
1,4Department of Microbiology, Rangaraya Medical College, Kakinada, Andhra Pradesh, India. ²Department of Microbiology, Andhra Medical College, Visakhapatnam, Andhra Pradesh, India. ³Department of Microbiology, Govt. Medical College, Machilipatnam, Andhra Pradesh, India
*Corresponding author: P. V. Ramana; *Email: ramanapv93@gmail.com
Received: 25 Feb 2024, Revised and Accepted: 08 Apr 2024
ABSTRACT
Objective: Surgical site infections [SSI] are regarded as a serious clinical issue and is associated with higher morbidity and death rates. SSIs are defined as infections that develop in the body area where surgery was performed and classified as superficial, deep, and organ-specific. The pathophysiology of SSIs has been linked to both exogenous contamination by medical professionals or contaminated surgical instruments and endogenous contamination by skin flora. The age, obesity, diet, and preoperative hospitalization risk variables were categorized as intrinsic to the SSI. This study undertaken to assess the prevalence of SSI and the microorganisms linked to it and to determine the antibiogram of all isolates
Methods: A hospital-based prospective study conducted at Government General Hospital, Kakinada during January 2023 to December 2023. Patient information was documented, including the procedure type, kind of wound infection, wound class [clean, clean-contaminated, and contaminated], and the total number of days spent in the hospital. Pus sample was collected and subjected to Gram stain, culture and antibiotic susceptibility testing done by standard microbiological procedure.
Results: A total of 1506 procedures were performed in which 60 cases [3.9%] developed SSI. Escherichia coli was the most commonly isolated followed by S. aureus, E. faecalis, K. pneumoniae and Proteus spp. Maximum ESBL production [25%] seen in E. coli. S. aureus and E. faecalis were Susceptible to Teicoplanin, Linezolid. Gram negative bacteria were susceptible to Amikacin, Piperacillin–Tazobactam.
Conclusion: In the present study, the rate of infection is 3.9%. The common isolate was E. coli and there is an emerging drug resistance. To prevent SSIs i would suggest that frequent surveillance, appropriate pre and postsurgical management, rigorous adherence to hospital infection control protocols, and prevention of bacterial drug resistance are crucial.
Keywords: SSI, Incidence, Risk factors, Bacterial pathogens, Antibiotic susceptibility testing
© 2024 The Authors. Published by Innovare Academic Sciences Pvt Ltd. This is an open access article under the CC BY license (https://creativecommons.org/licenses/by/4.0/)
DOI: https://dx.doi.org/10.22159/ijcpr.2024v16i3.4094 Journal homepage: https://innovareacademics.in/journals/index.php/ijcpr
Surgical site infections [SSI] are regarded as a serious clinical issue and is associated with higher morbidity and death rates. It's been linked to increased financial strain, extended hospital stay, and a high death rate. SSIs are defined as infections that develop in the body area where surgery was performed. In the United States, SSI is the most common complication, accounting for 2-5% of post-surgery patients, with a wide range of incidence and frequency [1]. Centers for Disease Control and prevention [CDC] classified surgical site infections [SSIs] into three categories: superficial, deep, and organ-specific [2].
The pathophysiology of surgical site infections [SSI] has been linked to both exogenous contamination by medical professionals or contaminated surgical instruments and endogenous contamination by skin flora. A number of other parameters, including the organism's load and the pathogen’s virulence factors, are also important in the development of SSI. The age, obesity, diet, and preoperative hospitalization risk variables were categorized as intrinsic to the SSI. The length of the procedure, hair removal, skin preparation, antimicrobial prophylaxis, and patient preparation all have an impact on the result of the surgery, and poor preparation increases the risk of surgical site infections [3].
According to published research, a number of bacteria have been linked to surgical site infections [SSIs], and the type of surgery has been linked to an etiological pathogen [4]. Significant risk factors for SSI were discovered by Patak et al. in their detailed analysis. These risk variables included length of stay prior to surgery, presence of drains, history of prior hospitalization, and severity of the condition [5]. The occurrence of gram-negative bacteria that are resistant to many drugs and linked to surgical site infections is a major cause for concern, according to a Mumbai study. This study was undertaken in our hospital to assess the prevalence of SSI and the microorganism linked to it with their antibiogram as no previous studies were conducted [6].
Study design
This prospective study was done in the Department of Microbiology, GGH, Kakinada. The study period was from January 2023 to December 2023. Patient information was documented, including the procedure type, kind of wound infection, wound class [clean, clean-contaminated, and contaminated], and the total number of days spent in the hospital.
Inclusion criteria
During the study period, all patients admitted from various surgical wards of the hospitals for elective or emergency surgeries related to clean, clean-contaminated, and contaminated were included. We gathered and examined the demographic information, related comorbidities, risk factors, length of operation, and clinical assessment of the wound.
