
aUnit for Evaluating the Efficacy of Pharmacological Molecules and Developing Alternative Strategies, Sante and Productions Animales Research Laboratory, Ecole Nationale Superieure Veterinaire, Algiers, Algeria, bDepartment of Chemistry and QOPNA, University of Aveiro, Campus de Santiago, 3810193 Aveiro, Portugal, cSciensano, the Belgian Health Institute, Quality of Laboratories, 1050 Brussels, Belgium, dDepartment of Pathology, Beni Messous Hospital, Algiers, Algeria
Email: d.benmaarouf@gmail.com
Received: 13 Jun 2020, Revised and Accepted: 16 Aug 2020
ABSTRACT
Objective: To investigate the qualitative composition of the acetonic extract from leaves of S. argel (AESA) and their anti-inflammatory and analgesic properties in vivo.
Methods: AESA profile was established by UHPLC/DAD/ESI-MS2. AESA was subjected to the acute oral toxicity study according to the OECD-420 method. Antioxydant activity of AESA was performed by DPPH radical scavenging assay. Anti-inflammatory effects of AESA were determined in two animal models: carrageenan-induced paw edema in rats and cotton pellet-induced granuloma formation in rats. Further, anti-nociceptives activities of AESA were assessed by hot plate test, acetic acid-induced abdominal writhing test and formalin test.
Results: The in vivo AESA toxicity was low. AESA expresses a maximum radical scavenging activity with a IC50 value of 36,05 μg/ml. The AESA at 250 and 400 mg/kg significantly reduced carrageen an induced paw edema by 70.09% and 85.53% 6h after carrageenan injection, respectively. AESA produced significant dose-dependent anti-inflammatory effect against cotton pellets-induced granuloma formation in rats. In addition, AESA at 250 and 400 mg/kg significantly reduced acetic acid-induced writhing by 56.83 and 80.41%, respectively. Oral administration of 250 and 400 mg/kg of AESA caused a significant dose dependent anti-nociceptive effect in both neurogenic and inflammatory phases of formalin-induced licking. AESA also impacted the pain latency in the hot plat test.
Conclusion: These data suggest that AESA possesses antioxidant, anti-inflammatory and anti-nociceptive effects. These results support the traditional use of S. argel to cure pain and inflammatory diseases in the Algerian Sahara.
Keywords: Solenostemma argel, UHPLC/DAD/ESI-MS2, Antioxidant, Anti-inflammatory, Analgesic, Toxicity
© 2020 The Authors. Published by Innovare Academic Sciences Pvt Ltd. This is an open access article under the CC BY license (http://creativecommons.org/licenses/by/4.0/)
DOI: http://dx.doi.org/10.22159/ijcpr.2020v12i5.39771. Journal homepage: https://innovareacademics.in/journals/index.php/ijcpr
A modern approach is to exploit the heritage of knowledge in traditional medicine by using advanced technologies for the identification, separation and application of biologically active molecules to specific pathologies. Recently, pathologies leading to pain and inflammation encountered a great attention for new treatments using biologically active molecules isolated from medicinal plants [1].
Solenostemma argel (Delile) Haynes (Asclepiadaceae) is a tropical plant that spreads through the central Sahara, in the Sinai and the southeastern desert. In Algeria, the species is widespread in the Central Sahara, Tassilin'Ajjer and the Hoggar Mountains [2]. It thrives mainly in rocky and sandy areas and in gravelly wadis, between an altitude of 500 and 1600 meters [3].
Among the local populations, the decoction of the aerial parts or leaves of Solenostemma argel (S. argel) is highly prized as febrifuge and purgative but also to treat colic, upset stomach, constipation, flatulence, urinary tract infections, renal pains and coughing [4]. In addition, infusion of aerial parts is used to treat diabetes and jaundice, and infusion of leaves and flowers is indicated to purify the blood and calm the nerves [3]. In Libya and Egypt, leaves decoction is taken to treat bronchitis, neuralgia and sciatica [5]. In Lebanon, the dried leaves of this plant are imported, and boiled in olive oil; this liquid is used in friction against rheumatism [3].
During the ethnobotany survey we conducted in Taman asset, southern Algeria, where the plant was harvested, we be witnesses of its use by the Hoggar people. Powdered dried leaves are boiled in milk, sweetened with dates or sugar, and the decoction is drunk to treat rheumatism, gonorrhea and hemoptysis. We have been reminded that the fruits are instilled in the eyes to cure the flu states. Also, sap is used for the treatment of wounds. In addition, the branches of the plants are used in the waterers of animals to fight against harmful insects. Finally, the Hoggar people use the leaves and sap of the plant to produce natural soap (personal communication).
Due to their implication in almost all the human and animal diseases, inflammation and pain are widely studied by scientific community [6]. Inflammation, which is characterized by pain, redness, swelling and dysfunction of the tissues and organs, is the normal result of host protective responses to tissue injury caused by numerous stimuli. It is commonly associated with pain as a secondary process, resulting from the secretion of analgesic mediators [7]. Inflammation is like a double-edged sword because it is a host defense mechanism to eliminate invading pathogens and to initiate healing process, but the uncontrolled or the overproduction of inflammatory products can lead to injury of host cells, chronic inflammation, chronic diseases and neoplastic transformation [8]. Therefore, the inflammatory response must be actively controlled when no longer needed to prevent unnecessary harmful biological processes. Mechanisms, which serve to terminate inflammation, include various cellular and immunological responses and could be initiated using potential anti-inflammatory compounds, which worked specifically by inhibiting inflammatory components or activating transcription factors [9].
Steroidal and non-steroidal anti-inflammatory drugs are widely prescribed because of their effectiveness in the management of pain and inflammation but their prolonged administration is known to be associated with various side effects. Traditional medicine, which is based on the natural plants use, has already been declared by WHO as promotive, preventive, curative and rehabilitative [10]. In this context, the use of natural resources, and more particularly of medicinal plants, becomes a promising research voice to explore and discover effective drugs with fewer side effects.
With this work, we aimed to explore the composition of acetone extract from the leaves of S. argel (AESA) and to evaluate its antioxidant, anti-inflammatory and analgesic properties on in vivo models.
Chemicals and drugs
Folin–Ciocalteu’s phenol reagent, sodium carbonate, Aluminum chloride, 2,2-diphenyl-1-picryl hydrazyl (DPPH), butylated hydroxytoluene (BHT), Carrageenan, acetic acid, formalin, acetone and the standard drugs indomethacin and morphine sulfate were purchased from Sigma Aldrich corporation (St. Louis, MO, USA). All chemicals and drugs used in this work were of analytical grade.
Collection and identification of plant
The aerial parts of S. argel were collected at an altitude of 1400 m between January and May 2016 at Oued Taghat, 120 km from the town of Tamanrasset (22 ° 47′ 13″ North, 5 ° 31′ 38″ East)-Algeria.
The plant aerial part was air dried at room temperature, in a dry and aerated place. The identification of the studied plant was carried out by professor Benhouhou of the botanical department of “Ecole Nationale Supérieured’ Agronomie” (ENSA) of El-Harrach in Algiers, Algeria and she delivered us a certificate of identification.
Extract preparation
Briefly, 24 g of the plant leaves were ground to a fine powder and divided into units of 500 mg. Each unit was mixed with 5 ml of acetone using a vortex equipment for 5 min and then centrifuged at 3000 rpm for 5 min. After decantation, the liquid phase was recovered and the residue was re-extracted two more times according to the same procedure. Finally, the liquid phases were assembled and dried using rotary evaporator at 40 °C leading to recover 1.171 g (4.87%) of extract from the starting plant material [11].
