
R D Gardi Medical College Ujjain (M. P.) India
*Corresponding author: Swapnil Jain; *Email: drswapniljain89@gmail.com
Received: 20 Apr 2023, Revised and Accepted: 11 Jun 2023
ABSTRACT
Objective: To study the disease severity and the clinical-radiological finding in COVID-19 patients.
Methods: The study was carried out in the Department of Respiratory Medicine of R. D. Gardi Medical College, a tertiary care centre as well a Dedicated Covid Centre in the Ujjain district of MP.
Results: A total of 107 patients with COVID-19 disease were assessed; the patients had a median age of 52 y and a mean age of 50.79±16.81 y. The most common clinical presentation were fever which was seen in 80(74.8%) cases, breathlessness (SOB) in 84(78.5%), cough in 71(66.4%), weakness in 29(27.1%), loss of smell in 34(31.8%) and loss of taste in 32(29.9%). The most common co-morbidity present in the study group was diabetes mellitus, which was present in 51(47.7%) cases. The chest radiograph of the patients revealed consolidation in 51(47.7%), GGOs in 29(27.1%), GGO with consolidation in 3(2.8%), reticular pattern in one case and 23(21.5%) cases had the normal pattern. Severity of disease was significantly associated with age of the patient. The typical findings of chest CT in the case of COVID-19 pneumonia include “bilateral, peripheral, and basal predominant ground-glass opacities with or without consolidation and broncho-vascular thickening, In addition, atypical findings are “cavitations, central upper lobe predominance, nodules, masses, tree-in bud sign, and lymphadenopathy A significant statistical correlation was found between CT severity score.
Conclusion: The radiology played a very important part in the diagnosis and management of covid patients during the pandemic. The typical presentation of chest radiographs and HRCT thorax helped in diagnosing cases even when the RTPCR, RAT were negative or not available and chest CT severity score of patients positively correlated with clinical severity, inflammatory laboratory markers, especially the CRP, LDH, D-dimer and S. Ferritin and hence was very useful as an predictor of disease severity.
Keywords: COVID-19, CT severity score, Pandemic, Clinical
© 2023 The Authors. Published by Innovare Academic Sciences Pvt Ltd. This is an open access article under the CC BY license (https://creativecommons.org/licenses/by/4.0/)
DOI: https://dx.doi.org/10.22159/ijcpr.2023v15i4.3033. Journal homepage: https://innovareacademics.in/journals/index.php/ijcpr
Corona virus disease 2019 (COVID-19) cases were first reported from Wuhan, Hubei province of China, towards the end of 2019 and spread rapidly across the globe with a sustained human-to-human transmission [1]. The infection is transmitted through respiratory droplets (aerosols size of<5 μm) over a short distance (of even 1.5–2 m) when patients cough, speak or sneezes and also through contaminated hands. Prolonged contact represents the highest risk, than the casual contacts. However there can be a SARS-CoV-2 infection even from an asymptomatic patient or from the people during their incubation period [2-4]. The causative organism is a novel enveloped single-stranded RNA beta-corona virus known as severe acute respiratory syndrome coronavirus (SARS-CoV-2). COVID-19 infection can present as a mild, moderate, or severe illness including severe pneumonia, acute respiratory distress syndrome (ARDS), sepsis and septic shock or the patient can be entirely asymptomatic. The incubation period ranges from about 5 d (4-7 d) to a maximum of 12-13 d. Our medical college hospital became a dedicated covid hospital (DCH) during the pandemic. This was a study the disease severity with the clinical-radiological evaluation of the patient.
Study design
A prospective observational study was carried out in the Department of Respiratory Medicine at R. D. Gardi Medical College, a tertiary care centre in Ujjain after approval of the ethics committee. The presumptive and confirmed covid cases were evaluated for clinical-radiological association with respect to disease severity. The cases were from OPD and IPD of the Covid care facility in R. D. Gardi Medical College and a total of 107 patients were included in this study.
Inclusion criteria
Patient ready to give consent to be part of study.
All OPD/IPD patients presenting RT-PCR/RAT positive.
Patients admitted as Covid suspects.
Exclusion criteria
Patient with interstitial lung disease.
Patient with other illness that may cause lung fibrosis such as tuberculosis, bronchiectasis, resolving pneumonia etc.
In our study of 107 patients, it was found that all age groups are affected by the COVID-19 pandemic; however, it tends to afflict seniors more than younger individuals. The patients in our research had a median age of 52 y and a mean age of 50.79±16.81 y. Out of 107 cases 78 (72.9%) were men, and 29 (27.1%) were women. As per the symptoms the fever was seen in 80(74.8%) cases, breathlessness (SOB) in 84(78.5%), cough in 71(66.4%), weakness in 29(27.1%), loss of smell in 34(31.8%) and loss of taste in 32(29.9%). So in our study out of 107 cases, typical features were seen in 84(78.5%) cases however, 23(21.5%) had no symptoms but were positive contacts and had got themselves evaluated. On auscultation of chest most of the patients had crepitations present.
In the present study, out of 107 cases, 51(47.7%) cases had diabetes mellitus (DM) disease, 29(27.1%) cases had hypertension (HTN), 14(13.1%) had chronic obstructive disease (COPD), 5(4.7%) had coronary artery disease (CAD), 2(1.9%) had hypothyroidism and one case was case of lung cancer.
In my study, the chest radiograph of the patients revealed consolidation in 51(47.7%), GGO in 29(27.1%), GGO with consolidation in 3(2.8%), reticular pattern in one case and 23(21.5%) cases had the normal pattern. Among abnormal CXR cases 59(70.2%) cases had bilateral and 25(29.8%) had unilateral involvement. Out of 85 cases with lung involvement, 36(42%) had diffuse lung involvement and 49(58%) had peripheral lung involvement.
In the present study out of 107 cases, 59(55.1%) cases had mild (1-2) chest x-ray score, 20(18.7%) had moderate (3-4) score, 4(3.7%) had severe (5-6) score and one case had very severe (7-8) score (RALES scores).
Present study out of 107 cases 106 cases had abnormal HRCT findings out of which 99(92.5%) had bilateral abnormality and 7(6.5%) had unilateral abnormality.
In our study on the basis of chest CT scan Severity Score (CT-SS) out of 107 cases, 32(29.9%) cases had severe disease, 53(49.5%) cases had moderate disease, 15(14.0%) had mild disease and 7(6.5%) had normal HRCT findings.
In our study, out of 107 cases, 91(85.0%) cases had raised NLR, 86(80.4%) had raised CRP level, 74(69.2%) had raised D-dimer level, 72(67.3%) cases had raised LDH level and 59(55.1%) had raised S. Ferritin level.

