
National Research Institute of Ayurved Drug Development, Bharatpur, Bhubaneswar, Odisha, India, 2National Institute of Ayurveda, Jaipur, India, 3Department of Ayurveda, Tilak Maharashtra Vidyapeeth, Pune, India, 4Department of Pharmaceutical Analysis and Quality Assurance, School of Pharmaceutical Sciences, Siksha ‘O’ Anusandhan University, Khandagiri Square, Bhubaneswar, Odisha, India
Email: anindyabose_in@yahoo.com
Received: 19 Jan 2016 Revised and Accepted: 27 Feb 2016
ABSTRACT
Objective: Standardization of any herbal formulation is essential in order to assess the quality, purity, safety, and efficacy of drugs based on the analysis of their active properties. Testing of Ayurvedic preparations using scientific methodologies adds to quality and authenticity of the product.
Methods: This article reports standardization parameters for a classical Ayurvedic formulation Panchasakara Churna. In this paper, the formulation was prepared as per Ayurvedic Formulary of India and was characterized by pharmacognostic, physical, physicochemical, phytochemical, toxicological parameters as well as thin layer chromatography (TLC) profiling using standard methodologies.
Results: This experimental work provided diagnostic characteristics to identify and standardize the formulation Panchasakara Churna prepared using its official ingredients.
Conclusion: Based on the present investigation results, a monograph on quality standards for Panchasakara Churna can be proposed for its batch-to-batch consistency. This document can also be utilised for rapid authentication fingerprints of this formulation using its TLC profiling.
Keywords: Panchasakara Churna, Toxicological, Chromatography, Microscopic
© 2016 The Authors. Published by Innovare Academic Sciences Pvt Ltd. This is an open access article under the CC BY license (http://creativecommons.org/licenses/by/4.0/)
INTRODUCTION
Standardization of herbal medicines is the process of prescribing a set of standards or inherent characteristics, constant parameters and definitive qualitative and quantitative values that carry an assurance of quality, efficacy, safety, and reproducibility. The quality of raw materials, good agricultural practices and good manufacturing practices play fundamental roles in guaranteeing the quality and stability of herbal preparations [1]. Specific standards are worked out by experimentation and observations, which could lead to the process of prescribing a set of characteristics exhibited by the particular herbal medicine. Hence, standardization of herbal medicine is a tool used in its quality control process [2].
Several problems, which are not applicable to synthetic drugs, often influence the quality of herbal drugs. Due to the complex nature and variability of the constituents, herbal preparations are likely to have variations right from the stage of collection of raw materials. Moreover, it is quite common to have many plant ingredients in a single herbal formulation, which makes standardization of the formulation further complicated. Regulatory authorities must ensure that consumers get pure, safe, potent and efficacious medicines, which are prepared by rigidly following various quality standards prescribed for raw materials and finished products. These procedures would logically apply to all types of modern and traditional herbal medications.
In India, the mostly popular traditional system of medicine is an Ayurvedic system, which is mainly based on single or multi-herbal ingredients. In the past, due to the absence of a standard reference for identification, it was difficult to establish quality control measures for Ayurvedic formulations. However, nowadays efforts are going on so that these herbal preparations comply with the consistent standards through modern analytical techniques. However, considering the vastness of numbers of these preparations, these efforts are very limited.
Panchasakara Churna is prescribed in Ayurveda for diseases such as constipation, piles and other abdominal diseases [3]. Its main ingredients include Swarnapatri (Cassia angustifolia) leaf, Haritaki (Terminalia chebula) fruit, Shunti (Zingiber officinale) rhizome, Saunf (Foeniculum vulgare) fruit and Saindhava lavaṇa (rock salt) [3]. Currently, there is no monograph for analysis of Panchasakara Churna in Indian Ayurvedic pharmacopoeia. Moreover, till date, there is only a single report of its characterisation giving some basic information about its pharmacognostical characterization [4]. However, this report being insufficient as per the current requirements of Indian Ayurvedic pharmacopoeia, there is an urgent need to characterise the formulation exhaustively based on present pharmacopoeial standards including organoleptic characters, chemical analysis, chromatographic pattern, microbiological evaluation etc. [5] Presently, due to lack of pharmacopoeial standards laid down and followed for quality control of Panchasakara Churna, the product may not have the desired quality and batch-to-batch consistency. Hence, the current work was undertaken with the objective of contributing to Ayurvedic pharmacopoeias by driving consistent standards, proposing rapid authentication fingerprints for the formulation and preparing a concise monograph on the quality [6]. In this paper, Panchasakara Churna is subjected to detailed pharmacognostic characterization, evaluation of physical characteristics, physicochemical testing, phytochemical investigation, determination of toxic contaminants like heavy metals, microbial limit test and TLC based fingerprinting for detection of its ingredients.
