
aBacteriophage Research Lab, Biomedical Sciences Department, Zewail City of Science and Technology, 6th of October city, Egypt, bBiomedical Research lab, Faculty of Pharmacy, Heliopolis University for Sustainable Development, 3 Cairo-Belbeis Road, El Horreya, Cairo, P. B. 2834, Egypt, cBiochemistry lab, Chemistry Department, Cairo University, Giza, Egypt,dBiochemistry and Molecular Biology Department, Theodor Bilharz Research Institute, Giza, Egypt
Email: zeinab.zakaria@hu.edu.eg
Received: 12 Feb 2016 Revised and Accepted: 20 Apr 2016
ABSTRACT
Objective: Pomegranate, (Punica granatum L., Lythraceae) peel has concentrated amounts of lipid-lowering elements that demonstrated, in various hoary and recent studies, their effects against obesity and hyperlipidemia, which involves elevated rates of lipid and lipoprotein levels in blood and increases risks of cardiovascular diseases.
We aim to study expression modulation of genes involved in lipid metabolism by the impact of standardized pomegranate peel extract (PPE) in a comprehensive research on human liver cells and experimental mice.
Methods: Using reverse-transcription real-time PCR, an in vitro study harnessing HepG2 cell line was conducted to determine the hyperlipidemia-related gene expression profiles and cytotoxic effects upon treatment with PPE. In another complementary in vivo study, male C57BL/6J mice were fed a high-fat diet (HFD) or an HFD supplemented with PPE for 14 d to define the expression of lipid metabolism related genes that control obesity. Fatty liver proportions were also estimated after treatment.
Results: Higher mRNA expression of LDL receptor (LDL-R) and down-regulation of sterol regulatory element-binding protein (SREBF-2), (SRBEP-1c), Fatty acid synthase (FAS) and 3-hydroxy-3-methylglutaryl-CoA reductase (HMGCR) upon PPE treatment in HepG2 cell line were significantly recorded. In vivo study indicated significant weight reduction of body and liver, besides amelioration of fatty liver state detected by histological analysis. Moreover, the reverse-transcription real-time PCR assay demonstrated suppression (FAS) expression and up regulation of hormone sensitive lipase (HSL) in mice isolated liver and white adipose tissues.
Conclusion: Our study manages to affirm the hypolipidemic and anti-fatty liver influence of Punica granatum L. peel extract, reflected by molecular evaluation above and beyond other physiological assays.
Keywords: Pomegranate, Peel extract, Hyperlipidemia, LDLR, SREBP, FAS, HMGCR, HSL
© 2016 The Authors. Published by Innovare Academic Sciences Pvt Ltd. This is an open access article under the CC BY license (http://creativecommons.org/licenses/by/4.0/)
INTRODUCTION
Obesity is a medical condition in which leftover fats of the body mass that it may have an undesirable influence on health, leading to reduced life expectancy and elevated health difficulties that includes hypertension, diabetes, dyslipidemia, and cancers [1].
Approximately, half of obesity cases involving visceral fat accumulation are compounded by fatty liver, in which triglycerides pile in large vacuoles in hepatocytes in a reversible manner. Inflammation is occasionally accompanied by the severe fatty liver in the situation referred to as steatohepatitis. Nonalcoholic steatohepatitis (NASH) develops when inflammation and steatohepatitis occur together in non-drinker people [2].
An abnormal increase of lipids and lipoproteins such as serum triglyceride (TG), total cholesterol and low-density lipoproteins (LDL), primarily as a result of some genetic causes or secondarily due to other causal roots such as diabetes, is specifically characterized and defined as Hyperlipidemia (HL), a specific condition of obesity [3-6]. HL is considered as a prime risk factor of cardiovascular diseases especially atherosclerosis and ischemic heart diseases. An array of reactions beginning with a chemical variation of low-density lipoproteins (LDL) in arterial walls through oxidation and non enzymatic glycation eventually leads to atherosclerotic lesion formation [6-8]. Lipid regulation inside the body involves chains of reactions and pathways; each employs spectra of enzymes and receptor proteins. Living cells orchestrate lipid production, lysis, and intake by managing the expression of corresponding genes [9, 10]. Recently, many natural plant-derived compounds have been reported as potent antihyperlipidemic agents as phototherapeutics’ actively emerges to replace other medications of lower effectiveness and higher relative toxicity. Determination of gene expression profiles upon treatment with these alternative medications provides resolute in-sight evidence [11-13].
