
1Department of Pathology, Hitech Medical College, Rourkela, India. 2Department of Radiology, JP Hospitals, Rourkela, India. 3ESIC Model Hospital, Rourkela, Odisha, India
*Corresponding author: Pragnya P. Mishra; Email: pparamita1982@gmail.com
Received: 25 Dec 2023, Revised and Accepted: 24 Jan 2024
ABSTRACT
Objective: Schwannoma is a benign peripheral nerve sheath tumour. Previously referred to as Neurilemmomas. It is a slow-growing tumour. The commonest site is the limb with a predilection to the upper limb. But, it has a 25–48% predilection for nerves of the head and neck. In the oral cavity, the commonest site is said to be the tongue.
Methods: We report three cases of histopathologically diagnosed Schwannoma at unusual sites. The first case was a 52 y old lady with a palpable, firm, painless swelling in the occipital region of the scalp of size 2.0 x 1.0 x 1.0 cm. The second case was a 29 y old woman with a painless scalp swelling of 1 cm by 1 cm. The third case was a 23 y old boy who presented with a slow-growing and painless pedunculated swelling in the posterior pharyngeal wall for a year. All cases showed classical histopathologic pictures on microscopy.
Results: All the patients were evaluated pre-operatively and subjected to an excisional biopsy. The post-operative period was uneventful and everything went according to plan for a full year.
Conclusion: Schwannomas exhibit a slow growth rate, are present in all age groups, and are not specific to one gender. Extremities are the most common locations to occur, but some rare sites like the scalp, oral cavity, retroperitoneum, and internal viscera also exist. Magnetic resonance imaging (MRI) is helpful in those lesions, providing useful information about the location and nature of the lesion, eliminating differential diagnosis, and thus providing correct management plans.
Keywords: Schwannoma, Head and neck region, Case series, Outcome
© 2024 The Authors. Published by Innovare Academic Sciences Pvt Ltd. This is an open access article under the CC BY license (https://creativecommons.org/licenses/by/4.0/)
DOI: https://dx.doi.org/10.22159/ijcpr.2024v16i2.4037 Journal homepage: https://innovareacademics.in/journals/index.php/ijcpr
Schwannoma is a benign peripheral nerve sheath tumour, earlier referred to as Neurilemmomas. It arises from the Schwann cell, which is a type of glial cell in the peripheral nervous system. It plays an important role in the development, maintenance, function, and regeneration of peripheral nerves. Schwannomas exhibit a slow growth rate, are present in all age groups, and are not specific to one gender. The commonest site for Schwannoma is limbs, but it has a 25–48% predilection for nerves of the head and neck [1] and occurs in the vicinity of nerves: in the parotid gland along the facial nerve, in the neck along the cervical sympathetic chain, in the infratemporal fossa along the mandibular division of the trigeminal nerve, palate, buccal mucosa, and parapharyngeal space. The commonest oral site is the tongue [2]. An intraoral schwannoma is a smooth, submucosal swelling with a clinical resemblance to a mucocele, fibroepithelial polyp, fibroma, lipoma, or benign salivary gland tumour [3]. It is usually a soft tissue neoplasm, but it can rarely be intrabony too.
Case presentation
We are reporting three cases of Schwannoma in the head and neck region.
Case 1
A 52 y old lady presented to surgery OPD with a palpable, painless swelling in the occipital region of the scalp [fig. 1] It was a slow-growing tumour and has been present since two years. There is no history of injury or trauma to the site. On examination, it is a firm round subcutaneous swelling measuring 2.0 x 1.0 x 1.0 cm. There was no overlying skin retraction, ulceration, or purulent discharge. FNAC of the lesion showed clusters of spindle cells suspended over a collagenous matrix on a background of hemorrhage. So, a diagnosis of a benign spindle cell tumour was offered. An X-ray of the skull was performed, which showed a well-circumscribed soft-tissue density in the occipital region without underlying bony remodeling. With all of this information, a clinical diagnosis of a benign appendageal tumour was made, and the patient underwent a biopsy under local anaesthesia. There were no difficulties after the surgery, and the lump was totally removed. Hematoxylin and eosin staining slides were studied, which showed compact spindle cells with distinctive nuclear palisading (Verocay body, Antoni A) and loose hypocellular (Antoni B) spaces between the compact cell area, providing convincing evidence of a Schwannoma [fig. 2]. There was no increase in mitosis or atypia. The post-operative period was uneventful.
