
*Department of Genetics, M. D. University, Rohtak 124001, **Department of Pathology, Pt. B. D. Sharma University of Health Science, Rohtak
Email: ritugenetics@gmail.com
Received: 18 Jan 2016 Revised and Accepted: 27 Feb 2016
ABSTRACT
Objective: The role of hormone receptors as a prognostic and therapeutic tool in breast cancer is widely accepted. The aim of this study was to the analysis of steroid receptor status in breast cancer with clinic pathological characteristics.
Methods: In the present study, immunohistochemical assay of two hundred tumor block of patients of breast carcinoma was performed to know the hormone receptor status as well as histological examination.
Results: 150 samples were grouped to study hormonal status and their relation with clinic-pathological factors. The results in the present study documented the 42.3 %, 37.6 % and 56.2 % expression rate of estrogen receptor (ER), progesterone receptor (PR) and human epidermal growth factor receptor-2 (Her2/neu) (. The negative expression of ER, PR receptors found higher (57.7 %, 62.4 % respectively). However, Her2/neu positive expression found higher than negative expression (43.8 %). An inverse correlation of Her2/neu expression with ER and PR expression was observed (p=0.007). A significant association of tumor size was observed with ER and PR expression (p=0.02 & p=0.04 respectively). However, no statistically significant association was observed between Her2/neu expression and tumor size (p=0.84).<4 positive lymph nodes showed more no reactivity of the receptors (ER, PR & Her2/neu) than>4 positive lymph nodes. No significant association of lymph node status and histological types was found with receptor expression.
Conclusion: In conclusion further functional analyzes of ER, PR and Her2 receptors are needed to investigate the effects of compounds in inhibiting cancer in humans.
Keywords:Breast carcinoma, Estrogen, Her-2/neu receptor, Immunohistochemistry, Progesterone
© 2016 The Authors. Published by Innovare Academic Sciences Pvt Ltd. This is an open access article under the CC BY license (http://creativecommons.org/licenses/by/4.0/)
INTRODUCTION
Breast cancer is the most frequently occurring cancer in women, with around 1 million newly diagnosed cases each year worldwide and responsible for about 375,000 deaths in the year 2000 alone [1]. It is a heterogeneous disease with different subtypes and classified disease on the basis of hormone receptor status [2]. Different biomarkers are routinely used in the laboratory for diagnosis of breast cancer. These Biomarkers plays an increasingly important role in disease detection and treatment. Tumor biomarkers are the range of molecules from nucleic acids to metabolites. However, protein biomarkers convert most readily into targeted therapies (as most pharmaceuticals tend to target proteins) and clinical diagnostic assays using standard existing platforms [3].
Breast cancer shows heterogeneity in its clinical behavior. Clinicopathological factors like tumor grade, size, lymph node status and histological type plays an important role in predicting prognosis and response or resistance to the therapy [4, 5].
Determining the estrogen receptor (ER), progesterone receptor (PR) and human epidermal growth factor receptor-2 (Her2/neu) receptor status in breast cancer becomes medical practice nowadays. Clinical trials have also shown, the survival advantage for patients with hormones receptor positive status by treatment with adjuvant hormonal or chemotherapeutic regimens [6]. It is well known that strong ER-positive cases benefit from endocrine therapy alone, in contrast to those with low to moderate ER positivity [7]. PR status is independently associated with disease-free and overall survival. Patients with ER, PR positive tumors have a better prognosis than patients with negative expression of ER and PR tumors [8].
Immunohistochemical analysis of these receptors is used for predictive purposes in routine breast cancer patient management. Reduction in the mortality will require successful strategies for early detection and screening of the disease. The present study aimed to evaluate the expression of estrogen, progesterone and Her2/neu receptors as biomarkers and their relation with clinicopathological factors in human breast carcinoma.
MATERIALS AND METHODS
Sample collection
Two hundred tumor block of patients ranging in age from<40 to ≥60 y were selected for this study from Pt. B. D. Sharma University of Heath Sciences Rohtak, Haryana. One hundred fifty samples were grouped to study hormonal status & their relation with clinicopathological factors whereas 50 samples showed the type of cancer other than hormone receptors subtype. Out of 150 samples, only 130 were evaluated for the histological and Immuno-histochemical examination, 20 samples being omitted due to the incomplete information. All samples were taken after institutional ethical committee permissions and personal consent of the patients or guardians reg no. (CBT-360/4.4.12).