Pomegranate (Family: Lythraceae; scientific name: Punica granatum L., Egyptian local name: Romman), an influential medicinal plant containing diverse bioactive compounds, was traditionally used in the treatment of a wide spectrum of diseases. The ripe fruit is laxative, diuretic, tonic, astringent and, used in heart and brain diseases, chest troubles, bronchitis and earache [14]. Bark and fruit rind are orally administered to avoid bronchitis, dysentery, diarrhoea, piles, biliousness and as an anthelmintic [15]. A very high efficacy exhibited by pomegranate flowers and fruit extracts was reported to reduce circulating lipids and to modify factors of heart disease in animals and humans with hyperlipidemia [16, 17]. The tannin-rich plant leaf extract demonstrated a strong hypolipidimic impact upon oral administration using model animals [18].
Besides being highly nutritive, pomegranate peel extract (PPE) is known to possess higher content of varied phytochemicals like tannins, alkaloids and flavonoids, most of which are observed to have therapeutic properties [19, 20]. In previous studies, pomegranate peel polyphenolic extract cut down the levels of Total Cholesterol/HDL Cholesterol (TC/HDL-c) ratio and serum LDL-c levels in hyperlipidemic male Sprague-Dawley (SD) [21] and human [22].
Thus, in the present study, the hypolipidemic activity of Punica granatum L. peel extract (PPE) was evaluated through determination of gene expression levels of lipid metabolism key regulator proteins and enzymes behind hyperlipidemia in human liver-derived HepG2 cell line.
In addition, we conducted an animal study to investigate the effect of on visceral fat levels and hepatic lipid accumulation in mice with diet-induced obesity. We focused on determination of expression profiles of genes related to beta-oxidation and lipogenesis in the liver and lipolysis in white adipose tissue after 14 d of PPE oral administration.
MATERIALS AND METHODS
Experimental materials
Cell culture
Human hepatocarcinoma HepG2 cells were obtained from The Holding Company for Biological Products & Vaccines (VACSERA, Egypt) and maintained in DMEM supplemented with 10% FBS, 100 µg streptomycin and 100 units penicillin. Culture conditions were adjusted at temperature of 37 °C in a humidified atmosphere consisting of 5% CO2 and 95% O2. All used media and reagents were purchased from (Lonza Bioproducts, Belgium). Pomegranate fruits (Punica granatum L., Lythraceae) was cultivated in Egypt and obtained from Sekem farms, Belbeis, Egypt. Standardized Pomegranate Peel Extract (PPE), prepared according to [23], was obtained from Heliopolis university research lab (Cairo, Egypt). Atos Pharma Co. Ltd. (Cairo, Egypt). Standardized PPE contains 3 estimated tannins (gallic acid; 11 %, Kaempferol-3-0-glucoside; 1.3% and ellagic acid; 3.4 %) and other 3 flavonoids (rutin; 0.5 %), Quercetin; 0.6 %, Pelargonidin; 0.4 %). All standard preparations were purchased from Sigma-Aldrich (St. Louis, MO, USA).
