
1Department of General Surgery, Hitech Medical College, Rourkela, India. 2Department of Pathology, Hitech Medical College, Rourkela, India. 3Department of General surgery, Hitech medical college, Bhubaneswar, India.
*Corresponding author: Pragnya Paramita Mishra; Email: pparamita1982@gmail.com
Received: 14 Apr 2024, Revised and Accepted: 03 Jun 2024
ABSTRACT
Intussusception is defined as the invagination of one segment of the bowel into an immediately adjacent segment of the bowel. It is common in children, and idiopathic ileocolic intussusception is the most common form. It is rare in adults, and again, hamartomatous polyposis is a rare cause of intussusception in adults. But, this complication is most frequent for patients with Peutz-Jeghers syndrome (PJS). It represents 5% of all intussusceptions and accounts for only 1–5% of intestinal obstruction in adults. PJS is a clinical diagnosis based on any one of the following World Health Organization criteria: three or more histologically confirmed Peutz-Jeghers polyps; any number of PJ polyps with a family history of PJS; characteristic, prominent, mucocutaneous pigmentation with a family history of PJS; or any number of Peutz-Jeghers polyps and characteristic prominent, mucocutaneous pigmentation. Here we report a case of intussusceptions in a 21 y old male with underlying PJ polyp in the intestine and mucocutaneous pigmentation.
Keywords: Intussusception, Hamartomatous polyposis, Mucocutaneous pigmentation, Peutz-Jeghers syndrome, Small-bowel screening
© 2024 The Authors. Published by Innovare Academic Sciences Pvt Ltd. This is an open access article under the CC BY license (https://creativecommons.org/licenses/by/4.0/)
DOI: https://dx.doi.org/10.22159/ijcpr.2024v16i4.4099 Journal homepage: https://innovareacademics.in/journals/index.php/ijcpr
The invagination of one bowel segment into a directly adjacent segment is known as an intussusception. It seldom affects just the big bowel and is more common in the small intestine. When invagination persists and causes edema, the bowel's vascular flow eventually gets disrupted. This causes ischemia in the afflicted segment, which, if ignored, can lead to necrosis and perforation. The most frequent cause of intestinal blockage in children under three years old is ileocolic intussusceptions. Children's intussusception usually has an idiopathic origin, frequently impacted by viral or anatomical factors. The diagnosis and management in this population is usually nonoperative reduction of the intussusceptum using air or contrast enemas. In adults, intussusception is rare; the underlying causes include pathologic lead points, which can be intraluminal, mural, or extramural. The treatment of intussusception-causing obstruction in adults involves bowel resection surgery. Small-bowel screening is advised to avoid repeat, urgent procedures.
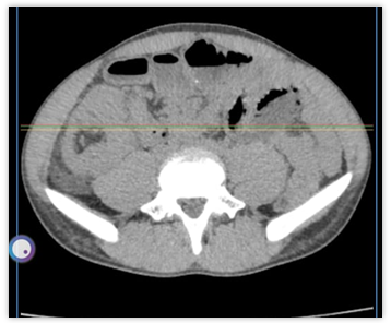
We report here a case of a 21 y old male patient who presented to the casualty with complaints of severe abdominal pain, nausea, vomiting, and loose motion for the past week. Upon a general physical examination, the patient had a slightly increased fever, tachycardia, and short, frequent breaths. On local examination, the abdomen was mildly distended and tender, with the presence of voluntary guarding on palpation. No mass was palpated per abdomen. Tenderness was more prominent on the right side. On digital rectal examination, no palpable mass was felt, and the glove was stained with reddish-yellow fecal matter. The patient was immediately admitted and kept NPO until further order; a 16-fr RT was inserted with continuous aspiration; and a 16-fr Foley’s catheter was connected to monitor the urine output. Intravenous fluid was started, and a prophylactic 3rd-generation cephalosporin was started along with injectable metronidazole, proton pump inhibitors, and analgesics. A complete blood hemogram and an ultrasonography of the abdomen were advised for the initial assessment. Ultrasonography of the abdomen and pelvis showed concentric rings of bowel loops in the right iliac fossa, suggestive of ilio-colic intussuption with no proximal dilation of bowel loops. There is symmetrical mural thickening of the bowel wall of the ascending colon with few sub-centimetric lymphnodes around the right iliac fossa. In view of the above, a CT scan of the whole abdomen (fig. 1A and 1B) was advised, which suggested subacute intestinal obstruction with large Ileo-colic intussusception with 3.5 x 3.0 cm of soft tissue as the lead point.