Exclusion criteria
Patients receiving immunosuppressive medicine or diagnosed with any immunodeficiency illness, patients receiving antibiotics for prior infections, patients with infections elsewhere in the body, and patients who had undergone a second surgery at the same location for whatever reason were also not included in the study.
Sample collection and microbiological evaluation
Two pus swabs were collected from various surgically infected areas classified as SSI, as indicated in table 1. Pre-existing conditions were identified, including hypertension, coronary artery disease [CAD], chronic kidney disease [CKD], and other SSI symptoms. One swab is used for Microscopy [Gram staining] and another swab for culture on MacConkey and Blood agar which were incubated at 37 ⁰C overnight. Based on the colony morphology and, biochemical reactions and Standard microbiological techniques, the organism were identified and then subjected to antibiotic susceptibility testing done by Kirby Bauer disc diffusion method.
Microsoft Excel is used for statistical analysis.
Table 1: Details of type of surgery, type of wound, type of specimen and hospital stay
| S. No. | Surgery | Type of wound infections | Specimen | Stay at hospital (days) |
| 1 | Lower segment caesarean section | Clean contaminated | Wound swab | 8 |
| 2 | Total abdominal Hysterectomy | Clean contaminated | Wound swab | 11 |
| 3 | Total abdominal Hysterectomy | Contaminated | Wound swab | 24 |
| 4 | Exploratory laparotomy | Contaminated | Wound swab | 7 |
| 5 | Closed reduction internal fixation | Clean contaminated | Wound swab | 12 |
| 6 | Closed reduction internal fixation | Clean contaminated | Wound swab | 9 |
| 7 | Minimal invasive percutaneous plate osteosynthesis | Clean contaminated | Wound swab | 5 |
A total of 1506 procedures were performed during this time in our hospital, present study found that 60 cases [3.9%] developed SSI [table 2]. Total of 453/1506 surgical procedures that were done in the orthopedic department suspected SSIs were 17/453 out of which 14 were culture positive and 3 were culture negative. Total of 562/1506 surgical procedures that were done in the gynecology department suspected SSIs were 20/562 out of which 15 were culture positive and 5 were culture negative and total of 491/1506 procedures that were done in the surgery department, suspected SSIs were 23/491 out of which 19 were culture positive and 4 were culture negative [table 3]. Preoperative, intraoperative, and postoperative examinations were performed on the patients.
Table 2: Showing incidence of SSI’s and percentage of culture isolates
| Percentage | Number [n] | Percentage |
| Total procedures | 1506 | 3.9% |
| Suspected SSI’s | 60 | |
| Positives | 48 | 80% |
| Negatives | 12 | 20% |
Table 3: Department wise samples and culture positives
| Departments | Total suspected SSI | Positives | Negatives |
| Orthopedics [453] | 17 | 14 | 3 |
| Gynecology [562] | 20 | 15 | 5 |
| Surgery [491] | 23 | 19 | 4 |

Fig. 1: Gender-wise distribution of SSI’s
Patients’ age ranged from 17 to 70 y old, including 11 [18.3%] female and 49 [81.6%] male patients [fig. 1]. 17 patients were in the 17–34 age group, 20 patients in the 35–51 age group, and 23 patients in the 52–70 age group. In 43 cases, the surgery lasted less than two hours, while in the remaining 17 cases, the procedure took longer than two hours. 2 case of chronic kidney illness, 1 case of coronary artery disease, 26 cases of hypertension, and 11 cases of admission due to traffic accidents are among the few cases with comorbidities [table 4]. 43 of the cases that were scheduled for surgery were considered elective, while 17 cases were scheduled as emergency cases. Infections from surgical wounds were seen in these 60 patients. 34 cases had clean contaminated wounds and 26 had contaminated wounds recorded [table 5].
Table 4: Risk factors associated with SSI’s
| Age/Type of wound | Positive | Negative |
| 17-34 [17] | 13 | 4 |
| 35-51 [20] | 18 | 2 |
| 52-70 [23] | 17 | 6 |
| Clean contaminated wound [34] | 22 | 12 |
| Contaminated wound [26] | 26 | 0 |
Of the 60 SSI cases, 48 [80%] tested positive for the infection. 31 cases [79%] out of the elective surgeries had positive cultures, while 17 cases [100%] out of the emergency procedures had positive cultures. All cultures of comorbid individuals with CAD, CKD, and hypertension revealed the presence of bacterial growth [table 5].
