
٭1Department of Pharmaceutics, Faculty of Pharmacy, Minia University, Minia, Egypt, 2,3Department of Pharmaceutics and Industrial Pharmacy, Faculty of Pharmacy, Al-Azhar University Assiut Branch, Assiut, Egypt.
Email: Omar_elgarhy70@yahoo.com
Received: 30 Nov 2014, Revised and Accepted: 28 Dec 2014
ABSTRACT
Objective: Development of sustained released tablets of flurbiprofen (FP) using an alternative technique to the traditional method of wet granulation process aiming to lower labor cost of the granulation process and formulating tablets with better characteristics.
Methods: Eight matrix tablets formulae of FP were prepared by the alternative technique. The various characteristics of FP prepared tablets were investigated and comparatively evaluated by FP tablets prepared by the traditional method. The release data was analyzed according to various kinetic equations. The ulcerogenic effects of some FP tablets formulae were evaluated.
Results: FP tablets prepared by the alternative technique displayed the best physical characteristics. All FP prepared tablets displayed good sustained-release patterns. FP tablets prepared by the traditional method showed a progress decrease in drug dissolution by increasing matrix concentration and hence, more matrix agent or multiple granulations was needed which makes granulation process to be difficult and cost. While, FP tablets prepared by the alternative technique displayed dissolution profiles with minimal differences in-between reflecting the low labor cost of granulation process where good sustained patterns could be obtained by a minor of the matrix agent. Histologically, the ulcerogenic effects of FP on the rats were highly reduced by FP tablets prepared by the alternative technique rather than others. The release kinetics of different prepared FP tablets displayed a coupled release pattern between diffusion and dissolution.
Conclusion: This work proved the potential of the alternative technique as an effective economic approach for formulating FP sustained released tablets with better characteristics and low labor cost.
Keywords: Flurbiprofen, Sustained release, Matrix tablets, Alternative technique and dissolution.
INTRODUCTION
Non-steroidal anti-inflammatory drug (NSAIDs) dosages forms are extensively used in treatment of many inflammatory disorders with good results have been obtained [1]. But, the use of conventional oral dosage forms in multiple daily doses for treatment of inflammatory disorders in the long-term therapy, resulted in various adverse effects [2]. Great efforts have been done for developing oral sustained release delivery systems of NSAIDs administrated for once or twice daily, in a attempt to reduce the various adverse effects associated with multiple daily doses [2-4]. NSAIDs oral sustained release delivery systems have been recorded a progress increase in term of clinical efficacy and patient compliance during the past years.
FP is a newer derivative NSAID, having short half-life of 2-4 hr, which required multiple daily doses to maintain the effective drug concentration [5]. The long oral use of FP conventional dosage forms pronounced the drug gastro-intestinal adverse effects highly [5]. Thus, FP was selected as a model drug for NSAIDs which is good candidate to be developed in sustained-release formulations [5].
Matrix oral tablets advantaged by their chemical inertness, drug imgded ability and controlled drug release character have been gained steady popularity for development of oral sustained release drug formulations [6].The traditional wet granulation was extensively used for development of sustained release matrix tablets[4].
The work aimed to development of sustained released matrix tablets of FP using an alternative technique to the traditional method of wet granulation process. The alternative technique was based on the addition of a water insoluble excipient along with a drug to form a unit mixture before wet granulation process[5].The use of the alternative technique facilated wet granulation process and lowered the labor and cost of this granulation process [5].
In this work, Eudragit RS100 (E-RS100) and ethyl cellulose (EC) were used as two granulated matrix agents, while microcrystalline cellulose (Avicel PH101) and dibasic calcium phosphate (Emcompress) were used as two water-insoluble excipients. Characteristics of FP tablets prepared by the alternative technique were investigated and compared by that of FP tablets prepared by traditional method of wet granulation. Further, the release data obtained were analyzed according to various kinetic equations. The ulcerogenic effects of some FP tablets formulae were evaluated histologically using adult albino rats.
