
Department of Pathology, Gauhati Medical College and Hospital, Narakasur Hilltop, Bhangagarh, Guwahati-781032, Assam, India
*Corresponding author: Jabin Musfique; *Email: jabin1103@gmail.com
Received: 21 Aug 2023, Revised and Accepted: 07 Oct 2023
ABSTRACT
Objective: The aim of this study is to detect precancerous lesions and intraductal (in situ) malignancies in cytologically and radiologically diagnosed benign breast lesions and its prevalence in different age groups.
Methods: A total of 448 cases of breast lumps were diagnosed cytological as benign breast lesions in our cytology division from july 2022 to june 2023. Of these, 148 cases were available for histopathological examination.
Results: On Histopathology, 122 cases (82.4%) were diagnosed as benign lesions. 19 (12.8%) cases were found to harbour pre-malignant lesions, 06 (4.0%) cases as in-situ carcinomas and 1 (0.6%) case of encapsulated papillary carcinoma without invasion.
Conclusion: To conclude, prevention of development of carcinoma of breast is the key step to reduce the burden of morbidity and mortality. Recognising pre-malignant lesions can go a long way in reducing development of invasive carcinoma, for which histopathological examination is the most helpful tool. Thus any benign breast lesions that have been detected to harbour pre-malignant changes must be placed into a separate group than from purely benign breast lesions. These groups must be followed up and treated according to standard available protocols.
Keywords: Breast, Pre-malignant, Atypical hyperplasia, FNAC
© 2023 The Authors. Published by Innovare Academic Sciences Pvt Ltd. This is an open access article under the CC BY license (https://creativecommons.org/licenses/by/4.0/)
DOI: https://dx.doi.org/10.22159/ijcpr.2023v15i6.3086. Journal homepage: https://innovareacademics.in/journals/index.php/ijcpr
The second most frequent kind of cancer in the world is breast cancer, which continues to be the most common malignancy among females [1]. It is a significant contributor to mortality and morbidity in women. The following precancerous breast lesions are universally acknowledged [2, 3]: atypical ductal hyperplasia (ADH), atypical lobular hyperplasia, atypical columnar cell hyperplasia or flat epithelial atypia (FEA), lobular carcinoma in situ, papillary lesions, and proliferative radial scar. When worrisome breast regions are core biopsyed as part of screening programmes, these lesions are becoming more common [4]. About 10% of biopsies with benign results are associated with the high-risk benign lesion known as atypical hyperplasia [5, 6]. Purely benign breast lesions must be distinguished from benign breast lesions with concomitant precancerous breast lesions, and both require further evaluation and follow-up [7]. Atypical hyperplasia has a relative risk score of 4 for developing breast cancer in the future, according to numerous studies with long-term follow-up [8-12]. Recent research suggests that the cumulative incidence of breast cancer in women with atypical hyperplasia has been described as being close to 30% at 25 y of follow-up [10-14]. The Food and Drug Administration (FDA) has approved tamoxifen for use in women who are at high risk of developing breast cancer. It has also been given the go-ahead to lessen contralateral breast cancer [14-18]. The possibility of early chemoprevention depends on the early detection of these precancerous breast lesions in women who have a higher chance of developing carcinoma, such as those with a family history [19-21]. Precancerous breast lesions on imaging are neither typical nor pathognomonic. For precancerous lesions and focal intraductal carcinomas, the cytology features obtained by fine-needle aspiration are insufficient and extremely unreliable. They can only be evaluated through a histological analysis [21]. The primary objectives of the study are to identify the pre-malignant changes connected to benign breast lesions, to calculate the prevalence of these pre-malignant lesions in various age groups, and to identify the kinds of lesions that were overlooked in FNAC.
Study design: It is a cross-sectional study.
Study place: The study was conducted in the Department of Pathology, Gauhati Medical College and Hospital, Guwahati.
Study period: The study was conducted for a period of one year from July 2022 to June 2023.
Inclusion criteria
All cases of Cytologically diagnosed as benign breast lesions were included in the study.
All cases in the reproductive age group (18 y and above).
Exclusion criteria
Cases that were cytologically benign but on histological examination found to have invasive carcinoma.