Table 5: Type of wound and their culture positivity
| Factors associated with SSI | Total SSI samples | Positives | Negatives |
| Chronic kidney disease | 2 | 2 | 0 |
| Coronary artery disease | 1 | 1 | 0 |
| Hypertension | 26 | 26 | 0 |
| Road traffic accidents | 11 | 11 | 0 |
| Emergency surgeries | 17 | 17 | 0 |
| Elective surgeries | 43 | 31 | 12 |
| <2 h | 43 | 37 | 6 |
| >2 h | 17 | 11 | 6 |
The most common organism among the 48 bacterial isolates was determined to be Escherichia coli 21/48 [43.7%] [fig. 2, 4], which was followed by Staphylococcus aureus 13/48 [27%] includes 9 MSSA and 4 MRSA, Enterococcus faecalis 4/48 [8.3%], klebsiella pneumoniae 7/48 [14.5%] and Proteus spp. 3/48 [6.25%] [fig. 4]

Fig. 2: Escherichia coli on MacConkey agar


Fig. 3: Staphylococcus aureus on blood agar and positive tube coagulase test

Fig. 4: Shows causative organisms of SSI's
Antibiotic susceptibility pattern
Staphylococcus aureus and Enterococcus were Susceptible to Teicoplanin, Linezolid, Amoxicillin-clavulanic acid, Gentamycin. MRSA showed sensitivity to vancomycin, teicoplanin, linezolid [table 6]. In gram negative bacteria, Escherichia coli were sensitive to Amikacin, Piperacillin–Tazobactam, Amoxicillin-clavulanic acid, Ciprofloxacin and Klebsiella pneumoniae were sensitive to Piperacillin-Tazobactam, Amoxicillin-clavulanic acid, ciprofloxacin and Amikacin [table 7] [fig. 5]. Among all gram-negative bacteria, maximum ESBL production [25%] is seen in Escherichia coli. Proteus was susceptible to the aminoglycosides and cephalosporin.

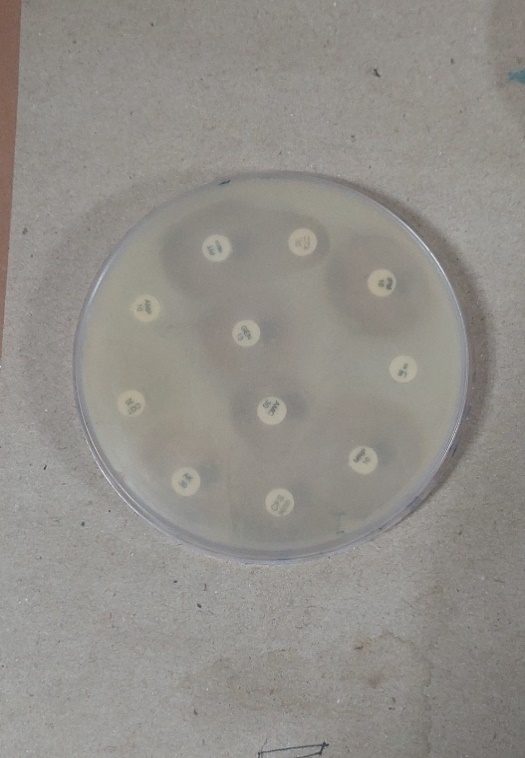
Fig. 5: AST showing susceptibility pattern
Table 6: Gram-positive isolates susceptibility pattern
| Antibiotics | Susceptible | Resistance |
| Teicoplanin | 98% | 2% |
| Linezolid | 86% | 24% |
| Vancomycin | 82% | 18% |
| Amoxicillin-clavulanic acid | 66% | 34% |
| Gentamycin | 53% | 47% |
Table 7: Gram-negative isolates susceptibility pattern
| Antibiotics | Susceptible | Resistance |
| Amikacin | 98% | 2% |
| Piperacillin-Tazobactam | 91% | 9% |
| Amoxicillin-clavulanic acid | 79% | 21% |
| Ciprofloxacin | 62% | 38% |
| Ceftriaxone | 58% | 42% |
| Cefotaxime | 52% | 48% |
Table 8: Comparison of results between present and previous studies
| Name | Present study | Previous study | Isolation % |
| SSI isolation rate | 3.9% | Agarwal et al., | 4.5% |
| Emergency surgeries | 100% | Rubin RH et al., | 100% |
| Males are most commonly effected | 81% | Ambika Bhatiani et al., | 81.3% |
| SSI incidence in patients with comorbidities | 100% | Mejía et al., | 100% |
| Escherichia coli (33.3%) | 33.3% | Safia Bibi et al., | 33.3% |
Among all the SSI’s studied, overall infection rate in the present study is 3.9% which is less than other studies i.e.,4.5% in Agarwal et al. [7] and 6% in Anvikar et al. [8]. In this study, the extremely low incidence of SSI cases which are reported highlights the productive work of the hospital infection control committee and need for ongoing, strict adherence to standard operating procedures.
Present study shows males are most commonly effected than females which is similar with Ambika Bhatiani et al. [9]. This is due to risk factors including cigarette smoking, men making up the majority of accident cases, having different treatment adherence and more colonization of exposed wounds. The present study shows 100% culture isolates in emergency surgeries, which correlates with study of Rubin RH et al. [10] because of poor aseptic conditions.
