
1RCSM GMC and CPR Hospital Kolhapur, India. 2Department of Pediatric, RCSM GMC and CPR Hospital Kolhapur, India. 3Department of Pediatric, RCSM GMC and CPR Hospital, Kolhapur
*Corresponding author: Vijay Laxmi Sharma; Email: vls21095@gmail.com
Received: 10 Apr 2024, Revised and Accepted: 02 Jun 2024
ABSTRACT
Objective: Mechanical ventilation has been proven to be lifesaving and has significantly reduced mortality in the pediatric population. Despite its life-saving advantages, mechanical ventilation is associated with complications. The study aimed to assess the complications of mechanical ventilation in children up to 12 y of age admitted to the intensive care unit.
Methods: The present descriptive, observational, cross-sectional study was conducted on 165 children aged between 0 to 12 y, who were mechanically ventilated for>48 h. Patients were observed daily until the desired result was achieved and were checked to look for complications or negative effects of mechanical ventilation.
Results: The majority of subjects belonged to<1 mo of age (77.58%) whereas the maximum number of patients were male (64.24%). In 77.58% of patients, the indication for mechanical ventilation was respiratory failure. The duration of ventilation in 62.43% of patients was>7 d. A total of n=62 (37.58%) patients had ventilator-associated complications. The most common complication was ventilator-associated pneumonia (n=30, 48.38%). The mean hospital stay was found to be 22.88±7.96 d. Whereas the mean hospital stay in patients without complications was significantly less compared to patients with complications (18.57±10.09 d vs 27.19±5.83 d, P=0.00015). The mortality rate was found to be 47.27%.
Conclusion: Respiratory cause was the most common indication for mechanical ventilation. The most common complication was ventilator-associated pneumonia. The subjects with complications had prolonged hospital stays.
Keywords: Mechanical ventilation, Pediatric intensive care, Ventilator associated pneumonia
© 2024 The Authors. Published by Innovare Academic Sciences Pvt Ltd. This is an open access article under the CC BY license (https://creativecommons.org/licenses/by/4.0/)
DOI: https://dx.doi.org/10.22159/ijcpr.2024v16i4.4096 Journal homepage: https://innovareacademics.in/journals/index.php/ijcpr
A critical and frequent kind of therapy in the intensive care unit (ICU) is ventilator support. This modality has developed into a very specialized field in recent y. Different artificial techniques used to promote ventilation and oxygenation are referred to as mechanical ventilation. Mechanical ventilation aims to enhance patient-ventilator synchronization, provide appropriate oxygenation and optimal alveolar ventilation, minimize alveolar excess distension, maintain alveolar recruitment, and employ the lowest FiO2 feasible [1].
In ICU, mechanical ventilation is often employed, and more than 20% of kids need invasive ventilator assistance [2, 3]. There are many non-respiratory indications for mechanical ventilation, including neurological and neuromuscular pathology, congenital heart disease, hemodynamic shock, postoperative care, and pain management, even though respiratory disease is a major reason for invasive mechanical ventilation. When compared to clinical practice from 30 y ago, pediatric patients are presently ventilated with a reduced tidal volume and lower peak inspiratory pressure [4]. Pediatricians must be skilled in recognizing, avoiding, and treating mechanical ventilation difficulties since they happen often despite the extensive use of lung-protective breathing techniques in the pediatric population [2].
Studies examining the side effects of mechanical ventilation in children are uncommon and were mostly done before the development of protective breathing techniques for acute lung damage [5, 6]. Recent research on kids has either focused on a few problems, such as ventilator-associated pneumonia (VAP) and extubation failure (FE), or it has gathered data from previous studies on non-invasive or at-home mechanical ventilation for children [7-9]. There isn’t much research that thoroughly explores mechanical ventilation complications in children and the variables that contribute to difficulties [10]. Therefore the present study was undertaken to study the complications of mechanical ventilation in children up to 12 y admitted to the intensive care unit.
The present descriptive, observational, cross-sectional study was conducted at Rajarshee Chhatrapati Shahu Maharaj Government Medical College, Kolhapur, from 31st December 2020 to 31st March 2022 after institutional ethical committee approval. A total of 165 children aged between 0 to 12 y, who were mechanically ventilated for>48 h were included in the study. Whereas children receiving ventilation by tracheostomy, those who had received mechanical ventilation in other hospitals before admission, and patients already having chronic kidney disease, chronic liver disease, and death within 48 h of ventilation were excluded from the study.
