
Nitte (Deemed to be University), Department of Pharmaceutics, NGSM Institute of Pharmaceutical Sciences, Deralakatte, Mangalore, Karnataka, India
*Corresponding author: Sandeep DS; *Email: sandypharama@gmail.com
Received: 21 May 2024, Revised and Accepted: 02 Sep 2024
ABSTRACT
Objective: The present study was aimed to develop and assess a Luliconazole-loaded nano emulgel for topical application.
Methods: Nanoemulsion of Luliconazole was prepared by ultrasonication method. A pseudo-ternary phase diagram was constructed to determine the ideal ratio of oil and the surfactant/co-surfactant mixture for nanoemulsion preparation. The Box Behnken statistical design was utilized to optimize the nanoemulsion. The optimized batch of nanoemulsion was incorporated into the 1% Carbopol gel as nanoemulgel. It was evaluated for various parameters like globule size, zeta potential, pH, spreadability, viscosity, drug content, drug release, ex vivo permeation study, in vivo animal skin irritation study, and histopathology studies.
Results: The optimized formulation showed a globule size of 130.5 nm and entrapment efficiency of 80% and the values were found to be within±5% of predicted values, indicating the suggested statistical model was significant at 95% of confidence interval. The zeta potential of the formulation was found to be-22.1 mV, indicating enhanced stability of the formulation. Transmission Electron Microscopy (TEM) images revealed that the formulation had a smooth surface texture with a mean globule size meeting the nanoscale size range. The drug release study demonstrated a sustained release pattern for the formulation, with a maximum release of 74.93±0.8% over 8 h. The formulated gel exhibited appreciable ex vivo permeability. An in vivo skin irritation test on Wister rats showed no signs of skin irritation from the formulation. The histopathological examination further confirmed that the formulation was dermatologically safe, exhibiting no toxicity or irritation.
Conclusion: The results of the present study concluded that Luliconazole-loaded nanoemulgel could be a potential topical drug delivery approach for the management of fungal infections.
Keywords: Clove oil, Nanoemulsion, Luliconazole, Carbopol gel, Nanoemulgel
© 2024 The Authors. Published by Innovare Academic Sciences Pvt Ltd. This is an open access article under the CC BY license (https://creativecommons.org/licenses/by/4.0/)
DOI: https://dx.doi.org/10.22159/ijap.2024v16i6.51522 Journal homepage: https://innovareacademics.in/journals/index.php/ijap
The topical route is the most preferred route since the oral route has various limitations like gastric irritation, hepatic first-pass metabolism, and systemic toxicity. Due to its high efficacy and ability to localize drugs at the site of infection, the topical route is preferred to be the first-line treatment for superficial and uncomplicated infections [1, 2].
Luliconazole is an imidazole antifungal drug used topically. It inhibits the ergosterol synthesis by inhibiting the enzyme lanosterol demethylase, which causes the cell death. Luliconazole is used in the treatment of ringworm, jock itch, and athlete's foot infection also [3].
The therapeutic efficacy of Luliconazole has various limitations, including less skin retention, poor skin penetration, and aqueous solubility [4]. To overcome these drawbacks a novel nanosized formulation has been developed. One example of the nanosized drug delivery system is the nanoemulsion [5].
Nanoemulsions are isotropic, transparent, and thermodynamically stable clear dispersions that are composed of oil, water, and surfactants with droplet sizes ranging from 20-200 nm. Due to the smaller particle size, they easily penetrate the skin. Emulsifiers are required while preparing nanoemulsions to reduce the interfacial tension between the two immiscible liquids [6]. Nanoemulsions are heterogeneous systems that enhance the solubility of hydrophobic drugs and improve the bioavailability of poorly water-soluble drugs. These are non-toxic, non-irritant, and hence can be easily applied to the skin and mucous membranes. Nanoemulsions can be further incorporated into a gelling agent to prepare as nanoemulgel which further enhances the viscosity and permeability properties [7, 8]. It also exhibits site-specific action with more drug penetrability, with a non-greasy, non-invasive nature that encourages consumer compliance, and helps to stabilize the formulation by lowering surface and interfacial tension [9, 10].
The objective of this study was to develop and characterize a Luliconazole nanoemulgel for topical application. The nanoemulsions were fabricated using the ultra-sonication method. A three-factor, three-level Box Behnken Design (BBD) was chosen to optimize the Luliconazole nanoemulsions. Further, the optimized batch of nanoemulsion was converted to topical nanoemulgel and was characterized for various parameters [11].
Materials
Luliconazole pure drug was purchased from Ajanta Pharma Limited, Mumbai. Clove oil, and Transcutol P were procured from Loba Chemie, Mumbai, India. Tween 80, Methanol, Carbopol 934, and Triethanolamine were purchased from Lobo Chemie, Mumbai, India.
Methods
Solubility assessment of Luliconazole
The Luliconazole pure drug was added in excess to each of the Eppendorf tubes bearing 1 ml of clove oil, olive oil, castor oil, oleic acid, and eucalyptus oil and aggressively mixed with the help of a vortex mixer. After this, the samples were placed in the Roto spin and rotated at 25 rpm for 72 h to attain equilibrium. After equilibration, the samples were centrifuged for 15 min at 10000 rpm. The supernatant was collected and diluted with 10 ml methanol. A UV-1900 spectrophotometer was used to measure the filtrate concentration at 296 nm [12].
Selection of surfactant
10µl of oil was added to each of 1 ml of 10% v/v surfactant solution, followed by vortexing. The oil was gradually added until the mixture became cloudy, and the volume added was noted and expressed as a percentage [13].
Selection of co-surfactant
A Ternary Phase Diagram (TPD) was constructed to determine the nano-emulsion existence region. The degree of the emulsion regions, i. e., the proportion in which the three essential components must be combined to form a transparent homogeneous, clear, stable, and single-phase emulsion, was described by constructing phase diagrams.
Based on the solubility studies of Luliconazole, the oil, surfactant, and co-surfactant were chosen for constructing the TPD. The surfactant and co-surfactant (Smix) mixture was initially selected with increasing concentrations of co-surfactant while keeping the surfactant concentration constant in ratios of 1:1, 1:2, and 1:3. Later, the co-surfactant concentration was maintained constant, and the surfactant concentration was increased (2:1, 3:1). TPDs were studied using the aqueous titration method, where water was added to each weight ratio of oil and surfactants incrementally, followed by mixing with a vortex mixer. The endpoint was determined when the solution became turbid or cloudy. The amount of aqueous phase needed to reach this turbidity point was recorded. The nano-emulsion phase was identified visually as a clear, easily flowable, and transparent formulation. Fifteen potential combinations of oil and Smix weight ratios (1:9, 2:8, 3:7, 4:6, 5:5, 6:4, 7:3, 8:2, 9:1, 1:2, 1:3, 1:5, 1:6, 1:7, and 1:8) were tested. The physical state of the resulting emulsion was then plotted on a pseudo-ternary phase diagram using Triplot software, with one axis representing water, another representing oil, and the third representing a mixture of surfactant and co-surfactant (Smix) at fixed weight ratios [14].
Fourier transform infrared spectroscopy (FTIR)
The IR spectra of Luliconazole, Tween 80, Transcutol P, and their physical mixture were obtained using the ATR-Bruker IR spectrophotometer. Compatibility of drug with surfactant and co-surfactants was investigated by FTIR interpretation study. After obtaining the respective spectra, the major peaks with functional groups were verified [15].
Optimization of nanoemulsions by design of experiments (DoE) approach
The Luliconazole nanoemulsions were optimized using Design Expert 13.0.5.0 software utilizing the BBD model. The oil %, Smix %, and sonication time were chosen as the independent variables at three different levels, low (-1), medium (0), and high (+1). The globule size (nm) and entrapment efficacy (%) were selected as dependent variables [16]. The independent variables selected at different levels are given in table 1 and the experimental runs for the three different factors are represented in table 2.
Table 1: Box behnken design (BBD) for nanoemulsions with independent values
| Factors | Levels actual (coded) | ||
| (-1) | (0) | (+1) | |
| Independent variables | |||
| A= Oil % (v/v) | 5 | 10 | 15 |
| B= Smix %(v/v) | 15 | 30 | 45 |
| C= Sonication time (min) | 5 | 10 | 15 |
| Dependent variables | |||
| Globule size (nm) | |||
| Entrapment efficiency (%) |
Table 2: DoE suggested luliconzaole nanoemulsion formulation trials
| Std | Factor 1 | Factor 2 | Factor 3 |
| A: Oil | B: Smix | C: Sonication time | |
| % V/V | % V/V | min | |
| 1 | 5 | 15 | 10 |
| 2 | 15 | 15 | 10 |
| 3 | 5 | 45 | 10 |
| 4 | 15 | 45 | 10 |
| 5 | 5 | 30 | 5 |
| 6 | 15 | 30 | 5 |
| 7 | 5 | 30 | 15 |
| 8 | 15 | 30 | 15 |
| 9 | 10 | 15 | 5 |
| 10 | 10 | 45 | 5 |
| 11 | 10 | 15 | 15 |
| 12 | 10 | 45 | 15 |
| 13 | 10 | 30 | 10 |
| 14 | 10 | 30 | 10 |
| 15 | 10 | 30 | 10 |
| 16 | 10 | 30 | 10 |
| 17 | 10 | 30 | 10 |
Preparation of Luliconazole loaded nanoemulsions
The oil phase for nanoemulsion was generated by combining clove oil with the Smix comprising Tween 80 and Transcutol P, to which a predefined amount (30 mg) of Luliconazole was added and vortexed to make a homogenous solution. To get a crude emulsion, the oil phase was introduced dropwise to the aqueous phase followed by magnetic stirring (1500 rpm) for 10 min. The resultant emulsion was then subjected to ultrasonication at different periods with a fixed frequency of amplitude to get nanoemulsion [17, 18].
Evaluation of Luliconazole nanoemulsions
Globule size and PDI
The mean globule size and PDI of all formulated nanoemulsions and optimized nanoemulgel was measured using a Malvern Zetasizer, which utilizes dynamic light scattering at 25 °C. Each sample was diluted with distilled water at a 1:10 ratio before analysis [19].
Entrapment efficiency (%)
The entrapment efficiency (%) of Luliconazole nanoemulsions and nanoemulgel was assessed using the centrifugation method. Initially, the formulated nanoemulsions were diluted with methanol in a 10 ml volumetric flask. This mixture underwent sonication for 15 min followed by centrifugation at 13000 rpm for 10 min in a cold centrifuge to collect the supernatant liquid. Subsequently, the drug concentration was analyzed using a UV-visible spectrophotometer set at 296 nm [20]. The drug entrapment efficiency was calculated by the following equation.

