
Gurunanak College of Pharmacy, 81/1, Nari, Kamgar Nagar, Kamptee Road, Nagpur 440026
Email: nidhi_sapkal@yahoo.co.in
Received: 18 Dec 2015 Revised and Accepted: 01 Mar 2016
ABSTRACT
Objective: Bhasmas are traditional Indian medicinal preparations that are standardized using quality control tests prescribed by Ayurveda and other guidelines. There is a need to study the adequacy of the existing quality control tests and to correlate these to the performance of the product. No attempt has been made in the literature to study the adequacy of these tests in determining the biological activity of a product and to suggests new analytical techniques for determining the quality. In the present work, an attempt has been made to compare marketed samples of Mandur bhasma with respect to various existing quality control tests and to analyze these samples using modern analytical techniques for the complete analysis of Mandur Bhasma. Adequacy of all the tests and techniques was studied with respect to the hepatoprotective activity of mandur bhasma in paracetamol induced hepatotoxicity in rats.
Methods: The marketed products of three leading brands of Mandur Bhasma were analyzed for quality-control tests as prescribed by Ayurveda and other guidelines. These samples were also analysed using modern analytical techniques like AAS, IR, XRD, HPTLC, SEM. These formulations were then evaluated for their hepatoprotective activity in paracetamol induced hepatotoxicity in rats and the results obtained were correlated with analytical results.
Results: It was found that all the three bhasma samples were passing in quality control tests as prescribed by Ayurveda and other guidelines. These samples produced similar results when analyzed using AAS and IR. The results were different when analyzed using colorimetry, HPTLC, SEM and XRD. The extent of hepatoprotection in rats with paracetamol induced hepatotoxicity was also found to be different in the three samples.
Conclusion: The analysis was carried out on three different marketed samples, and a correlation has been reported. It was seen that although all the three formulations passed traditional quality control tests and the tests laid by regulatory guidelines, but still there were significant differences in their biological activity. Analysis of iron content using colorimetric method was found to be discriminating in estimating the biologically effective form of iron. It was also found that HPTLC, XRD and SEM should be further developed and validated as analytical tools in determining the quality of Mandur bhasma product.
Keywords: Mandur bhasma, Colorimetry, IR, AAS, SEM, XRD, HPTLC, Hepatoprotective activity
© 2016 The Authors. Published by Innovare Academic Sciences Pvt Ltd. This is an open access article under the CC BY license (http://creativecommons.org/licenses/by/4.0/)
INTRODUCTION
Ayurveda describes Bhasma as metallic/mineral preparations treated with plant juices and calcination at a high temperature in an earthen pot [1, 2]. During the bhasmikaran process, metals are converted into special chemical compounds that have desirable therapeutic activity. The Ayurveda reports Nischandratva, Rekhapurnatvam, Varitaratavam, and Amla pariksha as quality control tests for Bhasma [3, 4]. All these tests are the indicative of the formation of fine particles where metal has completely changed its physical and chemical properties. These tests depend upon physical observation which may be recorded with personal bias and hence are not free from the errors. Other tests like total ash, acid insoluble ash, loss on drying, etc. are also carried out but these tests are not indicative of quality, efficacy and safety of the bhasma.
Hence, there is a need for the new methods of standardization for bhasma that can confirm its identity, quality, efficacy and safety with minimum error. The various modern analytical techniques like atomic absorption spectroscopy (AAS), X-ray diffraction (XRD), X-ray fluorescence (XRF), scanning electron microscopy (SEM), transmission electron microscopy (TEM), energy dispersive X-ray analysis (EDX), infra-red spectroscopy (IR), thermogravimetric analysis (TGA) etc. find their application in the analysis of bhasma [5-8].
