
1Department of Pharmacology, K. M. College of pharmacy, Madurai 625107, India, 2Department of zoology, Thiyagarajar College of Arts and Science, Madurai 625009, India
Email: rabiyamma@gmail.com
Received: 21 Jul 2015, Revised and Accepted: 03 Sep 2015
ABSTRACT
Objective: The aim of present research was undertaken to find out the effect of the potential Antidiabetic activity of Thunbergiafragrans and their effects on key metabolic enzymes involved in carbohydrate metabolism on alloxan induced diabetes in wistar rats.
Methods: In this study the plant extract was taken and measuring the changes in Blood glucose, Body weight, Glycogen content, Hematological & biochemical parameters, Hepatic glucokinase& hexokinase activity, and Glucose-6-phosphate levels inalloxan-induced diabetic rats.
Results: The effects produced by this plant extract on different parameters were compared with glipizide.
Conclusion: This extract also showed improvement in the parameters like body weight, liver glycogen content and carbohydrate metabolizing enzymes, as well as regeneration of β-cells of pancreas and so might be of value in diabetes treatment
Keywords: Thunbergia fragrance, Alloxan, Glipizide, Wistar rats.
INTRODUCTION
Diabetes mellitus (DM) is a group of metabolic disease in which there are high blood sugar levels over a prolonged period [1]. Symptoms of high blood sugar include frequent urination, increased thirst and increased hunger. If left untreated, diabetes can cause many complications [2]. Acute complications include diabetic ketoacidosis and nonketotic hyperosmalar coma [3].
Serious long-term complications include cardiovascular disease, stroke, chronic kidney failure, foot ulcers and damage to the eyes [2]. Diabetes is due to either the pancreas not producing enough insulin or the cells of the body not responding properly to the insulin produced [4]. There are three main types of diabetes mellitus:
The leaves of Thunbergia fragrance have been used as detoxifying agent. Used as an antidote for Poisons and drugs, including the treatment for drug addiction. Flowers are hepato protective, anti-inflammatory, antioxidant, analgesic, anti-diabetic, non toxic, cytotoxic and anti bacterial [6, 7].
MATERIALS AND METHODS
Fresh plant of Thunbergia fragrance was collected from alagar hills, Madurai. Glipizide was obtained as a gift sample from micro labs, Hosur. Alloxan monohydrate and ethanol were purchased from SD fine chemicals, Mumbai.
Preparation of plant extract
The whole plant of Thunbergiafragrans was dried in the shade. Then the shaded dried plants were powdered to get coarse powder. And about 500 gm of the dried coarse powder of Thunbergiafragrans were soaked in the extractor and macerated for 30 h with petroleum ether, followed by Chloroform. Then it is extracted with ethanol: water (70:30) by continuous hot percolation technique using Soxhlet apparatus for 72 h. Crude extract were distilled under vacuum condition. After concentration, the hydro alcoholic extract gives brownish residue which weighs about 7.2 gms. This extract was used for experimentation.
Induction of diabetes mellitus
Diabetes mellitus is induced in wistar rats by single intraperitoneal injection of freshly prepared solution of Alloxan monohydrate (150 mg/kg BW) in physiological saline after overnight fasting for 12 h [8] Alloxan is commonly used to produce diabetes mellitus in experimental animals due to its ability to destroy the β-cells of pancreas possibly by generating the excess reactive oxygen species such as H202, 02 and H0-.[9] The development of hyperglycemias in rats is confirmed by plasma glucose estimation 72 h post alloxan injection. The rats with fasting plasma glucose level of 200-260 mg/dl were used for this experiment.
Experimental procedure
In the experiment, a total of 30 rats (24 diabetic surviving rats & 6 normal rats) were used. Diabetes was induced in rats 3 d before starting the experiment. The rats were divided into 5 groups after the induction of alloxan diabetes. In the experiment 6 rats were used in each group.
Group 1: (Normal control) consists of normal rats given with 10 ml/Kg of normal saline.
Group 2: (Diabetic control) Diabetic control received 150 mg/Kg of Alloxan monohydrate through I. P.
Group 3: (Positive control) Diabetic rat received Glipizide (5 mg/Kg i. p)[10]for 28 d.
Group 4: (Treatment group) Diabetic rat received low dose (200 mg/Kg)[11] of Thunbergiafragrans daily using intra-gastric tube for 28 d.
Group 5: (Treatment group) Diabetic rat received high dose (400 mg/Kg)[11]of Thunbergiafragrans daily using intra-gastric tube for 28 d.
Sample collection
After 28 d of treatment, the blood glucose level and body weight was measured. Then blood was collected retro-orbitally from the eye under light ether anaesthesia using capillary tubes. Blood was collected in fresh vials containing EDTA as anticoagulant agents and plasma was separated in a T8 electric centrifuge at 3000 rpm for 4 minute.
