
1DVS College of Arts and Science, Department of Chemistry, Kuvempu University, Shivamogga-577202, Karnataka, India, 2Sahyadri Arts and Commerce College, Kuvempu University, Shivamogga-577202, Karnataka, India, 3Department of Postgraduate studies and Research in Pharmaceutical chemistry, Kuvempu University P. G. Center, Kadur-577550, Karnataka, India, 4Department of Pharmacognosy, Postgraduate studies and Research center, SETS College of Pharmacy, Dharwad-580002, Karnataka, India, 5Department of Zoology, Sahyadri Science College (Autonomous), Kuvempu University, Shivamogga-577202, Karnataka, India.
Email: dvs.mahesh@gmail.com
Received: 02 December 2014, Revised and Accepted: 17 December 2014
ABSTRACT
The purpose of the study was to isolate the coumarin glycoside constituent from the ethyl acetate fraction of tubers of Habenaria intermedia D. Don by column chromatography using the gradient elution technique. The isolated coumarin glycoside was characterized by spectral studies and screened for hepatoprotecitve potential on CCl4 induced toxicity in rat liver. The coumarin glycoside (Scopoletin) protective activity was evaluated by the assay of liver function biochemical parameters such as SGOT, SGPT, Bilirubin, total protein and histopathological studies of the liver. Results showed that the toxic effect of CCl4 was controlled significantly by restoration of the levels of serum bilirubin, proteins and enzymes as compared to the normal and standard drug Silymarin treated groups. Histology of the liver sections of the rats treated with isolated coumarin glycoside showed the presence of normal hepatic cords, absence of necrosis and fatty infiltration, which further substantiated hepatoprotecitve activity. Therefore, outcome of the present study ascertains that the isolated coumarin glycoside possesses significant hepatoprotecitve activity.
Keywords: Habenaria intermedia, Scopoletin, Hepatoprotecitve, CCl4, Silymarin.
INTRODUCTION
Liver diseases have become one of the major causes of morbidity and mortality in man and animals all over the globe and hepatotoxicity due to drugs appears to be most common contributing factor [1]. Hepatitis can be caused by drugs, viruses, bacteria, mushrooms and parasites. About 20.000 deaths found every year due to liver disorders. The use of natural remedies for the treatment of liver diseases has a long history. Medicinal plants and their derivatives receive attention as they are still used for this purpose. The curative properties of medicinal plants are mainly due to the presence of various complex chemical substances of different composition which occur as secondary metabolites [2, 3]. Medicinal plants like Andrographis paniculata, Boerhaavia diffusa [4], Hibiscus roasinesis [5], Phyllanthus amarus [6] are well known for their hepatoprotecitve effects. Liver protective plants contain a variety of chemical constituents like phenols, Coumarins, glycoside, flavanoids, organic acids, lipids, xanthenes [7]. Recent experiences have shown that plant drugs are relatively non toxic, safe and even free from serious side effects [8]. Therefore use of plant derived compounds, which are accessible and do not require laborious pharmaceutical synthesis, seems highly attractive. Coumarins and their derivatives has been the subject of extensive investigations as they exhibit a variety of biological and pharmacological activities and have raised considerable interest due to their potential beneficial effect on human health. In our earlier study, the phytochemical investigations of ethyl acetate extract of tubers of Habenaria intermedia D. Don revealed the presence of coumarin glycoside in the preliminary investigation and TCL studies and exhibited hepatoprotecitve activity [9]. Therefore the present investigation was designed for isolation and characterization of coumarin from ethyl acetate fraction of Habenaria intermedia and evaluation of hepatoprotecitve activity.
MATERIALS AND METHODS
Preparation of crude extract
About 4 kg of tubers of Habenaria intermedia were extracted with 90% ethanol. The obtained crude residue was dried and further fractionated with ethyl acetate. The resultant residue was evaporated, dried and total yield was 10.6 grams. The residue from ethyl acetate fraction was used for the separation of coumarin glycoside by column chromatography.
Isolation of coumarin glycoside by column chromatography
