
Reproductive Toxicology Unit, Center for advanced studies, Department of Zoology, University of Rajasthan, Jaipur 302055 India
Email: s_c_joshi2003@rediffmail.com
Received: 27 Sep 2016, Revised and Accepted: 25 Nov 2016
ABSTRACT
Objective: The present study was designed to investigate the antihyperlipidemic and anti-atherosclerotic activity of 70% methanolic crude extract of Cinnamomum verum bark in high cholesterol-fed diet rabbits.
Methods: C. verum extract was administered at a dose level of 200 mg/kg and 300 mg/kg (p. o) daily for 120 d to cholesterol-fed rabbits. Lipid profile in serum and histological changes in heart and aorta were investigated. The statistical analysis was carried out by student’s ‘t’test.
Results: Plant extract showed a significant decrease in the levels of serum total cholesterol, triglycerides, phospholipids, LDL, VLDL (P ≤ 0.001) in a dose-dependent manner in treated animals. HDL ratio improved overwhelmingly as well as the marked decline was also noticed in the atherogenic index after administration with C. verum extract. Histopathological examinations demonstrated less cholesterol deposits in the aorta and significant increase in lumen size of coronary arteries of high cholesterol diet animals given C. verum compared to the high cholesterol diet animals not given C. verum supplement.
Conclusion: The phytochemical analysis of methanol extracts indicated a strong presence of alkaloids, flavonoids, tannins, phenols, saponins and fatty acids may be responsible for the significant hypolipidaemic as well as antiatherosclerotic activity. Our study exhibited that the methanol extract of C. verum bark is a potent hypolipidaemic agent and decreased cholesterol deposition in the aorta and plaque formation process in the coronary artery of high cholesterol diet animals.
Keywords: Cinnamomum verum, Atherosclerosis, Hyperlipidaemic, Phytoconstituents, Cholesterol, Methanolic extract
© 2017 The Authors. Published by Innovare Academic Sciences Pvt Ltd. This is an open access article under the CC BY license (http://creativecommons.org/licenses/by/4.0/)
DOI: http://dx.doi.org/10.22159/ijcpr.2017v9i1.16618
INTRODUCTION
In the face of unremitting advances in therapeutic interventional and surgical therapies for the treatment of atherosclerotic coronary disease the later remains the principal killer in the western and the developing world [1]. Dyslipidemia and resultant atherosclerosis are believed to stem from the imbalance of the lipid metabolites in the affected organism. Hyperlipidemia (mainly increased level of total cholesterol (TC), triglycerides (TG) and low-density lipoprotein (LDL) cholesterol along with decrease in high-density lipoprotein (HDL) cholesterol) contributes significantly to the manifestation and development of atherosclerosis and coronary heart diseases (CHDs) [2].
Atherosclerosis is the preliminary lipid disorders that affect large and medium-sized muscular arteries and is characterised by endothelial dysfunction, vascular inflammation, and the buildup of lipids, cholesterol, calcium, and cellular debris within the intima of the vessel wall. This buildup results in plaque formation, vascular remodelling, acute and chronic luminal obstruction, abnormalities of blood flow and diminished oxygen supply to target organs [3]. It is generally established that oxidative stress is strongly related to atherogenesis [4]. An antioxidant which inhibits oxidation of LDL should be effective for suppressing atherosclerosis [5].
Spices recommend a cheap but rich source of a number of micronutrients and other phytochemicals which help to prevent the progression of atherosclerosis [6, 7]. Botanical dietary supplements (herbs) can ameliorate this process and prevent cardiovascular disease at many steps in the process [8]. Cinnamon is the evergreen tree of the tropical area, a member of family Lauraceae, has been used in day to day routine as a spice. The extensive exploration of literature revealed that Cinnamomum verum is an imperative basis of various pharmacologically and medicinally significant chemicals, such as it mainly contains essential oils and important compounds like Cinnamaldehyde, eugenol, cinnamic acid and cinnamate, Cinnamic acid, Hydroxyl Cinnamaldehyde, Cinnamyl alcohol, Coumarin, Cinnamyl acetate, Borneol, etc [9].