MATERIALS AND METHODS
Materials
FP was gifted by Kahira Pharm. & Chem. Ind. Company, Cairo, Egypt. E-RS100 was obtained from Rohm Pharm, G. m. b. H., Germany Winlab, Harborough. U. K. EC was obtained from Laserson and Sabetay, Paris, France. Avicel PH 101 was obtained from FMC Corporation, USA. Emcompress was obtained from E. Mendell Co., Inc., Carmel, New York, USA. Magnesium stearate (Mg. st.) was purchased from Witco Chemical Co., Chicago, USA. Polyvinyl pyrrolidone (PVP) Sigama, USA. Methanol, ethanol, and chemicals of dissolution media, all obtained from El-Nasr Company, Abu-Zabal, Cairo, Egypt.
Preparation of FP Tablets by the alternative technique
Eight FP tablets formulae (F-1 to F-8) were prepared by the alternative technique according to the composition of tablets formulae listed in table (1). The determined amounts of FP and the water-insoluble excipient used were mixed in a large dish using geometric dilution method, until a homogeneous mixture was obtained. The obtained mixture was kneaded with organic solution of matrix agents (EC or E-RS100) of concentrations; 2 and 5% w/v. The wet mass obtained was sieved to granules which dried at 50-60°C. The dried granules were re-sieved to suitable particle size and mixed with the other components in the formula (dry binder, then lubricant) and compressed using single punch machine equipped with a flat faced 8 mm punches. The machine was adjusted to produce tablets weighing 415 mg approximately. All compressed tablets were stored in airtight container at room temperature for further study.
Preparation of FP Tablets by the traditional wet granulation
Eight FP tablets formulae (F-1* to F-8*) were prepared by the traditional wet granulation method using the same compositions of FP tablets formulae (F-1 to F-8) listed in table (1).
The calculated amount of FP was kneaded using organic solution of granulating agents (EC or E-RS100) of concentrations; 2 and 5% w/v., until enough cohesiveness mass was obtained. The cohesiveness mass was sieved to granules which dried at 50-60°C for 24 h. The dried granules were sieved to suitable size and mixed thoroughly with the appropriate amounts of water-insoluble excipient in the tablet formula until a mixture was obtained. The mixture was mixed with the other components in the tablet formula (dry binder, then lubricant) and compressed according to the same conditions mentioned before. All compressed tablets were stored in airtight container at room temperature for further study.
Table 1: The composition of FP tablets formulae prepared by the alternative technique and the traditional method of wet granulation
| F-no. | FPw/w % | Avicel PH 101w/w % | Emcompressw/w % | E-RS100w/v % | ECw/v % | PVP¹w/w % | Mg. st.²w/w % |
| F-1, F-1* | 35 | 61 | -- | 2 | -- | 2 | 1 |
| F-2, F-2* | 35 | 61 | -- | 5 | -- | 2 | 1 |
| F-3, F-3* | 35 | -- | 61 | 2 | -- | 2 | 1 |
| F-4, F-4* | 35 | -- | 61 | 5 | -- | 2 | 1 |
| F-5, F-5* | 35 | 61 | -- | -- | 2 | 2 | 1 |
| F-6, F-6* | 35 | 61 | -- | -- | 5 | 2 | 1 |
| F-7, F-7* | 35 | -- | 61 | -- | 2 | 2 | 1 |
| F-8, F-8* | 35 | -- | 61 | -- | 5 | 2 | 1 |
Note: 1- PVP was used as a dry binder. 2- Mg. st. was used as a lubricant.
Evaluation of FP prepared tablets
Physical characteristics
The prepared FP tablets were evaluated for the following physical characteristics [7, 8]:
Weight variation
Ten tablets of each of FP prepared tablets formulae were randomly selected. The weights of tablets were determined individually in milligram (mg) using an electronic balance (Mettler Toledo, Switzerland).
Drug content
Five tablets of each of FP prepared tablets formulae were randomly selected and weighed individually, then placed in a mortar and powdered with a pestle. The drug was extracted several times using 10 ml of a phosphate buffer solution (PH 7.1). The solution was filtered, suitably diluted and assayed for its FP contents spectrophotometrically at λMax 260 nm.
Thickness
Ten tablets of each of FP prepared tablets formulae were randomly selected. The thickness of a tablet was measured individually using a thickness gauge (Mitutoyo, New Delhi, India). The values of tablets thickness were listed in millimeter (mm).
Hardness
Five tablets of each of FP prepared tablets formulae were randomly selected. The hardness of a tablet was measured individually using a hardness tester (VK 200, Vankel, Varian Inc, and Palo Alto, CA). The values of tablets thickness were listed in kilogram (kg).