About 5 grams of ethyl acetate fraction were chromatographed over silicagel and elution was carried out from nonpolar to polar solvents by gradient elution method [10].
1. Adsorbent: Silica gel (60-120 mesh size)
2. Activation: 110°C for 1 hr.
3. Length of the column: 45 cm
4. Diameter: Outer- 4.2 cm, Inner - 3.8 cm
5. Length of the adsorbent: 30 cm
6. Rate of elution: 12-18 drops/min.
7. Volume of elute collected: 10 ml each.
8. Type of elution: Gradient elution.
Preparation of sample for column
5 grams of ethyl acetate fraction were dissolved in 20 ml of methanol and mixed with 2 grams of silicagel (60-120 mesh size) and dried in vacuum oven at 45oC. The material was then transferred to the column.
Gradient elution
Gradient elution was carried out by using chloroform, chloroform: methanol mixture in different proportions. The elution rate was adjusted to 12-18 drops/minute. Different fractions like 1-10, 11-20, 21-30, 31-40, 41-50, 51-60, 61-70, 71-80, 81-100, 101-130, 131-150 were eluted. TLC studies were carried out using Toluene: Either (1:1) saturated with 10% acetic acid as mobile phase with 10% ethanolic KOH as spraying agent for all the fractions. The fractions 1-60 did not exhibit any spots. But in between 61-70 fraction exhibited single spot with Rf value (0.30) which showed blue fluorescence under U. V. light at 366 nm. Fractions with similar spots were pooled together and concentrated at reduced pressure and temperature. The concentrated component after evaporation revealed light yellow power as represented in table 1.
Table 1: Elution of coumarin from Habenaria intermedia D. Don
| Fraction no | Composition & proportion of the solvent system | Color of the elute | TLC StudiesSolvent system | No of spots & Rf values | yield |
| 1-10 | Chloroform (100%) | No color | Toluene: Ether (1:1) saturated with 10% acetic acid | No spot | _ |
| 11-15 | Chloroform: Methanol(99-1%) | No color | Toluene: Ether (1:1) saturated with 10% acetic acid | No spot | _ |
| 15-20 | Chloroform; Methanol(98-2%) | No color | Toluene: Ether (1:1) saturated with 10% acetic acid | No spot | _ |
| 21-40 | Chloroform; Methanol(95-5%) | No color | Toluene: Ether (1:1) saturated with 10% acetic acid | No spot | _ |
| 41-60 | Chloroform; Methanol(90-10%) | Pale yellow | Toluene: Ether (1:1) saturated with 10% acetic acid | No spot | _ |
| 61-70 | Chloroform; Methanol(90-10%) | Darkyellow | Toluene: Ether (1:1) saturated with 10% acetic acid | Single spot(0.30) Blue fluorescence under UV | 85 mg |
| 71-80 | Chloroform; Methanol (85-15%) | No color | Toluene: Ether (1:1) saturated with 10% acetic acid | No spot | _ |
| 81-100 | Chloroform; Methanol(80-20%) | Light yellow | Toluene: Ether (1:1) saturated with 10% acetic acid | No spot | -- |
Phytochemical test for isolated coumarin
1. 5 mg of isolated compound taken in a test tube, covered the mouth of the test tube with filter paper treated with 1N- NaOH. Placed the test tube in boiling water bath for some time. Removed the filter paper and examined under U. V. light for yellow fluorescence.
2. Test with alcoholic NaOH-gives yellow coloration.
Characterization of isolated coumarin compound
Structure of isolated compound MG-1 was established based on IR, 1HNMR and mass spectral studies.
Spectral data of MG-1
Light yellow powder (fluorescent under UV), 85 mg. Rf 0.30, mp. 2030C (literature data 203-2050C) IR spectrum of MG-1 showed characteristic absorption band at 3338 cm-1 due to hydroxyl group. Another band at 1703 cm-1 attributed to stretching frequency of carbonyl group. The CH=CH stretching peak appeared at 2944 cm-1.
Proton NMR spectrum showed a doublet at δ 7.58–7.61(1-H) which integrated for one proton and was assigned to C3 proton. One more doublet at δ 6.25 - 6.28 (1-H) which corresponds to one proton was attributed to C4 proton. Two singlets which appeared at δ 6.92 and δ 6.84 were assigned to C8 and C5 protons. Hydroxyl proton at C7 resonated as singlet at 6.18. A singlet at δ 3.95 which integrated for three protons was due to –OCH3 group (Fig.1).
The Mass spectrum of MG-1 showed a molecular ion peak at m/z 193, which was due to its molecular formula (C10 H8 O4) and molecular weight (Fig.2).
Hence, by comparing the spectral data obtained and earlier reported data the structure assigned to new compound (MG-1) found in Habenaria intermedia was in good agreement with a coumarin called Scopoletin.

