
1,2Department of Pathology, Hitech Medical College, Rourkela, Odisha, India, 3Chief Medical Officer, Ispat General Hospital, SAIL, Rourkela
*Corresponding author: Pragnya Paramita Mishra; *Email: pparamita1982@gmail.com
Received: 15 Sep 2024, Revised and Accepted: 25 Oct 2024
ABSTRACT
Sarcina ventriculi (SV), which is also called Clostridium ventriculi, is a rare, non-motile, aerobic, Gram-positive coccus that breaks down carbohydrates through fermentation. It thrives in acidic environments, making the human stomach a suitable habitat, particularly in conditions associated with gastric stasis. SV belongs to the Clostridiaceae family. Recent studies have implicated Sarcina ventriculi in severe gastrointestinal conditions, including emphysematous gastritis, pyloric stenosis, gastroparesis, gastric outlet obstruction, gastric perforation, and gastric adenocarcinoma. Increased awareness of this organism and further studies are essential to understanding its role in human disease.
Keywords: Gastric ulcer, Gastritis, Perforation, Sarcina ventriculi
© 2024 The Authors. Published by Innovare Academic Sciences Pvt Ltd. This is an open access article under the CC BY license (https://creativecommons.org/licenses/by/4.0/)
DOI: https://dx.doi.org/10.22159/ijcpr.2024v16i6.5092 Journal homepage: https://innovareacademics.in/journals/index.php/ijcpr
The bacterium Sarcina ventriculi derived its name from the Latin word "Sarcina," meaning "package," due to its characteristic formation in groups of four or eight, its basophilic staining, and its refractive properties under light microscopy. It is an anaerobic, Gram-positive coccus, also known as Clostridium ventriculi [1]. It was first identified as a human pathogen in 1842 by John Goodsir [2], and it was first isolated in 1911 using strict anaerobic techniques from the stomachs of infected individuals. Sarcina has also been reported in the feces of healthy humans consuming a predominantly vegetarian diet [3]. Recent reports have shown an association between Sarcina in the stomach and chronic nausea, dyspepsia, abdominal pain, and gastric ulcers [4]. SV may rarely be responsible for emphysematous gastritis, a condition that can lead to gastric perforation. Patients infected with Sarcina have been found to have frothy vomitus, termed "sarcinate vomit" [5]. It is most frequently recognized as a pathogen that affects animals. The pathogenic role of SV in humans remains unclear and is debated.
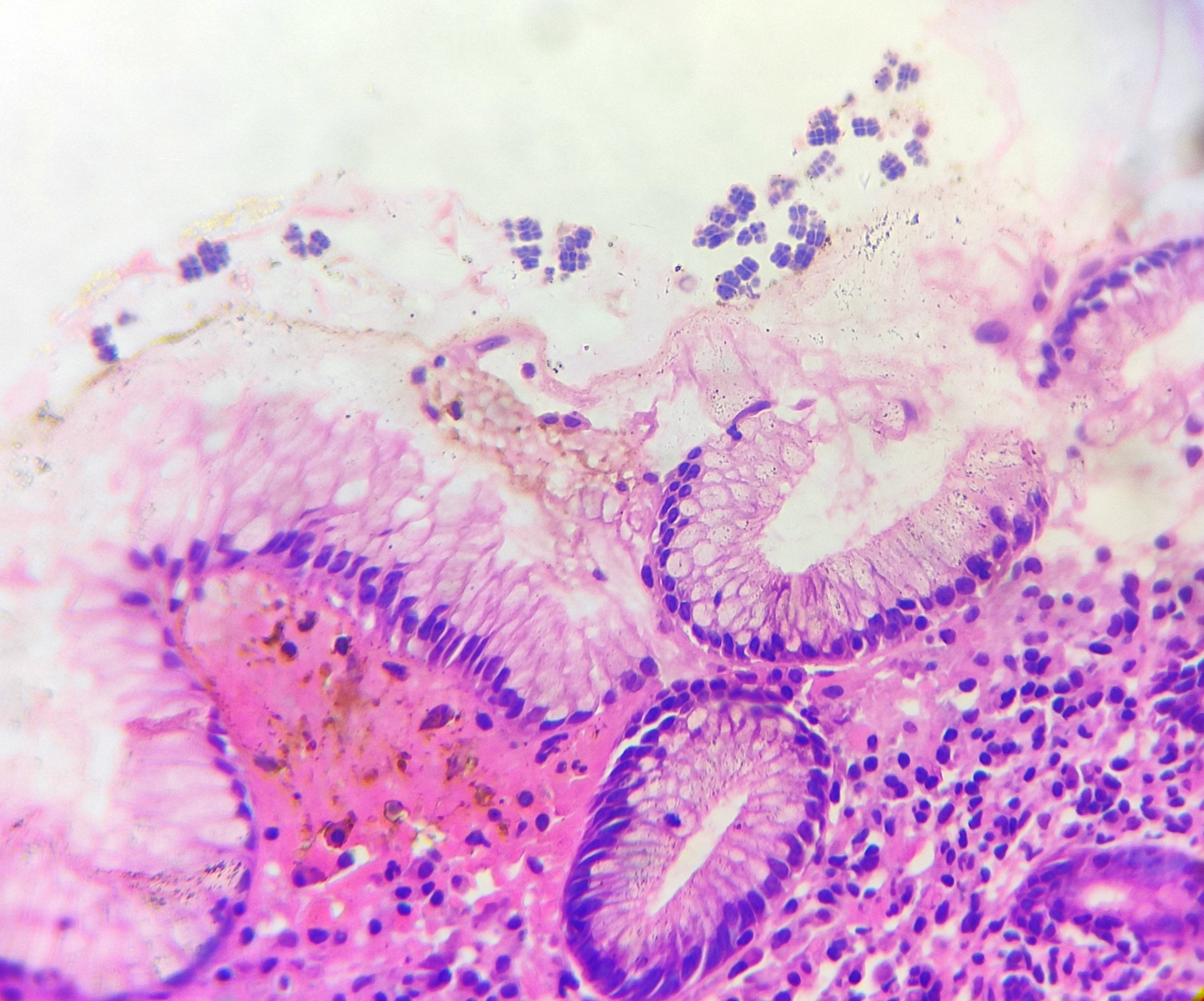
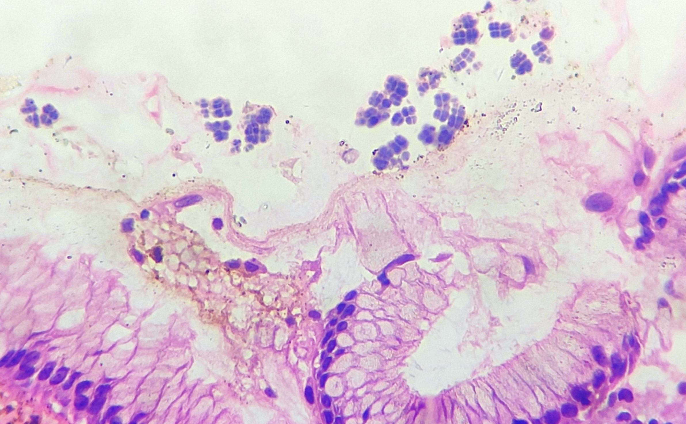
We report a case of Sarcina associated with gastritis in a 90-year-old male who had been suffering from vomiting, abdominal pain, anorexia, regurgitation, and delayed gastric emptying for two years. Routine hemogram was normal. Patient was subjected to ultrasonography of abdomen and pelvis, which was also normal. Then upper gastrointestinal (GI) endoscopy was done, which revealed thickened mucosal folds in the antrum, a growth in the duodenum (D1), Grade D gastroesophageal reflux disease (GERD), and gastric outlet obstruction. An endoscopic gastric biopsy was performed. Histopathological examination revealed small spherical microorganisms in a tetrad arrangement (fig. 1 and 2) within the inflammatory exudate. There was no evidence of metaplasia, dysplasia, or malignancy in the histopathologic sections studied.


