
Agriculture Plant Biotechnology Laboratory, University School of Biotechnology, Guru Gobind Singh Indraprastha University, Sector 16 C, Dwarka, New Delhi 110078, India
Email: gpromila@hotmail.com
Received: 19 Feb 2016 Revised and Accepted: 20 Apr 2016
ABSTRACT
Objective: This report is an attempt to evaluate methanolic extracts of leaves, fruits and bark from Dalbergia sissoo for photoprotective and DNA protective potential in vitro and to get an insight into its phytochemical constituents.
Methods: Total methanolic extracts of leaves, fruits and bark from D. sissoo were examined for total phenolics content (TPC), total flavonoids content (TFC) and antioxidant activity. Extracts alone, as well as part of gel formulations, were used to assess their sun protection factor (SPF) by spectrophotometry. Potential of extracts to prevent plasmid DNA damage by hydroxyl radicals generated through Fenton and ultraviolet+hydrogen peroxide (UV+H2O2) system was checked by agarose gel electrophoresis. GC-MS analysis was done to detect the presence of bioactive compounds in active fractions.
Results: TPC, TFC, antioxidant activity and SPF values of bark methanolic extract (BME) were found to be highest among the three extracts. Dose-dependent protection of DNA was observed in the extracts. Phytol, lupeol, squalene, palmitic acid and phytosterol etc. were the key constituent of the extracts.
Conclusion: As per the available literature, this is the first time exploration of D. sissoo methanolic extract as photoprotective and DNA protective agents. Total extracts or its purified fractions can be exploited as Cosmeceutical ingredient.
Keywords: Dalbergia sissoo, Phytochemicals, Antioxidants, SPF, pBluescript, Fenton, H2O2 and UV
© 2016 The Authors. Published by Innovare Academic Sciences Pvt Ltd. This is an open access article under the CC BY license (http://creativecommons.org/licenses/by/4.0/)
INTRODUCTION
People of colour are not much sensitive to UV radiation as compared to white populations. However, the increasing incidence of UV on the earth is affecting coloured people in either way viz. hyperpigmentation leading to aesthetic problems and skin cancer. The harmful effects of solar radiation are caused due to the ultraviolet region which comprises of UV-C (200-290 nm), UV-B (290-320 nm) and UV-A (320-400 nm). UV-C radiation is filtered by the atmosphere before reaching earth. UV-B radiation tends to be partially filtered by the ozone layer and causes sunburn. It is the UV-A radiation which penetrates the deeper layers of the epidermis and dermis and provokes premature skin aging [1].
D. sissoo, also known as Indian rosewood tree (Shisham in hindi) is best known for its use as timber wood. Besides its use as fuel wood, shelter and shade, shisham is also known for its medicinal uses. Investigators have reported that it possesses many biomodulatory activities like osteogenic activity [2], antispermatogenic activity [3], antimicrobial activity [4] and anti-inflammatory activity [5]. Extracts from aerial parts showed bronchodilation as well as significant antipyretic, analgesic, and estrogen-like activities [6]. In Yunani system of medicine, its wood has been used to treat blood disorders, scabies, eye and nose disorders, burning sensations, scalding urine, stomach problems, syphilis, boils, eruptions, leprosy and nausea. Dried leaves exhibited antibacterial, antiprotozoal, anti-inflammatory activities and leaf juice has curative effects on eye ailments and also used in treating gonorrhea [7-9]. Active extracts of bark possess carbohydrates, phenolic compounds, flavonoids and tannins. In the ayurvedic medicinal system, it has been shown to possess properties such as abortifacient, anthelmintic, antipyretic, aperitif, aphrodisiac, expectorant, refrigerant and also used for controlling anal disorders, dysentery, dyspepsia, leucoderma, and skin ailments [10]. Hence, it requires detailed investigation with respect to identification and purification of bioactive compounds along with the possible mechanism of action to be implicated in solving such disease conditions.
