
1Department of Pharmaceutics, Faculty of Pharmacy, DIT University Dehradun, UK, India. 2Department of Chemistry, SOPS, DIT University Dehradun, UK, India
*Corresponding author: Satish Shilpi; *Email: satish.shilpi@dituniversity.edu.in
Received: 20 Oct 2024, Revised and Accepted: 15 Dec 2024
ABSTRACT
Objective: Preparation of Zinc Oxide (ZnO) Nanoparticles (ZnNPs) by green synthesis process using Cordyceps militaris fungus extract and its assessment for the treatment of Alzheimer’s disease.
Methods: ZnO nanoparticles were synthesized using the green synthesis process with Cordyceps militaris fungus extract. The nanoparticles were characterized using various techniques, including SEM, TEM, XRD, EDAX, and optimization techniques to determine their shape, size, surface properties, and crystallinity.
Results: The results showed that the nanoparticles were spherical with a smooth surface, averaging 37.09 nm in size, and exhibited surface Plasmon Resonance at 300 nm. XRD analysis confirmed their crystalline structure. During synthesis, the suspension changed from dark yellow to colorless with cloudiness, indicating nanoparticle formation. The UV-visible spectroscopy revealed a SPR peak at 375 nm. Overall, the characterization confirmed the successful synthesis of zinc nanoparticles with desired properties. This study investigated the protective effects of green-synthesized Zinc nanoparticles on memory impairment in mice. Mice were divided into six groups and treated with various substances, followed by sleep deprivation to induce memory impairment.
Conclusion: Behavioral tests and biochemical analysis revealed the significantly improved cognitive function reduced acetylcholinesterase activity in a dose-dependent manner, comparable to Donepezil. Histopathological analysis confirmed the protective effects of Cordyceps militaris against memory impairment.
Keywords: ZnO nanoparticles, Optimization, Green synthesis, Anti acetyl-cholinesterase, Anti-Alzheimer disease
© 2025 The Authors. Published by Innovare Academic Sciences Pvt Ltd. This is an open access article under the CC BY license (https://creativecommons.org/licenses/by/4.0/)
DOI: https://dx.doi.org/10.22159/ijap.2025v17i1.53491 Journal homepage: https://innovareacademics.in/journals/index.php/ijap
Nano-scaled synthesized Zinc Oxide (ZnO) is characterized by chemical and physical processes, including methods like molecular beam organic chemical vapor deposition. Additionally, these processes require energy consuming and high vacum and chemical process like electrodeposition, hydrothermal and solvothermal which is environment-friendly and cost-effective.
ZnO is one of the best semiconducting materials because of photonic, tunable and multifunctional properties. It has wide direct band gap of 3.37eV and has 60 meV with high excitation energy. Due to different characteristics gas sensing and surface acoustic wave devices. ZnO has multiple properties, which has derived successfully via ultraviolet photodetectors with transparent thin film transistors and semiconductor diodes [1]. In the world of nanotechnology, nanoparticles plays an important role in many usages and applications due to this, nanoparticles have great mechanical strength, electrical conductivity, thermal ability and magnetic functions. It has huge number of application in various areas [2].
Alzheimer ’s disease (AD) is related with thinking impairment, disturbances in lifestyle and behavioral patterns. It is majorly common in old people because of neuronal loss. In human bodies, oxidative stress is related with development of high Reactive Oxygen Species (ROS). Generally, they are detoxified with antioxidant enzymes due to the body equipped with an antioxidant system. Approximately one-fourth of oxygen is converted into ROS while inhaling. Photosynthesis of nanoparticle is based on an eco-friendly method. It is simple approach which has alternative physical and chemical methods because of less toxicity and low cost [2, 3]. Because of heavy burden of the ROS, humans have worsened the situation by depending more on processed/synthetic foods giving rise to other free radicals which is not have sufficient antioxidant enzymes. It leads to huge health problems like cardiovascular, neurodegenerative and cancer. In contrast to Alzheimer’s disease with other complications, there is decrease in acetylcholine in which cholinesterase inhibitors act as antagonist [3].