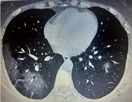
Fig. 1: Bilateral heterogenous opacities in the mid and lower zones

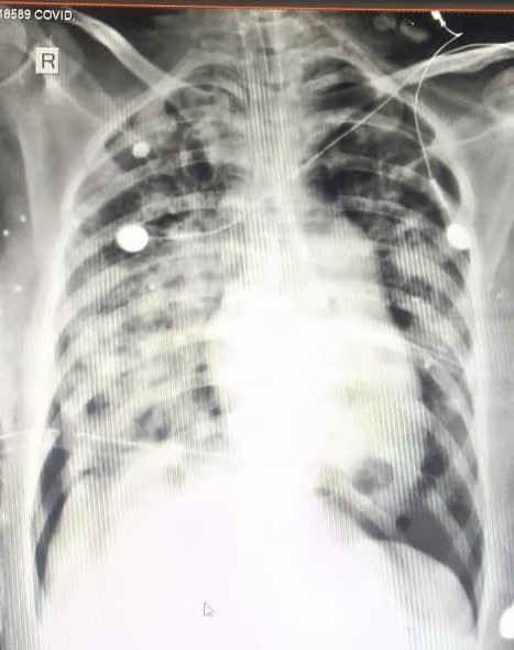
Fig. 2: B/l pneumothorax with ICD in covid 19 patient
In our study there, was significant mean difference was observed in CRP level between mild, moderate and severe cases with p<0.05. Mean CRP level was significantly increased in mild, moderate to severe cases with mean CRP 47.6±69.73, 101.26±107.34 and 134.03±106.49, respectively. There was significant mean difference was observed in D-dimer level between mild, moderate and severe cases with p<0.05. Mean D-dimer level was significantly increased in mild, moderate to severe cases with mean D-dimer 1.02±1.48, 1.79±2.26 and 3.20±3.20, respectively.
Present study there was the significant mean difference was observed in LDH level between mild, moderate and severe cases with p<0.05. Mean LDH level was significantly increased in mild, moderate to severe cases with mean LDH 484.80±792.2, 513.38±341.48 and 872.38±829.75, respectively.