Fig. 1A and 1B: Photograph showing SAIO with large Ileo-colic intussusception with a 3.5 x 3.0 cm soft tissue as the lead point]
The patient’s blackish discoloration of the lips, which was earlier ignored, now became very prominent in our eyes (fig. 2). In an adult patient with blackish discoloration of the lips and Ileo-colic intussusception with 3.5 x 3.0 cm of soft tissue at the lead point, a provisional diagnosis of “Peutz-Jeghers syndrome” was made.
The patient was immediately scheduled for laparoscopic intussusception reduction. Intraoperatively, an ileo-colic intussusception was noted [fig. 3A]. The intussusception was reduced laparoscopically.
After the reduction of intussusception, the affected part of the bowel was identified. A 5 cm-long midline infra-umbilical vertical incision was given. The involved segment of the bowel was exteriorized and resected using a linear GI stapler with a 5 cm tumor-free margin from both ends [fig. 3B and 3C]. Following the stapled resection, a two-layered side-to-side isoperistaltic ileo-colic anastomosis was done [fig. 3D]. The resected segment of the bowel was cut open, which showed a small sessile polypoidal tumor of 4.0 x 3.0 x 3.0 cm [fig. 4A].

Fig. 2: Photograph showing blackish discolouration of lips



Fig. 3A-D: Photograph showing ileo-colic intussusceptions


Fig. 4A: Photograph showing a polyp measuring 4.0 x 3.0 x 3.0 cm
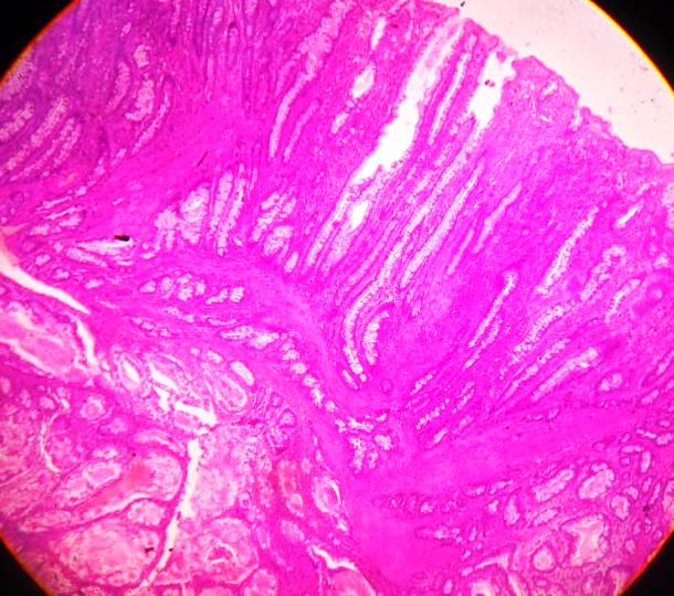
Fig. 4B: Photomicrograph showing papillary villous architecture with tree-like arborization of compact, smooth muscle bundles
The specimen was sent for histopathological examination, which showed papillary villous architecture with tree-like arborization of compact, smooth muscle bundles and relatively normal overlying epithelium without any dysplasia [fig. 4B]. Hence, a diagnosis of PJ polyp was made. The postoperative period was uneventful.
PJS is an autosomal-dominant hereditary cancer syndrome that carries a 39% lifetime risk of colorectal carcinoma. It is characterized by benign hamartomatous, primarily gastrointestinal tract polyps, mucocutaneous pigmentation (dark blue or brown macules in the vermillion border of the lips, buccal mucosa, hands, and feet), and a high predisposition to many intestinal and extraintestinal cancers [1]. PJS patients have a 90% lifetime risk of cancer, including colorectal (the most common), gastric, pancreatic, lung, breast, uterine, cervical, testicular, and ovarian [2-4]. A mutation in the STK11/lKB1 gene, which is found on chromosome 19p, results in PJS [5-7]. About half of PJS cases are inherited from one or both parents; the other half appear to be the consequence of a spontaneous mutation and occur in people without a family history.
