
1School of Pharmaceutical Sciences, Universiti Sains Malaysia, 11800 USM, Penang, Malaysia, 2School of Distance Educations, Universiti Sains Malaysia, 11800 USM, Penang, Malaysia
Email: layharn@usm.my
Received: 08 Jan 2016 Revised and Accepted: 20 Apr 2016
ABSTRACT
Objective: The skin secretions of toads are a rich source of bioactive peptides and proteins, which offer a wide range of therapeutic application. The current study was designed to elucidate the antimicrobial activity of Bufo asper skin secretions.
Methods: Proteomic analysis of electrically stimulated skin secretions were mapped using SDS-PAGE followed by LC-MS/MS. In total,>50 proteins were identified with a molecular weight ranging from 20 to 250 KDa. The antimicrobial activity was performed by an agar-well diffusion method to measure the diameter of inhibition zone (DIZ) as well as microdilution technique to determine the minimum inhibitory concentration (MIC).
Results:Toad's skin secretion (TSS) exhibited broad spectrum growth inhibitory activity against both Gram-positive and Gram-negative bacteria; with more pronounce activity towards Staphylococcus aureus and Bacillus subtilis, with MIC 12.25±0.4 and 25±1.3 μg/ml, respectively. Moreover, the proteomic profile of Bufo asper skin secretion has revealed the presence of interesting proteins such as, actin, histone H4 and heat shock proteins (HSP90, HSP70 and HSC70).
Conclusion:we anticipate that the collective functions of proteins and peptides with a wide range of diversity may contribute to the TSS antimicrobial activity.
Keywords:Bufo asper, Skin secretion, Antimicrobial, Proteomics.
© 2016 The Authors. Published by Innovare Academic Sciences Pvt Ltd. This is an open access article under the CC BY license (http://creativecommons.org/licenses/by/4.0/)
INTRODUCTION
The therapeutic properties of amphibian's skin secretions have been exploited in many ancient cultures. Evidence was found in Chinese historical records documented in ‘The Book of Songs’ (3000 y ago) stated that toads were prescribed for ugliness and wickedness [1]. It has also been used in Traditional Chinese Medicine (TCM) for treating infection, inflammation, and cancer, using the dried white skin secretion of Chinese toad (Bufo bufo gargarizans) which commonly known as Chan'su. Recently, scientific studies have proved that Chan'su possesses anticancer properties against leukemia and induces apoptosis in many human carcinomas [2, 3]. Toad's skin contains granular gland endowed with rich cocktails of biologically active peptides, proteins, steroids and biogenic amines which act as an excellent chemical defense system against prey and microorganisms [4]. Studies on skin secretions and extracts from different species of Anura (frogs and toads) have led to the development of wide range of peptides still in use today for the treatment of various medical conditions [5].
Antimicrobial proteins and peptides were characterized and isolated from several multicellular organisms; these molecules have attracted much research interest because of their unique chemical spectrum and broad specificity on microorganisms [6]. Most of the antimicrobial peptides (AMPs) were obtained from the animal kingdom. The updated version of the Antimicrobial Peptide Database (APD) shows that 71.3% of the peptides were originated from animals, in particular, amphibian peptides account for 38.7% of total (AMPs) discovery [7]. It is well known that the effectiveness of many antibiotics has been rapidly decreased due to the excessive use in the treatment and prophylaxis of human infection especially in hospitals , which have contributed to the development of a variety of resistance mechanisms by microorganisms. Thus, antimicrobial resistance results in increased morbidity and mortality worldwide [8, 9]. In this regard, it appears that the growing interest in developing antimicrobial peptides on the basis of naturally occurring host-defense peptides has opened new avenues to overcome resistance mechanism of pathogenic microorganism [10]. Since many host defense peptides offer high potent selectivity against both bacteria and cancer cells with no side effect on normal mammalian cells. This class of peptides usually characterized by great structural diversity, cationic nature and a substantial portion of hydrophobic amino acids [11]. Several peptides were derived from amphibian skin secretions and extracts have been reported to exhibit selective antimicrobial properties against various kind of pathogenic microorganisms, such as magainins isolated from south African frog Xenopus laevis [12, 13], bufadienolides, marinobufagin, and telocinobufagin isolated from Brazilian toad Bufo rubescens [14] temporin-HN1, temporin-HN2 and brevinin-1HN1 isolated from Chinese frog Odorrana hainanensis [15]. Malaysia, being a tropical rain forest country has provided an excellent habitat for various species of amphibians. It is estimated that there are 97 species of frogs and toads distributed in peninsular Malaysia. Only a small fraction of Malaysian's amphibian has been investigated thus far, leaving inexhaustible resource available for further examination. In fact, most of the studies conducted on the amphibians in Malaysia were on the area of diversity, ecological distribution, food chain and reproductions of animals [16-18]. To the best of our knowledge, there is no report on the proteomic profile of Bufo asper skin secretions and their biological activities. With this in mind, the present study was designed to analyze the proteomes profile of Bufo asper skin secretions, and subsequently to investigate their antimicrobial activities.
