
Department of Pharmaceutics, Acharya and BM Reddy College of Pharmacy, Bengaluru, India
Email: sangeeta.choudhury56@yahoo.com
Received: 20 Jun 2020, Revised and Accepted: 22 Aug 2020
ABSTRACT
Objective: The aim of this work to formulate, evaluate and compare the effectiveness of herbal creams containing extract of reishi and tea tree oil for treating hirsutism.
Methods: Herbal ingredients were authenticated. Cream base was initially formulated. Three formulations of herbal cream were prepared. Reishi ethanolic extract, tea tree oil, and combination of tea tree oil and reishi extract were added to the cream base and formulated cream were named as RHC, THC and RTC respectively. In vitro evaluations on herbal creams were done for the physicochemical characteristics. In vivo studies were carried out on female Swiss Albino mice for the activity against hair growth by topical application of cream to shaved skin. The histological and morphometric evaluation was carried out. Skin irritancy study was conducted.
Results: The herbal creams showed desirable physicochemical properties like pH, viscosity and spreadability. Statistical analysis for the length of hair was performed by using one way ANOVA followed by DUNNET’S post hoc test where THC and RTC were found to be significant whereas RHC showed no significant reduction of hair growth compared to control. RTC showed a significant effect at p<0.05 and hair growth reduction was significant for THC at p<0.001 compared to the control group. RTC and THC showed mild to moderate reduction in the size of the hair follicles with a reduction of sebaceous gland size in the histological analysis.
Conclusion: Topical application of herbal creams to mice showed that hair growth was fastest in group RHC and was slowest in group THC and intermediate with RTC. It can be concluded that these herbal actives can be used as an effective treatment against hirsutism.
Within the study period, tea tree oil was found to be more effective than reishi extract and the combination product. Further formulation studies and in vivo studies need to be carried out on reishi to assess its effectiveness against hirsutism.
Keywords: Hirsutism, Anti-androgens, Herbal, Tea tree oil, Ganoderma lucidum, Reishi
© 2020 The Authors. Published by Innovare Academic Sciences Pvt Ltd. This is an open access article under the CC BY license (http://creativecommons.org/licenses/by/4.0/)
DOI: http://dx.doi.org/10.22159/ijcpr.2020v12i5.39781. Journal homepage: https://innovareacademics.in/journals/index.php/ijcpr
Hirsutism is a prevalent clinical issue in females. It can be characterized by excessive terminal hair development in females, such as the face, abdomen, chest and back in the androgen-dependent regions of the body, usually growing in a typical male allocation pattern due to endocrine [1]. Hirsutism can occur owing to variables that are androgenic (secondary hirsutism), non-androgenic, and idiopathic hirsutism (reason of occurrence is completely not known). Androgenic variables affect over 80% of patients, 70-80% of whom include women with polycystic ovary syndrome (PCOS) [2]. The treatment for hirsutism is still at the research level because the effect of androgen on hair follicles over a different part of the body is verified and fully not known. The primary methods of the treatment are to continuously remove the hair or correct the hormonal imbalance, either prevent or slow the development of excessive hair and enhance the patient’s appealing appearance and life [3]. Removing of hair may include methods like IPL (Intense Pulsed Light system), LASER Techniques and cosmetic techniques like threading, waxing, etc. Most of these hair removal methods are costly and may result in pain, discomfort, local crusting on the skin, secondary infection, hyperpigmentation, etc. As androgens influence the growth of terminal hair so anti-androgens can be recommended for treatment hence correcting the hormonal balance. Some synthetic anti-androgens that can be used for the treatment of hirsutism are Spironolactone, Finasteride, Eflornithine, etc. These may result in the increased chances of male fetus feminization, dryness of skin, itchiness, hepatic toxicity, etc. There is an increasing demand for natural plants, herbs and foodstuffs. The presence of anti-androgenic components in natural products can be an alternative to synthetic pharmaceuticals and mechanical methods. It is also believed that they have fewer adverse effects than that of other methods. Reishi (Ganoderma lucidum) and tea tree oil (Melaleuca alternifolia) are reported to have anti-androgenic components [4, 5]. Not much work has been reported on herbal treatment for hirsutism and topical formulations of Tea tree oil and Reishi. Hence we aim to develop a topical herbal formulation for hirsutism employing these herbal ingredients.
Materials
Reishi extract was obtained as a gift sample from Sunpure Extracts Pvt. Ltd., New Delhi, India and Tea tree oil was procured from Yarrow Chem., Mumbai, India. Stearic acid, beeswax, liquid paraffin, glycerin, propylene glycol, borax, triethanolamine, methylparaben, propylparaben were purchased from Karnataka Fine Chem., Bengaluru; lanolin from Reidel Chemicals Pvt. Ltd., New Delhi; glyceryl monostearate from CDH, New Delhi; cetyl alcohol from SD Fine Chem., Mumbai; butylated hydroxytoluene from Merk, Mumbai. All of the excipients used were of analytical grades.
