
1Faculty of Pharmacy, Integral University, Dasauli, Kursi Road, Lucknow 226026, 2Department of Pharmacy, Rameshwaram Institute of Technology and Management, Sitapur Road, Lucknow 227202
Email: arshiyas@iul.ac.in
Received: 06 Jan 2016 Revised and Accepted: 27 Feb 2016
ABSTRACT
Objective: To study the effect of ethanolic extract of Glycyrrhiza glabra against streptozotocin and high-fat-diet-induced diabetes and hyperlipidemia.
Methods: The present study was conducted on a 14 d model in which Glycyrrhiza glabra extract was given to Streptozotocin (STZ; 50 mg/kg; i. p.) induced diabetic rats fed with high fat diet (HFD), and its protective effect has been studied. The antihyperlipidemic and antihyperglycemic effects have been evaluated on the basis of physical, biochemical as well as histomorphological parameters.
Results: The Glycyrrhiza glabra extract pre-treated group showed a significant decrease in biochemical parameters like Total cholesterol (TC), Triglyceride (TG), High-density lipoprotein (HDL), Lactate dehydrogenase(LDH), Alanine transaminase (ALT) compared with D-HFD group (p<0.01). The pre-treated groups also showed significant protection in physical parameters as compared to D-HFD group (p<0.01) which was also confirmed by histopathological studies. All these results were compared and found to be similar with two standard drugs metformin (500 mg/kg) and atorvastatin (10 mg/Kg).
Conclusion: This study concluded that alcoholic extract of Glycyrrhiza glabra(500 mg/kg) has significant antidiabetic and antihyperlipidemic potential against streptozotocin and high-fat diet induced diabetic hyperlipidemic rats comparable to the clinically used drugs.
Keywords: Atherosclerosis, Diabetic hyperlipidemia, Diabetes mellitus, Hyperlipidemia, Lipid profile, Streptozotocin
© 2016 The Authors. Published by Innovare Academic Sciences Pvt Ltd. This is an open access article under the CC BY license (http://creativecommons.org/licenses/by/4.0/)
INTRODUCTION
Diabetes mellitus is a metabolic disorder that is characterized by chronic hyperglycemia (high blood sugar) resulting with carbohydrate, fat and protein metabolism disturbances. Diabetes mellitus can be classified into (type-1) diabetes also known as insulin-dependent diabetes mellitus (IDDM) and (type-2) diabetes which is known as non-insulin dependent diabetes mellitus (NIDDM). Diabetes mellitus is associated with an increased risk of coronary artery heart disease [1-3].
Heart failure is common in patients with uncontrolled diabetes mellitus, indicating that hyperglycemia may be responsible for this. Studies and clinical trials indicate that hyperglycemia is the main cause of complications associated with diabetes mellitus. One of the major complications of diabetes is the formation of glycosylated end products (AGE). These end products will react with other proteins to generate free radicals in diabetic patient’s hence increasing permeability and thickening of blood vessel walls with the loss of elasticity. Elevated blood glucose can result in damage of blood vessels. Examples of chronic complications are diabetic retinopathy, coronary artery disease (arthrosclerosis), renal failure, limb amputation and eventually premature death. The macrovascular disease leads to cardiovascular complications such as coronary artery disease (angina or myocardial infarction), ischemic stroke and muscle wasting. The diabetic foot may also result in skin ulcer and infection by gangrene [4-6].
Diabetes mellitus is associated with profound alterations in the plasma lipid and lipoprotein profile with an increased risk of premature atherosclerosis, coronary insufficiency, and myocardial infarction. One of the major pathogenesis of lipid metabolism disturbances in diabetes is the increased mobilization of fatty acids from adipose tissue and secondary elevation of free fatty acid level in the blood, leading to the production of ketone bodies in the liver. Numerous cardiovascular complications and ailments are related to a process called atherosclerosis. Atherosclerosis is a condition that develops when a substance called plaque builds up in the walls of the arteries. This buildup narrows the arteries, making it harder for blood to flow through. If a blood clot forms, it can stop the blood flow. Atherosclerosis can cause a heart attack or stroke [5-6].
