
1,4Department of Microbiology, Rangaraya Medical College, Kakinada, Andhra Pradesh, India. 2Department of Microbiology, Govt. Medical College, Machilipatnam, Andhra Pradesh, India. 3Department of Microbiology, S V Medical College, Tirupati, Andhra Pradesh, India
*Corresponding author: G. Prabha Devi; *Email: rachel_grace3@gmail.com
Received: 20 Jun 2024, Revised and Accepted: 05 Aug 2024
ABSTRACT
Objective: The dermatophytes are a distinct group of fungi which are keratinophilic and capable of invading keratinized tissues of skin and its appendages like hair and nail, producing a variety of cutaneous infections. The genera Trichophyton, Microsporum and Epidermophyton are the principle etiologic agents. The frequency of recovery of these species differs by geographic location. This study was conducted to know the causative fungal species of dermatophytosis in clinically suspected cases and to compare the efficacy of calcofluor white stain in comparison with conventional microscopy and culture in isolating and identifying dermatophytes.
Methods: This prospective study was conducted among 100 clinically suspected cases of dermatophytosis attending tertiary care hospital from January 2022-December 2022. All the samples were screened by direct microscopic examination using 10% KOH mount, those negative for KOH mount were further screened by calcofluor white stain. Simultaneously all the samples were inoculated onto sabouraud dextrose agar (SDA) with actidione and Dermatophyte test medium. Ethical clearance was obtained from the Institutional Ethical Committee prior to the start of the study.
Results: Out of 100 samples collected 66 samples (66%) were positive by KOH mount and additionally, 18 samples (18%) were positive by Calcofluor white stain for fungal elements, contributing to total 84 samples (84%) positive by microscopy. Out of 100 samples inoculated 74 samples (74%) were culture positive for dermatophytes.
Conclusion: Calcofluor white stain is found to be more sensitive in detection of Dermatophytes in comparison with KOH mount and culture.
Keywords: Dermatophytes, KOH mount, Calcoflour white stain, Trichophyton mentagrophyte, Sabouraud’s dextrose agar medium with actidione and Dermatophyte test medium.
© 2024 The Authors. Published by Innovare Academic Sciences Pvt Ltd. This is an open access article under the CC BY license (https://creativecommons.org/licenses/by/4.0/)
DOI: https://dx.doi.org/10.22159/ijcpr.2024v16i5.5058 Journal homepage: https://innovareacademics.in/journals/index.php/ijcpr
Superficial mycoses refer to the diseases of the skin, nail, and hair caused by fungal agents. Over the past decades, the prevalence of these infections has been on a rising trend; accordingly, they have affected 20-25% of the world’s population. These diseases are more common in tropical countries due to high humidity, elevated temperature, and sweating, overcrowding, poor hygiene and low standards of living, which are more conducive to the acquisition of infections. The major examples of superficial mycoses include pityriasis versicolor, Tinea nigra, piedra, and dermatophytoses [1].
Dermatophytes are aerobic fungi that produce proteases that digest keratin and allows colonization, invasion and infection of the stratum corneum of the skin, the hair shaft, and the nail [2]. Overtime dermatophytes have evolved a dependency on humans for the survival of the species.
Infection is generally cutaneous and restricted to the non-living cornified layers because the fungi is not able to penetrate the deeper tissue or organ of healthy immunocompetent host. The infection is commonly designated as ring worm or “tinea”. Tinea literally refers to insect larva (cloth moth) that was felt by Romans to be the cause of infection [3].
The gross appearance of the lesion is an outer ring of the active, progressing infection with central healing with in the ring, hence commonly known as tinea or ringworm [4].
Diagnosis of superficial mycosis is often clinically established; however, laboratory confirmation is required for more difficult and atypical lesions and for type determination of causative fungi. Laboratory diagnostic procedures in dermatological mycology are based on direct microscopy and culture. Potassium hydroxide (KOH) wet mount preparation used for direct microscopy is generally considered as conventional rapid test [5].
Dermatophytes are hyaline septate moulds with more than 100 species. According to Emmon morphological classification, dermatophytes are classified into three major genera, including Epidermophyton, Microsporum, and Trichophyton on the basis of their conidial morphology [6].
This prospective cross-sectional study was conducted at the Department of Microbiology, Government General Hospital, Kakinada from January 2022 to December 2022. Detailed demographic data of the cases, which include the Age, Gender, duration of the disease, socio-economic status, Occupation, H/O of antifungal therapy, source of infection, History of rearing pets was collected.
Inclusion criteria
All confirmed cases of dermatophytosis were included in the study group.
Exclusion criteria
Patients who were on treatment with Topical and systemic antifungal drugs were not included in the study.
Specimen collection
Samples were collected after cleaning the affected surface with 70% alcohol.
For skin lesions, scales were scraped from the erythematous, active, peripheral edge of a lesion using sterile blunt scalpel. Scrapings were collected on strong black paper for better visualization. The specimens were collected with caution so as not to induce bleeding from the lesions.