Methodology
Authentication and characterization of herbal actives were done.
Preparation of cream base
Two beakers were taken to prepare the oil phase and water phase. The oil phase was prepared by melting the waxes at 80 °C and uniform mixing of the ingredients. The water phase was prepared with water soluble ingredients dissolved in deionized water till 75-80 °C until all the ingredients dissolved. Tea tree oil was added in the oil phase and reishi extract was added in the water phase according to their respective formulations. After mixing well water phase was poured in the oil phase with moderate agitation and was kept stirred until the temperature dropped to 40 °C. Methylparaben and Propylparaben were dissolved in warm deionized water and the solution was added to the base. The volume was made up with water. The emulsion was cooled at room temperature to form a semisolid cream base. The mixture was stirred until the formulation became uniform till 15 min. The formulation charts are shown in table 1. Creams with the active ingredients are shown in fig. 1.
Table 1: Formulation of herbal creams (% w/w qs to 50)
| Ingredients | Quantity | ||
| RHC* | THC* | RTC* | |
| Reishi | 2 | - | 1 |
| Tea tree oil | - | 2 | 1 |
| Stearic acid | 1 | 1 | 1 |
| Beeswax | 2 | 2 | 2 |
| Liquid paraffin | 8 | 8 | 8 |
| Lanolin | 1 | 1 | 1 |
| Glyceryl monostearate | 3 | 3 | 3 |
| Cetyl alcohol | 4 | 4 | 4 |
| Glycerin | 4 | 4 | 4 |
| Propylene glycol | 4 | 4 | 4 |
| Borax | 0.2 | 0.2 | 0.2 |
| Triethanolamine | 0.2 | 0.2 | 0.2 |
| Butylated Hydroxytoleune | 0.05 | 0.05 | 0.05 |
| Methyl paraben | 0.1 | 0.1 | 0.1 |
| Propyl paraben | 0.1 | 0.1 | 0.1 |
| Water | q. s to 50 | q. s to 50 | q. s to 50 |
*RHC-Reishi herbal cream, THC-Tea tree oil herbal cream, RTC-Reishi and tea tree oil cream.
Table 2: Grouping of mice
| S. No. | Groups | Treatment | No. of Animal |
| I | Control | Placebo | 3 |
| II | Active | THC | 3 |
| III | Active | RHC | 3 |
| IV | Active | RTC | 3 |
| V | Standard | Marketed Synthetic Formulation | 3 |

Fig. 1: Creams with their active ingredients
In vitro evaluation
In vitro evaluation for pH [6], spreadability [7] and viscosity [8] were done.
In vivo evaluation
For performing the parameters on animals, permission was taken from Institutional Animal Ethics Committee (Ref. no.: IAEC/ABMRCP/2019-20/1). 15 Female Swiss Albino mice, aged 60 d with a mean weight of approximately 30 g were taken and divided into 5 groups. Initially, the mice were partially anesthetized and dorsal hairs were removed externally by shaving (2 cm2 area) using a surgical blade to reveal the pink skin [9]. Grouping is shown in the given table 2.
Skin irritation study
The mice with trimmed hair were divided into 5 groups. 1 g of the test sample was applied on each mice on the trimmed area using 3 fold gauze (2.5 cm2) then it was covered with squares of gauze and were fixed with tape to prevent leakage and evaporation. The test substances were removed by carefully removing the gauze squares after 24 h. Draize skin reaction was evaluated and scored by observing skin for erythema, crust formation and edema following the administration of the test samples for 24, 48 and 72 h. The average scores were then calculated [10].
Hair growth inhibition studies by visual evaluation
After skin irritation studies and washout periods, creams were evaluated for activity. 0.25g of each sample was applied over the shaved skin of the mice for 28days. The formulations were applied twice daily. After a regular interval of time i.e., 7, 14, 21, 28 d photographs were taken of the application site. After 24 h of the last application of the formulations, treated skin areas were observed. Mice were sacrificed and hairs were plucked from the roots. Manual measurement of plucked hair was carried out using tweezers holding the fine hair against a ruler, with the aid of a magnification lamp. Random samples of 30 strands of hair were measured, and the average length was computed. Hair length was measured in centimeters [11].
Histological analysis
Pieces of skin fragments of sacrificed mice were cut out and fixed in formaldehyde solution and embedded in paraffin. Sections were stained with hematoxylin and eosin. Finally, the specimen was examined under a light microscope for determination follicular structures [12].