It has got good anti-inflammatory [10], anti-oxidant [11], anti-obesity [12], anti-microbial [13], Anticancer [14], and many other activities. It has been found to be extremely helpful in the treatment of Type 2 diabetes mellitus [15] and insulin resistance. With this background information, the present study is undertaken to screen this commonly used spice cinnamon principally, for its ability to decrease lipid levels and oxidative stress in rabbits, fed high-fat diet.
MATERIALS AND METHODS
Collection and extraction of plant material
The authentic bark of Cinnamomum verum (Dalchini) was obtained from the National Institute of Ayurveda, Jaipur. The bark was powdered and soaked in 70% methanol for 24 h then the material was soxhleted for 72 h. After this extraction solvent was removed under reduced pressure and controlled temperature (55-60 °C) and dried to obtain a solid brown mass. This 70% methanolic crude extract of the C. verum was dissolved in distilled water and administered to the animals via oral gavage.
Animal model
New Zealand white male rabbits weighing 1.50-2.0 kg and age of 10-18 mo were used in the study. Animals were procured from Central Sheep and Wool Research Institute (CSWRI), Avika Nagar, Rajasthan. The animals were acclimatised for 10 d before being used for the experiments. The animals were grouped and housed in polypropylene cages at constant temperature and also maintained under a standard diet (Ashirwad Industrial Ltd., Punjab) and green leafy vegetables and water ad libitum. The experimental protocol was approved by Institutional Animal Ethical Committee (IAEC) and was executed according to the guidelines of Committee for the Purpose of Control and Supervision on Experiments on Animals (CPCSEA), India.
Experimental design
The rabbits were divided into following groups of six animals in each:
Group I: Control–Placebo-treated 120 d. (Vehicle treated)
Group II: Atherodiet+cholesterol feeding for 120 d
Group III: Atherodiet+cholesterol feeding+200 mg/kg b. wt./day C. verum extract from day 1-120. (Concurrent treatment)
Group IV: Atherodiet+cholesterol feeding+300 mg/kg b. wt./day C. verum extract from day 1-120. (Concurrent treatment)
Cholesterol feeding: 500 mg cholesterol/kg. b. wt./rabbit/day in 5 ml coconut oil
The animal was sacrificed after completion of treatment, blood and tissue were taken out for biological and histological examinations.
Induction of hyperlipidaemia
Hyperlipidaemia was induced in New Zealand white male rabbits by daily oral administration of 500 mg cholesterol/kg. b. wt./rabbit/ day in 5 ml coconut oil.
Autopsy
Animals were autopsied under ether anaesthesia after completion of 120 d of treatment. The blood was collected by cardiac puncture; serum was separated by centrifugation after 30 min and stored at-20 °C for biochemical analysis.
Fixiation
Heart and aorta (2–3 cm length) were quickly removed, cleared off the fat and connective tissue weighed on an electronic balance. A small section of heart and aorta of each animal was soaked in a 10 % (v/v) formocalcium solution for H and E staining. The heart and aorta were processed for the normal histological section. The tissue samples were ultra-sectioned (5–6 μm thickness), stained with haematoxylin and eosin (HandE) and examined under a light microscope for observation of structural abnormality.
Biochemical analysis
The serum was assayed for total cholesterol [16], triglycerides [17], phospholipids [18], high density lipoprotein (HDL) [19], low-density lipoprotein (LDL) [20], very low-density lipoprotein (VLDL) [20] and total protein [21].
HDL Ratio [22] was determined as:
![]()
Atherogenic Index was derived using the formula-
![]()
Deviation Percent was calculated as
![]()
Statistical analysis
Data were represented as mean±SEM. The differences were compared for statistical significance by “t-test” by using SPSS software (16.0 version), and they were considered non-significant at P ≤ 0.05, significant at P ≤ 0.01 and highly significant at P ≤ 0.001.
RESULTS
Antihyperlipidaemic parameters
Effect of C. verum crude extract on total cholesterol (mg/dl)
As table 1 illustrated that rabbits fed on high cholesterol diet for 120 d caused a 9.8 fold increase in the concentration of serum total cholesterol level as compared to control. Concurrent treatment group showed the reduction by-64.25% and-71.63% at 200 mg and 300 mg/kg b. wt./day dose level of C. verum crude extract respectively when compared to cholesterol-fed rabbits.