Atherosclerosis results from a pathological state called hyperlipidemia, which is a heterogeneous group of disorders characterized by an excess of lipids in the bloodstream. These lipids include cholesterol, cholesterol esters, phospholipids, and triglycerides. Hyperlipidemia is caused due to high levels of serum cholesterol especially excess LDL-C and/or excess triglycerides. Hypercholesterolemia is generally asymptomatic. Hypertriglyceridemia is generally asymptomatic until triglyceride levels are sustained above 1000 mg/dL. Hyperlipidemia is a major modifiable risk factor for atherosclerosis and cardiovascular disease, including coronary heart disease [7-11].
Type 2 diabetics are most likely to become ill, disabled, or even suffer fatality due to cardiovascular complications, and for many patients, they are also dealing with the condition of hyperlipidemia, though very few are aware of it. According to a study in the Journal of the American Medical Association (1989), only about 25 % of non-Hispanic whites with diabetes are aware of their hyperlipidemia, and less than 10 % of those are receiving treatment. As is commonly the case with type 2 diabetics, obesity remains a significant concern, and for those also suffering from hyperlipidemia, achieving weight loss becomes an even stronger necessity for the individual. Obese patients with diabetic hyperlipidemia are at a great risk for health complications from hypertension, health function, heart disease, and the risk of mortality, according to Quality of Life Research (1998). Proper exercise and fitness must be a part of management for patients, recommend researchers in Acta Diabetologica (2003), in order to control any type of metabolic syndrome including diabetic hyperlipidemia [11].
Glycyrrhiza glabra is a hard herb or undershrub from the family Leguminosae (class: dicotylidonae), attaining a height up to 6ft. leaves multifoliate, imparipinnate, flowers in axillary spikes, papilionaceous, lavender to violet in colour, pods compressed, and containing reniform seeds. The dried, peeled or unpeeled underground stems and roots constitute the drug, known in the trade as Liquorice. Flowers in March and fruits in August. Glycyrrhiza glabra Linn is a hardy perennial shrub, attaining a height up to 2.5 m. The leaves are compound, imparipinnate, alternate, having 4-7 pairs of oblong, elliptical or lanceolate leaflets. The flowers are narrow, typically papilionaceous, borne in axillary spikes, lavender to violet in colour. The calyx is short, campanulate, with lanceolate tips and bearing glandular hairs. The fruit is a compressed legume or pod, up to 1.5 cm long, erect, glabrous, somewhat reticulately pitted, and usually contains 3-5 brown, reniform seeds. The taproot is approximately 1.5 cm long and subdivides into 3-5 subsidiary roots, about 1.25 cm long, from which the horizontal woody stolons arise. These may reach 8 m and when dried and cut, together with the root, constitute commercial liquorice. It may be found peeled or unpeeled. The pieces of root break with a fibrous fracture, revealing the yellowish interior with a characteristic odour and sweet taste [12-14].
India has a rich heritage of traditional medicine, and the traditional health care system have been flourishing for many centuries. Traditional medicine, defined by the WHO as "medical knowledge systems that developed over generations within various societies before the era of modern medicine, including the health practices, approaches, knowledge and beliefs incorporating plant, animal and mineral-based medicines, spiritual therapies, manual techniques and exercises, applied singularly or in combination to treat, diagnose and prevent illnesses or maintain well-being" is used globally and has rapidly growing economic importance. Traditional Medicines derived from medicinal plants are used by about 60 % of the world’s population. This review focuses on Indian Herbal drugs and plants used in the treatment of diabetes, especially in India. Though there are various approaches to reduce the ill effects of diabetes and its secondary complications, herbal formulations are preferred due to lesser side effects and low cost. A list of medicinal plants with proven antidiabetic and related beneficial effects and of herbal drugs used in the treatment of diabetes is compiled. These include, Annona squamosa, Artemisia pallens, Areca catechu, Bombax ceiba, Butea monosperma, Capparis deciduas, Caesalpinia bonducella, Coccinia indica, Emblica officinalis, Eugenia uniflora, Enicostema littorale, Ficus bengalenesis, Gymnema sylvestre, Momordica cymbalaria, Murraya koenigii, Musa sapientum, Phaseolus vulgaris, Punica granatum, Salacia reticulate, Swertia chirayita, Scoparia dulcis, Syzygium alternifolium, Terminalia belerica, Terminalia chebula, Tinospora crispa, Vinca rosea, Withania somnifera [15-17]. Hyperlipidemia is a disorder of lipid metabolism manifested by elevation of plasma concentrations of the various lipid and lipoprotein fractions, which is the key risk factor for cardiovascular disorders (CVD). Since synthetic drugs have been shown to have side effects, the clinical importance of the herbal drugs in the treatment of hyperlipidemia has received considerable attention in recent years. Capparis Deciduas F., Ricinus Communis L., and Zizyphus Jujuba L. are traditionally used as antihyperlipidemic drugs as per ayurvedic literature. Some plants are used in the treatment of hyperlipidemia given below Glycyrrhiza glabra, Garlic powder (Allicor), Black tea, Green tea, Licorice, Commiphora Mukul (guggul) [16].
