
1Biochemistry Department, Faculty of Science, Ain Shams University, Cairo, Egypt, 2Ain Shams University, Professor of Biochemistry, Cairo, Egypt, 3Poison Control Centre, Ain Shams University hospitals, Cairo, Egypt, 4Ain Shams University hospital, Biochemistry Fellow, Cairo, Egypt, 5Ain Shams University, Faculty of Medicine, Cairo, Egypt, 6Ain Shams University, Lecturer of Pathology, Cairo, Egypt
Email: mutation6119@yahoo.com
Received: 29 Dec 2015 Revised and Accepted: 11 Feb 2016
ABSTRACT
Objective: This experiment aims to investigate the hepatotherapeutic effect of Aloe vera (AV), Azadirachta indica (N), and Moringa oleifera (MO).
Methods: Eighty albino rats have been divided into ten groups. The first group was fed on a basal diet while the second group was administered paraffin (10 ml/kg body weight) through gavage for four days. The third to the tenth groups received (5 ml/kg body weight) CCl4: liquid paraffin (2:1) for three days followed by (10 ml/kg body weight) CCl4: liquid paraffin (2:1) for one day through gavage. Group three kept without any treatment, other groups then received (AV) (60 mg/kg body weight), (MO) (200 mg/kg body weight), (N) (200 mg/kg body weight), bi-extract of (AV+N), bi-extracts of (AV+MO), bi-extract of (MO+N), and tri-extracts of (AV+N+MO) respectively for 36 d. The liver and blood were studied for hepatotoxicity and antioxidant indices.
Results: Biochemical and histopathological analysis revealed that CCl4 elevated plasma liver enzymes (aspartate transaminase, alanine aminotransferase, and gamma glutamyl transferase). Carbon tetrachloride also caused an elevation in erythrocyte content of glutathione with a concomitant increase in the plasma malondialdehyde content, along with marked atrophy of hepatocytes. However, these effects were ameliorated by the treatment of rats with the different extracts.
Conclusion: Results showed that administration of the aquatic extracts of Aloe vera, Neem, and Moringa (separately/mixedly) played a therapeutic role against CCl4-induced liver damage by improving liver enzyme activities, antioxidant blood parameters, and a liver histopathological picture of intoxicated rats.
Keywords:Aloe vera, Azadirachta indica, Moringa oleifera, CCl4 hepatotoxicity, Antioxidant, Rat hepatocytes
© 2016 The Authors. Published by Innovare Academic Sciences Pvt Ltd. This is an open access article under the CC BY license (http://creativecommons.org/licenses/by/4.0/)
INTRODUCTION
The liver is responsible for the metabolism and detoxification of the most components that enter the body. Carbon tetrachloride (CCl4) has been extensively used to study hepatotoxicity in animal models by initiating lipid peroxidation thereby injurious to kidney, heart, testis, and brain, in addition to liver pathogenesis [1-5]. It is a potent lipid-toxin that has been reported to induce acute and chronic tissue injuries [6,7] through bioactivation of the phase І cytochrome p450 system to form reactive metabolic trichloromethyl radicals (.OOCCl3). These free radicals can covalently bind to macromolecules such as proteins, lipids, and nucleic acids. The double allylic hydrogen bonds of unsaturated fatty acid (PUFA) are susceptible to abstraction by free radicals. CCl4 exposure induced increasing in lipo peroxide and free peroxide radial concentrations, which are highly reactive and cause injury or necrosis [8, 9].
At the molecular level, CCl4 activates tumor necrosis factor-alpha (TNF-α), nitric oxide (NO), transforming growth factors alpha (TGF-α), transforming growth factor–beta (TGF-β), and processes that appear to direct the cell primarily toward (self-) destruction or fibrosis. TNF-α pushes toward apoptosis whereas the TGFs appear to direct toward fibrosis. Interleukin (IL)-6, although induced by TNF-α, has a clearly antiapoptotic effect and IL-10 also counteracts TNF-α action. Thus, both interleukins have the potential to initiate recovery of the CCl4-damaged hepatocyte. Several of the above-mentioned toxication processes can be specifically interrupted with the use of antioxidants and mitogens [8]. Natural antioxidants could prevent the deleterious effects of toxic agents by scavenging free radicals and other reactive oxygen species or by modulating the inflammatory response [10, 11]. Therefore, the use of antioxidants in pharmacology is extensively studied as a treatment for many diseases.
