
Department of Orthopedics, Government Medical College, Patiala, Punjab, India
*Corresponding author: Amandeep Singh Bakshi; *Email: dramangomco@gamil.com
Received: 10 Apr 2024, Revised and Accepted: 02 Jun 2024
ABSTRACT
Objective: We aimed to evaluate the functional and radiological outcomes of ankle arthrodesis using corticocancellous screw fixation vs intramedullary nailing.
Methods: In our study, 22 cases underwent the procedure. This evaluation was performed based on preoperative radiologic data and at postoperative clinical visits at 2 months, 6 months, and 12 mo required postoperatively. Radiologic outcomes were measured by: (1) Rate of union, (2) Rate of adjacent joint arthritis, and (3) Alignment of the ankle joint. Functional outcomes were measured by using the AOFAS score (American Orthopedic Foot and Ankle Society score). The patients' Subjective assessments were done using the Cumberland Ankle Instability Tool (CAIT).
Results: The angle between the tibia's long axis and a line parallel to the talus's long axis is determined in the AP projection. The mean angle was 89.6 degrees (85-100 degrees) in the intramedullary nailing group (IMN group) and 91.4 degrees in the corticocancellous screw group (CC screw). The angle between the tibia's long axis and a line that is perpendicular to the talus’s long axis. The mean angle was 40.5 degrees (30-45 degrees) in the IMN group and 41.6 degrees in the CC screw group. The mean AOFAS score (American Orthopedic Foot and Ankle Society score) was 83.25 in the IMN group and 80.5 in the other group. The mean Cumberland Ankle Instability Tool (CAIT) score was 28 in the IMN group and 27.5 in the other group. All the cases showed bony union except one case, the average time taken for the union was 18.5 w in the IMN group and 20.5 w in the CC screw group.
Conclusion: According to our study, all of the patients with normal angles between the tibia's long axis and a line perpendicular to the talus's long axis were obtained in the AP projection, and the angle between the tibia's long axis and a line that is perpendicular to the talus’s long axis. These patients also showed better Cumberland Ankle Instability Tool (CAIT) and AOFAS (American Orthopedic Foot and Ankle Society) scores in both comparison groups.
Keywords: Corticocancellous screw fixation, Intramedullary nailing
© 2024 The Authors. Published by Innovare Academic Sciences Pvt Ltd. This is an open access article under the CC BY license (https://creativecommons.org/licenses/by/4.0/)
DOI: https://dx.doi.org/10.22159/ijcpr.2024v16i4.5006 Journal homepage: https://innovareacademics.in/journals/index.php/ijcpr
The ankle joint is a hinge joint. It consists of articulating distal tibia, distal fibula, and talus [1]. The lateral circumference of the talar dome is larger than the medial circumference. The dome is broader anteriorly than posteriorly. The syndesmotic ligaments allow widening of the joint with dorsiflexion of the ankle, into a stable, close-packed position. The ankle joint is also called the tibiotalar joint [2].
Arthrodesis is derived from the latin word “arthron” meaning joint and the Greek word “Desis” meaning binding. Ankle Arthrodesis is an orthopedic procedure that unites the ankle joint's bones into a single piece. The surgery is usually for treating arthritis of the ankle joint. Ankle arthrodesis was first reported by Albert in 1882 [3].
The goal of ankle arthrodesis is to induce bone union between tibia and talus with acceptable alignment [little valgus (0°-5°), neutral dorsiflexion, and minimal external rotation] to achieve a painless plantigrade foot for weight-bearing activities [4].
Ankle arthrodesis was initially developed to treat poliomyelitis and tuberculosis, but it is now the primary reason for ankle joint fusion in post-traumatic arthritis. Additional indications include AVN of the talus, septic arthritis of the ankle joint, failed total ankle arthroplasty with an implant, Charcot's neuropathy with the ankle joint instability, chronic instability, rheumatoid arthritis, and paralytic deformities when muscle-tendon rebalancing is not possible. 15% of adults have severe dysfunction or cartilage degradation in the ankle joint, which is the final step of any degenerative condition. The main benefactors of this procedure are those who have persistent and functionally disabling ankle joint pain and an unaffected subtalar joint [5].
