
1Doctoral Study Program of Dental Science, Faculty of Dental Medicine, Airlangga University, Surabaya, Indonesia. 2Department of Oral Biology, Faculty of Dentistry, University of Jember, Jember, Indonesia. 3Department of Periodontology, Faculty of Dental Medicine, Airlangga University, Surabaya, Indonesia. 4Department of Oral Pathology and Maxillofacial, Faculty of Dental Medicine, Airlangga University, Surabaya, Indonesia. 5Department of Biomedical Science, Faculty of Dentistry, University of Jember, Jember, Indonesia. 6Surabaya Pharmacy Academy, Surabaya, Indonesia
*Corresponding author: Yani Corvianindya Rahayu; *Email: yani.fkg@unej.ac.id
Received: 02 May 2024, Revised and Accepted: 27 Jul 2024
ABSTRACT
Objective: Cocoa pod husk (Theobroma cacao L.) extract was applied to enhance bioavailability and drug effects due to antibacterial, antioxidant and anti-inflamation agents. Recent years have seen significant development of nanomedicine in non-invasive therapy of oral infection. The aim of this study was to develop the formula of nanoemulgel of Cocoa Pod Husk (CPH) extract for topical oral therapy compared its stability and evaluation in gingivitis rats with gels preparations on different gelling agents.
Methods: The topical oral preparation were made in 4 formulations: F1 (CPH gel with gelling agent Sodium Carboxy Methyl Cellulose (Na-CMC) 3%); F2 (CPH gel with gelling agent Carbomer 1%); F3 (CPH nanoemulgel with gelling agent Na-CMC 3%); and F4 (CPH nanoemulgel with gelling agent Carbomer 1%. The physical characterization test of preparations were evaluated the pH, homogeneity, viscosity, spreadability and adhesion test. In vivo evaluation of gingivitis rats were observed using histological analysis of the fibroblast number and gingival collagen density in experimental Wistar rats by Hematoxylin eosin and Masson trichrome staining.
Results: Four formulation (F1-F4) showed good stability in pH, viscosity, spreadability and adhesivity (p<0.05). The observation for 7 d after gel application to gingivitis rats, showed that the number of fibroblast and collagen density increasing in the treatment group compared to the control group (p<0.001). In the LSD test, F3 and F4 indicated the highest increase, however no significantly different (p>0.05).
Conclusion: Nanoemulgel with Na-CMC as gelling agent potential to be used as an effective carrier for the active ingredients of CPH extract.
Keywords: Cocoa pod husk, Nanoemulgel, Topical oral preparation, Fibroblast, Collagen density
© 2024 The Authors. Published by Innovare Academic Sciences Pvt Ltd. This is an open access article under the CC BY license (https://creativecommons.org/licenses/by/4.0/)
DOI: https://dx.doi.org/10.22159/ijap.2024v16i5.51294 Journal homepage: https://innovareacademics.in/journals/index.php/ijap
INTRODUCTION
Antimicrobial and anti-inflammatory agents are often necessary to attenuate infection and inflammation in the oral tissues. Current oral tissue regenerative therapy strategies involve minimally invasive procedures to reduce the risk of infection and host rejection. The use of nanoparticles as drug carriers and drug delivery systems has grown in recent years. Topical application has proven to be effective because it is more controlled, especially with the nanoparticle delivery system [1]. Numerous problems affect oral health, and intensive research is focused on essential oil–based nanoemulsions. It is an ideal transport medium for the purpose of delivering drugs or active compounds, which causes increased therapeutic efficacy by maximizing drug penetration while minimizing side effects and toxic reactions [2].
Nanoemulsions are delivery systems that enhance the distribution and solubility of lipid medications to targeted locations. The globules of a nanometric size in the oil phase normally facilitate efficient drug delivery; therefore, the formulation of nanoemulsion is a promising approach against oral infections [3, 4]. To improve retention in the oral cavity and even enable sustained release of medication. Nanoemulsion Gels (NEGs) are prepared by adding a thickening or gelling agent to a nanoemulsion and offering a sustained release of drugs, and their mucoadhesive nature facilitates a prolonged contact time [5]. NEGs have improved bioavailability, reducing surface tension and shielding incorporated drugs from enzymatic degradation and hydrolysis. Furthermore, improved infusibility, greater drug loading capacity, and permeability make NEGs the most acceptable delivery system for dental drug delivery [6].
The process of inflammation in tissues can be inhibited by natural ingredients containing active compounds, especially polyphenols. One of the plants in Indonesia that has the potential to act as a natural antioxidant, anti-inflammatory, and antimicrobial is Theobroma cacao Linn [7]. Cocoa is rich in polyphenols containing flavonol monomers ((+)-catechin and (–)-epicatechin), procyanidin B1 and B2 oligomers, anthocyanidins, quercetin, and theobromine [8]. Moreover, polyphenols have benefits for the wound healing process by accelerating tissue regeneration. The polyphenol content of cocoa pod as an anti-inflammatory stimulates macrophages to produce growth factors and anti-inflammatory cytokines [9].