MTT cytotoxicity assay
The content of PPE was dissolved in phosphate buffer saline (PBS) to a final concentration of 1 mg/ml. The solution was sterile filtered using 0.2μm syringe filter units (Nalgene, USA). The cytotoxicity of PPE was measured by 3-(4, 5-dimethyl-2-thiazolyl)-2,5-diphenyl-2Htetrazolium bromide (MTT) in a colorimetric assay as illustrated previously [24]. Cell monolayers of 10,000 cells were plated (104 cells/well) in 96-well tissue culture plate and incubated for 24h at 37 °C in a humidified incubator with 5 % CO2 to allow attachment of cell to the plate except three well without cells as blank, before treatment with the PPE in different concentrations (250, 125, 62.5, 31.2, 15.6, 7.8, 3.9 and 1.6 µg/ml). Then, cells were incubated for another 48 h, washed by PBS (Lonza Bioproducts, Belgium) and 50 µl of MTT (Serva Electrophores, Germany) was added to each well. Cells were then incubated in the dark for 4 h for the reduction of MTT into formazan followed by addition of 50 μl of Dimethyl sulfoxide (DMSO) to solubilize the purple crystals of formazan. Absorbance was finally measured at 570 nm with microplate ELISA reader (BioTek, USA). The untreated cells were used as a control. Control and samples were assayed in quadruplicate for each concentration and replicated three times. The percentage of cell viability is calculated using the following equation:
Survival rate %= 
Cell treatment with PPE
The HepG2 cells maintained in DMEM (Lonza Bioproducts, Belgium) with no FBS supplementation were treated with PPE at different concentrations (25, 50, 100 μg/ml) and incubated for 24, 48 and 72 h. Cells were then detached using Trypsin-EDTA (0.05 % trypsin) (Lonza Bioproducts, Belgium) and stored at-80 °C until RNA extraction.
Experimental animals
Male C57BL/6J albino mice were supplied by Animal Laboratory House of Heliopolis University, Cairo, Egypt at the age of six weeks. All animal procedures were performed with the approval of the ethical committee of the faculty of Pharmacy, Heliopolis University, Cairo, Egypt, issue no# HU. REC.1/2016 and the research were conducted in accordance with the internationally accepted principles for laboratory animal use and care as found in the European Community guidelines [25].
Mice were housed in polycarbonate animal cages (260 × 420 × 180 mm; Shanghai Petty International Co., LTD, China) during the adaptation period in groups of 4 and administered normal diet (60.6 % carbohydrates, 10. 5 % fat, 19% protein, 4.3 % fiber, 5 % mineral mixture and 0.2% vitamin mixture). During the test period, mice were housed in individual stainless steel wire mesh cages (75× 210 × 150 mm; Shanghai Petty International Co., LTD, China). They were held in a controlled environment (25±1.5 °C, 50±1 % humidity), with 12 h light/dark cycles.
After 7 d of adaptation, C57BL/6J mice were weighed and divided into two groups to obtain a uniform body weight of each group. The control group was fed on a high-fat diet (HFD), and the treatment group was given the HFD containing 10 % of pomegranate peel extract (HFD+PPE). The animals were restricted-fed and given water for two weeks. Composition of the HFD per 100 grams was: Corn oil (20 g), Casein (20 g), Lard (10 g), Cellulose (4 g), Sucrose (13 g), Alpha-potato starch (28.2 g), Mineral mixture, AIN-76 (3.5 g) and Vitamin mixture AIN-76 (1.3 g). The oral dose of PPE was set to be 600 mg per one kilogram of mice weight.
Body weight and food intake
During the experiment, animal weights were measured every day. Food intake was calculated daily by defining the amount of feed remaining from the previous day, and the mean of daily food intake for each animal was calculated.
Measurement of fecal lipids
All feces were collected daily on days 11–14 after the start of the experiment. The collected feces were dried for at least 3 d at 100 ⁰C and weighed. After dry feces had been crushed and homogenized, fecal lipids were extracted using the Folch extraction protocol [26]. The total lipid content was determined by measuring the total dry extract weight.
Measurement of tissue weight
Fourteen days after the start of the experiment, mice were sacrificed, and then the liver and interscapular brown, mesenteric, epididymal and retroperitoneal adipose tissues were removed. All samples were weighed. Each sample was cut into small pieces, dipped in Trizol reagent (Invitrogen, Carlsbad, CA), and stored at −80 ⁰C until RNA extraction. Another piece of each liver sample was stored at −80⁰C for subsequent analysis.