UHPLC analysis
The UHPLC system consisted of a variable loop of 20 microliters (2 ml vial capacity set at 5 °C), an LC pump and a PDA detector (Thermo Fisher Scientific, San Jose, CA, USA). The separation of the compounds was carried out with a gradient elution program at a flow rate of 0.2 ml/min, at 30 °C, by using a Hypersil Gold C18 column (100x2.1 mm; 1.9 µm) supplied by Thermo Fisher (Thermo Fisher Scientific, San Jose, CA, USA). The injection volume in the UHPLC system was 2 microliters and the mobile phase consisted in formic acid 0.1% (A) and acetonitrile (B). The following linear gradient was applied: 0–Xmin: X%B, X–Y min: 0–X%B, X–Y min: X–Y%B, followed by re-equilibration of the column for XX min before the next run. Online detection was carried out in the diode array detector, at XX and YY nm, and UV spectra in a range of 190–700 nm were also recorded. The HPLC was coupled to a LTQ XL Linear Ion Trap 2D mass spectrometer (Thermofisher SCIENTIFIC, San Jose, CA, USA), equipped with an orthogonal electrospray ionization source operating in negative mode. The nitrogen sheath and auxiliary gas were 50 and 10 (arbitrary units), respectively. The spray voltage was 5 kV and the capillary temperature was 275 °C. The capillary and tune lens voltages were set at −28V and −115V, respectively. The data acquisition was carried out by using Xcalibur® data system (ThermoFinnigan, San Jose, CA, USA).
In vitro studies
Determination of total phenolics content
The total phenolic content of AESA was determined by the Folin–Ciocalteu assay [12]. A mixture of 0.2 ml of extract, 0.8 ml of distilled water and 0.1 ml of Folin-Ciocalteu reagent was first incubated at room temperature for 3 min. After the addition of 0.3 ml of 20% (w/v) Na2CO3, the mixture is further incubated at room temperature for 120 min and absorbance was measured at 765 nm. Total polyphenol content was calculated from a gallic acid calibration curve (5-100 μg/ml), and the result was expressed as mg of gallic acid equivalents (mg GAE/g). Any measurement is repeated three times.
Determination total flavonoids content
The quantification of flavonoids is estimated by the method of Aluminum Chloride [13]. The protocol followed consists of mixing 1 ml of extract with 1 ml of the 2% AlCl3solution prepared in methanol. After incubation of the mixture at room temperature for 10 min, the absorbances are measured at 440. The calibration curve was obtained with quercetin (2-20 mg/l). The total flavonoids content was expressed as mg of quercetin equivalents (mg EQ/g). Any measurement is repeated three times.
DPPH radical scavenging assay
The free radical scavenging activity of AESA was assessed using the stable radical DPPH (2,2-diphenyl-1-picrylhydrazyl). The assay was performed according to the standard technique described by Blois [14]. In brief, 1 ml of methanolic DPPH solution (0.2 mmol) was added to 1 ml of the AESA and mixed well. The samples were incubated for 30 min in the dark at room temperature. The absorbance was measured at 517 nm. The radical scavenging activity was calculated using the following equation:
DPPH scavenging effect (%) = [(A0–A1)/A0] x100
Where A0 represents the control absorbance and A1 the absorbance of AESA. All measurements were performed in triplicate.
In vivo studies
Animals
Healthy wistar albino rats (150–200 g) and Swiss albino mice (20–30 g) of either sex were procured from the “Institut Pasteur d’Algérie”. All animals were housed in an animal room under standard laboratory conditions of temperature (25±2 °C), relative humidity (55±1%), 12 h light/dark cycle, and fed with standard pelleted food and water ad libitum. The animals were acclimatized to laboratory environment for 7 d before starting experiments.
The study was permitted by the scientific council of “Santé et Productions Animales” Research Laboratory of the “Ecole Nationale Supérieure Vétérinaire” of Algiers, and performed according to the international rules regarding animal experiments and biodiversity rights.
Acute toxicity study
Acute oral toxicity study was performed as per the guidelines of Organization for Economic Co-operation and Development (OECD-420) [15]. Nulliparous and non-pregnant healthy female rats were used for this study. The rats were divided into four groups with five animals in each group. Single dose of AESA (500, 1000 and 2000 mg/kg) was administered to overnight fasted rats, while control group received distilled water (10 ml/kg). The animals have been observed individually during the entire experimental period, for any behavioral and neurological changes as a sign of acute toxicity. For 14 d, the animals were weighed, and the number of deaths was reported. On the 14th day, Blood samples were taken to analyze some biochemical parameters. The animals were then sacrificed and autopsied and various organs (hearts, livers, kidneys, lungs and spleens) were weighed and collected for histopathological study. The organs were fixed in 10% formalin then dehydrated, diluted and incorporated into paraffin blocks. Slices 4 μm thick were produced and stained by hematoxylin-eosin (HE) techniques. The slides were observed with an optical microscope to highlight toxicity lesions.
Anti-inflammatory activity
Carrageenan-induced rat paw oedema
The anti-inflammatory effect of AESA against carrageenan induced acute paw edema in rats was conducted according to the method described previously [16].
Four groups of 6 rats each were treated with AESA (250 and 400 mg/kg, p. o.), indomethacin (10 mg/kg, p. o.) and distilled water (10 ml/kg, p. o.). One hour later after administration, acute inflammation was produced by the subplantar injection of 0.1 ml of 1% carrageenan in the left hind paw of the rats. The right hind paw served as reference non-inflamed paw for comparison. The paw diameter was measured with an electronic caliper in the dorsal plantar axis at the metatarsal level. For all the specimens, the paw diameters of rats were determined each hour until the 6th hour after injection of carrageenan. The difference between initial and post-treatment paw diameters indicates the degree of inflammation. Edema was expressed as a percent increase in paw diameter due to carrageenan administration referred to the reference paw (un-treated paw). The average increase in paw diameter of each group was evaluated and compared with that of the control and the standard groups.
Cotton pellet induced granuloma
The granulomatous lesions were induced by surgically implanting two cotton pellets subcutaneously in the dorsal region of the rats, each one near each axilla. After 20 min of AESA administration, autoclaved sterile pellets of cotton, weighing 20 mg each one, were aseptically implanted in the interscapular distance under the skin on the previously shaved back of the rats in anesthetized condition. The rats were treated with AESA (250–400 mg/kg, p. o.), standard drug indomethacin (10 mg/kg, p. o.) and distilled water (10 ml/kg, p. o.) once daily for 7days and on the eight day, all the rats were sacrificed and the pellets surrounded by granuloma tissue were dissected out carefully and dried at 70±1 °C. Mean weight of the granuloma tissue formed around each pellet was recorded. The pellets were weighed in both moist and dry condition. The weight of pellets taken out from AESA administered rats was compared with the weight of pellets taken out from the control group [17].
Analgesic activity
Writhing test in mice
The assay was performed according to the method previously described [18]. The nociceptive effect caused by injection of acetic acid was detected by observing abdominal writhing associated with stretching of the whole body. Four groups of 6 mice each were treated with AESA (250 and 400 mg/kg, p. o.), indomethacin (10 mg/kg p. o.) and distilled water (10 ml/kg, p. o.). Thirty minutes after treatment, 0.1 ml of 1% acetic acid solution were injected to the mice inducing the characteristic writhing. Animals were observed individually and the number of writhes started to be counted 5 min after injection of acetic acid and for 20 min. The significant reduction of writhes number of treated groups was compared to that of the control and standard groups. The inhibition percentage was calculated according to the following equation:

Formalin test
The formalin test was carried out as described previously [19]. Four groups of 6 rats each one were treated orally with distilled water (10 ml/kg), morphine (10 mg/kg) and AESA (250–400 mg/kg). One hour after treatment, rats were injected with 50 μl of 2.5% formalin (in 0.9%saline) into the sub plantar space of the right hind paw and the duration of paw licking was determined 0–5 min (first phase) and 20–25 min (second phase) after formalin injection.
Hot plate test
Four groups of 6 mice each one were treated with AESA (250 and 400 mg/kg, p. o.), morphine (10 mg/kg p. o.) and distilled water (10 ml/kg, p. o.). Animals in all groups were individually exposed to the hot plate. The time taken in seconds for fore paw licking or jumping was taken as reaction time and was measured in a regular time interval and the reaction strength of each rat was determined before and after drug treatment at 30 min, 60 min and 120 min. A cutoff period of 15 seconds was set up to prevent damage to the paws. The groups administered with tested extract were compared to control and standard drug groups [20].