AIM
To study the effect of ethanolic extract of Glycyrrhiza glabra against streptozotocin and high-fat-diet-induced diabetes and hyper-lipidemia in rats.
MATERIALS AND METHODS
Animals
Male sprague-sprague-dawley rats (l50-200g) were used for the study. They were housed five each in sanitized polypropylene cages containing paddy husk as bedding under standard laboratory conditions at room temperature (23 °C±2 °C) with 12 h light/dark cycle. The animals were randomized into experimental and control groups. They had free access to standard pellets as basal diet and water ad libidum. Ethical clearance was obtained from Institutional Animal Ethical Committee (IAEC, Proposal No. IU/Pharm/ M Pharm/IAEC/14/07) Faculty of pharmacy, Integral University, Lucknow.
Collection, authentication of crude drug and preparation of plant extract
Dried rhizomes of Glycyhhriza glabra were purchased from the local market of Lucknow. The drug was authenticated by a taxonomist of National Botanical Research Institute Lucknow. Reference no NBRI/CIF/409/2014. Therhizomes of the plant were dried in the laboratory at room temperature and powdered in a mixer grinder. The extract was prepared by extracting the powder in 95 % ethanol which was stirred magnetically at every 4h at room temperature for 72 h. The residue was removed by filtration, and it was once again extracted as above and filtered. The filtrate was evaporated to dryness at 40-50 °C under reduced pressure in a rotary evaporator (yield of ethanol extract was approximately 10 %).
Chemicals
Streptozotocin (STZ)
Streptozotocin was freshly dissolved in the citrate buffer (0.05 moles/litre) of pH 4.5 and administered with a dose of 45 mg/kg body weight intraperitoneally (Follansbee et al. 1997).
Atorvastatin solution
Standard atorvastatin was dissolved in 0.9 % normal saline, and the freshly prepared solution was used as a standard drug.
Metformin solution
Metformin tablets were powdered and dissolved in 0.9 % normal saline, and the freshly prepared solution was given to the animals according to dose.
Formaldehyde solution
10 % Formaldehyde was freshly prepared from formalin to preserve organs and tissues.
Plant extract solution
The dried plant extract was dissolved in 0.9 % normal saline & freshly prepared solution was given to animals according to dose.
Experimental protocol
Induction of diabetes Mellitus
Rats were fasted for 24 h before the induction of diabetes by streptozotocin injection. The STZ was freshly dissolved in 0.2M sodium citrate buffer, pH4.5 and overnight fasted SD rats were administered with a single dose of STZ (50 mg/kg intraperitoneally). After 48 hr of STZ injection diabetes Mellitus was confirmed by testing blood sample collected from the tip of the tail using a blood glucometer. The rats with a fasting blood glucose level 250 mg/dL were considered diabetic and were used or further study [18].
Experimental design
The animals were allocated into 7 different groups. The normal group (NC) served as non-diabetic control rats treated with saline instead of STZ. All other groups were treated with STZ and served as diabetic groups, which followed two dietary regimen i.e. one group received normal pellet diet (D-NPD), and all other groups were fed with high-fat diet. The composition of the high fat diet was according to the table given [18-20].