MATERIALS AND METHODS
Collection of skin secretion
Five Asian giant toads Bufo asper (mass range 60-70 g) were collected from Penang-Malaysia. Skin secretions were collected as previously described protocol by Tyler et al. (18). In brief, the animals were immersed in crushed ice for 3 min and moistened with deionized water prior the stimulation of dorsal glands, then subjected to mild electrical stimulation using a bipolar electrode of platinum (10-20 V DC and pulse duration of 3 ms) at multiple sites on the dorsal surface of the skin with electrodes. Skin secretions were washed from specimen with deionised water (50 ml) and then lyophilized. All animals were returned to their habitat unharmed. For proteomics analysis, the sample was dissolved in 40 mM of Tris buffer.
Sodium dodecyl sulphate-polyacrylamide gel electrophoresis (SDS-PAGE)
The method of SDS-PAGE analysis was based on the procedure described by Laemmli (1970) [19]. Twelve percent separation gel with 4% stacking gel was prepared. Twenty percent of reducing sample buffer [0.5 M Tris-HCl pH 6.8, 20% (v/v) glycerol, 10% (w/v) SDS, 0.05% (w/v) bromophenol blue, 5% (v/v) β-mercaptoethanol] was added to the sample. The mixture was heated at 95 ºC for 5 min. Electrophoresis was run at a constant voltage of 200 V until the dye front reached the bottom of the gel. The gel was stained with Coomassie Blue R solution [0.1% (w/v) Coomassie Blue R, 40% (v/v) methanol, 50% (v/v) water and 10% (v/v) acetic acid] and wash with a destaining solution [40% (v/v) methanol, 58% (v/v) water and 2% (v/v) acetic acid]. The gel image was captured using VersaDoc Imaging system M4000 (Bio-Rad, USA) with Quantity One software (Bio-Rad, USA).
In-gel digestion
In-gel digestion was performed using the method described by Gam and Aishah (2002) [20]. Protein bands were excised from SDS-PAGE. The gel pieces were washed with 100 mM ammonium bicarbonate for 10 min and then with acetonitrile (ACN) for 5 min. This step was repeated twice. Gel pieces were then dried in a speed vacuum centrifuge. The dried gel pieces were added with 10 mM DTT in 100 mM ammonium bicarbonate and incubated for 1 hour at 56 °C. The excessive solution was removed. The gel pieces were then incubated with 55 mM iodoacetic acid in 100 mM ammonium bicarbonate in the dark for 45 min at room temperature. The gel pieces were washed with 100 mM ammonium bicarbonate for 10 min and then with acetonitrile (ACN) for 5 min twice. The gel pieces were treated with 15 ng/µl of trypsin in digestion buffer (50 mM ammonium bicarbonate, 5 mM CaCl2) and incubated at 37 °C overnight. The supernatant of the tryptic digest was collected and the remaining peptides were extracted 3 times in 5% (v/v) formic acid in 30:70 of ddH2O: ACN. Supernatants were pooled and blow dried using nitrogen gas.
Reverse phase capillary chromatography and mass spectrometry
Reverse phase capillary chromatography (Waters Acquity Ultra Performance Liquid Chromatography [UPLC]) coupled with quadrupole time-of-flight tandem mass spectrometry (Waters, Milford, MA, USA) connected to a LockSpay Exact Mass calibrator. Ionization source used was ESI (soft electrospray ionization). The sample was injected into the system through an autosampler. The samples were injected into a Trizaic UPLC nanoTile (Waters, Milford, MA, USA) consisted of a trapping column and a capillary column. The protein digest was pre-concentrated and desalted on the trapping column cartridge packed with 1.8 µm High Strength Silica (HSS) particle at a flow rate of 8 𝜇L/min of 99% A for 3 min. The peptides were then eluted on a reversed phase capillary column (1.8 µm HSS particle, 85 µm x 100 mm) at a gradient mode from 3% B to 40% B in 30 min at a flow rate of 0.45 µl/min Solvent A consisted of water with 0.1% formic acid, and solvent B consisted of acetonitrile with 0.1% formic acid. The eluate was subjected to the MS system.