Phenolic compounds are commonly found in both edible and other traditional medicinal plants; they have been reported to have multiple biological activities including free radical scavenging activity [12]. Typical phenolics that possess antioxidant activity are mainly phenolic acids and flavonoids, which commonly accumulate in the epidermal cells of plant organs such as flowers, leaves, stems, roots, seeds and fruits being found in glycosidic form (glycosides) and non-glucosidic form [13]. Moringa oleifera Lam is the most widely distributed species of the Moringaceae family throughout the World especially in Asia. It has a remarkable range of pharmacological properties in addition to significant nutritional value [14]. Various plant parts have wide medicinal applicability for the treatment of cardiovascular diseases since it contains nitrile, mustard oil glycosides, and thiocarbamate glycosides. These important bioactive constituents are thought to be responsible for their diuretic, cholesterol lowering, and antiulcer properties [15].
Authors in[16] showed the strong antioxidant properties of MO edible parts in vitro. This antioxidant activity of MO extracts is due to the presence of various bioactive compounds such as chlorogenic acid, rutin, quercetin glucoside, and kaempferol rhamnoglucoside. Furthermore, the extract of Moringa leaves and other parts have been shown to have potent antioxidant action in vivo [17-20]. Various studies in male rats have demonstrated the hepatoprotective effects of different MO edible part extracts against hepatotoxin-induced acute liver damage [21, 22]. Also, Azadirachta indica (Family: Meliaceae) is well known for its various medicinal properties. Different parts of the plant like bark, young fruit, seeds and flowers have been studied for their pharmacological actions, where the leaves of this plant have been found to possess various pharmacological properties [23]. Yet, the Aloe vera contains anthraquinone glycosides, polysaccharides, aloeresin, glucomannan and β-sitosterol [24-25]. Antioxidative phenolic was recently isolated from Aloe barbadensis and identified as aloeresin derivatives [26-27].
The present study was accordingly designed to investigate the potential of the extract of Moringa oleifera edible parts, Azadirachta indica (Neem) leaves and Aloe vera gel against CCl4 induced hepatotoxicity in rats by assaying biochemical and histopathology of liver tissues.
MATERIALS AND METHODS
Plant materials
Fresh specimens of Aloe vera (L.) BURM. Fil. were collected from the greenhouse of the National Research Center in Egypt. Fresh leaves of this plant were used in this study. Aloe vera leaves were weighed, washed, and cut in the middle then the gel was separated by scratching with a spoon. The gel (400g = 2.5g dried matter) [28] was homogenized in a blender then diluted with an equal volume of distilled water and homogenized for the second time. This stock was kept at 4 °C and used to prepare AV extract (60 mg/kg body weight).
Shaded dried leaves of Moringa oleifera were collected from the greenhouse of the Agricultural Research Center in Egypt. 500 gm of dried grounded leaves of Moringa added with 6liters of tap water and boiled then the residual sieved by mesh sieve. Aqueous Moringa stock (2400 ml) kept at 4 °C and used to prepare MO extract (200 mg/kg body weight).
Sun dried leaves of Azadirachta indica were collected from the nursery of the Ministry of Agricultural and Land Reclamation in Egypt. 350 gm of dried grounded leaves of Neem added with 5liters of tap water and boiled then the residual sieved by mesh sieve. Aqueous Neem stock (1450 ml) kept at 4 °C and used to prepare N extracts (200 mg/kg body weight).
Animals and treatment [29, 30]
Eighty male albino rats weighing (100-120g) were provided by the animal house of the National cancer Institute in Egypt. The rats were kept in ordinary cages at room temperature of 25±4 °C with a 12 h dark/light cycles. They had free access to standard laboratory feed and water according to the study protocol. After acclimation, the rats were randomly divided into ten groups of eight animals each . The animal ethics committee, Ain Shams University, Cairo, Egypt, approved the study protocol.