Where Ct is the amount of total drug and Cf is the concentration of unentrapped drug.
Zeta potential measurement
The Zeta Potential of optimized formulation was measured by Electrophoretic Light scattering method using Malvern Zeta sizer at 25 °C. The zeta potential of the formulation was measured with an undiluted sample [21].
Transmission electron microscopy (TEM) analysis
The morphological study of optimized formulation was carried out by using transmission electron microscopy. The formulation was diluted ten times using distilled water, and the sample was ultrasonicated for 10 min. After sonication, one drop of sample was taken and placed in the copper grid. The grid with the sample was subjected to drying for two days under a 60 W incandescent bulb. Then the sample was analyzed [22].
Preparation of Luliconazole loaded nanoemulgel
The optimized Luliconazole topical nanoemulgel was prepared by incorporating the optimized nanoemulsion into 1% Carbopol 934. At first, 1g of Carbopol 934 was dissolved in 100 ml of distilled water, agitated for 2 h, and then left overnight to swell. Then the optimized batch of nanoemulsion was added and the dispersion was neutralized with Triethanolamine for pH adjustment and also to get the consistency of the gel [23].
Evaluation of Luliconazole-loaded nanoemulgel
pH
The pH of the optimized formulation was measured using a digital pH meter. This involved submerging the electrode into a beaker containing 1 g of nanoemulgel diluted in 10 ml of distilled water [24].
Spreadability
A wooden block apparatus equipped with a pulley at one end was used to test the spreadability. The wooden block was fitted with a glass slide. Approximately 1g of gel was placed on the ground slide and then sandwiched between two glass slides of identical dimensions. A 100g weight was placed on top of the slides to expel any air and making the gel to spread uniformly on the glass slides [25]. Spreadability was calculated by using the following formula.