All mass spectra were acquired using a Q-Tof mass spectrometer. The Q-Tof parameters were set as follows: positive mode; capillary, 3.2kV; sampling cone, 28.0; extraction cone, 2.0; source temperature, 70 °C; desolvation temperature, 200 °C; cone gas flow, 40.0L/h; desolvation gas flow, 600.0L/h; scan time, 0.2s. Spectra were recorded from m/z 2 to 1200. External calibration was applied to all data using [Glu1]-Fibrinopeptide B standard (Waters).
Survey scan acquisition was done on-line with capillary chromatographic separation; an initial TOF-MS scan was acquired over the mass range of 2–1200 m/z each second, with switching criteria for MS to MS/MS that included ion intensity (100 counts/s) and charged state (+2). MS/MS of precursor ion selected was acquired over the mass range of 50–1600 m/z. The collision energy was 6 eV.
Protein identification
Database search was performed on the MS/MS data generated using Swiss-Prot database. Peptide tolerance was set at 0.1 Da while fragment mass tolerance of 0.2 Da, one missed cleavage is allowed. Carbamidomethylated cysteine was set as fixed modification while oxidized methionine was set as variable modification.
Microorganisms and culture
Six bacterial strains were obtained from MTCC (Microbial Type Culture Collection Centre and Gene Bank) India. The strains used are Bacillus cereus MTCC 1307, Bacillus subtilis MTCC 6910, Escherichia coli MTCC 732, Klebsiella pneumonia MTCC 7028, Staphylococcus aureus MTCC 7405 and Pseudomonas aeruginosa MTCC 4302. The bacterial strains were cultured on nutrient agar medium at 37 °C.
Determination of antibacterial activity
To evaluate the antibacterial properties, an agar-well diffusion method was performed according to [21]. Toad's skin secretions (TSS) were dissolved in phosphate buffered saline (PBS, P 7.0-7.2). Bacterial strains were suspended in sterile water and diluted to 105 colonies forming unit CFU/ml. The suspension (100μL) was spread onto the surface of nutrient agar medium. Wells (4.6 mm in diameter) were cut from the agar with a sterile borer and 50μg/ml of (TSS) extract solutions were delivered into the wells. Negative controls were prepared using PBS solution. Kanamycin was used as a standard reference to determine the sensitivity of each microbial species tested. The inoculated plates were incubated at 37 °C for 24 h antibacterial activity was evaluated by measuring the diameter of inhibition zone (DIZ) of the tested bacteria DIZ and was expressed in millimeters. Subsequently, minimum inhibitory concentration (MIC) of (TSS) were determined by microdilution technique as previously described by [22] Serial dilutions (3.25-100 μg/ml) of (TSS) in Mueller-Hinton broth (50 μl) were incubated with an inoculums (50 μl of 5 × 105colony forming unit ml-1) overnight. The MIC of (TSS) on each strain was taken as the lowest concentration until no visible growth was observed. Triplicate tests were carried out in all experiments.
RESULTS
Proteomics approaches to the identification of TSS proteins
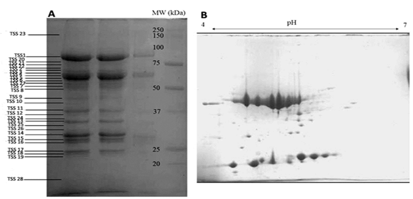
Since the proteome of the granular gland is the targeted subject of study. Mild electrical stimulation had been applied to obtain pure and sufficient amount from Bufo asper granular gland secretions, as well as to avoid other components from the skin and surrounding tissue that may also co-extracted with the secretions. However, our initial effort to separate the (TSS) proteins showed that 2D-gel may not be the best method for the separation of proteins. The (TSS) was with very high salt content, which is not suitable for 2D-gel electrophoresis. Although a few repeated desalting steps were applied on the sample, the salt content remained to be high. Furthermore, each desalting process resulted in protein lost. As shown in Fig. 1B for the 2D-gel profile TSS protein, the loss of proteins was remarkable.