Histological examination
Histological assessment of tumor grade (low, intermediate, and high), tumor size (<2 cm, 2–4.9 cm, ≥5 cm) and lymph node status (positive or negative) were performed. Diagnosis age was categorized as<40, 40–49, 50–59, and ≥60 y. The histological parameters of all cases were reviewed by a pathologist and the histological grades were determined for each case according to Nottingham modification of the Bloom and Richardson Grading System [9].
Immunohistochemical scoring
Tissue sections mounted on glass slides were collected. After deparaffinization in xylene, slides were rehydrated through the grades of alcohol. Endogenous peroxidase activity was blocked by using 2 % hydrogen peroxidase in methanol. Antigen retrieval was performed with heating the coated sections on glass slides in citrate buffer for 20 min. A mouse anti ER and PR monoclonal antibodies and a rabbit anti ErbB-2/Her-2 monoclonal antibody (Biogenex, USA, CA) were used as primary antibody. Horseradish peroxidase polymer (Biogenex, USA, CA) was used as secondary antibody. The sections were first stained with diaminobenzidine (DAB) and then using hematoxylin stain. The ER and PR results were screened manually and interpreted as positive or negative on the basis of scores for proportion as well as intensity. The expression of ER and PR was scored between 0 and 8, 0: (negative) no nuclei staining; 1: (borderline) 1 % of nuclei staining; 2: (positive) 1-10 % of nuclei staining; 3: (positive) 11-33 %; 4: (positive) 34-66 %; 5, 6 & 7: (positive) 100 % of nuclei staining. Expression of HER2/neu scored 0 to 3 as follows: 0 (negative): no membranous staining identified, 1 (negative): faint staining involving 10 % of positive cells; 2 (positive): weak but definitive staining of the membrane over at least 10 % of positive cells; 3 (positive): strong positive staining of the complete membrane in more than 20 % of cells.
Statistical analysis
Chi-square test, Pearson correlation were performed using software SPSS 11.0 to find out the relation of ER/PR and Her2/neu expression with different clinic-pathological factors age, tumor size, grade, lymph node status.
RESULTS
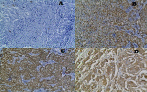
In the present study, Immunohistochemical analysis of breast carcinoma samples was performed, and their relation to clinicopathological factors was studied in detail. The expression rate of ER, PR and Her2/neu receptors was observed 42.3 %, 37.6 % and 56.2 % (fig. 1B, 1C & 1D). The negative expression of ER, PR receptors found higher (57.7 %, 62.4 % respectively) than the positive expression (fig. 1A). However, Her2/neu positive expression found higher than negative expression (43.8 %). An inverse correlation of Her2/neu expression with ER and PR expression was observed (p=0.007). In Her2/neu positive cases, the negative expression of ER and PR was found higher than positive expression (47.94 % & 46.57 %).

Fig. 1: Microscopic images of the pattern of IHC×100 staining in breast carcinoma. (A) Negative expression of receptors (ER, PR & Her2/neu) (B) Nuclear stain of ER (C) Nuclear stain of PR (D) Cytoplasmic stains of Her2/neu
Age
Breast carcinoma patients were categorized in different age groups from less than 40 y to greater than 60 y. The mean age was 48 y. No statistically significant association was found in positive/negative expressions of ER, PR and Her2/neu and different age groups. The positive expression of ER, PR and Her2/neu found higher in old patients whereas negative expression of ER and Her2/neu found higher in patients younger patients. However negative expression of PR found both in old and young patients (fig. 2).

Fig. 2: Distribution of receptor expression among different age groups
Tumor grade
The grading was based on cellular and nuclear pleomorphism, ductular differentiation, necrosis and infiltration of surrounding adipose tissue. Reactivity of receptors found more in grade II as compared to grade I and III. Positivity of ER, PR and Her2/neu was observed 24.62 %, 22.31 % and 27.7 % respectively in tumor grade II. Expression of ER and PR found to be significantly associated with tumor grade (p=0.001 and p=0.02) respectively. Whereas, Her2/neu expression did not reveal any significant association with tumor grade (p=0.94) (table 1).