Where M= weight tied to the upper slide, L= length of the glass slide T= time taken in seconds for the expansion of gel to spread on glass slide.
Drug content
It was measured by dissolving an accurately weighed sample of gel in about 10 ml of methanol. From this, 1 ml was diluted with 100 ml of phosphate buffer of pH 7.4 and analyzed spectroscopic ally at 296 nm [26].
Viscosity
The viscosity of nanoemulgel was measured using a Brookfield viscometer using spindle no. 96 at 3, 6, 12, 30, 50, and 100 rpm shear rates. A plot of rpm versus viscosity was drawn to check the flow nature of the optimized formulation [27].
In vitro drug release study
The drug release study of the nanoemulgel was conducted using a Franz diffusion cell apparatus, which includes a donor and a receptor chamber. 1g of the gel was placed on a dialysis membrane positioned between the donor and receptor compartment. The experiment was performed at 37±5 °C with constant stirring at 100 rpm. At various time intervals (0.5, 1, 2, 3, 4, 5, 6, 7, and 8 h), 1 ml of aliquots were withdrawn and replaced with 1 ml of fresh buffer. The withdrawn samples were diluted with 10 ml of phosphate buffer pH 7.4 and analyzed using a UV spectrophotometer at 296 nm. The Percentage Cumulative Drug Release (% CDR) was calculated, and the resulting data were further subjected to curve fitting for the drug release study [28].
Drug release kinetics
The data from the drug release study were fitted to various kinetic models (Zero order, First order, Higuchi, and Korsmeyer-Peppas) to elucidate the drug release mechanism of the optimized formulation. The model with the highest regression coefficient was selected as the best one [29].
Ex-vivo permeation studies
The study was conducted in the same manner as described for the in vitro drug release study using goat skin as a diffusion membrane. Goat abdominal skin was procured from slaughter house and placed between the donor and receptor compartment. 1 g of nanoemulgel was placed on the donor compartment and the receptor compartment was filled with phosphate buffer pH 7.4 and mounted on the magnetic stirrer hot plate followed by rotation at 100 rpm and maintained at 37±0.5 °C. 1 ml of sample was withdrawn at a different time intervals and diluted with 10 ml of buffer and the absorbance was measured spectroscopically at 296 nm. The study lasted for 8 h for the complete diffusion. A plot of time versus percentage cumulative release was drawn [30].
In vivo animal skin irritation studies
An in vivo skin irritation study was conducted on Wister rats to assess product safety, following ethical approval from the IAEC of NGSMIPS under reference number NGSM/IAEC/2022-23/289. The study involved male and female Wister rats (200-250g) procured from animal house facility of NUCARE, NGSMIPS, Mangaluru. A total of nine rats were chosen for the study and animals were divided into three groups: Group I (control), Group II (standard), and Group III (test). The animals were fed a commercial pellet diet and water ad libitum. The hair on the abdominal skin area of the rats was shaved 24 h prior to the study. The optimized Luliconazole nanoemulgel was applied to the test group, plain Carbopol gel was applied to the standard group, and the control group was left untreated. The animals were visually observed for dermal reactions, such as erythema and edema, at 24, 48, and 72 h and the grading scores were recorded as per standard scores given in table 3 [31].
Table 3: Standard score grades for skin irritation study
| Erythema formation grading score | |
| No erythema | 0 |
| Very slightly erythema | 1 |
| Well-defined erythema | 2 |
| Moderate to severe erythma | 3 |
| Severe erythema | 4 |
| Edema formation grading score | |
| No edema | 0 |
| Very slightly edema | 1 |
| Well-defined edema | 2 |
| Moderate to severe edema | 3 |
| Severe edema | 4 |
| Total possible score formation | 8 |
Histopathology studies
To determine possible topical irritation and toxicity, portions of rat skin were subjected to several treatments, including a control group (untreated), a standard group (plain Carbopol gel), and a test group (optimized formulation). The rats were then sacrificed, and their skin was isolated using phosphate buffer and fixed with 10% formalin. Samples were prepared and sectioned using a microtome, then stained with eosin and haematoxylin. Each histopathological image was captured and visually analyzed for skin anatomical structure using an optical Leica microscope at 400x magnification [32].
Solubility assessment of luliconazole
The solubility analysis of Luliconazole was assessed in various vegetable oils. Among them, clove oil showed the highest solubility of 775±0.14 µg/ml. The study demonstrated that Luliconazole was highly soluble in clove oil and as per the literature it was suggested that clove oil as one of the vegetable oils can be used for getting clear nanoemulsions [11]. Hence, in the present study, it was found that Luliconazole solubility was higher in clove oil (fig. 1) when compared to other vegetable oils and the current study also claimed that Luliconazole nanosuspension can have enhanced solubility in clove oil as compared to the previous study [12]. The obtained solubility values of Luliconazole pure drug in different vegetable oils were represented in table 4.
Table 4: Solubility analysis of luliconazole in oil phase
| S. No. | Vegetable oil | Solubility concentration (µg/ml)±SD |
| 1 | Castor oil | 44±0.22 |
| 2 | Clove oil | 775±0.14 |
| 3 | Oleic acid | 104±0.23 |
| 4 | Eucalyptus oil | 148±0.36 |
| 5 | Oilve oil | 32±0.15 |
(n=3)