PJS is a clinical diagnosis determined by the World Health Organization (WHO) using any one of the following standards [3]:
(1) Three or more histologically confirmed Peutz-Jeghers polyps;
(2) Any number of PJ polyps with a family history of PJS;
(3) Characteristic, prominent, mucocutaneous pigmentation with a family history of PJS; or
(4) Any number of Peutz-Jeghers polyps and characteristic prominent mucocutaneous pigmentation.
In our case, the histopathology showed characteristic features of PJ polyps, and mucocutaneous pigmentation was also present. But we did not find any significant family history. So as per WHO guidelines, we consider this a PJ polyp, which leads to intussusception. Genetic testing for the STK11/lKB1 gene was not performed in our case due to financial constraints.
Polypectomy plays a key role in the management of PJS, but it requires special surveillance due to the increased risk of cancer in many organs. The small bowel screening is recommended at 8 to 10 years, with a repeat evaluation at the age of 18 and then at 2-to 3-year intervals. Males are recommended to have an annual testicular examination starting at age 10 y, and females should have an annual pelvic examination starting at age 18 to 20 y. Similarly, women should undergo breast examinations starting at age 25. For both sexes, a colonoscopy and an upper endoscopy should begin in the late teens and be repeated every two to three years. Pancreatic cancer screening involves endoscopic ultrasound or magnetic resonance cholangiopancreatography along with serum CA19-9 every 1 to 2 y, starting at age 25 to 30 y.
Small-bowel screening for patients with Peutz-Jeghers syndrome is crucial since it helps to detect polyps earlier and prevent emergency surgery for intestinal intussusception. It offers the possibility of endoscopic resection and economic enteric resections in order to prevent short-gut syndrome. With as much bowel preserved as feasible, the surgical goal is to remove the problematic portion.
Nil
All the authors have contributed equally
Declared none
Jeghers H, Mckusick VA, Katz KH. Generalized intestinal polyposis and melanin spots of the oral mucosa, lips and digits; a syndrome of diagnostic significance. N Engl J Med. 1949;241(26):1031-6. doi: 10.1056/NEJM194912292412601, PMID 15398245.
Giardiello FM, Welsh SB, Hamilton SR, Offerhaus GJ, Gittelsohn AM, Booker SV. Increased risk of cancer in the peutz-Jeghers syndrome. N Engl J Med. 1987 Jun 11;316(24):1511-4. doi: 10.1056/NEJM198706113162404, PMID 3587280.
Bosman FT, Carneiro F, Hruban RH, Theise ND. editors. WHO classification of tumours of the digestive system. 4th ed. lyon, France: International Cancer Research on Cancer; 2010.
Hearle N, Schumacher V, Menko FH, Olschwang S, Boardman LA, Gille JJ. Frequency and spectrum of cancers in the peutz-jeghers syndrome. Clin Cancer Res. 2006 May 15;12(10):3209-15. doi: 10.1158/1078-0432.CCR-06-0083, PMID 16707622.
Nakagawa H, Koyama K, Tanaka T, Miyoshi Y, Ando H, Baba S. Localization of the gene responsible for peutz Jeghers syndrome within a 6-cM region of chromosome 19p13.3. Hum Genet. 1998 Feb;102(2):203-6. doi: 10.1007/s004390050678, PMID 9521590.
Hemminki A, Tomlinson I, Markie D, Jarvinen H, Sistonen P, Bjorkqvist AM. Localization of a susceptibility locus for peutz-jeghers syndrome to 19p using comparative genomic hybridization and targeted linkage analysis. Nat Genet. 1997 Jan;15(1):87-90. doi: 10.1038/ng0197-87, PMID 8988175.
Kopacova M, Tacheci I, Rejchrt S, Bures J. Peutz-Jeghers syndrome: diagnostic and therapeutic approach. World J Gastroenterol. 2009 Nov 21;15(43):5397-408. doi: 10.3748/wjg.15.5397, PMID 19916169.