
Department of Pharmacology, QIS College of Pharmacy-Ongole, Andhra Pradesh
Email: jali.pharma@gmail.com
Received: 22 Aug 2017, Revised and Accepted: 13 Oct 2017
ABSTRACT
Objective: The present work deals with the study of the ethanolic extract of fruits of Allium cepa aerial leaves for cardio protective activity.
Methods: Cardioprotective activity of the ethanolic extract of aerial leaves of Allium cepa was determined by the administration of isoproterenol (60 mg/kg, s. c) for two days.
Results: Pretreatment with ethanolic extract of Allium cepa aerial leaves (200 mg/kg, p. o and 100 mg/kg, p. o) for 28 d in significantly (p<0.01) reduce the levels of serum transaminases, alkaline phosphates, lactate dehydrogenase, creatinine kinase, total cholesterol, triglycerides, LDL-cholesterol, VLDL-cholesterol and increase the levels of HDL-cholesterol. Histopathological studies of the hearts of isoproterenol-treated rats have showed infiltration of inflammatory cells and lacking of continuity in muscle fiber was suggesting an irreversible cell injury.
Conclusion: Animals treated with ethanolic extract of Allium cepa aerial leaves showed less degenerative changes compared to isoproterenol-treated animals.
Keywords: Allium cepa aerial leaves, Cardioprotection, Isoproterenol
© 2017 The Authors. Published by Innovare Academic Sciences Pvt Ltd. This is an open access article under the CC BY license (http://creativecommons.org/licenses/by/4.0/)
DOI: http://dx.doi.org/10.22159/ijcpr.2017v9i6.23424
Myocardial infarction (MI) is the acute condition of necrosis of the myocardium that occurs as a result of imbalance between coronary blood supply and myocardial demand [1]. It is well recognized that ischemic tissue generates oxygen-derived free radicals and other reactive species which bring about the oxidative damage of membrane lipids, proteins, carbohydrates and DNA, leading to qualitative and quantitative alterations of the myocardium [2].
Isoproterenol (ISO), a synthetic catecholamine and adrenergic agonist is documented to produce MI in large doses due to the generation of highly cytotoxic free radicals through its auto-oxidation [3]. These free radicals stimulate lipid peroxidation and cause irreversible damage to the myocardial membrane. The Indian system of medicine has treated diseases with its herbals for ages. Recently, several plants of Indian origin have been found to possess medicinal properties and their beneficial effects in ailments like atherosclerosis, ischemia, cancer, diabetes and liver dysfunction have been attributed to their antioxidant activity.
Allium cepa belong to the family Liliaceae, cultivated for over five thousand years and have been used in herbal medicine and as an indispensable flavouring agent and as a vegetable that is cooked. Bulbs of Allium cepa consists of 2-Methyl-but-2-en-1-al, 28-Iso-fucosterol, Allicin, Pyruvic acid, Raffinose, Rhamnose, Succinic acid, etc. Pharmacological studies of Allium cepa were been proved that it possess Anti-tuberculosis [4], Anti-microbial [5], Anti-diabetic [6] and In vitro bacterial [5] activity. It has recently been the source of much interest because of its antithrombotic, hypolipidaemic, hypotensive, diaphoretic, antibiotic, antidiabetic, antiatherogenic, and anticancer medicinal properties. Many of the researches have been carried out on the bulbs of Allium cepa but, no works have been done on the aerial leaves of the Allium cepa. Therefore we made an attempt to evaluate cardioprotective activity of Allium cepa aerial leaves
Plant material
The fresh aerial leaves of Allium cepa were collected from local areas of Ongole Andhra Pradesh India. The leaves were dried in shade and ground to get a coarse powder.
Preparation of extract
The collected plant material was shade dried and coarsely powdered. 500 gms of plant material (leaves) of Allium cepa was defatted with hexane and extracted with ethanol using cold maceration method. It was soaked for 72 h at room temperature, filtered and to the residue same solvent is added and the process was repeated for 2 times to obtain a complete extract. All the filtrates were pooled and the solvent was removed in a rotary evaporator under vacuum.
Preliminary phytochemical screening
Extract was tested for Glycosides, Steroids, Alkaloids, and Flavanoids [7].