Fig. 1: Solubility of luliconazole in different vegetable oils, the results are given in mean

Fig. 2: Ternary phase diagrams of smix ratio (tween 80: transcutol P) A(1:1), B(1:2), C(1:3), D (2:1), E(3:1)
Oil emulsification studies
The oil-emulsifying ability of the surfactant has a vital role in getting nanoemulsion formulations. The current study utilized various surfactants to check their oil emulsification studies. A combination of various lipophilic and hydrophilic surfactants would be necessary to produce a stable nanoemulsion. A combination of Tween 80 and Transcutol P were further studied at various ratios (0:1,1:1,1:2,1:3,3:1,2:1) to determine their Smix mass ratio to produce a stable nanoemulsion region. The emulsification of the oil can be directly correlated to the HLB value of the surfactant and thus in the present study, it was evident from the ternary phase diagrams (TPDs), that Tween 80 and Transcutol P in the ratio from 1:1 and 2:1 gradually increased the nanoemulsion region whereas a decrease in the nanoemulsion region was observed with further increase in the Tween 80 in the Smix ratio. Further increase in the Transcutol P in the Smix ratio could not produce an appreciable nanoemulsion region. Thus, the combination of Tween 80 and Transcutol P at a 2:1 ratio was selected as the optimum Smix ratio that emulsified the oil (clove oil) and produced a stable nanoemulsion region in the TPDs. Pseudo-ternary phase diagrams were constructed (fig. 2) by using Smix (surfactant: co-surfactant) ratios of A(1:1), B(1:2), C(1:3), D (2:1), E(3:1).
FTIR studies
In the IR spectrum of pure Luliconazole, prominent peaks were observed at wavelengths of 722.11, 2198.75, 3006.73, 1554.81, and 941.33 cm⁻¹, corresponding to C-Cl (alcohol) stretching, C≡N (nitrile) stretching, C-H (aromatic) stretching, C=C (aromatic) bending, and C-S-C (sulfide) stretching functional groups, respectively (fig. 3A). The IR spectrum of pure Transcutol P (fig. 3B) showed absorption bands at 3429.09, 1104.63, and 2974.87 cm⁻¹ for O-H (alcohol) stretching, C-O-C (ether) stretching and C-H (aromatic) stretching functional groups. In the IR spectrum of pure Tween 80 (fig. 3C), peaks at 1734.73, 3475.26, 1093.84, and 2921.37 cm⁻¹ were observed, representing C=O (carbonyl group) stretching, O-H (alcohol) stretching, C-O-C (ether) stretching, and C-H (aromatic) stretching functional groups. The IR spectrum of the physical mixture of Luliconazole with transcutol P and tween 80 (fig. 3D) revealed prominent peaks at 720.56, 994.09, 3378.56, 2923.72, and 1095.98 cm⁻¹, corresponding to C-Cl (chloride) stretching, C-S-C (sulfide) stretching, O-H (alcohol) stretching, C-H (aromatic) stretching, and C-O-C (ether) stretching functional groups.
The FTIR study confirmed that the prominent peaks observed in the drug, surfactant, co-surfactant, and their physical mixture remained consistent, with no additional IR peaks or interactions between the drug and the surfactants/co-surfactants used in the formulation.

Fig. 3: (A) FTIR of pure luliconazole (B) FTIR of Transcutol P (C) FTIR of Tween 80 (D) FTIR of physical mixture of drug and surfactants
Optimization of nanoemulsions
Using the DoE approach, the linear model suggested 17 formulation batches with varying concentrations of oil (%,) surfactant, and sonication time. These nanoemulsions were prepared by mixing the oil phase with the aqueous phase, followed by ultrasonication at the specified levels. All the formulated nanoemulsions were evaluated for globule size and % entrapment efficiency. The results for these dependent factors, obtained from the experimental trial using BBD, showed that the globule size of the formulations was ranging from 72.3 to 172.3 nm, and the % entrapment efficiency was in the range of 69.3% to 92.2% (table 5).
Effect of globule size on independent factors
From the ANOVA and regression analysis of linear model of globule size, the F value was 161.63 and the P value was 0.0500, indicating that the model was significant. The predicted R² of 0.9687 is in reasonable agreement with the adjusted R² of 0.9891, as the difference is less than 0.2 for globule size. The following linear equation was derived from the ANOVA results for the Luliconazole nanoemulsion.
Globule size=+140.20+6.54A-2.45-35.94CA-17.55BA-9.38CB+13.75C+0.2875A2-1.04B2-21.06C2 (coded terms)
Where, A-Oil (%), B-Smix (%), and C-Sonication time (min)
From the surface plot of globule size against oil (% v/v) and Smix ratio, it was observed that an increase in oil concentration led to a consistent increase in globule size, and as the Smix ratio was raised, the globule size was also gradually increased (fig. 4). Both the oil (% v/v) and Smix factors were found to be not significant for globule size. In another plot (fig. 5), it was noted that globule size increased gradually with an increase in the Smix ratio. Additionally, with increased sonication time, there was a slight initial increase in globule size, followed by a constant reduction, indicating that sonication time had a more significant effect on the globule size of the nanoemulsion compared to the oil (% v/v) and Smix ratio factors.
Table 5: Luliconazole nanoemulsion experimental batches with glouble size (nm) and entrapment efficiency (%) results
| Std | Factor 1 | Factor 2 | Factor 3 | Response 1 | Response 2 |
| A: Oil | B: Smix | C: Sonication time | Globule size | EE | |
| % V/V | % V/V | min | nm | % | |
| 1 | 5 | 15 | 10 | 117.4±1.12 | 76.5±1.46 |
| 2 | 15 | 15 | 10 | 166.8±1.26 | 92.2±2.27 |
| 3 | 5 | 45 | 10 | 147.2±2.15 | 78.6 ±1.64 |
| 4 | 15 | 45 | 10 | 126.4±2.22 | 78.9±2.33 |
| 5 | 5 | 30 | 5 | 141.7±1.18 | 82.4±1.57 |
| 6 | 15 | 30 | 5 | 172.3± 1.15 | 78.9± 2.46 |
| 7 | 5 | 30 | 15 | 85.3±1.20 | 69.3±2.54 |
| 8 | 15 | 30 | 15 | 78.4±1.15 | 90.6±2.66 |
| 9 | 10 | 15 | 5 | 168.4±2.26 | 88.4±1.53 |
| 10 | 10 | 45 | 5 | 136.4±1.23 | 77.5±1.48 |
| 11 | 10 | 15 | 15 | 72.3±2.13 | 77.7±1.58 |
| 12 | 10 | 45 | 15 | 95.3±1.47 | 85.6±0.73 |
| 13 | 10 | 30 | 10 | 142.9±1.32 | 76.9±1.64 |
| 14 | 10 | 30 | 10 | 136±1.25 | 82.4±2.53 |
| 15 | 10 | 30 | 10 | 140.2±2.13 | 83.9±1.48 |
| 16 | 10 | 30 | 10 | 144.2±2.19 | 81.8±1.62 |
| 17 | 10 | 30 | 10 | 137.7±1.27 | 82.5±2.52 |
Results are expressed in mean±SD (n=3)