All the patients satisfying inclusion and exclusion criteria were included in the study. Written informed consent was obtained from parents and the patient wherever necessary. Patient data regarding weight, age, sex, comorbidities, indication for mechanical ventilation, details of mechanical ventilation, and diagnosis were collected. Procedure information for each intubation and extubation event was documented for each patient. The information was gathered daily at admission from the ventilator display or ventilation flow sheet. Patients were observed daily until the desired result was achieved and were checked to look for complications or negative effects of mechanical ventilation.
After noting the total time of mechanical ventilation and hospital stays, the impact of complications with mechanical ventilation on the patient's outcome, such as an extension of the duration of mechanical ventilation or death, was examined.
Statistical analysis
Data were collected and entered into a Microsoft Excel sheet. Continuous variables were expressed in mean and standard deviation and categorical variables were expressed in percentage and frequency by using SPSS IBM 20 version. The association between variables was assessed using the Chi-square test. P<0.05 was considered statistically significant.
The majority of subjects belonged to<1 month of age (77.58%) (table 1 and fig. 2).

Fig. 1: Neonatal ventilation
Table 1: Distribution of subjects according to demographical variables
| Variables | Subcategories | Frequency (n) | Percentage (%) |
| Age (months) | <1 | 128 | 77.58 |
| 1-6 | 17 | 10.30 | |
| 7-12 | 1 | 0.61 | |
| 13-60 | 13 | 7.88 | |
| >60 | 6 | 3.63 | |
| Sex | Female | 59 | 35.76 |
| Male | 106 | 64.24 |

Fig. 2: Distribution of subjects according to age
In 77.58% of patients, the indication for mechanical ventilation was respiratory failure. The duration of ventilation in 62.43% of patients was>7 d. The detailed distribution of subjects according to indication and duration of ventilation is depicted in table 2.
Table 2: Distribution of subjects according to indication and duration of ventilation
| Variables | Subcategories | Frequency (n) | Percentage (%) |
| Indications | Cardiovascular failure | 17 | 10.30 |
| Neuromuscular disease | 17 | 10.30 | |
| Respiratory cause | 128 | 77.58 | |
| Other | 3 | 1.82 | |
| Duration of ventilation (d) | >2-3 | 47 | 28.48 |
| 4-7 | 15 | 9.09 | |
| >7 | 103 | 62.43 |
A total of n=62 (37.58%) patients had ventilator-associated complications. The most common complication was ventilator-associated pneumonia (n=30, 48.38%). A detailed illustration of complications is shown in table 3 and fig. 3.
Table 3: Distribution of subjects according to complications
| Complication | Frequency (n) | Percentage (%) |
| Pneumothorax | 5 | 8.06 |
| Ventilator-associated pneumonia | 30 | 48.38 |
| Collapse | 18 | 29.03 |
| Accidental extubation | 5 | 8.06 |
| Extubation failure | 2 | 3.22 |
| Perioral tissue damage | 2 | 3.22 |
| Total | 62 | 100 |

Fig. 3: Distribution of subjects according to complications
The mean hospital stay was found to be 22.88±7.96 d. Whereas the mean hospital stay in patients without complications was significantly less compared to patients with complications (18.57±10.09 d vs 27.19±5.83 d, P=0.00015). The mortality rate was found to be 47.27%.

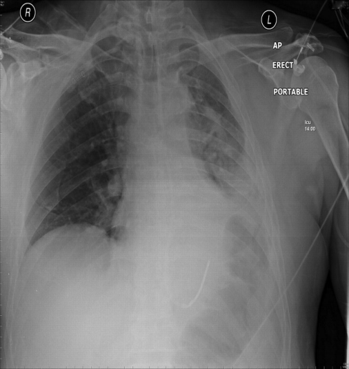
Fig. 4: Chest X-ray showing ventilator-associated pneumonia
The study was conducted to assess the complications of mechanical ventilation in children up to 12 y of age, admitted to the intensive care unit. We included children on mechanical ventilation for>48 h. Our findings suggested that the use of mechanical ventilation was more common in the subjects with 0-1 months of age. This could be due to low birth weight, preterm birth, sepsis, hypoglycemia, birth asphyxia, pulmonary haemorrhage, and meningitis in newborns. Furthermore, in our study, male predominance was seen (64.24%). The male predominance may be due to, as the majority of the study population being newborns; thus, the effect of testosterone can cause reduced surfactant production [11]. Another reason for male predominance may be in countries such as India where male is the gender of choice and receive extra care. These findings are comparable with previous reports [7, 12, 13].