Metallic Nanoparticles (NPs) have been processed by different methods like biological, chemical and physical approaches; majorly, the chemical method has toxic agents which is utilized in many types of synthesis, stabilizing and reducing agents. These agents also give undesirable toxic effects, which are employed in area of biomedicine. Because of this purpose, many biological molecules are used for synthesis of NPs have been utilized in plant extracts, bacteria, enzyme, DNA and protein [4-6]. The usage of extract and its plants have received more attention as compared to microbial process because of rapidness, eco-friendliness and non-toxicity. It is based on the mechanism of synthesis of nanoparticle for stabilization of metal ion, flavones and polysaccharides. The production of AD deals with various number of variables, including neuronal injury and oxidative stress with formation of ß-amyloid plaques in brain cells. Zinc is known as neuromodulator that carries different physiological actions and used for controlling cell proliferation [7].
The primary objective is to explore the potential of these nanoparticles as a novel treatment for Alzheimer's disease, with a particular emphasis on their ability to inhibit acetylcholinesterase, an enzyme linked to neurodegenerative conditions like Alzheimer's. By employing a green synthesis approach, the main aim is to develop a more environmentally friendly and sustainable method of producing nanoparticles while reducing the potential toxicity often associated with conventional treatments. The study not only investigates the nanoparticles’ effectiveness in inhibiting acetylcholinesterase but also explores their overall biological activity to assess their viability as an alternative treatment [8]. Additionally, in vivo experiments and brain histopathological studies are being carried out to provide further insight into the potential of these nanoparticles in preventing or mitigating the progression of Alzheimer’s disease. This research is an important step toward the discovery of safer, more effective therapeutic options for neurodegenerative diseases [4, 5, 9].
Materials
Cordyceps militaris belongs to family Cordycipitaceae which has been collected from Shree Ram Testing Laboratories Private Limited, Mumbai, India and Zinc nitrate hexahydyrate (Zn (NO3)2.6H2O) from katyuri chemicals, Dehradun, Uttarakhand, India. Reagents and solvents were purchased and used of analytical quality. Scopolamine hydrobromide trihydrate and Donepezil Hydrochloride was purchased from Sigma-Aldrich.
Methods
Extraction: Specimens of fungal were used followed by washing with distilled water to avoid any contaminates. Additionally, they were kept in shaded area for drying around two days. Once they are dried, the specimens were coarsely powdered by electric blender. The resultant material was properly transferred into amber-colored glass container and were allowed to dry and sterilize in hot air oven. To prepare a solution, 100 millimeters of purified water in a glass container was added with 10 g of powdered material. It was then placed on hot water bath at temperature of 50-55 ℃ for about 30 min for extraction and dissolution. Lately, the solution was then filtered through Whatman filter paper no.1 to remove any debris or particulate substance. The solution was then filtered and kept at-4 ℃ temperature for further analyses and investigation in studies [8, 9].
Nanoparticles formation by green synthesis method
Firstly, extract measured up to 10 ml with 10% v/v concentration was kept and placed in a beaker. Then it was allowed to heated and boil for 30 min at an exact temperature of 50-55 ℃ till it reaches to a complete boil. As, the temperature start increases and reached to 65 ℃, the solution was allowed to treat with zinc nitrate, resulting in formation of precipitate with brownish yellow colored. The paste was then transferred to crucible and was allowed to keep in a muffle furnace with temperature of 400 ℃ for about 2 h. Process was used effectively to remove impurities in paste. The end product was whitish-colored powder, which was examined, collected and tightly packed in container for further evaluations [10, 11].
Preparation of drug-loaded nanoparticles
Donepezil-loaded polymeric nanoparticles were synthesized using a modified Nano-precipitation method. NaOH and zinc nitrate hexahydrate were dissolved in an organic solvent to form an aqueous phase. Both phases were sonicated for 30 sec, then the organic phase was slowly added to the aqueous phase under continuous stirring. Instantaneous precipitation occurred, and the mixture was stirred for 4 h at 300 rpm to evaporate the solvent, yielding the final nanoparticles. The polymeric solution was centrifuged at 15,000 RPM for 15 min to separate the polymeric nanoparticles from free Donepezil. The resulting nanoparticles were then washed with high-purity water to remove any remaining impurities. Finally, the nanoparticles were preserved for future use. This process ensured the stability and longevity of the nanoparticles [12].
