
Department of General Medicine, RD Gardi Medical College, Ujjain, Madhya Pradesh, India
*Corresponding author: Pulkit Jain; *Email: pulkitjaingwalior@gmail.com
Received: 20 Feb 2024, Revised and Accepted: 07 Apr 2024
ABSTRACT
Objective: Cerebral autosomal dominant arteriopathy with subcortical infarcts and leukoencephalopathy (CADASIL) is a hereditary syndrome caused by heterozygous mutations in the NOTCH3 gene that manifests in adulthood and is characterized by recurrent transient ischemic attacks and strokes, migraine-like headaches, psychiatric disturbance, and progressive dementia.
Methods: This is a case report.
Results: Current case presented with complain of dizziness and vomiting. The diagnosis was suspected mainly because of the typical brain magnetic resonance imaging (MRI). This shows the importance of brain MRI in the diagnosis of CADASIL.
Conclusion: Increased awareness of neurologists and neuroradiologists about the typical MRI features of CADASIL is of vital importance to reach the diagnosis in a timely manner.
Keywords: CADASIL, Transient ischemic attacks, NOTCH3, Hereditary syndrome, Microangiopathy
© 2024 The Authors. Published by Innovare Academic Sciences Pvt Ltd. This is an open access article under the CC BY license (https://creativecommons.org/licenses/by/4.0/)
DOI: https://dx.doi.org/10.22159/ijcpr.2024v16i3.4085 Journal homepage: https://innovareacademics.in/journals/index.php/ijcpr
Cerebral autosomal dominant arteriopathy with subcortical infarcts and leukoencephalopathy (CADASIL) is a rare vascular disease with an autosomal dominant pattern of inheritance. It is due to NOTCH3 mutations located on chromosome 19 [1]. It is a small vessel disease that commonly presents with ischemic episodes, cognitive deficits, migraine with aura, and psychiatric disturbances [2]. Initial presentation and disease progression among patients with CADASIL is variable, but age of onset is typically in early or middle adulthood. Migraine with aura is often the first and most commonly reported symptom with a reported mean age of onset of 28. Strokes or transient ischemic attacks (TIA) may also be the initial symptom with a reported mean age of onset of 41. Less common initial symptoms include depression, cognitive impairment, and seizures. Stroke and TIAs are common and often recurrent, and dementia typically develops. Most patients progress towards severe disability and premature death [3].
A 51 y old male admitted with history of dizziness and vomiting since 1 d. He does not have any significant past medical history There was no previous history of trauma, drug abuse, toxins, smoking, or alcohol intake. Family history was negative for young-onset stroke or dementia.
On examination, the patient appeared healthy. His blood pressure was 230/120 mm Hg. Heart rate was 78 beats per minute and regular. No aphasia, anopia, or neglect was observed. Eye, face, palate, and tongue movements were normal, although mild dysarthria was noted. Bilateral limb tone, power, reflexes, and coordination were normal. All sensory modalities were normal. On auscultation, neither cervical nor ocular bruits was found. Cardiac examination was normal. There were no finger tremors. A sensory examination showed bilateral hypoesthesia in the lower leg region, below the knees and bilateral numbness of the fourth and fifth fingers. No abnormalities in the urinary tract were found. The ankle-brachial index of blood pressure was normal.
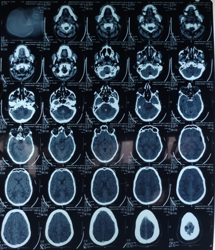
The patient’s routine blood investigations were normal. Serology for HIV, hepatitis B, C, and syphilis was negative. His MRI brain showed a parenchymal bleed in right temporo occipital regions with intra-ventricular leakage of blood and tiny petechial haemorrhage in brain parenchyma bilateral. extensive signal changes in cerebellar hemisphere, bilateral gangliothalamocapsular region, pons, midbrain and deep white matter of both cerebral hemisphere? Microangiopathy? CADASIL.
Clinical features of CADASIL include migraine with aura, ischemic stroke-like events, cognitive disturbances, and mood changes. The most common initial complaint for patients with CADASIL in their 30s is migraine with aura [4]. Clinically, our patient did not experience any migraines with aura or behavioral changes. The patient's previous medical history was unremarkable. The disease is characterized by striking phenotypic heterogeneity in several features, such as age at onset, clinical syndromes, and disease progression. For instance, the disease duration in CADASIL can range from 3 to 43 y diagnosis of the disease [5].
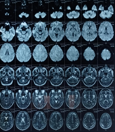
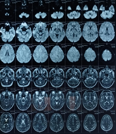
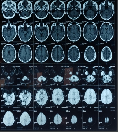
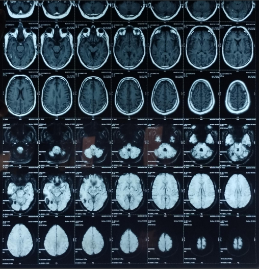
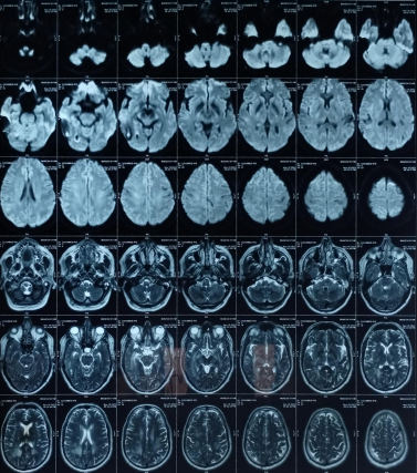
Early-onset dementia (onset before age 65) is a thought-provoking ailment with many possible causes, including early-onset familial Alzheimer’s disease, frontotemporal lobar degeneration, Parkinson’s dementia, Lewy body dementia, disorders of amino acid and organic acid metabolism, leukodystrophies, lysosomal storage diseases, disorders of metal metabolism, and mitochondrial diseases [6]. In our patient, the history, physical examination, laboratory investigations, and neuroimaging were not suggestive of these causes and prompted the search for a rare etiology. The most common MRI finding associated with CADASIL is basal ganglia and white matter hyperintensities in T2-weighted sequences that start as punctate or nodular foci and then often become confluent, extensive, and usually symmetrical, mainly in the periventricular region, anterior temporal pole, external capsule, the centrum semiovale, and frontal and parietal areas. In our patient, diagnosis was made mainly from MRI findings as seen in fig. 1, 2.
