
Department of Biochemistry, Immunology laboratory, North-Eastern Hill University, Shillong 793022, Meghalaya, India
Email: sthitidutta7@gmail.com
Received: 04 Feb 2016 Revised and Accepted: 15 Mar 2016
ABSTRACT
Objective: N-Nitroso-dibutyl amine (DBN) is an established hepatocarcinogen in rodents and its effects on the liver of Swiss albino mice have been examined. The observed alteration in marker enzymes activities indicates hepatic dysfunction and damage to the liver caused by DBN-treatment in mice. This study was aimed to check the carcinogenic effects of DBN exposure on liver mitochondria.
Methods: DBN at a dosage of 10 mg kg-1 body weight in 5 % ethanol was administered intravenously weekly for a period of 16 w to induce cancer. Cancer induction was followed by monitoring the activities of marker enzymes such as acetylcholine esterase (AChE), glutathione-S-transferase (GST) and gamma-glutamyl transpeptidase (GGT), which was further supported by the histological examination of liver tissue. Transmission electron microscopy was done to see the alterations in the morphology of the liver mitochondria. Liver mitochondrial membrane proteins were isolated, and proteomic analysis was done.
Results: Our preliminary observations indicated significant alterations in the activities of liver marker enzymes [GGT and AChE significantly elevated (<0.025 and<0.0001) whereas GST significantly decreased<0.0001] and in the morphology of liver mitochondria in mice upon DBN exposure. The shape and size of liver mitochondria were found to be highly disrupted and contained large vacuoles, enlarged cristae compartments in comparison to that of the normal control mice. The protein concentration was significantly elevated (<0.0001) in treated mice. The proteomic analysis of the liver mitochondrial membrane surface proteins showed differential expression in DBN-treated mouse compared to that of the normal control. A protein of approximately 14 kDa was found to be overexpressed in the case of DBN treated mice which was seen in a trace amount in normal control. Overexpressed protein was found to be anionic in character.
Conclusion: It was evident from the present study that a weekly dosage of DBN with 5 % ethanol for 16 w induces hepatocarcinoma in mice. These results suggested that alterations in the morphology of mitochondria, differential expression of mitochondrial proteins upon DBN exposure are associated with mitochondrial dysfunction in the liver.
Keywords: N-Nitroso-dibutyl amine, Hepatocarcinogen, Carcinogenesis, Mitochondrial dysfunction
© 2016 The Authors. Published by Innovare Academic Sciences Pvt Ltd. This is an open access article under the CC BY license (http://creativecommons.org/licenses/by/4.0/)
INTRODUCTION
Exposure of humans to nitrosamines or to their precursor compounds is associated with high risks of cancer. Nitrosamines are chemical compounds most of which are carcinogenic. N-Nitroso-dibutyl amine (DBN) is a class of nitrosamine, which is reasonably anticipated to be a human carcinogen based on sufficient evidence of carcinogenicity in experimental animals [1]. DBN possess the ability to induce bladder tumor as well as in the liver esophagus when it is administered orally [2]. It was hypothesized that O-6 alkylation of guanine leads to the inability of the guanine residue to undergo normal base pairing with cytosine and thus may lead to “transition” mispairing, resulting in mutation [3]. Carcinogenesis can be enhanced with relatively low daily doses of ethanol. Ethanol is not a carcinogen, but under certain experimental conditions is a co-carcinogen and/or (especially in the liver) a tumor promoter [4]. A study where high amounts of alcohol were given to mice suggests that it accelerates their cancer growth by speeding up the loss of body fat and depressing immune activity [5].
Mitochondrial defects have long been suspected to play an important role in the development and progression of cancer [6]. Considering that most tumor cells were resistant to apoptosis, so such resistance might relate to the particular properties of mitochondria in cancer cells that were distinct from those of mitochondria in non-malignant cells. Mitochondrial dysfunction in the tumor was first observed in 1926 by Otto Warburg. Warburg hypothesis postulates that tumorigenesis was driven by an insufficient cellular respiration which was due to the defect in mitochondria [7]. In addition, local acidification of the tumor microenvironment may facilitate tumor invasion [8].