Optimization of nanoparticles
ZnO nanoparticles formulation were optimized by DOE software State Ease 360 version on the basis of particle size, PDI and drug entrapment efficiency. The NPs were carefully visualized and classified with a clear solution, aggregates and clear suspension which exhibit small particle size of nanometer (nm) range. Further the formulations with different ratios were collected and examined for characterizations for the presence of particles in micrometer range [13].
Nanoparticles characterization
UV-spectrophotometric analysis
The spectroscopic analysis were performed on Shimadzu model at DIT University. The instrument has different regions of UV spectrum. It covers a wide-range of wavelength from 200 nm to 800 nm. The sample is allowed to ultraviolet (UV) rays, and the amount of light is observed by the sample and is determined at possible wavelength [14].
Scaaning electron microscopy (SEM)
The morphological characteristics and shape of nanoparticles were evaluated by scanning electron microscope. 300 Angstroms were used followed by a double adhesive tape containing an aluminum substrate with gold coating. The prepared sample was evaluated for examination by EVO-18 Carl Zeiss (IIT, Rorkee) model name [15].
EDX
The Energy-dispersive X-ray spectroscopy was examined at 1 nm resolution with 15 kV [16].
Transmission electron microscopy (TEM)
The zinc nanoparticles is represented in fig. 8. The image of transmission electron microscopy with synthesized nanoparticles revealed that the particles are in uniformity and on Nano scale. The fig. also shows the developed size and shape of nanoparticles. The green-synthesized ZnNPs were examined at accelerate voltage at 20Kv with a model name (Hitachi-H 7500) [17].
Powder-XRD
The zinc nanoparticles were evaluated by x-ray diffraction techniques by model name of machine called XRD D8 Advance, Bruker. It was evaluated to demonstrate crystalline nature and average size by the Debey-Scherrer equation [18].
In vivo studies
For experimentation, Swiss albino laappha mice were used for this study. The female mice with weight approx to 25-25 g of 8 to 10 w were examined. The mice was carefully placed in proper laboratory environment, with temperature at 20-22 ℃ and 65% of humidity in a light/dark for 12 h of cycle. During the experiment proper water and food were given to them. Experiments were evaluated according to Ethical guideline for use and care of Animals. Specific Protocol number (Mention the Number) was used for this study approved by Institutional Animal Ethics Committee (IAEC) at Campus. On this basis, it was examined that 60 animals with differentiated 10 animals in each experiment group [18].
Designing of experiment
For this study, scopolamine at a dose of 1 mg/kg was given to induce the memory loss in mice through IP injections (Intraperitoneal). As it is known as antagonist of muscarinic acetylcholine receptors. The experiment is further analyzed for biochemical and behavioral treatment on mice.
Six groups were made for mice:
Control group: Distilled water were received by mice.
Toxicant group: Scopolamine (1 mg/kg) were administered to mice through IP.
Standard group: Donepezil (5 mg/kg) dosage orally, followed by Scopolamine injection (1 mg/kg I. P.).
Treatment groups: Cordyceps aqueous extract was received at different dosages (62.8, 157, 314, and 628 mg/kg) orally, followed by an injection of Scopolamine (1 mg/kg I. P.) in four test groups.
Drug+NPs.
Extract+NPs [19].
Before the injection of Scopolamine aqueous extract and donepezil were administered orally for 30 min. These treatments were given daily during the experimental process [20].
Behavioral test
Animals were subjected for evaluation of behavioral tests
Morris water maze test
This test was examined for 6 w. Mice were trained for 5 consecutive days for 5 times at an interval of 20 min. Mice were given approximate time of 120 sec to find platform. The swimming was recorded and tracked through software called Etho Vision XT. Further escape latency was evaluated as a resultant outcome. In order to fall within the range between 0 and 1 resultant values were divided by 120 sec [21].
Pool of height 48 cm with 154 cm diameter was filled up to 20 cm from top with water by using non-toxic tempera white paint to make it opaque throughout the whole experiment, the pool was kept in rich located room with proper distances in 4 quadrants. With a center quadrant of pool marked as northeast was submerged 1 cm below water surface. Each trial was performed in water by mice, facing the pool wall in one of the four quadrants [21-23].
