
Department of Medicine, Sbks Medical Institute and Research Centre, Sumandeep Vidyapeeth Deemed to be University, Pipariya, Vadodara, India
*Corresponding author: Pratiksha Rathwa; *Email: rathwa.pratiksha.rpk@gmail.com
Received: 28 Oct 2024, Revised and Accepted: 12 Dec 2024
ABSTRACT
The hallmark of pseudotumor cerebri is a neurological condition marked by high intracranial pressure (ICP) without any discernible localizing signs or neurological impairments with normal intracranial structures. Radiographic exclusion of an intracranial mass is necessary for the mainly clinical diagnosis. We reported a case of a 27-year-old lady presented to the department of general medicine with severe headache and bilateral blurring of vision. Ophthalmoscopy revealed bilateral papilledema. Magnetic resonance imaging (MRI) brain with orbit revealed typical alterations, including bilateral flattening of the posterior sclera and protrusion of the optic nerve heads. Above findings were suggestive of pseudotumor cerebri. Treatment designed to reduce discomfort while preserving vision. Initial treatment included methylprednisolone, mannitol and acetazolamide. Acetazolamide and oral Prednisolone were administered after discharge in a tapering dose over a period of 1 mo.
Keywords: Pseudotumor cerebri, Papilledema, High intracranial pressure, Acetazolamide
© 2025 The Authors. Published by Innovare Academic Sciences Pvt Ltd. This is an open access article under the CC BY license (https://creativecommons.org/licenses/by/4.0/)
DOI: https://dx.doi.org/10.22159/ijcpr.2025v17i1.6058 Journal homepage: https://innovareacademics.in/journals/index.php/ijcpr
Pseudotumor cerebri is a rare illness defined by idiopathic elevated intracranial pressure (IIP) accompanied with papillary edema and other neurologic symptoms such as headache, vision loss, tinnitus, or diplopia. This syndrome frequently affects young, overweight women of childbearing age. The fundoscopy reveal bilateral papilledema. Visual field evaluation with perimetry and ocular coherence tomography are key diagnostic tests. Because the symptoms are similar to those of a cerebral mass lesion, the word pseudotumor cerebri has been connected with "false brain tumor". The diagnosis is an exclusion one; other causes of elevated intracranial pressure (ICP) must be excluded using imaging modalities like magnetic resonance imaging (MRI) and lumbar puncture. The primary goals of treatment are the relief of symptoms and the preservation of eyesight. Treatment options for this potentially low vision illness include diet, lifestyle changes, drugs (e. g., vitamin A derivatives, tetracycline, and lithium), carbonic anhydrase inhibitors (Acetazolamide or Diamox), steroids, and furosemide [1]. When medicinal treatment fails, surgery is recommended. Cerebrospinal fluid (CSF) shunting (e. g., ventriculo-peritoneal and lumbar-peritoneal shunting) optic nerve sheath fenestration (ONSF) and therapy of transverse sinus stenosis are recommended [2-4].
We present the case of a 27 y old female patient with no comorbidities who was referred to our department complaining of transient loss of vision, which was gradual in onset. She also had severe throbbing headache in occipital area with nausea for the past few days. The patient reported no allergies or fever in the previous days. These symptoms began one month before her appearance in our department. The family history was not significant. She did not receive any chronic treatment. The general clinical examination was normal. The body mass index was normal. She had no history of recent ear infections, acne vulgaris therapy, vitamin A supplements, lead exposure, seizures, oral contraceptives, steroid use, or withdrawal. There was no history of tick bites, target rash, or joint pain. Her medical, surgical, and family background were all unremarkable. During the presentation in our department, an ocular examination revealed a best-corrected visual acuity of 1 without correction in both eyes. Aplan tonometry revealed an intraocular pressure of 17 mmHg in both eyes. Light perception and projection were present in both eyes. The papillary light reflex was seen in both eyes. The ocular motility was normal. The slit lamp test revealed a normal evaluation of both eyes. Ophthalmoscopy of both eyes revealed papilledema, no borders on the optic nerve head, dilated retinal veins, and a chrysanthemum flower appearance in the right eye. The visual field testing revealed an increased blind spot in both eyes, along with some paracentral scotoma. The routine blood tests showed normal values, including a normal CBC, creatinine, blood glucose, CRP, BUN, fibrinogen, and erythrocyte sedimentation rate. Antibodies IgG and IgM anti-Borrelia, anti-RNP, anti-SSA, anti-cardiolipin, p-ANCA, cANCA, antiSCL70, anti-mitochondrial, ANA, and circulating immune complexes were all within normal limits. The serum vitamin B12 and folic acid levels were within normal limits. The thyroid tests were normal. There were no inflammatory markers that tested positive. The neurologic examination revealed a conscious patient with temporal and spatial orientation, symmetrical and reactive pupils, normal eye movements, no meningeal signs, no cranial nerve deficits, no motor deficit, normal tendon reflexes, slightly brisk in the lower limbs, no Babinski's sign, no ataxia, no sensitivity disorders and no sphincter dysfunction.