Hepatic histological analysis
Suitable sections of liver were fixed in 10 % formalin and processed for preparation of 5 µm-thick paraffin section. These sections were sequentially stained with hematoxylin and Eosin (H & E) according to Bancroft, Stevens, Dawswon [27] to detect the presence of fat. The degree of fatty liver was assessed by expert pathologists and we entrusted all analyses to histology lab, Zoology Department, Faculty Science, Cairo University.
Analysis of mRNA expression by real-time reverse transcription-polymerase chain reaction (RT-PCR)
The total RNAs from HepG2 cells, mice liver and epididymal adipose tissue were isolated using Trizol reagent (Invitrogen, Carlsbad, CA) according to the manufacturer’s instructions. 200 ng of total RNA was reverse-transcribed into cDNA in a reaction mixture using a TIANscript One-Step reverse transcription-PCR (RT-PCR) kit (TIANGEN, China) according to the manufacturer’s directions. The gene expression levels were determined using a real-time PCR system (5700 applied bio-systems), SYBR Premix Ex Taq (Takara Bio Europe, France), and specific sets of primers (table 1) and using 30cycles of 95 ⁰c for 30 seconds denaturation; the specific annealing temperature for 30 seconds; and 72 ⁰C extension for 30 seconds. The fold of gene expression level was calculated with real-time PCR Ct-value relative to glyceraldehyde-3-phosphate dehydrogenase (GAPDH) HepG2 cell line and Mice.
Statistical analysis
All data were expressed as means±standard Error (SE) of a minimum duplicate sample for mRNA expression by Real-Time Reverse Transcription-Polymerase Chain Reaction (RT-PCR) and 8 mice per each mice group (n=8). Data analysis and graph plotting were done using GraphPAD Prism package version 5.01 (GraphPAD, UK). The statistically significant differences were calculated by Students t-test. P values less than 0.05 (P<0.05) were considered as indicative of significance.
Table 1: Selected HepG2 PCR primer sequences and mice PCR primer sequences
Gene name |
Origin |
Primer sequence (5’-3’) |
PCR size (bp) |
Tm (⁰C) |
Sterol regulatory element-binding protein-2 (SREBP-2) |
HepG2 |
F-TCTGGAGACCATGGAGACCC |
106 |
60 |
R-GTCAGGGAACTCTCCCACTTG |
||||
Hydro-Methyl-GlutarylCoA reductase (HMGCR) |
HepG2 |
F-GTTCGGTGGCCTCTAGTGAG |
101 |
60 |
R-GGATGGGAGGCCACAAAGAG |
||||
LDL receptor (LDLR) |
HepG2 |
F-CAATGTCTCACCAAGCTCTG |
258 |
52 |
R-TCTGTCTCGAGGGGTAGCTG |
||||
Sterol regulatory element-binding proteins-1c (SREBP-1c) |
HepG2 |
F-GCTGCTGACCGACATCGAA |
77 |
60 |
R-GTGGGTCAAATAGGCCAGGG |
||||
Fatty Acid Synthase (FAS) |
HepG2 |
F-TATGAAGCCATCGTGGACGG |
183 |
59 |
R-GAAGAAGGAGAGCCGGTTGG |
||||
GAPDH |
HepG2 |
F-GTCAAGGCTGAGAACGGGAA |
158 |
60 |
R-AAATGAGCCCCAGCCTTCTC |
||||
Fatty Acid Synthase (FAS) |
Mice |
F-TCCTGGGAGGAATGTAAACAGC |
111 |
59 |
R-CACAAATTCATTCACTGCAGCC |
||||
Hormone Sensitive Lipase (HSL) |
Mice |
F-CCTACTGCTGGGCTGTCAA |
142 |
58 |
R-CCATCTGGCACCCTCACT |
||||
Acyl-CoA Oxidase (ACO) |
Mice |
F-TCTTCTTGAGACAGGGCCCAG |
100 |
58 |
R-GTTCCGACTAGCCAGGCATG |
||||
GAPDH |
Mice |
F-ATGACATCAAGAAGGTGGTG |
177 |
55 |
R-CATACCAGGAAATGAGCTTG |
RESULTS
MTT cytotoxicity assay
The Cytotoxicity of PPE was evaluated by MTT assay and the half maximal inhibitory concentration (IC50) values were derived from the dose–response curves. The half maximal inhibitory concentration (IC50) is a measure of the effectiveness of a compound in inhibiting biological or biochemical function. HepG2 human liver carcinoma cells were treated with serial dilutions of PPE (2-250 μg/ml). It was clear that it decreased the proliferation of HepG2 cells in a concentration-dependent manner with an IC50 = 115 μg/ml (fig. 1).