Fig. 4: 3D Surface plot of globule size against oil (%v/v) and Smix
Effect of % entrapment efficiency on independent factors
From the ANOVA and regression analysis for the linear model of entrapment efficiency (%), the F-value was found to be 17.07 and the P-value was found to be 0.0001, indicating that the model was significant. The predicted R² of 0.7666 is in reasonable agreement with the adjusted R² of 0.8577, as the difference is less than 0.2 for entrapment efficiency (%). The following linear equation was derived from the ANOVA results for the Luliconazole nanoemulsion.
% Entrapment efficiency =+81.42+4.23 A-1.77 B-0.5000 C-3.85 AB+6.20 AC+4.70 BC (Coded terms)
Where, A-Oil (%), B-Smix (%), C-Sonication time (min)
Fig. 6 illustrates the 3D surface plots of entrapment efficiency against oil (% V/V) and Smix ratio factors. It was evident that the entrapment efficiency of nanoemulsions was marginally increased as Smix ratio was increased and similarly, increases in oil (% V/V) increased the % entrapment efficiency of nanoemulsions substantially to a higher level. The study revealed the fact that entrapment efficiency (%) was greatly influenced by both independent factors.
The 3D surface plot obtained with entrapment efficiency (%) on sonication time and oil-independent variables is depicted in fig. 7. Notably, there was a gradual increase in entrapment efficiency (%) with an increase in sonication time and a significant increase in entrapment efficiency was observed with an increase in oil (%v/v). Therefore, the study claimed that both sonication time and oil factors were to be significant in increasing the entrapment efficiency (%) of nanoemulsions since the objective of enhancing the entrapment efficiency was achieved with both the independent variables.

Fig. 5: 3D surface plot of globule size against sonication time and Smix

Fig. 6: 3D Surface plot of entrapment efficiency (%) against oil (%v/v) and Smix

Fig. 7: 3D Surface plot of entrapment efficiency (%) against sonication time and oil (%v/v)
Percentage error between predicted and observed values
The optimized Luliconazole nanoemulgel exhibited a mean globule size of 130.5 nm and an entrapment efficiency of 80%. The actual values for both globule size and % entrapment efficiency in the optimized nanoemulsion were within±5% error. This study showed that the results were statistically significant at 95% confidence interval, which is highly commendable. The selected solution and % error between predicted and observed results for the factors are presented in table 6.
Table 6: Selected solution and the % error between the predicted and observed values
| Factors | Responses | |||
| A: oil (% v/v) | B: surfactant (% v/v) | C: sonication time (min) | Globule size (nm) | Drug entrapment (%) |
| Predicted | ||||
| 15% | 45% | 10 min | 134.42 | 78.16 |
| Actual | ||||
| 130.5±3.23 | 80±1.43 | |||
| Error | 3.28 | 2.3 | ||
±SD (n=3) represented as mean of 3 values
Globule size and polydispersibility index (PDI) of optimized formulation
The mean globule size of the optimized Luliconazole nanoemulgel was found to be 130.5±3.23 nm and PDI was found to be 0.263±2.67 (fig. 8), showing that the formulation was within the nanoscale range and the PDI less than 0.3 indicated globules were mono dispersed without any precipitation and segregation. Research literatures generally claims that nanoemulgels with globule size within 200 nm are highly recommended for topical application since the lesser globule size of these gels allow them to easily permeate through skin barriers and provide a good localized effect, and even drugs with other systemic problems like first-pass effect can also be formulated as nanoemulgels for successful drug delivery through skin [18].

Fig. 8: Globule size and PDI of optimized formulation
Zeta potential measurement
Zeta potential plays a crucial role in the stability of nanoformulations, directly impacting their performance. According to the literature, nanoemulgel systems with higher zeta potential values generally ranging from±20-40 mV tend to be more stable. Greater zeta potential values facilitate the maintenance of globules in Brownian motion by creating repulsive forces between similarly charged particles, preventing their agglomeration [20]. The optimized formulation exhibited a zeta potential value of-21±2.35 mV (fig. 9), which was found to be within the compliance range of nanoemulsions and predicted good physical stability with no signs of fluctuations. This negative charge arises from the presence of anionic surfactants in the formulation. Additionally, nanoemulgels have greater negative zeta potential as compared to nano-emulsions, the reason being is presence of a negatively charged carboxylate group of carbapol, which was used as gelling to convert nanoemulsions to nanoemulgels [12]. Despite the negative zeta potential, the formulation was observed to be stable, indicating that the obtained zeta potential value was sufficient for maintaining stability.
Transmission electron microscopy (TEM) analysis
TEM analysis was used to investigate the surface morphology of the optimized formulation. The analysis revealed the presence of well-defined, spherical droplets with a smooth surface texture. These droplets had a globule size in the range of 100 nm (fig. 10), which aligned well with the results of globule size obtained from the Malvern Zeta Sizer.