In vitro evaluation
The results of pH, spreadability and viscosity observed are given in table 3.
Table 3: In vitro evaluation of herbal creams
| Evaluation parameter | Formulations | ||
| RHC | THC | RTC | |
| pH (mean±SD)* | 6.30±0.01 | 6.58±0.01 | 6.73±0.02 |
| Spreadability (gcm/s) (mean±SD)* | 13.48±0.35 | 12.66±0.50 | 13.29±0.48 |
| Viscosity (cps) (mean±SD)* | 2428±6.75 | 2102±5.25 | 2342±5.88 |
*n= 3
Skin irritation study
When observed for skin irritation, none of the erythema, crust formation and edema was seen in any group. Hence, Draize skin irritation score was zero that means no irritation.
Hair growth inhibition studies by visual evaluation
The control group with no treatment had the re-growth of the hair in comparison with the mice treated with the formulations. Hair growth was least in the standard group (fig. 2). Mentioned below is the order of treatment showing slow to faster hair growth:
Standard group<THC<RTC<RHC<Control
Inhibitory effect of hair growth by measuring the length of hair (morphometrical analysis)
The length of the hair of mice measured on the 28th day are shown in table 4 and graphically shown in fig. 3.

Fig. 2: Visual evaluation of hair growth inhibition, (a. Standard group, b. THC, c. RTC, d. RHC, d. Control)
Table 4: Length (in cm) of hair of mice after 28 d of treatment
| Length of hair (in cm) mean±SD n=30 | Groups | ||||
| Control | RHC | THC | RTC | Standard | |
| 1.01±0.063 | 0.90±0.057 | 0.51±0.060*** | 0.72±0.063* | 0.30±0.057*** |
Each value is expressed as mean±SD, n=30 and statistical analysis were performed by using one way ANOVA followed by DUNNET’S post hoc test where * signifies p<0.05, ** signifies p<0.01 and *** signifies p<0.0001 compared to control group. The histogram for the length of hair vs treatment groups is shown in fig. 3.

Fig. 3: Histogram representing the length of hair after 28 d of treatment

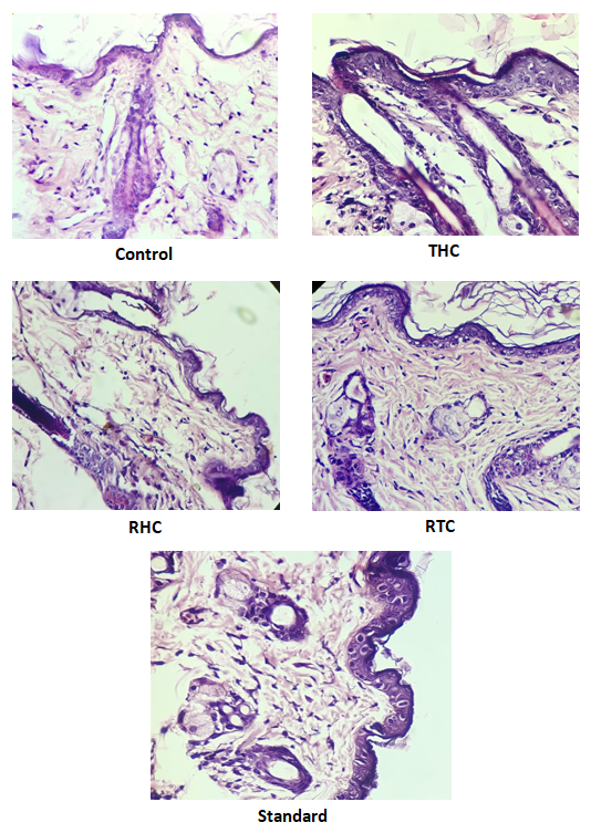
Fig. 4: Histological image of skin fragments
Histological analysis
Irritation tests are utilized to assess the irritation potential of formulations, medical devices, bio-materials or their extracts exposed to eye, skin or mucous membranes. No signs of erythema, edema on the site means there was no irritation.
As the photographs were taken, on the last day of the treatment i.e., on day 28th it was found that the hair growth in the THC group was least as compared to the control. The hair growth in the RTC group was found to be more when compared with the THC group and less as compared to the control group. In RHC the hair growth was found to be more as compared to THC and RTC but somewhat less than the control group. It means that THC was found to be most effective than the other two herbal formulations.
According to our data of morphometrical analysis for the length of hair, we found our standard and THC to be significant at p<0.001, RTC to be significant at P<0.05 and RHC was found to be insignificant at P<0.05. It indicates more delayed and reduced hair growth in the group treated with standard and THC whereas it was reversed in the case of RHC. Hence the RHC was not found to be that much effective against hirsutism and THC was found to be the most effective one.