Comorbid conditions like CAD, CKD, and hypertension are significant risk factors for SSI on their own. Mejía et al. [11] study revealed that patients with comorbidities act as risk factors favouring SSI. Our findings corroborate this finding, showing that comorbidities [CAD, CKD, and hypertension] account for 100% of the increase in SSI incidence in these individuals [table 8].
In the present study of all the gram-negative bacteria, Escherichia coli [33.3%] is the predominant isolate which correlates with Safia Bibi et al. [12] Another reason for the predominance of Gram negative organisms may be the fact that most of the infected patients in our study had undergone abdominal surgery and gram negatives are predominantly reported to be involved in intra abdominal procedures. infection process is usually dependent on the study population and local antimicrobial use pattern which results in the emergence of pathogens that have the potential to resist currently used antibiotics.
In the present study shows isolation of proteus mirabilis, which shows similar isolation in R. Saravanakumar et al. [13]. In emergency cases Proteus mirabilis is the most common organism involved in SSI.
In my present study, the rate of SSI is 3.9%. The most common isolate was Escherichia coli followed by S. aureus. Escherichia coli were sensitive to Amikacin, Piperacillin–Tazobactam. S. aureus and Enterococcus were Susceptible to Teicoplanin Linezolid and there is an emerging drug resistance. Delayed surgeries in the present study is also observed one of the cause for SSIs. To prevent SSIs i would suggest that active surveillance of SSIs, appropriate pre and postsurgical management, rigorous adherence to hospital infection control protocols, and prevention of bacterial drug resistance are crucial.
Nil
All authors have contributed equally.
Declared none
Reddy RS, Muqtadir AA, Mandevwad G, HRR, MKR. Spectrum of surgical site infections at a tertiary care hospital in Hyderabad. Indian J Microbiol Res. 2020;7(4):322-6. doi: 10.18231/j.ijmr.2020.057.
Kolasinski W. Surgical site infections-review of current knowledge, methods of prevention. Pol Przegl Chir. 2018;90(5):1-7. doi: 10.5604/01.3001.0012.7253.
Garner BH, Anderson DJ. Surgical site infections: an update. Infect Dis Clin North Am. 2016;30(4):909-29. doi: 10.1016/j.idc.2016.07.010, PMID 27816143.
Pal S, Sayana A, Joshi A, Juyal D. Staphylococcus aureus: a predominant cause of surgical site infections in a rural healthcare setup of Uttarakhand. J Family Med Prim Care. 2019;8(11):3600-6. doi: 10.4103/jfmpc.jfmpc_521_19, PMID 31803660.
Pathak A, Saliba EA, Sharma S, Mahadik VK, Shah H, Lundborg CS. Incidence and factors associated with surgical site infections in a teaching hospital in Ujjain, India. Am J Infect Control. 2014;42(1):e11-5. doi: 10.1016/j.ajic.2013.06.013, PMID 24268969.
Shah S, Singhal T, Naik R. A 4 y prospective study to determine the incidence and microbial etiology of surgical site infections at a private tertiary care hospital in Mumbai, India. Am J Infect Control. 2015;43(1):59-62. doi: 10.1016/j.ajic.2014.10.002, PMID 25564125.
Agarwal SL. Study of postoperative wound infection. Indian J Surg. 1972;34:314-20.
Anvikar AR, Deshmukh AB, Karyakarte RP, Damle AS, Patwardhan NS, Malik AK. A one-year prospective study of 3,280 surgical wounds. Indian J Med Microbiol. 1999;17:129-32.
Bhatiani A, Tiwari R, Saqib Hasan Mohd, Afaq N, Narang A, Parveen S. To study the prevalence and risk factors of surgical site infections of patients at a tertiary care centre. J Popul Ther Clin Pharmacol. 2023;30(18):908-17.
Rubin RH. Surgical wound infection: epidemiology, pathogenesis, diagnosis and management. BMC Infect Dis. 2006;6:171. doi: 10.1186/1471-2334-6-171, PMID 17129369.
Ibarra Mejia MP, Felix Verduzco JM, Lopez Lopez ML, Haro Acosta ME, Dautt Silva J. Patient comorbidities as risk factors for surgical site infection in gynecologic and obstetric surgery. IJFCM 2019;3(2). doi: 10.15406/ijfcm.2019.03.00137.
Bibi S, Channa GA. Pattern of bacterial pathogens in postoperative wounds and their sensitivity patterns. Surgical Ward, Jinnah Postgraduate Medical Centre Karachi. Journal of Surgery Pakistan (International). 2009;17(4):164-7.
Saravanakumar RB, BM Pabitha Devi. A, surgical site infection in a tertiary care centre-an overview-a cross-sectional study. Int J Surg Open. 2019;21:12.e16.