Fig. 1: Tinea cruris

Fig. 2: Tinea cruris

Fig. 3: Tinea pedis
Processing of the specimens
Direct microscopic examination
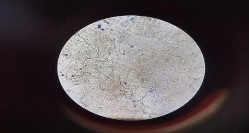
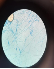
All the skin scrapings were observed under 10x objective of microscope by using 10% KOH wet mount preparation for fungal elements. The presence of highly refractile, hyaline, septate, branched hyphae and arthroconidia was confirmed after examining under 40x objective of microscope. Those samples negative for KOH mount were further screened by Calcofluor white stain and observed under fluorescent microscope.

Fig. 4: Tinea corporis

Fig. 5: Tinea capitis

Fig. 6: Koh mount

Fig. 7: Calcofluor white stain
Isolation by culture
All the specimens were inoculated at different sites on the slants of the SDA with Actidione and dermatophyte test media (DTM), which was used as a selective media. DTM is used to isolate the dermatophytes that could not grow on SDA media. This medium also facilitates the isolation of dermatophytes as pure growth from the bacterial contaminants found in the cutaneous lesions [7] and were incubated in BOD at 25-28 °C.
The slants were inspected at regular intervals to assess the growth rate and to identify the colony characters like morphology pigmentation on the reverse and obverse. Cultures were incubated for 4 w and absence of growth after that time period were discarded as culture negative.
Lactophenol cotton blue tease mount was performed and observed for the presence of hyphal elements reproductive structure like microconidia and macroconidia.
Slide culture was also performed wherever necessary, it was done to study the micromorphology of microconidia and macroconidia, nature of the sporulation, special structures such as spirals, pectinate, racquet hyphae, and chlamydospores.

Fig. 8: Lactophenol cotton blue (LPCB), tease mount showing trichophyton mentagrophyte, microconidia-abundant, arranged in clusters along the hyphae macroconidia-elongated with blunt ends (cigar shape)

Fig. 9: Velvety or waxy colonies of trichophyton Spp. On SDA and DTM

Fig. 10: Lactophenol cotton blue (LPCB) tease mount showing trichophyton rubrum, Microconidia-Tear shape, Macroconidia-long, narrow and thin walled (Pencil shape)

Fig. 11: Colonies of trichophyton rubrum showing characteristic red pigmentation
Out of 100 samples processed, males (62%) outnumbered females (38%) with predominant age group affected in both genders were 21-30 years. Shown in table 1.
Out of 100 samples, 66 samples (66%) were positive by KOH mount and additionally, 18 samples (18%) were positive by Calcofluor white stain for fungal elements, contributing to a total of 84 samples (84%) positive by microscopy, as shown in table 2.
In table 3, Among 84 samples positive by microscopy, 74 samples (74%) were culture-positive for Dermatophytes.
In table 4, of these 74 samples which were culture positive, the commonest clinical type of Dermatophytosis was Tinea corporis (n=44, 59.45%) followed by Tinea barbae (n=18, 24.32%), Tinea capitis (n=5, 6.75%), Tinea cruris (n=4, 5.40%) Tinea pedis (n=3, 4.05%) respectively.
Microsoft Excel is used for statistical analysis.

Fig. 12: Lactophenol cotton blue (LPCB) tease mount, showing trichophyton verrucosum, chains of chlamydoconidia