Incorporating the plant extracts possessing photoprotective activity in cosmeceutical formulations such as in sunscreens has been extensively practiced. Phytoconstituents are becoming popular in pharmaceutical as well as in the cosmetic industry as they have fewer side effects than their synthetic counterparts. Antioxidants like ascorbic acid, vitamin A, polyphenols and enzymes possess the ability to ameliorate the oxidative damage, primarily attributed to ROS accumulation/imbalances [11, 12]. Naturally occurring antioxidants, phenolic compounds, flavonoids and high molecular weight polyphenols have been proved very useful in preventing the harmful effects of UV radiations on the skin [13]. Prevention of photocarcinogenesis by topical application or oral feeding of a polyphenolic fraction from green tea has been reported by Afaq and Mukhtar [14]. Kaur and Saraf, [15] assessed the photochemo protective activity of alcoholic extract of Camellia sinensis via estimating sun protection factor (SPF).
In this study, we are reporting for the first time, the photoprotective property of shisham methanolic extracts by in vitro assays; antioxidant assays and sun protection factor (SPF) determination and also correlating their implications in preventing skin cancers by plasmid DNA nick prevention assay. An attempt has been made to shortlist the probable active components in the extracts by GC-MS analysis.
MATERIALS AND METHODS
Chemicals and reagents
All chemicals, standards and reagents used were of analytical grade. Reference sunscreen used was Suncote sunscreen gel (Curatio) with SPF 30.
Extraction and preparation of samples
Leaves, fruits and bark of shisham were collected from local vegetation in and around GGSIP University, New Delhi, India. The voucher specimen (USBT-SY-1/13) for collected plant parts have been made and authenticated. Plant parts were cleaned and dried at room temperature. Fine powder (5g) of each was extracted with (50 ml) methanol, kept on the shaker at room temperature for 3 d to yield methanolic extract. Mixtures were filtered through Whatman filter paper 1. The filtrate was concentrated to dryness under reduced pressure using a rotary evaporator to yield crude extract and resulting extracts were stored at-20 °C until further use. Leaves methanolic extract, fruits methanolic extract and bark methanolic extract were referred as LME, FME and BME, respectively.
Calculation of extraction factor (EF) based upon UV-VIS spectra
UV-VIS (200-700 nm) spectra were recorded for each extract using Spectra Max2e from Molecular Devices. Yield of extraction was calculated using the following formula [16]:
Where A (λmax) is the absorption maxima and d is dilution factor.
Phenolics and flavonoids estimation
TPC was determined by Folin-Ciocalteu reagent (FCR) method described by Singleton et al. [17], and expressed in terms of µg Gallic acid equivalents, (GAE)/mg of dry extract. Gallic acid was used for calibration curve (R2 = 0.995).
Aluminium chloride colorimetric method was used to determine TFC following the method of Chang et al. [18], and expressed in terms of µg Quercetin equivalents, (QE)/mg of dry extract. Quercetin was used to make the standard curve (R2 = 0.999).
Free radical scavenging (FRS) activity
DPPH free radical scavenging activity
2, 2-Diphenyl-1-picryl hydrazyl (DPPH) is a stable free radical that gets scavenged by hydrogen atom present in extracts. This estimation was done by the method adopted by Blois [19], with some modification. Briefly, 100 µl of extracts (20-100 µg/ml) were mixed with 1 ml of the methanolic solution of 0.1 mM DPPH. Mixtures were shaken well and incubated for 30 min at room temperature and absorbance was recorded at 517 nm in a spectrophotometer. Ascorbic acid was used as the standard. Percent inhibition was calculated using the following formula:
Ferric reducing antioxidant power (FRAP)
The reducing power of extracts was determined according to the method of Benzie and Strain [20]. The FRAP reagent consisted of 10 mM TPTZ (2,4,6-tripyridyl-s-triazine) in 40 mM HCl, 20 mM FeCl3 and 250 mM sodium acetate buffer (pH 3.6). Fresh FRAP reagent was prepared by mixing TPTZ solution, FeCl3 solution, and acetate buffer in a ratio 1:1:10. A 100 µl of extract solution containing 0.1 mg extract was mixed with 900 µl of FRAP reagent. The mixture was incubated for 4 min at 37ºC; the absorbance was read at 593 nm against blank. Trolox was used as calibration standard (R2 = 0.999). FRAP values were calculated as µg of Trolox equivalents/mg of dry extract.
