
Department of Pharmacology, Adarsa College of Pharmacy, G. Kothapallli 5333285
Email: ujju1128@gmail.com
Received: 28 Aug 2022, Revised and Accepted: 10 Oct 2022
ABSTRACT
Alkaptonuria, also called endogenous ochronosis, and also called as Black Urine Disease, is a rare metabolic autosomal recessive disorder. It occurs by complete inhibition of homogentisic acid oxidase enzyme having its deposition in various tissues. Alkaptonuria is caused due to deficiency of homogentisic acid oxidase involved in the metabolism of tyrosine. Dark discolouration of urine, ochronosis at cartilage and connective tissues, arthritis at the third of fourth decade of life, renal stone disease, spontaneous tendon rupture etc. May be seen in alkaptonuria. Disease severity varies among individual patients, even between siblings, and increase with age because of homogentisic acid accumulation. Usually, life span is not shortened in AKU, but the quality of life is severely effected. Several studies have suggested that Nitisinone may be effective in the treatment of alkaptonuria. Characteristically, the excess HGA means sufferers pass dark urine, which upon standing turns black. This is a feature present from birth. Over time patients develop other manifestations of AKU, due to the deposition of HGA in collagenous tissues, namely ochronosis and ochronotic osteoarthropathy. Although this condition does not reduce life expectancy, it significantly affects the quality of life. The natural history of this condition is becoming better understood, despite gaps in knowledge. Clinical assessment of the condition has also improved along with the development of potentially disease-modifying therapy. Furthermore, recent developments in AKU research have to lead to new understanding of the disease, and further study of the AKU arthropathy has the potential to influence therapy in the management of osteoarthritis.
Keywords: Black urine disease, Rare disease, Ochronosis, Ochronotic pigment
© 2022 The Authors. Published by Innovare Academic Sciences Pvt Ltd. This is an open access article under the CC BY license (https://creativecommons.org/licenses/by/4.0/)
DOI: https://dx.doi.org/10.22159/ijcpr.2022v14i6.2060 Journal homepage: https://innovareacademics.in/journals/index.php/ijcpr
Alkaptonuria [AKU] [1], also known as ‘’BLACK URINE DISEASE’’, is a rare genetic inherited disorder that was first described by Sir Archibald Edward Garrod in 1902. He termed as an ‘inborn error of metabolism. AKU is an ancient disease; scientists have found evidence in the Egyptian mummy Harwa dates 1500 BC. However, the term alkaptonuria was used first time in1859 in a female patient who had a reducing compound detected in urine. Later this compound was identified as homogentisic acid. Alkaptonuria [AKU] is often considered an autosomal recessive condition with an estimated frequency ranging from 1:250,000 live births in the USA to 1:19,000 in Slovakia. Alkaptonuria is caused by mutation of homogentisate 1, 2-dioxygenase [HGD] gene Alkaptonuria prevents the body from fully breaking down two protein building blocks [amino acids] called tyrosine and phenylalanine. It results in a build-up of a chemical called homogentisic acid in the body. This can turn urine and parts of the body a dark colour and lead to a range of health problems over time. One of the earliest signs of the condition is dark-stained nappies, as homogentisic acid causes urine to turn black when exposed to air for a few hours.
The rare inherited disorder that occurs due to deficiency of homogentisic acid [HGA], resulting in the triad of dark-colored urine, ochronosis and ochronotic arthropathy. Alkaptonuria is a rare autosomal recessive disorder of inborn error of metabolism as a result of metabolism as a result of deficiency of the homogentisic acid oxidase enzyme. It was one of the first disorder in humans found to confirm with the principles of Mendalian recessive inheritance. It is a hereditary disorder [2] and results from absence of HGD gene, the enzyme predominantly produced by hepatocytes the liver and kidney is responsible for the breakdown of homogentisic acid [HGA] an intermediate in tyrosine degradation pathway. It is a very rare disease with a prevalence of alkaptonuria is 1 per 100,000 to 250, 000. The prevalence of the disease in the United States is 1case in one million population. The major features of alkaptonuria are the presence of dark urine, an ochronosis-a buildup of dark pigment in connective tissues such as cartilage, skin and arthritis of the spine and larger joints. Other features of this condition can include heart problems, kidney stones and prostate stones. Symptoms usually develop in people over 30 y old, although the dark discoloration of the urine is present from birth. It occurs in one in 250,000 people but is more common in Slovakia and Dominican Republic.