Tumor size
The size of tumors ranged from 0.1 cm to 12 cm. Breast cancer samples with<2 cm tumor size were found to have a positive expression of ER and Her2/neu (22.3 % & 23.9 %) and negative expression of PR (23.1 %). On the other hand, samples with tumor size 2-4.9 cm were found to have a negative expression of ER, PR (26.93 % & 26.16 %) and positive expression of Her2/neu (24.6 %). Similarly, samples with tumor size>5 cm were found to have a negative expression of ER and PR (12.31 % & 13.1 %) and positive expression of Her2/neu (8.4 %). A significant association of tumor size was observed with ER and PR expression (p=0.02 & p=0.04 respectively). However, no statistically significant association was observed between Her2/neu expression and tumor size (p=0.84) (table 1).
Lymph node status
Two parameters for metastasis were counted less than 4 and more than 4 lymph nodes. Breast cancer samples having<4 positive lymph nodes showed more non-reactivity of the receptors in comparison with>4 positive lymph nodes.
Histological type
Two Histological types i.e. infiltrate ductal carcinoma (IDC), and lobular carcinoma (LC) was found in the present study. The majority of the samples showed infiltrate ductal carcinoma type (93 %) and only a few were lobular carcinoma type (7 %). No significant association of histological types was found with receptor expression of ER, PR and Her2/neu (table 3).The majority of the infiltrate ductal carcinoma (IDC) cases were found to have negative expressions of ER and PR (53.84 % & 58.46 %) and positive expression of Her2/neu (55.38 %). However in lobular histological type, the majority of cases were ER+ve (4.62 %), PR-ve (3.85 %) and Her2/neu+ve (6.15 %) (table1).
Table 1: Association of ER, PR and Her2/neu receptor expression with different clinicopathological factors
Clinicopathological Factors |
ER+ve |
ER-ve |
PR+ve |
PR-ve |
Her2/neu+ve |
Her2/neu-ve |
|||
(N =55) |
(N= 75) |
p-value |
(N=49) |
(N=81) |
p-value |
(N=73) |
(N=57) |
p-value |
|
Tumor grade |
|||||||||
I |
22(16.93) |
21(16.16) |
0.001 |
20(15.38) |
23(17.7) |
0.02 |
27(20.77) |
19(14.62) |
NS |
II |
32(24.62) |
35(26.93) |
29(22.31) |
40(30.77) |
36(27.7) |
26(20) |
|||
III |
1(0.77) |
19(14.62) |
2(1.54) |
16(12.31) |
12(9.24) |
10(7.69) |
|||
Tumor size |
|||||||||
<2 cm |
29(22.3) |
23(17.7) |
0.02 |
23(17.7) |
30(23.1) |
0.04 |
31(23.9) |
21(16.16) |
NS |
2-4.9 cm |
22(16.93) |
35(26.93) |
21(16.16) |
34(26.16) |
32(24.6) |
25(19.24) |
|||
>5 cm |
5(3.85) |
16(12.31) |
5(3.85) |
17(13.1) |
11(8.47) |
10(7.69) |
|||
Lymph node status |
|||||||||
<4 positive |
33(25.39) |
47(36.15) |
NS |
32(24.6) |
48(36.93) |
NS |
45(34.61) |
35(26.93) |
NS |
>4positive |
22(16.93) |
28(21.54) |
17(13.1) |
33(25.39) |
28(21.54) |
22(16.93) |
|||
Histological type |
|||||||||
IDC |
50(38.46) |
70(53.84) |
NS |
46(35.38) |
76(58.46) |
NS |
72(55.38) |
46(35.38) |
NS |
Lobular |
6(4.62) |
4(3.1) |
3(2.31) |
5(3.85) |
8(6.15) |
4(3.1) |
|||
Significance level, p<0.05 (χ2test); NS= Non-significant; ER= estrogen receptor; PR= progesterone receptor; HER-2/neu= Human epidermal growth factor receptor 2;+ve= positive; –ve, negative= Note: Data are given as number (percentage); N, Total number of patients (n)=130. The majority of the samples with<4 positive lymph nodes were found to have negative expressions of ER and PR (36.15 % & 36.93 %) and positive expression of Her2/neu (34.61 %). However, no statistically significant association was observed among expressions of ER, PR, Her2/neu and lymph node metastasis status (table 1).
