur-loaded nanodrugs in the treatment of diseases and tumor cells have shown that nanodrugs can act specifically on the target cell and, especially in the case of cancer cells, have a higher toxicity to cancer cells than healthy cells [28]. Studies have also shown that nanoparticles are non-toxic and fully biocompatible. according to the data presented in table 1, The research results indicate that the average number of vascular adhesions in the contrl and imp/Msn@cur groups following laparotomy surgery was 7.38±1.3 and 0.75±1.04, respectively. These results indicate a significant decrease in the number of vascular adhesions following treatment with imp/Msn@cur. Furthermore, in comparison to the control group, the mean total quantity of adhesion bands was notably reduced within this particular group. As shown in Fig.4 tissue histopathological examination results indicate that collagen density, fibrosis, and severe inflammation were observed in the contrl group, while a decrease in fibrosis, inflammation, and less collagen deposit was observed in the study group that were treated with different implant formulations. Our results were consistent with the findings of recent studies [5, 29]. Studies that were performed on animal models have indicated that several medications, such as fibrin lubricants, corticosteroids, nonsteroidal anti-inflammatory drugs, and antioxidants, may reduce postoperative adhesions [30–32]. As previously stated, cur possesses a range of biological functions, including immunomodulatory, anti-inflammatory, antioxidant, antiviral, and anti-cancer properties. Given that these effects are associated with its anti-adhesion mechanisms, there is potential for cur to be utilized in conjunction with its anti-adhesive properties. Some studies have shown that pretreatment with cur has anti-apoptotic and cell protective properties in various tissues, which is probably due to its antioxidant, anti-inflammatory, and immune-modulating properties [33].
The current research assessed the impact of prepared implants on intraperitoneal adhesion after laparotomy in rats. The research findings indicated that utilizing implants with cur-loaded Msn nanoparticles resulted in improved adhesion and reduced collagen bandages following laparotomy, as opposed to implants lacking nanoparticles. This highlights the enhanced efficacy of nanoparticles in reducing intra-abdominal adhesions.
This article has been produced as a research project with project number 5023 at Shahrekord University of Medical Sciences. We express our gratitude to the Vice Chancellor for Research and Technology at Shahrekord University of Medical Sciences for providing the funding for this research. Additionally, we would like to acknowledge the collaboration of the staff at the Phytochemical Laboratory located at the Shahrekord University of Medical Sciences Research Center for Medicinal Plants, who played a crucial role in the successful execution of this project.
This research was funded by the Iran Government, By the Vice Chancellor for Research and Technology of Shahrekord University of Medical Sciences grant number 5023 mainly. Moreover, supplement grant number 5943 was used for this project.
Pegah Khosravian, Moosa Javdani, Hossein Amini-Khoei, and Mehrdad Karimi designed the experiments and discussed the results and strategy; Parisa Mehreganzadeh performed experiments and collected data; Fatemeh Driss analyzed data; Pegah Khosravian Supervised, directed and managed the study and Mohammad Amin Kaboli, Dhiya Altememy and Pegah Khosravian final approved of the version to be published.
The authors confirm that they don’t have conflicts of interest.
Monk BJ, Berman ML, Montz FJ. Adhesions after extensive gynecologic surgery: clinical significance, etiology, and prevention. Am J Obstet Gynecol. 1994;170(5 Pt 1):1396-403. doi: 10.1016/s0002-9378(94)70170-9, PMID 8178880.
Ellis H, Moran BJ, Thompson JN, Parker MC, Wilson MS, Menzies D. Adhesion-related hospital readmissions after abdominal and pelvic surgery: a retrospective cohort study. Lancet. 1999;353(9163):1476-80. doi: 10.1016/S0140-6736(98)09337-4, PMID 10232313.
Ten Broek RP, Issa Y, Van Santbrink EJ, Bouvy ND, Kruitwagen RF, Jeekel J. Burden of adhesions in abdominal and pelvic surgery: systematic review and met-analysis. BMJ. 2013;347:f5588. doi: 10.1136/bmj.f5588, PMID 24092941.