It is a classic example of a rare monogenic autosomal recessive disease characterized by high circulating homogentisic acid [HGA]
1. In AKU, mutations of a gene coding for homogentisate dioxygenase
2. Cause a block in the metabolism of tyrosine
3. Accumulation of HGA, leading to a painful multisystemic disease
Normally from birth, homogentisic aciduria can be observed in patients, which manifests by darkening of the urine upon standing. Other related symptoms like ocronosis of collagenous tissue and severe ochronotic. Disease severity varies among individual patients, even between siblings and increases with age because of ongoing HGA accumulation. Usually, lifespan is not shortened in AKU, but the quality of life is severely affected, mainly due to the painful destruction of joints, as their mechanical properties are altered due to ochronosis. The rare inherited genetic disease caused by a mutation in HGD gene, if a person inherits an abnormal copy from both parents [it is a recessive condition], the body accumulates an intermediate substance called homogentisic acid in the blood and tissues. Homogentisic acid and it’s oxidized from alkapton are excreted in the urine, giving it an unusual dark colour.
Genetic basis of alkaptonuria
1. Homogentisic acid [HGA] and its oxidized product benzoquinone acetic acid [BQA], commonly known as ‘alkapton’ [3] are excreted in ‘urine’-hence the name Alkaptonuria.
2. In this condition, the patient’s urine exhibits a characteristic black colour upon exposure to air.
3. Alkaptonuria is inherited as an autosomal recessive trait characteristic.
4. Recessive genetic disorders occurs when a person inherits the same abnormal gene for the same trait for both parents. This means that in order to get the disease, both parents must have a copy of the defective gene, which in this case is the HGD gene.

Fig. 1: Alkaptonuria, genetic disorder effecting metabolic pathway of amino acid
History
The name Alkaptonuria is derived from the Arabic word ‘Alkali’ [meaning alkali] and the Greek word meaning ‘to suck up oxygen greedily in alkali’. The name was created by Boedeker [4] in 1859 after he discovered unusual reduring properties in the urine of the patient. Garrods use of AKU in the croonian lectures brought the condition into the spotlight in 1908, yet many descriptions of the triad of features associated with AKU, and documentation of this condition began in the 16th and 17th centuries. The earliest clinical case of AKU was found in the Egyptian mummy Harwa, which is belived to date back as far as 1500BC.
Ochronosis was first described and named by Virchow in 1866, because, under microscopy, the HGA pigment was approved to be ochere [yellow/black] in colour.
1500BC-Earliest evidence of AKU in Harwa in Egyptian mummy
1584AD-A German doctor, Dr. Scribonius, describes the urine of a patient turning black when exposed to air
1859-Dr. Boedeker names the chemical that darkens urine as an alkapton and therefore calls the associated disease alkaptonuria
1866-Dr. Virchow describes the pigmentation seen in the cartilage of AKU patients and called the process ochronosis
1902-Sir Archibald Garrod describes alkaptonuria as an inherited disease
1908-Sir Archibald Garrod defines an inborn of metabolism, using AKU as an example
1958-Dr. La Du shows that AKU is caused by a lack of an enzyme, HGD.
1993-Dr. pollak maps the AKU mutation to chromosomes.
1994-Dr. Montagutelli shows that some mice naturaly develop AKU.
2003-AKU society founded by Bob Gregory and prof. Rangnath
2008-The US National institute of health conclude their unsuccessful clinical trial testing nitisinone in AKU patients
2011-Dr. Taylor and Collegues show the progression of pigmentation in AKU patient cartilages
2012-Launch the Nation of AKU centre [NAC]
2013-SONIA 1 [First study in develop AKU] ends, with results confirming that Nitisinone doses lower HGH and setting the correct dose for future study.