Table 1: Composition of high-fat diet
Ingredients |
Quantity (g/100g) |
Corn Flour |
25 |
Milk Powder |
15 |
Sucrose |
15 |
Caesein |
5 |
Egg Yolk |
3 |
Lard |
35 |
Cholesterol |
1 |
Salt Mixture |
1 |
Experimental protocol
All animals were divided equally into 7 different groups (5 each). At the beginning of the study (on day 0), the body weights and fasting blood glucose levels were measured of all animals. The animals of Normal Control (NC) and Diabetic-Normal pellet diet (D-NPD) groups were fed with normal pellet diet (NPD), and all other groups were fed with HFD along with NPD. Food and water intake were monitored daily during the entire experimental period. The food efficiency ratio (FER) was calculated at the end of study (15 d). Final body weight of all animals was taken and then animals were sacrificed with a high dose of diethyl ether (overnight fasted). A blood sample was collected from retro-orbital plexes/cardiac puncher and was allowed to clot for 30 min at room temperature. The serum was separated by centrifugation at 3000 rpm at 30 °C for 15 min and was used for estimations. The animal aorta was isolated and kept in formalin solution (10 %) for histopathological study. The liver and heart were also excised immediately, rinsed with ice-cold normal saline, blotted with filter paper, weighed and preserved in 10 % formalin solution for histopathological examinations [18-21].
Table 2: Experimental protocol
S. No. |
Groups |
No. Of animals |
Treatment given |
1. |
Normal control |
5 |
Administered with Normal saline instead of Streptozotocin (STZ) and fed with Normal Pellet Diet (NPD) |
2. |
Diabetic-normal pellet diet (D-NPD) |
5 |
Rats were administered with single dose of Streptozotocin (STZ; 50 mg/kg i. p.) and fed with Normal Pellet Diet (NPD) throughout the study period (15 d) |
3. |
Diabetic-high fat diet (D-HFD) |
5 |
Rats were treated with single dose of Streptozotocin (STZ; 50 mg/kg i. p.) and fed with high fat diet (HFD) throughout the study period(15 d) |
4. |
G. glabra (250 mg/kg) |
5 |
Rats were treated with single dose of Streptozotocin (STZ; 50 mg/kg i. p.), fed with High-fat diet (HFD) and pre-treated with extract of G. glabra (250 mg/kg/day) throughout the study period (15 d) |
5. |
G. glabra (500 mg/kg) |
5 |
Rats were treated with single dose of Streptozotocin (STZ; 50 mg/kg i. p.), fed with High Fat Diet (HFD) and pre-treated with extract of G. glabra (500 mg/kg/day) throughout the study period (15 d) |
6. |
Metformin (0.5 mg/kg) |
5 |
Rats were treated with single dose of Streptozotocin (STZ; 50 mg/kg i. p.), fed with High Fat Diet (HFD) and pre-treated with Metformin(0.5 mg/kg/day) throughout the study period (15 d) |
7. |
Atorvastatin (10 mg/kg) |
5 |
Rats were treated with single dose of Streptozotocin (STZ; 50 mg/kg i. p.), fed with High Fat Diet (HFD) and pre-treated with Atorvastatin (10 mg/kg/day) throughout the study period (15 d) |
RESULTS AND DISCUSSION
Blood glucose level
Table 3 (A): Initial blood glucose level (mg/dl)
Groups |
1 |
2 |
3 |
4 |
5 |
mean±SEM |
NC |
77 |
94 |
87 |
82 |
105 |
89±4.88 |
D-NPD |
98 |
102 |
79 |
87 |
109 |
95*±5.35 |
D-HFD |
89 |
104 |
96 |
92 |
101 |
96#±2.76 |
Atorvastatin(10 mg/Kg) |
94 |
89 |
69 |
72 |
101 |
85*±6.23 |
Metformin (500 mg/kg) |
66 |
102 |
75 |
67 |
89 |
79*±6.90 |
Glycyrrhiza glabra(250 mg/Kg) |
91 |
82 |
103 |
79 |
79 |
86*±4.60 |
Glycyrrhiza glabra(500 mg/Kg) |
78 |
69 |
101 |
79 |
84 |
82*±5.26 |
Table 3 (B): Final blood glucose level (mg/dl)
Groups |
1 |
2 |
3 |
4 |
5 |
Mean±SEM |
NC |
77 |
102 |
88 |
75 |
103 |
89±5.41 |
D-NPD |
170 |
250 |
240 |
235 |
285 |
236*±18.67 |
D-HFD |
190 |
270 |
288 |
290 |
275 |
262.6#±18.44 |
Atorvastatin(10 mg/Kg) |
168 |
174 |
165 |
190 |
185 |
176.4*±4.82 |
Metformin (500 mg/kg) |
110 |
107 |
101 |
99 |
102 |
103.8*±2.03 |
Glycyrrhiza glabra(250 mg/Kg) |
133 |
130 |
125 |
127 |
134 |
129.8*±1.71 |
Glycyrrhiza glabra(500 mg/Kg) |
125 |
119 |
114 |
121 |
129 |
121.6*±2.56 |
Values are expressed as mean for 5 animals in each group. All values are expressed as mean±SEM calculated by one-way ANOVA followed by Tukey's test (n=5). *= p<0.01 when Diabetic normal pellet diet(D-NPD) compared with Normal Control (NC), and all treated groups(Atorvastatin, Metformin, and Glycyrrhiza glabra 250 mg/Kg & 500 mg/Kg) compared with Diabetic, high fat diet. # = p<0.05when Diabetic high-fat diet (D-HFD) compared with Diabetic Normal Pellet Diet (D-NPD).