Though Scopoletin is reported to be present in various medicinal plants, this is the first report of its presence in the tubers of Habenaria intermedia.

Fig. 1: 1HNMR Spectrum of MG1
Experimental protocol
Rats were divided in to four groups comprising of six animals in each group. Group I served as normal control and received normal saline (5 ml/k. g/p. o.) for seven days. Group II was administered with CCl4 in liquid paraffin (0.7 ml/k. g./p. o,1:1,v/v, i. p, on alternate days) [11, 12]. Group III was administered with Silymarin (100 mg/k. g. /p. o.) simultaneous with toxicant [13]. Group IV was treated with Scopoletin (25 mg. k. g. /p. o.). Suspension of Scopoletin was prepared by Tween-80 and distilled water (2:8).
Assessment of Hepatoprotecitve activity
On the seventh day after administration of last dose of Scopoletin, the rats were anesthetized by light ether anesthesia and blood was collected from the retro-orbital plexus. It was allowed to coagulate for 30 minutes and serum was separated by cold centrifugation at 2500 rpm for 15 minutes. The centrifugate was used to estimate the SGPT, SGOT [14], Serum bilirubin [15] and total protein content [16]. Finally the rat liver were isolated and subjected to histopathological observations.

Fig. 2: Mass Spectrum of MG1
RESULTS
Statistical analysis
The data were expressed as mean SEM (n=6). The data were analyzed using one way ANOVA followed by multiple comparison tests. p<0.01 were considered statistically significant [17]. Rats treated with CCl4 (0.7 ml/kg body weight) suffered from hepatotoxicity. The serum levels of SGPT, SGOT and bilirubin level were significantly elevated and protein level was significantly decreased as shown in Table-2 & Figs.3-6. Pretreatment with Scopoletin (25 mg/kg. p. o) for 7 days significantly decreased enzyme levels and bilirubin levels. Meanwhile it showed the increase in protein content in the blood, when compared to control and CCl4 treated group (p<0.01) and (P<0.001). Results were also comparable with standard drug Silymarin (100 mg/kg p. o).
Histopathological observations
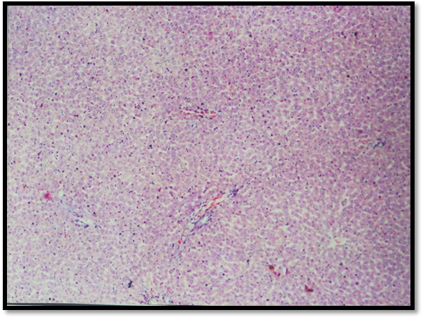
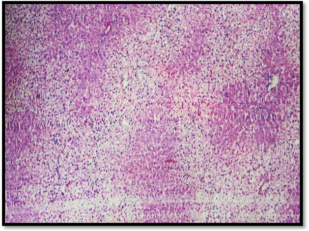
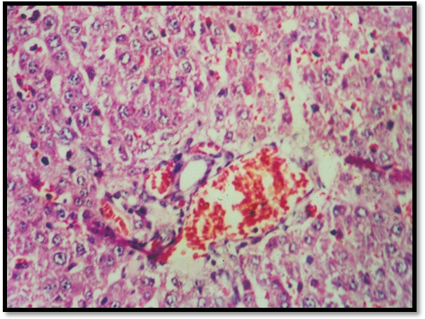
Histopathology of normal rat liver revealed prominent central view, normal arrangement of hepatic cells (Fig. 7). Microscopic examination of CCl4 treated liver section shows necrosis and fatty degeneration (Fig. 8). Liver section treated from Silymarin protected the structural integrity of hepatocyte cell membrane and recovery of hepatocyte cells (Fig. 9). Scopoletin treated group showed maximum recovery of hepatocytes, no fatty degeneration and necrosis and exhibited significant protection against CCl4 induced liver toxicity in rats (Fig. 10).
DISCUSSION