2014-SONIA-2 clinical trial.
2019 End of the SONIA-2 clinical trial and notification that Nitisinone doses effectively lower HGA by 99% Sobi submit the finding to European medicines agency [EMA]
2020-Based on success of develop AKUres and SONA-2, the European medicines Agency [EMA] recommend that nitisinone be extended as a treatment of AKU.
2020-The European Commission [EC] [5] extend the existing marketing authorization for nitisinone use in AKU. Nitisinone receives a licence for its use in the treatment of AKU.
How alkaptonuria is inherited
Each cell in the body contains 23 pair of chromosomes. These carry the genes that inherit from your parents. One of each pair of chromosomes is inherited from each parent, which means [exception of sex chromosomes] there are two copies of each gene in each cell. The gene involved in alkaptonuria in HGD gene. This provides instructions for making an enzyme called homogentisate oxidase, which is needed to break down homogentisic acid. When they need to inherit two copies of the faulty HGD gene [one from each parent] to develop alkaptonuria. The chances of this are slim, which is why the condition is rare. The parents of a person with alkaptonuria will often only carry one copy of the faulty gene themselves, which means that they will not have any signs/symptoms of the condition.
Diagnosis
The diagnosis of alkaptonuria is made upon the identification of characteristic symptoms, a detailed patient history through clinical evaluation and specialized tests. Identification of vastly elevated levels of homogentisic acid in the urine is indicative of alkaptonuria. Alkaptonuria should be suspected in individuals with dark urine, it may be advisable to rule out the disorder for all individuals with osteoarthritis, especially those with an early onset of symptoms. Testing of a urine sample for the presence or absence of HGA is the gold standard for confirmation of the diagnosis. Urine colour change upon alkalinisation is unpredictable and not specific for AKU. Chromatographic techniques [6] are necessary to reliably confirm the presence of HGA. Measurement of HGA in random urine is sufficient for establishing diagnosis of AKU. Genetic diagnosis would determine whether patients are homozygous/compound heterozygote’s, in addition they could facilitate family counseling especially in area of high prevalence. Family history is important while diagnosis of alkaptonuria.

Fig. 2: The reaction of urine on alkalinization
Laboratory diagnosis
1. The urine test for HGA is the standard gold test to diagnose alkaptonuria. The amount of homogentisic acid in the 24 h urine is detected via gas. Chromatography–mass spectrometry [GC-MS] [7] analysis. The amount of HGA excreted each day in patients with AKU is usually between1and 8 grams. The changes in urine color are non-specific.
2. Molecular genetic testing can identify the bialleic abnormalities in HGD and other mutation that can help in family counselling.
3. Various imaging modalities like CT scan or MRI help in assessing the severity of joint involvement.
4. 2D-Echocardiography [8] can detect valvular abnormalities.
5. CT Angiogram can detect calcification of coronary vessels.
Etiology
Homogentisate 1, 2 dioxygenase [HGD] expresses in various tissues in the body such as the kidney, liver, small intestine. HGD plays an important role in the tyrosine pathway [9] by converting homogentisic acid [HGA] to maleylacetoacetate. HGD is a 445 amino based protein mapped to chromosome 3q13.33. Mutation in the HGD gene leads to a deficiency of the HGD enzyme resulting in the accumulation of homogentisic acid [HGD].
These mutations occur in specific parts of the exons. The normal HGD has a six-subunit called a hexamer arranged in two trimer, each containing an iron atom. Various mutations may affect the function, structure, or solubility of HGD. Rarely this genetic disorder can be inherited in an autosomal dominant manner; other defects in other genes probably are responsible in these cases.
Epidemiology
Alkaponuria is a rare disease with worldwide [10] prevalence. The global prevalence of alkaptonuria is 1 per 100,000 to 250,000. The prevalence of the disease in the United States is 1 case in one million populations According to the AKU society and the Develop AKU are consortium, the number of alkaptonuria patients in the U. S. is 92. it is mainly reported in the African population. The disease affects both men and women equally, although the disease severity is more in men.