Methodology
A total of 148 cases were submitted for histopathological examination as core biopsy and lumpectomy specimen. The specimens were examined grossly, and multiple sections were taken for histopathological examination. The sections were formalin-fixed and underwent routine paraffin processing. Three to five microns thick sections were cut and stained with hematoxylin and eosin stain. Slides were examined under microscope and reported.
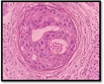
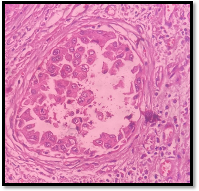
Of the 148 cases diagnosed as cytologically benign, histological examination confirmed 122 cases as being benign lesions. Among the rest 26 cases, 19 were found to harbour pre-malignant lesions. Of the pre-malignant lesions there were 13 cases of ADH, 03 cases of complex fibroadenoma, 01 cases of atypical lobular hyperplasia and 02 cases of papilloma with ADH. Among the 07 pre-invasive malignant lesions, there was 01 case of encapsulated papillary carcinoma without invasion and 06 cases of DCIS (fig. 1) (table 1). Fig. 2 and fig. 3 showed the images of ADH and papillary carcinoma without invasion.

Fig. 1: Depicting distribution of cases histologically
Table 1: Distribution pre-maligant and pre-invasive malignant lesions among various age groups
| Age (years) | CF | Papilloma with ADH | ALH | ADH | DCIS | EPCWI |
| 20 and below | 0 | 0 | 0 | 0 | 0 | 0 |
| 21-30 | 02 | 0 | 0 | 0 | 0 | 0 |
| 31-40 | 01 | 02 | 0 | 04 | 01 | 0 |
| 41-50 | 0 | 0 | 01 | 08 | 03 | 01 |
| 50 and above | 0 | 0 | 0 | 01 | 02 | 0 |
| Total | 03 | 02 | 01 | 13 | 06 | 01 |
CF-complex fibroadenoma, ADH-atypical ductal hyperplasia, ALH-atypical lobular hyperplasia, DCIS-ductal carcinoma in situ, EPCWI-encapsulated papillary carcinoma without invasion.

Fig. 2: Showing ADH

Fig. 3: Encapsulated papillary carcinoma without invasion
Females are still more likely to get breast cancer than any other type of malignancy [18]. It has a significant negative influence on the economic and social spheres due to the cost of sickness and mortality it bears. Many attempts to unravel the fundamental process of cancer formation have been performed in recent years [7]. Recently, some medications have been licenced for the prevention of these lesions [13-16]. A diverse collection of lesions known as benign breast lesions have no or very little potential to become cancerous. However, some alterations (pre-malignant) have been identified to have a high risk of becoming malignant and can be found in benign breast tumours. Premalignant breast lesions cover a wide range of lesions with varying chances of developing into cancer. Based on available information, the Cancer Committee of the College of American Pathologists produced a study in 1998 that identified the relative risk for breast cancer linked with proliferative breast lesions [22]. Despite being a crucial diagnostic technique for breast lesions for the past 30 y, fine-needle aspiration is insufficient and incredibly inconsistent for detecting precancerous breast lesions. Only a histological examination is capable of providing the diagnosis [23]. In the days before mammography, ADH was a chance discovery in benign biopsies. These lesions are now frequently identified using image-guided biopsies performed on sites where micro calcifications have formed, if any, or on lesions found through ductal lavage [19]. When women have cosmetic surgery or have a family history of breast cancer, lobular carcinoma in situ is frequently discovered [23]. According to models of breast carcinogenesis, atypical hyperplasia exists in a region between benign and malignant illness. It is regarded as premalignant because it has some but not all of the necessary characteristics of cancer [23–25]. 19 of the 148 benign breast lesions that FNAC identified as having linked premalignant lesions and 7 of those patients had preinvasive malignant lesions. ADH, DCIS, complicated fibroadenoma, and papilloma had the most lesions. These lesions were diagnosed based on histological characteristics. Even when there is agreement on the diagnostic criteria, several investigations have shown that interobserver agreement on the diagnosis of ADH is quite low [26]. There is widespread agreement that atypical ductal hyperplasia is a proliferative lesion that partially meets the criteria for an intra-ductal cancer diagnosis [22]. In our study, ducts were found to be filled with neoplastic proliferation of uniformly dispersed monomorphic cells with micropapillary, cribriform, and solid pattern, with overlapping of nuclei, cytologic