Effect of C. verum crude extract on triglyceride (mg/dl)
As shown in table 1, an increase of 529.42% was observed in serum triglyceride level when compared to control. The reduction of-63.50% and-68.03% was observed in concurrent group III and IV respectively in comparison to athero diet fed rabbits (group II).
Effect of C. verum crude extract on phospholipids (mg/dl)
Atherodiet feeding for 120 d to control rabbits resulted in a significant elevation of 373.1% in phospholipids concentration as depicted in table 1. A significant decline (P ≤ 0.001) was noticed in concurrent treatment of C. verum crude extract with atherodiet to control rabbits (i.e. dose 200 mg/kg. b. wt./day reduction was-56.63% and 300 mg/kg. b. wt/day reduction was-61.23%) when compared to group II animals.
Effect of C. verum crude extract on serum LDL (mg/dl)
LDL cholesterol was significantly increased by 15.8 folds in rabbits, fed high-fat diet for 120 d. (table 1) In contrast, as depicted in table 1 in the concurrent groups, LDL was-68.80% lower at 200 mg and-76.69% at 300 mg dose level when compared with athero-diet fed rabbits (Group II).
Effect of C. verum crude extract on serum VLDL (mg/dl)
Cholesterol feeding resulted in an elevation by 530.07% in VLDL-Cholesterol levels in group II
When compared to control group. (table 1) On the other hand, as shown in table 1 concurrent feeding of C. verum inhibit the elevation by-63.08% in 200 mg and-68.08% in 300 mg dose levels in comparison to group II.
Effect of C. verum crude extract on serum HDL (mg/dl)
In athero fed rabbits, HDL cholesterol in comparison to total cholesterol was decreased, whereas it was again elevated after treatment with various doses of C. verum crude extract (table 1)
Table 1: Effect of methanolic extract of C. verum on serum biochemistry in rabbits
| Identification | Group | Total cholesterol | Triglyceride | phospholipid | VLDL chol. | LDL chol. | HDL chol. |
| mg/dl | |||||||
| Control(Placebo treated) from day 1-120 | I | 102.7 ±9.8 |
66.6 ±8.5 |
129.1±6.8 | 13.3 ±4.6 |
46.8 ±8.2 |
42.6 ±9.4 |
| Atherodiet+Chol. feeding* from day 1-120 | II % Deviation (I) |
1014a±17.9 +887.34 |
419.2a±20.2 +529.42 |
610.8a±18.2 +373.12 |
83.8a ±8.5+530.07 |
743.5a±14.2+1488.6 | 186.7a±17.9 +338.26 |
| Atherodiet+Chol. feeding+C. verum methanolic extract* from day 1-120 (Concurrent feeding | III % Deviation (IIa) |
362.5c ±15.8 -64.25 |
153c ±12.8 -63.50 |
264.9c ±13.6 -56.63 |
30.6c ±5.0 -63.48 |
107.03c±4.75 -71.24 |
100c±2.1 -46.43 |
| Atherodiet+Chol. feeding+C. verum methanolic extract** from day 1-120 (Concurrent feeding) | IV % Deviation (IIa) |
287.6c±18.6 -71.63 |
134c ±8.2 -68.03 |
236.8c±13.6 -61.23 |
26.8c ±2.8 -68.01 |
71.70c ±5.73 -80.73 |
87.5c ±4.6 -53.13 |
*Cholesterol feeding–500 mg/kg. b. wt in 5 ml coconut oil/day, ** C. verum-200 mg/kg. b. wt./day, *** C. verum-300 mg/kg. b. wt./day, values±6 determination, a-P≤ 0.01 Significant Group II compared with Group I, b-P≤ 0.01 Significant Group III and IV compared with, c-P≤0.001 Highly Significant Group II, ns-non-significant.
