
1Department of Obstetrics and Gynecology, GITAM Institute of Medical Sciences and Research, GITAM Deemed to be University, Rushikonda, Visakhapatnam-530045, Andhra Pradesh, India. 2Department of Pathology, GITAM Institute of Medical Sciences and Research, GITAM Deemed to be University, Rushikonda, Visakhapatnam-530045, Andhra Pradesh, India
*Corresponding author: Vijayalakshmi Chandrasekhar; *Email: vijayammavisakha55@gmail.com
Received: 20 Aug 2023, Revised and Accepted: 05 Oct 2023
ABSTRACT
Objective: The aim of this retrospective study was to analyze the clinical, demographic and pathological aspects of ovarian tumours diagnosed and operated upon over a two-year period.
Methods: A total of sixty women diagnosed with ovarian tumours who underwent an operative procedure formed our study group. All clinical and demographic data were obtained from medical records and the histopathology reports of the tissues removed at surgery were retrieved from the pathology department records.
Results: 36.7% of the women belonged to the age group of 41-50 y and lower abdominal pain was the commonest symptom in 61.7% of the women. 93.10% of the ovarian tumours were found to be benign, 1.7% to be borderline and 5.17% were malignant. Benign surface epithelial tumours constituted 74.13% of the total and, of these the incidence of serous cystadenoma was 44.8% and mucinous cytadenoma 22.41%. Germ cell tumours constituted 13.8% of all the tumours, with mature cystic teratomas being the most prevalent at 12.06%. Serous cystadenocarcinoma accounted for 5.17% of the tumours and borderline serous tumours accounted for 1.72%.
Conclusion: Women presenting with symptoms of an ovarian tumour should undergo a detailed clinical evaluation, investigations, early interventions and histopathology should be an integral component to improve outcomes.
Keywords: Ovarian tumours, Clinical presentation, Histopathology
© 2023 The Authors. Published by Innovare Academic Sciences Pvt Ltd. This is an open access article under the CC BY license (https://creativecommons.org/licenses/by/4.0/)
DOI: https://dx.doi.org/10.22159/ijcpr.2023v15i6.3081. Journal homepage: https://innovareacademics.in/journals/index.php/ijcpr
Ovarian tumours are responsible for a variety of symptoms and can affect women of all age groups. The ovaries are not clinically accessible; hence simple screening methods for detecting ovarian neoplasms are not available. These neoplasms may involve any of the histological tissues within the ovary, like epithelial tissues, hormone-secreting cells, connective tissues, germ cell and embryonal cells. Benign ovarian tumours may occur at any point in life but they are more frequently found during childbearing age 20 and 45 y, whereas malignant tumours are common in older women between the ages of 45 and 65 y [1]. Ovarian cancer was estimated to be the third most common cancer among Indian women and eighth overall as per the Globocan 2018 Fact sheet, constituting 3.44% of all cancer cases [2]. The estimated age-adjusted incidence varies from 0.9–8.4 per 100,000 women in various population-based cancer registries in India [3]. Diagnosis of ovarian malignancy is often delayed, as women may experience symptoms only after the tumour has grown to a large size. Clinical examination and imaging by USG, CT scan and MRI can help determine location, size and morphology, while CA125 levels may be a useful marker. Definitive diagnosis is, however, based on histopathologic examination. In this retrospective study, we analyzed the clinical presentation, demographic parameters, tumour characteristics and histopathological reports of the ovarian tumors of sixty women who underwent operative procedures for the same.
Study design, period and place
This retrospective study was conducted from Jan 2021 to Dec 2022 over a period of two years in GIMSR hospital, a teaching hospital under GITAM Institute of Medical Sciences and Research, Rushikonda, Visakhapatnam, Andhra Pradesh
Institutional ethics clearance
Institutional ethical clearance was obtained for the study vide IEC/209/2023 dated 09 Aug 2023 from GITAM Institute of Medical Sciences and Research, Visakhapatnam.