Fig. 1: Determination of PPE cytotoxicity for human liver carcinoma HepG2 cell line by using MTT assay. The values are expressed as mean±SD (n=3), SD value are too small to be seen on the blot. Values were plotted by using GraphPad PRISM program (GraphPAD, UK). IC50 (inhibitory concentration 50) = 115 µg/ml
Food intake; body and tissue weight
There was a significant decrease between the 2 groups regarding final weight, weight gain and; liver weight in favor of HFD+PPE, while a non-significant decrease of white and brown adipose tissue weights was noticed. Table 2 shows the body weight and amount of food intake 14 d after the start of the experiment.
Analysis of mRNA expression
As shown in fig. 2, the expression of hepatic genes involved in lipogenesis such as LDL-R in the HFD+PPE group was significantly higher than that in the HFD group upon PPE treatment with concentrations of 50 and 100 µg/ml. Although HMGCR expression level decreased using all PPE concentrations, it only decreased significantly in the concentration of 100 µg/ml. Fatty Acid Synthase (FAS), SREBP-1c and SREBP-2 genes expression decreased significantly in PPE concentrations 100 µg/ml.
The effect of PPE on mRNA expression in mice liver and WAT is demonstrated in fig. 3. In liver, FAS was significantly down-regulated in HFD+PPE group compared to another control group of HFD; Hormone Sensitive Lipase (HSL) was up-regulated in a significant manner. Acyl Co-A Oxidase levels didn’t significantly change however results shown a higher expression in HFD+PPE group. In WAT, both FAS mRNA reduced and HSL increased significantly. These results suggest that PPE has antihyperlipidemic effects in high-fat-diet-induced obese mice through suppressing lipogenesis in the liver, stimulating lipolysis in liver and WAT.
Table 2: Effects of PFE on food intake, body weight, liver weight, adipose tissue weight, and fecal total lipids
HFD |
HFD+PPE |
|
Final Weight, g |
24.41±0.34 |
23.22±0.32* |
Weight gain, g |
4.07±0.38 |
2±0.32* |
Food intake, g/day |
2.47±0.14 |
2.5±0.53 |
White adipose, g/100 g body weight |
2.322±0.23 |
1.66±0.1 |
Brown adipose, g/100 g body weight |
0.61±0.72 |
0.55±0.19 |
Liver weight, g |
4.99±0.69 |
3.96±0.14* |
Fecal total Lipids, g/day |
0.016±0.001 |
0.017±0.002 |
The data represent the mean±SE values (n = 8).∗ indicates significantly different at P<0.05 against the control group (HFD).
Hepatic histological analysis
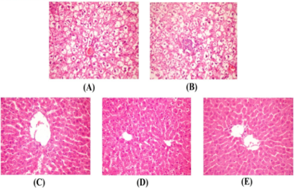
Histopathological investigation of liver tissue slides after 2 w of treatment with HFD and HFD+PPE stained with H&E in mice fed on HFD showed moderate to severe macrovascular fatty changes, which were diffusely distributed throughout the liver lobules.
Parenchymal inflammation with both acute and chronic inflammatory cells accompanying focal necrosis was also observed (fig. 4-A and 1-B). In the HFD+PPE group, the development of fatty liver was apparently suppressed with normal histological change and reduction in fat deposits in liver tissues (fig. 4-C, D and E).