A number of studies and investigations have been carried out on the formulation and development of nanoemulgels for a wide range of delivery systems, such as transdermal, vaginal, eye, dental, and nose-to-brain, for the treatment of various local and systemic diseases [10]. Formulation of nanoemulgel is to maintain the stability of the compounds of Cocoa Pod Husk (CPH) extract as an anti-inflammation agent. Nanoemulgel is an emulsion preparation with a droplet size of 1-100 nm, which is suspended in a hydrogel [11]. Nanoemulgel is made from nanoemulsion mixed with a gelling agent, which is the choice that is expected to increase the oral solubility and bioavailability of the extracts of the natural compound. The gelling agent commonly used is Sodium Carboxyl Methyl Cellulose (Na-CMC) and Carbopol 940 (Carbomer). Na-CMC is a polymer from nature and stable at pH 5-9, while the time required for Na-CMC to develop into a good gel structure is shorter. Meanwhile, Carbopol is a synthetic polymer of acrylic acid with a high molecular weight. Carbopol 940 is better known as carbomer 940, with a concentration range of 0.5%-2% [12].
The biological activities of cocoa pod husk extract have the potential for drug discovery, which may be utilized for the future innovative development of pharmaceutical, medical, and health. This study aims to analyze the formulation between gel and nanoemulgel preparations of CPH extract (Theobroma cacao L.) with the gelling agent’s Carbomer and Na-CMC to obtain a stable oral, topical preparation, and an in vivo evaluation in gingivitis rats.
MATERIALS AND METHODS
Extraction of cocoa pod husk (Theobroma cacao L.)
Plant material consists of forastero-type cocoa pod husk (Theobroma cacao L.) obtained from The Coffee and Cocoa Research Institute in Jember, Indonesia. The material was identified at The Integrated Agricultural Development Unit, Polytechnic State of Jember (specimen no. 069/PL.17.8/PG/2022). A total of 5 kg of CPH are cleaned and peeled. CPH was cut and dried for 2x24 h at 50 °C in the oven, then milled to form a fine powder. As much as 50 g of CPH pod powder with the addition of 300 ml of 70% ethanol wasput into a container and then ultra-sonicated for 3x3 min in an ultrasonic bath (Elma, Singen, Germany). Stirring was done every 3 min before the re-ultrasound. The resulting solution is filtered, the filtrate is collected, and the residue obtained is put into a container. The residue in the container was then added with 300 ml of 70% ethanol and re-ultrasonic for 3x3 min. The resulting solution is filtered again, while the filtrate is combined with the first filtrate. These steps were continued until a total of 900 ml of 70% ethanol solvent was obtained. After that, all the resulting filtrates were made more concentrated using a vacuum rotary evaporator (B-one, Indonesia) and evaporated in an oven at 40 °C until an extract with a constant weight was obtained, i. e., CPH extract with a concentration of 100 mg/ml [3, 13]. Four formulations (F1-F4) were analyzed and differentiated based on gelling agent composition and particle size (table 1).
Gel formulation of CPH
To formulate Theobroma cacao extract gel, 96 ml of aquadest was used in a measuring cup and poured into a mortar. Then, 4 g of Na-CMC 3% (Sigma-Aldrich) or Carbomer 1% (Sigma-Aldrich) was measured with an analytical scale (Ohaus, Parsippany, USA) and then sown into a mortar containing aquadest. Let stand for about 10-15 min, stirred until it expands, and crushed to form a clear gel. A total of 45 g of the clear gel was then placed into the mortar with the addition of 5 g of cocoa pod extract 100 mg/ml. Finally, the mixture was crushed to form a homogeneous CPH extract gel [13].
Table 1: Formulation of CPH extract preparation
| Material | Formulation 1 | Formulation 2 | Formulation 3 | Formulation 4 |
| Extract CPH | 10% | 10% | 10% | 10% |
| Gelling agent | Carbomer 1% | Carbomer 1% | Na-CMC 3% | Na-CMC 3% |
| Propylene glycol | 5 g | 5 g | 5 g | 5 g |
| Nipagin | - | 0.02 g | - | 0.02 g |
| TEA | - | 0.36 g | - | 0.36 g |
| VCO | - | 0.4 g | - | 0.4 g |
| Tween80 | - | 2.4 g | - | 2.4. g |
| Aquadest ad | 100% | 100% | 100% | 100% |
Formula 1: Gel of CPH extract, carbomer as gelling base; Formula 2: Nanoemulgel of CPH extract, carbomer as gelling base; Formula 3: Gel of CPH extract, Na-CMC as gelling base; Formula 4: Nanoemulgel of CPH extract, Na-CMC as gelling base
Nanoemulgel formulation of CPH extract
Dissolve 0.02 g nipagin with 1.58 ml hot distilled water in a mortar and stir, sprinkle 0.4 g Na-CMC 3% or Carbomer 1% over the distilled water and wait for 15 min, then stir the Na-CMC and TEA 0.36 g mixture until it is homogeneous and becomes a gel mass (mixture 1). Then, dissolve the CPH extract with 96% ethanol (0.6 ml), stir until homogeneous, and add 0.4 g Virgin Coconut Oil (VCO) and surfactant (Tween 80+Span 80) of 2.4 g and 2.6 g, respectively, into the mixture. CPH extract solution was then stirred again until homogeneous (mixture 2). Add mixture 2 to mixture 1, stir until homogeneous, then mix in the remaining distilled water. Let stand Turax nanoemulgel (IKA, T18 Basic) for 10 min. The preparation is put into a small pot [14].