Friability %
Five tablets of each of FP prepared tablets formulae were randomly selected. The tablets were totally weighed (W1), then placed in a Rôche friabilator (Campbell electronics, Mumbai, India) and subjected to 100 revolutions within 4 min. The tablets were cleaned from surface powder and re weighed (W2). The friability was calculated as the percent weight loss according to the following equation:
Friability % = [(W1- W2)/ W1] x 100 equation (1)
The Mean and SD values of each of the above parameters were calculated.
Dissolution studies
The dissolution studies were carried out in U. S. P dissolution apparatus II (Shimadzu-UV 160A Spectrophotometer). A FP tablet was placed under sink conditions in 600 ml dissolution medium of a phosphate buffer of pH 7.1 for 12 h. The dissolution contents were kept at 37± 0.5°C, and stirred at 50 rpm. A 5-ml sample was withdrawn and replaced with another 5-ml of a suitable fresh dissolution medium at the preselected intervals. The concentration of the drug was determined spectrophotometrically at λMax 260 nm. Each test was performed in triplicate.
Ulcergenic effects [9]
Twelve adult albino rats weighing (200-250 g) were fasted over night but had free access to water. The rats divided into four groups, each one of three rats. The rats were administrated dose equal to 50 mg/kg of FP or its equivalent test products through oral lavage tube. FP or its equivalent test products were administrated as suspension of 1%gum acacia. A control group was administrated an equal volume of the suspension medium. The administrated doses were repeated daily for five days consequently. After eight hours of administration the last dosing, the rats were killed. Then, the stomachs of rats were excised, opened out along the lesser curvature and the contents were washed out with 0.9% w/v saline solution. Each stomach was stretched out and examined for ulceration points. Then, the stomachs were fixed in 10% w/v formalin solution and the tissues were processed by ordinary paraffin method. 5 µm thicken sections were stained by hematoxylin and eosin stain. The stained slides were examined histopathologically by the ordinary light microscope.
Release kinetics
Different kinetic models including zero-order, first-order, Higuchi’s equation [10] and Hixon-Crowell’s equation [11] were applied to interpret the release rate of the drug from matrix granular systems. The best fit was found with higher correlation (r2>0.98).
RESULTS AND DISCUSSION
Physical characteristics of FP tablets
The physical characteristics of FP tablets formulae that prepared by the alternative technique (F-1 to F-8) or by the traditional wet granulation (F-1* to F-8*) were listed in table (2) and (3) respectively. It is worthy to note that the pharmacopoeia standards and specifications have been established to provide limits for permissible variation in the weights and drug contents of randomly selected samples of the test formulations, expressed in terms of allowable deviation from the average mean. The obtained results demonstrated that all FP tablets either prepared the alternative technique or the traditional wet granulation are acceptable with respect to their weights and drug contents according to USA pharmacopoeia limits. But, the values of the average weights and the drug contents of FP tablets prepared by the alternative technique are more closely to the corresponding theoretical values than that of FP tablets prepared by wet granulation. The average weights and the drug contents of FP tablets prepared by the alternative technique ranged from 412 to 416 mg and 144 to 147 mg, respectively. While, the average weights and the drug contents of FP tablets prepared by the traditional wet granulation ranged from 401 to 410 mg and 140 to 143 mg, respectively. Moreover, it was found that the average percentage deviations recorded by FP tablets prepared by the alternative technique are more acceptable among different batches of the prepared tablets (not exceed ±1.5%). The thickness values of the different FP tablets either prepared by the alternative technique or the traditional wet granulation ranged between 3.3 and 3.5 mm ±0.2%. The Hardness values of the different FP tablets either prepared by the alternative technique or the traditional wet granulation were identical to each other and found within acceptable range of 5.3 to 9.1 kg ±0.2%. While, the percentage friability recorded by FP tablets prepared by the alternative technique was found within the allowable limits (below 1%), FP tablets prepared by the traditional wet granulation gave friability % values exceed the allowable limits.