Statistical analysis
All values were expressed as means±standard deviation. Data were analyzed by one way ANOVA followed by Tukey test multiple comparison. Results were considered statistically significant at P<0.05.
Results
UHPLC analysis
A qualitative analysis of the composition of the AESA was performed using UHPLC/DAD/ESI-MS2 operated in negative ionization mode. Fig. 1 illustrates the UHPLC base peak chromatogram recorded at 370 nm and in table 1 are summarized the most important data of the compounds (retention time, maximum wavelength, molecular ions species and fragments).
Determination of total phenolics and flavonoids content
The quantification of the total phenols and flavonoids of the acetone ESA extract is shown in table 2. The value of total phenolics was 10,955±0,352 mg gallic acid equivalent (GAE)/g extract and that of the total flavonoids was 38,855±0,289 mg rutin equivalent (RE)/g extract.

Fig. 1: UHPLC chromatogram of S. argel acetonic extract recorded at 370 nm (*solvent)
Table 1: Identification of UHPLC/DAD/ESI-MS2 data from the acetonic extract of S. argel
| Rt (min) | ʎmax | [M-H]− (m/z)♦ | ESI-MS2 | Compound | References* |
| 7.96 | 239, 270, 303 | 137 | 137 (100), 110 (65), 119 (90) | Salicylic acid derivative | [21, 22] |
| 8.25 | 240, 268 | 137 | 137 (100), 110 (55), 119 (60) | Salicylic acid | [21, 22] |
| 8.48 | 222, 267 | 1081 | 517 (100), 504 (60), 536 (25), 545 (20), 519 (15) | Saponin derivative | Tentative identification |
| 11.24 | 256, 308, 355 | 609 | 300 (100), 301 (30), 445 (30), 489 (20), 463 (15), 271 (15), 255 (10) | Quercetin-3-O-rutinoside (Rutin) | [23, 24] |
| 11.99 | 195, 265, 349 | 593 | 429 (100), 284 (70), 285 (50), 447 (20), 255 (15), 473 (15) | Kaempferol-3-O-rutinoside | [23, 25] |
| 12.6 | 239, 268 | 771 | 607 (100), 427 (70), 285 (60), 713 (60) | Kaempferol-3-O-diglucoside-7-O-glucoside | [26, 27] |
| 12.87 | 242, 265, 350 | 447 | 284 (100), 285 (90), 327 (35), 255 (10) | Kaempferol-3-O-glucoside (Astragalin) | [23, 24] |
| 13.39 | 226, 282 | 1047 | Not fragmented under the used conditions | Saponin derivative | Tentative identification |
| 13.72 | 240, 272, 294 | 901 | 527 (100), 725 (90), 707 (80), 545 (70), 593 (60), 266 (60) | Saponin derivative | Tentative identification |
| 13.84 | 241, 269, 299 | 1047 | Not fragmented under the used conditions | Saponin derivative | Tentative identification |
| 14.65 | 245 | 553 | 391 (100), 535 (50), 506 (20), 469 (20), 373 (30), 347 (20), 301 (20), 257 (15), 233 (15), 375 (10), 311 (10), 425 (10) | Quercetin derivative | Tentative identification |
| 16.76 | 228, 271, 295, 324 | 693 | 341 (100), 385 (80), 353 (40), 649 (30), 661 (30), 485 (20), 557 (20), 609 (10), 301 (10), 249 (10) | Quercetin derivative | Tentative identification |
| 17.23 | 243 | 137 | 137 (100), 110 (60), 119 (35) | Salicylic acid derivative | [21, 22] |
| 17.79 | 243, 267, 364 | 285 | 285 (100) | Kaempferol | [25, 26] |
| 21.64 | 244, 267 | 1159 | 275 (100), 211 (20), 235 (15), 265 (10) | Saponin derivative | Tentative identification |
| 21.85 | 264 | 1053 | 747 (100), 891 (90), 1034 (70), 859 (60) | Stemmoside F | [28] |
Rt: Retention time,,ʎmax: wavelength of maximum absorption in the UV-Vis region, ESI: electrospray ionization, pseudo molecular and MS2 fragment ions and identification of compounds.*conform to the literature
Table 2: Quantification of total polyphenols, total flavonoids and DPPH scavenging activity of the acetone extract of S. argel leaves
| Treatment | DPPH IC50 (μg/ml) |
Total phenolics (mg GAE/g extract) |
Total flavonoids (mg QE/g extract) |
| AESA | 36.053±2,767 | 10.955±0,352 | 38.855±0,289 |
| BHT | 9.437±0,412 | - | - |
Values are expressed as means of triplicate determination±standard deviation (n=3). GAE: gallic acid equivalent; QE: quercetin equivalent.
Table 3: Results of the acute toxicity study of the acetone extract of S. argel leaves
| Parameters | Treatment groups | |||
| Control | AESA 500 mg/kg |
AESA 1000 mg/kg |
AESA 2000 mg/kg |
|
| Body weight (g) | ||||
| 0 d | 183±1.224 | 182.8±1.303 | 183.4±1.140 | 183.6±1.140 |
| 7th day | 183.6±4.393 | 188.4±3.361 | 182.4±5.412 | 185.8±2.168 |
| 14th day | 191.4±2.880 | 194.2±5.805 | 191.6±3.781 | 191±6.364 |
| Biochemical parameters of blood serum | ||||
| Urea (g/l) | 0.446±0.073 | 0.465±0.168 | 0.483±0.188 | 0.493±0.071 |
| Creatinine (mg/l) | 11.306±0.380 | 9.754±1.268 | 8.652±1.639 | 9.256±3.988 |
| ALP (U/l) | 133.94±6.926 | 137.82±9.185 | 140.52±48.282 | 166.72±26.265 |
| ALT (U/l) | 51.78±4.745a | 54±4.952a | 55.056±8.798a | 70.24±5.312b |
| AST (U/l) | 62.16±6.447a | 66.3±7.886ab | 63.462±12.955a | 90.54±24.583b |
| Total protein (g/l) | 70.18±1.306 | 68.42±5.476 | 63.12±2.665 | 70.24±5.312 |
| Albumin (g/l) | 31.54±1.718 | 36.3±7.916 | 33.74±11.011 | 31.94±3.146 |
| Organ weights (g) | ||||
| Liver | 6.561±0.474 | 6.523±0.432 | 6.725±0.616 | 6.528±0.708 |
| Kidney (Right) | 0.540±0.022 | 0.535±0.026 | 0.536±0.011 | 0.582±0.084 |
| Kidney (Left) | 0.527±0.023 | 0.511±0.023 | 0.510±0.008 | 0.573±0.066 |
| Spleen | 0.660±0.027 | 0.639±0.034 | 0.677±0.070 | 0.777±0.121 |
| Heart | 0.644±0.033 | 0.630±0.027 | 0.661±0.027 | 0.578±0.065 |
| Lungs | 1.333±0.323 | 1.187±0.202 | 1.059±0.122 | 1.435±0.356 |
Values are expressed as mean±standard deviation (n=5). The numbers with the same letter show no significant difference after analysis of one-way ANOVA followed by Tukey test.
Antioxydant activity
The results of the DPPH scavenging activity of ESA are shown in table 2. The antioxidant activity of the acetone extract of Solenostemmaargel leaves was evaluated by determining the IC50 value. The result obtained shows that the ESA expresses a maximum radical scavenging activity with a IC50 value of 36,053±2,767 μg/ml. However, the standard BHT exhibits higher activity with an IC50 value of 9,437±0,412μg/ml.
Acute toxicity study
The acute oral toxicity study of the AESA at the doses of 500, 1000 and 2000 mg/kg body weight did not produce any visible signs or symptoms of toxicity in rat. No behavioral changes or neurological toxicity were observed. A normal body weight gain was observed and there was no significant difference in organ weights compared to the control group.