Particle size analyzer testing
Particle size measurement was carried out by diluting 0.5 g of sample with 1 ml of distilled water. Then 1 ml was taken to test the particle size. Particle size measurements were carried out using the particle size analyzer Zetasizer (Malvern Panalytical, Kassel, Germany) to determine the size of the globules formed in nanoemulgel [15].
Stability evaluation of preparation
Gel stability testing determines the physical stability of gel and nanoemulgel preparations of ethanol extract of CPH with different gelling agents, that were treated with storage at different temperatures. Samples were stored at 4 °C for 24 h. After that, the samples were removed and placed at 40 °C for 24 h. This treatment is counted as one cycle, and repeated three times. Preparations were observed for physical stability, such as organoleptic, homogeneity, pH measurement, viscosity, spreadability, and adhesion [16, 17]:
Organoleptic test
The organoleptic test involves visually observing whether changes occur in the gel preparation. Organoleptic observations were made by observing the changes in shape, color, taste, and odor of CPH extract gel preparations.
Homogeneity test
Homogeneity testing is visual and subjective. Homogeneity measurements were carried out on gel preparations made before and after being given storage conditions. Homogeneity tests were taken with 0.25 g of gel preparation placed on a glass plate and then rubbed and felt to be seen and felt flat or not. The homogeneity test can be carried out by visually observing the uniformity of color and base. If the color and base are evenly distributed, then the preparation is considered homogeneous. Homogeneity evaluation shows that the preparation must show a homogeneous composition and no coarse grains.
pH measurement
pH measurement was done inserting the pH meter electrode (Mettler Toledo S220, Merck) into the gel. pH value is displayed on the pH meter’s screen. The recording of the pH value is awaited until the number on the screen does not change (stable). A suitable gel preparation has a pH value near the oral pH, which is between 6.0 and 7.0.
Determination of viscosity
The viscosity test determines the viscosity of the gel preparation by using a viscometer (Haake 6R viscometer, Thermo Scientific, Germany). The gel preparation sample was put into a glass beaker and placed under a spindle hanger. The spindle was installed on the spindle hanger; then, it was lowered to the limit and immersed in the extract gel preparation. Next, the rotor was turned on while pressing the button. The spindle was allowed to rotate, and the red needle was observed on the scale; then, the number indicated by the needle was read.
Spreadability test
A total of 1 g of gel nanoemulgel was placed on a glass plate, another glass was placed on it and left for 1 min. The initial diameter was measured without load, then 50 g, 100 g, 150 g, and 200 g of additional load were added in sequence and allowed to stand for 1 min. Each formulation was determined three times for the accuracy and consistency of the results. The constant diameter was calculated.
Adhesion test
0.25 g emulgel was smeared on top of the glass object. Then, another glass object was placed on it. The glass object was installed on the test equipment and given a load of 0.5 kg for 5 min. Then, release with a weight of 80 g. The time was recorded until the two glass objects were released.
In vivo evaluation in gingivitis rats
Twenty-five samples of healthy male Wistar rats (Rattus norvegicus), aged 12-14 w, 200-250 g, were housed in a room under controlled temperature with a 12 h light-dark cycle and a humidity of 55 to 70%. All rats were kept for one week for adjustable feeding before the experiment, and food and water were provided ad libitum. All rats were induced Porphyromonas gingivalis (ATCC 33277) once every 3 d for 14 d to provide the model of gingivitis. The buccal sulcus of the left maxillary first molar was given 100 mg/ml CPH extract once a day for 7 d in 5 groups: F1 group with CPH in Na-CMC 3% gel application; F2 group with CPH in carbomer 1% gel application; F3 group with CPH in Na-CMC 3% nanoemulgel application; F4 group with CPH in carbomer 1% nanoemulgel application, and the control group without gel application.
The number of fibroblasts and collagen density in the gingiva was carried out on day 7. The observations use binocular microscope and optilab camera with a magnification of 400X. Samples were observed using Hematoxylin eosin staining for inflammatory cells. Masson’s trichrome staining for gingival collagen density. Density quantified as average blue pixel density was determined based on Adobe Photoshop CS6 software [18]. Ethical approval with number 1760/UN25.8/KEPK/DL/2022 was obtained from the Health Research Ethics Commission of the Faculty of Dentistry, University of Jember.
Statistical analysis
Differences in the mean value were analyzed using the one-way analysis of variance (Anova) test and in vivo analysis followed by the post-hoc Least Significant Difference (LSD) test to further examine differences.
RESULTS AND DISCUSSION
Size distribution of nanoemulgel
Fig. 1 and table 2 showed an analysis of the nanoemulgel size distribution of the CPH ethanol extract.