Fig. 3: Alkaptonuria worldwide prevalence
Pathophysiology
The homogentisic acid oxidase is involved in the metabolism of the tyrosine and phenlalanine. Tyrosine is mainly necessary for specific functions, such as melanin, hormone and several protein, but the most majority is unused and finally generate acetoacetate and malate in AKU; the HGD cannot form 4-maleylacetoacetate [11] from homogentisic acid in the, therefore, the level of homogentisic acid in the blood will rise 100 times than normal, even through the kidneys eliminate a plentiful amount. The HGD converts to benzoquinone acetic acid, which produce polymers that match the skin pigment melanin. These accumulation is called ochronosis. Ochronotic pigment deposits bind to connective tissues [12] of various organs leading to the destruction of joints, valves, and intima of vessels. The pathological effects of ochronosis include arthritis, increased incidence of renal, prostatic, gall bladder stone, ruptures of muscle, tendons, and ligaments.
Histopathology
Histopathology examination shows heperkeratosis, hypergranulosis with fibro-elastic degeneration of collagen. Increased levels of homogentisic acid [HGA] shows intracelluar and extracellular ochronotic pigmentation on electron microscopy [13].
Clinical features
AKU has three distinct clinical features-homogentisic aciduria, ochronosis and ochronotic osteoarthropathy [14]. Each feature is present at various stages in life; the earliest detection is HGA in urine. The passing of black urine is the only manifestation of the condition known is pediatrics, leading to 21% of patients being diagnosed with it before one year of age. HGA plasma levels in AKU suffers range between 0.018-0.165 mm [15] in comparison to non-AKU suffers plasma levels of 0.014-0.071 mm. The darkening of urine occurs because the HGA pigment oxidizes to Benzoquinone acetate [BQA], which forms a melanin-like polymer that slowly turns urine black. Ochronosis develops as the BQA [16] accumulates both intra and extra-cellularly in connective tissue. This feature is commonly observed in the third to fourth decades of life.
Causes
Alkaptonuria is caused by a mutation of the homogentisate 1, 2-dioxygenase (HGD) gene. The HGD gene contains instructions for creating (encoding) an enzyme known as homogentisate 1, 2-dioxygenase. This enzyme is essential for the breakdown of homogentisic acid. Mutations [17] of the HGD gene result in deficient levels of functional homogentisate 1, 2-dioxygenase, which, in turn, leads to excess levels of homogentisic acid. Although homogentisic acid is rapidly cleared from the body by the kidneys, it also slowly accumulates in the various tissues of the body, especially connective tissue such as cartilage. Over time (rarely before adulthood), it eventually changes the colour of the affected tissue to a slate blue or black. Long-term, chronic accumulation of homogentisic acid eventually weakens and damages affected tissue and leads to many of the characteristic symptoms of alkaptonuria.
Alkaptonuria is inherited as an autosomal recessive trait. Recessive genetic disorders occur when an individual inherits the same abnormal gene for the same trait from each parent. If an individual receives one normal gene and one gene for the disease, the person will be a carrier for the disease but usually will not show symptoms. The risk for two carrier parents to both pass the defective gene and, therefore, have an affected child is 25 percent with each pregnancy. The risk to have a child who is a carrier like the parents is 50 percent with each pregnancy. The chance for a child to receive normal genes from both parents and be genetically normal for that particular trait is 25 percent. The risk is the same for males and females.
The Causes of black urine could be food, few, health conditions and consumption of medicines. Some of the major causes are:
Food-related changes
If the change in your urine colour is due to food, it is not a cause for concern, as once you avoid consuming that particular food, the colour of urine returns to normal often, if the reason is food, you would have consumed a considerable portion of food that may have reacted chemically with your urine [18], causing the dark brown/black clour of urine.
Medicines
When food/medicines are the causes of black urine, you may consider avoiding the use of that particular food/using alternative medicine. However, if they are not the cause, then certain underlying health conditions such as alkaptonuria
Alkaptonuria
In this condition, due to some mutations in the HGD gene, the normal functioning of the enzyme homogentisate 1, 2-dioxygenase is hindered. As a result, an intermediate product namely homogentisic acid gets, accumulated in the blood and tissues. Homogentisic acid and it’s oxidized from alkapton [19] are excreted through urine, which makes the color of urine black.