The results of hardness/friability ratios listed in table (2) and (3) showed that the values of hardness/friability ratios of FP tablets formulae prepared by the alternative technique were higher than that of the corresponding FP tablets formulae prepared by the traditional wet granulation. However, the results of friability % and hardness/friability ratios listed in table (2) and (3) proved that FP tablets formulae prepared by the alternative technique have good mechanical properties rather than FP tablets formulae prepared by the traditional wet granulation.
Table 2: The physical characteristics of FP tablets formulae (F-1 to F-8)
| F-no | Tablet weight(mg) | Drug content(mg) | Thickness(mm) | Hardness(mm) | Friability(%) | Hardness/FriabilityRatio |
| F-1 | 413 ±1.02 | 147 ±1.51 | 3.4 ±0.22 | 5.9 ±0.15 | 0.87 | 6.78 |
| F-2 | 411 ±1.15 | 145 ±1.46 | 3.5 ±0.25 | 6.4 ±0.13 | 0.79 | 8.10 |
| F-3 | 414 ±0.94 | 146 ±1.43 | 3.3 ±0.27 | 8.4 ±0.11 | 0.82 | 9.13 |
| F-4 | 412 ±1.11 | 144 ±1.31 | 3.3 ±0.25 | 8.9 ±0.17 | 0.73 | 12.19 |
| F-5 | 415 ±1.05 | 146 ±1.24 | 3.5 ±0.21 | 6.1 ±0.15 | 0.85 | 6.42 |
| F-6 | 412 ±1.21 | 145 ±1.15 | 3.5 ±0.29 | 6.7 ±0.13 | 0.78 | 6.63 |
| F-7 | 413 ±0.79 | 148 ±1.32 | 3.3 ±0.19 | 9.1 ±0.10 | 0.80 | 10.22 |
| F-8 | 416 ±0.91 | 145 ±1.13 | 3.5 ±0.24 | 8.8 ±0.12 | 0.82 | 9.67 |
Table 3: The physical characteristics of FP tablets formulae (F-1* to F-8*)
| F-no | Tablet weight(mg) | Drug content(mg) | Thickness(mm) | Hardness(mm) | Friability(%) | Hardness/FriabilityRatio |
| F-1* | 405 ±3.55 | 142 ±2.95 | 3.5 ±0.24 | 5.3 ±0.21 | 1.15 | 4.4 |
| F-2* | 404 ±4.15 | 140 ±2.64 | 3.4 ±0.30 | 5.7 ±0.19 | 1.14 | 5.6 |
| F-3* | 403±3.89 | 141 ±2.77 | 3.4 ±0.25 | 7.8 ±0.18 | 1.17 | 8.5 |
| F-4* | 408 ±3.58 | 142 ±3.11 | 3.3 ±0.21 | 8.1 ±0.20 | 0.98 | 9.5 |
| F-5* | 401 ±4.10 | 139 ±2.87 | 3.5 ±0.18 | 5.8 ±0.18 | 1.18 | 5.9 |
| F-6* | 403 ±3.87 | 141 ±3.15 | 3.3 ±0.19 | 6.2 ±0.15 | 1.21 | 5.9 |
| F-7* | 409 ±3.81 | 144 ±2.23 | 3.4 ±0.27 | 8.5 ±0.14 | 1.01 | 9.3 |
| F-8* | 410 ±4.19 | 143 ±2.63 | 3.5 ±0.23 | 8.7 ±0.15 | 0.97 | 9.8 |
In summary, the results of the physical characteristics investigated proved that the physical characteristics of FP tablets formulae (F-1 to F-8) prepared by the alternative technique were better than that of FP tablets formulae (F-1* to F-8*) prepared by the traditional wet granulation.
Dissolution studies
The dissolution profiles of FP from its different prepared tablets formulae (F-1 to F-8) prepared by the alternative technique in phosphate buffer medium of PH 7.1 are displayed in Fig. (1). As shown in this figure, all FP tablets formulae have been sustained their drug release over prolonged period of time. The percent release of FP from its tablets formulae ranged from 60.1 to 52.2 % at the end of dissolution studies (12 h.). Also, it can be shown that the dissolution profiles of FP from its tablets formulae are closer to each others where very minimal differences found in between them. These results reflected that the concentration of the granulating matrix agents used have a slight effect on the dissolution of FP from its tablets formulae prepared by the alternative technique. This means that it can be obtained matrix tablets with good sustained released patterns by using a minor amount of matrix agent which may make the formulation process through using the alternative technique to be more economic, simple and low labor cost.