Then animal was sacrificed by euthanesia. Liver and pancreas were immediately dissected out, washed in ice-cold saline to remove the blood. And liver was used for estimation of enzyme activity while pancreas was subjected to histopathological studies.
Statistical analysis
The data for different biochemical parameters were analyzed by using One way ANOVA followed by Newman Keul’s multiple range tests. Values are expressed as mean±SEM.
RESULTS AND DISCUSSION
Table no 1 shows the mean body weight of diabetic rats was significantly decreases as compared to normal animals. The body weight of diabetic rats treated with Hydro-alcoholic extract of Thunbergiafragrans (HAETF) at different doses 200 mg/kg & 400 mg/kg was significantly increased as compared to non-treated diabetic animals. Standard drug treated animals also showed an increase in body weight significantly as compared to diabetic rats.
Table no 2 shows the Blood glucose level was increased significantly at 14th& 28th day of treatment respectively, in the diabetic animals as compared to normal animals. In the HAETF treated groups (both doses), significant anti-hyperglycemic (p<0.001) effect was evident from the 2nd week onwards, the decrease in blood sugar was maximum on completion of the 4thweek. Group III treated animals receiving glipizide at a dose of 5 mg/kg also restored the blood sugar level near to normal range. Table no 3 shows the diabetic control liver glycogen content decreased significantly as compared to non-diabetic control. Treatment with glipizide, HAETF at two doses (200 mg/kg & 400 mg/kg) led to increasing in liver glycogen content in comparison to diabetic control. Table no 4 shows the effect of hepatic enzymes.
As compared to non-diabetic control values, mean level of enzymes Hexokinase &Glucokinase and substrate Glucose-6-phosphate values decreased in diabetic control. Treatment with HAETF at two doses (200 mg/kg & 400 mg/kg) for 28 d led to rise in percentage of these parameter also treatment with glipizide led to rise. Table No-5 shows shows the haematological parameters of group I to group V treated animals. At the end of 28 d of the study period, no statistically significant differences were seen in the mean WBC and RBC counts. HB & Platelet values as compared to the non-diabetic animals.
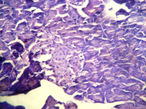
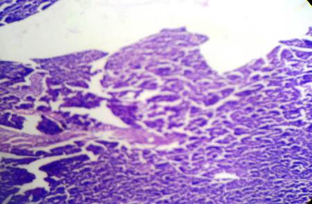
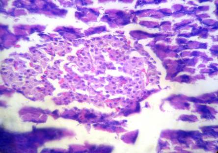
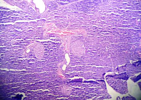
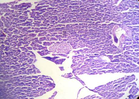
In histopathological study, the fig. 1 showed normal acini and normal cellular population in the islets of langerhans in the pancreas of non-diabetic rats (group-I). fig. 2 showed extensive damage and reduced number of islets of langerhans in pancreas of diabetic rats (group-II). Fig 3 showed restoration of normal cellular population size of islets with hyperplasia by glipizide (group-III). Fig. 4 and 5 showed partial restoration of normal cellular population and enlarged size of β-cells with hyperplasia in HAETF treated groups (group IV & group V). From this study we have observed a significant increase in plasma glucose level in alloxan induced diabetic rats, whereas treatment with glipizide (5 mg/kg), hydro-alcoholic extract of Thunbergiafragrans at two different doses (200 mg/kg & 400 mg/kg) showed significant antihyperglycemic activity in mild degree of hyperglycemia. This could be due to potentiation of insulin effect of plasma by increasing their pancreatic secretion of insulin from existing β-cells of islets of langerhans or its release from bound insulin and due to enhanced glucose utilization by peripheral tissues.
Table 1: Effect of body weight of normal and experimental animals in each group
| Groups | Initial body weight (gram) |
Final body weight (gram) |
| Group I (G 1) | 212.27±2.80 | 225.0±4.28 |
| Grsoup II (G 2) | 197.50±2.14 | 157.50±2.14*a |
| Group III (G 3) | 215.00±2.56 | 217.14±3.26*b |
| Group IV (G 4) | 215.00±4.28 | 222.50±2.14*b |
| Group V (G 5) | 219.30±6.54 | 216.50±2.99*b |
G1-Normal Control; G2-Diabetic Control; G3-Positive control (Glipizide); G4-Treatment group 200 mg/kg; G5-Treatment group 400 mg/kg.
Table 2: Effect of 4 w treatment with various doses of hydro-alcoholic extract of Thunbergiafragrans (HAETF) on glucose levels (mg %) in alloxan diabetic rats
| Groups | 0TH DAY | 14TH DAY | 28TH DAY |
| Group I (G 1) | 81.00±2.56 | 80.00±1.71 | 72.00±1.71 |
| Group II (G 2) | 157.72±2.61 | 172.46±1.82*a | 225.22±3.32*a |
| Group III (G 3) | 181.72±2.61 | 155.00±2.56*b | 138.67±2.58*b |
| Group IV (G 4) | 192.08±1.50 | 162.50±2.14*b | 151.91±1.93*b |
| Group V (G 5) | 191.91±1.93 | 164.00±1.71*b | 150.80±1.54*b |
G1-Normal Control; G2-Diabetic Control; G3-Positive control (Glipizide); G4-Treatment group 200 mg/kg; G5-Treatment group 400 mg/kg.