Affected population
Alkaptonuria affects males and females in equal numbers, although symptoms tend to develop sooner and become more severe in males. More than 1,000 affected individuals have been reported in the medical literature. The exact incidence of alkaptonuria is unknown. In the United States it is estimated to occur in 1 in 250,000-1,000,000 live births [20]. Alkaptonuria has been reported in all ethnic groups. Areas with increased frequencies of the disorder have been identified in Slovakia, the Dominican Republic and Germany.
Signs and symptoms
There are several symptoms and signs of alkaptonuria, which are briefly highlighted below:
Black-colored urine: Urine becomes black in color upon exposure to air [21] Sweat and earwax can also exhibit a black color.
Ochronosis: This occurs due to the deposition of HGA in the connective tissues, especially cartilages. The cartilage [22] of the ear lobes can become thickened, irregular and blue, grey or black in color. Dark spots can also occur on the sclera (whites of the eyes).
Tendinitis: The tendons can become thickened, inflamed and painful, technically termed as tendinitis. The thickened Achilles tendonis especially prone to tearing or rupturing. Eventually, discoloration of the tendons can become visible on the overlying skin.
Kidney and prostate stones: Kidney stones can develop in 50% of affected individuals over 64 y of age. Men with alkaptonuria may also develop prostate stones. Passage of these black stones [17] can be extremely painful
Ochronotic Arthropathy: There can be chronic joint pain [23] and inflammation (arthritis).). When the spine and large joints such as the hips and knees are affected, it is technically termed as ochronotic arthropathy.
Ankylosis and kyphosis: Intervertebral discs can flatten, calcify and eventually fuse. This can result in ankylosis, (a condition where the affected joints become stiff and immobile). Moreover, Kyphosis [24] or hunchback may occur, where there is an excessive convex curvature of the spine.
Stiffening of heart valves: Accumulation of HGA within the aortic or mitral valves [25] can cause thickening of the valves and narrowing (stenosis) of their openings due to calcification.
In some cases calcification of the coronary blood vessels may also occur
Dark stains on a baby’s diaper are one of the earliest sign of alkaptonuria.

Fig. 4: Symptoms of alkaptonuria
Treatment
No treatment modality has been unequivocally demonstrated to reduce the complications of alkaptonuria. Main treatment attempts have focused on preventing ochronosis through the reduction of accumulating homogentisic acid. Alkaptonuria is a lifelong condition–there's currently no specific treatment or cure. However, a medicine called nitisinone [26] has shown some promise, and painkillers and lifestyle changes may help you cope with the symptoms.
There are very few options for the treatment of alkaptonuria. Since there are currently no licensed medicines for alkaptonuria, the main focus is providing symptomatic relief [27], preventive measures, and supportive care. Some of the treatment strategies are briefly highlighted below
Ascorbic acid: A large dose of ascorbic acid (vitamin C) has sometimes been recommended for the treatment of alkaptonuria since it prevents the accumulation of HGA in the tissues. However, research studies have shown that long-term use of ascorbic acid is generally ineffective for the treatment of this condition.
Nitisinone: A new drug named nitisinone is under investigation as a potential treatment for alkaptonuria. Nitisinone is classified as an orphan drug by the United States Food and Drug Administration [28] (USFDA) and has been approved for the treatment of a metabolic disorder known as tyrosinemia. Studies have shown that nitisinone therapy can reduce plasma and urinary HGA by more than 95%. The main drawback is the accumulation of tyrosine, the long-term risks of which are unknown.
Diet: Dietary restriction of protein may help in reducing the intake of phenylalanine [29] and tyrosine, thereby slowing the progression of the disease by reducing the production of HGA.