Y-maze test
The three identical arms of maze were randomly designed using Excel as novel, start and other arm for each mice, with various visualization cues at every end of arm. Mice were allowed to cover in sawdust of 2 cm from start to novel arm. The 2-trial were given at a particular interval of 1 h for spatial recognition memory. The mice were given first trail training to explore 2 arms (start and other) for 10 min freely. After 1 h of training retention trail were commenced and the mice were allowed to move freely in all three arms for about 5 min, respectively. Data were collected and examined through automated tracking system via EthoVision software [23, 24].
Brain homogenate preparation
Collection of brain samples were done after behavioral studies. All the samples were prepared by washing and adding ice cold-isotonic saline solution. Then, 0.1 M phosphate buffer with pH 7.4 were added to sample of brain for homogenizing through ten times the volume of buffer. The mixture were further centrifuged for about 15 min at a 10,000 rpm with a 4 ℃temperature. Lately, the process of centrifugation, the two portions were obtained. The clear liquid portion were separated above the supernatant and further used for biochemical estimations [25].
Acetyl-cholinesterase assay
The activity was performed by using Ellman method on 96-well plate provided by Enzo Pak. Solution of cold saline was taken for mice and the samples of brains were used. For the process of homogenization, brain tissues were allowed to examined and weighed by placing into tubes with 0.1M PBS of pH 7.4. In a cuvette 100 µl of DTNB along with 2.6 ml of PBS mixed with 0.4 ml of homogenate. To make sure that mixture has been prepared properly, it was allowed to bubble with air before placing in a spectrophotometer for analysis at absorbance of 412 nm. Lastly, acetylthiocholine iodide of 20µl was further added and consequent changes in absorbance was examined [26].
Immunohistochemistry assay
10% formalin was used for preservation brain from each group. the hippocampal tissues of brain was kept in ethanol after duration of 24 h treated with xylene and for further fixation of them, paraffin wax were used [27].
Statistical analysis
In this study, all experiments and analyses were performed in triplicate, and Microsoft Excel 2012 was utilized to create the graphs.
By using Box-Behnken Design (BBD) through Design Expert Software. Two factors key responses namely particle size and polydisperity index were used for optimization process along with three variables are used depending on temperature, concentration of ZnNPs and extract volume at low-high levels [28]. 3D response surface plots and 2D contour plots were examined to demonstrate the presence of interactions between independent variables and also shows their impact on response variables. From fig. 1-4 shows the particle size of nanoparticles of response surface analysis and the relation between concentrations of ZnNPs. whereas when the concentration of NPs increases, temperature slows down at low levels, which reveals the small declining of synthesized zinc nanoparticles. The research depicts that increase in concentration of Zinc nitrate hexahydrate had non-linear effect on zinc nanoparticle size along with sharp increase at high temperatures. Further, it also shows the linear impact on particle size at extreme level. The interaction between Zinc nitrate hexahyrdate and Cordyceps militaris showed a formation of curve linear relationship with large particles at high and low levels. The combined effect reveals the temperature and mild volume of extract with increasing impact on particle size. The 2D contour plots yielded similar findings. As shown in fig. 4, a rise in temperature was accompanied by a steep drop in zinc nanoparticle size when combined with varying volumes of Cordyceps militaris extract.

Fig. 1: Optimization the effect of concentration of plant extract and ZnO concentration on ʎmax of prepared ZnO nanoparticles

Fig. 2: Optimization the effect of concentration of plant extract and time on ʎmax of prepared ZnO nanoparticles

Fig. 3: Optimization the effect of concentration of ZnO and temperature on ʎmax of prepared ZnO nanoparticles

Fig. 4: Optimization the effect of time and temperature on ʎmax of prepared ZnO nanoparticles
Surface Plasmon Resonance (SPR) demonstrates peak absorption spectra for UV-visible spectroscopometer. Nanoparticle formation showed the oscillations reacting with the electromagnetic waves along with a collection of conduction band electrons showing the nanoparticle formation and reduction of metal ion. High adsorption band 354-368 nm showed a high adsorption band, whereas green synthesized zinc nanoparticles revealed absorbance peak at the range 300-550 nm. Zinc nanoparticles showed a normal and SPR at 375 nm with high bands [29].