Fig. 1: Particle size analyzer (PSA) results of nanoemulgel with Na-CMC (a) and carbomer as gelling agent (b)
Table 2: The particle size distribution of nanoemulsion with different gelling agent
| Gelling agent | Particle size (nm)* | Percentages of particle size distribution<100 nm |
| Na-CMC 3% | 90.76±28.6 | 98.1% |
| Carbomer 1% | 33.16±11.5 | 99.9 % |
*All the values were expressed in mean±SD, n=3
The results showed the difference in size and percentage of particle size distribution of nanoemulsion preparations with different gelling agents. Carbomer gives a smaller homogeneous globule size of nanoemulgel (33.16 nm) than Na-CMC (90.76 nm). Nevertheless, both have good requirements for nanoemulgel preparation with particle size<100 nm.
Nanoparticles have different physicochemical properties, including charged surfaces, the ability to agglomerate, the possibility of conjugating other groups to the surfaces, and controlled synthesis that facilitates the obtaining of specific shapes and sizes. These properties allow nanoparticles to possess a more reactive nature in comparison to conventional particles within the biological environment [19].
Physical stability of nanoemulgel of CPH extract
The stability showed that the nanoemulgel CPH extract was brown in color, semi-solid, and with a characteristic cocoa odor. The stability shown from the organoleptic gel preparation after applying the freeze-thaw method for six cycles stated that the two nanogel formulas of ethanol extract of cacao pod husk did not experience separation. This means that, from an organoleptic perspective, the two CPH ethanol extract gel formulas are declared stable.
Table 3: The physical stability of gel formulation containing CPH extract
| Stability test | F 1 | F 2 | F 3 | F 4 |
| Organoleptic | Brown color, smell specialty cacao | Brown color, smell specialty cacao | Brown color, smell specialty cacao | Brown color, smell specialty cacao |
| Homogeneity | Homogenous | Homogenous | Homogenous | Homogenous |
| pH | Standard of oral pH | Standard of oral pH | Standard of oral pH | Standard of oral pH |
| Viscosity | thick tends to thin | thick | thick tends to thin | thick |
F1: Formulation 1 (CPH gel with gelling agent Carbomer 1%; F2): Formulation 2 (CPH nanoemulgel with gelling agent Carbomer 1%); F3: Formulation 3 (CPH gel with gelling agent Na-CMC 3%); F4: Formulation 4: (CPH nanoemulgel with gelling agent Na-CMC 3%)
This homogeneity test is visual and subjective, with the parameter being the absence of coarse grains in the preparation. Based on the homogeneity test results, both Carbomer and Na-CMC show that the nanoemulgel preparation is considered homogeneous. The pH evaluation results were in the range 6.6-6.8, which means that the nanoemulgel preparation meets the requirements for the pH of the oral cavity environment (pH 6-7) (table 3-4).
The decrease in viscosity can be caused by storage factors, namely temperature and pressure. An increase in temperature can cause degradation of the base and reduced interatomic forces, causing the attraction between atoms to weaken and decrease the viscosity value. The gelling agent was well dispersed and stable in water so that the consistency of a gel tends not to be thick. Gel spreadability is inversely proportional to gel viscosity. The higher the spreadability value,the lower the viscosity; and the lower the gel spreadability value,the higher the viscosity (table 4 and table 5).
Formulation 1 had the lowest viscosity, while Formulation 3 had the highest. A good gel has a viscosity between 2,000 and 4,000 cps. The CPH formulation had a viscosity between 2833 and 3233 cps, so the results of this study indicate that the CPH formulation meets the requirements of a fairly good oral gel.
Table 4: Statistical analysis of Anova
| Groups | pH | p-value | Viscosity (cps) | p-value | Adhesion (sec) | p-value |
| F1 | 6.70±0.08 | 0.0816 | 2833±152 | 0.037* | 7.03±0.48 | 0.001* |
| F2 | 6.60±0.09 | 3000±200 | 7.20±0.33 | |||
| F3 | 6.60±0.08 | 3173±351 | 8.23±0.28 | |||
| F4 | 6.85±0.13 | 3233±330 | 9.06±0.37 |
All the values were expressed in mean±SD, n=3. (*) indicated significant difference.
Previous studies showed that the nanoemulgel had improved permeability and efficiency both in vitro and in vivo, in addition to the ability to increase the solubility of pharmaceuticals. The nanoemulgel could be readily wiped off whenever necessary and had a longer residence period in the oral mucosa because its appearance and degree of greasiness were not objectionable, and its flow behavior was good [20]. For this reason, many water-in-oil emulsions were frequently utilized in nanoemulgels to deliver hydrophobic medicines effectively. Because of their improved thixotropic and nonstaining qualities, long shelf life, emollient nature, and ease of spreadability, the demand for and application of nanoemulgels has increased significantly [21].