Effect of C. verum crude extract on HDL ratio
Fig. 1 illustrated that HDL ratio reduced significantly by-68.17% in rabbits after 120 d atherodiet feeding in comparison with controls. Further HDL ratio significantly improved in a dose-dependent manner after concurrent administration of C. verum extract as indicated in fig. 1.

Fig. 1: Effect of C. verum crude extract on HDL ratio
Effect of C. verum crude extract on atherogenic index
A significant rise of 214.18% was observed in the atherogenic index after 120 d of athero diet feeding. An ameliorative action of plant extract on the atherogenic index (i. e-40.85% at 200 mg and-48.53% at 300 mg dose level of C. verum crude extract was observed in the concurrent group when compared with group II. (fig. 2)

Fig. 2: Effect of C. verum crude extract on atherogenic index
Histological observations
The histopathological examinations were also performed in the ascending aorta and coronary artery in high cholesterol animal diet group and high cholesterol animal diet accompanied with C. verum extract group when compared with control (fig. 3-10).
Asending Aorta
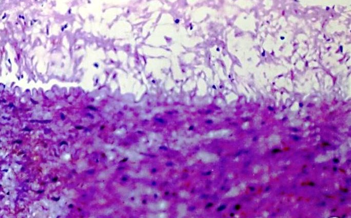
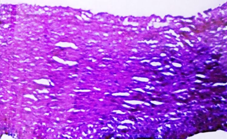
Histological study showed that control group had completely normal arteries without any lesion in intima or media. In our study athero fed rabbits showed well developed atheromatous plaque protruding in to the lumen of the aorta. There were many foamy (lipid-laden) macrophages and dense fibrous tissue layer in the plaque could be seen. Media was also showing foam cell. The animals consuming the C. verum along with high cholesterol, the severity of lesions were significantly reduced, three layers of aortic wall were distinct, and only few lipid-laden cells were present in the medial layer when compared with the rabbits consuming the high cholesterol diet (group II) (fig. 3-6).

Fig. 3: Ascending aorta of control rabbit

Fig. 4: Ascending aorta of rabbit after Athero diet feeding for 120 d

Fig. 5: Ascending aorta of rabbit-Athero Diet+C. verum 200 mg concurrent (120 d)

Fig. 6: Ascending aorta of rabbit-Athero Diet+C. verum 300 mg concurrent (120 d)
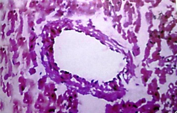
Coronary artery
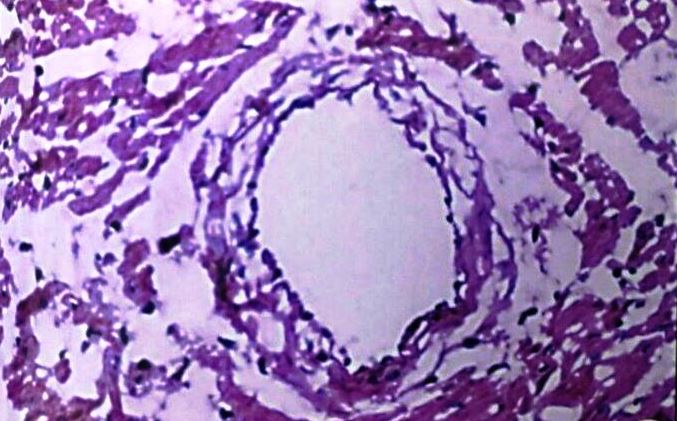
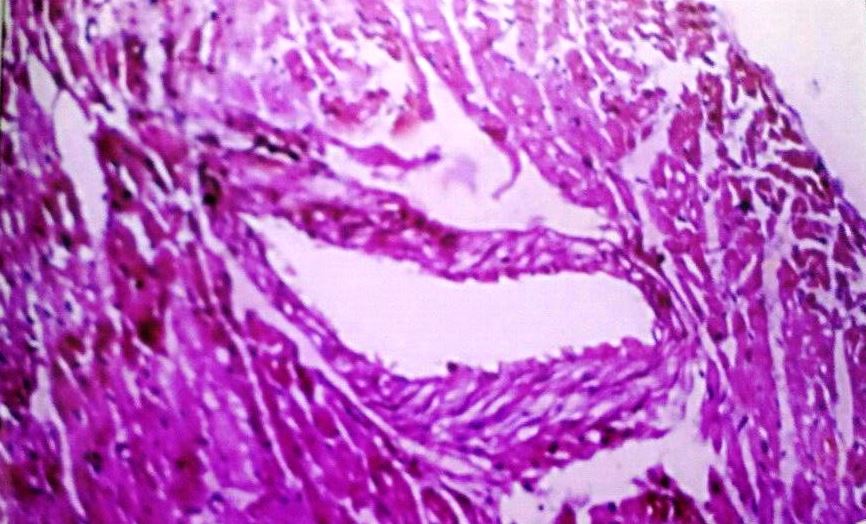
The coronary artery of control group animals showed the lumen encircled by the arterial wall, which consisted of three distinct layers tunica intima, tunica media and tunica adventitia. The coronary arteries of hyper-cholesterolemic rabbits (Group II) showed foamy appearance, due to the presence of a large number of lipid-filled macrophages. The wall becomes very thick, reducing the size of the lumen. Our findings demonstrated that concurrent administration of C. verum extract with high cholesterol diet caused a significant increase in lumen size and thickening of tunica intima due to foam cell showed a reduction. However, the plaque has restricted to grow in concurrent groups, but coronary artery of low dose level treated group showed some fatty changes. (fig. 7-10)

Fig. 7: Coronary artery of control rabbit