Scanning Electron Microscope was utilized to identify the morphology of nanoparticles. Cordyceps militaris with zinc nanoparticles showed spherical shapes (fig. 5). EDAX study also shows the presence of zinc metal used for green synthesis with a composition of carbon (25.9%), Oxygen (42.6%) and Zinc (25.4%) (fig. 6) [30].
Analysis was done for TEM, which demonstrates the nanoparticles with a size range of 75 nm respectively (fig. 7).

Fig. 5: SEM image of zinc nanoparticles synthesized with Cordyceps species

Fig. 6: EDAX image of zinc nanoparticles synthesized with Cordyceps species

Fig. 7: TEM image of zinc nanoparticles synthesized with Cordyceps species
XRD analysis was done to reveal the structure of green synthesized ZnNPs (fig. 8). The nanoparticles showed about seven different peaks at degree of 2 theta 31.7, 34.5, 36.1, 47.4, 56.3, 63.1 and 67.9 which matches with the respective planes (100), (101), (102), (110), (103) and (112). Further, the Debeye-Scherrer equation showed the crystalline size calculated by XRD [31].

Fig. 8: X-ray diffraction (XRD) analysis of zinc nanoparticles (ZnNPs)
Data are expressed as mean ±SD seconds, N= 6 animal in each group with p<0.05 when compared with normal, toxicant as well as standard group respectively. Data were examined by using Two way ANOVA followed by Turkey's multiple comparisons test, one way ANOVA and one-way ANOVA with followed by t-test was applied respectively for Morris water maze, Y Maze test and anticholinesterase study through Graph Pad Prism version: 10 (fig. 9, 10 and 11). In this test, we examined a significant difference in escape latency, behaviour activity and anticholinesterase activity in between the control and treatment groups, in which control group takes long time to find the hidden platform. As, there was no distinct difference in swimming speed as compared to other two groups, which reveals that the treatment group have prolonged escape latency not because of impaired motor function. Furthermore, our results depicts that the f3 group exhibited reduced spatial memory performance, as it shows the decrease in number of crossings over the platform location with spending less time in target quadrant as compared with other groups. So, these findings indicate that the f3 group has impaired spatial learning and memory abilities [32].

Fig. 9: Behavioral Study of Morris Water Maze; two-way ANOVA shown more significant value p<0.005 for optimized formulation in f1, f2 and f3 group when compered with control from day 1 to day 21
Fig. 9 shows the green synthesized nanoparticles for improvement of spatial recognition memory in mice. Test was performed to examine the cognitive behavior of mice in each group. Scopolamine was decreased as compared to control group, which shows an increase in spontaneous alteration. In the study, escape latency showed different variations among each groups. Extract with nanoparticles revealed the good performance at a 49.5% escape latency in comparison with other experimental groups [33].
The assay of AChE enzyme was performed in brain hippocampus for all experimental groups. P-value less than 0.005 showed a significant difference in AChE activity as compared to other groups (fig. 11). Whereas f3 group revealed the highest increase in AChE test when made comparison with control group, which depicts memory impairment. Furthermore, the f2 group exhibited no significant difference in memory function. These findings shows the correlation on the importance of AChE assay in contrast to memory impairments [34].

Fig. 10: Behavioral Study of Y Maze; One way ANOVA shown the value of P<0.005 for optimized formulation in f1, f2, f3 group from day 1 to day 21 when compared with control group

Fig. 11: Anticholinesterase study of experimental subjects; Ordinary one-way ANOVA and unpaired t-test shown more significant value p<0.001 of f1, f2 and f3 when compered with control

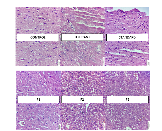
Fig. 12: Results of histopathological studies
The hippocampus region of the brain showed improved neuronal health in mice treated with green synthesized nanoparticles (f1, f2, f3 groups) compared to the toxicant group. Although some neuronal loss was observed in the f1-f3 groups, they demonstrated better neuronal density and texture than the toxicant group. Notably, the f3 group had significantly lower levels of Tau and Aß proteins, indicating a reduced risk of neurodegenerative diseases like Alzheimer's. This suggests a more stable and healthy neural environment in the f3 group [35].