In order to overcome the problem of the high salt content of the (TSS), SDS-PAGE was used instead of 2D-gel electrophoresis. Although the resolution of SDS-PAGE is much lower than that of 2D-gel, no desalting was needed for the proteins to be separated on SDS-PAGE. The number of protein band detected in the SDS-PAGE was greater than those of 2D-gel. Moreover, the limitation on the resolution of SDS-PAGE was compensated for by the high resolution of mass spectrometry analysis, where each individual protein in a clouted band of SDS-PAGE can be identified accurately. Fig. 1A shows the SDS-PAGE protein profiles of the TSS protein. Twenty-eight protein bands were detected. All protein bands were excised for protein identification.
Table 3 listed the proteins identified from TSS. The accession number of the proteins is the protein code that can be used to obtain information on the protein, such as a full amino acid sequence of the protein. Information on the protein property such as protein molecular weights, pI values and functions were also included in the table. The analysis information such as sequence coverage and score are the values to indicate the significance of the proteins’ identity. Most of the proteins detected in the TSS belonged to enzyme category. These enzymes were involved in the metabolism processes, which included degradation and biosynthesis of protein, amino acids, carbohydrates, and lipids. Actin, a structural protein was found distributed in many of the bands in SDS-PAGE.
Fig. 2 shows the pie chart grouping of the identified proteins from (TSS) according to biological function. Nine functional groups of proteins were identified, namely carbohydrate metabolism, cell communication, genetic information processing, lipid metabolism, cytoskeletal proteins, transport proteins, antioxidant proteins, heat shock proteins and others (proteins without given protein’s name).
Fig. 1: (A) SDS-PAGE of TSS protein extract. MW: molecular weights marker. The identified protein bands were numbered as indicated on the left. (B) 2-DE gel for TSS protein extract
Antibacterial activities
The abilities of (TSS) to inhibit the growth of Gram-positive bacterium (B. cereus, B. subtilis and S. aureus), and the Gram-negative bacterium (E. coli, K. pneumonia and P. aeruginosa) are compared in table 1 and 2. There was significant variation in DIZ values. Out of six bacterial cultures tested, the highest antibacterial effect was recorded in Gram-positive bacterium-S. aureus with DIZ 28±1.8 mm (table 1). Similarly, the MIC value showed more pronounced antibacterial activity towards Gram-positive bacteria than Gram-negative bacteria (table 2). The results revealed that E. coli were less susceptible than the other Gram-positive bacterium tested. The lowest MIC value was recorded against S. aureus (12.25±0.4 μg/ml).
Table 1: Diameter of inhibition zone (DIZ) of TSS extract and antibiotic against bacterial cultures
TSS Kanamycin DIZ (mm) DIZ (mm) 50μg/disc 30 μg/disc |
Strain No. MTCC |
Test organism |
18±1.431±2.1 |
6910 |
Bacillus subtilis |
19±0.9 25±1.7 |
1307 |
cereus Bacillus |
28±1.8 31±1.4 |
7405 |
Staphylococcus aureus |
14±0.724±1.6 |
723 |
Escheichia coli |
20±1.430±2.1 |
7028 |
Klebsiella pneumoniae |
18±1.431±1.7 |
4302 |
Pseudomonus aeruginosa |
Note: Experiments were conducted in triplicate. Data are mean diameter of inhibition zones (mm) (n = 3)±SD.
Table 2: Minimum inhibitory concentration (MIC) of TSS extract and antibiotic against bacterial cultures
TSS Kanamycin MIC(μg/ml) MIC(μg/ml) |
Strain No. MTCC |
Test organism |
25±1.3 18±1.4 |
6910 |
Bacillus subtilis |
50±0.8 19±0.9 |
1307 |
cereus Bacillus |
12.25±0.4 28±1.8 |
7405 |
Staphylococcus aureus |
100±1.5 14±0.7 |
723 |
Escheichia coli |
50±2.1 20±1.4 |
7028 |
Klebsiella pneumoniae |
50±1.6 18±1.4 |
4302 |
Pseudomonus aeruginosa |
Experiments were conducted in triplicate (n=3)
DISCUSSION
In this study, we report antimicrobial effects of Toad's skin secretion (TSS) from Bufo asper; a non-invasive sampling technology has been applied to collect the skin secretion. Proteomics analysis revealed greater than 50 types of proteins, and some of the proteins were undiscovered proteins which cannot be detected by the available databases. Amphibian skins and their derivatives possess an intriguing source of potent therapeutic properties against several pathophysiological conditions such as infectious diseases, cardiovascular disorder, and cancer. [2] Toads, particularly genus Bufo, are well known to be a convenient and rich source of granular gland secretions, which normally contain biogenic amines, alkaloids and steroids, peptides and proteins [4, 23]. The first report on the occurrence of AMPs dates back to 40 y ago, when bombinin a 24-residue peptide was isolated from skin secretion of European frog Bomina variegate [24]. Since then, several studies have used the amphibian skin secretion as a source of new active components. Toad's skin secretion are habitually described as first line defense against harmful microorganisms, but this does not preclude other multifunctional properties as the previous observation on the studies of Chinese toad Bufo gargarizans skin formulation (Chan Sue) was found to induce apoptosis in several human cancer cells [3].