Mitochondria play an important role in apoptosis. Mitochondria from cancer cells were often resistant to the induction of mitochondrial outer membrane permeabilization (MOMP), a process which mediates the intrinsic pathway of apoptosis [9, 10]. MOMP is an extremely complex phenomenon that is regulated by proteins from the Bcl-2 family [11], proteins contained in the permeability transition pore complex [12], proteins that affect mitochondrial dynamics (fusion and fission) [13, 14] and even transcription factors (such as the tumor-suppressor protein p53) that can translocate from the nucleus to mitochondria to stimulate MOMP [15]. Mitochondria were affected early in the apoptotic process and are now thought to act as central coordinators of cell death [16].
Warburg suggested that cancer is caused by damage of mitochondria. A number of additional metabolic alterations associated with mitochondrial function have been observed in cancer cells, including increased gluconeogenesis [17], reduced pyruvate oxidation and increased lactic acid production [18], increased glutaminolytic activity [19], and reduced fatty acid oxidation [20]. The activities of certain enzymes integral to the process of oxidative phosphorylation are known to be decreased in cancer versus normal cells. For example, the measured maximal velocity for ATPase activity in mitochondria [21] and submitochondrial particles [22-24] isolated from hepatocellular carcinoma is considerably lower than that in normal liver.
Targeting the mitochondria appears to be a promising strategy for the search of novel anticancer treatment as well as the drugs. The potential of this field may be utilized in the identification of new markers and risk assessment as well as therapeutic targets.
MATERIALS AND METHODS
Materials
N-Nitroso dibutyl amine (DBN), Acetylcholine chloride, Acrylamide, Albumin bovine, Ammonium persulphate (APS), Brilliant Blue G, 5,5’-dithiol bis-(2-nitrobenzoic acid) (DTNB), Ethylene diamine tetraacetic acid (EDTA), L-γ-Glutamyl-p-nitroanilide, Glycylglycine, 2-Mercaptoethanol, N,N’-Methylene bisacrylamide, Polyoxyethylene sorbitan monolaurate (Tween 20), CM-Sephadex C50, Sodium Lauryl Sulphate (SDS), N,N,N’,N’-Tetramethyl ethylene diamine (TEMED), Triton-X-100, Trizma base [tris-(hydroxymethyl)-aminomethane] were obtained from Sigma Chemical Co., USA. Protein Molecular weight markers, Bromophenol Blue, DPX, Eosin 2%, Glycine, Hematoxylin, Coomassie Brilliant Blue R-250, 1-Chloro-2, 4-dinitro benzene (CDNB), Ethanol and all other chemicals were of analytical grade procured from various indigenous sources.
Animals
Swiss Albino female mice of around 6 to 8 w old were (BALB/c) used in the experiment was procured from the Pasteur Institute Shillong. Animals were bred at the animal house of the department by random inbreeding and were kept on basal diet ad libitum and housed in plastic cages in a temperature controlled animal room (21±2 °C) with a 12 h light and dark cycle. The mice weighed 25-27 g at the start of the experiment. All animal procedures were performed according to approved protocol and in accordance with recommendations for the proper use and the care of the laboratory animals. The protocols were approved by Institutional Ethics Committee (Animal models) on a meeting held on 21st April 2014 at North Eastern Hill University, Shillong, Meghalaya-22.
Cancer induction
A weekly dose of 10 mg kg-1 body weight of DBN in 5% ethanol was prepared and administered intravenously in healthy female mice of 6-8 w old for a period of 16 w. Animals were divided into two groups.
Group 1: Normal control, Age-matched healthy female mice.
Group 2: Treated, DBN in 5% ethanol (10 mg kg-1 body weight).
Mice were sacrificed at the end of treatment as required. All treated mice were checked for carcinogenesis by monitoring the activities of liver marker enzymes such as acetylcholine esterase (AChE), glutathione-S-transferase (GST) and gamma glutamyl transpeptidase (GGT). Hepatocarcinomas were confirmed by the histological examination of liver tissue from the treated mice. The variations in the body weight and other morphological changes from the 8th week onwards during the study period were recorded for both the groups at regular interval of 2 w till the 16th week. Age-matched sham-treated mice served as control.