Mandur Bhasma is indicated for the treatment of various types of anaemia and jaundice. Hepatoprotective activity of Mandur Bhasma has been studied in CCl4 induced liver toxicity [9]. It has also been found to show lipolytic [10] and hematinic activity [11]. Like other bhasma products Mandur bhasma is also analyzed using traditional quality control tests and tests prescribed by guidelines only. No studies are reported that correlate the results obtained from analytical techniques to the efficacy of the bhasma in general and Manudur Bhasma in particular. In the present work three different marketed products of Mandur Bhasma were analysed using traditional tests described by Ayurveda, physicochemical evaluation and instrumental techniques like UV spectroscopy, AAS, SEM, HPTLC, XRD and IR spectroscopy. These formulations were also analysed for the evaluation of hepatoprotective activity in paracetamol induced hepatotoxicity in rats and the results obtained were correlated with analytical results.
MATERIALS AND METHODS
Materials
The marketed products of three leading brands of Mandur Bhasma were purchased from the market and were labeled as Mb1, Mb2 and Mb3. Paracetamol was gifted by Zim laboratories Ltd. Nagpur. All other reagents and chemicals were of analytical grade.
Methods
All the three marketed products were analyzed using following tests:
Organoleptic characteristics
The formulations of the bhasmas were observed physically, and their color, odor and touch were recorded. For testing touch the bhasma sample was taken in between the thumb and Index finger, rubbed and feel was observed.
Physico-chemical characters
Total ash
About 2 gm of accurately weighed bhasma of each brand was incinerated in a silica dish at a temperature not exceeding 450 °C until it was free from carbon. It was then cooled and weighed. The % w/w of ash with reference to the air-dried drug was calculated [12].
Acid insoluble ash
Ash obtained in above test was boiled with 25 ml dilute HCl (6N) for five minutes. The insoluble matter was collected on an ashless filter paper, washed with hot water and ignited at a temperature not exceeding 450˚C to a constant weight [12].
Loss on drying About 2 gm of accurately weighed bhasma sample of each brand was placed in tared LOD bottle, and it was then placed in an oven at 110 °C for 1 h and weighed. Drying was continued till there was no difference between two successive weighing. Percent loss in weight was recorded [12].
Traditional quality control tests
The samples of bhasma were analyzed using the following tests described in Ayurvedic textbooks:
The bhasma samples were taken in a Petri dish separately and observed for any luster in daylight through a magnifying glass. No luster was observed in the case of Mb1, Mb2 and Mb3.
A pinch of Mb1 was taken in between the thumb and index finger and rubbed. It was observed that particles entered the lines of the finger and were not easily removed from the cleavage of the lines. The same observation was made for Mb2 and Mb3.
A small amount of Mb1, Mb2 and Mb3 was sprinkled over the still water in separate beakers. Bhasma particles of all the samples were found to be floating on the surface of the water.
A pinch of Mb1, Mb2 and Mb3 was mixed with a little amount of curd separately and observed for color change. No color change of curd was observed. The same procedure was followed with lemon juice taken in a test tube, and the same results were observed.
Novel analytical methods used for standardization
Quantitative estimation of Iron by colorimetric method
Sample solution: About 20 mg of Mb1 was taken in a beaker and dissolved in 10 ml concentrated HCl using heat. It was then diluted to 100 ml with water. About 20 ml of this solution was further diluted to 100 ml with acetate buffer. The same procedure was repeated with Mb2 and Mb3.
Standard solution: About 100 mg of ferric ammonium sulphate was dissolved in a little amount of water and 10 ml dilute HCl was added to it and diluted to 500 ml with water.
Hydroxylamine hydrochloride solution was added to the standard and all the sample solutions followed by the o-phenanthroline solution. The color developed was measured at 515 nm on the UV-Visible spectrophotometer. Iron content in the samples was measured in triplicate by comparing with the standard solution [13].
Elemental analysis by atomic absorption spectroscopy
The elemental analysis was carried out using atomic absorption spectrometer Shimadzu AA6300. About 100 mg of sample was dissolved in 6.3 ml of nitric acid in 100 ml volumetric flask and volume was made up by distilled water. Then sample solution was aspirated into the flame. Before it enters the flame, the solution gets dispersed into a mist of very small droplets which evaporated in the flame to give the vapour of salts. Part of vapour will be dissociated into atoms of the elements to be measured. The studies were done in triplicate.