MATERIALS AND METHODS
Plant materials
All these ingredients of Panchasakara Churna were procured from the local market of Cuttack, Odisha, India and were authenticated at National Institute of Ayurveda Drug Development, Bharatpur, Bhubaneswar, Odisha, India.
Methods
Preparation of panchasakara churna
The Panchasakara Churna was prepared as per the standard method described in Ayurvedic Formulary of India. As per the literature, all the ingredients were shade dried and powdered separately, passed through 80 # sieve and then mixed together in equal proportions to get uniformly blended churna [7].
Pharmacognostical study
Determination of foreign matter
100 gm of the sample was spread out in a thin layer. The foreign matter was detected by inspection with the unaided eye or by the use of a lens (6x), separated, weighed and the percentage foreign matter was calculated [8].
Organoleptic parameters
The organoleptic characters like colour, odour, taste, appearance and texture of the ingredients and formulation samples were evaluated based on the reported method [9].
Fluorescence analysis
Fluorescence characteristics of powdered churna were observed in different standard reagent solutions towards ordinary visible light and ultraviolet light (both long 365 nm and short 254 nm wavelengths) [10].
Microscopic study of panchasakara churna
5 mg of the sieved (80 #) powder samples (churna and ingredients) were taken and washed with plain water. Then the samples were treated separately with iodine, chloral hydrate, phloroglucinol or potassium iodide; a drop of glycerine was added and mounted. The powder sample characters were then observed by Carl Zeiss binocular microscope attached with a camera according to the standard method [11-12].
Physicochemical investigation
Different physicochemical investigations of churna and its raw materials were carried out using standard pharmacopoeial methods, including determination of alcohol soluble extractives, water soluble extractives, total ash, acid insoluble ash, loss on drying and pH determinations [5, 13].
Determination of powder flows properties
Physical characteristics like bulk density, tap density, angle of repose, Hausner’s ratio and Carr's index were determined for the Churna formulations [14].
Qualitative phytochemicals investigation
Comparative qualitative chemical tests were carried out for Panchasakara Churna and its ingredients on their different extracts of various polarities. These phytochemicals screening included tests for alkaloids, tannins, steroid, glycoside, flavonoids, saponins, carbohydrates, terpenoids and proteins [15].
Determination of toxic contaminants
Heavy metal determination
Heavy metal analysis of Panchasakara Churna was performed using PERKIN ELMER AAS-200 instrument. As per protocol, sample digestion was carried out by multi-acid digestion system for Lead (Pb), Cadmium (Cd), Copper (Cu), Zinc (Zn), Nickel (Ni) and Chromium (Cr) [16]. After completion of the digestion process, the filtered samples were analysed by Atomic Absorption Spectrometer (AAS). However being volatile, Mercury (Hg) and Arsenic (As) were digested using Nitric acid-Hydrochloric Acid-Potassium Permanganate system before analysis [17]. The Mercury Vapour Atomization (MVA) and Hybrid Vopour Generation (HVG) attachments were utilised for AAS analysis of Hg and As respectively. The standards of Lead (Pb), Cadmium (Cd), Arsenic (As), Mercury (Hg), Cupper (Cu), Zinc (Zn), Nickel (Ni) and Chromium (Cr) were purchased from Merck, Germany and utilised for development of the respective calibration curves for these metals.
Microbial limit test
Microbial analysis was carried out as per standard procedure mentioned in Ayurvedic Pharmacopoeia of India. It included total bacterial count, total fungal Count, presence of pathogens like Escherichia coli, Salmonella ebony, Pseudomonas aeruginosa and Staphylococcus aureus [18].
Thin layer chromatographic (TLC) study
Sample preparation
Accurately weighed 1g of samples of churna and its ingredients were separately dissolved in 20 ml methanol and refluxed on a water bath at 90-100 °C for 15 min. They were filtered and evaporated up to 5 ml in a porcelain dish and taken for TLC profiling.