Tissue preparation for enzymatic assay
After completion of treatment, the mice were killed by cervical dislocation and the liver was excised and removed quickly, rinsed in ice-cold normal saline (0.9% Sodium chloride), blotted dry and weighed. A 10% homogenate was then prepared in chilled 0.25 mol sucrose solution and centrifuged at 20,000 x g for 30 min at 4 ˚C. The resulting supernatant was used for enzyme assays using modified procedure as described earlier [25]. Total protein content was estimated by Bradford method [26].
Marker enzyme assays
Gamma-glutamyl transpeptidase (GGT), Acetylcholine esterase (AChE) and Glutathione S-transferase (GST) activities assays were carried out by the methods described [27-29] respectively with slight modifications as described earlier [25].
Preparation of histological sections
For histological examination of the liver tissues from DBN treated and normal mice microtome technique was used. In brief liver tissues were fixed in Bouin’s solution. Tissues were washed thoroughly under running tap water. Dehydration was carried by placing tissues in an increasing alcoholic grade from 30% to 100%. Ethanol was cleared by placing the tissue in xylene. Tissues were embedded in paraffin wax. Blocks were prepared, trimmed and the ribbon was cut and mounted on slides, dried, and the wax was removed by xylene followed by rehydration with alcohol by reducing concentration from 100% to 30%. Slides were stained with hematoxylin and eosin, and again dehydration was done with 90% and 100% ethanol. A drop of DPX was placed on the slide and cover slip was placed over it. After two days of drying, slides were examined microscopically.
Transmission electron microscope (TEM) studies of liver mitochondria
Protocol for preparation of the sample was obtained and standardized by sophisticated analytical Instrumentation Facility (SAIF) laboratory in NEHU [30].
Isolation of mitochondria
Intact liver mitochondria were isolated from mice by the method described [31] with some modification. In brief, the mouse was starved overnight before the experiment. Mice were killed by cervical dislocation, and liver was rapidly excised and washed with ice-cold isolation buffer and was minced 0.5 ml of isolation buffer was added to the minced liver and homogenized. Homogenate was then centrifuged at 600 x g at 4 ˚C for 10 min. Supernatant was collected and again centrifuged at 7000 x g for 10 min at 4 ˚C. Supernatant was discarded, and the pellet was re-suspended in 5 ml of isolation buffer and centrifuged for 10 min at 4 ˚C at 7000 x g. Supernatant was discarded, and the pellet containing mitochondria was re-suspended and stored on ice.
Isolation of mitochondrial membrane protein
Mitochondrial membrane protein was extracted by the method described by Frilabo [32] with slight modifications. In brief, isolated mitochondria was re-suspended in 1/3 packed cell volume of lysis buffer. The suspension was homogenized with 0.5% Tween 20 and 0.5 mol potassium chloride (KCl). The mitochondrial lysate was then spun at 100 000 x g in ultracentrifuge at 4 ˚C for 1 h. Supernatant containing the membrane protein was collected carefully and stored at-80 ˚C. Total protein concentration was estimated by Bradford method [26].
Extraction of mitochondrial membrane surface protein
The mitochondrial membrane protein extracts were subjected to SDS-PAGE (15%) analysis with a protein molecular weight marker containing proteins of molecular weight ranging from 43 kDa to 3 kDa. The gel was run at a current of 60 mA using Mini-PROTEAN Electrophoresis Cell from BioRad. The gels were stained with coomassie brilliant blue.
Purification of mitochondrial protein and its SDS-PAGE analysis
CM-Sephadex C50 were swollen overnight in the phosphate buffer (pH 6.5), packed into the column and was equilibrated with the buffer overnight. Mitochondrial protein extract was then loaded onto the Sephadex column. The unbound proteins were eluted with the phosphate buffer for 1 h. Bound proteins were then eluted with a salt gradient of 0 to 100 mM sodium chloride in the same buffer for 1h. Fractions collected were measured at an absorbance of 280 nm. The fractions corresponding to the peak in the unbound region obtained from cation exchanger were subjected to run SDS-PAGE for the profiling.