Methodology
A total of 60 women diagnosed with ovarian tumours who were subjected to surgical interventions were included in the study. The details regarding the clinical presentation, USG, CT, MRI findings, CA 125 levels and the operative procedure done were obtained from the medical records of the hospital and tabulated. Only those women who had tumours greater than 6 cm size and who underwent an operative procedure in our hospital were included in the study. Paraovariantumours were excluded. The histopathology reports of the ovarian tumours were collected from the records of the department of pathology. The data obtained was compiled and analyzed.
6.7% of the women were below 20 y of age and 36.7% were in the age group 41-50 y. The youngest was 16 y and the oldest 68 y of age 13.3% were post-menopausal and 10% were nulliparous. The most common presenting symptom was pain in the lower abdomen in 61.7% of the study population table 1.
The size of the tumour was less than 10 cm in 58.3% of cases, 10-19 cm in 25% of the cases and ≥ 20 cm in 16.67% of study cases. The USG measurements and the gross specimen measurements tallied in all cases. 76.7% were right-side tumours and the incidence of bilateral tumors was 6.66% table 2.
Table 1: Demographic parameters of the patients
| Demographic parameters | Number n=60 | Percentage |
| Age in years | ||
| <20 | 4 | 6.7 |
| 21-30 | 11 | 18.3 |
| 31-40 | 17 | 28.3 |
| 41-50 | 22 | 36.7 |
| >50 | 6 | 10 |
| Menopausal status | ||
| Yes | 8 | 13.3 |
| No | 52 | 86.6 |
| Parity | ||
| Nulliparous | 6 | 10 |
| Multiparous | 54 | 90 |
| Symptoms at first presentation | ||
| Pain abdomen | 37 | 61.7 |
| Distension of abdomen | 6 | 10 |
| Mass per abdomen | 5 | 8.33 |
| Menstrual irregularity | 9 | 15 |
| Difficulty in micturition | 1 | 1.7 |
| Post-menopausal bleeding | 1 | 1.7 |
| White discharge | 1 | 1.7 |
Table 2: Distribution of clinic pathological characteristics of the patients
| Characteristic | Number n=60 | Percentage |
| Size of tumour in cm | ||
| <10 | 35 | 58.33 |
| 10-19 | 15 | 25 |
| >/20 | 10 | 16.67 |
| Laterality | ||
| Right | 46 | 76.7 |
| Left | 10 | 16.67 |
| Bilateral | 4 | 6.66 |
| CA125 | ||
| Normal | 32 | 53.33 |
| Elevated | 1 | 1.67 |
| Not measured | 27 | 45 |
CA 125 levels were done in 33 cases and were found to be normal in 96.9% cases and mildly elevated in 1.67% of the cases. The levels were not measured in 27 cases. Total abdominal hysterectomy with bilateral salpingo oophorectomy was the commonest operative procedure done in 38.4% cases. Laparotomy with ovarian cystectomy was performed in 28.33% cases and salpingo-oophorectomy was performed in 18.33% cases. Laparoscopic ovarian cystectomy was done in 15% cases table 3.
Table 3: Operative procedure done
| Operative procedure | Number n=60 | % |
| TAH with BSO | 23 | 38.34 |
| Laparotomy with ovarian cystectomy | 17 | 28.33 |
| Salpingooophorectomy | 11 | 18.33 |
| Laparoscopic ovarian cystectomy | 9 | 15 |
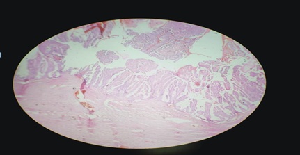
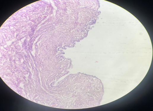
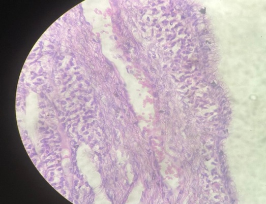
Of the 60 women who underwent a surgical procedure, histopathology of 54 specimens showed ovarian pathology. Three cases turned out to be non-ovarian pathology (paraovarian cyst) and three had normal ovarian morphology. Of the 54 cases with ovarian pathology, four had bilateral tumours so that the total number of ovarian tumours subjected to histopathological examination was 58 in all. Out of the 58 tumours, 93.10% were benign, 1.72% was borderline and 5.17% were malignant. All the malignant tumours were diagnosed as serous cystadenocarcinoma and constituted 5.17 % (fig. 1) of all the tumour cases in this study. The incidence of borderline serous tumours was 1.72% fig. 2. Surface epithelial tumors were the most prevalent among the benign tumors, accounting for 74.13% of the total. The incidence of serous cystadenomas was 44.8%, mucinous cystadenomas 22.41% (fig. 3), serous cystadeno fibromas 5.17% and mucinous cystadenoma with a component of benign Brenner’s tumor 1.72% (fig. 4). Germ cell tumours constituted 13.8% of the total, of which mature cystic teratomas accounted for 12.06% (table 4).