![]() |
![]() |
![]() |
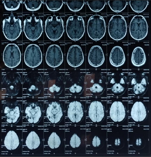
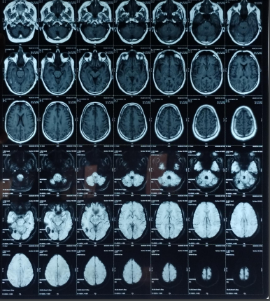
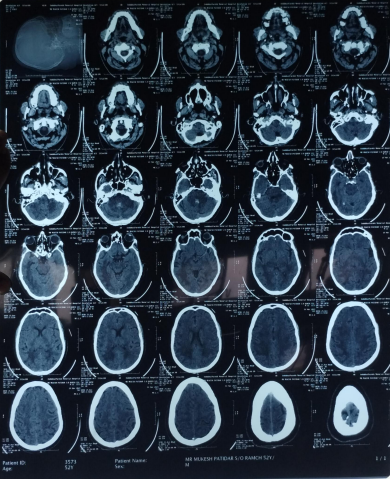
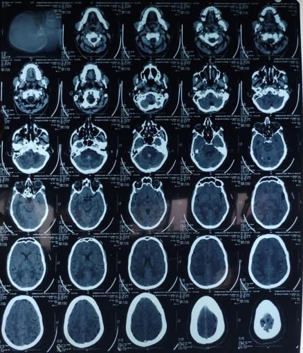
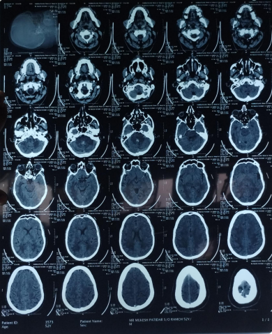
Fig. 1: Tiny petechial hemorrhages are seen in bilateral basal ganglia, white matter of both cerebral hemisphere, midbrain, pns and cerebellum. Diffuse cerebral and cerebellar atrophy is seen with enlarged ventricle due to atrophy. Acute to subacute parenchymal bleed is seen in righttemporo–occipital region. minimal intraventricular leakage of blood is also seen in 4th ventricle
![]() |
![]() |
![]() |
![]() |
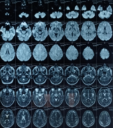
Fig. 2: Extensive hyperintensity on T2W/FLAIR sequence is seen in bilateral thalamus and basal ganglia, both cerebellar hemisphere, mid brain, pons and in deep white matter of both cerebral hemispheres
This article reported an interesting case of CADASIL from central part of India who had an atypical clinical presentation. The diagnosis was suspected mainly because of the typical brain MRI features. This shows the importance of brain MRI in the diagnosis of CADASIL. Increased awareness of neurologists and neuroradiologists about the typical MRI features of CADASIL is of vital importance to reach the diagnosis in a timely manner. Awareness of the atypical presentations of CADASIL will lead to identifying more CADASIL cases. Multidisciplinary care of patients with CADASIL should be carried out in specialized centers.
Nil
All the authors have contributed equally.
Declared none
Joutel A, Corpechot C, Ducros A, Vahedi K, Chabriat H, Mouton P. Notch3 mutations in CADASIL, a hereditary adult-onset condition causing stroke and dementia. Nature. 1996 Oct;383(6602):707–10. doi: 10.1038/383707a0[PubMed]0028-083.
Spearman B, Karambelkar A, Talekar K. CADASIL: a case report with an atypical presentation and novel mutation. IJRRT. 2017;4(2):358-61. doi: 10.15406/ijrrt.2017.04.00094.
Joutel A, Andreux F, Gaulis S, Domenga V, Cecillon M, Battail N. The ectodomain of the notch3 receptor accumulates within the cerebrovasculature of CADASIL patients. J Clin Invest. 2000;105(5):597-605. doi: 10.1172/JCI8047, PMID 10712431.
Vahedi K, Chabriat H, Levy C, Joutel A, Tournier Lasserve E, Bousser MG. Migraine with aura and brain magnetic resonance imaging abnormalities in patients with CADASIL. Arch Neurol. 2004 Aug;61(8):1237–40. doi: 10.1001/archneur.61.8.1237[PubMed]0003-9942.
Ferrante EA, Cudrici CD, Boehm M. CADASIL: new advances in basic science and clinical perspectives. Curr Opin Hematol. 2019;26(3):193-8. doi: 10.1097/MOH.0000000000000497, PMID 30855338.
Masellis M, Sherborn K, Neto P, Sadovnick DA, Hsiung GY, Black SE. Early-onset dementias: diagnostic and etiological considerations. Alzheimers Res Ther. 2013;5Suppl 1:S7. doi: 10.1186/alzrt197, PMID 24565469.
Schoemaker D, Quiroz YT, Torrico Teave H, Arboleda Velasquez JF. Clinical and research applications of magnetic resonance imaging in the study of CADASIL. Neurosci Lett. 2019;698:173-9. doi: 10.1016/j.neulet.2019.01.014, PMID 30634011.