Preparative SDS-PAGE analysis of unbound proteins
The fractions corresponding to the peak in the unbound region obtained from cation exchanger were subjected to run on preparative SDS-PAGE for final purification of the desired protein. A longitudinal section of the gel corresponding to the crude extract lane was cut and stained which was used as a reference to locate the exact position of the TAA in the rest of gel. The portion of the gel corresponding to the TAA was cut out of the unstained gel. It was cut into small pieces and homogenized in 3% 1-butanol. The homogenate was centrifuged at 8000 x g for 30 min at 4˚C. The supernatant was collected and the pellet was collected and the pellet was re-suspended in 3% 1-butanol and centrifuged. The supernatant collected was pooled, dialyzed against distilled water overnight and lyophilized. It was then run on an SDS-PAGE gel for homogeneity of TAA.
Statistical analysis
All the values are expressed as mean±SEM. Statistical analysis was carried out using Graph Pad Prism.
RESULTS
After 16 w of complete treatment some physiological and morphological changes were seen in DBN treated mice. DBN treated mice were seen to more lethargic accompanied with weight loss as compared to those of control as shown in table 1. The weight of the normal mice was found to more than treated mice.
However, when liver was excised significant morphological changes were seen in the liver from DBN treated mice (fig. 1). Liver from DBN treated mice was found to be enlarged and weighed more than the liver from control mice (table 1). Liver tissues of DBN treated mice were seen to be swollen and had hardened as shown in (fig 1). White patches and nodule formation were also seen in treated mice which were absent in normal age-matched mice.
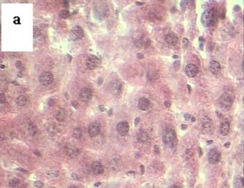
Histological examination of the liver
Liver tissues of DBN treated mice, and normal control age-matched mice were examined microscopically at a magnification of 40x (fig. 3). Significant morphological changes were seen in the liver cells following DBN treatment upon comparison with age-matched normal control mice. When compared liver tissues cells of control mice were found to be in regular morphology, cell to cell contact was seen. Hepatocytes in normal mice had well-defined outlines with mono and bi-nucleated cells. In the cell of the liver tissues of treated mice no regular morphology was seen, cells showed variations in shape and size. Loss of cell to cell contact. Most of them were seen having an irregular outline and to be multinucleated.
Table 1: Weight of mice and mice liver
Sample |
Mice (g) |
Liver (g) |
Control |
32.3±0.210 |
0.7±0.112 |
Treated |
26.1±0.298**** |
1.1±0.033** |
Each value shows mean±SEM; n=10. ****p<0.0001 denotes when the weight of control mice compared with treated mice; **p<0.0030 when the weight of the control liver was compared with treated liver.
