
1,2Department of Orthopaedics, Geetanjali Medical College and Hospital, Udaipur, Rajasthan, India, 3Department of Orthopaedics, RNT Medical College, Udaipur, Rajasthan, India, 4Departmentt of Community Medicine, Ananta Institute of Medical Sciences, Rajsamand, Rajasthan, India
*Corresponding author: Saumya Agarwal; *Email: saumyathecalyx.agarwal@gmail.com
Received: 28 Jun 2024, Revised and Accepted: 13 Aug 2024
ABSTRACT
Objective: A floating knee injury involves simultaneous ipsilateral fractures of the femur and tibia, which disconnect the knee from the rest of the limb and can include both intra-articular and extra-articular fractures. Optimal clinical outcomes are achieved through surgical stabilization of both fractures and early rehabilitation. Historically, the incidence of floating knee injuries has been underestimated, but the use of Magnetic Resonance Imaging [MRI] and arthroscopy has increased their detection. Soft tissue injuries associated with these fractures can be missed during clinical examination due to tenderness and swelling, making immediate MRI scans a valuable diagnostic tool. This study aimed to compare the functional outcomes of patients with floating knee injuries who underwent MRI for soft tissue injuries and those who did not undergo MRI.
Methods: The study, conducted at a tertiary care center from May 2021 to April 2024, involved 100 patients with floating knee injuries who underwent MRI assessments for soft tissue injuries. Additionally, a retrospective analysis was performed on 25 patients treated between November 2018 and October 2020, who did not receive MRI evaluations. The functional outcomes for all patients were assessed using the Karlstrom Olerud criteria.
Results: Out of the 100 patients with floating knee injuries who underwent MRI, seventy-two were found to have meniscus or ligament injuries. According to the Karlstrom and Olerud criteria, the outcomes were as follows: 10 patients (8%) had excellent results, 56 patients (44.8%) had good results, 36 patients (36%) had fair results, and 6 patients (4.8%) had poor outcomes. Patients who underwent MRI had better functional outcome at 1 y and 2 y follow-up.
Conclusion: Our aim is to initiate timely and accurate treatment by comprehensively addressing all associated injuries, including previously overlooked ligament damage around the knee. Factors such as articular involvement, soft tissue damage, and the presence of concomitant injuries significantly influence functional outcomes. MRI plays a crucial role in diagnosing associated soft tissue injuries, allowing for immediate intervention and resulting in better functional outcomes.
Keywords: Floating knee, Ipsilateral femur and tibia, Ligament injury, Classification for floating knee, MRI
© 2024 The Authors. Published by Innovare Academic Sciences Pvt Ltd. This is an open access article under the CC BY license (https://creativecommons.org/licenses/by/4.0/)
DOI: https://dx.doi.org/10.22159/ijcpr.2024v16i5.5074 Journal homepage: https://innovareacademics.in/journals/index.php/ijcpr
The term "floating knee" refers to the simultaneous ipsilateral fracture of the femur and tibia, effectively disconnecting the knee from the rest of the limb and including both intra-articular and extra-articular fractures. First described by John T. Hyes [1] in 1964 and later termed "Floating Knee" by Blake Robert and McBryde [2] in 1974, these injuries redirect attention from the skeletal plane to the more complication-prone vascular plane of the knee. The incidence of floating knee injuries has risen with increasing industrialization and vehicular traffic, as they are typically caused by high-energy trauma from high-velocity motor vehicle accidents. The complex nature of these injuries, compounded by complications such as compartment syndrome, vascular injuries, and ligament and meniscal damage, presents a significant therapeutic challenge [2]. Optimal clinical outcomes are achieved through surgical stabilization of both femur and tibia fractures, followed by early rehabilitation. Treatment planning must consider each fracture individually while also taking into account the overall injury status of the extremity and the patient's general condition. Among 30 reviewed series, only three studies documented the incidence of ligament and meniscal injuries, with eight focusing on ligamentous associations and 15 not mentioning menisco-ligamentous injuries at all [3]. Often part of polytrauma, floating knee injuries frequently coincide with life-threatening conditions, additional fractures, and varying degrees of soft tissue trauma, leading to hemodynamic instability and necessitating immediate monitoring and resuscitation [4, 5]. While MRI is the gold standard for evaluating knee ligament injuries, performing an MRI before surgically stabilizing fractures can be risky, especially if the patient is hemodynamically unstable [6]. Post-surgical metalwork can also interfere with MRI accuracy. Therefore, MRIs are typically deferred until the patient is hemodynamically stable. This study compares the functional outcomes of patients with floating knee injuries who underwent MRI with those who did not.