The dissolution profiles of FP from its tablets formulae (F-1* to F-8*) prepared by the traditional wet granulation in phosphate buffer medium of PH 7.1, are displayed in Fig. (2). The dissolution results proved that all FP tablets formulae displayed sustained-release patterns for their FP contents for long period of time reached 12 h. The percent release of FP from its tablets formulae ranged from 67.2 to 49.9% at the end of dissolution period.

Fig. 1: Dissolution profiles of FP from its tablets formulae prepared by the alternative technique in phosphate buffer of PH 7.2
The results also showed that a marked decrease in the dissolution profiles of FP from its tablets formulae was observed with increasing the concentration of the granulating matrix agents used. This means that fairly high concentrations of granulating matrix agents or multiple granulations steps were needed to obtain more sustained release action which may make the formulation process through using the traditional wet granulation to be more cost, difficult and highly labor cost.
Fig. 2: Dissolution profiles of FP from its tablets formulae prepared by traditional wet granulation method in phosphate buffer of PH 7.2
Ulcergenic activity
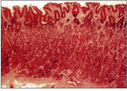
Histological examination of the surface mucosa of the stomach fundus of the rats of the control group displayed a normal mucosa lined with normal epithelial cells regularly, Fig. (3). As shown in this figure, the normal epithelial cells are tall columnar and contain an oval nuclei. The fundus glands are occupied all the thickness of the mucosa laminapropria and are arranged in perpendicular manner to surface epithelium. Mucous neck cell, cuboidal with flat nuclei, are observed very near to the epithelial cells.
The last layer of the mucosa is the muscularis mucosa. While, the histological examination of the gastric mucosa of the stomach fundus of the rats of the group 1 (administrated intact FP) showed marked destruction with complete disappearance of mucosal surface epithelium indicating to marked ulceration effects, Fig. (4). On the other side, fig. (5) displayed nearly a typical normal mucosa upon investigation of the stomach of the rats of the group 2 (administrated F-1). While, fig. (6) displayed a minor ulceration in the lining epithelial of the fundus mucosa cells of the rats of the group 3 (administrated F-1*). These results reflected that FP matrix formulations prepared by the alternative technique could be highly reduced the ulcerogenic effects rather than FP matrix formulations prepared by the traditional wet granulation.

Fig. 3: Gastric mucosa of a rat control group given suspension of 1% gum acacia

Fig. 4: Gastric mucosa of a rat of the group no. 1 given suspension of FP intact

Fig. 5: Gastric mucosa of a rat of the group no. 2 given suspension of FP tablet formula (F-1)

Fig. 6: Gastric mucosa of a rat of the group no. 3 given suspension of FP tablet formula (F-1*)
Release kinetics
The values of release rate constants and the corresponding correlation coefficients (r2) of the applied models (zero-order, first-order, Higuchi’s equation and Hixon-Crowell’s equation) for FP tablets formulae (F-1 to F-8) and (F-1* to F-8*) were listed in tables (4) and (5), respectively. The kinetic of the release data of FP from its tablets formulae either (F-1 to F-8) or (F-1* to F-8*) showed that the best fitting models with the highest correlation coefficients (r2) were given by zero-order and Hixon-Crowell’s model among the other investigated models.
Zero-order and Hixon-Crowell’s models displayed sufficiently linearity (r2 ranged from 0.9889 to 0.9996) with minimal differences between them. To further the exact release mechanism, the dissolution data were fitted to the well-known exponential Ritger and Peppas model [12], which is often used to describe the drug release behavior from polymeric systems. The values of release exponent (n) computed by this differential exponential model indicates the operating release mechanism. The values of n were listed between 0.5<n<0.89 (coupled diffusion and polymer matrix relaxation) and n>0.89 (super case II type of release). In summary, it can be suggested that the release mechanism of FP from its different prepared matrix tablets was a coupled release pattern mechanism between the diffusion and dissolution mechanisms from these matrices. Similar results were obtained by Juarez et al. [13].