For many years, intramedullary nailing and crossed lag screws were the most often used methods for ankle arthrodesis. An efficient technique for intricate ankle and hindfoot reconstruction operations is ankle arthrodesis using a retrograde IMN. For ankle and hindfoot fusion, recent biomechanical studies have demonstrated that IMN fixation provides greater strength than traditional cross-screw techniques. This has the benefit of being applicable in situations where conventional screw fixation is not ideal or when distal tibial and talar bone loss is present. When cadaveric specimens were put through cantilever bending tests in plantarflexion, dorsiflexion, and flexion, the IMN construct was shown to be substantially stiffer than the crossed lag screw construct in a biomechanical comparison of lag screw fixation and IMN fixation for TTC arthrodesis [6, 7].
This study was a prospective study conducted in the Department of Orthopedics, Government Medical College Patiala, Punjab over 1.5 y. Patients were followed up at 2 mo, 6 mo, 12 mo postoperatively.
Inclusion criteria [age>18 y]
Post-traumatic Arthritis.
AVN Talus.
Post Infective Sequelae of Ankle Joint.
Paralytic Deformities.
Rheumatoid Arthritis.
Charcot’s Arthropathy
Neglected or malunited Pott’s fracture
Exclusion criteria
Uncontrolled Diabetes Mellitus.
Vascular TAO.
Children [age<18 y]
Methodology
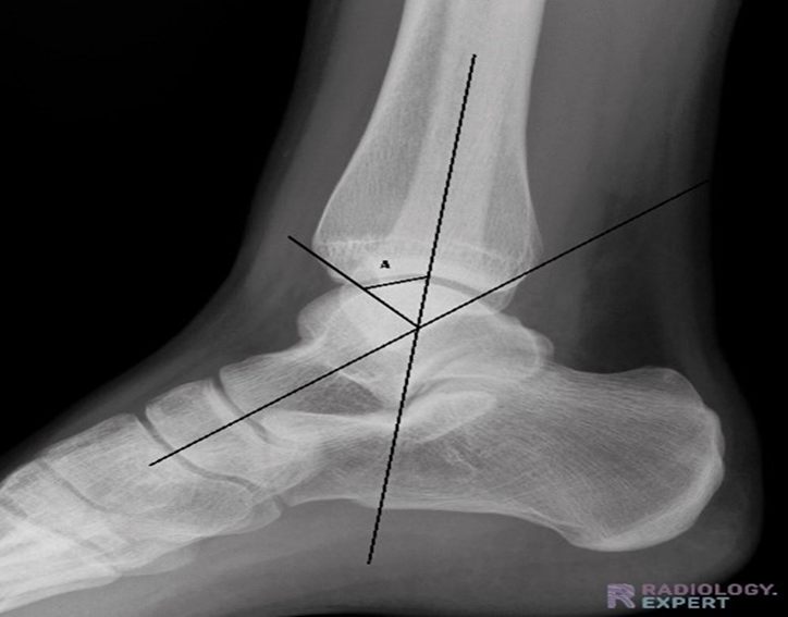
A complete clinical and neurological examination was done for all the patients. The signs and symptoms of local manifestation, such as pain, swelling, and restriction of motion were recorded. For all patients radiographs of Ankle Antero-posterior and lateral views were taken. X-ray Foot Antero-Posterior and lateral views were also taken for all patients to rule out associated Subtalar arthritis. The allocation of the type of fixation for the subject was done with double blinding. Radiologic outcomes were measured by: (1) Rate of union, (2) Rate of adjacent joint arthritis, (3) Alignment of the ankle joint. Functional outcomes were measured by using the AOFAS score (American Orthopedic Foot and Ankle Society score). Subjective assessments of the patients were done utilizing the Cumberland Ankle Instability Tool (CAIT). This evaluation was performed based on preoperative radiologic data and at postoperative clinical visits at 2 mo, 6 mo, and 12 mo required postoperatively. Ankle joint AP and lateral view X-rays taken while the patient was bearing weight were used to determine the ankle joint's alignment after surgery. In the AP projection, the angle between the tibia's long axis and a line parallel to the talus's long axis is found. In the lateral projection, the angle between the tibia's long axis and a line that is perpendicular to the talus’s long axis is measured. Digitalized X-rays and measurement instruments are used to identify the ankle joint's axis in the AP and lateral views. When more than five degrees of valgus or any amount of varus malalignment is observed at the ankle joint in the AP view, it is considered malalignment. The angles were measured using a protractor application.
In this study, the angle between the tibia's long axis and a line parallel to the talus's long axis is determined in AP projection. The mean angle was 89.6 degrees (85-100 degrees) in the intramedullary nailing group and 91.4 degrees in the corticocancellous screw group. The angle between the tibia's long axis and a line that is perpendicular to the talus's long axis is measured in lateral projection. The mean angle was 40.5 degrees (30-45 degrees) in the intramedullary nailing group and 41.6 degrees in the corticocancellous screw fixation group.