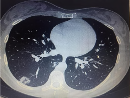
Fig. 3: Ground glass opacity (GGO) with septal thickening

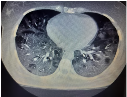
Fig. 4: Consolidation

Fig. 5: Patchy GGO with crazy paving

Fig. 6: Reverse halo sign or atoll sign

Fig. 7: Pneumothorax in covid 19 patient
All age groups are affected by the COVID-19 pandemic; however, it tends to afflict seniors more than younger individuals. The patients in our study had a median age of 52 y and a mean age of 50.79±16.81 y. Out of 107 patients, it was predominantly there were males 78 (72.9%) and 29 (27.1%) was females. This was also seen in other studies like [5], which revealed that the mean age of the patients was 50.40 y. male patients (59%) were predominant compared to the female patients (41%).
In our study, out of 107 cases, fever was seen in 80(74.8%) cases, breathlessness (SOB) in 84(78.5%), cough in 71(66.4%), weakness in 29(27.1%), loss of smell in 34(31.8%) and loss of taste in 32(29.9%). Similar results were seen in other studies also [6] that, out of 134 cases sixty-four (44.4%) patients were asymptomatic and remained so during the hospital stay. In other studies, too the most common symptoms were cough (n=50; 34.7%), fever (n=25; 17.4%), nasal symptoms (n=31; 21.5%) and throat irritation (n=31; 21.5%).
In our present study, out of 107 cases, 51(47.7%) cases had diabetes mellitus (DM) disease, 29(27.1%) cases had hypertension (HTN), 14(13.1%) had chronic obstructive disease (COPD), 5(4.7%) had coronary artery disease (CAD), 2(1.9%) had hypothyroidism and one case malignant. Similar results were seen in other studies also [7]. Revealed that out 351 cases, hypertension, diabetes mellitus and obesity were present in 25.07%, 24.50%, and 12.25%, respectively.
In my study, according to CXR of the patients, consolidation was seen in 51(47.7%), GGO in 29(27.1%), GGO with consolidation in 3(2.8%), reticular pattern in one case and 23(21.5%) cases had the normal pattern. Among abnormal CXR cases 59(70.2%) cases had bilateral and 25(29.8%) had unilateral location [8]. That the most common chest x-ray finding in their patients was GGO in a peripheral distribution with bilateral lung involvement, there was a lower lobe predilection of the opacities, with the right lower lobe more common than the left lower lobe (70% vs. 50%).
Present study out of 107 cases 106 cases had abnormal HRCT findings out of which 99(92.5%) had bilateral abnormality and 7(6.5%) had unilateral abnormality and 7 had normal HRCT finding. Similar finding observed in [9] showed out of total of 175 chest CT scans were scored in this study. A total of 140 (80%) chest CT scans demonstrated bilateral infiltrates, and 31 (18%) chest CT scans showed unilateral infiltrates, whereas 4 (2%) chest CT scans had no abnormal findings. In our study, according to HRCT findings, GGO was seen in 70(65.4%) cases, consolidation in 34(31.8%), atelectatic band in 1(0.9%), crazy paving in 5(4.7%) cases, reticulation in 11(10.3%) cases, Peripheral hyperdensity in 9(8.4%), mediastinal LN and lymphadenopathy 2(1.9%) cases respectively, 1(0.9%) case with COPD, ground glass haziness, emphysematous changes, mild Fibrosis and septal thickening respectively. Similar findings observed in Sudhir Bhandari et al.119. (2020) showed that in an early phase of disease (10 d), among radiologically positive patients (8 out of 15) 12.50% patients had GGO, 75.00% patients had both GGO and consolidation, while remaining 12.50% patients had only consolidation in imaging of HRCT chest.
In our study on the basis of chest CT scan Severity Score (CT-SS) out of 107 cases, 32(29.9%) cases had severe disease, 53(49.5%) cases had moderate disease, 15(14.0%) had mild disease and 7(6.5%) had normal HRCT findings. Similar results were seen in other studies also, Swati Sharma et al. [10]. Revealed that, CT severity was graded as mild (grade 1) (15). 58% of the sample population had grade 3 severity followed by moderate severity in 27.3% of patients, and grade 1 severity was present in only 14.7% of patients.