A hydrogel nanoemulsion system was developed and characterized for topical formulation purposes. CPH extract is known to have biological properties such as being antibacterial, antioxidant, and anti-inflammatory. Oil-in-water nanoemulsion was formulated from VCO as the oil phase and a mixed surfactant consisting of Tween 80 and Span 80, using a high-speed homogenization method. VCO was selected as the oil phase, where the extract was dissolved within. In addition to having a role as an oil phase in (o/w) nanoemulsions. The fatty acids contained also have antimicrobial effects by disrupting bacterial, fungal, and viral cell membranes [22]. The nanoemulsion formula with the gelling agent Carbomer and Na-CMC has a particle size distribution below 100 nm [23]. Nanoemulgel of CPH extract was into the nano size range 1-100 nm.
As non-ionic surfactants, Tween 80 and Span 80 were used in some mole ratios to obtain the proper value of hydrophilic-lipophilic balance surfactants that form the most stable nanoemulsion. Due to its inconvenient use, the low viscosity of nanoemulsion limits its application in transdermal delivery. It was reported that gels are the best formulation, have better controlled release, have absorption properties, and are bioavailable [24]. Incorporating nanoemulsion into gel makes it a dual control release system, which possesses both advantages of nanoemulsions and gels. Apart from better penetration ability, it is also thixotropic, greaseless, non-staining, and easily spreadable, unlike any other topical formula that requires excess rubbing [25].
Spreadability and adhesion of CPH gels
Requirements for good spreadability of semi-solid dosage forms for topical use range from a diameter of 5-7 cm [26]. The Spreadability evaluation results are in this value range, meaning that the gel and nanoemulgel preparations meet the requirements for a good preparation (table 5).
Table 5: Spreadability of CPH extract formulation
| Load (g) | Spreadability (cm) | |
| F 1 | F 2 | |
| 0 | 5.25±0.81 | 5.25±1.03 |
| 50 | 5.35±1.23 | 5.30±2.86 |
| 100 | 5.37±1.44 | 5.25±2.11 |
| 150 | 5.35±0.88 | 5.15±1.67 |
| 200 | 5.30±0.23 | 5.24±1.33 |
All the values were expressed in mean±SD, n=3. (*) indicated significant difference.
The desirable spreadability of the nanoemulgel is one of the essential criteria for selecting a topical delivery system [27]. The greater the spreadability of the gel, the easier it is to use and the better it is at releasing active substances. There are no specific criteria regarding spreadability. Spreadability is inversely proportional to the viscosity ratio of the preparation [28]. A larger value shows better spreadability that the content of the formulation spreads easily (table 5). The nanoemulgel formulations were optimized based on viscosity and spreadability, and it was observed that the spreadability of the nanoemulgel decreased with an increase in the polymer concentration [29].
Gel adhesion testing determines the ability of the gel to adhere to the place of application (>4 s). Gels with high adhesion will stick longer, whereas gels with low adhesion will quickly disappear from the surface. The viscosity test value was directly proportional to the adhesion test. The high viscosity is related to the large adhesive power and vice versa (table 3). Nanoemulgel with gelling agent carbomer (F4) shows the highest adhesive power, followed by nanoemulgel with gelling agent Na-CMC (F3), Carbomer gel (F2) and Na-CMC gel (F1) with significant difference p<0.001.
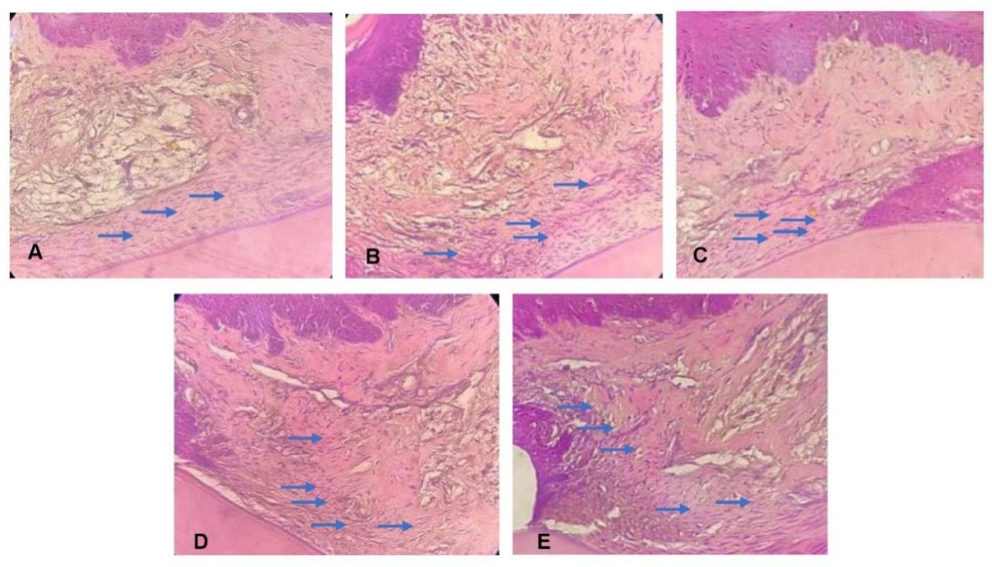
Fibroblast cells in gingivitis rats
The observation was conducted 7 d after gel application to gingivitis rats in fig. 3 and fig. 4 showed the increase in the treatment group (F1-F4) compared to the control group without gel application (FC) (p<0.001). In the LSD test, F3 and F4 indicated the highest increase, however not significantly different (p>0.05). CPH extract is known to have anti-inflammatory and antibacterial effects. In cocoa pods, flavonoids, saponins, and tannins can shorten the inflammatory process and accelerate tissue regeneration by increasing the number of fibroblasts. Gingival fibroblast cells in Hematoxylin eosin staining showed an increase of fibroblast number on day 7 in all groups, which indicates that the fibroplasia process was occurring. These fibroblasts then play a role in the synthesis of collagen, which is the main element of the matrix.