atypia, either focal or global, and steaming of cells with peripheral microlumen formation. According to Tassavoli and Norris [26], the cut-off of 2 mm size of lesion in two or more ducts was used to distinguish between ADH and DCIS. In a significant longitudinal cohort study conducted in 1985, Page et al. examined the risk of breast cancer related with atypical hyperplasia and discovered a risk score of 4.4 [11]. Other researchers found that the relative risk for both ADH and lobular hyperplasia was around 4 [8, 9, 27]. A sizable cohort study was just carried out at Mayo Clinic. They discovered that women with atypical hyperplasia had a significant overall chance of developing breast cancer. Younger women who are diagnosed with atypical hyperplasia are more likely to develop breast cancer [8, 9]. In our investigation, there were 13 cases of ADH 08, of which 8 cases (8.7%) were detected in people aged 41 to 50, and 4 cases in people aged 31 to 40. One instance of atypical lobular hyperplasia in people above the age of 41 was reported by us (0.60%). Bodien et al. discovered 15.1% of AH in benign case biopsies [28], while Dupont and Page discovered 7% of AH [11]. Even less AH, 5.3%, was discovered by Moskowitz et al. in a biopsy for benign breast illness [29]. We discovered 06 (4%) cases of DCIS in our investigation. These characteristics were concentrated in 6–8 ducts, with a maximum diameter of 2.7 mm. According to Venegas et al. FNAC was non-diagnostic in 16% of patients of DCIS that had been histologically verified [30]. Papillomas with associated ADH were seen in two out of 148 benign breast lesions. They were seen in the age group of 31 to 40 y. Our finding correlated well with Chandanwale et al. [7]. Histologically, Papillomas were identified as lesions with proliferating epithelium and myoepithelial cells, an overlaying fibromuscular stalk, and an arborescent structure in the ductal lumen. Three examples of complicated fibroadenoma were included in our investigation. When fibroadenoma was observed in conjunction with focal proliferative changes, including epitheliosis, cystic changes, and regions of sclerosing fibrosis, a histological diagnosis was made. Cases were observed in people between the ages of 21 and 40. According to Dupont et al. [11], the presence of proliferative alterations in the fibroadenoma or the surrounding tissue was necessary for an elevated risk of breast cancer. According to data published in 1998 by the Cancer Committee of the College of American Pathologists [22], complex fibroadenomas were classified as having a "slightly increased risk" group in terms of relative risk. One instance of intra-ductal cystic papillary cancer was reported, which is a rather uncommon occurrence. A fibroadenoma with degenerative alterations was identified as the diagnosis in this case on FNAC. The 26 (17.57%) pre-malignant and pre-invasive malignant lesions in our study could not be detected by FNAC, as was thus evident. According to Venegas et al. FNAC was non-diagnostic in 16% of patients of DCIS that had been histologically verified [30].
The prevention of development of carcinoma of breast is paramount. Recognising pre-malignant lesions can go a long way in reducing the development of invasive carcinoma, for which histopathological examination is the most helpful tool. Thus, in the event of even a slightest suspicion at mammography and cytological examination, histopathological examination should be made mandatory. Also, any benign breast lesions that has been detected to harbour pre-malignant changes must be placed into a separate group than from purely benign breast lesions. These groups must be offered the benefit of FDA-approved chemoprevention. Also, this group can provide a cohort on which a comprehensive study can be done over time to see the incidence of development of invasive carcinoma in them. This will provide more information and knowledge into the subject.
Multicentric and studies with larger samples need to be conducted for more insight into premalinant and preinvasive malignant lesions.
Nil
Author Jabin Musfique contributed for the study conception and design, data collection, analysis and interpretation of results and manuscript preparation. Author Leena Talukdar contributed in manuscript preparation and data analysis. Author Manoj Barman contributed for data collection and literature collection.
Declared none
Parkin DM, Bray F, Ferlay J, Pisani P. Estimating the world cancer burden: Globocan 2000. Int J Cancer. 2001;94(2):153-6. doi: 10.1002/ijc.1440, PMID 11668491.