Fig. 9: Zeta potential data of optimized formulation

Fig. 10: TEM Image of optimized formulation
pH
The pH measurement is an important parameter for topical formulations. The pH of the Luliconazole nanoemulgel was found to be 6.8±2.25 (table 5), which indicated that the prepared formulation was compatible with the skin, which was in the acceptable range of 5.5 to 7.4.
Spreadability
The spreadability of nanoemulgel was found to be 13±2.43 g. cm/sec (table 5). As a result, the prepared gel may be easily spread with less shear, indicating that it has good spreadability.
% Drug content
The drug content of Luliconazole nanoemulgel was found to be 94.6±1.9 (table 7), indicating good content uniformity. The drug content determination also revealed that the drug was distributed uniformly throughout and ensured homogeneity, which is essential for semi-solid preparations.
Viscosity measurement
The viscosity of the formulation was measured using a Brookfield viscometer, where the viscosity of nanoemulsions is influenced by the oil and surfactant concentration. According to fig. 11, the viscosity of the optimized Luliconazole nanoemulgel was in the range of 378 to 5640 cps, falling within the acceptable range of 50 to 50,000 cps, which is ideal for semisolids. A rheogram was also generated, revealing a shear-thinning behavior in the formulation. The results of the study demonstrated that as the shear rate increases, the viscosity decreases, indicating a pseudoplastic curve and non-Newtonian flow.
Table 7: Results of pH, spreadability and drug content (%) for luliconazole nanoemulgel
| Evaluation parameters | Results |
| pH | 6.8±2.25 |
| Spreadability (g/cm2) | 13±2.43 |
| % Drug content | 94.6±1.9 |
Results are expressed in mean±SD (n=3)
In vitro drug release study
The in vitro drug release study of the formulated Luliconazole nanoemulgel was conducted for 8 h, during which the formulation showed a release rate of 74.93%±0.8% (fig. 12). Initially, there was a burst release within the first hour, which could be attributed to the presence of free drug adsorbed on the surface of the gel. As time progressed, there was a sustained release, possibly due to the lipophilic membrane entrapped within the gelling system. This led to the confirmation that the drug was released in a sustained manner over an extended period.

Fig. 11: Rheogram of optimized luliconazole nanoemulgel

Fig. 12: Drug release profile of luliconazole-loaded nanoemulgel

Fig. 13: Higuchi release kinetics model of Luliconazole loaded nanoemulgel
Drug release kinetics
The drug release mechanism of the optimized formulation was investigated using different kinetic models, with a focus on the significance of the regression coefficients. Analysis of the data revealed good linearity for Luliconazole nanoemulgel, with a release rate regression coefficient (R²) of 0.9828. This indicates that the formulation follows the Higuchi release kinetics mechanism (fig. 13), suggesting that the drug release from the formulation is influenced by diffusion and swelling of the polymeric gel.
Ex vivo permeation studies
The ex vivo drug permeation of the optimized formulation was found to be 70.67 % (fig. 14) at the end of 8 h. In comparison to in vitro drug release, slightly less drug release was observed, which might be due to the physiological properties of the goat skin, such as thickness, hydration level, and barrier integrity, which have influenced the ex vivo permeation of the nanoemulgel. Notably, there was also delayed drug release observed due to the slow diffusion of nanoemulgel through goat skin. The reason might be that goat skin is a biological membrane composed of many skin barriers like epidermis, dermis, and hypodermis, and generally the semisolid dosage form has to permeate through all these skin layers for the drug release.
Skin irritation studies
Wister rats were employed as an animal model for conducting in vivo skin irritation study aimed at predicting the irritation potential of the optimized formulation by comparison with standard and control groups. The grading scale scores of the erythema and edema for the animals of all the groups were noted by observing visually. It was found that animals of the standard group had slight erythema with a score of 1 (table 8) and all the remaining animals didn’t show any irritation signs and were compatible with standard grading score ranges [30]. The study findings indicated the absence of edema or erythema in any of the animals, affirming the safety of the formulated nanoemulgel for topical application (fig. 15).

Fig. 14: Ex vivo drug permeation profile for optimized formulation
Table 8: Skin irritation score grading for nanoemulgel
| Irritation score grading for parameters | ||
| Erythema | Edema | |
| Group-I | 1 | 0 |
| Group-II | 0 | 0 |
| Group-III | 0 | 0 |

Fig. 15: Images of skin irritation study (a-control, b-standard and c-test)
Histopathological study
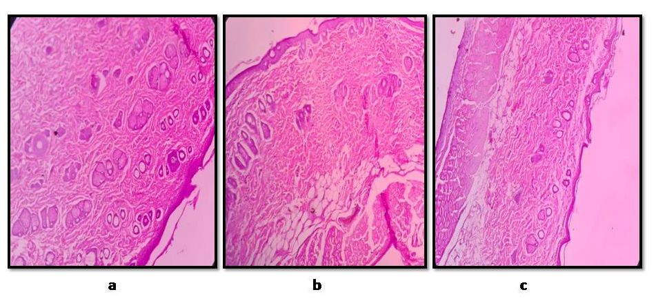
Histopathological images were captured for the standard, control, and test groups. Upon comparison, no anatomical differences were observed between the optimized formulation and the standard and control groups (fig. 16). Additionally, there was no evidence of skin rupture or damage in the rats, confirming the non-toxicity of the formulation to the skin surface and its safety for topical application.