Fig. 13: Growth on DTM media

Fig. 14: Macroconidia showing irregular shape like rat tail
Table 1: Age and gender-wise distribution of cases
| Age group | Male | Female | Total % |
| 21-30 y | 25 | 19 | 44, (44%) |
| 31-40 y | 20 | 10 | 30, (30%) |
| 41-50 y | 17 | 09 | 26, (26%) |
| Total | 62 | 38 | 100, (100%) |
Table 2: Calcoflour white stain Vs KOH mount
| Microscopy | CFW-positive | CFW-negative |
| KOH-positive | 66 | ----- |
| KOH-negative | 18 | 16 |
Table 3: Microscopy Vs culture
| Microscopy | Culture – positive | Culture – negative |
| Positive | 74 | 10 |
| Negative | 0 | 16 |
Table 4: Distribution of dermatophyte species
| Isolates % | T. corporis n, % | T. cruris n, % | T. capitis n, % | T. barbae n, % | T. pedis n, % |
| Trichophyton mentagrophytes, 46 (46%) | 36, (81.81%) | ---- | 02, (40%) | 08, (44%) | ---- |
| Trichophyton rubrum, 16 (16%) | 04, (9.09%) | 4, (100%) | 03, (60%) | 06, (33%) | 03, (100%) |
| Trichophyton verrucosum, 12 (12%) | 04, (9.09%) | ----- | ----- | 04, (22%) | ----- |
| Total | 44 | 04 | 05 | 18 | 03 |
Mycotic infections are found all throughout the world, however, superficial mycoses are more common in tropical and subtropical regions, such as India, where moisture and heat are key factors in the proliferation of these organisms.
In humans, dermatophytes frequently cause superficial skin infections that produce localized inflammation.
In the present study, the age group of 21-30 y exhibits the highest number of dermatophytosis cases, accounting for 44% of the total cases and more common in males. This high prevalence can be attributed to several factors, including poor personal hygiene increased physical activity, high perspiration, frequent participation in outdoor activities such as agricultural, manual labour and greater exposure to environments conducive to fungal growth, such as gyms, swimming pools, and communal living spaces. Additionally, this age group is often more socially active, leading to higher transmission rates. The lower incidence in females may be also due to the non-reporting of female patients to the hospitals due to the prevailing social stigma in the rural population in India [8, 9].
This observation is comparable with study conducted by Sumana et al. [10] and Singh et al. In the present study out of 100 samples, 66 samples (66%) were positive by KOH mount and additionally, 18 samples (18%) were positive by Calcofluor white stain for fungal elements, the fluorescence in CFW staining can make fungal elements more visible, particularly in cases where KOH mount may fail to detect them due to low fungal load or poor sample preparation. The CFW stain's ability to detect additional positive cases that KOH mount missed highlights its importance in clinical mycology.
This could potentially lead to better diagnosis and treatment of dermatophyte infections, reducing the likelihood of missed diagnoses.
While KOH mount is a more traditional and widely used method due to its simplicity and cost-effectiveness, incorporating CFW staining in diagnostic protocols, especially in cases with a high suspicion of fungal infection but negative KOH results, can enhance diagnostic accuracy.
The comparison of CFW stain and KOH mount results shows that CFW staining is a highly sensitive method for detecting dermatophytes and can identify additional cases that KOH mount may miss. Our results were consistent with those of Attal et al. [11], Dass et al. [12] and Mourad, Basma et al. [13] reported that Calcofluor white stain was an excellent method for detection of fungal agents in cases and had higher sensitivity than KOH in direct examination for dermatophytes.
In table 3, Among 84 samples positive by microscopy, 74 samples (74%) were culture-positive for Dermatophytes. The combination of microscopy and culture in the diagnostic process ensures both sensitivity and specificity. While microscopy provides quick preliminary results and offers a rapid and sensitive initial diagnosis.
This observation of, ease of diagnosis with microscopy was comparable with study conducted by Vara, Khan, Narayan et al. and Sudha M, et al. In the present study Trichophyton mentagrophytes is the most prevalent species, accounting for 46% of the total isolates. Similar observation is seen in a study conducted by Tonita M. Noronha et al. [14]. Tichophyton rubrum follows with 16%, while Trichophyton verrucosum makes up 12% of the isolates.
Tinea corporis is dominantly caused by Trichophyton mentagrophytes (81.81%), indicating its strong association with this clinical form, while Tichophyton rubrum and Trichophyton verrucosum contribute to a lesser extent (9.09% each).
In the present study, Tinea corporis clinical type is most commonly seen similar to the study conducted by Surendran K et al. and Singh et al.
Tinea cruris is exclusively caused by Trichophyton rubrum (100%), highlighting its significant role in this type of infection. Similar etiology was seen in the study conducted by Sudha M, et al.