In this study, the majority of patients were preterm newborns and respiratory distress syndrome was the most common diagnosis. The most common indication in our study was impending respiratory failure due to respiratory distress. In the present study, 77.58% of children were seen with respiratory failure of mechanical ventilation, followed by 10.30% with cardiovascular failure and neuro-muscular disease, respectively. Furthermore, 62.43%, 28.48%, and 9.09% of subjects had a duration of ventilation>7 d, 2-3 d, and 4-7 d respectively. In the study of Sathyadith N et al. the most common indication for ventilation was respiratory failure and decompensated shock. In their study, the mean duration of ventilation was 3.4±2.5 d while 40% of cases had ventilation support for 3-7 d [14]. In the study of Abdelrazic MI et al., mechanical ventilation was indicated for respiratory failure secondary to either respiratory causes in 91(36.2%) infants, for non-respiratory causes in 135 (53.7%) infants, or for both respiratory and non-respiratory causes in 25(9.9%) infants. In their study the mean duration for mechanical ventilation was 4.1±2.6 d, ranging from 1 to 17 d [12]. The difference in the results may be due to differences in sample characteristics, study setting, presence of comorbidities, etc.
In the present study, the complication rate was found to be 37.58%. The complications including ventilator-associated pneumonia (48.38%), collapse (29.03%), pneumothorax (8.06%), accidental extubation (8.06%), extubation failure (3.22%), and perioral tissue damage (3.22%). Similar rates of complications were shown in previous reports [14-16]. However, complications vary in these reports, the possible reason may be the type of mechanical ventilation device used, study population, and duration of mechanical ventilation.
In our study average hospital stay was 22.88±7.96 d, the average hospital stay in patients with complications was 27.19±5.83 d, and without complications was 18.57±10.09 d; the difference was statistically significant (P=0.00015). This suggests that hospital stay was prolonged in patients with mechanical ventilation with complications as compared to those without complications. A similar trend of hospital stay is reported in the study of Bhori NS et al. [16]. Furthermore, in our study, the mortality was found to be 47.27%. Various studies have reported mortality rates ranging from 12.5% to 58.3% [15-19]. ICUs with higher mortality may be caring for patients with more severe illnesses and vice versa. However, lower mortality rates do not necessarily translate into better long-term outcomes. In developed countries, the overall mortality rates in mechanically ventilated patients in ICUs were<2% [20].
In this study, ventilator-associated pneumonia and respiratory collapse were the most common complications in the study subjects. Therefore, health education and training of staff regarding aseptic precaution, equipment care, and monitoring to prevent or detect complications at the earliest is necessary so that timely intervention and mechanical ventilation can reduce the duration of mechanical ventilation and hospital stay and thus improve the outcome.
Nil
All the authors have contributed equally
Declared none
Prakash Kumar M, Mohan Chandran CN, Sudharsan NE, Dasari SS, Sureddi T, Nimmagadda GK. Clinical profile and outcomes of mechanically ventilated children in pediatric intensive care units-a single centre prospective study. Int J Sci Res. 2022;11(1):1342-7.
Sood S, Ganatra HA, Perez Marques F, langner TR. Complications during mechanical ventilation-a pediatric intensive care perspective. Front Med (Lausanne). 2023 Feb 1;10:1016316. doi: 10.3389/fmed.2023.1016316, PMID 36817772.
Khemani RG, Markovitz BP, Curley MA. Characteristics of children intubated and mechanically ventilated in 16 PICUs. Chest. 2009 Sep 1;136(3):765-71. doi: 10.1378/chest.09-0207, PMID 19542258.
Albuali WH, Singh RN, Fraser DD, Seabrook JA, Kavanagh BP, Parshuram CS. Have changes in ventilation practice improved outcome in children with acute lung injury? Pediatr Crit Care Med. 2007 Jul 1;8(4):324-30. doi: 10.1097/01.PCC.0000269390.48450.AF, PMID 17545937.