Table 4: The values of kinetic release constant (k) and correlation coefficient (r2) of different kinetic models for fitting the release of FP tablets formulae (F-1 to F-8)
| F-no | Zero-order model |
First-order model |
Higuchi model |
Hixon-Crowell model |
Release exponent |
||||
| R2 | KZ | R2 | KF.10 | R2 | KH | R2 | KHC | (n) | |
| F-1 | 0.9991 | 7.55 | 0.9978 | 1.1 | 0.9897 | 23.9 | 0.9989 | 0.14 | 0.860 |
| F-2 | 0.9992 | 6.74 | 0.9974 | 1.01 | 0.9901 | 23.8 | 0.9990 | 0.14 | 0.907 |
| F-3 | 0.9993 | 6.53 | 0.9977 | 0.97 | 0.9911 | 23.08 | 0.9992 | 0.13 | 0.899 |
| F-4 | 0.9956 | 13.90 | 0.9831 | 2.66 | 0.9883 | 41.7 | 0.9889 | 0.33 | 0.725 |
| F-5 | 0.9996 | 7.56 | 0.9983 | 1.10 | 0.9900 | 23.9 | 0.9993 | 0.14 | 0.847 |
| F-6 | 0.9991 | 6.73 | 0.9973 | 1.03 | 0.9901 | 23.6 | 0.9991 | 0.14 | 0.906 |
| F-7 | 0.9993 | 6.51 | 0.9980 | 0.97 | 0.9912 | 23.10 | 0.9992 | 0.14 | 0.898 |
| F-8 | 0.9957 | 13.89 | 0.9832 | 2.66 | 0.9884 | 41.7 | 0.9890 | 0.33 | 0.730 |
Table 5: The values of kinetic release constant (k) and correlation coefficient (r2) of different kinetic models for fitting the release of FP tablets formulae (F-1* to F-8*)
| Zero-order model |
First-order model |
Higuchi model |
Hixon-Crowell model |
Release exponent |
|||||
| R2 | KZ | R2 | KF.10 | R2 | KH | R2 | KHC | (n) | |
| F-1* | 0.9988 | 0.15 | 0.9903 | 0.12 | 0.9983 | 5.67 | 0.9988 | 0.13 | 0.830 |
| F-2* | 0.9992 | 0.15 | 0.9903 | 0.13 | 0.9960 | 5.57 | 0.9991 | 0.14 | 0.887 |
| F-3* | 0.9991 | 0.14 | 0.9929 | 0.10 | 0.9970 | 5.49 | 0.9993 | 0.13 | 0.890 |
| F-4* | 0.9946 | 0.14 | 0.9853 | 0.11 | 0.9883 | 5.27 | 0.9890 | 0.23 | 0.801 |
| F-5* | 0.9986 | 0.15 | 0.9908 | 0.12 | 0.9951 | 5.83 | 0.9991 | 0.14 | 0.841 |
| F-6* | 0.9936 | 0.14 | 0.9897 | 0.10 | 0.9923 | 5.33 | 0.9990 | 0.13 | 0.899 |
| F-7* | 0.9987 | 0.14 | 0.99530. | 0.11 | 0.9970 | 5.51 | 0.9993 | 0.14 | 0.890 |
| F-8* | 0.9971 | 0.13 | 9853 | 0.08 | 0.9868 | 4.93 | 0.9895 | 0.22 | 0.787 |
CONCLUSION
The present work proved that the alternative technique is superior to the traditional wet granulation method in developing good sustained release matrix tablets of FP. Where, the alternative technique reduced the labor cost of the traditional wet granulation process. Moreover, the physical and the dissolution characteristics of FP tablets formulae prepared by the alternative technique were better than that of FP tablets formulae prepared by the traditional wet granulation. Further, FP tablets prepared by the alternative technique reduced highly the ulcerogenic effects rather than FP tablets prepared by traditional wet granulation. The kinetics of FP release data demonstrated coupled release patterns between the diffusion and the dissolution mechanisms for different prepared tablets.
ACKNOWLEDGEMENT
I'm grateful to Kahira Pharm. & Chem. Ind. Company, Cairo, Egypt, for supplying FP. I thank to Pharmacology and Histology Departments, Faculty of Medicine, Assuit University, Assuit, Egypt, for the assistance in the ulcerogenic study. I thank to Prof. Esam Ramadan, Physics Department, Faculty of Science, Al-Azhar University Assuit Branch, Assuit, Egypt, for the assistance in the kinetics work.
REFERENCES