Case 2
A 29 y old woman presented to surgery OPD and complained of a painless swelling over her right parietal region of scalp. The tumour was gradually enlarging over a span of two years. There were no accompanying symptoms, such as discomfort, itching, or a history of trauma. Upon physical examination, the lesion was well defined, non-tender and was measuring about 1.0 x 1.0 x 0.5 cm. No surface ulceration, inflammation, lymphadenopathy, or neurological deficits were noted. X ray skull was performed and showed a subcutaneous, well-circumscribed swelling on the right parietal scalp without underlying bony remodelling. FNAC was performed and it showed features suggestive of benign spindle cell lesion. The tumour was excised and subjected to histopathology. On gross examination, it was a greyish-white soft tissue measuring 1.0 x 1.0 cm; the outer surface is nodular, and the cut surface is greyish-white and solid. Histopathological examination of the removed specimen confirmed the diagnosis of schwannoma with typical features. No signs of malignancy were observed. The patient's postoperative course was uneventful.

Fig. 1: Photomicrograph: scalp swelling

Fig. 2: H and E stain showing skin with underlying spindle cell neoplasm
Case 3
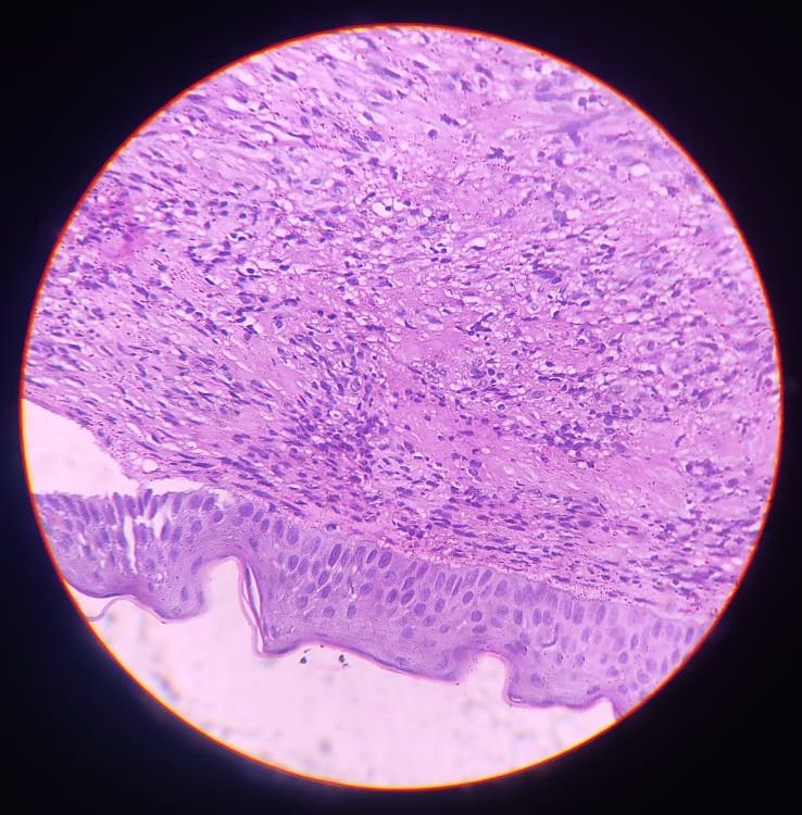
A 23 y old boy presented with a slow-growing and painless mass in the posterior pharyngeal wall for a year. The patient had no other complaints. No significant personal medical history or family history was reported. Oral examination revealed a firm, non-tender mass measuring 1.5 cm × 1.5 cm x 1.0 cm in the posterior pharyngeal wall [fig. 3]. She had no cervical lymphadenopathy. The patient was subjected to FNAC, which showed scattered squamous cells and lymphocytes over a hemorrhagic background. A diagnosis of squamous papilloma was offered. To confirm the diagnosis, the mass was excised under general anaesthesia and sent for histopathological examination. Histopathological examination of slides stained with hematoxylin and eosin confirmed the diagnosis of schwannoma. Gross examination of the resected specimen revealed a greyish-white, polypoid, nodular appearance. The cut surface showed a smooth, pale white, glistening mass with streaks of bleeding. Histopathological examination of this tumour showed a circumscribed, well-defined lesion covered by a thin mucosa. The tumour showed typical histopathology of Schwannoma [fig. 4].

Fig. 3: Photomicrograph: swelling in posterior pharyngeal wall

Fig. 4: Photomicrograph: H and E stain showing antoni A area
Management and outcome
All the patients were evaluated properly pre-operatively and subjected to an excisional biopsy. The post-operative period was uneventful.
Schwannoma is a benign, well-defined, and solitary nerve sheath tumour and accounts for 5% of all soft tissue tumours [4]. They are seen in all age ranges but are most common in the age group of 25–55 y, with no definite gender predilection. Schwannomas are well circumscribed, encapsulated, eccentrically located, and usually involve the proximal nerves [5–7]. Extremities are the commonest location but may occur at some rare sites like the scalp, oral cavity, retroperitoneum, and internal viscera. In the oral cavity, the tongue is the most common site, followed by the palate, which is the second most common site. When the tumour is located intraorally, the lesion presents as a slowly enlarging, painless, submucosal nodule not beyond 2 cm in greatest dimension. Clinically, these benign tumours are easily mistaken for other entities such as lipoma, pleomorphic adenoma, adenexal tumour, and leiomyoma. Schwannoma tends to displace the nerve; however, neurofibroma tends to grow within the nerve, causing fusiform dilatation [8]. Though painless, occasionally, it produces pain or paresthesia. The presenting symptoms of schwannomas are related to the affected nerve [9]. Malignant transformation of a schwannoma is very rare.