Two way ANOVA followed by Turkey's multiple comparisons test was applied in case of behavioral study of Morris Water Maze test, the value of p<0.001 was found significant with f1, f2, f3 group from day 5 to day 17 in comparison to control group (fig. 9). In case of Behavioral Study of Y Maze the value of P<0.001 was found significant with f1, f2, f3 group from day 7 in comparison with control group (fig 10). Ordinary one way ANOVA and t-test was applied for comparing the in vivo data obtained from f1, f2, and f3 animal group with control group for optimized fungi extract loaded ZnO nanoparticles formulations. It was found that, a value of P<0.001 was considered statistically more significant in case of anticholinesterase study (fig. 11).
This study investigated the neurotoxic effects of zinc nanoparticles (ZnNPs) synthesized through an eco-friendly co-precipitation method on the brains of mice. In vivo experiments revealed that ZnNPs accumulated in the brain, leading to high levels of oxidative stress, which in turn caused spatial cognition impairment, modulated neurotransmitter metabolism, and neuronal damage. The primary objective of this research was to evaluate the neurotoxic effects of green-synthesized ZnNPs, providing a foundation for future studies. The widespread use of metal oxide nanoparticles in medical applications necessitates a deeper understanding of their bio-interactions, making this research a crucial step towards comprehending the potential risks associated with green-synthesized ZnNPs. The findings of this study can inform the development of safer nanoparticles for medical use, ultimately contributing to the advancement of nanotechnology in healthcare.
One of the author want to acknowledge Advances Research facilities, Dr. H. S. Gour University and IIT Roorkee for the timely analysis of nanoparticles formulations with their sophisticated instrument facilities of SEM, TEM and XRD.
Nil
SEM: Scanning electron microscopy; TEM: Transmission electron microscopy; XRD: X-Ray diffraction; EDX: Energy-dispersive x-ray; ZnO: Zinc Oxide; AD: Alzheimer’s disease; NPs: Nanoparticles; ROS: Reactive oxygen species; ʎmax: Lambda max; IAEC: Institutional animal ethics committee; mean±SD: mean ±standard deviation; AChE: Acetylcolinetrase.
Khyati Saini: Collecting experimental data and interpretation of results, Satish Shilpi: Supervision, evaluation of data and manuscript editing. the data and of data, Naveen Singhal: Supervised to interpretation the data.
The author declare no conflict of interest
Thema FT, Manikandan E, Dhlamini MS, Maaza MJ. Green synthesis of ZnO nanoparticles via Agathosma betulina natural extract. Mater Lett. 2015 Dec 15;161:124-7. doi: 10.1016/j.matlet.2015.08.052.
Mustafa EK, Liu G, Abd El Hamid HT, Kaloop MR. Simulation of land use dynamics and impact on land surface temperature using satellite data. GeoJournal. 2021;86(3):1089-107. doi: 10.1007/s10708-019-10115-0.
Sagar Raut DP, Thorat R. Green synthesis of zinc oxide (ZnO) nanoparticles using Ocimum tenuiflorum leaves. Int J Sci Res. 2015;4:1225-8.
Upadhyaya H, Shome S, Sarma R, Tewari S, Bhattacharya MK, Panda SK. Green synthesis characterization and antibacterial activity of ZnO nanoparticles. Am J Plant Sci. 2018;9(6):1279-91. doi: 10.4236/ajps.2018.96094.
Huda NU, Ghneim HK, Fozia F, Ahmed M, Mushtaq N, Sher N. Green synthesis of Kickxia elatine induced silver nanoparticles and their role as anti-acetylcholinesterase in the treatment of alzheimers disease. Green Process Synth. 2023;12(1):20230060. doi: 10.1515/gps-2023-0060.
Ceylan R, Demirbas A, Ocsoy I, Aktumsek A. Green synthesis of silver nanoparticles using aqueous extracts of three sideritis species from Turkey and evaluations bioactivity potentials. Sustain Chem Pharm. 2021;21:100426. doi: 10.1016/j.scp.2021.100426.
Suganthy N, Sri Ramkumar V, Pugazhendhi A, Benelli G, Archunan G. Biogenic synthesis of gold nanoparticles from Terminalia Arjuna bark extract: assessment of safety aspects and neuroprotective potential via antioxidant anticholinesterase and antiamyloidogenic effects. Environ Sci Pollut Res Int. 2018;25(11):10418-33. doi: 10.1007/s11356-017-9789-4, PMID 28762049.