ABTS free radical cation scavenging activity
Trolox equivalent antioxidant capacity (TEAC) was estimated as 2, 2’-Azino-bis (3-ethylbenzthiazoline)-6-sulfonic (ABTS) radical cation scavenging activity according to the method of Re et al. [21]. Reagent solution consists of 7 mM ABTS and 2.45 mM potassium persulfate in 100 mM phosphate buffer solution (pH 7.4) and was left to stand for 12-16 h. at laboratory temperature in the dark to form ABTS radical cation (ABTS•+). A working solution was diluted to absorbance values 0.7±0.02 at 750 nm with 100 mM phosphate buffer solution (pH 7.4). 10 µl of standard (Trolox) or extracts (2-10 µg/ml) were mixed with the working solution (990 µl) and absorbance was measured at 750 nm after 5 min.
Determination of sun protection factor (SPF)
Absorption characteristics of extracts only and the extracts incorporated in herbal gel formulation were measured by spectrophotometric method [22-26]. The protocol for cream formulation was used with slight modifications [27]. Spectral scanning in range 200-400 nm at 5 nm interval was performed and SPF values were calculated using the formula developed by Sayre et al. [28]:
Where EE (λ) = erythemal effect spectrum; I (λ) = solar intensity spectrum; Abs (λ) = absorbance of sunscreen product; CF = correction factor (=10). The values of EE x I are constant.
GC-MS characterization
The extracts were analyzed for their chemical components using Gas Chromatography-Mass Spectrometry. The analysis was done using the Shimadzu GC-MS-QP2010 Plus Gas Chromatograph Mass Spectrometer. Column used was RTX-5MS crossband 5% diphenyl/95% dimethyl polysiloxane, having the column dimensions 30m × 0.25 mm ID × 0.25 µm film thickness.
Protective potential of extracts against hydroxyl radical induced plasmid DNA damage
Hydroxyl radical induced DNA damage and its prevention by extracts were estimated by Fenton reaction and UV+H2O2 induced generation of hydroxyl radicals. Densitometric analysis of DNA bands using Image J software was done to measure the degree of plasmid DNA protection in terms of percentage.
Fenton system induced pBluescript DNA damage and its prevention by extracts
Fenton reaction [29], was conducted in an eppendorf microcentrifuge tube containing pBluescript DNA (200 ng), 6 µl of 50 mM phosphate buffer (pH 7.4), 3 µl of 2 mM FeSO4 and 10 µl of extracts at various concentrations (10, 50 and 250 µg). One µl of 3% H2O2 was added and the mixture was incubated at 37 °C for 1 hour. The reaction was stopped by adding 2 µl loading dye (0.03% bromophenol blue, 0.03% xylene cyanol FF, 60% glycerol) and the mixture was subjected to 1% agarose gel electrophoresis. The gel was stained with ethidium bromide to visualize DNA bands (supercoiled, linear form and open circular) and photographed on gel documentation system (Alpha Innotech, USA).
UV+H2O2-Induced pBluescript DNA damage and its prevention by extracts
The potential of each extract to prevent DNA damage was tested on pBluescript in the presence of H2O2 photolyzed via UV following the method of Guha et al. [30], with slight modification. Plasmid DNA (200 ng) was incubated with 4 µl 0.3% H2O2 and 10 µl of extracts with varying concentrations (10, 50 and 250 µg) in microcentrifuge tubes. The tubes containing reaction mixture were irradiated at 365 nm by directly placing on the surface of UV transilluminator (Wealtec v 2.0, USA) at 8 W/cm, at room temperature, for 4 min and then quenched by adding 2 µl of loading dye. Samples were analyzed by agarose gel electrophoresis. Irradiated control (negative control) did not have any extract in it and an equal amount of plasmid DNA without any UV irradiation served as non-irradiated control (native plasmid).
RESULTS AND DISCUSSION
Calculation of extraction factor (EF) based upon UV-VIS spectra
Methanol is considered effective solvent for extraction of phenolic compounds and terpenoids from plants. EF for each sample was calculated using their absorbance values of λmax obtained through spectral scanning in UV-VIS range. EF for BME was highest and its absorption maxima were in the range of 350-395 nm range (table 1).