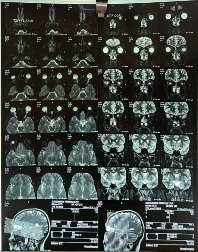
Lumbar puncture was performed at an high opening pressure. Examination of cerebrospinal fluid (CSF) indicated normal cell count, glucose, and protein levels. A bilateral papillary edema could be caused by structural cerebral abnormalities, such as benign or malignant brain tumors, vascular lesions, or inflammation/infections (cerebral abscess), which were ruled out by neurologic and MRI examinations. All inflammatory tests were negative, excluding the possibility of an autoimmune disorder. Chronic intracranial hypertension can be caused by a variety of factors, including tetracycline, blood clots in the brain, high vitamin A intake, and brain tumors. It can also occur without a clear cause based on the patient's medical history. In our case, MRI brain with orbit showed flattening of posterior sclera and protrusion of optic nerve heads along with vertical tortuosity of optic nerve sheath, which was suggestive of possibility of pseudotumor cerebri (fig. 1).
Our primary goal of the treatment was to alleviate the symptoms while preserving vision. Because of the modest visual field loss, general treatment was commenced during hospitalization with mannitol (20%) 250 ml/d and acetazolamide 2x500 mg/d. Methylprednisolone (1g/d) injection was administered for five days. The evolution remained steady during the admission. Recommendations before hospital discharge were to minimize physical exertion and to treat with acetazolamide 2x250 mg/d and oral prednisolonein tapering doses. The follow-up assessment after 1 mo revealed maximal visual acuity without correction in both eyes. The ophthalmoscopy examination revealed bilateral minor papillary oedema. The visual field examination revealed minor changes (enlarged blind spot and a few paracentral tiny scotomas).

Fig. 1: Mri orbit
Idiopathic high intracranial pressure (IICP), also known as benign intracranial hypertension, is a demanding condition that causes elevated ICP without a known cause [5]. The disorder has an estimated frequency of 20 per 100,000 people and is likely to significantly increase [6]. Obesity has been identified as the primary cause, with research indicating that it affects both children and adults equally [7]. Interestingly, our patient did not meet the criteria for IICP because she was not obese.
The most prevalent symptom at presentation is headache, which is pulsatile in over 80% of patients and has a focal component (e. g., occipital or retroorbital pain) in 70%. Lowering ICP can reduce headache symptoms. Patients with concurrent headache disorders may not respond well to ICP-lowering treatments, necessitating the use of traditional pain medications [8, 9]. Our headache was severe and located in the occipital area, but it was also accompanied by papilledema. IICP often causes visual problems, including vision loss. The common sign is bilateral papilledema, which can be symmetric or asymmetric. IICP is characterized by papilledema, which occurs in 97% of patients. Abducens nerve palsy is a key indicator for a favorable diagnosis of IICP in the absence of papilledema. Abduction paralysis was not involved in our patient [10].
Patients report brief vision loss caused by postural shifts and Valsalva movements lasting a few seconds. Visual abnormalities included increasing and early changes in the visual field, an enlarged blind spot, and a nasal step defect during evaluation. Prolonged papilledema can lead to nasal and arcuate abnormalities, as well as significant visual field constriction [11]. If no abnormalities are found during a visual field examination, visual acuity does not diminish. Static perimetry is crucial for determining management decisions based on the visual field. MRI is particularly useful for seeing the eyeball, optic nerve, orbit, and optic tract. Increased ICP can cause aberrant MRI findings such as flattening of the posterior sclera, enhancement of the prelaminar optic nerve, distension of the peri optic subarachnoid space, intraocular protrusion of the prelaminar optic nerve, and an empty sella [12].