Fig. 8: Coronary artery of rabbit after Athero Diet feeding for 120 d

Fig. 9: Coronary artery of rabbit–Athero Diet+C. verum 200 mg concurrent (120 d)

Fig. 10: Coronary artery of rabbit-Athero Diet+C. verum 300 mg concurrent (120 d)
DISCUSSION
Findings of the current study recommended that administration with methanolic bark extract of C. verum significantly attenuated the elevated total cholesterol, triglyceride, phospholipid, lipoprotein cholesterol (HDL, LDL and VLDL) concentrations in high-fat-diet-induced hypercholesterolemic rabbits. A noticeable decrease was also observed in the atherogenic index and the HDL ratio improved significantly after supplementation with plant extract at a dose level of 200 and 300 mg/kg b. wt/day.
A significant rise in serum cholesterol level after cholesterol feeding in rabbits were probably due to the overproduction of VLDL in the liver or by delayed catabolism of VLDL or both [23, 24]. C. verum crude extract administration to hypercholesterolemic rabbits significantly decreased total cholesterol in serum. According to researchers, suggested mechanisms of cholesterol reduction by spices include; inhibition of intestinal absorption, up-regulation of the LDL-receptor and cholesterol 7α-hydroxylase [25]. It is established that atherogenic diet elevates serum triglyceride levels basically by preventing its uptake and clearance by inhibiting catabolising enzymes like lipoprotein lipase (LPL) and lecithin cholesterol acetyltransferase (LCAT) [26]. Concurrent feeding of C. verum along with cholesterol significantly suppress the elevated blood concentration of TGs through increased expression and activity of lipoprotein lipase (LPL) and to decrease hepatic synthesis and secretion of triglycerides [27]. Pandey and Dubey, 2009 [28] also suggested that decline in TGs level may be due to inhibition of lipolysis so that fatty acid do not get converted into triglyceride.
The phospholipids level has shown a downward trend in the concurrent feeding of C. verum extract along with cholesterol treated animals. The reduction in phospholipids level possibly due to a higher level of phospholipase that metabolised the blood phospholipids in high cholesterol diet fed animals [29] which further confirms the significant protective effect of the plant extract against hypercholesterolemia.
Oxidative modification of LDL is one of the key steps in the development of atherosclerosis. The LDL-cholesterol lowering could result from an increased LDL metabolism and/or a reduced LDL-synthesis [30]. The ratio of LDL-C to HDL-C is also a protective indicator of cardiovascular disease incidence. The cholesterol induction produced a significant increase of this marker. The concurrent administration of methanolic extracts of C. verum provides a beneficial action on rabbit lipid metabolism with regard to the reduction of AI. Again, the methanolic extract of C. verum supplementation along with cholesterol concurrently cause marked improvement in the HDL ratio showing the beneficial effect of this plant in preventing atherosclerosis occurrence.