Picture 1: Shows the angle between the tibia's long axis and a line parallel to the talus's long axis

Picture 2: Shows the angle between the tibia's long axis and a line that is perpendicular to the talus’s long axis

Fig. 1: Age group (Y), In this diagram, patients between 31-40 y were 4.50%, 41-50 y were 22.73%, 51-60 y were 27.27%, and 61-70 y were 45.45%

Fig. 2: Gender, in this study, 31.82% were females and 68.18% were males

Fig. 3: Union (Intramedullary nailing), In this study, the intramedullary nailing group shows an average union at 18.5 w in which 85.71% of cases show a union at 15-19 w and 14.29% of cases show a union between 20-24 w

Fig. 4: Union (corticocancellous screw group), in this study, the corticocancellous screw group shows average union at 20.5 w in which 12.50% of cases show union at 15-19 w and 87.50% of cases show union between 20-24 w

Fig. 5: Cumberland ankle instability tool score (Imn group), in the IMN group the Cumberland Ankle Instability Tool average score of 28, excellent in 27% of patients and good in 73% of patients

Fig. 6: Cumberland ankle instability tool score (Cc screw group), in the CC screw group the Cumberland Ankle Instability Tool average score of 27.5, excellent in 25% of patients and good in 75% of patients

Fig. 7: AOFAS score (IMN Group), In the IMN group the mean American Orthopedic Foot and Ankle Society score of 83.25, excellent in 28% of patients and good in 72% of patients