DISCUSSION
Improved breast cancer treatment requires integration of clinical pathology and cancer biology which could affect patient outcome. ER, PR and her2/neu are well-established procedures in routine breast cancer management mainly as prognostic factors for adjuvant hormone therapy [10, 11]. Our results reveal the significant association of different clinicopathological factors with an expression of ER, PR and Her2/neu.
In the present study, positive expression of ER, PR and Her2/neu was found to be 42.3 %, 37.6 %, and 56.2 % respectively which correlate well with other studies [12, 13]. Hormonal receptor status has shown that overall positivity rate for ER and PR was lower in India than that reported in Western literature. In European and American population, 60–80 % patients were found with positive receptor expression [14]. This may be due to lower average age at diagnosis or racial difference. Our study described inverse correlation of Her2/neu expression with ER and PR expression (p=0.007) which is well correlated with other studies [15-17]. These results might reflect women who overexpress Her2/neu may be resistant to Tamoxifen.
Overall negative expression of ER and PR found higher than positive expression similar to other studies [18]. Slamon et al. reported only 20-30 % positive expression of Her2/neu in contrast to our study positive expression of Her2/neu found higher than negative expression [19]. In Her2/neu positive cases, it was observed that negative expression of ER and PR was higher than positive expression, most similar to other studies [16,20]. Furthermore, a variation in receptor positivity has been reported in Asian population [21,22]. In different age group study, results confirmed that the positive expression of ER, PR and Her2/neu receptors found higher in older patients similar to other studies [23]. Whereas negative expression of ER and Her2/neu found higher in young patients and PR-ve patients were found in both young and old age group’s contrast to some studies [24].
The tumor grade II were more common in our study followed by grade III and I similar to other studies [13]. However, this is a contrast to some studies where well-differentiated breast cancer is more common than the poorly differentiated cancer [12, 24]. In our study, ER and PR correlated well with grade II (p=0.001 and p=0.02 respectively), but Her2/neu expression did not reveal a significant association with tumor grade. Similar results were reported by other studies [25]. Tumor size is one of the important predictors of tumor behavior in breast cancer. Our results described the significant association of tumor size with an expression of ER and PR (p=0.02 & p=0.04) respectively. On the other hand, Her2/neu expression did not reveal any correlation with tumor size. These results are correlated well with other studies [17, 26, 27]. Our results confirmed that non-reactivity of hormonal receptors increases with increase in tumor size.
The present study provides convincing evidence for a non-significant association between expression of ER, PR, Her2/neu and lymph node metastasis. Similar results have been documented in many other studies [27, 28]. In contrast to our results, Tokatli et al. found a significant association of Her2/neu expression with increased positive lymph node metastasis status [29]. Some similar studies found that majority of lymph node positive patients found to have Her2/neu positive expression [30, 31]. Our results documented that<4 positive lymph nodes showed more no reactivity of the receptors (ER, PR & Her2/neu) than>4 positive lymph nodes which is in contrast to other studies [21, 24]. The majority of the samples in our study were with infiltrating ductal carcinoma type, and only a few were the lobular type. However, our study, as well as others, did not found a significant association among expression of ER, PR, Her2/neu and histological types [16].
CONCLUSION
Immunohistochemical analysis of ER, PR and Her2 receptors is widely available at a reasonable cost and is prognostic as well as somewhat predictive. Our study confirms that receptor expression of ER and PR found to be significantly associated with tumor grade and tumor size, whereas Her2/neu expression did not reveal such association. However, no association of ER, PR, Her2/neu expressions was observed with lymph node metastasis status and histological type of breast cancer. An inverse correlation of Her2/neu expression with ER and PR expression was also observed. These observations suggested that breast cancers seen in the Indian population may be biologically different from that encountered in Western practice. Further functional analyzes of ER, PR and Her2 receptors are needed to investigate the effects of compounds in inhibiting cancer in humans. These results of findings could have clinical importance in breast cancer treatment.
ACKNOWLEDGMENT
Authors are a grateful to University grants commission (F-40-287/2011 (SR), New Delhi for financial support in research work. The authors acknowledge the M. D. University Rohtak and Health University, Rohtak for providing the help and support.
SOURCE OF FUNDING
University grants commission, New Delhi
CONFLICT OF INTERESTS
Declare none
REFERENCES