However, in order to investigate the broad range of TSS activity, six pathogenic bacteria were tested. TSS significantly inhibited the growth of bacteria with MIC ranging from (12.25±0.4 to 100±1.5 μg/ml) with more selectivity towards Gram-positive bacterium, in particular, S. aureus, which showed a clear DIZ (22±1.8 mm) with significant MIC (12.25±0.4 μg/ml). Interestingly, it has been reported that the outer membrane of bacterial cells carry an elevated negative charge of anionic molecules [25]. Consequently, the presence of cationic peptides in amphibian skin secretions with their positive charges and amphipathic features may enhance the binding capability towards bacterial cells by electrostatic interactions and hence, lead to the death of the bacteria [26, 27]. Furthermore, the presence of specific proteins or peptides within the skin secretion of amphibians may lead to the possible biological involvement in the defense mechanisms. In the present study, histone H4 was detected in the TSS. Histone H4 from shrimp haemocytes was reported with antibacterial properties [28]. Antimicrobial histones act as physiological barriers of cell; the proteins exert a variety of antimicrobial actions. Histones increase the permeability of bacterial cell membrane, from which it penetrates into the membrane and binds to bacterial DNA and/or RNA to cause the death of the bacteria. In addition, it also has the ability of bind to bacterial lipopolysaccharide (LPS) in the membrane and causing neutralization of the toxicity of bacterial LPS, which entrapped the pathogens as a component of neutrophil extracellular traps (NETs) [29].
A few proteins involve in oxidative defense was also detected in the TSS. The aquatic environment is a complex mixture that produces directly or indirectly several reactive oxygen species (ROS) through microbial action in the sediment and/or UV radiation in the presence of organic matter [30].
Three types of heat shock proteins were identified from TSS, namely HSP90, HSP70 (78 kDa glucose-regulated protein) and HSC70. The function of heat shock proteins is to act as an intracellular molecular chaperone supporting protein folding and transport under stress stimuli and normal physiological conditions [31]. Among heat shock proteins family, Hsp70 and Hsc70 have been shown to be responsive to a wide variety of physiological and environmental insults, including thermal shock, heavy metals, free radicals and microbial infection [31].
Fig. 2: Pie chart grouping of the identified proteins from TSS according to biological function
Besides the defense or immune response proteins, there were other useful proteins found in TSS. Actin is the major constituent found in TSS. Actin is involved in a wide variety of motile processes including cell locomotion, cytoplasmic streaming and transport, secretion, phagocytosis, and cytokinesis [32]. There are also the group of proteins which were not previously identified elsewhere; they were termed hypothetical proteins, unnamed proteins and unknown proteins. The function of these unidentified proteins is not known although they may be potentially useful. The collective functions of the proteins and peptides which encompasses of protein metabolism, carbohydrate metabolism, cell communication, genetic information processing, lipid metabolism, cytoskeletal proteins, transport proteins and proteins group under unidentified category may contribute to the various therapeutic activities of TSS as revealed in this study.