Group 1: Served as normal healthy control, was fed basal diet and tap water.
Group 2: Received paraffin (10 ml/kg body weight) through gavage for four days and tap water.
Group 3: Disease control-Treated with Carbon tetrachloride for four days.
Group 4: Diseased animals received Aloe vera extract (AV) (60 mg/kg body weight) as the drinking water.
Group 5: Diseased animals received Moringa oleifera extract (MO) (200 mg leaves extract/kg body weight) as the drinking water.
Group 6: Diseased animals received Azadirachta indica (N) (200 mg leaves extract/kg body weight) as the drinking water.
Group 7: Diseased animals received the extracts of (AV+N) in equal volumes (1:1) as the drinking water.
Group 8: Diseased animals received the extracts of (AV+MO) in equal volumes (1:1) as the drinking water.
Group 9: Diseased animals received the extracts of (MO+N) in equal volumes (1:1) as the drinking water.
Group 10: Diseased animals received the extracts of (AV+N+MO) in equal volumes (1:1:1) as the drinking water .
Carbon tetrachloride diluted with paraffin CCl4: liquid paraffin (2:1) was administered in a dose of (5 ml/kg body weight) for 3 d followed by (10 ml/kg body weight) CCl4: liquid paraffin (2:1) for one day through gavage to all animal groups except for control animals in groups 1 and 2. Animals of the diseased group received only CCl4, to assist assessing the severity of toxicity produced by carbon tetrachloride administration. Diseased animals from the treated groups received different mixtures of aqueous extracts as the drinking water for 36 d. Four rats from each group were weighed then killed by cutting the jugular vein after 18 and 36 d of treatments to evaluate the treatment effect of each extract during this period. The blood was collected while the liver was removed. Liver samples for the histological examination were kept at 10% formaldehyde and those for analytical procedure kept at-4 °C.
Biochemical investigations
Blood samples have been taken from the jugular vein. Heparin was used as an anticoagulant.
Peripheral blood processing
The collected blood was centrifuged at 4000 rpm for 15 min and plasma was separated.
Erythrocyte processing
The erythrocyte pellet was washed thrice with saline, and the cell suspension was diluted with 4 times its volume ice-cold distilled water. Then it was centrifuged at 4000 rpm for 15 min. Finally, the supernatant (erythrocyte lysate) was separated.
Liver samples processing
Liver samples were fixed in 10% phosphate-buffered formalin, and paraffin sections (3–5 mm) were prepared. Liver sections were used for hematoxylin and eosin (HE) staining. The sections were examined using a light microscope Olympus, CX31, Tokyo, Japan.
Assessment of hepatotoxicity
In order to estimate hepatotoxicity, plasma aspartate aminotransferase (AST), alanine aminotransferase (ALT), albumin, total protein and gamma glutamyl transferase (GGT) were evaluated using commercially available kits. Moreover, Histopathologic examination of liver tissue was done to assess the degree of congestion, vacuolar degeneration of hepatocytes and hepatocyte atrophy.
Assessment of oxidative stress
For determination of oxidative stress, plasma lipid peroxide malondialdehyde (MDA) was determined, and reduced glutathione (GSH) was assessed in erythrocyte lysate by using commercially available kits.
RESULTS
Biochemical evaluation
Administration of CCl4 markedly increased the activity of liver marker enzymes such as AST, ALT, and GGT as compared with the control group (p<0.001). In addition, it increased (p<0.01) total protein content but no significant difference on albumin. Elevation in the secretion of these enzymes was potentially decreased by 18 d of treatment with mono, bi, and tri aqueous extracts of Aloe vera (AV), Azadirachta indica (N), and Moringa oleifera (MO) (table 1). Prolonged treatment for 36 d significantly restored them to normal (table 2).
CCl4 treatment in rats significantly increased (p<0.001) plasma lipid peroxide malondialdehyde (MDA) content while decreased the activity of (p<0.05) reduced glutathione GSH in the erythrocyte lysate. These alterations were remarkably attenuated by administration of separately/mixedly Aloe vera (AV), Azadirachta indica (N) and Moringa oleifera (MO) aqueous extracts after 18 and 36 d (table 3 and 4).