Aminuzzaman M, Ying LP, Goh WS, Watanabe A. Green synthesis of zinc oxide nanoparticles using aqueous extract of Garcinia mangostana fruit pericarp and their photocatalytic activity. Bull Mater Sci. 2018;41:1-10.
Selim YA, Azb MA, Ragab I, HM Abd El Azim MM. Green synthesis of zinc oxide nanoparticles using aqueous extract of Deverra tortuosa and their cytotoxic activities. Sci Rep. 2020;10(1):3445. doi: 10.1038/s41598-020-60541-1, PMID 32103090.
Sharma J, Sweta S, Thakur C, Vats M, Sharma SK. Green synthesis of zinc oxide nanoparticles using neem extract. AIP Conf Proc. 2020;2220(1)20107. doi: 10.1063/5.0002093.
Ramola B, Joshi NC. Green synthesis characterisations and antimicrobial activities of CaO nanoparticles. Orient J Chem. 2019;35(3):1154-7. doi: 10.13005/ojc/350333.
Tripathi SK, Patel B, Shukla S, Pachouri C, Pathak S, Pandey A. Donepezil loaded PLGA nanoparticles from modified nano precipitation an advanced drug delivery system to treat alzheimer disease. J Phys Conf S. 2021;1849(1):12001. doi: 10.1088/1742-6596/1849/1/012001.
Zameer S, Ali J, Vohora D, Najmi AK, Akhtar M. Development optimisation and evaluation of chitosan nanoparticles of alendronate against alzheimers disease in intracerebroventricular streptozotocin model for brain delivery. J Drug Target. 2021;29(2):199-216. doi: 10.1080/1061186X.2020.1817041, PMID 32876502.
Karpagavinayagam P, Vedhi C. Green synthesis of iron oxide nanoparticles using Avicennia marina flower extract. Vacuum. 2019;160:286-92. doi: 10.1016/j.vacuum.2018.11.043.
Rautela A, Rani J. Green synthesis of silver nanoparticles from Tectona grandis seeds extract: characterization and mechanism of antimicrobial action on different microorganisms. J Anal Sci Technol. 2019;10(1):1-10.
Azarbani F, Shiravand S. Green synthesis of silver nanoparticles by Ferulago macrocarpa flowers extract and their antibacterial antifungal and toxic effects. Green Chem Lett Rev. 2020;13(1):41-9. doi: 10.1080/17518253.2020.1726504.
Behravan M, Hossein Panahi AH, Naghizadeh A, Ziaee M, Mahdavi R, Mirzapour A. Facile green synthesis of silver nanoparticles using berberis vulgaris leaf and root aqueous extract and its antibacterial activity. Int J Biol Macromol. 2019;124:148-54. doi: 10.1016/j.ijbiomac.2018.11.101, PMID 30447360.
Vijayakumar S, Mahadevan S, Arulmozhi P, Sriram S, Praseetha PK. Green synthesis of zinc oxide nanoparticles using Atalantia monophylla leaf extracts: characterization and antimicrobial analysis. Mater Sci Semicond Process. 2018;82:39-45. doi: 10.1016/j.mssp.2018.03.017.
Shoaib M, Naz A, Osra FA, Abro SH, Qazi SU, Siddiqui FA. Green synthesis and characterization of silver entecavir nanoparticles with stability determination. Arab J Chem. 2021;14(3):102974. doi: 10.1016/j.arabjc.2020.102974.
Abbas H, Sayed NS, Youssef NA, ME Gaafar P, Mousa MR, Fayez AM. Novel luteolin loaded chitosan decorated nanoparticles for brain targeting delivery in a sporadic alzheimers disease mouse model: focus on antioxidant anti-inflammatory and amyloidogenic pathways. Pharmaceutics. 2022;14(5):1003. doi: 10.3390/pharmaceutics14051003, PMID 35631589.
Krishna KV, Wadhwa G, Alexander A, Kanojia N, Saha RN, Kukreti R. Design and biological evaluation of lipoprotein based donepezil nanocarrier for enhanced brain uptake through oral delivery. ACS Chem Neurosci. 2019;10(9):4124-35. doi: 10.1021/acschemneuro.9b00343, PMID 31418556.