Fig. 2: HepG2 cell line showed higher expression of LDL receptor (LDL-R) and down-regulation of sterol regulatory element-binding protein (SREBF-2), (SRBEP-1c), Fatty acid synthase (FAS) and 3-hydroxy-3-methylglutaryl-CoA reductase (HMGCR) upon PPE treatment. Total mRNAs were extracted from cells using Trizol. The relative levels of specific mRNAs were assessed by RT-PCR. Results were normalized to GAPDH. The data represent the mean±SEM values. ∗ indicate significantly different at P<0.05
Fig. 3: suppression Fatty acid synthase (FAS) expression and upregulation of Hormone-sensitive lipase (HSL) in mice isolated liver and white adipose tissues. Total mRNAs were extracted from the liver tissues using TRIzol. The relative levels of specific mRNAs were assessed by RT-PCR. Results were normalized to GAPDH. The data represent the mean±SEM values. ∗ indicate significantly different at P<0.05
Fig. 4: Histological analysis of the liver (Hematoxylin and eosin (H&E) stain). The liver was extracted 14 d after commencing the treatment. H&E staining was performed in frozen liver sections to detect the presence of fat. These images are representative of observations made on 8 mice per group. (Scale bar: 50 μm). The liver of mice feeding on HFD; fig. (4; A and B) show microvesicular fatty change distributed throughout the liver lobules accompanying with focal necrosis while the liver of mice feeding on HFD and PPE; fig. (4; C, D and E) show normal histological change with reduction in fat deposits in liver tissues
DISCUSSION
Many natural phytochemicals contained within plant body such as Amaranthus Spinosus Leaves [28], Sphaeranthus indicus [29], Moringa oleifera leaf [30], Citrullus colocynthis seeds [31], Costus speciosus root [32], Cassia auriculata flowers [33], Anethum graveolens [34], Rhinacanthus nasutus [35], Roots of Glycyrrhiza Glabra, Withania Somnifera roots, Chlorophytum Borivilianum [36], phytochemicals such as guggulsterone [37], and luteolin [38] were reported to have hypolipidemic activity and ready to become potential natural substitutes of other chemical pharmaceutical treatments of obesity and hyperlipidemia (e. g. orlistat (Xenical), lorcaserin (Belviq) HMG-CoA reductase inhibitors, Bile acid sequestrants, Fibric acid derivatives and Nicotinic acid) [39].
In our introduced study, HepG2 hepatocarcinoma cells and C57BL/6J mice were employed to inspect the regulatory function responsible for the hypolipidemic effect of the standardized pomegranate peel extract. In order to confine the nontoxic concentration of PPE, the MTT assay was performed ranging PPE concentrations brought together with HepG2 cells. PPE did not show any significant cytotoxicity against HepG2 up to 115 µg/ml, while PPE at 250 µg/ml reduced the viability of HepG2 cells to ~25% of the untreated control. Punica granatum L. peel extract was proven to have lower toxicity levels when compared with a former study that also used HepG2 cells to conclude IC50 of 43.75 µg/ml [40]. This could be correlated to the standardization procedure conducted on the extract to increase the concentration of the active ingredients.
Hepatic expression of LDL receptor is essential to orchestrate LDL cholesterol homeostasis, being a membrane-spanning glycoprotein that participates in removing LDL from the blood [41, 42]. Here, PPE unregulated LDLR expression in HepG2 cells, beholding accelerated clearance of circulating LDL cholesterol. On the other hand, mammalian SREBPs encoded by the genes SREBP-1 and SREBF-2 play an important role in binding to the sterol regulatory element DNA sequences [43]. SREBP-1 promotes the transcription of genes related to hepatic fatty acid synthesis such as FAS and GPAT [44]. SREBP-2 coordinates the activities of enzymes involved in cholesterol metabolisms such as HMGCR and SREBP-2 itself [45]. As indicated by real-time PCR gene expression assays, PPE didn’t only had a significant down-regulation impact on SREBP-1 and SREBF-2, those genes that play key role in lipid biosynthesis, but also managed to impede transcription of Fatty acid synthase and subsequently stemmed the production palmitate, first fatty acid produced during fatty acid synthesis and the precursor to longer fatty acids [46]. PPE has a significant curbing effect against HMG-coA reductase of HepG2 cells, to disrupt cholesterol synthesis in an analogous manner if matched to HMG-coA reductase inhibitors (e. g. Rosuvastatin, lovastatin, atorvastatin, pravastatin and Fluvastatin).