The study was conducted at a tertiary care center with approval from the Hospital Research and Ethics Committee, spanning from May 2021 to April 2024. It involved 100 patients with floating knee injuries who underwent MRI assessments for soft tissue injuries and a retrospective analysis of 25 patients treated between November 2018 and October 2020 without MRI evaluation. This research included both prospective and retrospective components, with follow-ups at 1 mo, 3 mo, 6 mo, 1 y, and 2 y, extending up to a maximum of 2 and a half years. Exclusion criteria included patients under 18 y, those with pathological fractures, Grade IIIC injuries per the Modified Gustilo Anderson classification, ipsilateral hip joint dislocations, contralateral limb fractures, and those unfit or unwilling for surgery. Upon arrival, patients were resuscitated following the Advanced Trauma Life Support [ATLS] protocol, with assessments of their general condition, hypovolemia, and associated injuries. Femur and tibia fractures were immobilized using a Thomas splint, and patients received intramuscular analgesics and intravenous [IV] antibiotics. Routine investigations were conducted, and X-rays were taken in anteroposterior and lateral views. MRIs were performed on patients with a Glasgow Coma Scale score above 7. For compound fractures, immediate debridement and external fixation were performed under anesthesia, followed by primary or secondary wound closure as appropriate. Treatment included intramedullary interlocking nailing, anatomical reduction for intra-articular fractures with plates and screws, and arthroscopy with ligament repair if needed. Surgeries were performed under spinal or general anesthesia. Postoperative care included IV antibiotics for three days for closed fractures, transitioning to oral antibiotics after dressing checks and drain removal on the fourth day. Antibiotic administration for compound fractures was based on wound status, and skin sutures were removed on the 12th postoperative day. Physiotherapy began after fixation, focusing on early range of motion exercises depending on the patient's consciousness, hemodynamic stability, pain, and associated injuries. Partial weight bearing started at six weeks postoperatively, guided by X-ray evidence of callus formation, with further weight-bearing activities introduced based on radiographic union. Functional recovery was assessed using the Karlstrom Olerud criteria [7], starting at a minimum of one-month post-injury.
Statistical analysis
The collected data were coded, compiled, and entered into Microsoft Excel, then analyzed and statistically evaluated using SPSS-PC-17 version. Quantitative data were represented by mean and standard deviation, while qualitative data were expressed as percentages. The differences between proportions were assessed using the chi-square test.
The study included 111 males (88.8%) and 14 females (11.2%). The right lower limb was affected in 91 patients (72.8%), while the left lower limb was involved in 34 patients (27.2%). The mean age of the patients was 36.6 y. Most injuries resulted from road traffic accidents; predominantly involving two-wheeler motorcycle accidents, with 2 patients having sustained injuries from falls from height [table 1] provides the demographic details of the study.