Histopathological evaluation (table 5)
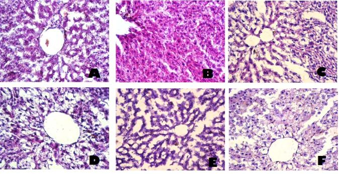
Liver sections from the control groups 1 and 2 showed normal liver histology with no atrophy of hepatocytes or congestion (fig. 1. A and B). CCl4 treated control animals at group 3 showed marked atrophy of hepatocytes around central veins and vacuolar degeneration of the rest of hepatocytes with inflammation of the portal tract (fig. 1. C). Sections examined of the animals treated with (AV) group 4 for 18 d revealed a congested central vein and vacuolar degeneration of hepatocytes in the centrilobular zone while those treated for 36 d revealed mild congestion of central veins without atrophy or degeneration of hepatocytes (fig. 1. D and E).
Table 1: Effect of aqueous extracts on biochemical parameters after 18 d of treatment
Group |
Extract |
AST (IU/l) |
ALT (IU/l) |
GGT (IU/l) |
Albumin (g/dl) |
Total protein (g/dl) |
Normal |
- |
35.8±2.6 |
17.28±1.5 |
1474±407 |
3.4±0.2 |
4.9±1.1 |
Paraffin |
- |
36.7±8.4 |
18.7±3 |
1713.8±72 |
3.6±0.1 |
5.7±1.1 |
CCl4 |
- |
90±12.4*** |
52.3±1.8*** |
1933.3±32*** |
3.5±0.3 |
6.21±0.6** |
Group 4 |
AV |
44.9±4*** |
17.28±1.5*** |
1882.9±18*** |
3.2±0.2 |
5.2±0.1*** |
Group 5 |
MO |
46±2*** |
21.1±2.5*** |
1914.2±17 |
3.7±0.1 |
5.2±0.2*** |
Group 6 |
N |
47±1.4*** |
14.2±2*** |
2038.4±210 |
4.7±0.3 |
5.9±0.1 |
Group 7 |
AV+N |
80±20.4* |
16.32±3.4*** |
1937.7±34.8 |
3.7±0.7 |
5.4±0.4** |
Group 8 |
AV+MO |
98.5±13.4 |
20.2±10*** |
1889.9±19** |
3±0.7 |
4.55±0.5*** |
Group 9 |
MO+N |
81±4.3 |
35.5±9.5*** |
1907.8±9.3* |
3.5±0.2 |
4.8±0.14*** |
Group 10 |
AV+N+MO |
75.3±16.5** |
20.4±3.7*** |
1934.5±14 |
3.25±0.4 |
4.75±0.5*** |
AV: mono-aqueous extracts of Aloe vera, MO: mono-aqueous extract of Moringa, N: mono-aqueous extract ofNeem, AV+N: bi-aqueous extract of Aloe vera and Neem, AV+MO: bi-aqueous extract of Aloe vera and Moringa, MO+N: bi-aqueous extract of Moringa and Neem, and AV+N+MO: tri-aqueous extract of Aloe vera, Neem and Moringa, Values are expressed as mean±SD (n=4), p*<0.05, p**<0.01, and p***<0.001
Table 2: Effect of aqueous extracts on biochemical parameters after 36 d of treatment
Group |
Extract |
AST (IU/l) |
ALT (IU/l) |
GGT (IU/l) |
Albumin (g/dl) |
Total protein (g/dl) |
Normal |
- |
35.8±2.6 |
17.28±1.5 |
1474±407 |
3.4±0.2 |
4.9±1.1 |
Paraffin |
- |
36.7±8.4 |
18.7±3.3 |
1713.8±72 |
3.6±0.1 |
5.7±1.1 |
CCl4 |
- |
90±12.4*** |
52.3±1.8*** |
1933±31.9*** |
3.5±0.3 |
6.2±0.6** |
Group 4 |
AV |
35±0.5*** |
34.6±2.7*** |
1395±72*** |
3.5±0.1 |
6±0.4 |
Group 5 |
MO |
38±0.2*** |
29.3±12*** |
1364±30*** |
2.9±0.5 |
5.6±1 |