Table 4(A): Initial body weight (g)
Groups |
1 |
2 |
3 |
4 |
5 |
Mean±SEM |
NC |
209 |
210 |
210 |
211 |
211 |
210.2±0.34 |
D-NPD |
198 |
195 |
196 |
197 |
200 |
197.2*±0.83 |
D-HFD |
248 |
250 |
250 |
252 |
249 |
249.8#±0.67 |
Atorvastatin(10 mg/Kg) |
172 |
175.5 |
174 |
175 |
175 |
174.3*±0.62 |
Metformin (500 mg/kg) |
200 |
200 |
200.5 |
200 |
200 |
202.1*±1.97 |
Glycyrrhiza glabra(250 mg/Kg) |
180 |
170 |
175 |
179 |
174 |
175.6*±1.8 |
Glycyrrhiza glabra(500 mg/Kg) |
250 |
249 |
245 |
250 |
248 |
248.4*±1.92 |
Table 4 (B): Final body weight (g)
Groups |
1 |
2 |
3 |
4 |
5 |
Mean±SEM |
NC |
225 |
220 |
228 |
226 |
222 |
224.2±1.42 |
D-NPD |
160 |
175 |
200 |
185 |
180 |
180*±6.51 |
D-HFD |
280 |
275 |
265 |
278 |
267 |
273#±2.98 |
Atorvastatin(10 mg/Kg) |
184 |
185 |
182 |
187 |
186 |
184.8*±0.86 |
Metformin (500 mg/kg) |
212 |
215 |
220 |
218 |
210 |
215*±1.84 |
Glycyrrhiza glabra(250 mg/Kg) |
265 |
255 |
249 |
269 |
250 |
257.6*±1.77 |
Glycyrrhiza glabra(500 mg/Kg) |
240 |
243 |
247 |
239 |
245 |
242.4*±1.14 |
All values are expressed as mean±SEM calculated by one-way ANOVA followed by Tukey's t-test (n=5). *= p<0.01 when Diabetic normal pellet diet (D-NPD) compared with Normal control (NC), Diabetic high fat diet (D-HFD) compared with Diabetic normal pellet diet (D-NPD) and Glycyrrhiza glabra (250 mg/kg), Glycyrrhiza glabra (500 mg/kg) groups compared with Diabetic high fat diet (D-HFD). #=p<0.05when Metformin, Atorvastatin compared with Diabetic, high-fat diet (D-HFD).