Table 1: Extraction factor of extracts (1 mg/ml)
Samples |
λmax (nm) |
Extraction Factor |
LME |
300±13.22 |
3.74±0.110 |
FME |
270±17.32 |
3.52±0.037 |
BME |
375±22.91 |
3.95±0.005 |
LME= Leaves methanolic extract; FME= Fruits methanolic extract and BME= Bark methanolic extract. (mean±SD, n=3).
Phenolics and flavonoids estimation
Among all tested extracts, TPC was found to be highest in BME (236.0±0.202 µg GAE/mg of dry extract) followed by FME (154.0±0.023 GAE/mg of dry extract) and LME (142.5±0.143 µg GAE/mg of dry extract). TFC was more or less same in all three extracts (fig. 1A).
Free radical scavenging activity
Production of ROS in excess leads to cellular and DNA damage which can ultimately lead to the development of many skin disease conditions ranging from aesthetic problems (skin ageing/wrinkles, sunburn, tanning, freckles and melasma) to skin cancer. Therefore, estimation of free radical scavenging capacity of the plant extracts and natural products can open the access to treatment of several diseases caused by ROS.
DPPH free radical scavenging activity
2, 2-Diphenyl-2-Picrylhydrazyl is a commercially available free radical generating compound and is widely used to determine the free radical scavenging capacity of plant extracts, thereby assessing their antioxidant potential [31]. Among three extracts, BME has shown maximum percent scavenging activity having IC50 value of 23±3.32 µg/ml and lowest percent scavenging activity was exhibited by LME (IC50 value, 64.2±2.51 µg/ml). Fig. 1B shows the comparative percent scavenging activity of all samples.
Fig. 1: Phytochemical screening of D. sissoo extracts with respect to TPC, TFC and FRS activities; (A) TPC and TFC; (B) DPPH free radical scavenging capacity; (C) Ferric reducing antioxidant power (FRAP); (D) ABTS free radical cation scavenging activity. (mean±SD, n=3). (LME= Leaves methanolic extract; FME= Fruits methanolic extract and BME= Bark methanolic extract)
Ferric reducing antioxidant power (FRAP)
Ferric-TPTZ is reduced to a ferrous complex which forms an intense blue product measurable at 593 nm wavelength. The intensity of the blue colour is directly related to the amount of natural antioxidants present in the samples. Highest ferric reducing activity was found in BME (205.9±0.0402 µg Trolox Equivalent/mg of dry extract). Other extracts showed less but significant FRAP activity (fig. 1C).
ABTS free radical cation scavenging activity
ABTS scavenging activity is applicable for both lipophilic and hydrophilic antioxidants. Highest ABTS radical scavenging activity was exhibited by BME (IC50 value 5±0.48 µg/ml) and lowest activity was shown by LME (10±1.17 µg/ml). IC50 value for standard trolox was 2.26±0.58 µg/ml (fig. 1D).
Determination of sun protection factor (SPF)
Use of antioxidants present in botanical extracts is a preventive approach to neutralizing the free radicals that cause photoaging of skin. Cosmetic preparations containing herbal extracts thus need to be screened for their SPF to measure the effectiveness of the formulation as sunscreen. Most of the natural polyphenols can absorb UV radiation including the entire UVB spectrum and parts of UVC and UVA spectra. Hence, plant polyphenols can act as sunscreen when incorporated in photoprotective formulations [32].
A sunscreen product should have absorbance peaking in UV range i.e. 200-400 nm in order to be effective in preventing sunburn and other skin damage [22]. It was found that extracts exhibited absorption maxima between 250-280 nm ranges (fig. 2A). Also, they continued to absorb in longer UV-A range as well, as compared to positive control, thereby implying probable synergistic roles of multiple components in the extracts (work in progress).
After exploring the sunscreen potential of the extracts, it was seen that they had SPF comparable to reference cream (Suncote Gel Labelled SPF 30).All extracts were scanned for absorption in 290-320 nm range at 5 nm intervals, and SPF values were determined [28]. BME had shown maximum SPF value (38.99±0.74) followed by LME (35.78±0.98) and FME (29.06±1.93) as shown in table 2. Extracts with high SPF (i.e. LME and BME) were incorporated in gel and their SPF values were estimated along with reference sunscreen. Although SPF values of extracts in gel formulations were less than the values of extracts alone, BME turned out to be most potent (fig. 2B).