Experimental animals
Abino rats (Wistar) weighing 150–200 g either sex were used in this study. Animals were maintained under controlled conditions of temperature (23±2 °C) and humidity (50±5%) and a 12 h light–dark cycle, were used for the experiment. They were housed in sanitized polypropylene cages containing sterile paddy husk as bedding. They had free access to standard rat pellet diet and water ad libitum. The animals were given a week’s time to get acclimatized with the laboratory conditions. All animal studies were performed in accordance to the guideline of CPCSEA and Institutional Animal Ethical committee [IAEC] of central Animal house, QIS College Pharmacy, ongole. (Reg No: 1921/PO/ReS/16/CPCSEA)
Acute toxicity studies [8]
Toxicity studies were performed for Ethanolic extract as per OECD guidelines–420, fixed-dose procedure. Fixed-dose levels of extracts starting from 50, 100, 200, 500, 1,000, increasing up to 2,000 mg/kg body weight were given, and signs and symptoms of toxicity were observed for next 48 hr. No toxicity or death was observed in the experimental mice when they were subjected to toxicity study. Therefore, 1/10th and 1/20th of the dose were selected for the study.
Myocardial infarction induction
Myocardial infarction was induced by intraperitoneal injection of isoproterenol (60 mg/kg), dissolved in saline, for two consecutive days (29th and 30th day).
Experimental design [9]
Twenty four male wistar rats were divided into four groups of 6 animals in each group as follows Group I: Served as a control (saline p. o); Group II: Rats were administered with isoproterenol dissolved in normal saline (60 mg/kg) on 29th and 30th day with 24 h interval between the administrations, Group III: Rats were administered with ethanolic extract of Allium cepa aerial leaves (200 mg/kg) for a period of 28 d and then isoproterenol was administered intraperitoneally on 29th and 30th day, Group IV: Rats were administered with ethanolic extract of Allium cepa aerial leaves (100 mg/kg) for a period of 28 d and then isoproterenol was administered intraperitoneally on 29th and 30th d.
Biochemical assessment
Blood was drawn from retro orbital vein 48 h after the first dose of isoproterenol under anesthesia and serum was separated by centrifugation and utilized for the estimation of various biochemical parameters like serum glutamate oxaloacetate transaminase, serum glutamate pyruvate transaminase, alkaline phosphates, lactate dehydrogenase, creatinine kinase, total cholesterol, triglycerides, LDL-cholesterol, HDL-cholesterol and VLDL-cholesterol.
Serum analysis
Serum lipid profiles were assayed spectrophotometrically with the enzymatic colourimetric method according to the instruction of diagnostic kits.
Marker enzyme assays
The marker enzymes SGPT, SGOT, ALP, LDH and CK were assayed in serum according to the instruction of diagnostic kits. The results were expressed as IU/l for AST, LDH and CPK.
Histopathology
At the end of the study, all the rats were sacrificed by cervical decapitation and the hearts were dissected out, washed in ice-cold saline. Then myocardial tissue was immediately fixed in 10% formalin solution. After fixation, tissues were embedded in paraffin and serial sections (4-5 μm thick) were taken and each section is then stained with hematoxylin and eosin. Then the slides were examined under light microscope.
Statistical analysis
Statistical analysis was carried out using graph pad prism software. All were expressed as Mean+Standard mean error. Groups of data were compared with one-way analysis of variance followed by Dunnett test. Values were considered statistically significant at p<0.01
Preliminary phytochemical investigation
The preliminary phytochemical investigation of the ethanolic extract of Allium cepa aerial leaves showed that it mainly contains carbohydrates, tannins, flavonoids and saponins.
Cardioprotective activity
Table 1 represented the effects of ISO and EEAC treatment on serum lipid profile, including TG, TC, HDL-c, VLDL-c LDL-c concentrations in different rat groups. ISO treatment significantly increased the serum TG and TC levels in the ISO-treated group in comparison to control group indicating hypertriglyceridemia and hypercholesterolemia. Serum LDL-c and VLDL-c concentrations were significantly increased while the serum HDL-c concentration was significantly decreased in the ISO-treated group in comparison to control group. Treatment with EEAC significantly improved the tested parameters.