Pain medication: Painkillers and anti-inflammatory agents such as paracetamol, ibuprofen and naproxen can help to relieve pain and swelling. Procedures like transcutaneous [30] electrical nerve stimulation (TENS) can help in appreciably reducing pain by numbing the nerve endings of the spinal cord.
Surgery: Surgical intervention may be necessary if joint replacement or heart valve replacement is required. These findings were compatible, therefore, with endogenous ochronosis or alkaptonuria. Given these results, treatment with vitamin C [31] 500 mg twice a day was started together with monitoring by other specialties such as orthopedics, ophthalmology and cardiology. The patient was advised to avoid diets rich in phenylalanine, tyrosine and protein.
Case report
Male patient [32], 52 y old, sought medical assistance complaining about the progressive appearance of hyperchromic papules on the lateral edge of the second finger of both hands for a period of 2 y. He also complained about the darkening of urine, sperm and underwear for 20 y with recent worsening. He is obese and hypertensive, currently using enalapril. He already underwent some orthopedic procedures, such as: knee arthroscopy, lumbar spine arthrodesis and Achilles tendon tenorrhaphy two, eight and fifteen years ago, respectively. According to his family history, his sister presented "Coca-Cola color" in her diapers, during early childhood. At the dermatological examination: grayish spot in the sclera, grayish blue papules on the bilateral extensor surface of the second finger, periurethral hyperpigmentation, generalized chromonychia. Radiography of vertebral column showed calcification of lower and lumbar intervertebral discs, reduction of disc spaces and posterior arthrodesis with a metal rod.

Fig. 5: Grayish spot in sclera

Fig. 6: Grayish blue papules in the extensor surface of second finger

Fig. 7: Radiography of vertebral column showing calcification of lower and lumbar thoracic intervertebral discs, reduction of disc spaces and posterior arthrodesis with steel rod
Radiography of the vertebral column showing calcification of lower and lumbar thoracic intervertebral discs, reduction of disc spaces and posterior arthrodesis with steel rod with the goal of clarifying the diagnosis an incisional biopsy of the second finger papule [33] was performed as well as test for homogentisic acid in the urine, which resulted positive.

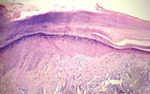
Fig. 8: Hyperkeratosis, hypergranulosis, irregular acanthosis basophilic fibrilar elastotic degeneration of collagen in the upper dermis

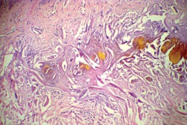
Fig. 9: With greater magnification, degenerated and fractured collagen fibers with ochre pigment deposit in clusters is observed
The histopathological exam evidenced hyperkeratosis, hypergranulosis, irregular acanthosis, and basophilic fibrilar elastotic degeneration of collagen in the upper dermis. At higher m At higher magnification, fractured and degenerated collagen fibers with deposit of ochre pigment in clusters can be observed. Hyperkeratosis, hypergranulosis, irregular acanthosis, basophilic fibrilar elastotic degeneration of collagen in the upper dermis with greater magnification, degenerated and fractured collagen fibers with ochre pigment deposit in clusters is observed [fig. 9]. These findings were compatible, therefore, with endogenous ochronosis or alkaptonuria. Given these results, treatment with vitamin C 500 mg twice a day was started together with monitoring by other specialties such as orthopedics, ophthalmology and cardiology. The patient was advised to avoid diets rich in phenylalanine, tyrosine and protein.
13-year-old boy presented to paediatric nephrology clinic with blackish discoloration of urine since infancy. Examination revealed bluish black discoloration of bilateral sclera and ear cartilage; however, he had no symptoms of ochronotic osteoarthropathy. Genetic test pointed towards alkaptonuria. Currently, he is on regular follow-up and is being treated with vitamin C to delay the progression of the disease. Early diagnosis with appropriate intervention delays the onset of complications and preserves the quality of life of the patient.
Alkaptonutia is an inherited condition that causes urine to turn black when exposed to air. Another characteristics is the development of arthritis in adulthood which causes physiological, neurological and psychological effects. Early diagnosis, understanding of disease prognosis and emphasis on mental health could improve the Quality of life of patients affected by this rare disease.