The chemical composition of the selected sample was established through AAS analysis which directly gives % of constitute elements.
Scanning electron microscopy
Scanning electron microscopy (SEM) was done using Desktop SEM (FEI, Phenom). The samples were mounted on the stubs and images were recorded.
HPTLC analysis
A Camag HPTLC system was used for this study. Accurately weighed 0.252 mg of Bhasma Mb1, Mb2 and Mb3 was dissolved in 10 ml of methanol separately and warmed. About 0.1 ml HCl was added to it and heated until dissolved. This solution after diluting with water was then spotted on the plate [Merck Silica Gel 60 254F Aluminum (10x10 Cm)] and it was developed in TLC chamber containing the mobile phase. After development, the plate was air dried and then scanned in UV-VIS range of 595 nm in Camag TLC scanner.
X-ray diffraction study
The X-ray diffractograms were obtained using X-Ray diffraction instrument (Philips Analytical-X’Pert PRO) with Ni-filtered Cu radiation, at a voltage of 40kV and current of 30mA. The scanning speed was 2 degree/min between 2 and 40 thetas.
Infrared spectroscopic analysis
The FTIR spectrum (Shimadzu IR affinity-I) was recorded using the wavelength range of 4000-200 cm-1. The scanning and recording speeds were set at the normal position. The sample was prepared by KBr pellet technique. About 2 mg of sample and 300 mg of potassium bromide powder IR grade (200-400 mesh) were mixed in a pastel and mortar and placed in a 13 mm die. The die was connected to the vacuum for 10 min. and a pressure of about 10-15 tonnes was applied for 5 min. The prepared disk was then placed on a holder and scanned.
Evaluation of hepatoprotective activity
Healthy male adult Wistar albino rats having the body weight (150-200 g) were used. The temperature and humidity were maintained at 22 °C (±3 °C) and 50-60% respectively. Lighting was artificially maintained for 12 h dark and 12 h light. Animals were kept in the cages for at least 5 d prior to dosing for acclimatization to the laboratory conditions.
Animals were used after approval by Institutional animal ethics committee and procedures were performed in accordance with the rules of Institutional animal ethics committee by CPCSEA (GNCP/IAEC/2011-2012/PC-3).
Animals were divided into five groups. Each group contained six animals. Bhasma samples of Mb1, Mb2 and Mb3 were prepared in 2% gum acacia and administered at a dose of 1 mg/100 gm of body weight was administered orally to each animal of group III, IV and V for 7 d. On the eighth day, Paracetamol (3 gm/kg orally) suspension in sterile distilled water was administered orally to all the three treated groups and one hepatotoxic control group (Group II) [10, 16, 20].
Group I: Normal control (n=6, the animals were given normal saline only)
Group II: Hepatotoxic control (n=6, the animals were given paracetamol on 8th day)
Group III: -Treatment group (n=6, the animals were given Mb1 for 7Days and paracetamol on 8th day)
Group IV: Treatment group (n=6, the animals were given Mb2 for 7Days and paracetamol on 8th day)
Group V: Treatment group (n=6, the animals were given Mb3 for Days and paracetamol on 8th day)
Rats were treated as per the treatment protocol. Body weights of these rats were monitored sequentially in control and experimental animals for a period of 8 d and blood sample was collected from retro-orbital puncture method after 24 h of toxicity induction.
Biochemical estimation
Serum was separated by centrifugation at 15000 rpm at 30 °C for 15 min. The serum was then analyzed for various biochemical parameters like serum glutamate oxaloacetate transaminase (SGOT), serum glutamate pyruvate transaminase (SGPT) and alkaline phosphatase (ALP), Total protein and Bilirubin using standard kits manufactured by Ranbaxy Diagnostics Ltd. [15-17].
Statistical analysis
The values were expressed as mean±SD. The statistical analysis was carried out by one-way analysis of variance (ANOVA) followed by Dunnet’s‘t’-test. P values<0.05 were considered significant. The results are given in table 6.