Table 1: Effect of administration ethanolic extract of Allium cepa aerial leaves on isoproterenol-induced alterations in serum lipid parameters in rats
| Groups | Treatment | Lipid parameters (mg/dl) | ||||
| TC | TG | HDL-C | LDL-C | VLDL-C | ||
| I | Normal control | 130.5± 3.22 |
142.7± 4.2 |
55± 2.08 |
97.5± 4.11 |
31.75± 0.75 |
| II | ISO control | 206.5± 3.06## |
182.3± 2.02## |
38.75± 1.39## |
211.8± 2.15## |
50± 1.29## |
| III | EEAC (200 mg/kg) +ISO |
140.3± 1.03** |
161.5± 2.10** |
52.25± 1.03** |
104.5± 3.37** |
38± 0.91** |
| IV | EEAC (100 mg/kg) + ISO |
161.8± 2.39** |
172± 0.47* |
45.25± 1.25* |
129± 5.40** |
41.75± 0.85** |
Values are mean±SEM for six animals in each group, ##P<0.01 considered statistically significant as compared to normal control group, **P<0.01 considered statistically significant as compared to ISO treated group, *P<0.05 considered statistically significant as compared to ISO treated group

Fig. 1: Effect of administration ethanolic extract of Allium cepa aerial leaves on isoproterenol-induced alterations in serum lipid parameters in rats, values are mean±SEM for six animals in each group
The effects of EEAC on serum marker enzymes are shown in table 2. ISO-treated group the transaminases, alkaline phosphates, lactate dehydrogenase and creatinine kinase were also significantly (p<0.01) increased as compared to control group. Administering ethanolic extract of Allium cepa aerial leaves (200 mg/kg) significantly (p<0.01) reduced the levels of serum glutamate pyruvate transaminase, alkaline phosphates, lactate dehydrogenase, creatinine kinase in isoproterenol-treated rats as compared to the animals treated with isoproterenol-treated group alone.
Table 2: Effect of administration ethanolic extract of Allium cepa aerial leaves on isoproterenol-induced alterations in serum levels of marker enzymes in rats
| Groups | Treatment | SGOT(IU/l) | SGPT(IU/l) | ALP(KA) | LDH(U/l) | CK(U/l) |
| I | Normal control | 90.6±4.33 | 37.85±1.49 | 16.6±1.04 | 160±4.56 | 33.25±1.25 |
| II | ISO control | 204.7±3.22## | 73.5±3.22## | 41.25±0.94## | 279.5±12.5## | 53.25±2.95## |
| III | EEAC(200 mg/kg)+ISO | 111.3±2.13** | 41±2.48** | 22.25±0.62** | 171.3±5.86** | 34±1.68** |
| IV | EEAC(100 mg/kg)+ISO | 123±2.04** | 52.5±0.64** | 30±0.91** | 191.5±3.22** | 42.15±1.10** |
Values expressed as mean±SEM for six animals in each group, ##P<0.01 considered statistically significant as compared to normal control group, **P<0.01 considered statistically significant as compared to ISO treated group, ISO: Isoproterenol control, EEAC: Ethanolic extract of Allium cepa aerial leaves

Fig. 2: Effect of Administration ethanolic extract of Allium cepa aerial leaves on isoproterenol-induced alterations in serum levels of marker enzymes in rats, values expressed as mean±SEM for six animals in each group
Histopathological examination of heart
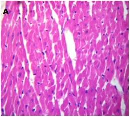
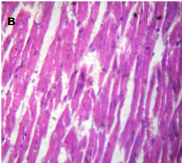
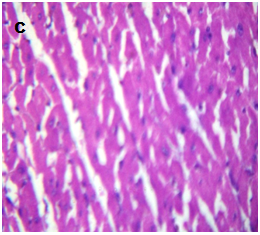
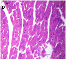
Control rats (fig. 3A) showed the normal architecture of myocardial fibres and muscle bundles whereas isoproterenol-treated group showed infiltration of inflammatory cell, there was no continuity in muscle fibres, indicating irreversible cell injury (fig. 3B). Treatment with ethanolic extract Allium cepa aerial leaves (200 mg/kg, and 100 mg/kg p. o) showed marked regenerative changes and normal myofibrillar structure with striations (fig. 3C and3D) which revealed the protection of EEAC against myocardial necrotic damage.


Fig. 3A: Control, Fig. 3B: ISO


Fig. 3C: EEAC(200 mg/kg), Fig. 3D: EEAC(100 mg/kg)
Fig. 3: Effect of ethanolic extract of Allium cepa aerial leaves on Histopathological changes in rat myocardial tissue (H and E Stain, 450X)
ISO, a potent synthetic catecholamine when administered to animals in high doses, produces ‘‘infarct-like’’ lesions in the heart, which are similar to those found in acute myocardial infarction (AMI) and sudden death in man [10]. Therefore, the cardioprotective activity of EEAC was evaluated with ISO.
Lipids play an important role in cardiovascular disease, not only by way of hyperlipidaemia and the development of atherosclerosis but also by modifying the composition, structure and stability of cellular membranes [11]. The increased levels of plasma cholesterol and triglycerides observed in isoproterenol-injected rats could be due to increased lipolysis.