Group 6 |
N |
35±0.2*** |
31.2±2.7*** |
1426±82*** |
2.6±0.4 |
5.4±0.6** |
Group 7 |
AV+N |
49.5±6.3*** |
29.7±7*** |
1366±27*** |
3.4±0.4 |
6±0.3 |
Group 8 |
AV+MO |
52.3±0.7*** |
31.7±2*** |
1382±60*** |
2.6±0.3 |
5.6±0.1 |
Group 9 |
MO+N |
58±0.4*** |
41.8±1*** |
1391±10*** |
2.6±0.1 |
5.3±0.1** |
Group 10 |
AV+N+MO |
58±0.2*** |
35.3±5*** |
1390±5*** |
2.5±0.1 |
6±0.3 |
AV: mono-aqueous extracts of Aloe vera, MO: mono-aqueous extract of Moringa, N: mono-aqueous extract ofNeem, AV+N: bi-aqueous extract of Aloe vera and Neem, AV+MO: bi-aqueous extract of Aloe vera and Moringa, MO+N: bi-aqueous extract of Moringa and Neem, and AV+N+MO: tri-aqueous extract of Aloe vera, Neem and Moringa, Values are expressed as mean±SD (n=4), p*<0.05, p**<0.01, andp***<0.001
Table 3: Effect of aqueous extracts on plasma MDA content and erythrocyte GSH content after 18 d of treatment
Group |
Extract |
MDA nmol/ml |
GSH mg/dl |
Normal |
- |
3.5±2 |
3.25±2 |
Paraffin |
- |
3.6±2 |
3.6±2 |
CCl4 |
- |
11.23±3*** |
1.5±0.9* |
Group 4 |
AV |
2.8±1*** |
5.7±1.3*** |
Group 5 |
MO |
4.4±0.7*** |
8.6±0*** |
Group 6 |
N |
6.7±0.5*** |
8.6±3.8*** |
Group 7 |
AV+N |
4±0.5*** |
7.7±0.7*** |
Group 8 |
AV+MO |
4±1*** |
8.5±3.2*** |
Group 9 |
MO+N |
3.5±1.5*** |
7.1±2.7*** |
Group |
AV+N+MO |
2.9±2*** |
5.8±0.4*** |
AV: mono-aqueous extracts of Aloe vera, MO: mono-aqueous extract of Moringa, N: mono-aqueous extract ofNeem, AV+N: bi-aqueous extract of Aloe vera and Neem, AV+MO: bi-aqueous extract of Aloe vera and Moringa, MO+N: bi-aqueous extract of Moringa and Neem, and AV+N+MO: tri-aqueous extract of Aloe vera, Neem and Moringa, Values are expressed as mean±SD (n=4), p*<0.05, p**<0.01, and p***<0.001
Table 4: Effect of aqueous extracts on plasma MDA content and erythrocyte GSH content after 36 d of treatment
Group |
Extract |
MDA nmol/ml |
GSH mg/dl |
Normal |
- |
3.5±2 |
3.25±2 |
Paraffin |
- |
3.6±2 |
3.6±2 |
CCl4 |
- |
11.2±2.5*** |
1.5±0.9* |
Group 4 |
AV |
3.8±2*** |
6.8±1.6*** |
Group 5 |
MO |
2.1±0.4*** |
5.4±0.3*** |
Group 6 |
N |
3.1±0.3*** |
5.85±0.6*** |
Group 7 |
AV+N |
1.8±0.4*** |
5±0.8*** |
Group 8 |
AV+MO |
1.8±1*** |
5.9±1.8*** |
Group 9 |
MO+N |
1.7±0.5*** |
5.5±0.4*** |
Group 10 |
AV+N+MO |
2.3±0.7*** |
4.5±0.5*** |
AV: mono-aqueous extracts of Aloe vera, MO: mono-aqueous extract of Moringa, N: mono-aqueous extract ofNeem, AV+N: bi-aqueous extract of Aloe vera and Neem, AV+MO: bi-aqueous extract of Aloe vera and Moringa, MO+N: bi-aqueous extract of Moringa and Neem, and AV+N+MO: tri-aqueous extract of Aloe vera, Neem and Moringa, Values are expressed as mean±SD (n=4), p*<0.05, p**<0.01, and p***<0.001