This can be due to the difference in base components of reference sunscreen and our formulation, which can be overcome by standardizing the gel ingredients. Hence, in vitro SPF determination of formulations or extracts alone can be a useful screening test in order to determine the efficacy of the product as an adjunct to the in vivo SPF measure.
Fig. 2: (A) Absorption spectrum in UV range (200-400 nm); (B) SPF values (LME= Leaves methanolic extract; BME= Bark methanolic extract and PC= Positive control); (C) and (D) Correlation of TPC and TFC with FRS and SPF, respectively (Mean values of each assay were used to perform the correlation studies)
Table 2: SPF Values of extracts only (1 mg/ml) along with positive control (PC)
Samples |
SPF |
LME |
35.78±0.98 |
FME |
29.06±1.93 |
BME |
38.99±0.74 |
PC |
35.39±0.23 |
LME= Leaves methanolic extract; FME= Fruits methanolic extract; BME= Bark methanolic extract and PC= Positive control. (mean±SD, n=3).
Correlation between TPC/TFC and different assays of antioxidant activity and SPF
There was very strong correlation between TPC-FRAP (0.996) assay, strong correlation between TPC-DPPH (0.984), TPC-ABTS (0.915) and TPC-SPF (0.669) values (fig. 2C). As far as correlation between TFC-DPPH and TFC-FRAP is concerned, it was weak (0.107 and 0.146, respectively) and moderate in case of TFC-FRAP (0.338). TFC-SPF (0.787) has shown strong correlation (fig. 2D).
GC-MS characterization
Many peaks were observed in the experimental run of 40-60 min for the samples. Peaks were picked and their matches were made using Wiley 08 library and NIST 08 library. 15 hits were reported using the libraries and from them, most probable compounds were selected on the basis of peak area percentage and retention time. Fatty acids, triterpenoid, sterols, alkanes, alcohols and alkenes were detected in extracts.
Relevant compounds have been shortlisted from the library on the basis of percent peak area as well as their implication in the treatment of skin problems as cited in the literature. Among these, azulene, squalene, lupeol and phytosterols have been widely reported as Cosmeceutical agents (table 3). Azulene-based derivatives have been reported as potent multi-receptor tyrosine kinase inhibitors hence, can be used as depigmenting agents to treat freckles, melasma and other pigmentation disorders [33].
Protective potential of extracts against hydroxyl radical induced plasmid DNA damage
Fenton system induced pBluescript DNA damage and its prevention by extracts
DNA nicking assay is biologically more relevant because damage to genome has been attributed to the development of several degenerative diseases and cancers as well [44-46]. Among the various existing DNA nicking assays, Fenton reaction mimics the in vivo biological situation with the production of hydroxyl free radicals from the endogenous entities like intracellular iron. During Fenton reaction, H2O2 is cleaved to •OH by electron transfer from iron according to the following reaction [47]:

Table 3: Summary of few major compounds identified and their known biological activities
Compound name |
% Peak area (Retention time) |
Biological activity |
||
LME |
FME |
BME |
||
Azulene |
8.36 (8.00) |
4.15 (8.07) |
5.65 (8.11) |
Anti-inflammatory agent [34]. |
2-Butenedioic acid (z)-, dibutyl ester |
1.49 (16.86) |
- |
- |
In psoriasis treatment [35]. |
n-Hexadecanoic acid |
7.75 (25.95) |
- |
0.24(25.93) |
Anti-inflammatory activity [36-37]. |
Squalene |
3.75 (39.69) |
- |
0.49 (38.68) |
Chemo preventive substance for cancer [38], used in cosmetics as emollient, skin toner and elasticity maintainer [39]. |
Phytol |
6.73 (28.52) |
- |
- |
Antioxidant activity [40]. |
(Lupeol) |
28.75 (50.44) |
19.68 (50.43) |
3.77 (50.49) |
Anti-inflammatory and anticancer [41]. |
Phytosterol |
3.04 (45.14) |
- |
1.55 (45.13) |
Anticancer, antioxidant and anti-inflammatory activity [42]. |
Betulin |
0.76 (51.93) |
- |
- |
Anticancer [43]. |
LME= Leaves methanolic extract; FME= Fruits methanolic extract and BME= Bark methanolic extract.