Histopathological studies
Finally, the animals were sacrificed after 48 h of Paracetamol administration and liver was isolated. The weight of each liver was taken and then histopathology of the liver samples was carried out. The liver tissue was excised from the animals, washed with normal saline to remove blood, fixed in 10 % buffered neutral formalin for 12 h and processed for paraffin embedding. Section of 5μm thickness was cut using rotary microtome. The sections were processed and passed through graded alcohol series, stained with haematoxylin and eosin, cleaned in xylene and coverslipped in DPX. Histological examination was done under 10 X magnification using the microscope for degeneration, fatty changes, necrotic changes and evidence of hepatotoxicity if any [16].
RESULTS AND DISCUSSION
Analysis of the organoleptic characteristics of three marketed samples showed that Mb1 was black in color while Mb2 and Mb3 were dark brown in color. The color in the case of all formulations is a very strong indicator of the quality of the product. In this case, it may indicate that Mb2 and Mb3 are of same quality and these two differ from Mb1. All the formulations were odorless and smooth to touch (Table1). Both Mb1 and Mb2 were found to exhibit LOD values of 0.20% and 0.21% which was well below the limit (0.40%) set by Ayurvedic Pharmacopoeia for Bhasma. Mb3 samples showed LOD value of 0.54% and thus it was not complying this test. All the three bhasma samples were showing total ash values as 33.14%, 35.53% and 39.86 %w/w for Mb1, Mb2 and Mb3 and thus were within the limits of 40.53% set by Ayurvedic Pharmacopoeia. Similarly acid insoluble ash values were also within the limits of 19.08% for all the three formulations (table 1). Thus, it can be stated that the selected three marketed formulations were passing the recommended physicochemical tests except for Mb3 which was not complying to the limit of LOD.
When analyzed using traditional techniques for Bhasma evaluation suggested by Ayurveda, it was found that all the three formulations were complying these tests (table 2). It means that all the three formulations were devoid of metallic luster, particles got into the lines of fingers, floated on the water and did not show any reaction towards acids. On the basis of these tests, it can be concluded that the selected formulations were of equal quality as per traditional quality control tests for bhasma.
Quantitative estimation of iron by colorimetric method revealed that iron content in Mb1, Mb2 and Mb3 were 51.07%, 38.05% and 39.75% (table 3) while the iron content measured by AAS method was 57.32%, 55.62% and 50.76%. respectively (table 4). AAS has been used earlier for the determination of contents of different elements in bhasma samples by some researchers [18]. Determination of iron content in both the methods is based on different principles. In colorimetric it is based on the formation of colored complex between ferrous ion and o-phenanthroline. The presence of iron in ferrous state is ensured by hydroxylamine hydrochloride which converts any ferric ions to ferrous ions. But no data is available in the literature with regard to the state of the iron present in Bhasma. Depending upon the treatment given to Iron during bhasmikaran, it can be present in different oxidative states ranging from-2 to+6. A reducing agent like hydroxylamine hydrochloride will be able to reduce only the iron that is present in oxidation state higher to+2, but it will not have any effect on lower oxidation states. While in the case of AAS, all the iron is first converted into free atoms and then it is estimated. This ensures that iron present in all the forms gets determined. Thus colorimetric method discriminates between the different oxidative forms of iron while AAS does not. This explains the variations in the results obtained by both the methods revealing that iron is present in different states depending upon the bhasmikaran process. This finding is particularly important considering the use of metals in the treatment of diseases both from efficacy and safety point of view. Highest iron content in Mb1 shows that in Mb1 iron is present in oxidation state higher to+2. Thus, colorimetric test discriminates between the different samples based on the form of the iron present. The process of bhasmikaran causes changes to the metal and there is a need to standardize the final product with respect to biological activity [19].