Solvent system
The solvent system-Toluene: Ethyl Acetate: Formic acid (7.3:2.5:0.2 v/v), showing best separation through trial and error, was used for developing the TLC plates.
Development
Methanolic extracts of Churna and its ingredients were applied on 0.2 mm precoated Silica Gel 60 F254 plates (Merck KGaA) and developed in the above-mentioned solvent system.
Visualization
The developed TLC plates were examined under ultraviolet light at 254 nm and 366 nm [19]. The Rf values of the resolved spots were noted.
RESULTS
Pharmacognostical study
The in-house Panchasakara churna was found to be brownish yellow in colour with aromatic and pungent odour and tasted salty, aromatic and pungent. The tested foreign matter content of the churna ingredients were less than 0.5 % (w/w) as per the requirements of Ayurvedic Pharmacopoeia of India (API). In fluorescence study, the Churna and its ingredients exhibited characteristic fluorescence colours as such as well as after the treatment with different reagent solutions towards ordinary light and ultraviolet light (both 365 nm and 254 nm wavelengths) as reported in table 1.
Table 1: Fluorescence analysis of Panchasakara churna
Powdered drug |
Visible/daylight |
Ultraviolet light |
|
254 nm |
366 nm |
||
Powder as such |
Crimson to dark brown |
Light yellow |
Powder as such |
Powder+conc. HCl |
Yellowish grey |
Green |
Powder+conc. HCl |
Powder+10% K 2Cr 2O7 |
Dark brown |
Fluorescent green |
Powder+10% K 2Cr 2O7 |
Powder+1 M NaOH |
Reddish orange |
Yellowish green |
Powder+1 M NaOH |
Powder+AgNO3 |
Grey |
Yellowish brown |
Powder+AgNO3 |
Powder+conc. HNO3 |
Yellowish brown |
Fluorescent green |
Powder+conc. HNO3 |
Powder+conc. H2SO4 |
Dark brown |
Greenish black |
Powder+conc. H2SO4 |
Powder+Br2 water |
Dark brown |
Dark brown |
Powder+Br2 water |
Powder+Methanol |
Light brown |
Yellow |
Powder+Methanol |
Powder+CH3COOH |
Light brown |
Yellow |
Powder+CH3COOH |
Powder+NH3 |
Dark brown |
Fluorescent green |
Powder+NH3 |
Powder+I2 |
Black |
Fluorescent green |
Powder+I2 |
In the powder microscopic analysis of Panchasakara Churna (fig. 1), the diagnostic characters such as the presence of starch grains, fragmented vessel elements, oil globule, fibre indicated the presence of Shunti (Zingiber officinale). Trichomes, epidermis surface, crystal fiber, water tubes indicated the presence of Swarnapatri (Cassia angustifolia). Elements from the fibro-vascular tissue, simple fibre, epicarp in the surface, Vittae indicated the presence of Saunf (Foeniculum vulgare). Pitted Sclereids, sclereids with the wide lumen, needle shape fibre, and stone cell and starch grain were suggestive of Haritaki (Terminalia chebula).
Fig. 1: Photographs of powder microscopic of Panchasakara churna. (a) Starch grains of Shunti, (b) Fragmented vessel elements of Shunti, (c) Oil globule of Shunti, (d) Fibre of Shunti, (e)Trichomes of Swarnapatri,(f) Epidermis, surface view of Swarnapatri, (g) Crystal fiber of Swarnapatri, (h) Water tubes of Swarnapatri, (i) Elements from the fibro- vascular tissue of Saunf,(j) Simple Fibre of Saunf, (k) Epicarp in surface view of Saunf, (l) Vittae of Saunf, (m) Pitted Sclereids of Haritaki, (n) Sclereids with wide lumen of Haritaki, (o) Needle shape Fibre of Haritaki, (p) Stone cell of Haritaki, (q) Starch grain of Haritaki.
Determination of toxic contaminants
The microbial profile of the Panchasakara Churna was found to be satisfactory with total microbial plate count being 160 CFU/ml (below API limit of NMT 105 CFU/ml), total yeast and mould were 46 CFU/ml (below API limit of NMT 103 CFU/ml). The pathogenic bacteria, i.e. Salmonella, Pseudomonas, Staphylococcus and E. coli were also found to be absent (fig. 2, table 5). Moreover, the limits of all the API specified heavy metals in Panchasakara Churna were found within the acceptable limit (table 6).