Table 5: Total food intake
Groups |
1 |
2 |
3 |
4 |
5 |
Mean±SEM |
NC |
28 |
24 |
27 |
22 |
25 |
87.6±5.32 |
D-NPD |
53 |
55 |
59 |
53 |
51 |
164.2*±4.72 |
D-HFD |
75 |
81 |
77 |
71 |
83 |
212.6#±9.65 |
Atorvastatin(10 mg/Kg) |
77 |
85 |
79 |
76 |
85 |
174.6*±4.00 |
Metformin (500 mg/kg) |
33 |
39 |
32 |
39 |
31 |
207.2*±7.61 |
Glycyrrhiza glabra(250 mg/Kg) |
56 |
59 |
60 |
56 |
31 |
176*±4.30 |
Glycyrrhiza glabra(500 mg/Kg) |
47 |
50 |
49 |
45 |
44 |
174.6*±6.83 |
Table 6: Food efficiency ratio
Groups |
1 |
2 |
3 |
4 |
5 |
Mean±SEM |
NC |
0.57 |
0.46 |
0.66 |
0.68 |
0.44 |
0.562±0.049 |
D-NPD |
-0.71 |
-0.36 |
-0.2 |
-0.22 |
0.39 |
-0.376*±0.091 |
D-HFD |
0.42 |
0.31 |
0.19 |
0.36 |
0.21 |
0.298#±0.043 |
Atorvastatin(10 mg/Kg) |
0.15 |
0.11 |
0.10 |
0.15 |
0.13 |
0.128*±0.010 |
Metformin (500 mg/kg) |
0.36 |
0.38 |
0.61 |
0.46 |
0.32 |
0.42*±0.05 |
Glycyrrhiza glabra(250 mg/Kg) |
1.35 |
1.44 |
1.23 |
1.69 |
2.45 |
1.63*±0.021 |
Glycyrrhiza glabra(500 mg/Kg) |
-0.21 |
-0.12 |
-0.04 |
-0.24 |
-0.06 |
-0.134*±0.039 |
All values are expressed as mean±SEM calculated by one-way ANOVA followed by Tukey's t-test (n=5). *= p<0.01 when Diabetic normal pellet diet (D-NPD) compared with Normal control (NC), Diabetic high fat diet (D-HFD) compared with Diabetic normal pellet diet (D-NPD) and Glycyrrhiza glabra (250 mg/kg), Glycyrrhiza glabra (500 mg/kg) groups compared with Diabetic high fat diet (D-HFD). #=p<0.05when Metformin, Atorvastatin compared with Diabetic, high fat diet (D-HFD).
Table 7: Liver weight (g)
Groups |
1 |
2 |
3 |
4 |
5 |
Mean±SEM |
NC |
9.12 |
9.52 |
9.33 |
9.01 |
9.07 |
9.21±0.09 |
D-NPD |
10.27 |
10.89 |
10.5 |
10.7 |
10.2 |
10.51*±0.12 |
D-HFD |
14.72 |
14.15 |
14.19 |
14.50 |
14.65 |
14.44#±0.11 |
Atorvastatin(10 mg/Kg) |
12.21 |
12.01 |
12.09 |
12.34 |
12.07 |
12.14*±0.05 |
Metformin (500 mg/kg) |
13.81 |
13.96 |
13.76 |
13.85 |
13.59 |
13.76*±0.06 |
Glycyrrhiza glabra(250 mg/Kg) |
12.86 |
12.00 |
12.99 |
12.92 |
12.43 |
12.64*±0.18 |
Glycyrrhiza glabra(500 mg/Kg) |
13.01 |
13.21 |
13.10 |
13.22 |
13.19 |
13.14*±0.04 |
All values are expressed as mean±SEM calculated by one-way ANOVA followed by tukey’s t-test (n=5). *= p<0.01 when Diabetic normal pellet diet (D-NPD) compared with Normal control (NC), Diabetic high fat diet (D-HFD) compared with Diabetic normal pellet diet (D-NPD) and Glycyrrhiza glabra (250 mg/kg), Glycyrrhiza glabra (500 mg/kg) groups compared with Diabetic high fat diet (D-HFD). #=p<0.05when Metformin, Atorvastatin compared with Diabetic, high fat diet (D-HFD).