Fig. 1: Mouse liver photographs (a) Normal control mice (b) N-Nitrosodibuytlamine (DBN) treated mice. Swelling and nodules were observed in the liver excised from DBN treated mice
Fig. 2: 2a Gamma-glutamyl transpeptidase (GGT) activity assay. The values in the bars are expressed as mean±SEM; n=10. *p˂0.025 when control was compared to treated. 2b Acetylcholine esterase (AChE) activity assay. The values in the bars are expressed as mean±SEM; n=10. ****p˂0.0001 when control was compared to treated. 2c Glutathione S-transferase (GST) activity assay. The values in the bars are expressed as mean±SEM; n=10. ****p˂0.0001 when control was compared to treated
Fig. 3: Microphotographs of the histological section at 40x of liver from (a) normal control mice and (b) N-Nitrosodibutylamine (DBN) treated mice showing distorted and multinucleated cells. The slides were stained with hematoxylin and eosin. Slides were examined microscopically after drying
![]() |
![]() |
![]() |
![]() |
![]() |
![]() |
Fig. 4: Microphotographs of the liver mitochondria from normal control mice and N-nitroso dibutyl amine (DBN) treated mice at different magnification 2000x, 12000x, 15000x. (a) Mitochondrial population from treated mice at 2000x. (b) Mitochondrial population from normal mice 2000x. (c) Defragmented and denser cristae in treated mice at 12000x. (d) Normal mitochondria at 12000x. (e) Diffused membrane, larger vacuoles and deformed mitochondria in treated mice at 15000x. (f) Normal mitochondria at 15000x
Isolation and morphological studies of the liver mitochondria
Transmission electron microscopy of the mitochondrial morphology
On comparing the micrographs obtained from TEM at various magnifications 2000x, 10000x, 15000x (fig. 4) significant changes were observed. Electron microscopy pictures revealed that mitochondria were barely identifiable in the case of DBN treated mice. It was found that most of the mitochondria from DBN treated mice had distorted and looked like remnants (fig. 4b). Mitochondria showed variability in number (fig. 4a and 4b), size and shape (fig. 4c and 4d). The cristae membranes had greatly reduced and disorganized in the case of the treated mice whereas in normal mice they looked normal and organized. Cristae appeared denser and mitochondrial fragmentation was seen in treated mice.
The inner and outer membrane of the mitochondria was found to be disrupted, and most of the mitochondria were condensed. They were found to have larger vacuoles whereas the mitochondria in control mice showed no such changes. They had well-defined membrane along with normal vacuoles.
Total mitochondrial protein concentration
Total mitochondrial protein concentration in treated mice was estimated using Bradford method. The protein content was found to be significantly higher in DBN treated mice than in control mice (fig. 5).
Fig. 5: Total mitochondrial membrane surface protein estimation. The values in the bars are expressed as mean±SEM; n=10 . ****p<0.0001 when control compared with treated
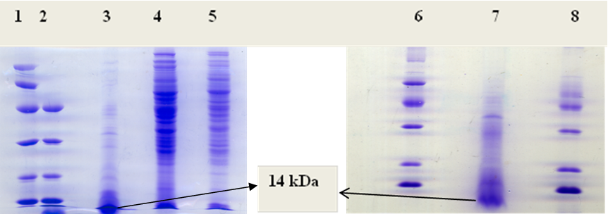
Fig. 6: SDS-PAGE analysis of the extracted mitochondrial membrane surface protein obtained from N-Nitrosodibutylamine (DBN) treated mice and normal control mice. A gel consisting of 15% (w/v) acrylamide was used for running the sample. Gel was stained using Coomassie blue and destained with methanol, acetic acid and water (4:1:5). Lane (a) Low weight molecular marker, Lane (b) Medium weight molecular marker, Lane (c) DBN treated extract and Lane (d) Normal control mice. A protein of approximately 14 kDa was seen to be overexpressed in the lane 3 containing DBN treated extract
SDS-PAGE analysis of the isolated mitochondrial membrane protein and identification of the tumor-associated antigens (TAA)
SDS-PAGE analysis of mitochondrial membrane protein
Mitochondrial membrane protein extracts from both normal and treated were analyzed on SDS-PAGE. Differential expression of proteins was seen in the liver mitochondrial membrane of treated mice. A protein of approximately 14 kDa was found to be prominently overexpressed in treated mice which were also found to be present in normal mice in trace amount (fig. 6).
Purification of the TAA
Cation exchange chromatography
A cation exchanger CM-Sephadex C50 was used for the purification. The elution profile of the cation exchange chromatography is shown in (fig. 7). It was found that most of the proteins eluted out in the unbound fractions (fig. 7). Some minor peaks were also seen in the bound region.