Nil
All the authors have contributed equally.
Declared none
Garrod AE. The incidence of alkaptonuria: a study in chemical individuality. 1902. Mol Med. 1996;2(3):274-82. doi: 10.1007/BF03401625, PMID 8784780.
Phornphutkul C, Introne WJ, Perry MB, Bernardini I, Murphey MD, Fitzpatrick DL. Natural history of alkaptonuria. N Engl J Med. 2002;347(26):2111-21. doi: 10.1056/NEJMoa021736. PMID 12501223.
https://akusociety.org/Information and Support/History–of-Aku; 25 Jan 2020.
Suwannarat P, O’Brien K, Perry MB, Sebring N, Bernardini I, Kaiser Kupfer MI. Use of nitisinone in patients with alkaptonuria. Metabolism Metabolism. 2005;54(6):719-28. doi: 10.1016/j.metabol.2004.12.017. PMID 15931605.
Taylor AM, Wilson PJ, Ingrams DR, Helliwell TR, Gallagher JA, Ranganath LR. Calculi and intracellular ochronosis in the submandibular tissues from a patient with alkaptonuria. J Clin Pathol. 2010;63(2):186-8. doi: 10.1136/jcp.2009.071365. PMID 20154043.
Garcia SF, Egbert B, Swetter SM. Hereditary ochronosis: hyperpigmented skin overlying cartilaginous structures. Cutis. 1999;63(6):337-8. PMID 10388955.
Peker E, Yonden Z, Sogut S. From darkening urine to early diagnosis of alkaptonuria. Indian J Dermatol Venereol Leprol. 2008;74(6):700. doi: 10.4103/0378-6323.45142, PMID 19180686.
Keller JM, Macaulay W, Nercessian OA, Jaffe IA. New developments in ochronosis, Kraus VB. Rare osteoarthritis: ochronosis, Kashin-Beck disease and Mseleni joint disease. In: Hochberg MC, Smolen SJ, Weinblatt ME, Weisman MH, editors Rheumatology. 5th ed. Vol. 25. St Louis: Mosby; 2005. p. 1825-37. doi: 10.1007/s00296-004-0498-1.
Taylor AM, Boyde A, Wilson PJ, Jarvis JC, Davidson JS, Hunt JA. The role of calcified cartilage and subchondral bone in the initiation and progression of ochronotic arthropathy in alkaptonuria. Arthritis Rheum. 2011;63(12):3887-96. doi: 10.1002/art.30606, PMID 22127706.
Ranganath L, Taylor AM, Shenkin A, Fraser WD, Jarvis J, Gallagher JA. Identification of alkaptonuria in the general population: a United Kingdom experience describing the challenges, possible solutions and persistent barriers. J Inherit Metab Dis. 2011;34(3):723-30. doi: 10.1007/s10545-011-9282-z, PMID 21311977.
Ranganath LR, Jarvis JC, Gallagher JA. Recent advances in management of alkaptonuria (invited review; best practice article). J Clin Pathol. 2013 May;66(5):367-73. doi: 10.1136/jclinpath-2012-200877, PMID 23486607.
Mistry JB, Bukhari M, Taylor AM. Alkaptonuria. Rare Dis. 2013;1:e27475. doi: 10.4161/rdis.27475, PMID 25003018.
Fisher AA, Davis MW. Alkaptonuricochronosis with aortic valve and joint replacements and femoral fracture: a case report and literature review. Clinical Medicine. 2004 Nov;2(4):209–15. doi: 10.3121/cmr.2.4.209, PMID: 15931360.
Gottschalk BH, Blankenstein J, Guo L. Ochronosis of mitral valve and coronary arteries. The Annal Othoracic Surgery. 2018 Jul;106(1):e19-e20, PMID: 29501639.
Langford B, Besford M, Hall A, Eddowes L, Timmis O, Gallagher JA. Alkaptonuria severity score index revisited: analysing the AKUSSI and its subcomponent features. JIMD Rep. 2018:53-62. doi: 10.1007/8904_2018_98.