Fig. 8: Specific HRCT finding

Fig. 9: Comparison of mean CRP (mg/dl) level between HRCT
Table 1: Comparison of mean CRP (mg/dl) level between HRCT
| Chest x-ray score | HRCT | Total | |||
| Nill | Mild (0-7) | Moderate (8-17) | Severe (18-24) | ||
| Nill | 7 | 11 | 5 | 0 | 23 |
| 30.4% | 47.8% | 21.7% | 0.0% | 100.0% | |
| Mild (1-2) | 0 | 4 | 47 | 8 | 59 |
| 0.0% | 6.8% | 79.7% | 13.6% | 100.0% | |
| Moderate (3-4) | 0 | 0 | 1 | 19 | 20 |
| 0.0% | 0.0% | 5.0% | 95.0% | 100.0% | |
| Severe (5-6) | 0 | 0 | 0 | 4 | 4 |
| 0.0% | 0.0% | 0.0% | 100.0% | 100.0% | |
| Very severe (7-8) | 0 | 0 | 0 | 1 | 1 |
| 0.0% | 0.0% | 0.0% | 100.0% | 100.0% | |
| Total | 7 | 15 | 53 | 32 | 107 |
| 6.5% | 14.0% | 49.5% | 29.9% | 100.0% | |
| Chi-square= 123.611, p= 0.000 |
The radiology played a very important part in the diagnosis and management of covid patients during the pandemic. The typical presentation of chest radiographs and HRCT thorax helped in diagnosing cases even when the RTPCR, RAT were negative or not available. In conclusion, the chest CT severity score of patients with COVID-19 positively correlated with disease severity, inflammatory laboratory markers, especially the CRP, LDH, D-dimer and S. Ferritin and hence was very useful as an predictor of disease severity.
Nil
All the authors have contributed equally.
Declared none
WHO. Novel corona virus–thailand (Ex-China). Geneva: World Health Organization; 2020. Available from: https://www.who.int/csr/don/14-january2020-novel-coronavirus-thailand/en/. [Last accessed on 23 Jan 2020]
Transmission of SARS-CoV-2: Implications for Infection Prevention Precautions. World Health Organization; 2020. Available from: https://www.who.int/news- room/commentaries/detail/transmission-of-sars-cov-2-implications-for-infection-prevention-precautions. [Last accessed on 27 Jun 2023]
World Health Organization website. Novel coronavirus: China. www.who.int/csr/don/12-january2020-novel-coronavirus-china/en/. [Last accessed 19 Jan 2020]
Stokes EK, Zambrano LD, Anderson KN, Marder EP, Raz KM, El Burai Felix S. Coronavirus disease 2019 case surveillance–United States. MMWR Morb Mortal Wkly Rep. 2020 Jun 19;69(24):759-65. doi: 10.15585/mmwr.mm6924e2, PMID 32555134.
Bhandari S, Rankawat G, Bagarhatta M, Singh A, Singh A, Gupta V. Clinico-radiological evaluation and correlation of CT chest images with progress of disease in covid-19 patients. J Assoc Physicians India. 2020;68(7):34-42. PMID 32602679.
Mohan A, Tiwari P, Bhatnagar S, Patel A, Maurya A, Dar L. Clinico-demographic profile and hospital outcomes of covid-19 patients admitted at a tertiary care centre in north India. Indian J Med Res. 2020 Jul;152(1 & 2):61-9. doi: 10.4103/ijmr.IJMR_1788_20, PMID 32773414.
Agarwal N, Jain P, Khan TN, Raja A. A retrospective study of association of CT severity with clinical profile and outcomes of patients with Covid-19 in the second wave. J Clin Imaging Sci. 2022;12:17. doi: 10.25259/JCIS_11_2022, PMID 35510242.
Rousan LA, Elobeid E, Karrar M, Khader Y. Chest x-ray findings and temporal lung changes in patients with Covid-19 pneumonia. BMC Pulm Med. 2020;20(1):245. doi: 10.1186/s12890-020-01286-5, PMID 32933519.
Li L, Yang L, Gui S, Pan F, Ye T, Liang B. Association of clinical and radiographic findings with the outcomes of 93 patients with Covid-19 in Wuhan, China. Theranostics. 2020;10(14):6113-21. doi: 10.7150/thno.46569, PMID 32483442.
Sharma S, Aggarwal A, Sharma RK, Patras E, Singhal A. Correlation of chest CT severity score with clinical parameters in covid-19 pulmonary disease in a tertiary care hospital in Delhi during the pandemic period. Egypt J Rad Nucl Med. 2022 Dec;53(1):1-8.