Scanning electron micrographs of Mb1, Mb2 and Mb3 are given in fig. 1. It can be seen that these samples are composed of numerous very small sized particles along with some bigger particles, closed examinations of SEM of Mb1 reveals that even the surface of bigger particles is completely covered with very tiny particles while the similar features could not be seen in SEM of Mb2 and Mb3. Further the particles of Mb1 seen to have very rough and porous surface. To some extent this feature can also be seen in Mb3 while all the Mb2 particles show more or less smooth surfaces. The non-similarity in the SEM images of three different formulations reveals that these may differ in their biological activity also if the particle size and shape plays a role in the mechanism of action of this bhasma. Further characterization of the bhasma particles and fixing their limits can act as a quality determinant tool.
Additionally in the process of bhasmikaran, metals are treated with plant juices that may result in the presence of organic or organo-metallic compounds. So there was a need to establish the content of these compounds present in the bhasma. HPTLC was carried out in view of that. As shown in fig. 2 it was found that a part of the applied spot of MB1 could travel some distance indicating the presence of some organic compounds, while the major part didn’t travel at all with mobile phase, indicating its polar nature. With Mb2, a part of the spot could move with mobile phase but with great tailing effect. This means Mb2 consisted of a mixture of organic or organometallic compounds. The density of the spot of Mb3 was highest at its origin point, and there was the movement of a trace quantity of the applied spot, indicating the presence of a very little quantity of organic or organometallic compounds in this Bhasma. But, however little the organic material is, its quantification using HPTLC will determine the quality of bhasma more accurately. Thus, HPTLC can be developed as a potential analytical tool for the bhasmas.
XRD diffraction pattern of the selected Bhasma is shown in fig. 3. The presence of sharp crystalline peaks shows the presence of the crystalline material. But diffraction patterns of these samples are not matching exactly. The XRD diffractograms of Mb1, Mb2 and Mb3 are showing three common peaks approximately at 30.4, 33.5 and 35.9 (table 5). Out of these peaks at 33.5 and 35.9 are due to iron oxide [20]. Mb1 and Mb2 are showing additional peaks at 43.44 and 43.39 respectively indicating the presence of iron oxide. Mb3 is showing the additional peak of iron oxide at 24.53. Further work is required to identify additional peaks in the diffractograms of these formulations to understand the nature of their constituents better.
IR spectroscopy was also done with the same objective. Results are given in fig. 4. IR spectra of Mb1 reveals the presence of some organic bonds because of the appearance of peaks at 3750, 2425, 1750, 1680, 1650, 1550 and 1510 cm-1. These bonds may be due to N-H stretch, C=O stretch and other functional groups that are normally present in organic compounds. The spectra also reveal the presence of bands in the low-frequency region like 880, 572, 450 and 402 cm-1. The bands in this region are mainly because of iron and its oxides. Broad nature of the bands suggests the presence of the mixture of compounds. Although these results are in consistence with the results obtained by HPTLC, but IR basically being qualitative in nature can only act as supporting tool and not as the dependable tool for deciding the quality of bhasma.
The IR spectra of Mb2 indicate the presence of organic bonds, but the lower intensity of the bands at 3750, 2350, 1510, 1026 and 966 cm-1 reveals that the functional groups responsible for these bonds in organic compounds are present in very less quantity as compared to Mb1. The sharp bands appearing in the region lower than 600 cm-1 shows that iron oxides present in this region are of some distinct nature. The IR spectra of Mb3 showed the complete absence of bands owing to bonds of organic compounds. This finding was consistent with the results obtained by HPTLC where very trace compound travelled with the non-polar mobile phase. A broad peak at 1015 cm-1and few peaks below 500 cm-1 indicated the iron present in different forms.
Mandur Bhasma is indicated for its hepatoprotective activity. The hepatoprotective activity of these marketed samples was evaluated by measuring the levels of serum marker enzymes like SGOT, SGPT and ALP in the rats with paracetamol induced hepatotoxicity [21]. The serum levels of total proteins and bilirubin were also determined. All the formulations were found to reduce the levels of SGOT, SGPT, ALP and bilirubin markedly but Mb1 was found to be most effective amongst all (table 6). Similarly, all the three formulations were successful in raising serum levels of total proteins and the group treated with Mb1 could elevate the total proteins to 6.15 g/dl as against 5.91 & 5.96 in the case of groups treated with Mb2 and Mb3 respectively.