Table 3: LC–MS quantitative estimation of proteins profile of TSS extract
Band (refer fig. 2) |
Identified protein |
Accession No. |
Score |
Molecular mass (kDa) |
Sequence coverage (%) |
Biological process (Protein function) |
TSS 1 |
Ferredoxin NADP reductase |
Q74KS6 |
224.58 |
35.34 |
3.14 |
Catalytic activity: 2 reduced ferredoxin+NADP++H+= 2 oxidized ferredoxin+NADPH |
Heat shock protein HSP 90 alpha |
P30946 |
204.32 |
79.73 |
10.23 |
Stress response (molecular chaperone that promotes the maturation, structural maintenance and proper regulation of specific target proteins involved for instance in cell cycle control and signal transduction). |
|
TSS 2 |
Beta-actin like protein 2 |
Q562R1 |
383.57 |
42.00 |
10.64 |
Cell motility (multiple isoforms are involved in various cellular functions such as cytoskeleton structure, cell mobility, chromosome movement and muscle contraction). |
Thioredoxin reductase 1 |
Q9JMH6 |
205.99 |
66.93 |
6.2 |
Cell proliferation (catalytic activity: thioredoxin+NADP+= thioredoxin disulfide+NADPH). |
|
TSS 3 |
6 7 dimethyl 8 ribityllumazine synthase |
B9MPC6 |
265.80 |
16.85 |
7.74 |
Riboflavin biosynthesis (catalyzes the formation of 6,7-dimethyl-8-ribityllumazine by condensation of 5-amino-6-(D-ribitylamino) uracil with 3,4-dihydroxy-2-butanone 4-phosphate). |
TSS 4 |
6 7 dimethyl 8 ribityllumazine synthase |
B9MPC6 |
239.78 |
16.85 |
7.74 |
Riboflavin biosynthesis (catalyzes the formation of 6,7-dimethyl-8-ribityllumazine by condensation of 5-amino-6-(D-ribitylamino) uracil with 3,4-dihydroxy-2-butanone 4-phosphate). |
TSS 5 |
6 7 dimethyl 8 ribityl lumazine synthase |
B9MPC6 |
256.48 |
16.85 |
7.74 |
Riboflavin biosynthesis (catalyzes the formation of 6,7-dimethyl-8-ribityllumazine by condensation of 5-amino-6-(D-ribitylamino) uracil with 3,4-dihydroxy-2-butanone 4-phosphate). |
TSS 6 |
Actin cytoplasmic 3 |
P53486 |
12487.90 |
41.78 |
65.87 |
Cell motility (multiple isoforms are involved in various cellular functions such as cytoskeleton structure, cell mobility, chromosome movement and muscle contraction). |
Glyceraldehyde 3 phosphate dehydrogenase |
P04406 |
5869.05 |
36.05 |
65.37 |
Glycolysis (catalyzes the first step of the pathway by converting D-glyceraldehyde 3-phosphate (G3P) into 3-phospho-D-glyceroyl phosphate). |
|
14 3 3 protein zeta delta |
P63103 |
2061.21 |
27.75 |
18.78 |
Cytoplasmic sequestering of protein (adapter protein implicated in the regulation of a large spectrum of both general and specialized signaling pathways). |
|
Intermediate filament protein ON3 |
P18520 |
1885.41 |
57.79 |
13.08 |
Sensory transduction (one of the non-neuronal predominant intermediate filament proteins of the visual pathway). |
|
Glial fibrillary acidic protein |
Q28115 |
1495.20 |
49.51 |
24.53 |
Bergmann glial cell differentiation (a cell-specific marker that, during the development of the central nervous system, distinguishes astrocytes from other glial cells). |
|
Annexin A2 |
Q5R5A0 |
1342.57 |
38.60 |
40.71 |
Negative regulation of coagulation (calcium/phospholipid-binding protein which promotes membrane fusion and is involved in exocytosis). |
|
Heat shock protein beta 1 |
P04792 |
808.44 |
22.78 |
37.56 |
Stress response (involved in stress resistance and actin organization). |
|
Tubulin alpha 1C chain |
P68373 |
597.35 |
49.91 |
44.1 |
Microtubule-based movement (major constituent of microtubules). |
|
Triosephosphate isomerase Fragments |
P86216 |
524.44 |
20.31 |
38.3 |
Glycolysis (catalytic activity: D-glyceraldehyde 3-phosphate = glycerone phosphate). |
|
Cathepsin |
P80209 |
254.68 |
42.16 |
7.18 |
Proteolysis (acid protease active in intracellular protein breakdown). |
|
Voltage-dependent anion-selective channel protein 1 |
Q60932 |