Higaki A, Mogi M, Iwanami J, Min LJ, Bai HY, Shan BS. Predicting outcome of morris water maze test in vascular dementia mouse model with deep learning. Plos One. 2018;13(2):e0191708. doi: 10.1371/journal.pone.0191708, PMID 29415035.
Mehla J, Deibel SH, Faraji J, Saito T, Saido TC, Mohajerani MH. Looking beyond the standard version of the morris water task in the assessment of mouse models of cognitive deficits. Hippocampus. 2019;29(1):3-14. doi: 10.1002/hipo.22999, PMID 30069957.
Rao SS, Lago L, Volitakis I, Shukla JJ, MC Coll G, Finkelstein DI. Deferiprone treatment in aged transgenic tau mice improves Y-maze performance and alters tau pathology. Neurotherapeutics. 2021;18(2):1081-94. doi: 10.1007/s13311-020-00972-w, PMID 33410108.
Sun Z, LI Q, BI K. Rapid HPLC-ESI-MS/MS analysis of neurotransmitters in the brain tissue of alzheimers disease rats before and after oral administration of Xanthoceras sorbifolia bunge. Molecules. 2018;23(12):3111. doi: 10.3390/molecules23123111, PMID 30486507.
Ghajarbeygi P, Hajhoseini A, Hosseini MS, Sharifan A. An in vitro and in vivo cholinesterase inhibitory activity of Pistacia khinjuk and allium sativum essential oils. J Pharmacopuncture. 2019;22(4):231-8. doi: 10.3831/KPI.2019.22.031, PMID 31970020.
Yadav E, Yadav P. Biofabricated zinc oxide nanoparticles impair cognitive function via modulating oxidative stress and acetylcholinesterase level in mice. Environ Toxicol. 2021;36(4):572-85. doi: 10.1002/tox.23062, PMID 33247493.
Hasnain MS, Javed MN, Alam MS, Rishishwar P, Rishishwar S, Ali S. Purple heart plant leaves extract mediated silver nanoparticle synthesis: optimization by box-behnken design. Mater Sci Eng C Mater Biol Appl. 2019;99:1105-14. doi: 10.1016/j.msec.2019.02.061, PMID 30889643.
Barzinjy AA, Azeez HH. Green synthesis and characterization of zinc oxide nanoparticles using Eucalyptus globulus Labill. leaf extract and zinc nitrate hexahydrate salt. SN Applied Sciences. 2020;2(5):991.
Kanniah P, Radhamani J, Chelliah P, Muthusamy N, Joshua Jebasingh Sathiya Balasingh E, Reeta Thangapandi J. Green synthesis of multifaceted silver nanoparticles using the flower extract of Aerva lanata and evaluation of its biological and environmental applications. Chemistry Select. 2020;5(7):2322-31. doi: 10.1002/slct.201903228.
El Belely EF, Farag MM, Said HA, Amin AS, Azab E, Gobouri AA. Green synthesis of zinc oxide nanoparticles (ZnO-NPs) using Arthrospira platensis (Class: Cyanophyceae) and evaluation of their biomedical activities. Nanomaterials (Basel). 2021;11(1):95. doi: 10.3390/nano11010095, PMID 33406606.
Singh P, Mijakovic I. Strong antimicrobial activity of silver nanoparticles obtained by the green synthesis in Viridibacillus sp. extracts. Front Microbiol. 2022;13:820048. doi: 10.3389/fmicb.2022.820048, PMID 35250934.
Heer AS. Spectral characterization and antifungal activity of zinc oxide (zno) nanoparticles synthesized using Cynodon dactylon leaf extract. World J Pharm Res. 2017;6(16):1588-96. doi: 10.20959/wjpr201716-10356.
Vijayan M, Bose C, Reddy PH. Protective effects of a small molecule inhibitor DDQ against amyloid beta in alzheimers disease. Mitochondrion. 2021;59:17-29. doi: 10.1016/j.mito.2021.04.005, PMID 33839321.
OU Z, Deng L, LU Z, WU F, Liu W, Huang D. Protective effects of akkermansia muciniphila on cognitive deficits and amyloid pathology in a mouse model of alzheimers disease. Nutr Diabetes. 2020;10(1):12. doi: 10.1038/s41387-020-0115-8, PMID 32321934.