Sewell CW. Pathology of high-risk breast lesions and ductal carcinoma in situ. Radiol Clin North Am. 2004;42(5):821-30. doi: 10.1016/j.rcl.2004.03.013, PMID 15337418.
Jacobs TW, Connolly JL, Schnitt SJ. Nonmalignant lesions in breast core needle biopsies: to excise or not to excise? Am J Surg Pathol. 2002;26(9):1095-110. doi: 10.1097/00000478-200209000-00001, PMID 12218567.
Ernster VL, Ballard Barbash R, Barlow WE, Zheng Y, Weaver DL, Cutter G. Detection of ductal carcinoma in situ in women undergoing screening mammography. J Natl Cancer Inst. 2002;94(20):1546-54. doi: 10.1093/jnci/94.20.1546, PMID 12381707.
Simpson JF. Update on atypical epithelial hyperplasia and ductal carcinoma in situ. Pathology. 2009;41(1):36-9. doi: 10.1080/00313020802568097, PMID 19089738.
Gutwein LG, Ang DN, Liu H, Marshall JK, Hochwald SN, Copeland EM. Utilization of minimally invasive breast biopsy for the evaluation of suspicious breast lesions. Am J Surg. 2011;202(2):127-32. doi: 10.1016/j.amjsurg.2010.09.005, PMID 21295284.
Chandanwale S, Kaur S, Nair R, Sheth J, Nikam S, Ansari J. Precancerous breast lesions in benign breast lesions: a review of 430 benign breast lesions. Clin Cancer Investig J. 2017;6(1):30-4. doi: 10.4103/ccij.ccij_7_17.
Hartmann LC, Sellers TA, Frost MH, Lingle WL, Degnim AC, Ghosh K. Benign breast disease and the risk of breast cancer. N Engl J Med. 2005;353(3):229-37. doi: 10.1056/NEJMoa044383, PMID 16034008.
Hartmann LC, Radisky DC, Frost MH, Santen RJ, Vierkant RA, Benetti LL. Understanding the premalignant potential of atypical hyperplasia through its natural history: a longitudinal cohort study. Cancer Prev Res (Phila). 2014;7(2):211-7. doi: 10.1158/1940-6207.CAPR-13-0222, PMID 24480577.
London SJ, Connolly JL, Schnitt SJ, Colditz GA. A prospective study of benign breast disease and the risk of breast cancer. JAMA. 1992;267(7):941-4. doi: 10.1001/jama.1992.03480070057030, PMID 1734106.
Page DL, Dupont WD, Rogers LW, Rados MS. Atypical hyperplastic lesions of the female breast. A long-term follow-up study. Cancer. 1985;55(11):2698-708. doi: 10.1002/1097-0142(19850601)55:11<2698::aid-cncr2820551127>3.0.co;2-a, PMID 2986821.
Degnim AC, Visscher DW, Berman HK, Frost MH, Sellers TA, Vierkant RA. Stratification of breast cancer risk in women with atypia: a mayo cohort study. J Clin Oncol. 2007;25(19):2671-7. doi: 10.1200/JCO.2006.09.0217, PMID 17563394.
Page DL, Schuyler PA, Dupont WD, Jensen RA, Plummer WD, Simpson JF. Atypical lobular hyperplasia as a unilateral predictor of breast cancer risk: a retrospective cohort study. Lancet. 2003;361(9352):125-9. doi: 10.1016/S0140-6736(03)12230-1, PMID 12531579.
Powles TJ, Ashley S, Tidy A, Smith IE, Dowsett M. Twenty-year follow-up of the Royal Marsden randomized, double-blinded tamoxifen breast cancer prevention trial. J Natl Cancer Inst. 2007;99(4):283-90. doi: 10.1093/jnci/djk050, PMID 17312305.
Burstein HJ, Temin S, Anderson H, Buchholz TA, Davidson NE, Gelmon KE. Adjuvant endocrine therapy for women with hormone receptor-positive breast cancer: American Society of Clinical Oncology clinical practice guideline focused update. J Clin Oncol. 2014;32(21):2255-69. doi: 10.1200/JCO.2013.54.2258.