Magnetic resonance imaging (MRI) scans are helpful in those lesions, providing useful information about the location and nature of the lesion and eliminating certain differential diagnoses, namely rhabdomyosarcoma, neurofibroma, vascular lesions such as hemangioma, lesions with semisolid contents such as dermoid cysts, and malignant salivary gland tumors. However, in order to rule out bone resorption due to a malignant tumour, computed tomography (CT) scans are useful.
Soft-tissue schwannomas have no useful radiographic findings. In our series of three cases, the site of the lesion, history, and clinical features were important in arriving at a provisional diagnosis. Histopathologically, schwannomas are unilobular masses surrounded by a capsule of epineurium. Residual nerve fibres are seen at the edge of the neoplasm attached to the peripheral nerve. The histopathology has a typical finding characterised by a mixture of two cellular patterns: Antoni A and Antoni B [10]. Antoni A [fig. 4]. areas are composed of compact spindle cells with buckled, wavy nuclei arranged in bundles or fascicles. In highly differentiated areas, tumour cells show nuclear palisading and the formation of verocay bodies. Antoni B area is less cellular and has hypocellular myxoid stroma, microcystic spaces, and blood vessels. Nuclear pleomorphism and atypia are common in ancient schwannoma. It should not be mistaken for sarcoma by a surgeon or pathologist.
In view of the clinical presentation and histopathological features, it is important that the surgeon does not mistake this lesion for malignancy. In contrast to malignant tumors, schwannoma is treated by conservative surgical excision. Dissecting the tumour off the nerve is usually possible with minimal disturbance to nerve function. Malignant transformation in treated lesions is very uncommon. Patients with multiple neural tumours should be evaluated for von Recklinghausen’s neurofibromatosis.
An important conclusion that has evolved from this case series is that the differential diagnosis of small painless nodules in the head and neck must include schwannomas. It is likely that nerve sheath neoplasms are more common than previously reported. Schwannoma is an important differential diagnosis of swellings of the head and neck, including the oral cavity, and has an excellent prognosis.
Nil
All authors have contributed equally
Declared none
Williams HK, Cannell H, Silvester K, Williams DM. Neurilemmoma of the head and neck. Br J Oral Maxillofac Surg. 1993;31(1):32-5. doi: 10.1016/0266-4356(93)90094-d, PMID 8431412.
Firfer H, Sohn D, Heurlin R, Stuteville OH. Neurilemmoma of the tongue. Oral Surg Oral Med Oral Pathol. 1966;21(2):139-42. doi: 10.1016/0030-4220(66)90231-3, PMID 5215971.
Pfeifle R, Baur DA, Paulino A, Helman J. Schwannoma of the tongue: report of 2 cases. J Oral Maxillofac Surg. 2001;59(7):802-4. doi: 10.1053/joms.2001.24298, PMID 11429745.
Kransdorf MJ. Benign soft-tissue tumors in a large referral population: distribution of specific diagnoses by age, sex, and location. AJR Am J Roentgenol. 1995;164(2):395-402. doi: 10.2214/ajr.164.2.7839977, PMID 7839977.
Lee JA, Boles CA. Peripheral schwannoma lacking enhancement on MRI. AJR Am J Roentgenol. 2004;182(2):534-5. doi: 10.2214/ajr.182.2.1820534, PMID 14736701.
Maraziotis T, Panagiotopoulos E, Panagiotopoulos V, Panagiotopoulos K. Neurilemoma of the popliteal fossa: report of two cases with long subclinical course and misleading presentation. Acta Orthop Belg. 2005;71(4):496-9. PMID 16185011.
Ozdemir O, Ozsoy MH, Kurt C, Coskunol E, Calli I. Schwannomas of the hand and wrist: long-term results and review of the literature. J Orthop Surg (Hong Kong). 2005;13(3):267-72. doi: 10.1177/230949900501300309, PMID 16365490.
Pino C, Ghazle H, Bhatt S, Dogra V. Schwannoma of the tibial nerve. J Diagn Med Sonogr. 2010;26(4):205-8. doi: 10.1177/8756479310374360.
Minic AJ. Central schwannoma of the maxilla. Int J Oral Maxillofac Surg. 1992;21(5):297-8. doi: 10.1016/s0901-5027(05)80742-8, PMID 1453031.
Gallo WJ, Moss M, Shapiro DN, Gaul JV. Neurilemoma: a review of the literature and report of five cases. J Oral Surg. 1977;35(3):235-6. PMID 264530.