Fig. 4 demonstrates the qualitative analysis of horizontal and vertical sections of the skin and hair follicle treated with RHC revealed a mild reduction in the size of the hair follicle with reduction of sebaceous gland size as compared with the control group which showed the presence of normal epidermis, dermis, adnexal structures and presence of normal hair follicle. RTC and THC showed mild to moderate reduction in the size of the hair follicles with a reduction of sebaceous gland size. Finally, the skin treated with standard showed a moderate reduction in the size of the hair follicles with a reduction of sebaceous gland size as compared with the control group. Mild to moderate reduction in the size of follicles in the group treated with THC and RTC as compared to the control group indicates delayed follicular development. This relates to a decrease in the diameter of the hair shaft resulting in slower hair growth, softer and lighter hair shafts [13]. Though we do not have the exact measurements of hair follicles diameter, it was done qualitatively.
It was found that these agents can be effective in reducing the rate of hair growth, hair shaft dimension resulting in softer and lighter hair shafts. Since there is no herbal formulation for hirsutism in the market these can be considered as effective an inexpensive treatment for hirsutism. We were successful in preparing a formulation that has the potential to be explored as a cosmetic preparation for addressing hirsutism. Based on our study, the cream formulation must be given continuously and for a long time especially the cream containing reishi. It is exactly not known whether such effects are irreversible. Perhaps with continuous use, the weakening of hair follicles may inhibit hair growth permanently. Prolonged use of reishi can also give a better effect against hirsutism. This study gave effective results on mice as mice or any other animal has a higher number of terminal hair than in humans. Also, the skin of mice is more permeable than that of human species. So it is possible that a smaller amount of the herbal active may get penetrated [12]. That means lesser actives reaching the follicle that can even mean a lesser effect. Hence, the future perspective includes human studies to be done to check for the evidence for the clinical efficacy of this product.
Authors acknowledge Sun Pure Extracts, New Delhi, India for providing us with reishi extracts and Acharya and BM Reddy College of Pharmacy, Bengaluru, India for providing the necessary internet, library, chemicals and all other facilities for the completion of this work.
Nil
Sangeeta Choudhury and Madhavi BLR developed the theoretical formalism and contributed to the final version of the manuscript. Sangeeta Choudhury performed the experiments and analytical calculations.
The authors have no conflict of interest.
Sangeeta C, Madhavi BL. A systemic review on hirsutism: recent perspectives. Int J Pharm Pharm Res 2019;16:114-36.
H Alexandre, FR Marcelo, DO Monica, Hirsutism: diagnosis and treatment. Arq Bras Endocrinol Metab 2014;52:97-107.
AB Lindsey, GM Mary. Hirsutism: diagnosis and management. Gender Med 2010;7:79-87.
Paul G, Shamin R. An update on plant derived anti-androgens. Int J Endocrinol Metab 2012;10:497-502.
G Tirabassi, L Giovannina, F Paggi, G Panin, F Panin, R Papa, et al. Possible efficacy of lavender and tea tree oils in the treatment of young women affected by mild idiopathic hirsutism. J Endocrinol Invest 2013;36:50-4.
Ugandar RE, Deivi KS. Formulation and evaluation of natural palm oil based vanishing cream. Int J Pharm Sci Res 2013;4:3375-80.
Sujith SN, Molly M, Sreena K. Formulation and evaluation of herbal cream containing Curcuma longa. Int J Pharm Chem Sci 2012;1:1362-8.
Mei XC, Kenneth SA, Gabriella B. Formulation and evaluation of antibacterial creams and gels containing metal ions for topical application. J Pharm 2016:1-10. DOI:10.1155/2016/5754349
Bhatia A, Singh B, Amarji B, Katare OP. Tamoxifen-loaded liposomal topical formulation arrests hair growth in mice. Br J Dermatol 2010;163:412-5.
Sang Han L. Evaluation of acute skin irritation and phototoxicity by aqueous and ethanol fractions of Angelica keiskei. Exp Ther Med 2013;5:45-50.
KH Chu. Development of in vivo methods of measuring hair growth. Available from:file:///C:/Users/hp/Downloads/ Developmentofinvivomethodsofmeasuringhairgrowth.pdf. [Last accessed on 21 Apr 2020].
Traversa E, Machado Santelli GM, Robles MV. Histological evaluation of hair follicle due to papain’s depilatory effect. Int J Pharm 2007;335:163-6.
Seiberg M, Liu JC, Babiarz L, Shaelow, Shapiro S. Soymilk reduces hair growth and hair follicle dimensions. Exp Dermatol 2001;10:405-13.