Vogel VG, Costantino JP, Wickerham DL, Cronin WM, Cecchini RS, Atkins JN. Update of the national surgical adjuvant breast and bowel project study of tamoxifen and raloxifene (STAR) P-2 trial: preventing breast cancer. Cancer Prev Res (Phila). 2010;3(6):696-706. doi: 10.1158/1940-6207.CAPR-10-0076, PMID 20404000.
Goss PE, Ingle JN, Ales Martinez JE, Cheung AM, Chlebowski RT, Wactawski Wende J. Exemestane for breast-cancer prevention in postmenopausal women. N Engl J Med. 2011;364(25):2381-91. doi: 10.1056/NEJMoa1103507, PMID 21639806.
Youlden DR, Cramb SM, Dunn NA, Muller JM, Pyke CM, Baade PD. The descriptive epidemiology of female breast cancer: an international comparison of screening, incidence, survival and mortality. Cancer Epidemiol. 2012;36(3):237-48. doi: 10.1016/j.canep.2012.02.007, PMID 22459198.
Van de Vijver MJ, Peterse H. The diagnosis and management of pre-invasive breast disease: pathological diagnosis–problems with existing classifications. Breast Cancer Res. 2003;5(5):269. doi: 10.1186/bcr629, PMID 12927038.
Veronesi U, Maisonneuve P, Costa A, Sacchini V, Maltoni C, Robertson C. Prevention of breast cancer with tamoxifen: preliminary findings from the Italian randomised trial among hysterectomised women. Italian tamoxifen prevention study. Lancet. 1998;352(9122):93-7. doi: 10.1016/s0140-6736(98)85011-3, PMID 9672273.
Veronesi U, Maisonneuve P, Sacchini V, Rotmensz N, Boyle P, Italian Tamoxifen Study Group. Tamoxifen for breast cancer among hysterectomised women. Lancet. 2002;359(9312):1122-4. doi: 10.1016/S0140-6736(02)08159-X, PMID 11943263.
Fitzgibbons PL, Henson DE, Hutter RV. Benign breast changes and the risk for subsequent breast cancer: an update of the 1985 consensus statement. Cancer Committee of the College of American Pathologists. Arch Pathol Lab Med. 1998;122(12):1053-5, PMID 9870852.
Schreer I, Lüttges J. Precursor lesions of invasive breast cancer. Eur J Radiol. 2005;54(1):62-71. doi: 10.1016/j.ejrad.2004.11.014, PMID 15797294.
Santen RJ, Mansel R. Benign breast disorders. N Engl J Med. 2005;353(3):275-85. doi: 10.1056/NEJMra035692, PMID 16034013.
Bombonati A, Sgroi DC. The molecular pathology of breast cancer progression. J Pathol. 2011;223(2):307-17. doi: 10.1002/path.2808, PMID 21125683.
Tavassoli FA, Norris HJ. A comparison of the results of long-term follow-up for atypical intraductal hyperplasia and intraductal hyperplasia of the breast. Cancer. 1990;65(3):518-29. doi: 10.1002/1097-0142(19900201)65:3<518::aid-cncr2820650324>3.0.co;2-o, PMID 2297643.
Worsham MJ, Abrams J, Raju U, Kapke A, Lu M, Cheng J. Breast cancer incidence in a cohort of women with benign breast disease from a multiethnic, primary health care population. Breast J. 2007;13(2):115-21. doi: 10.1111/j.1524-4741.2007.00388.x, PMID 17319851.
Bodian CA, Perzin KH, Lattes R, Hoffmann P, Abernathy TG. Prognostic significance of benign proliferative breast disease. Cancer. 1993;71(12):3896-907. doi: 10.1002/1097-0142(19930615)71:12<3896::aid-cncr2820711217>3.0.co;2-i, PMID 8389654.
Moskowitz M, Gartside P, Wirman JA, McLaughlin C. Proliferative disorders of the breast as risk factors for breast cancer in a self-selected screened population: pathologic markers. Radiology. 1980;134(2):289-91. doi: 10.1148/radiology.134.2.7352201, PMID 7352201.
Venegas R, Rutgers JL, Cameron BL, Vargas H, Butler JA. Fine needle aspiration cytology of breast ductal carcinoma in situ. Acta Cytol. 1994 Mar-Apr;38(2):136-43. PMID 8147202.