Table 8: Heart weight (g)
Groups |
1 |
2 |
3 |
4 |
5 |
Mean±SEM |
NC |
0.88 |
0.78 |
0.69 |
0.79 |
0.70 |
0.76±0.03 |
D-NPD |
0.92 |
0.79 |
0.72 |
0.83 |
0.74 |
0.80*±0.03 |
D-HFD |
1.12 |
0.99 |
0.97 |
1.00 |
0.98 |
1.01#±0.02 |
Atorvastatin(10 mg/Kg) |
0.89 |
0.88 |
0.79 |
0.83 |
0.77 |
0.83*±0.02 |
Metformin (500 mg/kg) |
0.94 |
0.91 |
0.93 |
0.95 |
0.90 |
0.92*±0.009 |
Glycyrrhiza glabra(250 mg/Kg) |
1.10 |
0.97 |
0.95 |
1.01 |
0.97 |
1.00*±0.02 |
Glycyrrhiza glabra(500 mg/Kg) |
0.94 |
0.96 |
0.95 |
0.89 |
0.93 |
0.93*±0.01 |
All values are expressed as mean±SEM calculated by one-way ANOVA followed by tukey’s t-test (n=5). *= p<0.01 when Diabetic normal pellet diet (D-NPD) compared with Normal control (NC), Diabetic high fat diet (D-HFD) compared with Diabetic normal pellet diet (D-NPD) and Glycyrrhiza glabra (250 mg/kg), Glycyrrhiza glabra (500 mg/kg) groups compared with Diabetic high fat diet (D-HFD). #=p<0.05when Metformin, Atorvastatin compared with Diabetic, high fat diet (D-HFD).
|
|
|
|
|
|
|
|
Fig. 1: (a-g) All values are expressed as mean±SEM calculated by one-way ANOVA followed by Tukey's multiple t-tests (n=5). *= p<0.01 when D-NPD compared with NC, D-HFD compared with D-NPD and Glycyrrhiza glabra (250 mg/kg), Glycyrrhiza glabra (500 mg/kg) groups compared with D-HFD. #=p<0.05when Metformin, Atorvastatin compared with D-HFD. (a)Total Cholesterol,(b)Triglyceride, (c) High density lipoproteins, (d)Low density lipoproteins, (e)Alanine transaminase, (f) Lactate dehydrogenase (mg/dl) (g) Atherogenic index; where NC: Normal control, G. glabra: Glycyrrhiza glabra, D-NPD: Diabetic control with normal pellet diet, D-HFD: Diabetic-High Fat Diet
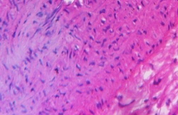
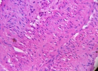
Histopathological studies
Histopathological studies were done from Puri pathology. The detailed report is enclosed as annexure (4). All photographs were taken on 40 x. Photomicrograph of the aorta of NC rats showed regularly arranged smooth muscle fibers with an outer lining of the flattened or cuboidal cell. In D-NPD, the photomicrograph of aorta showed thickened wall with the presence of lymphocytic infiltration and groups of cartilage cells surrounded by a rim of fibrous tissue. Two fragments of fatty tissue with lymphocytic infiltration. Photomicrograph of the aorta of DHFD showed flattened cell lining is intact. The outer wall of aorta showed remarkably thick layer of loose fibroconnective tissue lining with lymphocytic infiltration and presence of a large amount of fatty tissue. In atorvastatin-treated group the photomicrograph of aorta showed the wall of aorta was normal in thickness, but one thick fragment of fatty tissue was present. In metformin-treated group the photomicrograph of aorta showed the wall of aorta was normal in thickness and cellularity. The cells were regularly arranged with a fair number of cells showing vocuolation in their cytoplasm. A remarkably thick layer of fibro connective fatty tissue was seen on one side with lymphocytic infiltration.
The photomicrographs of the aorta of G. glabra treated group showed that the wall was thin, cellularity was low, the cells were regularly arranged, flattened, cell lining was intact and fibro connective tissue on one side with fatty tissue was reduced in amount. No lymphocytic infiltration or columnar epithelial cell lining was seen in it.
|
|
|
|
|
|
Fig. 2: Histopathological studies of the aorta of the different group a. Normal control (NC); b. Diabetic normal pellet diet (D-NPD); c. Diabetic, high-fat diet (D-HFD); d. Atorvastatin; e. Metformin; f. Glycyrrhiza glabra (G. Glabra;500 mg/kg)
Hyperlipidemia is a common problem and leading cause of cardiovascular diseases related to atherosclerosis. The risk for all forms of cardiovascular diseases, including Coronary Heart Disease is increased substantially with diabetes mellitus. Furthermore, the mortality rate in is muheart diserased patients who are suffering from diabetes is much higher than in nondiabetic subjects. India is known for its traditional medicinal systems—Ayurveda, Siddha, and Unani. Glycyrrhiza glabra is extensively reported to be used in both these systems of medicine for antioxidant, hypoglycemic and cardioprotective activities [7, 11-4].