Fig. 7: CM-Sephadex C50 a cation exchange protein profile of the liver mitochondrial surface membrane protein from DBN treated mice
SDS-PAGE analysis of purified protein
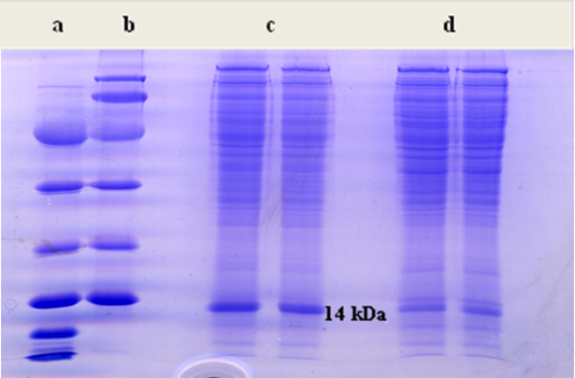
SDS-PAGE analysis confirmed that the protein of interest was eluted out in unbound fraction shown in (fig 8). The protein was therefore confirmed to be anionic in character. A prominent band was observed in the lane loaded with the fractions of the unbound region. The identified band of protein was approximately found to be of 14 kDa, which was found to absent in the bound fractions region of the elution profile.
Fig. 8: SDS-PAGE analysis of the unbound fractions obtained from the cation exchange column chromatography of the DBN treated extract. Lane 1 and 6: medium weight molecular marker, Lane 2 and 8: Low weight molecular marker, Lane 3 and 7: Unbound fractions, Lane 4: DBN treated extract and Lane 5: control
Preparative SDS-PAGE for purification of the TAA
As a single band couldn’t be obtained from the ion exchange chromatography, an additional purification step was carried out. The fractions corresponding to the peaks were pooled together, dialyzed against distilled water, concentrated and further purified using preparative SDS-PAGE. The TAA recovered from the preparative SDS-PAGE was subjected to an SDS-PAGE gel and a single band corresponding to the 14 kDa protein was obtained as shown in the (fig. 9).
Fig. 9: Preparative SDS-PAGE purified TAA. The portion of the gel corresponding to the TAA was cut out of the unstained gel. It was cut into small pieces and homogenized in 3% 1-butanol. The homogenate was centrifuged at 8000 g for 30 min at 4˚C. The supernatant collected was pooled and dialyzed. Lane 1: Purified TAA and Lane 2: DBN treated extract
DISCUSSION
Weekly intravenous administration of DBN (10 mg kg-1 body weight) in 5% ethanol up to a period of 16 w induced hepatocarcinogenesis in Swiss albino mice. Many changes such as hardening of the tissues, swelling, white patches, and formations of nodules were observed in liver from the N-Nitrosodibutylamine (DBN) treated mice which were not seen in any normal control mice (fig. 1). Reports available stated that the initiation of carcinogenesis is induced by nitrosamine upon its coupling with proliferative stimuli especially in the liver [33]. From these results, it seems likely that cancer initiating events involves some form of carcinogen-DNA interaction leading to multiple alterations in structure and functions of the normal cells.
Initiation of carcinogenesis is usually accompanied by the abnormal production of the enzyme, proteins, and hormones. Carcinogenesis induction in mice in the present investigation was confirmed by monitoring the activities of enzyme markers i.e. GGT, AChE, and GST. GGT activity was significantly found to be higher in treated mice as compared to that of normal control mice (fig. 2a). The GGT expression was interpreted as an early marker of neoplastic transformation. In liver, GGT activity has been recognized as a positive and sensitive marker for the diagnosis of hepatocellular transformation [34]. It has been widely used as a marker in preneoplastic lesions in the liver during chemical carcinogenesis [35]. Since carcinogenesis is accompanied by changes in the membrane, so assay of AChE was chosen as second marker enzyme as it is a membrane-bound enzyme. Liver tissues of the treated mice showed a higher activity of AChE than the normal control (fig. 2b). Elevation in the activity of AChE has been related to changes in the membrane of the liver cells and also served as evidence for loss of membrane integrity [36]. The activity of GST was found to lesser in DBN treated mice when compared to that of normal age-matched mice (fig 2c). GST is known as detoxification enzyme, and a decrease in the activity of this enzyme showed the acceleration in the pathogenesis of liver cancer [37]. The decrease in GST activity in DBN-treated mice signifies that it leaves the cell vulnerable to these agents. These observed changes in marker enzymes activities are in accordance with earlier findings [25].