The biochemical constants revealed that in general no significant difference in the levels of blood serum parameters compared to control group was reported, however, an exception was observed for the ALT (P<0,001) and AST (P<0,03) values recorded in the rats treated at the dose of 2000 mg/kg (table 3).
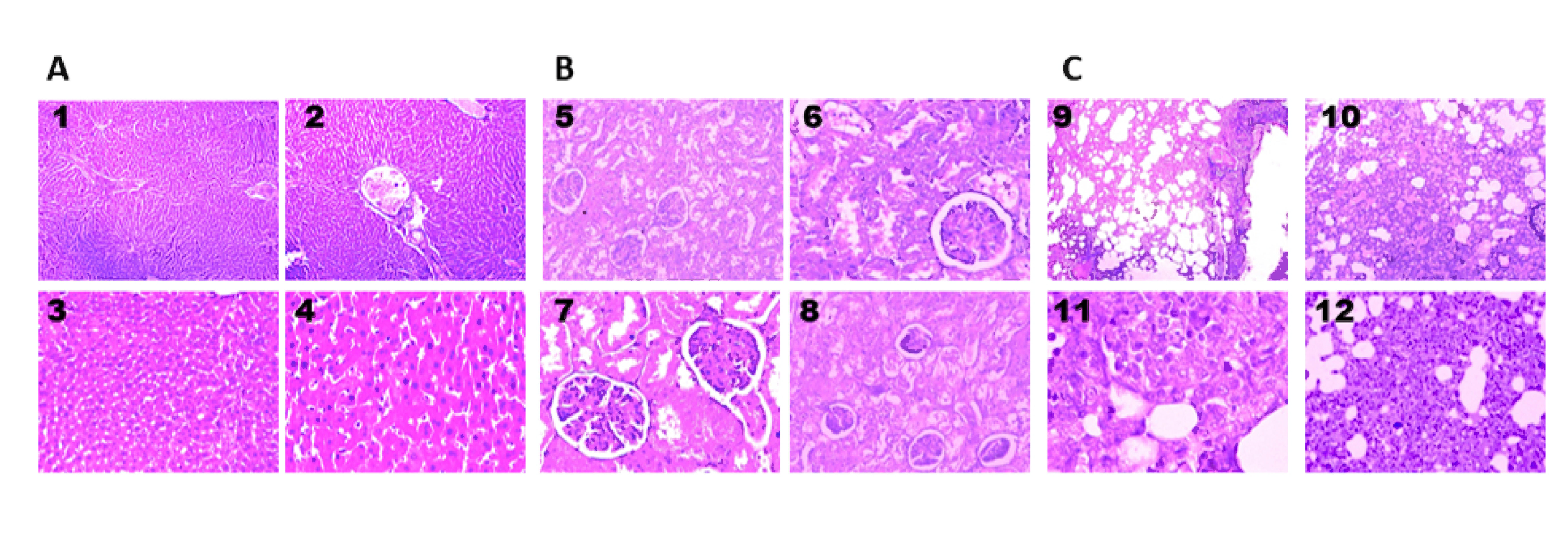
Histopathological examination of the organs taken from the control rats revealed no lesion abnormalities. However, liver lesions detected in rats treated by AESA only appear at the dose of 1000 mg/kg and are represented by vascular congestion of sinusoids and rare foci of subcapsular steatosis (10% of parenchyma), while at 2000 mg/kg, degenerative lesions with foci of pycnosis were observed covering 25% of the parenchyma in 3 out of 5 cases (fig. 2).

Fig. 2: Histopathological analysis of organs treated with acetone extract of S. argel leaves in the acute toxicity stained with hematoxylin and Eosin method (H and E). A. Liver.1. Control: normal parenchyma x10; 2. AESA 500 mg/kg: normal parenchyma x20; 3. AESA 1000 mg/kg: subcapsular steatosis (10%) x20; 4. AESA 2000 mg/kg: Pycnosis and acidophilic degeneration (25%) x40. B. Kidney. 5. Control: normal parenchyma x10; 6. AESA 500 mg/kg: Tubular degeneration (20%)x40; 7. AESA 1000 mg/kg: Tubular degeneration (20%) and mesangial hypercellularity of flocculus x20; 8. AESA 2000 mg/kg: Tubular degeneration and mesangial hypercellularity (25%) x40. C. Lungs. 9. Control: normal parenchyma x10; 10. AESA 500 mg/kg: alveolitis (25%) x10; 11. AESA 1000 mg/kg: macrophagicalveolitis (25%) x40; 12. AESA 2000 mg/kg: macrophagicalveolitis and emphysema (25%) x10
Renal lesions begin to appear at the dose of 500 mg/kg in the form of toxic tubulitis covering 20% of the parenchyma, observed in one out of five cases. At the doses of 1000 mg/kg and 2000 mg/kg, the lesions are more extensive in the form of tubulitis with mesangial hypercellularity covering nearly 25% of the parenchyma in three out of five cases (fig. 2).
In addition, histopathological examination of the lungs revealed pulmonary lesions in the form of alveolitis at doses of 500 mg/kg, 1000 mg/kg and 2000 mg/kg covering 25% of the parenchyma. The frequency of occurrence of pulmonary lesions varies according to the doses administered, thus, it is one in five cases at the dose of 500 mg kg, two cases out of five at the dose 1000 mg/kg and five cases out of five at a dose of 2000 mg/kg (fig. 2). Finally, histopathological examination of the spleen and heart revealed no toxic lesions.
Anti-inflammatory activity
As shown in table 4, the formation of paw edema in the control group was observed 1 hour after the carrageenan injection and continued to increase until the 3rd hour to stabilize between the 4th and the 6th h. Considering the control group, a significant difference of the edema formation was revealed in all treated groups (P<0.01).
Table 4: Effect of acetone extract of S. argel on carrageenan induced paw edema in rats
| Treatment | Dose (mg/kg b.w.) | Edema rate (%) | ||||||
| T0h | T1h | T2h | T3h | T4h | T5h | T6h | ||
| Control | (10 mg/kg b.w.) | 0.29±0.03a | 0.57±0.01a | 0.65±0.01a | 0.46±0.02a | 0.37±0.01a | 0.36±0.01a | 0.36±0.01a |
| Indomethacin | 10 | 0.29±0.08a | 0.47±0.03ac | 0.37±0.01b | 0.22±0.00bc | 0.12±0.01b | 0.09±0.00b | 0.09±0.00b |
| AESA | 250 | 0.26±0.06a | 0.50±0.01ac | 0.41±0.01b | 0.28±0.01c | 0.18±0.00b | 0.12±0.01b | 0.11±0.01b |
| AESA | 400 | 0.25±0.04a | 0.40±0.01bc | 0.32±0.00b | 0.17±0.01b | 0.09±0.01b | 0.07±0.01b | 0.05±0.00b |
Values are expressed as mean±standard deviation (n=6). The numbers with the same letter show no significant difference after analysis of one-way ANOVA followed by tukey test.
Oral administration of AESA caused dose-dependent inhibition of edema formation between the 2nd and 6th hour after carrageen in injection at doses of 250 and 400 mg/kg, with maximal inhibition rates of 70.09% and 85.53% respectively, observed at the 6th hour. In addition, indomethacin 10 mg/kg showed a significant reduction in paw edema with an inhibition rate of 75.70% observed at the 5th hour post inoculation (fig. 3). The inhibitory effect produced by AESA at doses of 250 and 400 mg/kg was comparable to that of standard at a dose of 10 mg/kg. However, a significant difference was observed between the two doses of AESA (P<0.01). The effects of AESA and indomethacin at the given doses were found also time-dependent all through to the 6th hour (P<0.0001) (fig. 3).

Fig. 3: Suppressive effect of acetone extract of S. argel on carrageenan induced paw edema in rats. Values are expressed as mean±standard deviation (n=6)
The effects of AESA and indomethacin on the proliferative phase of inflammation compared to the control group are shown in table 5 (P<0.01).