Carbon tetrachloride may cause liver damage due to accumulation of fat (fatty liver), inflammation and centrilobular necrosis [18]. The liver damage is caused due to the variety of reasons like drugs, toxic chemicals alcohol and viruses. To induce hepatotoxicity a convenient agent should be chosen amongst various toxicants, especially known to cause hepatic damage. The chemical agent of recurring incidences to cause hepatotoxicity is CCl4 [19].
Table 2: Effect of isolated compounds of Hebeneria intermedia on CCl4 induced hepatotoxicity.
| Groups | SGPT (μ/ml) | SGOT (μ/ml) | Serum bilirubin(mg/ml) | Total Protein(mg/ml) |
| Normal | 125.65 ± 1.25 | 30.68± 4.48 | 1.06 ± 0.18 | 3.475 ± 0.28 |
| CCl4(0.7 ml/kg) | 252.3 ± 3.12 * | 59.62± 3.64 * | 3.25 ± 0.13 * | 2.580 ± 0.21 * |
| Silymarin+CCl4(100 mg/kg,p. o) | 145.52± 2.08 a | 35.56± 0.89 a | 1.16 ± 0.08 b | 3.115 ± 0.23 a |
| Scopeletin+CCl4(25 mg/kg) | 151.16± 1.56 a | 40.28± 1.60 a | 2.08 ± 0.11 a | 3.118 ± 0.3 a |
p<0.01 against normal control, ap<0.01 against normal control, bp < 0.001 against hepatotoxic control.
Effect of Scopeletin on biochemical parameters in CCl4 induced hepatotoxicity

Fig. 3: Effect on SGPT (µ/ml)

Fig. 4: Effect on SGOT (µ/ml)

Fig. 5: Effect on serum bilirubin (mg/ml)

Fig. 6: Effect on total protein (mg/ml)
Photomicrographs of liver tissues of different groups of Albino rats

Fig. 7: Normal group

Fig. 8: CCl4 treated group

Fig. 9: Silymarin treated group

Fig. 10: Scopeletin treated group
In the present study CCl4 treated group exhibited significant rise in the enzyme levels of SGOT and SGPT and in bilirubin level and decrease in protein level. The liver damage may be due to necrosis or fatty accumulation in the liver. The enzymes are sensitive to hepatic dysfunction, after liver damage protein levels are decreased due to deficiency [20.21]. However, Scopoletin treated group showed significant protection against CCl4 induced liver toxicity by decreasing the elevated enzyme levels and in bilirubin level and increase in the protein content to normal value in the blood.
CONCLUSION
The overall results indicate that isolated compounds Scopoletin from Habenaria intermedia plays a significant role in restoring the disturbed liver function in CCl4 induced hepatitis. Results were further supported by histopathology of rat liver. The present liver-protective effect of coumarin-Scopoletin could be through preventing the accumulation of excessive free radicals and glutathione-mediated detoxification.
ACKNOWLEDGEMENT
Authors are thankful to the President and Principal, National College of Pharmacy, Shivamogga for providing necessary facilities to carry out the experimental work.
Ethical clearance
The research work was approved by Institutional Animal Ethical Committee (NCP/IAEC/CLEAR/25/02/2009-10, dated 09/03/2010)
REFERENCES