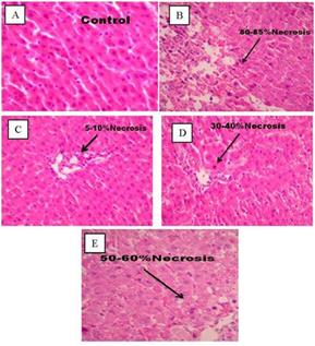
The effectiveness of Mb1 as better hepatoprotective was also supported by the results of histopathological studies (fig. 5). These studies revealed that paracetamol caused 80% to 85% necrosis of liver and treatment with Mb1 could reduce it to 5% to 10%. While the rats treated with Mb2 and Mb3 could reduce the necrosis to 30% to 40% and 50% to 60% only. This shows that Mb1 was most effective in protecting the liver from paracetamol induced hepatotoxicity. Obviously, the physicochemical properties of the Mb1 must be responsible for the better biological activity.
Which means that black color of the product, about 50 % of iron content as determined by colorimetry, presence of organic matter as indicated by HPTLC and IR, characteristic XRD pattern and tiny and rough particles as seen in SEM, may be the indicator of the good quality of bhasma. There is further need for developing and validating HPTLC, XRD and SEM as the analytical tools for bhasma in general and Mandur bhasma in particular. This work reveals that traditional quality control tests and pharmacopoeial quality control tests may not be sufficient in evaluating the quality of Mandur bhasma. Thus additional techniques as revealed in this work are required to be developed further and must be included in the pharmacopoeia along with their desired specifications.
Table 1: Results of Physico-chemical characterization
Parameter |
Standard limits *(%w/w) |
Observation |
||
Mb1 (%w/w) |
Mb2 (%w/w) |
Mb3 (%w/w) |
||
Colour |
-- |
Black |
Dark brown |
Dark brown |
Odour |
-- |
Odourless |
Odourless |
Odourless |
Touch |
-- |
Smooth |
Smooth |
Smooth |
Loss on drying |
Not more than 0.40 |
0.20 |
0.21 |
0.54 |
Total Ash |
Not more than 40.53 |
33.14 |
35.53 |
39.86 |
Acid Insoluble Ash |
Not more than 19.08 |
15.08 |
18.41 |
18.27 |
*Ayurvedic pharmacopeia
Table 2: Results of traditional quality control test
Techniques |
Observation |
||
Mb1 |
Mb2 |
Mb3 |
|
Nischandratva |
Complies |
Complies |
Complies |
Rekhapurnatvam |
Complies |
Complies |
Complies |
Varitaratavam |
Complies |
Complies |
Complies |
Amla pariksha |
Complies |
Complies |
Complies |
Table 3: Results of Quantitative estimation of Iron by colorimetry
Constituent |
Standard limits (% w/w)[14] |
Sample |
Result (%w/w)* |
Iron (by UV) |
Not more than 62.7 |
Mb1 |
51.07 |
Mb2 |
38.05 |
||
Mb3 |
39.75 |
* Average of three measurements
Table 4: Results of quantitative estimation of elements by atomic absorption spectrometry
S. No. |
Constitute |
Symbol |
Standard limits (%w/w) |
% of constituents* |
||
Mb1 |
Mb2 |
Mb3 |
||||
1 |
Iron |
Fe |
NMT 62.7 |
57.32 |
55.62 |
50.76 |
2 |
Sodium |
Na |
NMT 1.70 |
1.21 |
1.05 |
1.45 |
3 |
Magnesium |
Mg |
NMT 3.987 |
2.88 |
2.45 |
2.98 |
* Average of three measurements
Table 5: Different crystal peak list of Mb3
Mb1 |
Mb2 |
Mb3 |
|||
Pos. [ °2Th.] |
d-spacing [Å] |
Pos. [ °2Th.] |
d-spacing [Å] |
Pos. [ °2Th.] |
d-spacing [Å] |
18.7050 |
4.74399 |
21.1580 |
4.19921 |
||
26.9155 |
3.31260 |
24.5398 |
3.62765 |
||
30.4278 |
2.93777 |
30.5570 |
2.92564 |
26.9319 |
3.31062 |
33.4931 |
2.67558 |
33.5289 |
2.67280 |