The anti-inflammatory effects recorded by AESA and the reference drug Indomethacin were evaluated on the basis of the wet and dry weight of cotton pellets. Being wet, the proliferative effects of AESA at doses of 250 and 400 mg/kg and indomethacin (10 mg/kg) were calculated as 49.29, 67.74 and 68.46%, respectively. After drying, the inhibition percentages recorded by AESA at both doses (250 and 400 mg/kg) and indomethacin (10 mg/kg) are 52.63, 70.58 and 68.78%, respectively. At a dose of 400 mg/kg, AESA exhibits an inhibitory effect similar to that of the standard drug indomethacin (P = 0.918) (table 5).
Table 5: Effect of acetone extract of S. argel on cotton pellets induced granuloma in rats.
| Treatment | Dose (mg/kg bw) |
Weight of cotton pellet (mg) (moist) | % inhibition | Weight of cotton pellet (mg) (dried) | % inhibition |
| Control | 10 | 530.975±39.788a | - | 103.566±2.916a | - |
| Indomethacin | 10 | 167.041±16.674b | 68.46a | 32.185±6.558b | 68.78a |
| AESA | 250 | 269.116±19.717c | 49.29b | 49.025±5.363b | 52.63b |
| AESA | 400 | 170.416±1.756b | 67.74a | 30.441±1.020b | 70.58a |
Values are expressed as mean±Standard deviation (n=6), the numbers with the same letter show no significant difference after analysis of one-way ANOVA followed by Tukey test.

Fig. 4: Effect of acetone extract of S. argel on formalin-induced nociception in rats. Values are expressed as mean±standard deviation (n=6). The numbers with the same letter show no significant difference after analysis of one-way ANOVA followed by tukey test
Analgesic activity
Writhing test in mice
The effect of AESA on acetic acid-induced abdominal writhing in mice is shown in table 6. The plant extract and standard inhibited significantly the acetic acid-induced abdominal writhing response when compared to the control group. In addition, the AESA exhibited a significant and dose-dependent anti-nociceptive effect at doses of 250 and 400 mg/kg with a percentage of cramps inhibition of 56.83 and 80.41%, respectively. Indomethacin (10 mg/kg) showed a protective effect (78.93% inhibition) comparable to that of AESA at the highest dose (400 mg/kg).
Formalin test
The time of licking recorded after injection of 2.5% formalin was compared with results of control group and the results are shown in fig. 4. Oral administration of AESA at doses of 250 and 400 mg/kg caused a significant and dose-dependent anti-nociceptive effect in both phases of formalin test. In the early phase, the inhibition rate reached 33.3 and 66.7% respectively, meanwhile in the last phase; the inhibition rate was 55.6 and 83.3% respectively considering the control group. In addition, the positive control: morphine (10 mg/kg) showed a powerful anti-nociceptive activity in both phases with an inhibition rate of 100 and 88.9% in the early and last phases in that order. The protective effect generated in last phase by AESA at dose of 400 mg/kg was comparable to that to that of morphine at 10 mg/kg (fig. 4).
Hot plate test
Anti-nociceptive activities of AESA in the pain model induced with a hot plate are depicted in fig. 5. Considering the control group, AESA at dose of 400 mg/kg has impacted the pain latency all along the time points studied (P<0.01), unlike the 250 mg/kg dose, which has a non-significant difference at the measurement time of 120 min (P= 0.079) (fig. 5). In contrast, morphine (10 mg/kg), used here as a standard drug, significantly prolonged the hot-plate latency and showed a powerful anti-nociceptive effects all through to the time points studied compared to control and AESA at doses of 250 and 400 mg/kg (P<0.01) (fig. 5).

Fig. 5: Effect of acetone extract of S. argel on hot plate induced nociception in mice. Values are expressed as mean±standard deviation (n=6). The numbers with the same letter show no significant difference after analysis of one-way ANOVA followed by tukey test
The profile of the acetone extract of the leaves of S. argel was established by UHPLC/DAD/ESI-MS2 analysis and the following compounds could be identifiedon the basis of their UV spectrum, m/z and MS2fragmentationin accordance with the literature: Salicylic acid and its derivatives, Quercetin-3-O-rutinoside (Rutin), Kaempferol-3-O-rutinoside, Kaempferol-3-O-diglucoside-7-O-glucoside, Kaempferol-3-O-glucoside (Astragalin), Kaempferol, Stemmoside F and Saponin derivative (table 1). Two peaks at retention times of 14.65 and 16.76 min, were detected at m/z 553 and m/z 693 respectively, showed in their MS2 fragment ions at m/z 301 corresponding to quercetin moiety, which suggested that, these compounds were quercetin derivative.
In preliminary investigations of the plant, kaempferol [29], quercetin, rutin and an unknown saponin [30] have been isolated. The flavonol glycoside kaempferol-3-O-rutinoside and the aglyconekaempferol were identified as chemical constituents of S. argel leaves [31]. Kaempferol-3-O-rutinoside and kaempferol-3-O-glucoside (astragalin) were found in the methanolic extract of S. argel leaves [4]. In addition, Hassan et al. recognized the richness of Solenostemmaargel species in saponins [32]. These data corroborate with the results found in our study.
The radical scavenging activity of DPPH is considered as reliable test for assessing the antioxidant potential of a compound because it is extremely sensitive and accurate [33]. The obtained results suggest the presence of components having the ability to interact with free radicals by acting as an electron donor or hydrogen atoms. Flavonoids and phenolic components are natural antioxidant substances capable of scavenging free superoxide radicals [34]. Indeed, the richness of the AESA in flavonoids such as rutin, Kaempferol-3-O-rutinoside, Kaempferol-3-O-diglucoside-7-O-glucoside, Astragalin and Kaempferol could explain the observed antioxidant effect. Quercetin and rutin being potent antioxidants can freely donate electrons or hydrogen to neutralize the reactive oxygen species (ROS) [35]. The strong antioxidative capacity of rutin has been proven by numerous studies, which reported its excellent scavenging activity [35, 36]. The potent antioxidant activity of rutin is mainly due to the presence of phenolic rings and free hydroxyl groups in the chemical structure acting as hydrogen donor to prevent further oxidation [36]. Likewise, kaempferol has been reported to have excellent antioxidant activity and to react with H2O2, superoxide, and peroxyl radical in vitro [37]. Kaempferol-3-O-rutinoside and Kaempferol-3-O-glucoside were suggested to have considerable antioxidant activity mediated by reduction of oxidative stress [38].
During the acute toxicity test period of AESA, daily monitoring of body weight revealed a progressive gain in weight of the rats tested. No evidence of morbidity or mortality was observed during the experiment indicating a good apparent tolerance of acetone extract of S. argel by the rats. In this study, no alterations in biochemical analyzes were observed after extract-treated except for the ALT and AST parameters recorded in rats treated at a dose of 2000 mg/kg. Increased levels of ALT and AST may be a consequence of liver toxicity. Indeed, increases in the levels of AST and ALT in the serum are associated with liver toxicity by drugs or any other hepatotoxin [39].
The assessment of pathological changes in the organs of treated animals, both macro and microscopically, is the basis of a safety assessment [40]. Macroscopic analysis of ESA-treated rats at all doses tested produced no changes in vital and reproductive organs during the qualitative analysis. During histological examination, no serious aberration in the structural integrity of the organs studied was recorded after administration of the extract at doses of 500 mg/kg body weight. However, administration of AESA at doses of 1000 mg/kg and 2000 mg/kg resulted in pathological changes in the liver, kidneys and lungs. These results demonstrate the possible oral toxicity of S. argel acetone extract at high doses of 1000 mg/kg and 2000 mg/kg.