Davison AS, Norman BP, Ross GA, Hughes AT, Khedr M, Milan AM. Evaluation of the serum metabolome of patients with alkaptonuria before and after two years of treatment with nitisinone using LC-QTOF-MS. JIMD Rep. 2019 Jul;48(1):67-74. doi: 10.1002/jmd2.12042, PMID 31392115.
Skinsnes Ok. Generalized ochronosis; report of an instance in which it was misdiagnosed as melanosarcoma, with resultant enucleation of an eye. Arch Pathol (Chic). 1948 Apr;45(4):552-8. PMID: 18891026.
Olive JK, Alnajar A, Gnanashanmugam S, Lamelas J. Transcatheter aortic valve replacement for alkaptonuria-associated aortic stenosis. Ann Thorac Surg. 2019 Dec;108(6):e377-9. doi: 10.1016/j.athoracsur.2019.04.053, PMID 31181205.
Keller JM, Macaulay W, Nercessian OA, Jaffe IA. New developments in ochronosis: review of the literature. Rheumatol Int. 2005 Mar;25(2):81-5. doi: 10.1007/s00296-004-0498-1, PMID 15322814.
Taylor AM, Wilson PJ, Ingrams DR, Helliwell TR, Gallagher JA, Ranganath LR. Calculi and intracellular ochronosis in the submandibular tissues from a patient with alkaptonuria. J Clin Pathol. 2010 Feb;63(2):186-8. doi: 10.1136/jcp.2009.071365, PMID 20154043.
Millucci L, Ghezzi L, Bernardini G, Braconi D, Lupetti P, Perfetto F. Diagnosis of secondary amyloidosis in alkaptonuria. Diagn Pathol. 2014 Sep 26;9(1). doi: 10.1186/s13000-014-0185-9.
Introne WJ, Gahl WA. Alkaptonuria. In: NORD guide to rare disorders. Philadelphia: Lippincott Williams & Wilkins; 2003. p. 431.
La Du BN. Alkaptonuria. In: Royce PM, Steinmann B, editors. Connective tissue and its heritable disorders. Molecular, genetic, and medical aspects. 2nd ed. New York: Wiley-Liss, Ny Particular; 2002. p. 809-25.
Zatkova A. An update on the molecular genetics of alkaptonuria. J Inherited Metabolism Disease. 2011.
Introne WJ, Perry MB, Troendle J, Tsilou E, Kayser MA, Suwannarat P. A 3 y randomized therapeutic trial of nitisinone in alkaptonuria. Mol Genet Metab. 2011;103(4):307-14. doi: 10.1016/j.ymgme.2011.04.016, PMID 21620748.
Pettit SJ, Fisher M, Gallagher JA, Ranganath LR. Cardiovascular manifestations of alkaptonuria. J Inherit Metab Dis. 2011;34(6):1177-81. doi: 10.1007/s10545-011-9339-z.
Phornphutkul C, Introne WJ, Perry MB. Alkaptonuria. N Engl J Med. 2006;347:2111-21.
Fisher AA, Davis MW. Alkaptonuricochronosis with aortic valve and joint replacements and femoral fracture: a case report and literature review. Clin Med Res. 2004;2(4):209-15. doi: 10.3121/cmr.2.4.209, PMID 15931360.
Srsen S, Müller CR, Fregin A, Srsnova K. Alkaptonuria in slovakia: thirty-two years of research on phenotype and genotype. Mol Genet Metab. 2002;75(4):353-9. doi: 10.1016/S1096-7192(02)00002-1, PMID 12051967.
Introne WJ, Gahl WA. Alkaptonuria. 2003 May 9. In: Pagon RA, Adam MP, Ardinger HH, editors. Seattle: University of Washington. Seattle; Feb 16; 2017. p. 1993-2017.
Roth KS. Alkaptonuria. Medscape. Last Update. Aug 7; 2015.
McKusick VA. editor. Online Mendelian Inheritance in Man (OMIM). Baltimore. MD: Johns Hopkins University; 2017.
Porfirio B. Alkaptonuria. Orphanetencyclopedia Last Update. Oct 2014.