Table 4: Histopathology of the ovarian tumours
| Histological type | Number n= 58 | Percentage |
| Serous cystadenoma | 26 | 44.80 |
| Boderline serous tumour | 1 | 1.72 |
| Serous cystadenofibroma | 3 | 5.17 |
| Serous cystadenocarcinoma | 3 | 5.17 |
| Mucinous cystadenoma | 13 | 22.41 |
| Mucinous cystadenoma with the component of benign Brenner tumour | 1 | 1.72 |
| Mature cystic teratoma | 7 | 12.06 |
| Immature teratoma high-grade | 1 | 1.72 |
| Non-neoplastic tumours | ||
| Endometriotic cyst | 1 | 1.72 |
| Corpus luteal cyst | 2 | 3.44 |
The histopathology of the bilateral ovarian tumours in four patients were as shown in table 5.
Table 5: Details of bilateral ovarian tumours
| Patient number (N=4) | Type of tumour left side | Type of tumour right side |
| Patient 1 | Mucinous cystadenoma | Cystic teratoma |
| Patient 2 | Serous cystadenoma | Serous cystadenoma |
| Patient 3 | Mature cystic teratoma | Serous cystadenoma |
| Patient 4 | Serous cystadenocarcinoma | Serous cystadenocarcinoma |

Fig. 1: High-grade serous carcinoma

Fig. 2: Borderline serous carcinoma

Fig. 3: Mucinous cystadenoma

Fig. 4: Mucinous cystadenoma with the component of Brenner’ stumour
In our study, surface epithelial tumours formed the largest group, 81.03% followed by 13.8% germ cell tumors. Nalini et al. in 2007 [4] and Mondal et al. in 2011 [5] observed that epithelial tumours were the most frequent, followed by germ cell and sex cord tumours. Swamy et al. in 2010 and Sudha et al. in 2018 also reported that surface epithelial tumours were the commonest with an incidence of 61.6% and 64.13% in their series [6, 7]. In our study, serous cystic adenoma was the commonest epithelial tumour (44.8%) and mucinous cystadenoma was 22.4%, whereas Jain et al. in 2021 reported a higher incidence of serous cystadenoma 61.16% in his series [8]. Mature cystic teratomain 12.06% of the tumours in our study, was the most common germ cell tumour. The commonest malignant tumour in this series was serous cystadenocarcinoma at 5.17%. In a study by Manjusha et al. in 2013, [9] serous cystadenocarcinoma was the most common malignant tumour in their series. In a study by Yogambal et al. [10], serous cystadenocarcinoma was the commonest malignant tumour with a 9.5% incidence. In a study by Prakash et al. [11], serous cystadenoma was the commonest epithelial tumour followed by mucinous cystadenoma. Bilaterality was seen in 6.66% of cases and a similar incidence was also reported by Couta et al. in 1993 and Kiranmayi et al. in 2017 [12, 13]. Ramachandran et al. in 1972, Gupta et al. in 1986 and Kapas et al. in 1987 reported a higher incidence of bilateral tumours in their studies [14-16].