Fig. 16: Histopathology studies of treated rat skin (a) control (b) standard (c) test
The study aimed to develop a Luliconazole-loaded nanoemulgel for topical use in effectively managing fungal infections. Luliconazole nanoemulsions were fabricated by selecting oil, surfactant, and cosurfactant using a ternary phase diagram, followed by optimization using the BBD statistical design. The high solubility of Luliconazole in clove oil was advantageous for encapsulating the drug, resulting in nanosized oil droplets achieved through ultrasonication. This optimized nanoemulsion was then formulated into a topical gel. The optimized Luliconazole nanoemulgel demonstrated globule size and entrapment efficiency within acceptable ranges as predicted by the software. Zeta potential values indicated good stability, and parameters like pH, viscosity, and spreadability met the required standards. TEM images confirmed the nano-sized globules in the emulsion. Furthermore, drug release and ex vivo permeation studies exhibited a sustained release pattern following the Higuchi drug release kinetics mechanism. In vivo, studies on skin irritation and histopathology confirmed the non-irritant and non-toxic nature of the nanoemulgel. In conclusion, the study suggests that the Luliconazole-loaded nanoemulgel could be a promising novel topical formulation for effectively treating fungal infections.
The ethical approval (NGSMIPS/IAEC/AUG-2022/281) was obtained by the IAEC of NGSMIPS in 2022.
The authors would like to thank the NGSM Institute of Pharmaceutical Sciences, Nitte (Deemed to be University), Mangalore for providing necessary support.
Nil
BBD: Box Behnken Design; DoE: Design of experiment; % EE: Percentage entrapment efficiency; Smix: Surfactant-cosurfactant mixture ratio; nm: Nanometer; ml: Millilitre; µl: Microlitre; µg: Microgram; hrs: Hours; min: Minutes: FTIR: Fourier transform infrared spectroscopy; PDI: Polydispersity Index; Rpm: Revolutions per minute; Cps: Centipoise; TEM: Transmission electron microscopy; mV: Millivolts; TPD: Ternary phase diagram.
PS: Performed the research, data analysis and drafted the manuscript, SDS: data analysis and reviewed the manuscript, JJ: reviewed and finalized the manuscript.
The authors declare that there were no competing interests found.
Koga H, Nanjoh Y, Makimura K, Tsuboi R. In vitro antifungal activities of luliconazole a new topical imidazole. Med Mycol. 2009;47(6):640-7. doi: 10.1080/13693780802541518, PMID 19115136.
Alghaith AF, Alshehri S, Alhakamy NA, Hosny KM. Development optimization and characterization of nanoemulsion loaded with clove oil naftifine antifungal for the management of tinea. Drug Deliv. 2021;28(1):343-56. doi: 10.1080/10717544.2021.1879314, PMID 33517791.
Kumar M, Shanthi N, Mahato AK, Soni S, Rajnikanth PS. Preparation of luliconazole nanocrystals loaded hydrogel for improvement of dissolution and antifungal activity. Heliyon. 2019;5(5):e01688. doi: 10.1016/j.heliyon.2019.e01688, PMID 31193099.
Baghel S, Nair VS, Pirani A, Sravani AB, Bhemisetty B, Ananthamurthy K. Luliconazole loaded nanostructured lipid carriers for topical treatment of superficial tinea infections. Dermatol Ther. 2020;33(6):e13959. doi: 10.1111/dth.13959, PMID 32618400.
Che Marzuki NH, Wahab RA, Abdul Hamid M. An overview of nanoemulsion: concepts of development and cosmeceutical applications. Biotechnol Equip. 2019;33(1):779-97. doi: 10.1080/13102818.2019.1620124.
Bashir M, Ahmad J, Asif M, Khan SU, Irfan M, Y Ibrahim A. Nanoemulgel an innovative carrier for diflunisal topical delivery with profound anti-inflammatory effect: in vitro and in vivo evaluation. Int J Nanomedicine. 2021;16:1457-72. doi: 10.2147/IJN.S294653, PMID 33654396.
Abolmaali SS, Tamaddon AM, Farvadi FS, Daneshamuz S, Moghimi H. Pharmaceutical nanoemulsions and their potential topical and transdermal applications. Ira J Pharm Sci. 2011;7(3):139-50.
Dhawan B, Aggarwal G, Harikumar S. Enhanced transdermal permeability of piroxicam through novel nanoemulgel formulation. Int J Pharm Investig. 2014;4(2):65-76. doi: 10.4103/2230-973X.133053, PMID 25006551.
Ngawhirunpat T, Worachun N, Opanasopit P, Rojanarata T, Panomsuk S. Cremophor RH40-PEG 400 microemulsions as transdermal drug delivery carrier for ketoprofen. Pharm Dev Technol. 2013;18(4):798-803. doi: 10.3109/10837450.2011.627871, PMID 22023398.
Oktay AN, Karakucuk A, Ilbasmis Tamer S, Celebi N. Dermal flurbiprofen nanosuspensions: optimization with design of experiment approach and in vitro evaluation. Eur J Pharm Sci. 2018;122:254-63. doi: 10.1016/j.ejps.2018.07.009, PMID 29981401.
Yang J, Liang Z, LU P, Song F, Zhang Z, Zhou T. Development of a luliconazole nanoemulsion as a prospective ophthalmic delivery system for the treatment of fungal keratitis: in vitro and in vivo evaluation. Pharmaceutics. 2022;14(10):2052. doi: 10.3390/pharmaceutics14102052, PMID 36297487.