The coronary arteries of hypercholesterolemic rabbits were characterised by dense intimal fibrosis with necrotic debris lipid-laden foam cells, cholesterol and calcium deposits. Since oxidation of cholesterol fractions (in particular LDL) has been accepted to play an important role in the atherosclerotic plaque formation process [31]. It has been proposed that extracts rich in antioxidant contents like cinnamon [32] may give beneficial results in this regard.
Plaque regression is defined as a decrease in the real intimal volume of a lesion as reflected by an increase in the luminal cross-sectional area [33]. There is evidence in animal models to indicate that regression can occur if serum cholesterol and other lipids are reduced to normal size [34]. The inhibition of atherosclerotic plaque formation by C. verum might be mediated by its improvement of antioxidation status, lipid metabolism and anti-inflammation response. The spice principles like eugenol, cinnamaldehyde, cinnamic acid, cineol have been shown to inhibit human polymorphonuclear leucocytes 5-lipoxygenase activity, the key enzyme involved in leukotriene synthesis, which can reduce the production of inflammatory mediators [35]. In the Concurrent C. verum extract, group plaques were decreased significantly compared to the high-cholesterol diet group.
The methanol bark extract contains tannins, flavonoids, glycosides, terpenoids, coumarins and anthraquinones [36]. Cinnamon has been shown to contain trans-cinnamic acid and trans-cinnamaldehyde [37] and their derivatives which show better antioxidant activities. The total phenolic content in cinnamon bark extract is (220.5±0.53) milligrams of gallic acid equivalent (GAE) per gram of samples contributes significantly for its antioxidant activity [38, 39]. Flavonoids protect alpha-tocopherol and plausibly other antioxidants against oxidation [40].
The anti-hypercholesterolemic effect of flavonoids is related to decline of 3-hydroxy-3-methylglutaryl coenzyme An (HMG CoA) and decrease in apo-B secretion in hepatocytes [41]. The tannins and flavones may act as in free radical scavenging mechanism and may prevent atherogenesis in rabbit aorta. While the plant sterols may interact with the intestinal absorption of fats and cholesterols [42].
The essential oils were reported to show strong antioxidant activity using in vitro models [43]. Lee et al. 2003 [44] found cinnamate, a phenolic compound in cinnamon bark, to significantly lower hepatic cholesterol and triglyceride levels in rats fed high cholesterol diet. Berberine (BBR), an alkaloid isolated from the Chinese herb huanglian, upregulates hepatic LDLR expression by extending the half-life of LDLR mRNA without affecting gene transcription [45]. It is possible that the presence of alkaloids in methanolic bark extract may possess LDLR mRNA stabilisation property and stimulating effect on hepatic LDLR expression.
Regarding observed outcomes, the possible mechanism could be the presence of biologically active phytoconstituents such as phytosterols, fats, alkaloids, flavonoids, phenols, terpenoids, carbohydrates, proteins and tannins in the methanolic extract of C. verum that may demonstrate the multitarget, multicomponent features for regulating lipid metabolism [46]. Thus the isolation of the pure secondary metabolites responsible for the extracts activity and their molecular mechanism as well as expression studies related to lipid metabolism will be a good addition to the cinnamon literature.
CONCLUSION
In accordance with these results, it may be confirmed that consumption of C. verum extract could prevent or be helpful in reducing the complications of dyslipidemia associated with oxidative stress. Antiatherosclerotic and lipid lowering activities of this plant are probably due to its phytochemicals identified in cinnamon. In conclusion, methanolic extract of C. verum seems to be a potential cardio protective candidate in rabbits. Advance studies need to be done in order to establish a detailed assessment of metabolic effects and antioxidant actions of cinnamon.
ACKNOWLEDGEMENT
Authors are grateful to Department of Zoology, University of Rajasthan, Jaipur (India) for providing necessary facilities.
CONFLICT OF INTERESTS
The authors report no declarations of interest
REFERENCES
How to cite this article