Fig. 3: Number of gingival fibroblast in control group (FC) and F1, F2, F3, F4 groups, all the values were expressed in mean±SD, n=3

Fig. 4: Histological of fibroblast cells in gingivitis rats on HE staining (400x, scale 100 µm), (A) Control group without gel aplication; (B) F1 group with CPH in Na-CMC 3% gel aplication; (C) F2 group with CPH in Carbomer 1% gel aplication; (D) F3 group with CPH in Na-CMC 3% nanoemulgel aplication; (E) F4 group with CPH in Carbomer 1% nanoemulgel application
The statistical analysis compares the control and treatment groups, revealing the increase in the number of fibroblasts in the treatment groups. The results of this study indicate that fibroblasts around the inflammation site will produce collagen, which is an undifferentiated mesenchymal cell. Fibroblasts will produce mucopolysaccharides, proline, and aminoglycoside acid, which are the basic ingredients of collagen fibers [30].
Collagen density of gingivitis rats
The collagen density pattern shows the same results with an increase in fibroblasts. There were significant differences between the control and CPH formulation groups. Fig. 5 and fig. 6 show that the application with nanoemulgel had a higher density than other groups (p<0.05).
Catechins and anthocyanins in high concentrations act as anti-inflammatory agents by inhibiting the release of arachidonic acid and the release of lysosomal enzymes from the membrane by blocking the cyclooxygenase pathway. The tannins have the ability to be an antibacterial agent, thereby inhibiting bacterial growth and playing a role in fibroblast migration and proliferation [31]. The ability of the active substances contained in Theobroma cacao to increase the density of collagen is due to the anti-inflammatory effect of polyphenols and flavonoids, which consist of catechins, anthocyanins, and tannins.

Fig. 5: The gingival collagen density in control group (FC) and F1, F2, F3, F4 groups, all the values were expressed in mean±SD, n=3

Fig. 6: Histology of collagen density of gingivitis rat in Masson trichrome staining (400x).(A) Control group without gel aplication; (B) F1 group with CPH in Na-CMC 3% gel aplication; (C) F2 group with CPH in Carbomer 1% gel aplication; (D) F3 group with CPH in Na-CMC 3% nanoemulgel aplication; (E) F4 group with CPH in Carbomer 1% nanoemulgel aplication. The collagen density expressed in blue stain, scale 100 µm
The increase in average density in the treatment group was also due to the ability of flavonoids, especially quercetin contained in Theobroma cacao, which could stimulate the induction of Transforming Growth Factor-β (TGF-β). TGF-β has a role in stimulating collagenization, and TGF-β has three isoforms, namely TGF-β1, TGF-β2, and TGF-β3. TGF-β is the main component. This function increase the migration and proliferation of fibroblasts in the area of inflammation. An increase in growth factor secretion can accelerate fibroblast migration and proliferation; furthermore, fibroblasts play a very important role in the formation of collagen [32].
In vitro and in vivo studies showed that the gel has good biocompatibility and is a suitable drug carrier. Topical medication or oral gel is used to localize wounds, relieve pain, prevent contamination, and speed healing [33]. Local delivery of polyphenols for bone regeneration is starting to be developed, so gel preparations were chosen for this research. Several studies have shown the results of an increase in bone mass and osteoblast proliferation, as well as a decrease in the inflammatory process associated with bone resorption, after topical application of the extract gel [34]. The study of Morsy (2023) showed the efficacy of nanoemulgel in preventing radiation-induced oral mucositis and regulation of oral microbial dysbiosis [35].
CONCLUSION
The stable nanoemulgel containing Theobroma cacao as an active ingredient was successfully formulated and characterized. The difference in gelling agents influenced the physical properties of pH, viscosity, spreadability, and adhesion. Nanoemulgel-containing CPH ethanol extract (Theobroma cacao) using Na-CMC 3% and Carbomer 1% gelling agent can produce the formula with good stability in topical oral application and the potential to be used as an effective carrier for the active ingredients.
ACKNOWLEDGEMENT
The authors gratefully acknowledge to the Universitas Jember for funding this research under Internal Research Grant in 2023.
AUTHORS CONTRIBUTIONS
YCR conceptualized and designed the study, analyzed and wrote the manuscript. EMS and RPR conceptualized the study reviewed and edited the manuscript. BK and NMU acquisition and interpretation of data. All authors read and approved the final version of the manuscript.