The study of the anti-inflammatory activity of the acetone extract of AESA was carried out by two experimental models, i.e., carrageenin-induced rat paw oedema and cotton pellet-induced granuloma model. Carrageenan-induced rat paw oedema is a widely used test to evaluate the anti-inflammatory activity [41]. Carrageenan is known to produce a biphasic response [42]. Studies on the release of pharmacologically active substances during carrageenan inflammation have shown that,the first phase (0 to 2 h after injection of carrageenan) of oedema is attributed to release of histamine and 5-hydroxytryptamine, while the second phase (3 to 6 h after injection of carrageenan) is mediated by prostaglandin like substances, especially those of the E series. The precursor of both PGs and thromboxanes is PGH2, derived from arachidonic acid by the action of cyclooxygenase (COX) enzymes. Continuity between two phases is maintained by kinin like substances notably the endogenous nonapeptide bradykinin produced by kallikrein [41, 43]. AESA leads to a significant reduction in oedema formation between the 2nd and 6th hour after carrageenin injection. This result shows that AESA is efficient all along intermediate and second phasesof the inflammatory response. Therefore, the anti-inflammatory activity of AESA may be due to the inhibition of the release of anti-inflammatory mediators occurring during the intermediate and second phases of edema formation, such as bradykinin and prostaglandins.
The cotton pellet-induced granuloma is widely used to evaluate the transudative and proliferative components of chronic inflammation [44]. Chronic inflammation is characterized by monocyte infiltration, fibroblast proliferation, angiogenesis, and exudation [45]. The weight of the wet cotton pellets correlates with transude material and the weight of dry pellet correlates with the amount of granulomatous tissue. AESA at both doses tested (250 and 400 mg/kg), showed significant inhibition of cotton pellet granuloma formation. This result indicates that S. argel acetone extract displayed anti-inflammatory activity in the chronic phase of inflammation. The extract showed decrease in granuloma formation that reflected its efficacy to reduce increased level of fibroblasts and synthesis of collagen with mucopolysaccharide, which are natural proliferative events of granulation tissue formation [17].
The anti-inflammatory effect of the acetone extract of S. argel leaves could be due to the presence in the extract of flavonoids, especially rutin, Kaempferol-3-O-rutinoside, Kaempferol-3-O-diglucoside-7-O-glucoside, Astragalin and Kaempferol. Several mechanisms of action have been proposed to explain in vivo flavonoid anti-inflammatory actions, such as antioxidant activity, inhibition of eicosanoid generating enzymes or the modulation of the production of proinflammatory molecules [46].
Kaempferol and some glycosides of kaempferol have a wide range of pharmacological activities, including anti-inflammatory effect [37]. The study by Kaempferol has anti-inflammatory effect by interfering with NF-κB pathway. NF-κB is a transcription factor, which plays a key role in inflammation since it is responsible for the expression of various proinflammatory and proliferative genes, such as interleukins tumor necrosis factors, interferons and cyclooxygenases [47]. Rutin could be a potential candidate for COX-2 inhibition with a unique mechanism of action and could also inhibit the transcription of more than 20 genes coding for pro-inflammatory factors critics, including TNF-α, IL-1, IL-8 and migration inhibitory factor [36]. Astragalin has been reported as effective anti-inflammatory agent. Indeed, the anti-inflammatory properties of astragalin showed a significant inhibition of cellular NO, PGE2 and IL-6 production [48]. The recorded anti-inflammatory effect can also be attributed to the presence in the acetone extract of S. argel of saponin derivatives. In fact, the anti-inflammatory activity of saponins has been known for a long time and is closely related to the core aglycone [49].
The mechanisms considered for the anti-inflammatory activity of saponin include a corticomimetic activity inhibiting the degradation of the glucocorticoid and the release of mediators of inflammation, inhibition of enzyme formation and inhibition increased vascular permeability [50]. The glucocorticoid-like effects of saponins have been shown to antagonize the transcription factor NF-kB [51].
The study of the anti-nociceptive activity of AESA was carried out by three experimental models, i.e., acetic acid-induced abdominal writhing in mince, formalin-induced nociception in rats and hot plate induced nociception in mice. The writhing test in mice is a chemical method used to cause peripheral pain by intraperitoneal injection of an irritating substance like acetic acid. The analgesic effect of the tested drugs is inversely proportional to the frequency of the observed writhes. The data presented in table 6 indicated that AESA at both doses (250 and 400 mg/kg) tested significantly reduced the chemical pain induced by acetic acid in mice in a dose-dependent manner. AESA at the highest dose (400 mg/kg) showed a nociceptive effect comparable to that of indomethacin (10 mg/kg), which served as a standard in this case. The intraperitoneal injection of acetic acid causes the release of prostanoids, particularly PGE2, PGF2, bradykinin, serotonin, lipoxygenase in the in peritoneal fluids [10]. Prostaglandins activate and sensitize peripheral chemo sensitive nociceptive receptors, leading to the induction of abdominal constrictions that are accompanied by extension of the forelimbs and elongation of the body [52]. Therefore, the nociceptive activity of AESA may be due to inhibition of prostaglandin synthesis.
The formalin test is a valid and reliable model of nociception and is sensitive for various classes of analgesic drugs [53]. This test produced a distinct biphasic nociceptive response, which can be separated in time [7]. The first phase (from 0 to 5 min after injection of formalin) results from a direct stimulation of nociceptors. SubstanceP, glutamate and bradykinin are thought to participate in this phase, which is believed to be non-inflammatory pain. The second phase (from 15 to 30 min) is thought to be an inflammatory response with associated inflammatory pain, a process in which several inflammatory mediators are believed to be involved, including histamine, serotonin, prostaglandins and bradykinin [19, 52, 54]. AESA showed a significant dose-dependent effect on both phases of formalin-induced pain compared to the control group (fig. 4). Data obtained following the formalin test corroborates with those obtained from the hot-plate test and writhing test. This property of AESA may be due to inhibition of the synthesis or action of kinin and prostaglandins.
The hot plate test is useful for the evaluation of centrally acting analgesics, which are known to elevate the pain threshold of mice towards heat [55] and is thought to involve opioids and measures the complex response to a non-inflammatory, acute nociceptive in put [56]. This test has often been used to assess central anti-nociceptive activity due to its several advantages, particularly its sensitivity to strong analgesics and the fact that tissue damage that it imposes is limited [42]. AESA had significant effect on pain latency with a maximum inhibition rate of 59.70% recorded at 60 min at a dose of 400 mg/kg compared to the control group (fig. 5). This anti-nociceptive action confirms the central activity observed in the first phase of formalin test. Furthermore, standard drug morphine, centrally acting analgesic that is exert an action on opioid receptors, was associated with a very significant anti-nociceptive effect, with an inhibition rate of 82.33%.
The present study has demonstrated the analgesic effect of the acetonic extract of S. argel leaves on peripheral and central pain, which suggests the presence in the extract compounds with anti-nociceptive property that could act on the kinin and prostaglandin pathways. Several flavonoids isolated from medicinal plants have been discovered to possess significant analgesic and anti-inflammatory effects [57]. The registered analgesic activity may be due to the presence in the acetone extract of S. argel leaves of certain flavonoids such as rutin, kaempferol-3-O-rutinoside, kaempferol-3-O-glucoside and kaempferol. Indeed, the antinociceptive effect of kaempferol-3-O-rutinoside and kaempferol-3-O-glucoside was demonstrated in different antinociceptive tests including the acetic acid-induced writhing and formalin test [38]. Other work, revealed the potential analgesic activity of the two flavonoids kaempferol and kaempferol-3-O-glucoside on peripheral pain according to the model of cramps induced by acetic acid [58]. In addition, the study conducted by Hernandez-Leon et al. [59] provide evidence that rutin produces systemic anti-nociceptive effects involving central modulation of the ventrolateral periaqueductal grey matter (vlPAG) descending circuit, where this pharmacological action is partially mediated by an opioidergic mechanism. Moreover, analgesic effect of rutin was studied by hot plate test on Swiss albinomice. Further, it was also confirmed that rutin demonstrated peripheral and central anti-nociceptive activities [60]. The nociceptive effect can also be attributed to the presence of salicylic acid in the S. argel acetone extract. Indeed, the salicylic acid may contribute to the modulation of pain by inhibiting reactions induced by cytokines, salicylates interaction with heat shock proteins, and influences on genetics expression of proteins associated with inflammation [61]. In addition, salicylic acid covalently modifies COX by acetylating a serine residue positioned in the arachidonic acid-binding channel of the enzyme (Ser529 of COX-1 and Ser516 of COX-2), thus irreversibly inactivating it and preventing the generation of prostaglandins and thromboxane A2 [62].