Table 1: Demography statistics
| Description of population | Duration |
| No. of Patients | 125 |
| Average Age of Patients | 36.6 y |
| Range of Age: 18 to 39 | 83 |
| 40 to 59 | 30 |
| >60 y | 12 |
| Range of Age of Patients | 18 to 74 y |
| Gender Ratio, M: F | 111:14 |
| Occupation: Agriculture | 38 |
| Industry | 43 |
| Drivers | 16 |
| Others | 28 |
| Side: Right | 91 |
| Left | 34 |
| Type of accident: RTA | 123 |
| Fall from height | 2 |
| Type of fractures: Acc. To Fraser: Type I | 49 |
| Type IIa | 33 |
| Type IIb | 26 |
| Type IIc | 17 |
| Open fracture: Total patients | 51 |
| Open fracture: | 91Femur (46), Tibia (45) |
| Type I | 18 |
| Type II | 28 |
| Type III | 45 |
| Primary Treatment [Surgery] | |
| External fixator | 68 [23 femur, 45 tibia] |
| Plating | 76 [44 femur, 32 tibia] |
| Nailing | 113 [68 femur, 45 tibia] |
| Only CC Screw | 6 [1 femur, 5 tibia] |
| Definitive fixation with External fixator | 42 [ 12 femur, 20 tibia] |
| Conservative treatment | 23 [ 0 femur, 23 tibia] |
| Average days for 2nd surgery | 9.6 days [5 to 15 d] |
| mean delay between injury and Admission | 1 day [SD 0.7] |
| Mean delay between Admission and Surgery | 2.9 [SD 1.3] |
| Average time of bone union: Femur | 11.5 mo [SD 7.2] |
| Average time of bone union: Tibia | 10.5 mo [SD 6.1] |
Among the 100 patients with floating knee injuries who underwent MRI, 72 had meniscus or ligament injuries. Specifically, 32 patients had Anterior Cruciate Ligament [ACL] injuries, including 10 with complete ACL tears and 21 with partial or incomplete ACL injuries, with 1 patient lost to follow-up. There were 7 patients with Posterior Cruciate Ligament [PCL] injuries, 2 of whom had isolated PCL injuries. Additionally, 33 patients had pure meniscus injuries, with 24 involving the medial meniscus and 9 involving the lateral meniscus, and 7 patients were lost to follow-up. Furthermore, there were 9 patients with Medial Collateral Ligament [MCL] injuries and 2 with Lateral Collateral Ligament [LCL] injuries. The associated injuries are detailed in [table 2].
According to Fraser’s classification [8], the distribution of injuries among the 100 patients included 49 (39.2%) Type I, 33 (26.4%) Type IIA, 26 (20.8%) Type IIB, and 17 (13.6%) Type IIC. Meanwhile, based on the Agarwal and Singh classification system using MRI[6], the distribution was as follows: 17 Type Ia, 23 Type Ib, 6 Type IIa, 18 Type IIb, 4 Type IIIa, 19 Type IIIb, 1 Type IVa, and 12 Type IVb.
The treatment modalities administered to the patients are detailed in [Table 1]. On average, femoral bone union occurred approximately 11.5 mo after treatment initiation, while tibial bone union averaged around 10.5 mo. Open fractures generally took longer to heal compared to closed fractures. Significant delays in union time were observed in segmental femoral fractures compared to non-segmental fractures. However, such differences in union time were not notably observed between segmental and non-segmental tibial fractures. Among patients experiencing immediate complications, crush injuries and bone loss were predominant, followed by vascular injuries, amputation, ARDS, and other issues. Delayed complications primarily included limb length discrepancy, implant failure were found in 4 patients, and amputation in 7 cases. Vascular repair was successful in one patient, while three patients required mid-thigh amputations. Four cases of malunited tibia, one of malunited femur, 28 cases of limb length discrepancy, and 36 cases of knee stiffness were documented among the patients. Patients who underwent MRI and were classified according to the Agarwal and Singh system showed significantly better functional outcomes at 1 y and 2 y follow-ups compared to those who did not undergo MRI. This improvement may be attributed to receiving more comprehensive care and treatment for ligament and other soft tissue injuries, as indicated in table 3.
Table 2: Description of associated injuries in floating knee
| Injuries associated with floating knee | |
| Knee soft tissue injury: combined ACL injuries | 32 |
| ACL [complete: Arthroscopic reconstruction] | 10 |
| ACL [incomplete] | 21 |
| Isolated ACL injuries | 0 |
| Combined PCL injuries | 7 |
| PCL [Incomplete] | 4 |
| PCL [Complete: arthroscopic reconstruction] | 3 |
| Isolated PCL | 2 |
| Meniscus injury | 33* |
| Medial meniscus | 24 |
| Lateral meniscus | 9 |
| Combined Collateral injuries: | 11 |
| Medial Collateral injuries | 9 |
| Lateral Collateral injuries | 2 |
| Associated fractures: Patella fracture | 12 |
| Segmental fracture(Floating knee): Total | 12 |
| Segmental fracture: Femur | 4 |
| Segmental fracture: Tibia | 6 |
| Segmental fracture: Femur and Tibia both | 2 |
| Contralateral Femur injuries | 9 |
| Contralateral Tibia injuries | 14 |
| Head Injury: | 11 |
| Haemopneumothorax (2) and Fat embolism(3) | 5 |
| Rib fractures | 9 |
| Clavicle fracture | 4 |
| Upper limb fractures | 16 |
| Ankle and Foot fractures | 12 |
| Pelvis injury | 4 |
| Spine injury | 2 |
| Vascular injury | 4 |
| Nerve palsy [Neuropraxia] | 2 |
*8 loss to follow up
Table 3: Showing patients with Floating knee who underwent MRI (Group 1) had statistically significant favorable functional outcome at 1 y and 2y follow-up when compared with patients who did not underwent MRI (Group 2).