Azeem A, Rizwan M, Ahmad FJ, Iqbal Z, Khar RK, Aqil M. Nanoemulsion components screening and selection: a technical note. AAPS Pharm Sci Tech. 2009;10(1):69-76. doi: 10.1208/s12249-008-9178-x, PMID 19148761.
Gao L, Liu G, Wang X, Liu F, XU Y, MA J. Preparation of a chemically stable quercetin formulation using nanosuspension technology. Int J Pharm. 2011;404(1-2):231-7. doi: 10.1016/j.ijpharm.2010.11.009, PMID 21093559.
Mahadev M, Nandini HS, Ramu R, Gowda DV, Almarhoon ZM, Al-Ghorbani M. Fabrication and evaluation of quercetin nanoemulsion: a delivery system with improved bioavailability and therapeutic efficacy in diabetes mellitus. Pharmaceuticals (Basel). 2022 Jan 5;15(1):70. doi: 10.3390/ph15010070, PMID 35056127.
Choudhury H, Zakaria NF, Tilang PA, Tzeyung AS, Pandey M, Chatterjee B. Formulation development and evaluation of rotigotine mucoadhesive nanoemulsion for intranasal delivery. J Drug Deliv Sci Technol. 2019;54:101-30. doi: 10.1016/j.jddst.2019.101301.
Dasgupta S, Dey S, Choudhury S, Mazumder B. Topical delivery of aceclofenac as nanoemulsion comprising excipients having optimum emulsification capabilities: preparation characterization and in vivo evaluation. Expert Opin Drug Deliv. 2013;10(4):411-20. doi: 10.1517/17425247.2013.749234, PMID 23316798.
Liu WH, Liu TC, Mong MC. Antibacterial effects and action modes of asiatic acid. Biomedicine (Taipei). 2015;5(3):16. doi: 10.7603/s40681-015-0016-7, PMID 26280399.
Mahtab A, Anwar M, Mallick N, Naz Z, Jain GK, Ahmad FJ. Transungual delivery of ketoconazole nanoemulgel for the effective management of onychomycosis. AAPS Pharm Sci Tech. 2016;17(6):1477-90. doi: 10.1208/s12249-016-0488-0, PMID 26857516.
Teaima MH, El-messiry HM, Shaker HA, El-nabarawi MA, Helal DA. Optimizing levetiracetam surfactant-based nanovesicles (lev-nvs) gel for treating epilepsy using experimental design. Int J App Pharm. 2023;15(2):194-200. doi: 10.22159/ijap.2023v15i2.46450.
Souto EB, Baldim I, Oliveira WP, Rao R, Yadav N, Gama FM. SLN and NLC for topical dermal and transdermal drug delivery. Expert Opin Drug Deliv. 2020;17(3):357-77. doi: 10.1080/17425247.2020.1727883, PMID 32064958.
Shadab MD, Nabil AA, Aldawsari HM, Kotta S, Ahmad J, Akhter S. Improved analgesic and anti-inflammatory effect of diclofenac sodium by topical nanoemulgel: formulation development in vitro and in vivo studies. J Chem. 2020;2:1-10. doi: 10.1155/2020/4071818.
Srivastava M, Kohli K, Ali M. Formulation development of novel in situ nanoemulgel (NEG) of ketoprofen for the treatment of periodontitis. Drug Deliv. 2016;23(1):154-66. doi: 10.3109/10717544.2014.907842, PMID 24786482.
Mahmoud RA, Hussein AK, Nasef GA, Mansour HF. Oxiconazole nitrate solid lipid nanoparticles: formulation in vitro characterization and clinical assessment of an analogous loaded carbopol gel. Drug Dev Ind Pharm. 2020;46(5):706-16. doi: 10.1080/03639045.2020.1752707, PMID 32266837.
Shukr M, Metwally GF. Evaluation of topical gel bases formulated with various essential oils for antibacterial activity against methicillin-resistant staphylococcus aureus. Trop J Pharm Res. 2013;12(6):877-84. doi: 10.4314/tjpr.v12i6.3.
Laxmi M, Bhardwaj A, Mehta S, Mehta A. Development and characterization of nanoemulsion as carrier for the enhancement of bioavailability of artemether. Artif Cells Nanomed Biotechnol. 2015;43(5):334-44. doi: 10.3109/21691401.2014.887018, PMID 24641773.
El-Leithy ES, Makky AM, Khattab AM, Hussein DG. Nanoemulsion gel of nutraceutical co-enzyme q10 as an alternative to conventional topical delivery system to enhance skin permeability and anti-wrinkle efficiency. Int J Pharm Pharm Sci. 2017;9(10):207-17. doi: 10.22159/ijpps.2017v9i11.21751.
Bansal A, Saleem MA, Imam S, Singh S. Preparation and evaluation of valdecoxib emulgel formulations. Biomed Pharmacol J. 2008;1(1):131-8.
Lokhandwala H, Deshpande A, Deshpande SH. Kinetic modeling and dissolution profile comparison: an overview. Int J Pharm Biol Sci. 2013;4(1):728-33.
Kaur P, Garg, V, Bawa P, Sharma R, Singh SK, Kumar B. Formulation systematic optimization in vitro ex vivo and stability assessment of transethosome based gel of curcumin. Asian J Pharm Clin Res. 2018;11(2):28563. doi: 10.22159/ajpcr.2018.v11s2.28563.
Ritmaleni J, Juson AK, Zulkarnain AK, Indaryanti AE, Fatmawati A. The effect of variation concentration of tetrahydrohexagamavunon-5 (THHGV-5) in emulgel preparation on acute dermal irritation effect and sun protecting factor (SPF) value. Int J App Pharm. 2023;15(6):282-7. doi: 10.22159/ijap.2023v15i6.47741.
Ivar DO Sul JA, Rodrigues O, Santos IR, Fillmann G, Matthiensen A. Skin irritation and histopathologic alterations in rats exposed to lightstick contents UV radiation and seawater. Ecotoxicol Environ Saf. 2009;72(7):2020-4. doi: 10.1016/j.ecoenv.2009.05.006, PMID 19473704.