Fig. 1: Hepatic histology of rats (light microscope, × 400), A: normal control, B: paraffin control, C: CCl4 control, D: treated with Aloe vera for 18 d, and E: treated with AV for 36 d
Fig. 2: Hepatic histology of rats (light microscope, × 400), A: treated with Moringa for 18 d, B: treated with Moringa for 36 d, C: treated with Neem for 18 d, D: treated with Neem for 36 d, E: treated with Aloe vera and Neem for 18 d, and F: treated with Aloe vera and Neem for 36 d
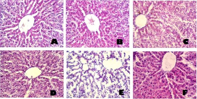
Fig. 3: Hepatic histology of rats (light microscope, × 400), A: treated with Aloe vera and Moringa for 18 d, B: treated with Aloe vera and Moringa for 36 d, C: treated with Moringa and Neem for 18 d, D: treated with Moringa and Neem for 36 d, E: treated with Aloe vera, Neem and Moringa for 18 d, and F: treated with Aloe vera, Neem and Moringa for 36 d
The sections of animals treated with (MO) group 5 for 18 d showed congestion of central vein and sinusoids of centrilobular zone with no degeneration or atrophy of hepatocytes and those treated for 36 d showed normal liver like control with preserved liver architecture, without congestion, vacuolar degeneration, or atrophy of hepatocytes (fig. 2. A and B). Liver sections from the animals treated with (N) group 6 for 18 d showed marked congestion of centrilobular zone with consequent pressure atrophy of hepatocytes, and vacuolar degeneration of hepatocytes in mid zone and periportal zone whereas those treated for 36 d showed improvement of congestion and atrophy with remaining vacuolar degeneration of hepatocytes (fig. 2. C and D). Sections of animals treated with (AV+N) group 7 for 18 d and 36 d showed same histopathologic features as in group 6 (fig. 2. E and F). Animals sections treated with (AV+MO) group, 8 for 18 d, showed congestion of central veins and centrilobular zones with mild mid zonal vacuolar degeneration of hepatocytes while extended treatment for 36 d showed improvement of congestion and vacuolar degeneration (fig. 3. A and B). Animals sections treated with (MO+N) group, 9 for 18 d, showed marked vacuolar degeneration while extended treatment for 36 d showed restoration of normal liver histology with the disappearance of vacuolar degeneration (fig. 3. C and D). Sections of animals treated with (AV+N+MO) group 10 for 18 d showed marked congestion and pressure atrophy of centrilobular and mid zonal hepatocytes and vacuolar degeneration at the periphery while extended treatment for 36 d revealed complete restoration of normal liver histology (fig. 3. E and F).