Konca C, Tekin M, Kucuk A. Incidence of mechanical ventilation adverse events in critically ill children in a tertiary pediatric Intensive Care Unit. Turk Thorac J. 2022 Jul;23(4):277-83. doi: 10.5152/TurkThoracJ.2022.21253, PMID 35848435.
Rivera RA, Tibballs JA. Complications of endotracheal intubation and mechanical ventilation in infants and children. Crit Care Med. 1992 Feb 1;20(2):193-9. doi: 10.1097/00003246-199202000-00008, PMID 1737455.
Amanati A, Karimi A, Fahimzad A, Shamshiri AR, Fallah F, Mahdavi A. Incidence of ventilator-associated pneumonia in critically ill children undergoing mechanical ventilation in pediatric intensive care unit. Children. 2017 Jul 3;4(7):56. doi: 10.3390/children4070056.
Ulger AF, Poyraz B, Gulec Balbay EG, Binay S. Our experience of 200 patients: usage and maintenance of long-term oxygen therapy and non-invasive ventilation devices at home. Int J Clin Exp Med. 2014;7(1):170-6. PMID 24482704.
Nascimento MS, Rebello CM, Vale LA, Santos E, Prado CD. Spontaneous breathing test in the prediction of extubation failure in the pediatric population. Einstein (São Paulo). 2017 Apr;15(2):162-6. doi: 10.1590/S1679-45082017AO3913, PMID 28767913.
Principi T, Fraser DD, Morrison GC, Farsi SA, Carrelas JF, Maurice EA. Complications of mechanical ventilation in the pediatric population. Pediatr Pulmonol. 2011 May;46(5):452-7. doi: 10.1002/ppul.21389, PMID 21194139.
Baseer KA, Mohamed M, Abd-Elmawgood EA. Risk factors of respiratory diseases among neonates in neonatal intensive care unit of Qena University Hospital, Egypt. Ann Glob Health. 2020;86(1):22. doi: 10.5334/aogh.2739, PMID 32140431.
Abdelrazic M, Said H, Abd Al-Hakeem AA, Abd Al-Razeq E. Mechanical ventilation in pediatric Intensive Care Unit at Minia University Hospital. Minia J Med Res. 2022 Oct 1;33(4):191-6. doi: 10.21608/mjmr.2022.150272.1121.
Javaid MS, Basheer F, Jalil J. Clinical profile and outcome of ventilated children in a pediatric intensive care unit of a tertiary care hospital. Pak Armed Forces Med J. 2020 Dec 16;70(6):1892-6.
Sathyadith DN, Sucindar DM, Ramesh DS. Clinical profile and outcome of mechanically ventilated children in pediatric intensive care unit at a tertiary care hospital. Int J Paediatrics Geriatrics. 2020;3(2):97-103. doi: 10.33545/26643685.2020.v3.i2b.103.
Othman AA, Oshaib ZF, Moneim ME. Mechanical ventilation outcomes at the NICU at EL-Zahraa University Hospital. OJPed. 2020 Nov 4;10(4):732-43. doi: 10.4236/ojped.2020.104074.
Bhori NS, Ghate SV, Chhajed PS. A study of mechanical ventilation in children. Int J Contemp Pediatr. 2017 Oct 24;4(6):2088-92. doi: 10.18203/2349-3291.ijcp20174737.
Dave H, Kumar VH, Tandon KR, Tandon RK. Mechanical ventilation practices in a pediatric intensive care unit located at rural tertiary care teaching hospital of gujarat–a retrospective descriptive study. J Pediatr Crit Care. 2017 Jul 1;4(3):27. doi: 10.21304/2017.0403.00190.
Kendirli T, Kavaz A, Yalaki Z, Ozturk Hismi B, Derelli E, Ince E. Mechanical ventilation in children. Turk J Pediatr. 2006;48(4):323-7. PMID 17290566.
Vijayakumary T, De Silva JR, Sarathchandra J, Kumarendran B. Prospective study of ventilated patients in the paediatric medical intensive care unit of lady Ridgeway Hospital. Sri Lanka J Child Health. 2012;41(3):114-7. doi: 10.4038/sljch.v41i3.4598.
Randolph AG, Meert KL, O’Neil ME, Hanson JH, luckett PM, Arnold JH. The feasibility of conducting clinical trials in infants and children with acute respiratory failure. Am J Respir Crit Care Med. 2003;167(10):1334-40. doi: 10.1164/rccm.200210-1175OC, PMID 12615617.