| Score | MRI_1_2 | N | Mean | Std. deviation | Std. error mean | P Value |
| karls_score_1 | 1.0 | 100 | 16.950 | 1.6104 | .1610 | 0.75 |
| 2.0 | 25 | 16.760 | 1.2675 | .2535 | ||
| karl_score_2 | 1.0 | 100 | 20.580 | 2.1014 | .2101 | 0.40 |
| 2.0 | 25 | 20.160 | 1.6753 | .3351 | ||
| karl_score_3 | 1.0 | 99 | 23.601 | 2.2968 | .2308 | 0.60 |
| 2.0 | 25 | 23.360 | 2.0591 | .4118 | ||
| karl_score_4 | 1.0 | 92 | 26.927 | 2.5238 | .2631 | 0.04 |
| 2.0 | 25 | 26.480 | 2.3473 | .4695 | ||
| karl_score_5 | 1.0 | 92 | 29.824 | 2.6653 | .2779 | 0.03 |
| 2.0 | 25 | 29.520 | 2.2935 | .4587 |
According to the Karlstrom and Olerud criteria, outcomes were categorized as 10 (8%) excellent, 56 (44.8%) good, 45 (36%) fair, and 6 (4.8%) poor among patients who underwent MRI, as detailed in [table 4].
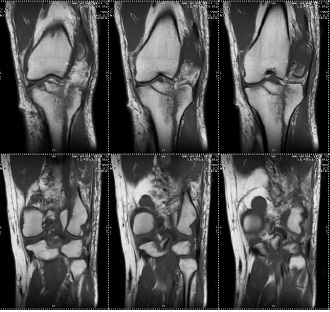
A 26 y-old male sustained a Type IIc Fraser and Type IVb Agarwal and Singh Floating knee injury on the right side. This included displaced intra-articular fractures of the lateral femoral condyle and lateral tibial plateau, a displaced patellar fracture with Grade II ACL tear and PCL sprain, complex tear of the lateral meniscus, and extensor mechanism rupture. Treatment involved external fixation for ipsilateral shaft fractures of the femur and tibia, along with a physiotherapy rehabilitation protocol for associated soft tissue injuries and tension band wiring for the patellar fracture. The patient achieved a good functional outcome after 2 y of follow-up, as depicted in [fig. 1a-d].
Table 4: Showing functional outcome in patients according to karlstorms olerud criteria. 8 patients loss to follow up
| Karlstorms criteria | Number of patients | |
| Excellent | 33 | 10 |
| Good | 32-30 | 56 |
| Fair | 29-24 | 45 |
| Poor | 23-21 | 6 |
| Karlstorm’s Score in patients who did not undergo MRI | ||
| Karlstorms Criteria | Number of Patients | |
| Excellent | 33 | 3 |
| Good | 32-30 | 10 |
| Fair | 29-24 | 12 |
| Poor | 23-21 | 0 |

Fig. 1a: Preoperative X-ray AP and lateral view of 26 y old male having type IIc fraser and type IVb agarwal and singh floating knee injury

Fig. 1b: Postoperative X-ray at 6 mo follow-up


Fig. 1c: Preoperative MRI coronal and saggital view showing displaced intra-articular fracture of lateral femoral condyle and lateral tibial plateau with displaced fracture of patella with Grade II ACL tear and PCL sprain and complex tear of lateral meniscus and extensor mechanism rupture



Figure 1d: Clinical picture at 2 year Follow up of the same patient with knee flexion, squatting and complete extension
Previous studies have highlighted that the outcomes of floating knee injuries are significantly influenced by the complexity of fractures and the presence of soft tissue injuries. The incidence of knee ligament injuries in floating knee cases has been reported as high as 53% in the literature [9]. Doyle et al. [10] attributed suboptimal functional outcomes in floating knee injuries to delayed diagnoses of ligamentous knee injuries. Similarly, Liu et al. [11] found knee ligamentous injuries in 70.3% of patients with floating knee injuries. Szalay et al. [12] reported that 53% of patients with ipsilateral fractures of the femur and tibia exhibited knee ligamentous laxity, compared to 27% in patients with isolated fractures.