Without treatment, papilledema can lead to irreversible vision loss and optic atrophy. The treatment aims to alleviate symptoms, such as headache and preserve vision. Overweight patients should participate in a weight-management program with an aim of 5% to 10% weight loss and a low-salt diet. Our patient was not obese, which is a unique aspect of the situation. We started a medicinal treatment using acetazolamide to minimize papilledema. For mild symptoms and vision loss, various medicinal and surgical therapies were advised. Acetazolamide treatment should be commenced for modest visual field loss, as seen in our instance. Acetazolamide, a carbonic anhydrase inhibitor, reduces cerebrospinal fluid production and lowers ICP.
In most cases, lumbar puncture alleviates IICP symptoms temporarily. For severe or rapid visual loss, surgical procedures such optic nerve sheath fenestration or cerebrospinal fluid shunting may be necessary to prevent irreversible vision loss. The appropriate intervention depends on the severity of symptoms and vision loss.
Our patient of pseudotumor cerebri presented with transient vision loss, occipital headache, bilateral papilledema, without obesity, iron-deficiency anemiaor abducens nerve paralysis, which is unusual. Pseudotumor cerebri is an exclusionary diagnosis; hence, it is imperative to rule out other causes of transient vision loss and occipital headache because if it is identified early and appropriately, the prognosis is quite good.
Nil
All the authors have contributed equally.
Declared none
Ball AK, Howman A, Wheatley K, Burdon MA, Matthews T, Jacks AS. A randomised controlled trial of treatment for idiopathic intracranial hypertension. J Neurol. 2011;258(5):874-81. doi: 10.1007/s00415-010-5861-4, PMID 21161260.
Johnston I, Besser M, Morgan MK. Cerebrospinal fluid diversion in the treatment of benign intracranial hypertension. J Neurosurg. 1988;69(2):195-202. doi: 10.3171/jns.1988.69.2.0195, PMID 3392566.
Corbett JJ, Nerad JA, Tse DT, Anderson RL. Results of optic nerve sheath fenestration for pseudotumor cerebri the lateral orbitotomy approach. Arch Ophthalmol. 1988;106(10):1391-7. doi: 10.1001/archopht.1988.01060140555022, PMID 3273487.
Sergott RC, Savino PJ, Bosley TM. Modified optic nerve sheath decompression provides long-term visual improvement for pseudotumor cerebri. Arch Ophthalmol. 1988;106(10):1384-90. doi: 10.1001/archopht.1988.01060140548021, PMID 3178549.
Friedman DI, Liu GT, Digre KB. Revised diagnostic criteria for the pseudotumor cerebri syndrome in adults and children. Neurology. 2013;81(13):1159-65. doi: 10.1212/WNL.0b013e3182a55f17, PMID 23966248.
Friedman DI, Rausch EA. Headache diagnoses in patients with treated idiopathic intracranial hypertension. Neurology. 2002;58(10):1551-3. doi: 10.1212/wnl.58.10.1551, PMID 12034799.
Radhakrishnan K, Ahlskog JE, Cross SA, Kurland LT, O Fallon WM. Idiopathic intracranial hypertension (pseudotumor cerebri). Descriptive epidemiology in Rochester Minn 1976 to 1990. Arch Neurol. 1993;50(1):78-80. doi: 10.1001/archneur.1993.00540010072020, PMID 8418804.
Giuseffi V, Wall M, Siegel PZ, Rojas PB. Symptoms and disease associations in idiopathic intracranial hypertension (pseudotumor cerebri): a case-control study. Neurology. 1991;41(2_part_1):239-44. doi: 10.1212/WNL.41.2_Part_1.239.
Wall M. The headache profile of idiopathic intracranial hypertension. Cephalalgia. 1990;10(6):331-5. doi: 10.1046/j.1468-2982.1990.1006331.x, PMID 2289234.
Dai Y, Jia N, Wang XL, Chen XH, Sun HL, Zhang XJ. Analysis of characteristics of ocular manifestations of benign intracranial hypertension. Zhonghua Yan Ke Za Zhi. 2010;46(12):1071-4. PMID 21211218.
Thurtell MJ, Wall M. Idiopathic intracranial hypertension (pseudotumor cerebri): recognition treatment and ongoing management. Curr Treat Options Neurol. 2013 Feb;15(1):1-12. doi: 10.1007/s11940-012-0207-4, PMID 23136035.
Thakkar DK, Patil A, Thakkar D, Patil P, Jantre MN. Magnetic resonance imaging in pseudotumor cerebri: a case report. Med J DY Patil Univ. 2014;7(6):802-5. doi: 10.4103/0975-2870.144894.