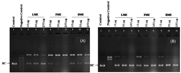
Due to the formation of highly reactive and strong oxidizing hydroxyl radical, the native supercoiled (SC) configuration of plasmid DNA changes to open circular and nicked linear forms, which cause a change in their electrophoretic mobility properties on the gel. To assess the potential of test extracts in preventing the DNA damage from oxidative stress, we used DNA nicking assay for non-site specific hydroxyl radical scavenging activity [48]. Protection of DNA can be described in terms of protection of SC form after extracts’ treatment as seen in fig. 3A. At the lower concentrations (10, 50 μg) LME and BME have shown partial DNA protection exhibited by a faint band of SC form while at high concentration (250 μg) protection was more. Protection of the plasmid DNA from damage was in a dose-dependent manner except in the case of FME, where the reverse pattern was obtained.

Fig. 3: Plasmid DNA protection assay; (A) Fenton reaction-induced pBluescript DNA damage and its protection by extracts; (B) UV+H2O2 induced pBluescript DNA damage and its protection by extracts. (Representative gel pictures, n=3); (C) Relative band intensity of supercoiled form of plasmid DNA in comparison to native plasmid DNA (mean±SD, n=3). Native plasmid= untreated control; negative control= treated with Fenton/UV+H2O2 (No extract); LME-BME= treated with Fenton/UV+H2O2 and with extracts at different concentrations. (LME= Leaves methanolic extract; FME= Fruits methanolic extract and BME= Bark methanolic extract)
UV+H2O2-induced pBluescript DNA damage and its prevention by extracts
Photolysis of H2O2 can occur when it absorbs a significant amount of light, which can be any wavelength less than 380 nm [49]. This process can be described in general by the following reaction:
Like Fenton reaction, UV photolysis of H2O2 also generates hydroxyl (•OH) radicals which cause oxidative damage. Hydroxyl radicals bound to DNA lead to strand breakage, deoxy sugar fragmentation and base modification. Moreover, oxidation of lipids induced by hydroxyl radicals and other reactive oxygen species can generate end products like malondialdehyde and unsaturated aldehydes that can attach to DNA and produce mutagenic adducts. With all the test extracts, SC form of pBluescript DNA was protected from radical damage in a dose-dependent manner (fig. 3B).
Densitometric analysis of DNA bands also justifies the above inferences (fig. 3C). Distinct pattern of dose-dependent protection of DNA by extracts in case of UV-induced photolysis may be attributed to generation of only one type of ROS i.e. •OH radicals [50], whereas in Fenton system, ferrous ion upon reaction with H2O2 generates ferric ion and •OH radicals which could react with peroxide to produce perhydroxy radical (HO•2) [37]. Thus, in Fenton reaction, there can be a possibility of HO•2 to exert greater damage on biomolecules along with •OH. To conclude, the extracts have shown significant protection of plasmid DNA in both experimental cases that suggest their use or purified fractions thereof, as potential DNA protective agents.
CONCLUSION
To the best of our knowledge, this is the first report that relates the efficacy of shisham crude methanolic extracts in sunscreening and DNA protective activity. The correlation of TPC and TFC with antioxidant activity and SPF values of the extracts signify that sunscreening potential is proportional to the antioxidant capacity and in turn composition of the crude extract. GC-MS data reveals the presence of biologically active compounds like, squalene, palmitic acid, lupeol, phytol, phytosterol and azulene, which are being implicated in the treatment of various skin problems as well as are ingredients of cosmetic preparations. The overall results show that among three plant parts, BME has highest antioxidant activity and SPF followed by LME and FME. DNA protection efficiency was increasing in LME and BME and decreasing in FME in a dose-dependent manner.
ACKNOWLEDGEMENT
The authors wish to acknowledge University School of Biotechnology, Guru Gobind Singh Indraprastha University (GGSIPU), New Delhi for the infrastructure and instrumental support. The work in our laboratory is also supported by University Grants Commission funded UGC-SAP-DRS-I (2011-2016) and a grant of IPRF (Indraprastha Research Fellowship) from GGSIPU, New Delhi to Shagufta Yasmeen.
CONFLICT OF INTERESTS
The authors declare that there is no conflict of interests related to the publication of this paper
REFERENCES