Table 5: Histopathological evaluation of liver after 18 and 36 d of treatment
Group |
Extract |
Congestion of central vein and sinusoids |
Vacuolar degeneration of hepatocytes |
Pressure atrophy of hepatocytes |
|||
After 18 d |
After 36 d |
After 18 d |
After 36 d |
After 18 d |
After 36 d |
||
Normal |
- |
- |
- |
- |
- |
- |
- |
Paraffin |
- |
- |
- |
- |
- |
- |
- |
CCl4 |
- |
+ |
+ |
+ |
+ |
+ |
+ |
Group 4 |
AV |
+ |
+ |
+ |
_ |
_ |
_ |
Group 5 |
MO |
+ |
_ |
_ |
_ |
_ |
_ |
Group 6 |
N |
+ |
_ |
+ |
+ |
+ |
_ |
Group 7 |
AV+N |
+ |
_ |
+ |
+ |
+ |
_ |
Group 8 |
AV+MO |
+ |
_ |
_ |
_ |
_ |
_ |
Group 9 |
MO+N |
_ |
_ |
+ |
_ |
_ |
_ |
Group 10 |
AV+N+MO |
+ |
_ |
+ |
_ |
+ |
_ |
AV: mono-aqueous extracts of Aloe vera, MO: mono-aqueous extract of Moringa, N: mono-aqueous extract ofNeem, AV and N: bi-aqueous extract of Aloe vera and Neem, AV and MO: bi-aqueous extract of Aloe vera and Moringa, MO and N: bi-aqueous extract of Moringa and Neem, and AV, N and MO: tri-aqueous extract of Aloe vera, Neem and Moringa
DISCUSSION
Liver disorders were expressed in several forms i.e. Jaundice, acute and chronic hepatitis, hepatotoxicity, and degenerative disorders resulting in fibrosis of the liver are still without appropriate therapies. Many chemicals and drugs can injure the liver [31]. Wide varieties of herbal formulations are in use to counter the hepatotoxicity due to such insults. Drugs from the herbal origin are the only treatment available for liver damage. However, there has always been a need for more studies that can provide a clear picture for the prolonged effect of these herbs, and better agents that can provide faster recovery. In the present study, the mono-aqueous extracts of Aloe vera (AV), Azadirachta indica (N), and Moringa oleifera (MO), bi-aqueous extracts of AV+N, AV+MO and MO+N, and tri-aqueous extract AV+N+MO were investigated for hepato-therapeutic activity against liver damage caused by CCl4. Each plant has demonstrated liver-protecting potentials but has not been combined in any study. Carbon tetrachloride is commonly used the toxin to induce liver damage in experimental studies.
CCl4 administration significantly elevated (p<0.001) the plasma levels of AST, ALT and GGT although it moderately (p<0.01) increased the total protein content while had no significant effect on albumin (table. 1 and 2). CCl4 causes chronic hepatocyte injuries, as well as alters membrane integrity, which cause hepatic enzymes, leak out [32]. After 18 d of aqueous extracts AST level was significantly (p<0.001) decreased by mono aqueous extracts of Aloe vera, mono aqueous extract of Moringa, and mono aqueous extract of Neem but less with the tri-aqueous extract Aloe vera, Neem, and Moringa (p<0.01) and bi aqueous extract of Aloe vera and Neem (p<0.05). While it significantly (p<0.001) restored to normal after 36 d of treatment with the mono, bi, and tri aqueous extracts of Aloe vera, Neem, and Moringa. On the other hand, ALT was significantly (p<0.001) decreased after 18 d of treatment by all mono, bi, and tri-aqueous extracts of Aloe vera, Neem, and Moringa.
Moreover, after 18 d of treatment GGT level was significantly decreased by Aloe vera mono aqueous extract and less with Aloe vera and Moringa bi aqueous extract (p<0.01) and Moringa and Neem bi aqueous extract (p<0.05). However, after 36 d of treatment, it was significantly (p<0.001) restored to the normal level by all mono, bi, and tri-aqueous extracts of Aloe vera, Neem, and Moringa. It is noted that group 6 treated with Neem mono aqueous extract has the least effect on lowering GGT assuming that Azadirachta indica (N) had a minimum protective effect against liver cell damage. These results indicate that Aloe vera, Neem, and Moringa had the ability to treat CCl4 hepatotoxicity, which is in agreement with previous studies [33-35] that reports their protective consequence against CCl4 induced hepatotoxicity.
Malondialdehyde (MDA) is one of the products of polyunsaturated fatty acid peroxidation and is a good indicator of the degree of lipid peroxidation [36], which is related to CCl4 induced tissue damage. In the present study (Table. 3 and 4), the significant increase (p<0.001) in the plasma MDA level of CCl4- intoxicated rats was significantly reduced (p<0.001) by treatment with the mono-aqueous extracts of Aloe vera (AV), Azadirachta indica (N) and Moringa oleifera (MO); bi-aqueous extracts of AV+N, AV+MO and MO+N, and tri-aqueous extract AV+N+MO after 18 d indicating their ability to break the chain reaction of lipid peroxidation.