30.0765 |
2.97127 |
35.7725 |
2.51014 |
35.9746 |
2.49651 |
33.4919 |
2.67567 |
43.4450 |
2.08126 |
43.3963 |
2.08521 |
35.9576 |
2.49765 |
Table 6: Results of Effect of different formulation of Mandur bhasma on serum parameters in paracetamol induced (3g/kg, b. w) hepatic damage in rats
Indexes |
Normal control (I) |
Hepatotoxic control (II) |
Treatment group (III) Mb1 |
Treatment group (IV) Mb2 |
Treatment group (V) Mb3 |
SGOT (IU/l) |
69.16±5.68** |
135.83±4.72** |
110.83±5.68** |
120.33±4.63** |
128.00±5.88** |
SGPT (IU/l) |
85.00±5.15** |
130.32±5.62** |
115.14±5.77** |
118.12±5.27** |
120.24±6.54** |
ALP (IU/l) |
380.00±9.39** |
575.17±18.01** |
424.83±5.86* |
436.50±11.16** |
481.67±8.22** |
Bilurubin (mg/dl) |
0.78±0.03** |
1.00±0.03** |
0.46±0.04** |
0.48±0.03** |
0.63±0.02* |
Protein (gms/dl) |
7.76±0.48** |
5.75±0.40** |
6.15±0.33* |
5.91±0.30** |
5.96±0.35** |
Albumin (gms/dl) |
4.41±0.11** |
3.45±0.12** |
3.75±0.18** |
3.56±0.29** |
3.59±0.12** |
Creatinine (mg/dl) |
1.48±0.11** |
3.35±0.17** |
2.51±0.13** |
2.75±0.16** |
3.13±0.19** |
Urea (mg/dl) |
48.16±3.01* |
73.68±6.67* |
70.83±6.55* |
71.58±6.78* |
72.65±6.75* |
(*) and (**) represents that values were P<0.05 and P<0.01 considered to be significant, No. of animals for each measurement = 6, (SGOT: serum glutamate oxaloacetate transaminase, SGPT: serum glutamate pyruvate transaminase, ALP: alkaline phosphatise)

Fig. 1: Scanning electron micrographs of Mb1 (a), Mb2 (b) and Mb3 (c)

Fig. 2: Thin layer chromatography analysis of Mb1, Mb2 and Mb3 when viewed at 254 nm, 366 nm and white light


Fig. 3: The X-ray patterns of Mb1 (A), Mb2 (B) and Mb3 (C)
Fig. 4: The FT-IR spectra of Mb1 (A), Mb2 (B) and Mb3 (C)

Fig. 5: a: Section of liver control group; b: section of paracetamol treated group liver; c: paracetamol+mb1 treated group; d: paracetamol+mb2 treated group; e: paracetamol+mb3 treated group
CONCLUSION
The purpose of this work was to determine the ability to exist analytical tests and to explore the potential of modern analytical tools which can discriminate between two Mandur Bhasma formulations based on their biological effectiveness. It was seen that although all the three formulations passed traditional quality control tests and the tests laid by Ayurvedic Pharmacopoeia, but still there were significant differences in their biological activity. Analysis of iron content using colorimetric method was found to be discriminating in estimating the biologically effective form of iron. AAS was not helpful in this regard mainly because of its efficiency of determining iron in all the possible forms. HPTLC and IR studies indicated the presence or absence of organic matter in this herbometallic formulation. Further work is required to standardize the organic matter present in this with the help of both of these techniques. The use of XRD data can also be made in depicting the biological activity of these formulations. Thus, with the help of some further work tests for the standardization of Mandur Bhasma can be devised and limits can be established which will ensure a uniform biological activity.
CONFLICT OF INTERESTS
Declare none
REFERENCES