Lower AM, Hawthorn RJ, Emeritus HE, O’Brien F, Buchan S, Crowe AM. The impact of adhesions on hospital readmissions over ten years after 8849 open gynaecological operations: an assessment from the surgical and clinical adhesions research study. BJOG. 2000;107(7):855-62. doi: 10.1111/j.1471-0528.2000.tb11083.x.
Jomezadeh V, Mohammadpour AH, Rajabi O, Tavassoli A, Maddah G. Evaluation of curcumin effects on post-operative peritoneal adhesion in rats. Iran J Basic Med Sci. 2012;15(6):1162-7. PMID 23653845.
Sharma RA, Gescher AJ, Steward WP. Curcumin: the story so far. Eur J Cancer. 2005;41(13):1955-68. doi: 10.1016/j.ejca.2005.05.009, PMID 16081279.
Aggarwal BB, Harikumar KB. Potential therapeutic effects of curcumin, the anti-inflammatory agent, against neurodegenerative, cardiovascular, pulmonary, metabolic, autoimmune and neoplastic diseases. Int J Biochem Cell Biol. 2009;41(1):40-59. doi: 10.1016/j.biocel.2008.06.010, PMID 18662800.
Aggarwal BB, Kumar A, Bharti AC. Anticancer potential of curcumin: preclinical and clinical studies. Anticancer Res. 2003;23(1A):363-98. PMID 12680238.
Shishodia S, Sethi G, Aggarwal BB. Curcumin: getting back to the roots. Ann N Y Acad Sci. 2005;1056(1):206-17. doi: 10.1196/annals.1352.010, PMID 16387689.
Zhou H, Beevers CS, Huang S. The targets of curcumin. Curr Drug Targets. 2011;12(3):332-47. doi: 10.2174/138945011794815356, PMID 20955148.
Peng Y, Ao M, Dong B, Jiang Y, Yu L, Chen Z. Anti-inflammatory effects of curcumin in the inflammatory diseases: status, limitations and countermeasures. Drug Des Devel Ther. 2021;15:4503-25. doi: 10.2147/DDDT.S327378, PMID 34754179.
Akhlaghi S, Rabbani S, Karimi H, Haeri A. Hyaluronic acid gel incorporating curcumin-phospholipid complex nanoparticles prevents postoperative peritoneal adhesion. J Pharm Sci. 2023;112(2):587-98. doi: 10.1016/j.xphs.2022.10.022.
Türkoglu A, Gul M, Yuksel HK, Alabalik U, Ulger BV, Uslukaya O. Effect of intraperitoneal curcumin instillation on postoperative peritoneal adhesions. Med Princ Pract. 2015;24(2):153-8. doi: 10.1159/000369020, PMID 25504140.
Agustina R, Setyaningsih D. Solid dispersion as a potential approach to improve dissolution and bioavailability of curcumin from turmeric (curcuma longa L.). Int J App Pharm. 2023;15(5):37-47. doi: 10.22159/ijap.2023v15i5.48295.
Modasiya MK, Patel VM. Studies on solubility of curcumin. Int J Pharm Life Sci. 2012;3(3):1490-7.
Liong M, Lu J, Tamanoi F, Zink JI, Nel A. Mesoporous silica nanoparticles for biomedical applications; 2018.
Poorakbar E, Shafiee A, Saboury AA, Rad BL, Khoshnevisan K, Ma’mani L. Synthesis of magnetic gold mesoporous silica nanoparticles core-shell for cellulase enzyme immobilization: improvement of enzymatic activity and thermal stability. Process Biochem. 2018;71:92-100. doi: 10.1016/j.procbio.2018.05.012.
Jafari S, Derakhshankhah H, Alaei L, Fattahi A, Varnamkhasti BS, Saboury AA. Mesoporous silica nanoparticles for therapeutic/diagnostic applications. Biomed Pharmacother. 2019;109:1100-11. doi: 10.1016/j.biopha.2018.10.167, PMID 30551360.