According to these results, we may assume that the therapeutic potential of these different aqueous extracts is dependent on an antioxidant mechanism. These results concluded that Aloe Vera, Neem, and Moringa extracts effectively inhibit CCl4-induced tissue damage due to the presence of various antioxidant bioactive compounds. They also are in line with previous studies [33,37,38] investigating the hepatoprotective nature of these plants.
Glutathione is an important non-enzymatic antioxidant that protects the cell. This study showed that administration of CCl4 caused depletion (p<0.05) of GSH level observed in erythrocytes lysate which can be an important factor in the CCl4 induced toxicity. The level of GSH was significantly restored (p<0.001) following the treatment with the mono-aqueous extracts of Aloe vera, Neem, andMoringa, bi-aqueous extracts of AV+N, AV+MO and MO+N, and tri-aqueous extract AV+N+MO. The mechanism of the therapeutic action of these extracts against CCl4 toxicity might be due to restoration of GSH level and presence of bioactive compounds. These results are in agreement with previous findings [33,35,38] on the hepatoprotective nature of these plants.
Regarding histopathological results (table. 5), various histopathologic changes in the form of congestion, vacuolar degeneration, and pressure atrophy of hepatocytes are seen due to CCl4 administration.
Group 4 (administered Aloe vera mono aqueous extract) showed a protective effect against hepatocyte atrophy and vacuolar degeneration when the treatment was extended from 18 to 36 d indicating that AV aqueous has a protective effect on hepatocyte integrity. It is noted that vacuolar degeneration is present in group 4 (AV) treated for 18 d while it is absent in groups 5 (administered Moringa mono aqueous extract) and 8 (administered the bi-aqueous extract AV+MO) treated for 18 d indicating that MO is more powerful than AV for improving liver cell injury.
In the liver section of groups administered Neem mono aqueous extract and bi-aqueous extract of AV+N, there was marked congestion with consequent pressure atrophy of hepatocytes and marked vacuolar degeneration at the peripheral zone after 18 d of treatment. Congestion and hepatocyte atrophy were relieved when the treatment was extended for 36 d. However, there was still vacuolar degeneration of hepatocytes. These results indicate that Neem had the least protective effect on liver cell injury in comparison to other groups where there was no hepatocyte atrophy and vacuolar degeneration that has been improved when treatment was extended for 36 d. These results are consistent with biochemical results, concluded that group 6 (N) has the least effect on GGT assuming that Azadirachta indica (N) had the minimum protective effect against liver cell damage.
In all groups, there was an improvement in the histopathologic features of liver cell injury (table 5) when the treatment was extended for 18 to 36 d except group 6 and 7 (where there was no improvement of vacuolar degeneration with long-term treatment). This observation is consistent with biochemical results indicating that liver enzymes are elevated in rats treated for 18 d then lowered in rats treated for 36 d.
CONCLUSION
In the present study, the aquatic extracts of Aloe vera, Azadirachta indica, and Moringa oleifera separately/mixedly ameliorated the hepatotoxic effect of carbon tetrachloride and restored the antioxidant status after 36 d of treatment. Administration of extracts orally substantially restored liver enzymes, erythrocyte glutathione content, and plasma malondialdehyde to the normal level along with the improvement of the histopathological features of the injured liver cells. Treatment with Moringa mono extract, Aloe vera mono extract, (Aloe vera and Moringa) bi extract, (Moringa and Neem) bi extract, Neem mono extract, (Aloe vera and neem) bi extract, and (Aloe vera, Moringa, and Neem) tri extract for 36 d were more effective in restoring liver enzymes and improving the histopathological features of liver cells than the 18 d duration. The Neem mono extract and the (Aloe vera and Neem) bi extract had the least protective effect on hepatotoxicity as they relieved the congestion and hepatocyte atrophy. However, there was still vacuolar degeneration of hepatocytes after 36 d of treatment, which could be enhanced if the treatment is extended than 36 d. These results emphasize that administration of Aloe vera gel, Moringa and Neem leaves aquatic extracts could protect against carbon tetrachloride-induced hepatotoxicity. Further studies are recommended to decrease the treatment duration by increasing the concentration of the used extracts and investigate any side effects.
CONFLICT OF INTERESTSDeclared none
REFERENCES