The presence of saponin derivatives in the acetone extract of S. argel leaves may also contribute to the observed analgesic effect. Indeed, several studies have demonstrated the analgesic effect of saponins on peripheral and central pain using the writhing test, the formalin test and the hot-plate test [62, 64-66]. Many saponins tested have displayed significant anti-nociceptive activity possibly due to their nonglycosidic moiety, the sapogenin [64]. The suggested mechanism involved in the analgesic activity of saponin is the blockage of the release of bradykinin, Prostaglandin, and cytokines [66].
The present study shows that acetonic extract from the leaves of S. argel displayed significant antinociceptive and anti-inflammatory properties, providing a scientific basis for its ethnobotanical uses for alleviating pain and treating inflammatory disorders among Sahara people in Algeria.
Thanks are due to the University of Aveiro and FCT/MCT for the financial support for the QOPNA research Unit (UID/QUI/00062/2019) through national founds and, where applicable, co-financed by the FEDER, within the PT2020 Partnership Agreement.
DKB was the main investigator performing the manipulations and writing the draft of the manuscript. DCGAP supervised the chromatography experiments. BC contributed to the redaction and the corrections of the manuscript. SZ performed the statistics. KBB was supervised the pathological anatomy experiments and the interpretation of the results. MHBM was the promotor of this work.
The authors declare no conflict of interests.
Calixto JB, Campos MM, Otuki MF, Santos AR. Anti-inflammatory compounds of plant origin Part II. Modulation of pro-inflammatory cytokines, chemokines and adhesion molecules. Planta Med 2004;70:93–103.
Benhouhou S. Solenostemma argel (Del.) Hayne. In: A guide to medicinal plants in North Africa. Centre for Mediterranean Cooperation, International IU CN; 2005.
Gurib Fakim A, Schmelzer GH. Ressources vegetales de l’Afrique tropicale: plantes medicinales 2. Fondation PROTA/CTA, Wageningen, The Netherlands; 2013.
Innocenti G, Dall’Acqua S, Sosa S, Altinier G, Della Loggia R. Topical anti-inflammatory activity of solenostemmaargel leaves. J Ethnopharmacol 2005;102:307–10.
Jabeen F, Tharib SM, Veitch GBA. An investigation of the anti-inflammatory activity of Solenostemma argel. Fitoter 1984; 55:186–9.
Ibrahim B, Sowemimo A, van Rooyen A, Van de Venter M. Antiinflammatory, analgesic and antioxidant activities of cyathulaprostrata (Linn.) blume (Amaranthaceae). J Ethnopharmacol 2012;141:282-9.
Wang QS, Yang L, Cui WY, Chen L, Jiang YH. Anti-inflammatory and anti-nociceptive activities of methanol extract from aerial part of Phlomisyounghusbandii Mukerjee. PLoS One 2014;9:E89149.
Fangkrathok N, Junlatat J, Sripanidkulchai B. In vivo and in vitro anti-inflammatory activity of lentinuspolychrous extract. J Ethnopharmacol 2013;14:631-7.
Ibrahim Abdelwahab S, Syaed Koko W, Mohamed Elhassan Taha, M Mohan S, Achoui M, Ameen Abdulla M, et al. In vitro and in vivo anti-inflammatory activities of columbin through the inhibition of cycloxygenase-2 and nitric oxide but not the suppression of NF-κB translocation. Eur J Pharmacol 2012;678:61-70.
Bhattacharya A, Naik MR, Divya A, Rath K, Kumar S, Mishra SS. Antipyretic, anti-inflammatory, and analgesic effects of leaf extract of drumstick tree. J Young Pharm 2014;6:20-4.
Eloff JN. Which extractant should be used for the screening and isolation of antimicrobial components from plants? J Ethnopharmacol 1998;60:1-8.
Waterhouse AL. Determination of total phenolics. In: Wrolstad RE. editor. Current protocols in food analytical chemistry Wiley; 2002. p. 461–70.
Quettier Deleu C. Phenolic compounds and antioxidant activities of buckweat hulls and flour. J Ethnopharmacol 2000;72:35–42.
Blois MS. Antioxydant determinations by the use of a stable free radical. Nature 1958;181:1199-200.
OCDE. Test No. 420: Acute oral toxicity-fixed dose procedure, OECD Guidelines for the Testing of Chemicals, Section 4, Éditions OCDE, Paris; 2002. https://doi.org/10.1787/ 9789264070943-en
Winter CA, Risley EA, Nuss GW. Carrageenan-induced edema in hind paw of the rat as an assay for anti-inflammatory drugs. Proc Soc Exp Biol Med 1962;111:544–7.
Sengar N, Joshi A, Prasad SK, Hemalatha S. Anti-inflammatory, analgesic and anti-pyretic activities of standardized root extract of jasminumsambac. J Ethnopharmacol 2015;160:140-8.
Koster R, Anderson M, De Beer EJ. Acetic acid for analgesic screening. Fed Proc 1959;18:412-7.
Hunskaar S, Hole K. The formalin test in mice: dissociation between inflammatory and non inflammatory pain. Pain 1987;30:103–14.
Tasleem F, Azhar I, Ali SN, Perveen S, Mahmood ZA. Analgesic and anti-inflammatory activities of piper nigrum L. Asian Pac J Trop Med 2014;7S1:S461-S468.
Ibrahim RM, El-Halawany AM, Saleh DO, El Naggar EMB, El-Shabrawy A, El-Rahman O, et al. HPLC-DAD-MS/MS profiling of phenolics from securigerasecuridaca flowers and its anti-hyperglycemic and anti-hyperlipidemic activities. Rev Bra Farm 2015;25:134–41.
Kammerer B, Kahlich R, Biegert C, Gleiter C, Heide L. HPLC-MS/MS analysis of willow bark extracts contained in pharmaceutical preparations. Phytochem Anal 2005;16:470–8.
Chen Y, Yu H, Wu H, Pan Y, Wang K, Jin Y, et al. Characterization and Quantification by LC-MS/MS of the chemical components of the heating products of the flavonoids extract in pollen typhae for transformation rule exploration. Molecules 2015;20:18352-66.
Singh AP, Wang Y, Olson RM, Luthria D, Banuelos GS, Pasakdee S, et al. LC-MS-MS analysis and the antioxidant activity of flavonoids from eggplant skins grown in organic and conventional environments. Food Nut Sci 2017;8:873-88.
Monagas M, Garrido I, Lebron Aguilar R, Bartolome B, Gomez Cordoves C. Almond (Prunusdulcis (Mill.) D. A. Webb) skins as a potential source of bioactive polyphenols. J Agric Food Chem 2007;55:8498–507.
Llorach R, Gil-Izquierdo A, Ferreres F, Tomas Barberan FA. HPLC-DAD-MS/MS ESI characterization of unusual highly glycosylated acylated flavonoids fromcauliflower (Brassica oleracea L. var. botrytis) agroindustrial byproducts. J Agric Food Chem 2003;51:3895-9.
Harbaum B, Hubbermann EM, Wolff C, Herges R, Zhu Z, Chwarz K. Identification of flavonoids and hydroxycinnamic acids in pak choi varieties (brassica campestris l. ssp. chinensis var. communis) by HPLC–ESI-MSn and NMR and their quantification by HPLC–DAD. J Agric Food Chem 2007;55:8251-60.
Plaza A, Perrone A, Balestrieri ML, Felice F, Balestrieri C, Hamed Arafa I, et al. New unusual pregnane glycosides with antiproliferative activity from Solenostemmaargel. Steroids 2005;70:594-603.
Kamel MS, Ohtani K, Hasanain HA, Mohamed MH, Kasai R, Yamasaki K. Monoterpene and pregnane glucosides from solenostemmaargel. Phytochem 2000;53:937-40.