Fig. 2: Photographs of Microbiological limit test in Panchasakara churna. (a) Escherichia coli, (b) Pseudomonas aeruginosa, (c) Salmonella ebony, (d) Staphylococcus aureus, (e) Total Fungal Count, (f) Total bacterial count
Table 3: Phytochemical Investigation of each Raw materials present in Panchasakara Churna
Material |
Extracts |
Phytoconstituents present |
Shunti |
Aqueous Extract |
A, T, G, Sa, P |
Methanolic Extract |
G, Sa, P |
|
Ethyl acetate Extract |
G, Sa, P |
|
Chloroform Extract |
C |
|
Pet. Ether Extract |
---- |
|
Swarnapatri |
Aqueous Extract |
T, Sa, P |
Methanolic Extract |
A, T, G, F, Sa, C |
|
Ethyl acetate Extract |
Sa, C, P |
|
Chloroform Extract |
A, St, G, F, C |
|
Pet. Ether Extract |
St |
|
Saunf |
Aqueous Extract |
G, Sa, C, P |
Methanolic Extract |
A, Sa |
|
Ethyl acetate Extract |
G, Sa, C |
|
Chloroform Extract |
A, F, Sa, C |
|
Pet. Ether Extract |
St |
|
Haritaki |
Aqueous Extract |
A, T, G, Sa, P |
Methanolic Extract |
A, G, Sa, P |
|
Ethyl acetate Extract |
Te, P |
|
Chloroform Extract |
St, F, Sa, C, P |
|
Pet. Ether Extract |
St |
|
Panchasakara Churna |
Aqueous Extract |
A, T, G, F, Sa, C, P |
Methanolic Extract |
A, T, G, F, Sa, P |
|
Ethyl acetate Extract |
St, G, F, C, P |
|
Chloroform Extract |
St, G, F, Sa, C, P |
|
Pet. Ether Extract |
St |
A: Alkaloids, T: Tannins, St: Steroid, G: Glycoside, F: Flavonoids, Sa: Saponins, C: Carbohydrates, P: Proteins, Te: Terpenoids.
Table 4: Physical characteristics of Panchasakara churna
Parameters |
Value* |
Tap density |
0.462±0.017 |
Bulk density |
0.382±0.013 |
Angle of repose |
43.380±0.020 |
Hausner’s ratio |
1.578±0.003 |
Carr's index |
34.66±1.73 |
Values are represented as mean±Standard deviation (n=3).
Table 5: Results of microbial load of Panchasakara churna
Microbial analysis |
Limit* |
Observation |
Total bacterial count |
NMT 105 CFU/ml |
160 CFU/ml |
Total yeast and mould |
NMT 103 CFU/ml |
46 CFU/ml |
E. coli |
Absent |
Absent |
S. spp. |
Absent |
Absent |
S. aureus |
Absent |
Absent |
P. areuginosa |
Absent |
Absent |
*As per limits mentioned Ayurvedic Pharmacopoeia of India (API).
Table 6: Heavy metal analysis of Panchasakara churna
S. No. |
Heavy metal |
Standard limit (ppm) |
Observed value (ppm) |
1 |
Arsenic |
3 ppm |
0.02 ppm |
2 |
Lead |
10 ppm |
4.33 ppm |
3 |
Mercury |
1 ppm |
0.06 ppm |
4 |
Cadmium |
0.3 ppm |
0.01 ppm |
5 |
Nickel |
NA |
4.02 ppm |
6 |
Zinc |
NA |
29.41 ppm |
7 |
Copper |
NA |
23.19 ppm |
*As per limits mentioned in Ayurvedic Pharmacopoeia of India (API). NA-Not available in Ayurvedic Pharmacopoeia of India
TLC study
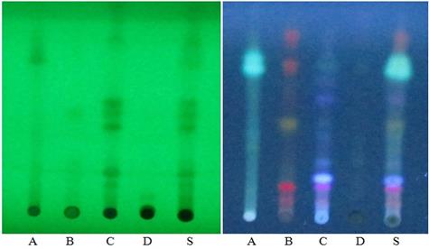
The TLC profiles of the methanolic extracts of the Churna with that of its ingredients using Toluene: Chloroform: Acetone: Ethyl acetate: Formic acid (7.3:2.5:0.2 v/v) solvent system showed good separation of its components with characteristic spots at Rf 0.76, 0.59, 0.10, 0.82, 0.05, 0.46 indicating presence of Shunti, Swarnapatri, Saunf, Haritaki respectively. The results of the TLC study at 254 nm and 366 nm are shown in table 7-Table 8 and plate images shown in fig. 3.