Kamaly N, Yameen B, Wu J, Farokhzad OC. Degradable controlled-release polymers and polymeric nanoparticles: mechanisms of controlling drug release. Chem Rev. 2016;116(4):2602-63. doi: 10.1021/acs.chemrev.5b00346, PMID 26854975.
Tang J, Xiang Z, Bernards MT, Chen S. Peritoneal adhesions: occurrence, prevention and experimental models. Acta Biomater. 2020;116:84-104. doi: 10.1016/j.actbio.2020.08.036, PMID 32871282.
Altememy D, Javdani M, Kaboli M. A, Amini Khoei H, Mehreganzadeh P, Driss F, Karimi M KP. Preparation and evaluation of slow-release mesoporous silica nanoparticles-curcumin implant for prevention of intra-abdominal adhesion. Lat Am J Pharm. 2024;43(5):1843-50.
Javanmardi S, Golmohammadi S, Mazaheri-Khamenei R. Evaluation of silymarin effects on post-operative peritoneal adhesion in rats. J Urmia Univ Med Sci. 2017;28:8.
Arjmand MH, Hashemzehi M, Soleimani A, Asgharzadeh F, Avan A, Mehraban S. Therapeutic potential of active components of saffron in post-surgical adhesion band formation. J Tradit Complement Med. 2021;11(4):328-35. doi: 10.1016/j.jtcme.2021.01.002, PMID 34195027.
Van Goor H. Consequences and complications of peritoneal adhesions. Colorectal Dis. 2007;9Suppl 2:25-34. doi: 10.1111/j.1463-1318.2007.01358.x, PMID 17824967.
Ward BC, Panitch A. Abdominal adhesions: current and novel therapies. J Surg Res. 2011;165(1):91-111. doi: 10.1016/j.jss.2009.09.015, PMID 20036389.
Yeo Y, Adil M, Bellas E, Astashkina A, Chaudhary N, Kohane DS. Prevention of peritoneal adhesions with an in situ cross-linkable hyaluronan hydrogel delivering budesonide. J Control Release. 2007;120(3):178-85. doi: 10.1016/j.jconrel.2007.04.016.
Widiyanti P, Rudiardjo DI, Wibowo H, Hanum A. Hyaluronic acid-chitosan/AgNPs hydrogel green synthesis from curcuma longa as antibacterial anti intraperitoneal adhesion. J Int Dent Med Res. 2020;13(3):1204-10.
Strimpakos AS, Sharma RA. Curcumin: preventive and therapeutic properties in laboratory studies and clinical trials. Antioxid Redox Signal. 2008;10(3):511-45. doi: 10.1089/ars.2007.1769, PMID 18370854.
Babadi D, Rabbani S, Akhlaghi S, Haeri A. Curcumin polymeric membranes for postoperative peritoneal adhesion: comparison of nanofiber vs. film and phospholipid-enriched vs. non-enriched formulations. Int J Pharm. 2022;614:121434. doi: 10.1016/j.ijpharm.2021.121434, PMID 34995747.
Guvenal T, Cetin A, Ozdemir H, Yanar O, Kaya T. Prevention of postoperative adhesion formation in rat uterine horn model by nimesulide: a selective COX-2 inhibitor. Hum Reprod. 2001;16(8):1732-5. doi: 10.1093/humrep/16.8.1732, PMID 11473974.
Portz DM, Elkins TE, White R, Warren J, Adadevoh S, Randolph J. Oxygen free radicals and pelvic adhesion formation: I. Blocking oxygen-free radical toxicity to prevent adhesion formation in an endometriosis model. Int J Fertil. 1991;36(1):39-42. PMID 1672675.
Aldemir M, Oztürk H, Erten C, Buyukbayram H. The preventive effect of rofecoxib in postoperative intraperitoneal adhesions. Acta Chir Belg. 2004;104(1):97-100. doi: 10.1080/00015458.2003.11978403, PMID 15053473.
Ammon HP, Safayhi H, Mack T, Sabieraj J. Mechanism of antiinflammatory actions of curcumine and boswellic acids. J Ethnopharmacol. 1993;38(2-3):113-9. doi: 10.1016/0378-8741(93)90005-p, PMID 8510458.