Streptozotocin is a naturally occurring chemical that is particularly toxic to the insulin-producing beta cells of the pancreas in mammals. It is used in medical research to produce an animal model for Type 1 diabetes in a large dose as well as Type 2 diabetes with multiple low doses [20].
The present study was conducted on a 14 d model in which the effect of Glycyrrhiza glabraextract was observed on STZ induced diabetic rats that were fed with high fat diet (HFD). The study showed that STZ significantly elevates blood glucose level in D-HFD due to the presence of all potentiating factors, i.e., STZ and HFD. Glycyrrhiza glabra(500 mg/kg) showed very significant improvement against Streptozotocin-induced diabetes as blood glucose level was found to be less than the untreated D-HFD group [21].
The Food efficiency ratio (FER) is a parameter for assessment of induction of diabetes mellitus. Polyphagia (increased hunger) and polydipsia (increased thirst) which are symptoms of diabetes are assessed by FER [23, 24]. Glycyrrhiza glabra(500 mg/kg) and other pre-treated groups showed significant improvement in the food efficiency ratio (FER).
The heart weight & liver weight are important physical parameters, which indicate the clinical symptoms of cardiac hypertrophy and non-alcoholic fatty liver disease (NAFLD) respectively [25], which have been significantly controlled by the given treatment of Glycyrrhiza glabra(500 mg/kg).
Various high-fat diets with different composition were used to induce hyperlipidemia in experimental rats. In this study, HFD was used according to the method of Vijaya et. al [26] increased serum cholesterol and LDL-C level significantly. Studies showed that both LDL and VLDL have a positive role in atherogenesis [27-8]. The pre-treated groups showed a significant decrease in these lipoproteins. HDL is considered to be beneficial lipoprotein as it has an inhibitory effect in the pathogenesis of atherosclerosis [29], pre-treated groups showed a significant elevation in HDL.
The Atherogenic index is an important parameter to evaluate the plaque formation which is the leading cause of atherosclerosis & Ischaemic heart disease (IHD). HFD fed animals had very high atherogenic index compared to NPD group. Glycyrrhiza glabraextract (500 mg/kg) shows significant control in the Atherogenic index. Certain biochemical parameters like Alanine aminotransferase (ALT) and Lactate dehydrogenase (LDH) which were markers of tissue damage have also been analyzed, and the disease groups showed a significant elevation in these enzymatic levels and pre-treated groups showed a marked reduction in the same [22].
The protective effect of Glycyrrhiza glabra has also been confirmed by histopathological studies of the aorta which reveals the significant progression of atheromatous plaque in D-HFD challenged group whereas the pre-treated groups showed very less progression in the development of atherosclerosis.
In the present study, Glycyrrhiza glabraextract (500 mg/kg) showed very significant antihyperlipidemic and antihyperglycemic activity against STZ and HFD induced diabetes and hyperlipidemia. All these results were compared and found to be similar with two clinically used drugs i.e.Metformin (500 mg/kg) and Atorvastatin (10 mg/kg).
CONCLUSION
This study concluded that high-fat diet al. ong with STZ induced diabetes is a very suitable, potent short-term model for evaluating the hypoglycemic and hypolipidemic effect in experimental animals. The parameters for evaluation of antihyperlipidemic and antihyperglycemic activities were the physical parameters, lipid profile and biochemical parameters along with histomorphological studies. The result of this study showed a significant reduction in physical parameters (body weight, heart weight, and liver weight) and lipid profile i. e total cholesterol, triglycerides, LDL-C, atherogenic index, and the two enzymatic markers, ALT and LDH. All these results were further confirmed by histopathological studies of aorta which showed a marked reduction in the development of atherosclerotic plaque in the pre-treated groups. The result of the present study concluded that Glycyrrhiza glabrahas significant protection against STZ and HFD induced hyperlipidemia and diabetes which was compared to clinically used drugs, Atorvastatin, and Metformin.
ACKNOWLEDGEMENT
Authors are thankful to Professor H. H. Siddiqui for their generous guidance and Professor S. W. Akhtar, honourable Vice Chancellor, Integral University, for providing of all the necessary facilities for this work.
CONFLICT OF INTERESTS
We declare that we have no conflict of interest.
REFERENCES