Table 7: TLC Screening of raw materials vs. Panchasakara Churna at 254 nm
Rf Values |
||||
Track A (Shunti) |
Track B (Swarnapatri) |
Track C (Saunf) |
Track D (Haritaki) |
Track S (Panchasakara Churna) |
0.42 |
0.06 |
0.02 |
0.05 |
0.05 |
0.76 |
0.12 |
0.10 |
- |
0.10 |
- |
0.59 |
0.17 |
- |
0.12 |
- |
- |
0.29 |
- |
0.17 |
- |
- |
0.31 |
- |
0.29 |
- |
- |
0.34 |
- |
0.31 |
- |
- |
0.82 |
- |
0.34 |
- |
- |
- |
- |
0.42 |
- |
- |
- |
- |
0.59 |
- |
- |
- |
- |
0.76 |
- |
- |
- |
- |
0.82 |
Table 8: TLC Screening of Raw materials vs. Panchasakara Churna at 366 nm
Rf Values |
||||
Track A (Shunti) |
Track B (Swarnapatri) |
Track C (Saunf) |
Track D (Haritaki) |
Track S (Panchasakara Churna) |
0.03 |
0.06 |
0.02 |
0.16 |
0.02 |
0.42 |
0.12 |
0.05 |
0.46 |
0.05 |
0.76 |
0.59 |
0.08 |
0.53 |
0.06 |
- |
0.74 |
0.10 |
- |
0.08 |
- |
0.80 |
0.18 |
- |
0.10 |
- |
- |
0.25 |
- |
0.25 |
- |
- |
0.56 |
- |
0.42 |
- |
- |
0.58 |
- |
0.46 |
- |
- |
- |
- |
0.59 |
- |
- |
- |
- |
0.76 |
- |
- |
- |
- |
0.80 |

Fig. 3: Photographs of TLC plates of Panchasakara Churna and individual ingredients at 254 nm and 366 nm before derivatization. (A) Shunti, (B) Swarnapatri, (C) Saunf, (D)Haritaki, (S) Panchasakara churna
DISCUSSION
Pharmacognostical study
Herbal drugs should be free from foreign matters such as other parts of the same plant or other plants, moulds or insects, including excreta and visible contaminant and chemical residues. Hence, limits for foreign matters are specified in herbal pharmacopoeias. As per the requirements of API, the foreign matter content of Panchasakara churna ingredients was found to be below acceptable limits.
Organoleptic properties are the aspects of food or other substances as experienced by the senses, including taste, sight, smell and touch. Confirmation with organoleptic characteristics is considered as part of acceptance criteria of herbal drugs. Again, many plant constituents show fluorescence in the visible or ultraviolet range of light as such or by applying different reagents. Thus, many crude drugs are assessed qualitatively by fluorescence analysis. In our study, Panchasakara churna was characterized for its organoleptic properties as well as fluorescence characteristics.
Powder microscopy is used to study the specific microscopical characters of medicinal plants using different staining reagents. These studies are very useful diagnostic tools for the standardization of crude drugs and identification of adulterants. In the powder microscopic analysis, the diagnostic microscopic features in Panchasakara Churna were able to confirm the presence of its ingredients (fig. 1).
Physicochemical investigation
Established physicochemical standards of herbal products facilitate the evaluation of consistency and quality in routine industrial production. Among these parameters, moisture content (loss on drying) determines both water and volatile matter, total ash measures the amount of materials remaining after ignition and acid insoluble ash measures the amount of silica present especially sand and siliceous matter. On the other hand, extractive values are useful for evaluation of consistency and amount of chemical constituents present in crude drugs. The standards of these physicochemical parameters of Panchasakara Churna were, therefore, assessed and presented in table 2. Moreover, the aqueous suspension of the prepared churna showed pH of 6.697 and 2.4% w/w loss on drying at 105 °C.