El-Fishawy A. A pharmacognostical study of solenostemmaargel hayne growing in Egypt. A Master Thesis, Faculty of Pharmacy, Cairo University, Egypt; 1976.
Michael HN. Chemical investigations on the leaves of solenostemmaargel [Del.] hayne. Asian J Chem 1998;10:1038.
Hassan HA, Hame AI, El-Emary NA, Springue IV, Mitome H, Miyaoka H. Pregnene derivatives from solenostemmaargel leaves. Phytochemistry 2001;5:507-11.
Koleva II TA, van Beek TA, Linssen JP, de Groot A, Evstatieva LN. Screening of plant extracts for antioxidant activity: a comparative study on three testing methods. Phytochem Anal 2002;13:8–17.
Ghasemzadeh A, Ghasemzadeh N. Flavonoids and phenolic acids: role and biochemical activity in plants and human. J Med Plants Res 2011;5:6697-703.
Sikder K, Kesh SB, Das N, Manna K, Dey S. The high antioxidative power of quercetin (aglycone flavonoid) and its glycone (rutin) avert high cholesterol diet induced hepatotoxicity and inflammation in swiss albino mice. Food Funct 2014;5:1294.
Chua LS. A review on plant-based rutin extraction methods and its pharmacological activities. J Ethnopharmacol 2013; 150:805-17.
Tsai MS, Wang YH, Lai YY, Tsou HK, Liou GG, Ko JL, et al. Kaempferol protects against propacetamol-induced acute liver injury through CYP2E1 inactivation, UGT1A1 activation, and attenuation of oxidative stress, inflammation and apoptosis in mice. Toxicol Lett 2018;290:97-109.
Wang Y, Chen P, Tang C, Wang Y, Li Y, Zhang H. Antinociceptive and anti-inflammatory activities of extract and two isolated flavonoids of carthamustinctorius L. J Ethnopharmacol 2014;151:944-50.
Ramaiah SK. Preclinical safety assessment current gaps, challenges and approaches in identifying translatable biomarkers of drug-induced liver damage. Clin Lab Med 2011;31:161–72.
Prabu PC, Panchapakesan S, Raj CD. Acute and sub-acute oral toxicity assessment of the hydroalcoholic extract of Withaniasomniferaroots in wistar rats. Phytother Res 2013;27:1169–78.
Di Rosa M, Giroud JP, Willoughby DA. Studies on the mediators of the acute inflammatory response induced in rats in different sites by carrageenan and turpentine. J Pathol 1971;104:15-29.
Vinegar R, Schreiber W, Hugo RJ. Biphasic development of carrageenin edema in rats. J Pharmacol Exp Ther 1969;166:96-103.
Vinegar R, Truax JF, Selph JL, Johnston PR, Venable AL, McKenzie KK. Pathway to carrageenan-induced inflammation in the hindlimb of the rat. Fed Prod 1987;46:118-26.
Winter CA, Porter CC. Effect of alterations in the side chain upon anti-inflammatory and liver glycogen activities of hydrocortisone esters. J Am Pharm Assoc 1957;46:515-9.
Meshram GG, Kumar A, Rizvi W, Tripathi CD, Khan RA. Evaluation of the anti-inflammatory activity of the aqueous and ethanolic extracts of the leaves of albizzialebbeck in rats. J Tradit Complement Med 2015;6:172-5.
Garcia Lafuente A, Guillamon E, Villares A, Rostagno MA, Martinez JA. Flavonoids as anti-inflammatory agents: implications in cancer and cardiovascular disease. Inflam Res 2009;58:537-52.
Kadioglu O, Nass J, Saeed ME, Schuler B, Efferth T. Kaempferol is an anti-inflammatory compound with activity towards NF-κB pathway proteins. Anticancer Res 2015;35:2645-50.
Lee HB, Kim EK, Park SJ, Bang SG, Kim TG, Chung DW. Isolation and anti-inflammatory effect of astragalin synthesized by enzymatic hydrolysis of tea seed extract. J Sci Food Agric 2011;91:2315-21.
Barbosa P. An overview on the biological and pharmacological activities of saponins. Int J Pharm Pharm Sci 2014;6:47-50.
Matsuda H, Samukawa K, Kubo M. Anti-inflammatory activity of ginsenoside Ro1. J Planta Med 1990;56:19-23.
Haridas V, Arntzen CJ, Gutterman JU. Avicins, a family of triterpenoid saponins from acacia victoriae (Bentham), inhibit activation of nuclear factor-kappa B by inhibiting both its nuclear localization and ability to bind DNA. Proc Natl Acad Sci 2001;98:11557–62.
Zhao J, Fang F, Yu L, Wang G, Yang L. Anti-nociceptive and anti-inflammatory effects of croton crassifolius ethanol extract. J Ethnopharmacol 2012;142:367-73.
Temponi Vdos S, Da Silva JB, Alves MS, Ribeiro A, De Jesus Ribeiro Gomes de Pinho J, Yamamoto CH, et al. Antinociceptive and anti-inflammatory effects of ethanol extract from vernoniapolyanthes leaves in rodents. Int J Mol Sci 2012;13:3887-99.
Xu Q, Wang Y, Guo S, Shen Z, Wang Y, Yang L. Anti-inflammatory and analgesic activity of aqueous extract of flospopuli. J Ethnopharmacol 2014;152:540-55.
Hiruma Lima C, Gracioso J, Bighetti E, Germonsen Robineou L, Souza Brito A. The juice of fresh leaves of Boerhaaviadiffusa L. (Nyctaginaceae) markedly reduces pain in mice. J Ethnopharmacol 2000;71:267–74.
Zakaria ZA, Ghani ZDFA, Nor RNSRM, Gopalan HK, Sulaiman MR, Jais AMM, et al. Antinociceptive, anti-inflammatory, and antipyretic properties of an aqueous extract of dicranopterislinearis leaves in experimental animal models. J Nat Med 2008;62:179–87.
Eldahshan OA, Abdel-Daim MM. Phytochemical study, cytotoxic, analgesic, antipyretic and anti-inflammatory activities of strychnosnux-vomica. Cytotechnology 2015;67:831-44.
Parveen Z, Deng Y, Saeed R, Dai MK, Ahamad W, Yu YH. Antiinflammatory and analgesic activities of thesiumchinense turcz extracts and its major flavonoides, kaempferol and kaempferol-3-O-glucoside. Yakugaku Zasshi 2007;127:1275-9.
Hernandez Leon A, Fernandez Guasti A, Gonzalez Trujano ME. Rutinantinociception involves opioidergic mechanism and descending modulation of ventrolateral periaqueductal grey matter in rats. Eur J Pain 2016;20:274-83.
Ganeshpurkar A, Saluja A. The pharmacological potential of rutin. Saudi Pharm J 2017;25:149-64.
Steen KH, Reeh PW, Kreysel HW. Topical acetylsalicylic, salicylic acid and indomethacin suppress pain from experimental tissue acidosis in human skin. Pain 1995;62:339-47.
Corazzi T, Leone M, Maucci R, Corazzi L, Gresele P. Direct and irreversible inhibition of cyclooxygenase-1 by nitroaspirin (NCX 4016). J Pharmacol Exp Ther 2005;315:1331-7.
Choi J, Jung HJ, Lee KT, Park HJ. Antinociceptive and anti-inflammatory effects of the saponin and sapogenins obtained from the stem of akebiaquinata. J Med Food 2005;8:78-85.
Arrau S, Delporte C, Cartagena C, Rodriguez Diaz M, Gonzalez P, Silva X, et al. Antinociceptive activity of quillajasaponaria mol saponin extract, quillaic acid and derivatives in mice. J Ethnopharmacol 2011;133:164-7.
Yassin NZ, Melek FR, Selim MA, Kassem IAA. Pharmacological activities of saponin containing fraction derived from gleditsiacaspica desfmethanolic fruit extract. Pharm Lett 2013;5:247–53.
Saleh DO, Kassem I, Melek FR. Analgesic activity of gleditsia triacanthos methanolic fruit extract and its saponin-containing fraction. Pharm Biol 2016;54:576-80.