Fig. 1: Effect of body weight of normal and experimental animal in each group

Fig. 2: Effect of HAETF on glucose levels (mg%) in alloxan diabetic rats
Table 3: Effect of administration of various doses of hydro-alcoholic extract of Thunbergiafragrans (HAETF) on glycogen content (mg/gm tissue) of liver tissue of rats
| Groups | Liver tissue glycogen content (mg/g tissue) |
| Group I (G 1) | 44.85±1.30 |
| Group II (G 2) | 9.15±0.28*a |
| Group III (G 3) | 34.86±1.37*b |
| Group IV (G 4) | 25.30±1.31*b |
| Group V (G 5) | 27.93±1.45*b |
G1-Normal Control; G2-Diabetic Control; G3-Positive control (Glipizide); G4-Treatment group 200 mg/kg; G5-Treatment group 400 mg/kg.
Table 4: Effect of administration of various doses of hydro-alcoholic extract of Thunbergiafragrans (HAETF) on enzymes involved in carbohydrate metabolism in rats
| Groups | Hexokinase (µg/mg) | Glucose-6-phosphate (µg/mg) | Glucokinase (µg/mg) |
| GROUP I (G 1) | 0.221±0.003 | 0.407±0.004 | 27.51±0.75 |
| GROUP II (G 2) | 0.100±0.003*a | 0.139±0.002*a | 5.27±0.10*a |
| GROUP III (G 3) | 0.150±0.005*b | 0.328±0.004*b | 16.53±0.90*b |
| GROUP IV (G 4) | 0.127±0.002*b | 0.245±0.004*b | 13.34±0.58*b |
| GROUP V (G 5) | 0.145±0.002*b | 0.270±0.008*b | 19.25±1.10*b |
G1-Normal Control; G2-Diabetic Control; G3-Positive control (Glipizide); G4-Treatment group 200 mg/kg; G5-Treatment group 400 mg/kg.

Fig. 3: Effect of HAETF on glucose content (mg/g tissue) of Liver tissue of rate

Fig. 4: Effect HAETF on Hexokinase (µg/mg) involved in carbohydrate metabolism in rats

Fig. 5: Effect HAETF on glucose-6-phosphate (µg/mg) involved in carbohydrate metabolism in rats

Fig. 6: Effect HAETF on glucokinase (µg/mg) involved in carbohydrate metabolism in rats

Fig. 7: Effect HAETF on Haematological parameters in rats
Histopathology study results of pancreas of rats

Group I: Normal Control (Saline)
Fig. 8: The normal numbers and volume of the islets cells

Group II: Toxic Control (Alloxan monohydrate)
Fig. 9: The numbers of islets cells were severely decreased, islets cells were severely swelled

Group III: Positive Control (Alloxan monohydrate+Glipizide)
Fig. 10: The numbers of islets cells were mildly decreased, islets cells were mildly swelled

Group IV: Treatment group (Alloxan monohydrate+T. fragrans 200 mg/kg)
Fig. 11: The numbers of islets cells were moderately decreased, islets cells were moderately swelled

Group V: Treatment group (Alloxan monohydrate+T. fragrans 400 mg/kg)
Fig. 12: The numbers of islets cells were moderately decreased, islets cells were moderately swelled
Table 5: Effect of administration of various doses of hydro-alcoholic extract of Thunbergiafragrans (HAETF) on haematological parameters
| Groups | WBC × 103/µl | RBC × 106/µl | HB % gm/dl | Platelet× 103/ml |
| Group i (g 1) | 8.58±0.62 | 6.50±0.30 | 12.55±0.62 | 310.40±40.10 |
| Group ii (g 2) | 8.30±0.70 | 6.95±0.36 | 12.15±0.46 | 300.6±28.10 |
| Group iii (g 3) | 7.55±0.52 | 6.78±0.32 | 12.30±0.50 | 287.40±26.40 |
| Group iv (g 4) | 7.60±0.50 | 7.05±0.25 | 12.12±0.55 | 302.70±26.40 |
| Group v (g 5) | 7.95±0.65 | 7.10±0.38 | 11.70±0.30 | 290.20±25.30 |
G1-Normal Control; G2-Diabetic Control; G3-Positive control (Glipizide); G4-Treatment group 200 mg/kg; G5-Treatment group 400 mg/kg.
CONCLUSION
The Hydro-alcoholic extract of Thunbergiafragrans at high dose (400 mg/kg) & low dose (200 mg/kg) exhibited significant anti-hyperglycemic activity. This extract also showed improvement in the parameters like body weight, liver glycogen content and carbohydrate metabolizing enzymes, as well as regeneration of β-cells of pancreas and so might be of value in diabetes treatment.
CONFLICT OF INTERESTS
Declared None
REFERENCES