In our study, MRI identified ligamentous or meniscus injuries around the knee in 72 out of 100 patients. ACL injury was predominantly observed among these ligamentous injuries. Nineteen patients underwent arthroscopy as a secondary procedure for ACL reconstruction, PCL reconstruction, meniscus repair, and collateral ligament repair. Liu et al. [11] noted that 21 (56.8%) patients in their study had ACL injuries, with 6 cases classified as complete injuries and 15 as incomplete injuries. Additionally, three (8.1%) patients had PCL tears, including one complete injury and two incomplete injuries. Varus and valgus stress tests revealed MCL and LCL laxity in 10 (27.0%) and 7 (18.9%) patients, respectively. Ran et al. [13] underscored the importance of the patella within the extensor mechanism, advocating for the inclusion of patellar fractures in classification systems. Karsli et al. [14] corroborated this viewpoint, demonstrating that patients with concurrent patellar fractures experienced poorer clinical outcomes according to the Karlstrom–Olerud criteria. In our study, we identified 12 out of 100 patients who had associated patellar fractures with extensor mechanism rupture. These cases were managed using tension band wiring or encirclage techniques for repair. Factors such as open fractures of the tibia and femur, temporary external fixation, intra-articular fractures, and additional surgical procedures were associated with moderate to poor functional outcomes based on the Karlstrom and Olerud criteria. These factors potentially impact overall recovery, leading to suboptimal functional results post-treatment [15].
The preferred treatment approach typically begins with nailing, reserving external fixation for cases of severe comminution. This sequence aims to minimize soft tissue damage and reduce risks to the patient's general condition, including the potential incidence of fat embolism. When temporary fixation is necessary, it is advisable to use fixators that are compatible with MRI scanning. Subsequent to temporary stabilization, MRI of the knee is recommended, particularly if there is suspicion of ligamentous injury [16].
Treatment strategies for knee ligament injuries vary, with consensus recognizing poorer outcomes associated with delayed reconstruction of damaged ligaments. Isolated injuries to the medial collateral ligament often receive conservative treatment rather than surgical reconstruction. Conversely, injuries involving the lateral collateral ligament frequently coincide with cruciate ligament ruptures, necessitating reconstruction of the lateral complex. Surgical intervention for cruciate ligament injuries is typically indicated when significant detachment or rupture near the ligament's attachment points on the tibia or femur is evident.
According to the Karlstrom and Olerud criteria [7], patients who underwent MRI and received appropriate treatment achieved excellent functional outcomes in 10 cases, good outcomes in 56 cases, acceptable or fair outcomes in 45 cases, and poor outcomes in 6 cases. In comparison, the control group showed excellent outcomes in 3 cases, good outcomes in 10 cases, acceptable or fair outcomes in 12 cases, and no poor outcomes. These findings align with similar studies reported in the literature. Agarwal et al. [17] concluded that a thorough clinical examination, supplemented by arthroscopic assessment, assists in early detection and focused treatment of the injured tissues.
The study has several limitations. These include the involvement of a limited number of surgeons, each with their treatment preferences, which may have resulted in a lack of diversity in approaches and potentially limited the generalizability of the findings. The study relied on a non-probability convenience sample from two tertiary care hospitals, which may restrict the broader applicability of the results. Retrospective data collection methods, including patient recall and telephonic interviews for 25 control cases, introduced recall biases. Such retrospective approaches provide a lower level of evidence compared to prospective studies and may be susceptible to unaccounted confounding factors. Furthermore, the absence of randomized controlled trials limits the ability to minimize biases and establish causality more effectively.
Our objective is to promptly and precisely treat by thoroughly addressing all associated injuries, including previously undetected ligament damage around the knee. Factors such as joint involvement, soft tissue damage, and concurrent injuries are crucial determinants affecting functional outcomes. We are dedicated to enhancing diagnostic methods, timely interventions, and promoting coordinated care to maximize functional rehabilitation and overall patient health in cases of floating knee injuries.
No benefits in any form have been received or will be received from a commercial party related directly or indirectly to the subject of this article.