Fig. 8: AOFAS score (CC screw group), in the CC screw group the mean American Orthopedic Foot and Ankle Society score of 80.50, excellent in 23% of patients and good in 77% of patients
In our study of 22 patients, the most common indication for ankle arthrodesis is post-traumatic arthritis. lisa M Coester et al., in their study of extended results after ankle arthrodesis, the most common indication for ankle fusion is post-traumatic arthritis. Similarly, Mohammed et al., Aly et al., Zwipp et al., and Coughlin et al., in their studies say that the most common indication for surgery is post-traumatic arthritis. Nakul et al., in their study of 11 patients did ankle arthrodesis for Charcot’s arthropathy. Ankle arthrodesis for end-stage arthritis reduces pain and gives good patient satisfaction.8 However adequate information should be given to the patient preoperatively regarding potential hindfoot arthritis and the need for a second procedure in the future.9 Gait analysis of tibio-talo-calcaneal arthrodesis for associated subtalar arthritis and ankle arthrodesis (tibiotalar) shows that compensatory hypermobility at small joints is responsible for secondary arthritis [10-12].
The overall mean age of patients in our study is 49 y. This result is comparable with the Kiene et al. study, where the mean age was 45.4 y. Other studies like Coughlin et al. had a mean age of 59.7 y, Zwipp et al. 53 y, and Nakul et al. 56 y.
The male-to-female ratio in our study is 2.1:1, which is slightly higher in other studies. Kiene et al. reported a male-to-female ratio of 2.39:1 while Aly et al. reported 2.625:1. In other studies like Nakul et al., and lisa et al., the male-to-female ratio is approximately 1:1. Mohammed et al. showed that in his study the ratio of 2:1.
Nakul et al. reported ankle arthrodesis by intramedullary nailing in patients with chariots arthropathy in which, the mean time to union is 16 w which is similar to our study, the mean time to union being 18.5 w. But both studies have a union rate of 100%. Also, our study showed no complications in patients treated with intramedullary nails.
The mean union by cancellous screw fixation is 20.5 w in our study, which is poor than other studies. Richard et al. showed 12 w and Doughlas et al. 9.2 w. But most studies have described that failure of union is least with the cancellous screw method and that this method gives a better AOFAS score than other methods. Our study had AOFAS score of 80.50 in patients treated with screws. Zwipp et al. have produced 85 scores with this method and Doughlas et al. have reported a score of 77, which is better than other methods of ankle arthrodesis [8]
Zwipp et al. used the standard screw technique of arthrodesis and showed that internal fixation methods in particular, with screws, provide better AOFAS scores (mean score 84.7) than other methods of arthrodesis. According to their analysis, the highest union rate, reaching 98.9%, was found in screw fixation. This is comparable with our study, where the mean AOFAS score is 83.25 in the IMN group and the AOFAS score by the screw fixation method is 80.50. Many other studies like Kennedy et al., Smith, and Wood have also had similar results with the highest rate of bone union and least complications and a good AOFAS score in long-term follow-up studies. But the IMN fixation method seems to give a better functional score than cancellous screw fixation. Also, the duration of stable fusion is shortest with the IMN group [9].
With the above results, it can be seen that the IMN fixation is the most common method of arthrodesis which provides the best result in terms of function and union. The cancellous screw fixation is also equally effective, correct patient selection is needed. This study concludes that all the patients with normal angles between the tibia's long axis and a line parallel to the talus's long axis, and in the lateral projection, the angle between the tibia's long axis and a line perpendicular to the talus's long axis are measured shown better American orthopedic foot and ankle society score and Cumberland Ankle Instability Tool scores in both the comparison groups but the surgical technique was tricky in corticocancellous screw fixation as compared to the intramedullary nailing. All the cases have shown bony union except one case which showed infected nonunion. The main strengths of this study were the simultaneous evaluation of clinical, radiological, and subjective parameters. In other words, both physical and functional measures were included in the therapeutic outcomes. These points should be considered during the interpretation of our results.
Nil
All the authors have contributed equally
Declared none
ReferencesAlbert E, Falle Kunstlicher Ankylosen E. Building an paralytischen glidmassen. Wien Med Presse. 1882;23:726-8.
Ankle fusion. John Hopkins Medicine. Available from: https://www.hopkinsmedicine.org/health/treatment-tests-and-therapies/ankle-fusion#:~:text=Ankle%20fusion%20is%20a%20type,also%20called%20the%20tibiotalar%20join.
Yasui Y, Hannon CP, Seow D, Kennedy JG. Ankle arthrodesis: a systematic approach and review of the literature. World J Orthop. 2016 Nov 18;7(11):700-8. doi: 10.5312/wjo.v7.i11.700, PMID 27900266.
Thordarson DB, Markolf KL, Cracchiolo A. Arthrodesis of the ankle with cancellous-bone screws and fibular strut graft. Biomechanical analysis. J Bone Joint Surg Am. 1990;72(9):1359-63. doi: 10.2106/00004623-199072090-00013, PMID 2229113.
Gharehdaghi M, Rahimi H, Mousavian A. Anterior ankle arthrodesis with molded plate: technique and outcomes. Arch Bone Jt Surg. 2014;2(3):203-9. PMID 25386583.
Fleming SS, Moore TJ, Hutton WC. Biomechanical analysis of hindfoot fixation using an intramedullary rod. J South Orthop Assoc. 1998;7(1):19-26. PMID 9570728.
Berend ME, Glisson RR, Nunley JA. A biomechanical comparison of intramedullary nail and crossed lag screw fixation for tibiotalocalcaneal arthrodesis. Foot Ankle Int. 1997 Oct;18(10):639-43. doi: 10.1177/107110079701801007, PMID 9347301.
Thomas R, Daniels TR, Parker K. Gait analysis and functional outcomes following ankle arthrodesis for isolated ankle arthritis. J Bone Joint Surg Am. 2006;88(3):526-35. doi: 10.2106/JBJS.E.00521, PMID 16510818.
Mohamedean A, Said HG, El-Sharkawi M, El-Adly W, Said GZ. Technique and short-term results of ankle arthrodesis using anterior plating. International Orthopaedics (SICOT). 2010;34(6):833-7. doi: 10.1007/s00264-009-0872-4.
Beyaert C, Sirveaux F, Paysant J, Mole D, Andre JM. The effect of tibio-talar arthrodesis on foot kinematics and ground reaction force progression during walking. Gait Posture. 2004;20(1):84-91. doi: 10.1016/j.gaitpost.2003.07.006, PMID 15196525.
Thomas R, Daniels TR, Parker K. Gait analysis and functional outcomes following ankle arthrodesis for isolated ankle arthritis. J Bone Joint Surg Am. 2006;88(3):526-35. doi: 10.2106/JBJS.E.00521, PMID 16510818.
Sealey RJ, Myerson MS, Molloy A, Gamba C, Jeng C, Kalesan B. Sagittal plane motion of the hindfoot following ankle arthrodesis: a prospective analysis. Foot Ankle Int. 2009;30(3):187-96. doi: 10.3113/FAI.2009.0187, PMID 19321094.