Tinea capitis is caused by Trichophyton rubrum (60%) similar to the study by Poluri, Lakshmi Vasantha et al. and Trichophyton mentagrophytes (40%) are the causative agents.
Tinea barbae is predominantly caused by Trichophyton mentagrophytes (44%), similar etiology seen in the study conducted by Nandini M. S et al. and Trichophyton verrucosum (22%) with Trichophyton rubrum contributing to 33% of the cases.
Tinea pedis is caused by Trichophyton rubrum is the sole causative agent identified (100%) indicating its primary role in infections of the feet. Similar to the study conducted by Surendran, Kak et al.
The data highlights the varied distribution of dermatophyte species across different clinical presentations. Trichophyton mentagrophytes and Trichophyton rubrum are the predominant species, with distinct patterns of prevalence in specific types of dermatophytosis.
In tropical and subtropical regions, including India, dermatophytes are the most frequent agents responsible for cutaneous fungal infections. Environmental influences, individual predisposition, and personal cleanliness all affect the prevalence of dermatophytic infections. Appropriate laboratory assistance is necessary for the diagnosis of these illnesses. Dermatophytic infections are of great concern to humans because of their character of chronicity of the disease. The present study showed the predominance of Trichophyton mentagrophytes (n=46,46%) followed by Trichophyton rubrum (n= 16, 16%) The study reveals the changing trends in the prevalence of the species of Dermatophyte.
Calcofluor white stain is found to be more sensitive in detection of Dermatophytes in comparison with KOH mount and culture. According to the current study's findings, dermatophytosis is prevalent in this area, where a hot, humid climate combined with poor hygienic conditions favours the growth of fungi.
Nil
All authors have contributed equally.
Declared none
Upadhyay V, Kumar A, Singh AK, Pandey J. Epidemiological characterization of dermatophytes at a Tertiary Care Hospital in Eastern Uttar Pradesh India. Curr Med Mycol. 2019 Mar 12;5(1):1-6. doi: 10.18502/cmm.5.1.530, PMID 31049451.
Gorbach SL, Bartlett JL, Blacklow NR. 3rd ed. Philadelphia: Lippincott Williams & Wilkins. Infectious disease; 2004. p. 1162-80.
Surendran K, Bhat RM, Boloor R, Nandakishore B, Sukumar D. A clinical and mycological study of dermatophytic infections. Indian J Dermatol. 2014 Jan 1;59(3):262-7. doi: 10.4103/0019-5154.131391, PMID 24891657.
Sudha M, Ramani CP, Anandan H. Prevalence of dermatophytosis in patients in a tertiary care centre. Int J Contemp Med Res. 2016;3(8):2399-401.
Afshar P, Larijani LV, Rouhanizadeh H. A comparison of conventional rapid methods in diagnosis of superficial and cutaneous mycoses based on KOH Chicago sky blue 6B and calcofluor white stains. Iran J Microbiol. 2018 Dec;10(6):433-40. PMID 30873272, PMCID PMC6414738.
Chaudhary JK, kumar A. A clinico mycological profile of dermatophytosis at a Tertiary Care Hospital in Bihar. Int J Curr Microbiol App Sci. 2016;5(2):181-9. doi: 10.20546/ijcmas.2016.502.021.
Vara A, Khan RA, Narayan LS. Prevalence of dermatophytes in patients attending a Teaching Hospital in Hyderabad South India. Indian J Microbiol Res. 2021;8(2):132-4. doi: 10.18231/j.ijmr.2021.026.
Mundhe SS, Chaudahri KN. Prevalence of dermatophytes and other fungal agents from clinical specimens at a Tertiary Care Hospital. Medpulse International Journal of Microbiology. 2017;2(1):5-9.
Singh S, Beena PM. Comparative study of different microscopic techniques and culture media for the isolation of dermatophytes. Indian J Med Microbiol. 2003;21(1):21-4. PMID 17642969.
Sumana V, Singaracharya MA. Dermatophytosis in Khammam (Khammam District Andhra Pradesh India). Indian J Pathol Microbiol. 2004 Apr;47(2):287-9. PMID 16295504.
Attal RO, Chaudhary RA, Deotale VS, Jain SP. A clinicomycological study of onychomycosis in a Rural Hospital in Central India. J Res Med Sci. 2015;3(5):1131-7. doi: 10.5455/2320-6012.
Dass SM, Vinayaraj EV, Pavavni K, Pallam A, Rao MS. Comparison of KOH calcofluor white and fungal culture for diagnosing fungal onychomycosis in an Urban Teaching Hospital Hyderabad. Indian J Microbiol Res. 2015;2(3):148-53. doi: 10.5958/2394-5478.2015.00004.7.
Mourad B, Ismail M, Hawwam S, Msseha M, Hassan R. Evaluation of the efficacy of fluorescent staining and Chicago sky blue staining as methods for diagnosis of dermatophytosis in hair and nails. Clin Cosmet Investig Dermatol. 2019 Oct 9;12:751-8. doi: 10.2147/CCID.S215661, PMID 31632123, PMCID PMC6790344.
Noronha TM, Tophakhane RS, Nadiger S. Clinico microbiological study of dermatophytosis in a Tertiary Care Hospital in North Karnataka. Indian Dermatol Online J. 2016 Jul-Aug;7(4):264-71. doi: 10.4103/2229-5178.185488, PMID 27559499, PMCID PMC4976403.