150.36 |
32.35 |
17.57 |
Transport (forms a channel through the mitochondrial outer membrane and also the plasma membrane). |
|
UPF0210 protein Lreu 0940 |
A5VK28 |
137.80 |
46.29 |
34.45 |
- |
|
Elongation factor 1 alpha 1 |
Q5R1X2 |
134.12 |
50.14 |
7.79 |
Protein biosynthesis (promotes the GTP-dependent binding of aminoacyl-tRNA to the A-site of ribosomes during protein biosynthesis). |
|
Ferredoxin NADP reductase 1 |
Q8ETS1 |
121.667 |
38.14 |
27.59 |
Catalytic activity: 2 reduced ferredoxin+NADP++H+= 2 oxidized ferredoxin+NADPH |
|
Alpha-actinin 4 |
A5D7D1 |
111.23 |
10.49 |
5.49 |
Transport (to anchor actin to a variety of intracellular structures). |
|
Carbamoyl phosphate synthase small chain |
Q88DU5 |
111.12 |
40.57 |
25.66 |
Amino acid biosynthesis (catalytic activity: 2 ATP+L-glutamine+HCO3-+H2O = 2 ADP+phosphate+L-glutamate+carbamoyl phosphate). |
|
Transcription factor EMB1444 |
P0C7P8 |
108.46 |
81.02 |
9.26 |
Transcription (transcription factor that may regulate root development). |
|
tRNA 2 selenouridine synthase |
A3DA85 |
100.84 |
41.68 |
14.4 |
tRNA seleno-modification (catalyzes the transfer of selenium from selenophosphate for conversion of 2-thiouridine to 2-selenouridine at the wobble position in tRNA). |
|
DNA repair and recombination protein radC |
Q96UP6 |
91.62 |
61.91 |
19.24 |
DNA damage (involved in DNA double-strand break (DSB) repair and recombination). |
|
S-adenosylmethionine synthase |
A5ENA8 |
88.28 |
43.59 |
11.03 |
S-adenosylmethionine biosynthesis process (catalyzes the formation of S-adenosylmethionine from methionine and ATP). |
|
Glutamate 1 semialdehyde 2 1 aminomutase |
Q8DBX8 |
86.28 |
46.07 |
15.08 |
Porphyrin biosynthesis (catalytic activity: (S)-4-amino-5-oxopentanoate = 5-aminolevulinate). |
|
C-type lectin domain family 18 member A |
Q7TSQ1 |
75.93 |
58.59 |
26.03 |
Receptor |
|
UDP 3 O 3 hydroxy myristoyl N-acetylglucosamine deacetylase |
Q31I39 |
73.41 |
33.93 |
26.00 |
Lipid biosynthesis (involved in the biosynthesis of lipid A, a phosphorylated glycolipid that anchors the lipopolysaccharide to the outer membrane of the cell) |
|
Methylenetetrahydrofolate tRNA uracil 5 methyltransferase TrmFO |
A8YV48 |
65.70 |
44.50 |
15.23 |
tRNA processing (catalyzes the folate-dependent formation of 5-methyl-uridine at position 54 (M-5-U54) in all tRNAs). |
|
TSS10 |
Elongation factor 1 alpha 1 |
P10126 |
609.88 |
25.79 |
22.36 |
Protein biosynthesis (promotes the GTP-dependent binding of aminoacyl-tRNA to the A-site of ribosomes during protein biosynthesis). |
TSS 11 |
Actin cytoplasmic 1 |
P84856 |
1559.62 |
40.45 |
23.82 |
Cell mobility (multiple isoforms are involved in various cellular functions such as cytoskeleton structure, cell mobility, chromosome movement and muscle contraction). |
Cystathionine gamma-lyase |
Q8VCN5 |
170.95 |
43.57 |
13.32 |
Amino acid biosynthesis (catalyzes the last step in the transsulfuration pathway from methionine to cysteine). |
|
TSS 12 |
L lactate dehydrogenase A chain |
Q6DGK2 |
173.40 |
36.71 |
3.59 |
Glycolysis (catalytic activity: (S)-lactate+NAD+= pyruvate+NADH). |
TSS 13 |
NADP dependent alcohol dehydrogenase |
O57380 |
664.90 |
39.17 |
4.83 |
Catalytic activity: An alcohol+NADP+= an aldehyde+NADPH |
3 oxo 5 beta steroid 4 dehydrogenase |
P51857 |
466.29 |
37.38 |
10.12 |
Lipid degradation (efficiently catalyzes the reduction of progesterone, androstenedione, 17-alpha-hydroxyprogesterone and testosterone to 5-beta-reduced metabolites). |
|
Glyceraldehyde 3 phosphate dehydrogenase |
P04797 |
364.62 |
35.83 |
9.61 |
Glycolysis (catalyzes the first step of the pathway by converting D-glyceraldehyde 3-phosphate (G3P) into 3-phospho-D-glyceroyl phosphate). |
|
L lactate dehydrogenase A chain |
P42120 |