CONFLICT OF INTERESTS
Declared none
REFERENCESReferences
Dhawan B, Aggarwal G, Harikumar S. Enhanced transdermal permeability of piroxicam through novel nanoemulgel formulation. Int J Pharm Investig. 2014;4(2):65-76. doi: 10.4103/2230-973X.133053, PMID 25006551.
Sindi AM, Hosny KM, Rizg WY, Sabei FY, Madkhali OA, Bakkari MA. Utilization of experimental design in the formulation and optimization of hyaluronic acid-based nanoemulgel loaded with a turmeric curry leaf oil nanoemulsion for gingivitis. Drug Deliv. 2023;30(1):2184311. doi: 10.1080/10717544.2023.2184311, PMID 36846914.
Mathew R, Varkey J. Formulation and in vitro evaluation of self nano emulsifying drug delivery system of quercetin for enhancement of oral bioavailability. Int J Curr Pharm Sci. 2022;14(1):60-9. doi: 10.22159/Ijcpr.2022v14i1.44113.
Aithal GC, Narayan R, Nayak UY. Nanoemulgel a promising phase in drug delivery. Curr Pharm Des. 2020;26(2):279-91. doi: 10.2174/1381612826666191226100241, PMID 31878849.
Hosny KM, Alhakamy NA, Sindi AM, Khallaf RA. Coconut oil nanoemulsion loaded with a statin hypolipidemic drug for management of burns formulation and in vivo evaluation. Pharmaceutics. 2020;12(11):1061. doi: 10.3390/pharmaceutics12111061, PMID 33171816.
Abdullah NA, Jufri M, Munim A, Saputri FC. Celastrol nanoemulgel formulation and in vitro penetration test. Int J Pharm Pharm Sci. 2020;12(8):82-91. doi: 10.22159/Ijpps.2020v12i8.37167.
Rahayu YC, Setiawatie EM, Rahayu RP, Ramadan DE. Analysis of antioxidant and antibacterial activity of cocoa pod husk extract (theobroma cacao l.). Dent J. 2023;56(4):220-5. doi: 10.20473/j.djmkg.v56.i4.p220-225.
Jalil AM, Ismail A. Polyphenols in cocoa and cocoa products is there a link between antioxidant properties and health. Molecules. 2008;13(9):2190-219. doi: 10.3390/molecules13092190, PMID 18830150.
Ackar D, Valek Lendic K, Valek M, Subaric D, Milicevic B, Babic J. Cocoa polyphenols can we consider cocoa and chocolate as potential functional food. Journal of Chemistry. 2013;2013(1)1-7. doi: 10.1155/2013/289392.
Choudhury H, Gorain B, Pandey M, Chatterjee LA, Sengupta P, Das A. Recent update on nanoemulgel as topical drug delivery system. J Pharm Sci. 2017;106(7):1736-51. doi: 10.1016/j.xphs.2017.03.042, PMID 28412398.
Algahtani MS, Ahmad MZ, Shaikh IA, Abdel Wahab BA, Nourein IH, Ahmad J. Thymoquinone loaded topical nanoemulgel for wound healing formulation design and in vivo evaluation. Molecules. 2021;26(13):3863. doi: 10.3390/molecules26133863, PMID 34202733.
Ismail SH, Hamdy A, Ismail TA, Mahboub HH, Mahmoud WH, Daoush WM. Synthesis and characterization of antibacterial Carbopol/Zno hybrid nanoparticles gel. Crystals. 2021;11(9):1092. doi: 10.3390/cryst11091092.
Rahayu YC, Setiawatie EM, Rahayu RP, Sakinah NN, Kusumawardani B, Gunadi A. Effects of cocoa pod husk extract (Theobroma cacao L.) on alveolar bone in experimental periodontitis rats. Trends Sci. 2023;20(6):6535. doi: 10.48048/tis.2023.6535.
Saryanti D, Setiawan I, Dayanto HH. Use of CMC Na as gelling agent in nanoemulgel formulation of methanol extract of sappan wood (Caesalpinia sappan L). J Trop Pharm Chem. 2022;6(1):21-9. doi: 10.25026/jtpc.v6i1.276.
Yadav VD, Shinde AD, Jadhav PD. Formulation and evaluation of liposomes containing fluconazole. Int J Drug Deliv Technol. 2022;12(1):98-102. doi: 10.25258/ijddt.12.1.19.
Patil A, Bhide S, Bookwala M, Soneta B, Shankar V, Almotairy A. Stability of organoleptic agents in pharmaceuticals and cosmetics. AAPS PharmSciTech. 2018;19(1):36-47. doi: 10.1208/s12249-017-0866-2, PMID 28900868.
Dwiastuti R, Bahar Gumilar KN, Yuliani H. Optimization and physical characterization of quercetin nanoemulgel formula as an antibacterial agent. Int J App Pharm. 2023;15(1):104-10. doi: 10.22159/Ijap.2023v15i1.46737.
Rognoni E, Pisco AO, Hiratsuka T, Sipila KH, Belmonte JM, Mobasseri SA. Fibroblast state switching orchestrates dermal maturation and wound healing. Mol Syst Biol. 2018;14(8):e8174. doi: 10.15252/msb.20178174, PMID 30158243.