Histological studies were done for the verification and for monitoring the success of cancer induction. Many changes were observed when the histological liver sections from treated and normal were compared. Liver cells in DBN treated mice were found with poorly defined cell boundaries, irregularity in sizes and shapes, the absence of a cell to cell contact. Most of the cells were found to be multinucleated, and nuclei appeared to be more densely stained which may be due to condensed chromatin. Whereas the liver cells of normal mice did not show any such changes and most of the cell had well-defined morphology and found to be single or binucleated (fig. 3). The observed morphological changes further indicated that cells are in a state of rapid division, loss of functions and supported the progression of cancer induction.
The main target of the present investigation was to see whether DBN effects the liver mitochondria and its surface membrane protein or not. Transmission electron microscopy allows seeing the mitochondrial morphology and their overall organization. So to see the morphological changes TEM was done. Intact mitochondria isolated from the liver of both treated and control mice were observed microscopically. A drastic distortion in shape and size and abnormalities in the population of mitochondria was observed in the present study (fig. 4). Mitochondria from the treated mice appeared to bigger in size than from the normal. It was reported in the studies that mitochondria are barely identifiable in hepatocellular carcinoma, and looked like mitochondrial ghosts [38]. The cellular function of mitochondria is reflected in their structure [39]. Defects in mitochondrial function have been suspected to play an important role in the development and progression of cancer [40, 41]. Highly disrupted membrane and large vacuoles were seen in treated mice. Enlarged, denser and distorted cristae compartments were also found in DBN treated mice which were seen in regular and normal condition in normal mice. The mitochondrial swelling with distortion of the cristae was found to be associated with hypoxic–ischemic conditions [42]. It’s been reported that mitochondrial swelling with partial or total cristolysis suggests that the ability of neoplastic cells to generate ATP by mitochondrial oxidative phosphorylation would be diminished [43]. Studies have shown that mitochondrial morphology is crucially linked to energy metabolism resulting enhanced respiration which correlates with an enlarged cristae compartments and interconnected network [44]. Mitochondria from the treated mice seemed to be diffused and fragmented. It has been showed in studies that mitochondria from the liver tumors were more fragile than from the normal liver mitochondria [45]. Mitochondrial fragmentation is the result of excessive fission, and small punctuate mitochondria can be derived from mitochondrial fission [46]. Fragmentation of the mitochondrial network appears to occur in those situations where the mitochondrial inner membrane potential was abnormal [47] and was in response to oxidative phosphorylation impairment [48]. The fragmentation of mitochondria does not found to evoke apoptosis [46].
An attempt was also made for proteomic analysis of the liver mitochondrial membrane surface proteins in DEN-treated animals. The SDS-PAGE analysis of liver mitochondrial membrane protein extract showed differential expression of surface membrane proteins in mice upon DBN exposure as compared to that of the normal control (fig. 6). Several proteins were found up-regulated or over-expressed upon comparison with the normal. The observed alteration in protein expression clearly indicated that DBN has inflicted major changes in the membrane of mitochondria. These changes could be involved in causing distortions and alterations of the mitochondrial membrane during DBN treatment. The protein of interest was found to be anionic in character.
CONCLUSION
From the present study, it can be concluded that a weekly dosage of 10 mg kg-1 body weight of DBN in 5 % ethanol by intravenous administration induces hepatocarcinogenesis. Morphological changes in the liver tissue, marker enzyme activities of the DBN treated mice as well as the histological examination of the liver from the DBN treated mice clearly indicated that the hepatocytes were in the preneoplastic stage.
Significant changes in the morphology of the mitochondria and on the expression of the mitochondrial protein from the DBN treated mice suggested that specific mitochondrial proteins were uniquely susceptible to alterations in the expression on DBN exposure and carry the potential as therapeutic and prognostic markers. From the above findings, we concluded that DBN exposure does not only affect the liver but also brings out morphological and functional changes in mitochondria and knowledge of such mitochondrial proteins as those shown in the present study could be used to induce an immune response in cancer immunotherapy for eliminating the cancer cells those bear these antigens.
CONFLICT OF INTERESTS
Declared none
REFERENCES