Obesity develops when energy intake overreaches energy expenditure. PPE supplementation, again, exerted a hypolipidemic effect by elevating energy expenditure when significantly lowered body weight and body weight gain with no effect on energy intake (food intake and fecal lipid content), administered orally to mice for two weeks. After estimating expression levels of mice liver and WAT lipid homeostasis genes upon PPE intake, results revealed a significant suppression of FAS expression, to confirm outcomes gleaned over experimentations on HepG2 cells, and a significant up-regulation of HSL, the predominant lipase effector of catecholamine-stimulated lipolysis, in both WAT and hepatic tissues.
However, the insignificant difference in the expression of ACO, the enzyme responsible for beta-oxidation, was observed. Our results harmonize with another study on Punica granatum L. peel extract that showed an obvious decrease in the levels of TC/HDL-c ratio and serum LDL-c levels as conducted on male Sprague-Dawley (SD) rats [21].
Development of hepatic steatosis due to the accumulation of free fatty acids in the liver is the first step of NASH pathogenesis, a liver disease commonly associated with progressive liver disease, fibrosis, and cirrhosis. The second step involves additional biochemical insults, including oxidative stress, the up-regulation of inflammatory mediators, and dysregulated apoptosis [47, 48]. Reduction of risk factors is the main target of current NASH medications that seek suppression of hepatic lipid accumulation, the primary step of pathogenesis. In the current study, PPE had an evident impact on containing fatty liver. Flower extract of pomegranate had a similar effect when decreased oil droplets and Triglyceride (TG) content in diabetic type II and obese Zucker rats [49]. This may be attributed to the common presence of gallic acid in both fruit peel and flower, as gallic acid managed to relegate lipid droplet accumulation in mice liver, besides significant decline in triglyceride and LDL-cholesterol (p<0.05), assayed in a parallel research [50]. Pomegranate flower extract was also found to escalate expression of lipolysis-controlling genes (peroxisome proliferator-activated receptor PPAR-α and acyl-CoA oxidase ACO) in HepG2 cells in a recent study [49].
Kaempferol, this small molecule embraced within PPE, was purified from leaves of unripe Jindai-soybean (Edamame) helped to decrease SREBP-1c peroxisome proliferator-activated receptor PPAR-γ expression in C57BL/6J mice, and then suspected to perform the same function in PPE [51]. Other flavonoid phytochemicals enclosed in pomegranate peel; ellagic acid, rutin and quercetin enacted lipid reduction role in Streptozotocin (STZ)-nicotinamide (NA) induced diabetic rat model by the noteworthy diminishing of total cholesterol, Triglyceride compared to control rats (p<0.001) [52].
CONCLUSION
Our study explicated the hypolipidemic and anti-fatty liver characteristics of standardized PPE; Punica granatum L. peel extract through in vitro and in vivo assays. It is well denoted that these effects crystallize as a result of lipogenesis suppression and lipolysis induction exerted by phytochemicals held within peel structure of pomegranate. Further research should focus on delineating more molecular events within living cells that lead to these lipid-fighting traits of PPE.
ABBREVIATION
HFD: High-fat diet; RT-PCR: reverse transcriptase polymerase chain reaction. LDL-R: LDL receptor; SREBF: sterol regulatory element-binding protein; FAS: Fatty acid synthase; HMGCR: 3-hydroxy-3-methylglutaryl-CoA reductase; HSL: hormone sensitive lipase.
CONFLICT OF INTERESTS
The authors declare that they have no conflict of interest.
REFERENCES