Fig. 1-2: Show foveolar mucosa with sarcina
Sarcina ventriculi is unique for its characteristic tetrad packet formation, a key identifying feature under microscopy. Gastritis caused by Sarcina ventriculi is believed to result from its ability to produce carbon dioxide, leading to the formation of gas pockets within the gastric wall. This gas production can cause the mucosa to stretch and potentially rupture, resulting in emphysematous gastritis-a rare but life-threatening condition characterized by the presence of gas within the stomach wall.
The clinical presentation of Sarcina ventriculi-associated gastritis can vary, ranging from mild dyspepsia to severe abdominal pain and vomiting. This variability often mimics other gastric disorders, complicating the diagnosis. Diagnosis is typically made via histopathological examination of gastric biopsies, where the distinctive morphology of the bacteria is observed. Sarcina ventriculi has also been found in individuals consuming a predominantly vegetarian diet and is associated with gastric ulcers and fungal yeast forms.
Sarcina ventriculi is likely underreported, as it may not be easily detected on routine biopsy stains. A review of reported cases, including ours, suggests that Sarcina is more frequently an innocent bystander rather than a pathogenic organism. Pathologists should be aware of this unusual organism and its uncertain significance. Treatment generally involves broad-spectrum antibiotics, although the optimal therapeutic approach remains uncertain due to the rarity of the condition. In cases of gastric outlet obstruction or other underlying conditions, surgical intervention may be necessary. The clinical relevance of Sarcina ventriculi in gastritis underscores the need for increased awareness among clinicians, particularly in patients with known risk factors for gastric stasis. Further research is required to establish clear guidelines for the management of this potentially serious infection.
Nil
All authors have contributed equally
There are no conflicts of interest
Al Rasheed MR, Senseng CG. Sarcina ventriculi: review of the Literature. Arch Pathol Lab Med. 2016 Dec;140(12):1441-5. doi: 10.5858/arpa.2016-0028-RS, PMID 27922772.
Goodsir J, Wilson G. History of a case in which a fluid periodically ejected from the stomach contained vegetable organisms of an undescribed form. Edinb Med Surg J. 1842 Apr 1;57(151):430-43. PMID 30330668, PMCID PMC5791290.
Crowther JS. Sarcina ventriculi in human faeces. J Med Microbiol. 1971;4(3):343-50. doi: 10.1099/00222615-4-3-343, PMID 5116255.
Lam Himlin D, Tsiatis AC, Montgomery E, Pai RK, Brown JA, Razavi M. Sarcina organisms in the gastrointestinal tract: a clinicopathologic and molecular study. Am J Surg Pathol. 2011;35(11):1700-5. doi: 10.1097/PAS.0b013e31822911e6, PMID 21997690.
Ferrier D. The constant occurrence of Sarcina ventriculi (Goodsir) in the blood of man and the lower animals: with remarks on the nature of Sarcinous vomiting. Br Med J. 1872 Jan 27;1(578):98-9. doi: 10.1136/bmj.1.578.98, PMID 20746505, PMCID PMC2297174.