Yusuf A, Almotairy AR, Henidi H, Alshehri OY, Aldughaim MS. Nanoparticles as drug delivery systems a review of the implication of nanoparticles physicochemical properties on responses in biological systems. Polymers (Basel). 2023;15(7):1596. doi: 10.3390/polym15071596, PMID 37050210.
Mahmoud EA, Bendas ER, Mohamed MI. Effect of formulation parameters on the preparation of superporous hydrogel self nanoemulsifying drug delivery system (SNEDDS) of carvedilol. AAPS PharmSciTech. 2010;11(1):221-5. doi: 10.1208/s12249-009-9359-2, PMID 20127427.
Ajazuddin, Alexander A, Khichariya A, Gupta S, Patel RJ, Giri TK. Recent expansions in an emergent novel drug delivery technology emulgel. J Control Release. 2013;171(2):122-32. doi: 10.1016/j.jconrel.2013.06.030, PMID 23831051.
Yoon BK, Jackman JA, Valle Gonzalez ER, Cho NJ. Antibacterial free fatty acids and monoglycerides biological activities experimental testing and therapeutic applications. Int J Mol Sci. 2018;19(4):1114. doi: 10.3390/ijms19041114, PMID 29642500.
Donthi MR, Munnangi SR, Krishna KV, Saha RN, Singhvi G, Dubey SK. Nanoemulgel a novel nano carrier as a tool for topical drug delivery. Pharmaceutics. 2023;15(1):164. doi: 10.3390/pharmaceutics15010164, PMID 36678794.
Jeengar MK, Rompicharla SV, Shrivastava S, Chella N, Shastri NR, Naidu VG. Emu oil based nano emulgel for topical delivery of curcumin. Int J Pharm. 2016;506(1-2):222-36. doi: 10.1016/j.ijpharm.2016.04.052, PMID 27109049.
Gohtani S, Prasert W. Nano emulsions emulsification using low energy methods. Japan J Food Eng. 2014;15(3):119-30. doi: 10.11301/jsfe.15.119.
El-Leithy ES, Makky AM, Khattab AM, Hussein DG. Nanoemulsion gel of nutraceutical co-enzyme q10 as an alternative to conventional topical delivery system to enhance skin permeability and anti-wrinkle efficiency. Int J Pharm Pharm Sci. 2017;9(10):207-1. doi: 10.22159/ijpps.2017v9i11.21751.
Bhattacharya S, Prajapati BG. Formulation and optimization of celecoxib nanoemulgel. Asian J Pharm Clin Res. 2017;10(8):353-65. doi: 10.22159/ajpcr.2017.v10i8.19510.
Rahmani SI, Zulkarnain AK. Optimization of HPMC and Na-CMC as gelling agents on physical properties and stability in sunflower seed oil gel formulation. J Food Pharm Sci. 2023;11(2):812-9. doi: 1146/jfps.82270.22.
Ullah N, Amin A, Farid A, Selim S, Rashid SA, Aziz MI. Development and evaluation of essential oil based nanoemulgel formulation for the treatment of oral bacterial infections. Gels. 2023;9(3):252. doi: 10.3390/gels9030252, PMID 36975701.
Taqwim Hidayat A, Thohar Arifin M, Nur M, Muniroh M, Susilaningsih N. Ozonated aloe vera oil effective increased the number of fibroblasts and collagen thickening in the healing response of full thickness skin defects. Int J Inflam. 2021 Feb 9;2021:6654343. doi: 10.1155/2021/6654343, PMID 33628417.
Schilrreff P, Alexiev U. Chronic inflammation in non healing skin wounds and promising natural bioactive compounds treatment. Int J Mol Sci. 2022;23(9):4928. doi: 10.3390/ijms23094928, PMID 35563319.
Abnaof K, Mallela N, Walenda G, Meurer SK, Sere K, Lin Q. TGF-β stimulation in human and murine cells reveals commonly affected biological processes and pathways at transcription level. BMC Syst Biol. 2014;8:55. doi: 10.1186/1752-0509-8-55, PMID 24886091.
Budi HS, Anitasari S, Ulfa NM, Juliastuti WS, Aljunaid M, Ramadan DE. Topical medicine potency of Musa paradisiaca var sapientum (L.) kuntze as oral gel for wound healing an in vitro in vivo study. Eur J Dent. 2022;16(4):848-55. doi: 10.1055/s-0041-1740226, PMID 35181871.
Ekeuku SO, Chin KY. Application of propolis in protecting skeletal and periodontal health a systematic review. Molecules. 2021;26(11):3156. doi: 10.3390/molecules26113156, PMID 34070497.
Morsy BM, El Domiaty S, Meheissen MA, Heikal LA, Meheissen MA, Aly NM. Omega-3 nanoemulgel in prevention of radiation induced oral mucositis and its associated effect on microbiome a randomized clinical trial. BMC Oral Health. 2023;23(1):612. doi: 10.1186/s12903-023-03276-5, PMID 37648997.