“SA has seen the patient in the outdoor and was the primary surgeon and has prepared the manuscript and has read and approved the final manuscript.”, “HS has seen the patient in the outdoor and has helped, read and approved the final manuscript.”, “AS has seen the patient in the outdoor and helped, read and approved the final manuscript.”, “KG helped in statistical analysis and approved the final manuscript.”
Declared none
Hayes JT. Multiple fractures in the same extremity: some problems in their management. Surg Clin North Am. 1961;41(5):1379-88. doi: 10.1016/S00396109(16)36499-4.
Mc Bryde A Jr, Blake R. The floating knee ipsilateral fractures of femur and tibia. JBJS. 1974;56(A):1309.
Munoz Vives J, Bel JC, Capel Agundez A, Chana Rodriguez F, Palomo Traver J, Schultz Larsen M. The floating knee: a review on ipsilateral femoral and tibial fractures. EFORT Open Rev. 2016;1(11):375-82. doi: 10.1302/20585241.1.000042, PMID 28461916.
Bertrand ML, Andres Cano P. Management of the floating knee in polytrauma patients. Open Orthop J. 2015 Jul 31;9:347-55. doi: 10.2174/1874325001509010347, PMID 26312119.
Vallier HA, Manzano GW. Management of the floating knee: ipsilateral fractures of the femur and tibia. J Am Acad Orthop Surg. 2020 Jan 15;28(2):e47-54. doi: 10.5435/JAAOS-D-18-00740, PMID 31305352.
Agarwal S, Singh H, Sharma A, Gupta K. To develop a classification system for prognosis of cases of floating knee. Int J Pharm Clin Res. 2024;16(1):1630-3.
Karlstrom G, Olerud S. Ipsilateral fracture of the femur and tibia. J Bone Joint Surg Am. 1977;59(2):240-3. PMID 845210.
Fraser RD, Hunter G. A ipsilateral fractures of the femur and tibia. J Bone Joint Surg Br. 1978 Nov;60B(4):510-5. doi: 10.1302/0301-620X.60B4.711798.
Paul GR, Sawka MW, Whitelaw GP. Fractures of the ipsilateral femur and tibia: emphasis on intra articular and soft tissue injury. J Orthop Trauma. 1990;4(3):309-14. doi: 10.1097/00005131-199004030-00013, PMID 2231130.
Doyle P, Oliver CW. Complex floating knee; trifocal tibial and ipsilateral femoral fracture. Injury. 1998;29(7):553-5. doi: 10.1016/s0020-1383(98)001119, PMID 10193502.
Liu Y, Zhang J, Zhang S, Li R, Yue X. Concomitant ligamentous and meniscal injuries in floating knee. Int J Clin Exp Med. 2015 Jan 15;8(1):1168-72. PMID 25785109.
Szalay MJ, Hosking OR, Annear P. Injury of knee ligament associated with ipsilateral femoral shaft fractures and with ipsilateral femoral and tibial shaft fractures. Injury. 1990;21(6):398-400. doi: 10.1016/0020-1383(90)90129-i, PMID 2276807.
Ran T, Hua X, Zhenyu Z, yue L, youhua W, Yi C. Floating knee: a modified fraser’s classification and the results of a series of 28 cases. Injury. 2013;44(8):1033-42. doi: 10.1016/j.injury.2012.12.012, PMID 23312566.
Karslı B, Tekin SB. The floating knee injuries: does it need a new classification system. Indian J Orthop. 2021;55(2):499-505. doi: 10.1007/s43465-020-00298-x, PMID 33927831.
Kulkarni MS, Aroor MN, Vijayan S, Shetty S, Tripathy SK, Rao SK. Variables affecting functional outcome in floating knee injuries. Injury. 2018 Aug;49(8):1594-601. doi: 10.1016/j.injury.2018.05.019, PMID 29885963.
Van Raay JJ, Raaymakers EL, Dupree HW. Knee ligament injuries combined with ipsilateral tibial and femoral diaphyseal fractures: the floating knee. Arch Orthop Trauma Surg. 1991;110(2):75-7. doi: 10.1007/BF00393877, PMID 2015137.
Agarwal S, Singh H, Sharma A, Gupta K. To evaluate the functional outcome in patients with floating knee who underwent MRI. Asian J Pharm Clin Res. 2024;17(8):1430-5. doi: 10.22159/ajpcr.2024v17i8.51502.