Qualitative phytochemicals investigation
Factors like geographical location, climate, harvest time, part used and method of processing affect the chemical composition of the herbal drugs. In this relation, the comparative phytochemicals evaluation of Panchasakara Churna and its individual ingredients in solvents of different polarity were carried out and presented in table 3. The preliminary phytochemicals screening of different extracts of Panchasakara Churna revealed the presence of phytoconstituents like alkaloids, tannins, steroids, terpenoids glycoside, flavonoids, saponins, carbohydrates and proteins. The presence of these constituents in Panchasakara Churna may be essential for its usefulness in constipation and piles.
Physical characteristics of Panchasakara churna
Powder flow is a key requirement for the pharmaceutical manufacturing process. Understanding of powder flow is crucial during mixing, packaging and transportation. There are various compendia methods available to measure the powder flow such as: measurement of the angle of repose, bulk density, tapped density, Carr’s compressibility index and Hausner’s ratio. The bulk density of the powder is the ratio of the mass of an untapped powder sample and its volume including the contribution of the inter-particulate void volume. Hence, the bulk density depends on both the density of powder particles and the spatial arrangement of particles in the powder bed. The tapped density is an increased bulk density attained after mechanically tapping a container containing the powder sample. Particle size influences flowability. Fine particles with smaller bulk/tapped density, are less free-flowing, whereas larger denser particles tend to be free flowing. Again, Hausner’s ratio of<1.25 indicates a powder that is free flowing whereas>1.25 indicates poor flowability. Again, smaller the Carr’s Index the better the flow properties. For example, 5-15 indicates excellent, 12-16 good, 18-21 fair and>23 poor flow. As per the parameters tested, the flowability of our in-house churna formulation was found to be poor with low tap density and bulk density values as well as high values of Hausner’s ratio and Carr’s index.
Determination of toxic contaminants
Because of their origin, herbal drugs are subjected to contamination by microorganisms from soil, air and water which may present potentially pathogenic microorganisms to man. The presence of microbial contaminants in herbal products can reduce or even inactivate the therapeutic activity of the products and has the potential to affect adversely patients taking these medicines. Thus, manufacturers should ensure the lowest possible level of microorganisms in the raw material, finished dosage forms and the packaging components to maintain appropriate quality, safety and efficacy of the natural products. The contaminations of toxic heavy metals in plants could develop serious health problems because there is a narrow concentration range between the deficiency and toxicity levels of the heavy metals in human [20]. The WHO has emphasized on various standard analytical techniques for the analysis of toxic heavy metals in plant products to ascertain their safety [21]. In our study with in-house Panchasakara Churna formulation, the microbial profile was found to be satisfactory with total microbial plate count, yeast and mould count being below respective API limits. Moreover, the API listed pathogenic bacteria, i.e. Salmonella, Pseudomonas, Staphylococcus and E. coli were found to be absent. In addition, the limits of all the specified heavy metals in the Churna were found within the API acceptable range.
TLC study
TLC is an important tool by which the quality control and fingerprint of herbs can be maintained. It also helps to identify the presence or absence of the individual herbs in combination herbal formulations. Hence, the TLC profiling of Panchasakara Churna was carried out to develop unique TLC spots in the formulation as an identifier of its every ingredient. The most suitable solvent system for TLC profiles of the methanolic extracts of Panchasakara Churna was found to be Toluene: Chloroform: Acetone: Ethyl acetate: Formic acid (7.3:2.5:0.2 v/v). It showed characteristic spots at unique Rf values for all of its components, i.e., Shunti, Swarnapatri, Saunf and Haritaki. The Saindhava lavaṇa, being an inorganic component, was not considered for TLC profiling.
CONCLUSION
In the present work, the classical Ayurvedic formulation Panchasakara Churna was characterized by pharmacognostic, physicochemical, pharmaceutical, microbiological, toxicological and chromatographic parameters as per the present standards of Ayurvedic Pharmacopoeia of India (API). Standardization guidelines provided by World Health Organization (WHO), European Agency for Evaluation of Medicinal Products (EMEA) and the United States Pharmacopoeias (USP) were also considered [22-24]. This study may be utilised for rapid authentication fingerprints for the formulation, achieving batch-to-batch consistency and preparing a concise quality monograph for Panchasakara Churna.
CONFLICT OF INTERESTS
Declare none
REFERENCES