Hypertriglyceridemia and increased levels of cholesterol in plasma might be responsible for altered cardiovascular functions which are often reported in isoproterenol-induced myocardial infarction [12]. Myocardium contains an abundant concentration of diagnostic marker enzymes of myocardial infarction viz., lactate dehydrogenase, creatinine kinase and transaminases and once metabolically damaged, releases its contents into extracellular fluid [13]. Hence, in ISO myocardial infarcted rats, there was an increase in activities of the marker enzymes levels in serum.
In this study, a significant increase (p<0.01) in serum lactate dehydrogenase, creatinine kinase, transaminases and alkaline phosphates was observed in isoproterenol-treated rats (Group II) when compared with normal control rats (Group I). Pretreatment at the dose of 200 and 100 mg/kg with ethanolic extract of Allium cepa aerial leaves significantly (p<0.01) reduced the levels of serum lactate dehydrogenase, creatinine kinase, transaminases and ALP levels when compared with the isoproterenol-treated group.
The significant (p<0.01) increase in the levels of total cholesterol, triglycerides, LDL-cholesterol, VLDL-cholesterol and a significant decrease in the levels of HDL-cholesterol in the plasma of isoproterenol-treated rats was observed when compared with normal control-treated rats. Pretreatment at the dose of 200 and 100 mg/kg with ethanolic extract of Allium cepa aerial leaves significantly reduced (p<0.01) the levels of total cholesterol, triglycerides, LDL-cholesterol, VLDL-cholesterol and significantly increased the levels of HDL-cholesterol when compared with isoproterenol-treated rats.
A significant reduction in ALP, LDH and CK levels together with protection histoarchitectural changes confirmed the cardio protective activity of ethanolic extract of Allium cepa aerial leaves. Allium cepa aerial leaves extract can be considered a candidate to protect against cardiotoxicity.
Declared none
Boudina S, Laclau MN, Tariosse L. Alteration of mitochondrial function in a model of chronic ischemia in vivo in rat heart. Am J Physiol: Heart Circ Physiol 2003;282:H821–31.
Burton KP, McCord JM, Ghai G. Myocardial alteration due to free radical generation. Am J Physiol 1984;84:H776–83.
Rona G, Chappel CI, Balazs T, Gaudry R. An infarct-like myocardial lesion and other toxic manifestations produced by isoproterenol in the rat. Arch Pathol 1959;76:443–5.
Renu Gupta, Bandana Thakur, Pushpendra Singh, HB Singh. The anti-tuberculosis activity of selected medicinal plants against multi-drug resistant Mycobacterium tuberculosis isolates. Indian J Med Res 2010;131:809-13.
Ebrahimi H, Bazargani A, Pourshahidi S, Rafiee A. Assessment of antimicrobial activity of onion extract (Allium cepa) on Streptococcus mutans and Streptococcus sanguinis; in vitro study. Adv Nat Appl Sci 2012;6:1609-13.
Ozougwu, Jevas C. Anti-diabetic effects of Allium cepa (onions) aqueous extracts on alloxan-induced diabetic Rattus novergicus. J Med Plants Res 2011;5:1134-9.
CK Kokate, AP Purohit, SP Gokhale. Methods of Glycosides, Flavonoids and Alkaloids: Pharmacognosy Volume I and II 4th Edition; 2013. p. 168-82.
OECD guidelines for the testing of chemicals (Acute oral toxicity up and down procedure); 2008.
Koneri R, Balaraman R, Hariprasad, Vinoth Kumar M, Ali A. Cardioprotective effect of Momordica cymbalaria fenzl in rats with isoproterenol induced myocardial injury. J Clin Diagn Res 2008;2:699-705.
Baroldi G. Myocardial necrosis: the need for definition. J Mol Cell Cardiol 1974;6:401–2.
Kareem MA, Krushna GS, Hussain SA, Dev KL. Effect of aqueous extract of nutmeg on hyperglycaemia, hyperlipidaemia and cardiac histology associated with isoproterenol-induced myocardial infarction in rats. Trop J Pharm Res 2009;8:337-44.
Sabeena Farvin KH, Anandan R, Hari Senthil KS, Shiny KS. Cardioprotective effect of squalene on lipid profile in isoprenaline-induced myocardial infarction in rats. J Med Food 2006;9:531-6.
Suchalata S, Shyamala Devi CS. Protective effect of Terminalia chebula against experimental myocardial injury induced by isoproterenol. Indian J Exp Biol 2004;42:174–8.