Detailed clinical examination, clinical diagnosis, investigations, early intervention and histopathology should all be an integral part of an evaluation of ovarian tumours. The application of diagnostic algorithms based on patient demographic information, clinical manifestations, laboratory findings, and imaging features will ensure early diagnosis of ovarian neoplasms and improve outcomes.
Nil
First author Komal Sahithi Barla contributed to Data acquisition and review of literature. Corresponding and Second author Vijayalakshmi Chandrasekhar contributed to Bench work, data collection, paper composition, reference work. Third author Vasundara G contributed to retrieval of pathology records and analysis. Fourth author BV Madhavi contributed for Histopathological data retrieval and analysis.
The authors declared No conflict of interest
Day NE, Krishnan E. Epidemiology of gynaecological cancers. Gynaecology by Shaw RW. 2nd ed. Edinburgh: Churchill Living Stone; 1997. p. 477-87.
Globocan. Estimated cancer Incidence, Mortality, Prevalence and Disability-adjusted life years (DALYs) Worldwide; 2008. Available from: http://globocan.fr:iarc/. [Last accessed on 28 Oct 2012]
Murthy NS, Shalini S, Suman G, Pruthvish S, Mathew A. Changing trends in incidence of ovarian cancer–the Indian scenario. Asian Pac J Cancer Prev. 2009;10(6):1025-30. PMID 20192577.
Gupta N, Bisht D, Agarwal AK, Sharma VK. Retrospective and prospective study of ovarian tumours and tumor-like lesions. Indian J Pathol Microbiol. 2007;50(3):525-7. PMID 17883123.
Mondal SK, Banyopadhyay R, Nag DR, Roychowdhury S, Mondal PK, Sinha SK. Histologic pattern, bilaterality and clinical evaluation of 957 ovarian neoplasms: a 10 y study in a tertiary hospital of eastern India. J Cancer Res Ther. 2011;7(4):433-7. doi: 10.4103/0973-1482.92011, PMID 22269405.
Swamy GG, Satyanarayana M. Clinicopathological analysis of ovarian tumors-a study on five year’s samples. J Nepal Med Coll. 2010;12(4):221-3.
Sudha V, Harikrishnan V, Sridevi M, Priya P. Clincipathological correlation of ovarian tumors in a tertiary care hospital. Ind J Pathol Oncol. 2018;5(2):332-7.
Jain R, Patel P, Goyal S. Clinicopathological study of ovarian tumors at tertiary care hospital, Udaipur. Int J Reprod Contracept Obstet Gynecol. 2021;10(2):555-8. doi: 10.18203/2320-1770.ijrcog20210301.
Manjusha J, Dweep J, Mrinalini S, Viraj N. Clinicopathological study of ovarian cancer: a multicentered study. J Shaheed Suhrawardy Med Coll. 2013;5:3-6.
Yogambal DM, Arunalatha DP, Chandramouleeswari DK, Palaniappan DV. Ovarian tumours- incidence and distribution in a tertiary referral center in South India. IOSRJDMS. 2014;13(2):74-80. doi: 10.9790/0853-13237480.
Prakash A, Chinthakindi S. Histopathological study of ovarian lesions in a tertiary care centre in Hyderabad, India; A retrospective 5 y study. Ind J Clin Diagn Res. 2017;4(3):745-9.
Couto F, Naolkami NS, Jose M. Ovarian tumours in Goa-a clinicopathologicval study. J Obstet Gynecol India. 1993;43:403-12.
Kiranmayi BVVD, Kumar K, Bhaskar RV. Histopathological profile of ovarian tumours-a two-year retrospective study. Indian J Sci Res. 2017;6(12):208-10.
Ramachandran G, Hailal KR, Chinamma KK, Thangavelu H. Ovarian neoplasms-a study of 903 cases. J Obstet Gynecol India. 1972;22:309-15.
Gupta SC, Singh PA, Mehrotra TN, Agarwal R. A clinicopathological study of ovarian tumours. Indian J Pathol Microbiol. 1986;29(4):354-62. PMID 3817965.
Kapas MM, Ral MC. Varieties of ovarian neoplasms. J Obstet Gynecol India. 1987;32:810-5.