110.71 |
36.49 |
8.38 |
Glycolysis (catalytic activity: (S)-lactate+NAD+= pyruvate+NADH). |
|
TSS 14 |
No hit |
|||||
TSS 15 |
Glutathione S-transferase omega 1 |
P78417 |
177.26 |
27.57 |
3.73 |
L-ascorbic acid biosynthetic process (exhibits glutathione-dependent thiol transferase and dehydroascorbate reductase activities). |
TSS 16 |
Formamidopyrimidine DNA glycosylase |
Q6KHS0 |
83.89 |
31.94 |
2.92 |
DNA damage (involved in base excision repair of DNA damaged by oxidation or by mutagenic agents). |
TSS 17 |
Glutathione S-transferase P 2 |
P83325 |
304.27 |
24.18 |
9.05 |
L-ascorbic acid biosynthetic process (exhibits glutathione-dependent thiol transferase and dehydroascorbate reductase activities). |
TSS 18 |
Ras-related protein Rab 35 |
Q15286 |
349.47 |
23.03 |
10.95 |
Small GTPase mediated signal transduction. |
TSS 19 |
No hit |
|||||
TSS 20 |
Actin cytoplasmic |
Q964E1 |
659.98 |
41.88 |
9.04 |
Cell mobility (multiple isoforms are involved in various cellular functions such as cytoskeleton structure, cell mobility, chromosome movement and muscle contraction). |
78 kDa glucose regulated protein |
P11021 |
456.46 |
72.33 |
12.39 |
ER overload response (probably plays a role in facilitating the assembly of multimeric protein complexes inside the ER). |
|
TSS 21 |
78 kDa glucose regulated protein |
Q0VCX2 |
6938.00 |
72.40 |
12.21 |
ER overload response (probably plays a role in facilitating the assembly of multimeric protein complexes inside the ER). |
TSS 22 |
Heat shock cognate 71 kDa protein |
Q9W6Y1 |
687.37 |
76.17 |
12.39 |
Stress response |
Thioredoxin reductase 1 cytoplasmic |
Q9JMH6 |
126.04 |
66.93 |
1.96 |
Cell proliferation (catalytic activity: thioredoxin + |
|
TSS 24 |
NADP dependent alcohol dehydrogenase |
O57380 |
423.92 |
39.17 |
4.83 |
Catalytic activity: An alcohol+NADP+= an aldehyde+NADPH |
Phosphotriesterase related protein |
Q96BW5 |
227.40 |
39.02 |
3.15 |
Catabolic process |
|
L lactate dehydrogenase A chain |
P69082 |
101.33 |
36.18 |
3.63 |
Glycolysis (catalytic activity: (S)-lactate+NAD+= pyruvate+NADH). |
|
TSS 25 |
L lactate dehydrogenase A chain |
P42120 |
1382.58 |
36.49 |
16.47 |
Glycolysis (catalytic activity: (S)-lactate+NAD+= pyruvate+NADH). |
TSS 26 |
No hit |
|||||
TSS 27 |
Catalase |
Q9PT92 |
307.15 |
59.65 |
5.89 |
Antioxidant (occurs in almost all aerobically respiring organisms and serves to protect cells from the toxic effects of hydrogen peroxide). |
6 7 dimethyl 8 ribityllumazine synthase |
A4XHM5 |
202.28 |
16.82 |
7.69 |
Riboflavin biosynthesis (catalyzes the formation of 6,7-dimethyl-8-ribityllumazine by condensation of 5-amino-6-(D-ribitylamino) uracil with 3,4-dihydroxy-2-butanone 4-phosphate). |
|
TSS28 |
Histone H4 |
P62804 |
3365.33 |
11.37 |
28.16 |
Nucleosome assembly (play a central role in transcription regulation, DNA repair, DNA replication and chromosomal stability). |
Cytochrome b5 Fragment |
P00168 |
838.95 |
10.03 |
49.43 |
Transport (cytochrome b5 is a membrane bound hemoprotein which function as an electron carrier for several membrane bound oxygenases). |
CONCLUSION
In conclusion, this study has provided a comprehensive protein profiling for the toad (Bufo asper) skin secretions. The bioactive mixture of proteins and peptides displayed a wide spectrum of antimicrobial activity against both Gram-positive and Gram-negative bacteria, in particular towards Staphylococcus aureus and Bacillus subtilis, with MIC 12.25±0.4 and 25±1.3 μg/ml, respectively. Further studies are necessary to elucidate the active principle of the skin secretions. Although, a well plan project to culture the toads should also be exploited.
CONFLICT OF INTERESTS
We declare that there is no conflict of interest among the authors
REFERENCES